Multimodal MRI Assessment of Thalamic Structural Changes in Earthquake Survivors
Abstract
1. Introduction
2. Materials and Methods
2.1. Participants
2.2. MR Data Acquisition
2.3. VBM Analysis
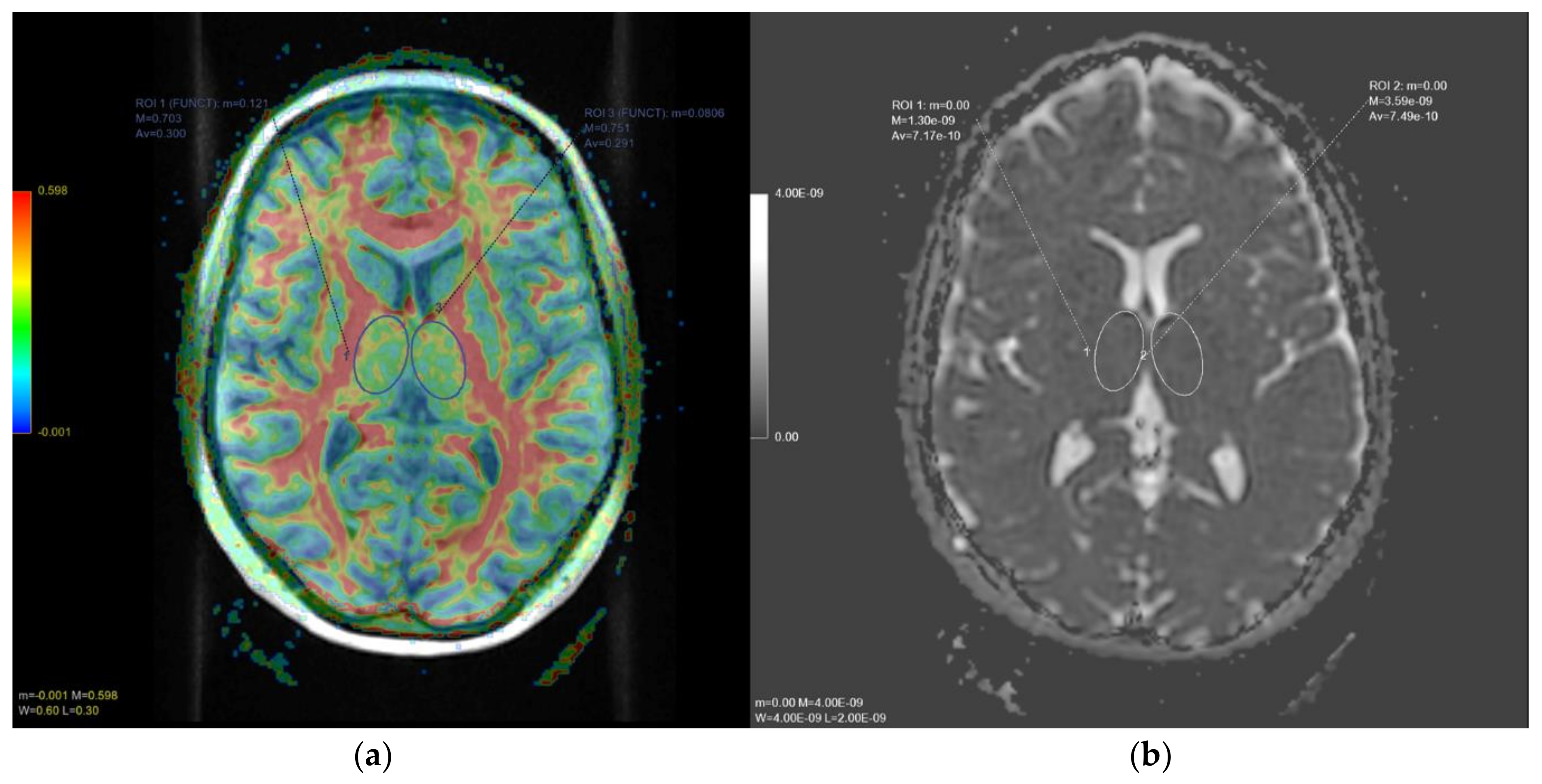
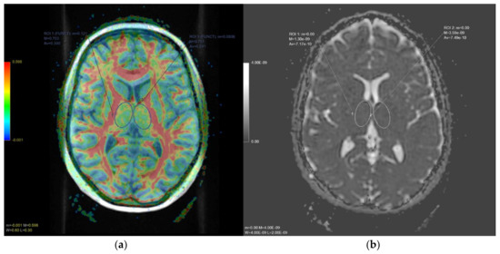
2.4. FA and ADC Analysis
2.5. Statistical Analysis
3. Results
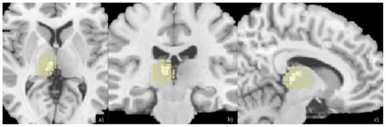
3.1. Volumetric Data
3.2. DTI and ADC Values
4. Discussion
5. Conclusions
Author Contributions
Funding
Institutional Review Board Statement
Informed Consent Statement
Data Availability Statement
Conflicts of Interest
Abbreviations
| PTSD | Post-traumatic stress disorder |
| DWI | Diffusion-weighted imaging |
| DTI | Diffusion tensor imaging |
| ADC | Apparent diffusion coefficient |
| FA | Fractional anisotropy |
| EPI | Echoplanar imaging |
| VBM | Voxel-based morphometry |
| GM | Grey matter |
| WM | White matter |
References
- Aggleton, J.P.; Mishkin, M. Projections of the amygdala to the thalamus in the cynomolgus monkey. J. Comp. Neurol. 1984, 222, 56–68. [Google Scholar] [CrossRef] [PubMed]
- LeDoux, J. The Emotional Brain, Fear, and the Amygdala. Cell. Mol. Neurobiol. 2003, 23, 727–738. [Google Scholar] [CrossRef] [PubMed]
- Herry, C.; Garcia, R. Prefrontal cortex long-term potentiation, but not long-term depression, is associated with the mainte-nance of extinction of learned fear in mice. J. Neurosci. 2002, 22, 577–583. [Google Scholar] [CrossRef] [PubMed]
- Paydar, A.; Lee, B.; Gangadharan, G.; Lee, S.; Hwang, E.; Shin, H.-S. Extrasynaptic GABAA receptors in mediodorsal thalamic nucleus modulate fear extinction learning. Mol. Brain 2014, 7, 39. [Google Scholar] [CrossRef]
- Oyoshi, T.; Nishijo, H.; Asakura, T.; Takamura, Y.; Ono, T. Emotional and behavioral correlates of mediodorsal thalamic neu-rons during associative learning in rats. J. Neurosci. 1996, 16, 5812–5829. [Google Scholar] [CrossRef]
- Baek, J.; Lee, S.; Cho, T.; Kim, S.-W.; Kim, M.; Yoon, Y.; Kim, K.K.; Byun, J.; Kim, S.J.; Jeong, J.; et al. Neural circuits underlying a psychotherapeutic regimen for fear disorders. Nat. Cell Biol. 2019, 566, 339–343. [Google Scholar] [CrossRef]
- Conson, M.; Zappullo, I.; Baiano, C.; Sagliano, L.; Finelli, C.; Raimo, G.; Cecere, R.; Vela, M.; Positano, M.; Pistoia, F. Signals of threat in persons exposed to natural disasters. In Artificial Intelligence and Neural Systems: Smart Innovation, Systems and Technologies; Esposito, A., Faundez-Zanuy, M., Morabito, F., Pasero, E., Eds.; Springer: Singapore, 2021; Volume 184, pp. 487–494. [Google Scholar]
- Furukawa, K.; Arai, H. Earthquake in Japan. Lancet 2011, 377, 1652. [Google Scholar] [CrossRef]
- Bell, C.J.; Colhoun, H.C.; Frampton, C.M.; Douglas, K.M.; McIntosh, V.V.W.; Carter, F.A.; Jordan, J.; Carter, J.D.; Smith, R.A.; Marie, L.M.A.; et al. Earthquake Brain: Altered Recognition and Misclassification of Facial Expressions Are Related to Trauma Exposure but Not Posttraumatic Stress Disorder. Front. Psychiatry 2017, 8. [Google Scholar] [CrossRef] [PubMed]
- Geng, F.; Liang, Y.; Shi, X.; Fan, F. A Prospective Study of Psychiatric Symptoms Among Adolescents After the Wenchuan Earthquake. J. Trauma. Stress 2018, 31, 499–508. [Google Scholar] [CrossRef] [PubMed]
- Pistoia, F.; Conson, M.; Carolei, A.; Dema, M.G.; Splendiani, A.; Curcio, G.; Sacco, S. Post-earthquake Distress and Development of Emotional Expertise in Young Adults. Front. Behav. Neurosci. 2018, 12, 91. [Google Scholar] [CrossRef] [PubMed]
- Zhang, Y.; Kong, F.; Han, L.; Hasan, A.N.U.; Chen, H. Attention bias in earthquake-exposed survivors: An event-related potential study. Int. J. Psychophysiol. 2014, 94, 358–364. [Google Scholar] [CrossRef] [PubMed]
- Pistoia, F.; Conson, M.; Quarantelli, M.; Panebianco, L.; Carolei, A.; Curcio, G.; Sacco, S.; Saporito, G.; Di Cesare, E.; Barile, A.; et al. Neural Correlates of Facial Expression Recognition in Earthquake Witnesses. Front. Neurosci. 2019, 13, 1038. [Google Scholar] [CrossRef] [PubMed]
- Duarte, D.G.; Neves, M.D.C.L.; Albuquerque, M.R.; De Souza-Duran, F.L.; Busatto, G.; Corrêa, H. Gray matter brain volumes in childhood-maltreated patients with bipolar disorder type I: A voxel-based morphometric study. J. Affect. Disord. 2016, 197, 74–80. [Google Scholar] [CrossRef] [PubMed]
- Li, L.; Wu, M.; Liao, Y.; Ouyang, L.; Du, M.; Lei, D.; Chen, L.; Yao, L.; Huang, X.; Gong, Q.-Y. Grey matter reduction associated with posttraumatic stress disorder and traumatic stress. Neurosci. Biobehav. Rev. 2014, 43, 163–172. [Google Scholar] [CrossRef] [PubMed]
- Liu, Y.; Li, Y.-J.; Luo, E.-P.; Lu, H.-B.; Yin, H. Cortical Thinning in Patients with Recent Onset Post-Traumatic Stress Disorder after a Single Prolonged Trauma Exposure. PLoS ONE 2012, 7, e39025. [Google Scholar] [CrossRef]
- Gunbey, H.P.; Has, A.C.; Aslan, K.; Saglam, D.; Avcı, U.; Sayıt, A.T.; Incesu, L. Microstructural white matter abnormalities in hypothyroidism evaluation with diffusion tensor imaging tract-based spatial statistical analysis. La Radiol. Medica 2020, 1–8. [Google Scholar] [CrossRef]
- Jiang, W.; Wu, Q.; Zhou, C.; Zhao, Z.; Tan, Y. Gray matter nuclei damage in acute carbon monoxide intoxication assessed in vivo using diffusion tensor MR imaging. La Radiol. Medica 2019, 125, 80–86. [Google Scholar] [CrossRef]
- Jiang, W.; Zhao, Z.; Wu, Q.; Wang, L.; Zhou, L.; Li, D.; He, L.; Tan, Y. Study on brain structure network of patients with delayed encephalopathy after carbon monoxide poisoning: Based on diffusion tensor imaging. La Radiol. Medica 2020, 1–9. [Google Scholar] [CrossRef]
- Liheng, M.; Guofan, X.; Balzano, R.F.; Yuying, L.; Weifeng, H.; Ning, Y.; Yayun, J.; Mouyuan, L.; Guglielmi, G. The value of DTI: Achieving high diagnostic performance for brain metastasis. La Radiol. Medica 2020, 1–8. [Google Scholar] [CrossRef]
- Romano, A.; Covelli, E.; Confaloni, V.; Rossi-Espagnet, M.C.; Butera, G.; Barbara, M.; Bozzao, A. Role of non-echo-planar diffusion-weighted images in the identification of recurrent cholesteatoma of the temporal bone. La Radiol. Medica 2019, 125, 75–79. [Google Scholar] [CrossRef]
- Turna, O.; Turna, I.F. Quantitative assessment of cervical spinal cord by diffusion tensor tractography in 3.0 T. La Radiol. Medica 2020. [Google Scholar] [CrossRef] [PubMed]
- Ashburner, J.; Friston, K.J. Voxel-based morphometry--the methods. Neuroimage 2000, 11 (6 Pt 1), 805–821. [Google Scholar] [CrossRef]
- Asami, T.; Yoshida, H.; Takaishi, M.; Nakamura, R.; Yoshimi, A.; Whitford, T.J.; Hirayasu, Y. Thalamic shape and volume abnormalities in female patients with panic disorder. PLoS ONE 2018, 13, e0208152. [Google Scholar] [CrossRef] [PubMed]
- Karl, A.; Schaefer, M.; Malta, L.S.; Dörfel, D.; Rohleder, N.; Werner, A. A meta-analysis of structural brain abnormalities in PTSD. Neurosci. Biobehav. Rev. 2006, 30, 1004–1031. [Google Scholar] [CrossRef] [PubMed]
- Ansell, E.B.; Rando, K.; Tuit, K.; Guarnaccia, J.; Sinha, R. Cumulative Adversity and Smaller Gray Matter Volume in Medial Prefrontal, Anterior Cingulate, and Insula Regions. Biol. Psychiatry 2012, 72, 57–64. [Google Scholar] [CrossRef]
- Li, Y.; Hou, X.; Wei, D.; Du, X.; Zhang, Q.; Liu, G.; Qiu, J. Long-Term Effects of Acute Stress on the Prefrontal-Limbic System in the Healthy Adult. PLoS ONE 2017, 12, e0168315. [Google Scholar] [CrossRef]
- Sekiguchi, A.; Sugiura, M.; Taki, Y.; Kotozaki, Y.; Nouchi, R.; Takeuchi, H.; Araki, T.; Hanawa, S.; Nakagawa, S.; Miyauchi, C.M.; et al. White Matter Microstructural Changes as Vulnerability Factors and Acquired Signs of Post-Earthquake Distress. PLoS ONE 2014, 9, e83967. [Google Scholar] [CrossRef]
- Filipovic, B.R.; Djurovic, B.; Marinković, S.; Stijak, L.; Aksic, M.; Nikolic, V.; Starcevic, A.; Radonjić, V. Volume Changes of Corpus Striatum, Thalamus, Hippocampus and Lateral Ventricles in Posttraumatic Stress Disorder (PTSD) Patients Suffering from Headaches and without Therapy. Central Eur. Neurosurg. 2010, 72, 133–137. [Google Scholar] [CrossRef]
- Sussman, D.; Pang, E.W.; Jetly, R.; Dunkley, B.T.; Taylor, M.J. Neuroanatomical features in soldiers with post-traumatic stress disorder. BMC Neurosci. 2016, 17, 13. [Google Scholar] [CrossRef]
- Yoshii, T.; Oishi, N.; Ikoma, K.; Nishimura, I.; Sakai, Y.; Matsuda, K.; Yamada, S.; Tanaka, M.; Kawata, M.; Narumoto, J.; et al. Brain atrophy in the visual cortex and thalamus induced by severe stress in animal model. Sci. Rep. 2017, 7, 12731. [Google Scholar] [CrossRef]
- Liu, D.; Diorio, J.; Tannenbaum, B.; Caldji, C.; Francis, D.; Freedman, A.; Sharma, S.; Pearson, D.; Plotsky, P.M.; Meaney, M.J. Maternal Care, Hippocampal Glucocorticoid Receptors, and Hypothalamic-Pituitary-Adrenal Responses to Stress. Science 1997, 277, 1659–1662. [Google Scholar] [CrossRef] [PubMed]
- Gaudino, S.; Benenati, M.; Martucci, M.; Botto, A.; Infante, A.; Marrazzo, A.; Ramaglia, A.; Marziali, G.; Guadalupi, P.; Colosimo, C. Investigating dynamic susceptibility contrast-enhanced perfusion-weighted magnetic resonance imaging in posterior fossa tumors: Differences and similarities with supratentorial tumors. La Radiol. Medica 2020, 125, 416–422. [Google Scholar] [CrossRef] [PubMed]
- Raveendranath, V.; Nagarajan, K.; Umamageswari, A.; Srinidhi, S.; Kavitha, T. Three-dimensional magnetic resonance-based morphometry of pituitary stalk. La Radiol. Medica 2018, 124, 206–210. [Google Scholar] [CrossRef] [PubMed]
- Romano, N.; Federici, M.; Castaldi, A. Imaging of extraventricular neurocytoma: A systematic literature review. La Radiol. Medica 2020, 125, 961–970. [Google Scholar] [CrossRef]
- Varrassi, M.; Corridore, A.; Tommasino, E.; Saltelli, G.; Bruno, F.; Di Sibio, A.; Splendiani, A.; Di Cesare, E.; Masciocchi, C. MR imaging of cerebral involvement of Rosai-Dorfman disease: A single-centre experience with review of the literature. La Radiol. Medica 2020, 1–10. [Google Scholar] [CrossRef]
- Li, C.; Gan, Y.-L.; Chen, H.-J.; Chen, Y.; Deng, Y.-E.; Zhan, W.-G.; Tan, Q.-J.; Xie, C.-J.; Sharma, H.S.; Zhang, Z. Advanced multimodal imaging in differentiating glioma recurrence from post-radiotherapy changes. Int. Rev. Neurobiol. 2020, 151, 281–297. [Google Scholar] [CrossRef]
- Shrot, S.; Salhov, M.; Dvorski, N.; Konen, E.; Averbuch, A.; Hoffmann, C. Application of MR morphologic, diffusion tensor, and perfusion imaging in the classification of brain tumors using machine learning scheme. Neuroradiology 2019, 61, 757–765. [Google Scholar] [CrossRef]
- Tong, E.; Mccullagh, K.L.; Iv, M. Advanced Imaging of Brain Metastases: From Augmenting Visualization and Improving Diagnosis to Evaluating Treatment Response. Front. Neurol. 2020, 11. [Google Scholar] [CrossRef]
- Meoded, A.; Orman, G.; Huisman, T.A.; Singleton, E.B. Diffusion Weighted and Diffusion Tensor MRI in Pediatric Neuroimaging Including Connectomics: Principles and Applications. Semin. Pediatr. Neurol. 2020, 33, 100797. [Google Scholar] [CrossRef]
- Norris, C.D.; Quick, S.E.; Parker, J.G.; Koontz, N. Diffusion MR Imaging in the Head and Neck: Principles and Applications. Neuroimaging Clin. N. Am. 2020, 30, 261–282. [Google Scholar] [CrossRef]
- Yi, S.Y.; Stowe, N.A.; Barnett, B.R.; Dodd, K.; Yu, J.-P.J. Microglial Density Alters Measures of Axonal Integrity and Structural Connectivity. Biol. Psychiatry Cogn. Neurosci. Neuroimaging 2020, 5, 1061–1068. [Google Scholar] [CrossRef] [PubMed]
- Harnett, N.G.; Ference, E.W.; Knight, A.J.; Knight, D.C. White matter microstructure varies with post-traumatic stress severity following medical trauma. Brain Imaging Behav. 2020, 14, 1012–1024. [Google Scholar] [CrossRef] [PubMed]
- Sheikh, H.I.; Joanisse, M.F.; Mackrell, S.M.; Kryski, K.R.; Smith, H.J.; Singh, S.M.; Hayden, E.P. Links between white matter microstructure and cortisol reactivity to stress in early childhood: Evidence for moderation by parenting. Neuroimage Clin. 2014, 6, 77–85. [Google Scholar] [CrossRef] [PubMed]
- Shucard, J.L.; Cox, J.; Shucard, D.W.; Fetter, H.; Chung, C.; Ramasamy, D.; Violanti, J. Symptoms of posttraumatic stress disorder and exposure to traumatic stressors are related to brain structural volumes and behavioral measures of affective stimulus processing in police officers. Psychiatry Res. Neuroimaging 2012, 204, 25–31. [Google Scholar] [CrossRef] [PubMed]
- Koch, S.B.J.; Van Zuiden, M.; Nawijn, L.; Frijling, J.L.; Veltman, D.J.; Olff, M. Effects of intranasal oxytocin on distraction as emotion regulation strategy in patients with post-traumatic stress disorder. Eur. Neuropsychopharmacol. 2019, 29, 266–277. [Google Scholar] [CrossRef]



| Study > Control Group | x | y | z | Voxel Cluster | p-Values |
|---|---|---|---|---|---|
| Medio-dorsal Nucleus of the L-Thalamus | −10.5 | −21 | 6 | p < 0.001 | |
| Left Putamen Left Insula | −15 –42 | 18 15 | −6 1.5 | 694 29 | p < 0.001 p < 0.04 |
| ADC Dominant Side | ADC Non-Dominant Side | Indexed ADC (Dominant/Non-Dominant Hemisphere) | FA Values Dominant Side | FA Values Non-Dominant Side | Indexed FA (Dominant/Non-Dominant Hemisphere) | |
|---|---|---|---|---|---|---|
| Control Group | 7.33 × 10−6 ± 0.40 | 7.90 × 10−6 ± 0.55 | 0.91 ± 0.10 | 0.36 ± 0.07 | 0.32 ± 0.06 | 1.25 ± 0.14 |
| Study Group | 7.55 × 10−6 ± 0.66 | 7.19 × 10−6 ± 0.51 | 1.04 ± 0.12 | 0.31 ± 0.04 | 0.32 ± 0.04 | 0.98 ± 0.08 |
| p-value | p = 0.11 | p = 0.40 | p = 0.04 | p = 0.10 | p = 0.8 | p = 0.001 |
Publisher’s Note: MDPI stays neutral with regard to jurisdictional claims in published maps and institutional affiliations. |
© 2021 by the authors. Licensee MDPI, Basel, Switzerland. This article is an open access article distributed under the terms and conditions of the Creative Commons Attribution (CC BY) license (http://creativecommons.org/licenses/by/4.0/).
Share and Cite
Bruno, F.; Splendiani, A.; Tommasino, E.; Conson, M.; Quarantelli, M.; Saporito, G.; Carolei, A.; Sacco, S.; Di Cesare, E.; Barile, A.; et al. Multimodal MRI Assessment of Thalamic Structural Changes in Earthquake Survivors. Diagnostics 2021, 11, 70. https://doi.org/10.3390/diagnostics11010070
Bruno F, Splendiani A, Tommasino E, Conson M, Quarantelli M, Saporito G, Carolei A, Sacco S, Di Cesare E, Barile A, et al. Multimodal MRI Assessment of Thalamic Structural Changes in Earthquake Survivors. Diagnostics. 2021; 11(1):70. https://doi.org/10.3390/diagnostics11010070
Chicago/Turabian StyleBruno, Federico, Alessandra Splendiani, Emanuele Tommasino, Massimiliano Conson, Mario Quarantelli, Gennaro Saporito, Antonio Carolei, Simona Sacco, Ernesto Di Cesare, Antonio Barile, and et al. 2021. "Multimodal MRI Assessment of Thalamic Structural Changes in Earthquake Survivors" Diagnostics 11, no. 1: 70. https://doi.org/10.3390/diagnostics11010070
APA StyleBruno, F., Splendiani, A., Tommasino, E., Conson, M., Quarantelli, M., Saporito, G., Carolei, A., Sacco, S., Di Cesare, E., Barile, A., Masciocchi, C., & Pistoia, F. (2021). Multimodal MRI Assessment of Thalamic Structural Changes in Earthquake Survivors. Diagnostics, 11(1), 70. https://doi.org/10.3390/diagnostics11010070

