Postmenopausal Chinese-Singaporean Women Have a Higher Ratio of Visceral to Subcutaneous Adipose Tissue Volume than Caucasian Women of the Same Age and BMI
Abstract
1. Introduction
2. Materials and Methods
2.1. Subjects
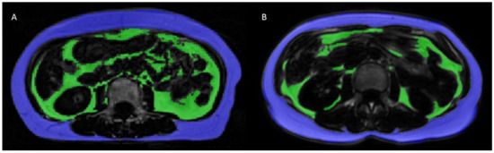
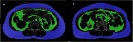
2.2. Adipose Tissue Volume Measurements
2.3. Calculation of SAT/VAT Volumes
2.4. Statistical Analysis
3. Results
4. Discussion
Author Contributions
Funding
Institutional Review Board Statement
Informed Consent Statement
Data Availability Statement
Conflicts of Interest
References
- Wajchenberg, B.L. Subcutaneous and Visceral Adipose Tissue: Their Relation to the Metabolic Syndrome. Endocrine 2000, 21, 697–738. [Google Scholar] [CrossRef]
- Sites, C.K.; Calles-Escandón, J.; Brochu, M.; Butterfield, M.; Ashikaga, T.; Poehlman, E.T. Relation of regional fat distribution to insulin sensitivity in postmenopausal women. Fertil. Steril. 2000, 73, 61–65. [Google Scholar] [CrossRef]
- Fox, C.S.; Massaro, J.M.; Hoffmann, U.; Pou, K.M.; Maurovich-Horvat, P.; Liu, C.-Y.; Vasan, R.S.; Murabito, J.; Meigs, J.B.; Cupples, L.A.; et al. Abdominal Visceral and Subcutaneous Adipose Tissue Compartments. Circulation 2007, 116, 39–48. [Google Scholar] [CrossRef]
- Abraham, T.M.; Pedley, A.; Massaro, J.M.; Hoffmann, U.; Fox, C.S. Association Between Visceral and Subcutaneous Adipose Depots and Incident Cardiovascular Disease Risk Factors. Circulation 2015, 132, 1639–1647. [Google Scholar] [CrossRef] [PubMed]
- Gast, K.B.; Heijer, M.D.; Smit, J.W.; Widya, R.L.; Lamb, H.J.; de Roos, A.; Jukema, J.W.; Rosendaal, F.R.; de Mutsert, R. Individual contributions of visceral fat and total body fat to subclinical atherosclerosis: The NEO study. Atherosclerosis 2015, 241, 547–554. [Google Scholar] [CrossRef]
- Donohoe, C.L.; Doyle, S.L.; Reynolds, J.V. Visceral adiposity, insulin resistance and cancer risk. Diabetol. Metab. Syndr. 2011, 3, 12. [Google Scholar] [CrossRef]
- Fujioka, S.; Matsuzawa, Y.; Tokunaga, K.; Tarui, S. Contribution of intra-abdominal fat accumulation to the impairment of glucose and lipid metabolism in human obesity. Metabolism 1987, 36, 54–59. [Google Scholar] [CrossRef]
- Demerath, E.W.; Sun, S.S.; Rogers, N.; Lee, M.; Reed, D.; Choh, A.C.; Couch, W.; Czerwinski, S.A.; Chumlea, W.C.; Siervogel, R.M.; et al. Anatomical Patterning of Visceral Adipose Tissue: Race, Sex, and Age Variation**. Obesity 2007, 15, 2984–2993. [Google Scholar] [CrossRef] [PubMed]
- Sugihara, M.; Oka, R.; Sakurai, M.; Nakamura, K.; Moriuchi, T.; Miyamoto, S.; Takeda, Y.; Yagi, K.; Yamagishi, M. Age-related Changes in Abdominal Fat Distribution in Japanese Adults in the General Population. Intern. Med. 2011, 50, 679–685. [Google Scholar] [CrossRef] [PubMed][Green Version]
- Janssen, I.; Powell, L.H.; Kazlauskaite, R.; Dugan, S.A. Testosterone and Visceral Fat in Midlife Women: The Study of Women’s Health Across the Nation (SWAN) Fat Patterning Study. Obesity 2010, 18, 604–610. [Google Scholar] [CrossRef]
- Whitaker, K.M.; Choh, A.C.; Lee, M.; Towne, B.; A Czerwinski, S.; Demerath, E.W. Sex differences in the rate of abdominal adipose accrual during adulthood: The Fels Longitudinal Study. Int. J. Obes. 2016, 40, 1278–1285. [Google Scholar] [CrossRef]
- Lovejoy, J.C.; de la Bretonne, J.A.; Klemperer, M.; Tulley, R. Abdominal fat distribution and metabolic risk factors: Effects of race. Metabolism 1996, 45, 1119–1124. [Google Scholar] [CrossRef]
- Sniderman, A.D.; Bhopal, R.; Prabhakaran, D.; Sarrafzadegan, N.; Tchernof, A. Why might South Asians be so susceptible to central obesity and its atherogenic consequences? The adipose tissue overflow hypothesis. Int. J. Epidemiol. 2007, 36, 220–225. [Google Scholar] [CrossRef] [PubMed]
- Carroll, J.F.; Chiapa, A.L.; Rodriquez, M.; Phelps, D.R.; Cardarelli, K.M.; Vishwanatha, J.; Bae, S.; Cardarelli, R. Visceral Fat, Waist Circumference, and BMI: Impact of Race/ethnicity. Obesity 2008, 16, 600–607. [Google Scholar] [CrossRef]
- A Crawford, M.; Mendoza-Vasconez, A.S.; A Larsen, B. Type II Diabetes Disparities in Diverse Women: The Potential Roles of Body Composition, Diet and Physical Activity. Women’s Health 2015, 11, 913–927. [Google Scholar] [CrossRef] [PubMed]
- Deurenberg, P.; Deurenberg-Yap, M. Differences in body-composition assumptions across ethnic groups: Practical consequences. Curr. Opin. Clin. Nutr. Metab. Care 2001, 4, 377–383. [Google Scholar] [CrossRef] [PubMed]
- Rønn, P.F.; Andersen, G.S.; Lauritzen, T.; Christensen, D.L.; Aadahl, M.; Carstensen, B.; E Jørgensen, M. Ethnic differences in anthropometric measures and abdominal fat distribution: A cross-sectional pooled study in Inuit, Africans and Europeans. J. Epidemiol. Community Health 2017, 71, 536–543. [Google Scholar] [CrossRef]
- Nazare, J.-A.; Smith, J.D.; Borel, A.-L.; Haffner, S.M.; Balkau, B.; Ross, R.; Massien, C.; Alméras, N.; Després, J.-P. Ethnic influences on the relations between abdominal subcutaneous and visceral adiposity, liver fat, and cardiometabolic risk profile: The International Study of Prediction of Intra-Abdominal Adiposity and Its Relationship With Cardiometabolic Risk/Intra-Abdominal Adiposity. Am. J. Clin. Nutr. 2012, 96, 714–726. [Google Scholar] [CrossRef] [PubMed]
- Deurenberg, P.; Deurenberg-Yap, M.; Guricci, S. Asians are different from Caucasians and from each other in their body mass index/body fat per cent relationship. Obes. Rev. 2002, 3, 141–146. [Google Scholar] [CrossRef] [PubMed]
- Yoon, K.-H.; Lee, J.-H.; Kim, J.-W.; Cho, J.H.; Choi, Y.H.; Ko, S.-H.; Zimmet, P.; Son, H.-Y. Epidemic obesity and type 2 diabetes in Asia. Lancet 2006, 368, 1681–1688. [Google Scholar] [CrossRef]
- Khor, G.L. Cardiovascular epidemiology in the Asia-Pacific region. Asia Pac. J. Clin. Nutr. 2008, 10, 76–80. [Google Scholar] [CrossRef]
- Rosano, G.M.C.; Vitale, C.; Marazzi, G.; Volterrani, M. Menopause and cardiovascular disease: The evidence. Climacteric 2007, 10, 19–24. [Google Scholar] [CrossRef] [PubMed]
- Pardhe, B.D.; Ghimire, S.; Shakya, J.; Pathak, S.; Shakya, S.; Bhetwal, A.; Khanal, P.R.; Parajuli, N.P. Elevated Cardiovascular Risks among Postmenopausal Women: A Community Based Case Control Study from Nepal. Biochem. Res. Int. 2017, 2017, 1–5. [Google Scholar] [CrossRef]
- Szmuilowicz, E.; Stuenkel, C.A.; Seely, E.W. Influence of menopause on diabetes and diabetes risk. Nat. Rev. Endocrinol. 2009, 5, 553–558. [Google Scholar] [CrossRef] [PubMed]
- Lovejoy, J.C.; Champagne, C.M.; de Jonge, L.; Xie, H.; Smith, S.R. Increased visceral fat and decreased energy expenditure during the menopausal transition. Int. J. Obes. 2008, 32, 949–958. [Google Scholar] [CrossRef]
- Ho, S.C.; Wu, S.; Chan, S.G.; Sham, A. Menopausal transition and changes of body composition: A prospective study in Chinese perimenopausal women. Int. J. Obes. 2010, 34, 1265–1274. [Google Scholar] [CrossRef] [PubMed]
- Park, Y.-W.; Allison, D.; Heymsfield, S.B.; Gallagher, D. Larger Amounts of Visceral Adipose Tissue in Asian Americans. Obes. Res. 2001, 9, 381–387. [Google Scholar] [CrossRef] [PubMed]
- Kadowaki, T.; Sekikawa, A.; Murata, K.; Maegawa, H.; Takamiya, T.; Okamura, T.; El-Saed, A.; Miyamatsu, N.; Edmundowicz, D.; Kita, Y.; et al. Japanese men have larger areas of visceral adipose tissue than Caucasian men in the same levels of waist circumference in a population-based study. Int. J. Obes. 2006, 30, 1163–1165. [Google Scholar] [CrossRef]
- A Lear, S.; Humphries, K.H.; Kohli, S.; Chockalingam, A.; Frohlich, J.J.; Birmingham, C. Visceral adipose tissue accumulation differs according to ethnic background: Results of the Multicultural Community Health Assessment Trial (M-CHAT). Am. J. Clin. Nutr. 2007, 86, 353–359. [Google Scholar] [CrossRef]
- Lim, U.; Ernst, T.; Buchthal, S.D.; Latch, M.; Albright, C.L.; Wilkens, L.R.; Kolonel, L.N.; Murphy, S.P.; Chang, L.; Novotny, R.; et al. Asian women have greater abdominal and visceral adiposity than Caucasian women with similar body mass index. Nutr. Diabetes 2011, 1, e6. [Google Scholar] [CrossRef]
- World Health Organization; Regional Office for the Western Pacific. The Asia-Pacific Perspective: Redefining Obesity and Its Treatment; Health Communications Australia: Sydney, Australia, 2000. [Google Scholar]
- Razak, F.; Anand, S.S.; Shannon, H.; Vuksan, V.; Davis, B.; Jacobs, R.; Teo, K.K.; McQueen, M.; Yusuf, S. Defining Obesity Cut Points in a Multiethnic Population. Circulation 2007, 115, 2111–2118. [Google Scholar] [CrossRef] [PubMed]
- Okorodudu, D.; Jumean, M.F.; Montori, V.; Romero-Corral, A.; Somers, V.K.; Erwin, P.J.; Lopez-Jimenez, F. Diagnostic performance of body mass index to identify obesity as defined by body adiposity: A systematic review and meta-analysis. Int. J. Obes. 2010, 34, 791–799. [Google Scholar] [CrossRef] [PubMed]
- Rao, G.; Powell-Wiley, T.M.; Ancheta, I.; Hairston, K.; Kirley, K.; Lear, S.A.; North, K.E.; Palaniappan, L.; Rosal, M.C. Identification of Obesity and Cardiovascular Risk in Ethnically and Racially Diverse Populations. Circulation 2015, 132, 457–472. [Google Scholar] [CrossRef]
- Alberti, K.G.M.M.; Zimmet, P.; Shaw, J. Metabolic syndrome—A new world-wide definition. A Consensus Statement from the International Diabetes Federation. Diabet. Med. 2006, 23, 469–480. [Google Scholar] [CrossRef]
- Albu, J.B.; Murphy, L.; Frager, D.H.; A Johnson, J.; Pi-Sunyer, F.X. Visceral Fat and Race-Dependent Health Risks in Obese Nondiabetic Premenopausal Women. Diabetes 1997, 46, 456–462. [Google Scholar] [CrossRef]
- Park, Y.-W.; Heymsfield, S.; Gallagher, D. Are dual-energy X-ray absorptiometry regional estimates associated with visceral adipose tissue mass? Int. J. Obes. 2002, 26, 978–983. [Google Scholar] [CrossRef] [PubMed]
- Irlbeck, T.; Massaro, J.; Bamberg, F.; O’Donnell, C.J.; Hoffmann, U.; Fox, C.S. Association between single-slice measurements of visceral and abdominal subcutaneous adipose tissue with volumetric measurements: The Framingham Heart Study. Int. J. Obes. 2010, 34, 781–787. [Google Scholar] [CrossRef]
- Shen, W.; Chen, J.; Gantz, M.; Velasquez, G.; Punyanitya, M.; Heymsfield, S.B. A Single mri Slice Does Not Accurately Predict Visceral and Subcutaneous Adipose Tissue Changes During Weight Loss. Obesity 2012, 20, 2458–2463. [Google Scholar] [CrossRef]
- Shen, J.; Baum, T.; Cordes, C.; Ott, B.; Skurk, T.; Kooijman, H.; Rummeny, E.J.; Hauner, H.; Menze, B.H.; Karampinos, D.C. Automatic segmentation of abdominal organs and adipose tissue compartments in water-fat MRI: Application to weight-loss in obesity. Eur. J. Radiol. 2016, 85, 1613–1621. [Google Scholar] [CrossRef]
- Cordes, C.; Msc, M.D.; Ott, B.; Shen, J.; Ruschke, S.; Settles, M.; Eichhorn, C.; Bauer, J.S.; Kooijman, H.; Rummeny, E.J.; et al. MR-detected changes in liver fat, abdominal fat, and vertebral bone marrow fat after a four-week calorie restriction in obese women. J. Magn. Reson. Imaging 2015, 42, 1272–1280. [Google Scholar] [CrossRef] [PubMed]
- Yushkevich, P.A.; Piven, J.; Hazlett, H.C.; Smith, R.G.; Ho, S.; Gee, J.C.; Gerig, G. User-guided 3 D active contour segmentation of anatomical structures: Significantly improved efficiency and reliability. NeuroImage 2006, 31, 1116–1128. [Google Scholar] [CrossRef] [PubMed]
- Ko, G.; Chan, J.; Cockram, C.; Woo, J. Prediction of hypertension, diabetes, dyslipidaemia or albuminuria using simple anthropometric indexes in Hong Kong Chinese. Int. J. Obes. 1999, 23, 1136–1142. [Google Scholar] [CrossRef]
- Palaniappan, L.P.; Wong, E.C.; Shin, J.J.; Fortmann, S.P.; Lauderdale, D.S. Asian Americans have greater prevalence of metabolic syndrome despite lower body mass index. Int. J. Obes. 2010, 35, 393–400. [Google Scholar] [CrossRef] [PubMed]
- Fujimoto, W.Y.; Bergstrom, R.W.; Boyko, E.; Chen, K.-W.; E Kahn, S.; Leonetti, D.L.; McNeely, M.J.; Newell, L.L.; Shofer, J.B.; Wahl, P.W. Type 2 diabetes and the metabolic syndrome in Japanese Americans. Diabetes Res. Clin. Pr. 2000, 50, S73–S76. [Google Scholar] [CrossRef]




| Caucasian Group | Asian Group | |
|---|---|---|
| TR | 4 msec | 6.55 msec |
| TE1/TE2 | TE1 = 1.32 msec/ TE2 = 2.6 msec | TE1 = 1.35 msec/ TE2 = 2.58 msec |
| Flip angle | 10° | 9° |
| Field of view (FOV) | 500 × 446 mm3 | 450 × 450 mm3 |
| Acquisition voxel | 1.5 × 2.0 × 5.0 mm3 | 1.4 × 1.4 × 2.0 mm3 |
| Scan time | 10 sec | 116 sec |
| Caucasian Group (n = 22) | Asian Group (n = 22) | p | |
|---|---|---|---|
| Normally distributed | Mean (SD, range) | Mean (SD, range) | |
| BMI (kg/m2) | 24.62 (0.61, 18.1–28.8) | 24.51 (0.6, 18.8–28.7) | NS |
| Height (m) | 1.66 (0.01, 1.56–1.80) | 1.56 (0.01, 1.45–1.67) | <0.01 |
| Analyzed region length (m) | 0.35 (0.01, 0.3–0.4) | 0.36 (0.005, 0.32–0.40) | NS |
| Analyzed region length/Height | 0.21 (0.003, 0.18–0.24) | 0.23 (0.003, 0.21–0.25) | <0.01 |
| SAT (L) | 6.85 (0.65, 2.08–12.72) | 7.13 (0.5, 3.96–11.76) | NS |
| TAT (L) | 8.85 (0.87, 2.33–15.65) | 9.49 (0.67, 4.94–15.51) | NS |
| Age (years) | 57.15 (54–68) | 58 (55–67) | NS |
| VAT (L) | 2.11 (0.21–4.39) | 2.13 (0.98–5.98) | NS |
| VAT/SAT ratio | 0.25 (0.06–0.59) | 0.32 (0.20–0.75) | 0.02 |
| VAT/TAT ratio | 0.2 (0.05–0.37) | 0.24 (0.16–0.43) | 0.02 |
| Caucasian Group | Asian Group | |||||||
|---|---|---|---|---|---|---|---|---|
| Age | BMI | Age | BMI | |||||
| rho | p | r | p | rho | p | r/rho | p | |
| VAT (l) | −0.12 | NS | 0.69 | <0.01 | −0.14 | NS | 0.67 | <0.01 |
| SAT (l) | −0.20 | NS | 0.72 | <0.01 | 0.03 | NS | 0.85 r | <0.01 |
| TAT (l) | −0.18 | NS | 0.75 | <0.01 | −0.02 | NS | 0.85 r | <0.01 |
| VAT/SAT | −0.29 | NS | 0.49 | 0.02 | −0.21 | NS | −0.25 | NS |
| VAT/TAT | −0.03 | NS | 0.53 | 0.01 | −0.23 | NS | −0.23 | NS |
Publisher’s Note: MDPI stays neutral with regard to jurisdictional claims in published maps and institutional affiliations. |
© 2021 by the authors. Licensee MDPI, Basel, Switzerland. This article is an open access article distributed under the terms and conditions of the Creative Commons Attribution (CC BY) license (https://creativecommons.org/licenses/by/4.0/).
Share and Cite
Kalimeri, M.; Totman, J.J.; Baum, T.; Diefenbach, M.N.; Hauner, H.; Makowski, M.R.; Subburaj, K.; Cameron-Smith, D.; Henry, C.J.; Karampinos, D.C.; et al. Postmenopausal Chinese-Singaporean Women Have a Higher Ratio of Visceral to Subcutaneous Adipose Tissue Volume than Caucasian Women of the Same Age and BMI. Diagnostics 2021, 11, 2127. https://doi.org/10.3390/diagnostics11112127
Kalimeri M, Totman JJ, Baum T, Diefenbach MN, Hauner H, Makowski MR, Subburaj K, Cameron-Smith D, Henry CJ, Karampinos DC, et al. Postmenopausal Chinese-Singaporean Women Have a Higher Ratio of Visceral to Subcutaneous Adipose Tissue Volume than Caucasian Women of the Same Age and BMI. Diagnostics. 2021; 11(11):2127. https://doi.org/10.3390/diagnostics11112127
Chicago/Turabian StyleKalimeri, Maria, John J. Totman, Thomas Baum, Maximilian N. Diefenbach, Hans Hauner, Marcus R. Makowski, Karupppasamy Subburaj, David Cameron-Smith, Christiani Jeyakumar Henry, Dimitrios C. Karampinos, and et al. 2021. "Postmenopausal Chinese-Singaporean Women Have a Higher Ratio of Visceral to Subcutaneous Adipose Tissue Volume than Caucasian Women of the Same Age and BMI" Diagnostics 11, no. 11: 2127. https://doi.org/10.3390/diagnostics11112127
APA StyleKalimeri, M., Totman, J. J., Baum, T., Diefenbach, M. N., Hauner, H., Makowski, M. R., Subburaj, K., Cameron-Smith, D., Henry, C. J., Karampinos, D. C., & Junker, D. (2021). Postmenopausal Chinese-Singaporean Women Have a Higher Ratio of Visceral to Subcutaneous Adipose Tissue Volume than Caucasian Women of the Same Age and BMI. Diagnostics, 11(11), 2127. https://doi.org/10.3390/diagnostics11112127

