Clinicopathological Characteristics of Pleomorphic High-Grade Squamous Intraepithelial Lesion of the Uterine Cervix: A Single-Institutional Series of 31 Cases
Abstract
1. Introduction
2. Materials and Methods
2.1. Case Selection
2.2. Pathological Examination
2.3. Immunohistochemical Staining
3. Results
3.1. Clinical Characteristics
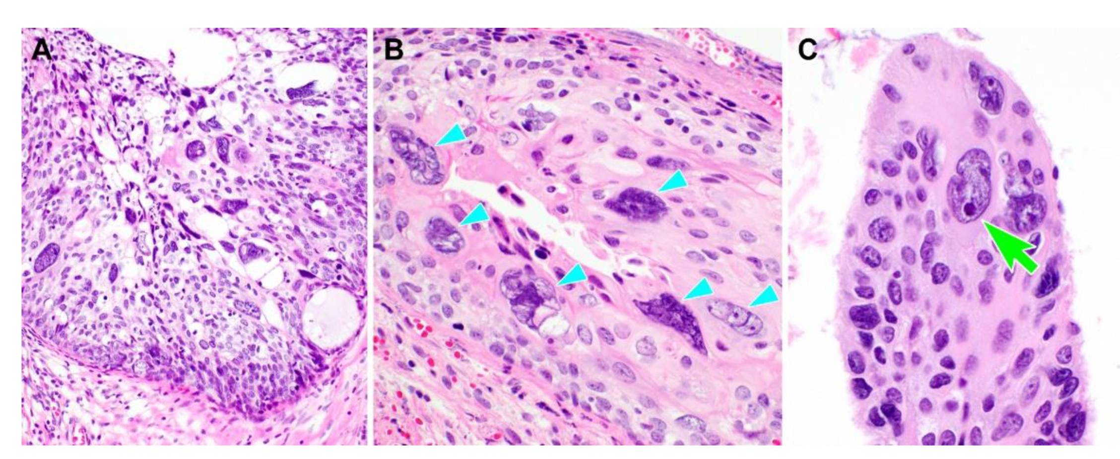
3.2. Pathological Characteristics
4. Discussion
5. Conclusions
Author Contributions
Funding
Conflicts of Interest
Abbreviations
| LSIL | Low-grade squamous intraepithelial lesion |
| HSIL | High-grade squamous intraepithelial lesion |
| PHSIL | Pleomorphic high-grade squamous intraepithelial lesion |
| HPV | Human papillomavirus |
| SCC | Squamous cell carcinoma |
| ASC-H | Atypical squamous cells, cannot exclude high-grade squamous intraepithelial lesion |
| ASC-US | Atypical squamous cells of undetermined significance |
| NILM | Negative for intraepithelial lesion or malignancy |
| CIN | Cervical intraepithelial neoplasia |
| HR | High-risk |
| NA | Not available |
| BCD | Bizarre cell dysplasia |
References
- Arbyn, M.; Weiderpass, E.; Bruni, L.; de Sanjosé, S.; Saraiya, M.; Ferlay, J.; Bray, F. Estimates of incidence and mortality of cervical cancer in 2018: A worldwide analysis. Lancet Glob. Health 2020, 8, e191–e203. [Google Scholar] [CrossRef]
- Darragh, T.M.; Colgan, T.J.; Thomas Cox, J.; Heller, D.S.; Henry, M.R.; Luff, R.D.; McCalmont, T.; Nayar, R.; Palefsky, J.M.; Stoler, M.H.; et al. The Lower Anogenital Squamous Terminology Standardization project for HPV-associated lesions: Background and consensus recommendations from the College of American Pathologists and the American Society for Colposcopy and Cervical Pathology. Int. J. Gynecol. Pathol. 2013, 32, 76–115. [Google Scholar] [CrossRef] [PubMed]
- Kurman, R.J.; Carcangiu, M.L.; Herrington, S.; Young, R.H. WHO Classification of Tumours of Female Reproductive Organs; IARC: Lyon, France, 2014. [Google Scholar]
- Kumar, V.; Abbas, A.K.; Aster, J.C. Robbins and Cotran Pathologic Basis of Disease; Elsevier: Philadelphia, PA, USA, 2018. [Google Scholar]
- Stewart, C.J.R. High-grade squamous intraepithelial lesion (HSIL) of the cervix with bizarre cytological appearances (‘pleomorphic HSIL’): A review of 19 cases. Pathology 2017, 49, 465–470. [Google Scholar] [CrossRef] [PubMed]
- Nayar, R.; Wilbur, D.C. The Bethesda System For. Reporting Cervical Cytology: Definitions, Criteria, and Explanatory Notes; Springer: Cham, Switzerland, 2015. [Google Scholar]
- Park, S.; Cho, E.Y.; Oh, Y.L.; Park, Y.H.; Kim, H.S. Primary peritoneal high-grade serous carcinoma misinterpreted as metastatic breast carcinoma: A rare encounter in peritoneal fluid cytology. Anticancer Res. 2020, 40, 2933–2939. [Google Scholar] [CrossRef] [PubMed]
- Koh, H.H.; Lee, M.J.; Park, N.J.; Kim, H.S.; Oh, Y.L. Impact of implementing The Paris System for Reporting Urinary Cytology: A single-institutional experience with emphasis on diagnostic yield of high-grade urothelial carcinoma and low-grade urothelial neoplasm. Anticancer Res. 2020, 40, 3477–3484. [Google Scholar] [CrossRef] [PubMed]
- Kim, H.S.; Do, S.I.; Kim, D.H.; Apple, S. Clinicopathological and prognostic significance of programmed death ligand 1 expression in Korean patients with triple-negative breast carcinoma. Anticancer Res. 2020, 40, 1487–1494. [Google Scholar] [CrossRef] [PubMed]
- Woo, H.Y.; Do, S.I.; Kim, S.H.; Song, S.Y.; Kim, H.S. Promoter methylation down-regulates B-cell translocation gene 1 expression in breast carcinoma. Anticancer Res. 2019, 39, 5361–5367. [Google Scholar] [CrossRef]
- Na, K.; Kim, H.S. Clinicopathologic and molecular characteristics of mesonephric adenocarcinoma arising from the uterine body. Am. J. Surg. Pathol. 2019, 43, 12–25. [Google Scholar] [CrossRef]
- Kim, J.Y.; Kim, S.H.; Kim, H.S. Promoter methylation down-regulates osteoprotegerin expression in ovarian carcinoma. Anticancer Res. 2019, 39, 2361–2367. [Google Scholar] [CrossRef]
- Kim, H.G.; Park, M.S.; Sung, J.Y.; Kim, Y.W.; Kim, H.S.; Na, K. Tumor-specific expression of insulin-like growth factor II mRNA-binding protein 3 independently predicts worse survival of patients with adenocarcinoma of the ampulla of Vater. Anticancer Res. 2019, 39, 4947–4955. [Google Scholar] [CrossRef]
- Chung, T.; Do, S.I.; Na, K.; Kim, G.; Jeong, Y.I.; Kim, Y.W.; Kim, H.S. Stromal p16 overexpression in gastric-type mucinous carcinoma of the uterine cervix. Anticancer Res. 2018, 38, 3551–3558. [Google Scholar] [CrossRef] [PubMed]
- Na, K.; Sung, J.Y.; Kim, H.S. Stromal p16 overexpression in adult granulosa cell tumors of the ovary. Anticancer Res. 2017, 37, 2437–2444. [Google Scholar] [CrossRef] [PubMed][Green Version]
- Jung, Y.Y.; Woo, H.Y.; Kim, H.S. Targeted genomic sequencing reveals novel TP53 in-frame deletion mutations leading to p53 overexpression in high-grade serous tubo-ovarian carcinoma. Anticancer Res. 2019, 39, 2883–2889. [Google Scholar] [CrossRef]
- Sung, J.Y.; Jung, Y.Y.; Kim, H.S. Clinicopathological characteristics and KRAS mutation status of endometrial mucinous metaplasia and carcinoma. Anticancer Res. 2018, 38, 2779–2786. [Google Scholar] [CrossRef] [PubMed]
- Park, C.K.; Kim, H.S. Clinicopathological characteristics of ovarian metastasis from colorectal and pancreatobiliary carcinomas mimicking primary ovarian mucinous tumor. Anticancer Res. 2018, 38, 5465–5473. [Google Scholar] [CrossRef]
- Na, K.; Sung, J.Y.; Kim, H.S. Clinicopathological characteristics of high-grade squamous intraepithelial lesions involving condyloma acuminatum. Anticancer Res. 2018, 38, 1767–1774. [Google Scholar] [CrossRef]
- Na, K.; Lee, J.Y.; Sung, J.Y.; Kim, G.M.; Koo, J.S.; Kim, H.S. Comparative clinicopathological and cytomorphological analyses of peritoneal carcinomatosis associated with metastatic breast carcinoma and primary peritoneal/ovarian carcinoma in patients with a history of breast carcinoma. Virchows Arch. 2018, 473, 165–175. [Google Scholar] [CrossRef]
- Na, K.; Sung, J.Y.; Kim, H.S. TP53 mutation status of tubo-ovarian and peritoneal high-grade serous carcinoma with a wild-type p53 immunostaining pattern. Anticancer Res. 2017, 37, 6697–6703. [Google Scholar] [CrossRef][Green Version]
- Choi, S.; Joo, J.W.; Do, S.I.; Kim, H.S. Endometrium-limited metastasis of extragenital malignancies: A challenge in the diagnosis of endometrial curettage specimens. Diagnostics (Basel) 2020, 10, 150. [Google Scholar] [CrossRef]
- Bhatla, N.; Aoki, D.; Sharma, D.N.; Sankaranarayanan, R. Cancer of the cervix uteri. Int. J. Gynaecol. Obs. 2018, 143, 22–36. [Google Scholar] [CrossRef]
- Ondic, O.; Alaghehbandan, R. Response to: High-grade squamous intraepithelial lesion (HSIL) of the cervix with bizarre cytological appearances (‘pleomorphic HSIL’). Pathology 2018, 50, 369–370. [Google Scholar] [CrossRef]
- Ondic, O.; Ferko, R.; Kaspirkova, J.; Svajdler, M., Jr.; Rychly, B.; Talarcik, P.; Bouda, J.; Michal, M. Bizarre cell dysplasia of the cervix. J. Obs. Gynaecol. Res. 2017, 43, 345–351. [Google Scholar] [CrossRef]






| Case No. | Age (Years) | Cytological Diagnosis | HPV Status (Type) | Histological Diagnosis | Greatest Dimension (mm) | Endocervical Glandular Involvement | Number of Typical Mitosis | Number of Atypical Mitosis | ||
|---|---|---|---|---|---|---|---|---|---|---|
| Biopsy | Conization | Hysterectomy | ||||||||
| 1 | 55 | HSIL | HR (51) | atypical cells | PHSIL (CIN 3) | NA | 2 | Present | 3 | 1 |
| 2 | 52 | ASC-H | HR (35, 52, 56) | LSIL (CIN 1) | PHSIL (CIN 3) | NA | 6 | Absent | 7 | 0 |
| 3 | 41 | NILM | NA | PHSIL (CIN 2) | PHSIL (CIN 2) | NA | 6 | Absent | 3 | 0 |
| 4 | 44 | HSIL | HR (18, 35) | PHSIL (CIN 2) | PHSIL (CIN 3) | NA | 4 | Present | 8 | 1 |
| 5 | 38 | HSIL | HR (51) | PHSIL (CIN 2) | PHSIL (CIN 3) | NA | 5 | Present | 4 | 2 |
| 6 | 48 | LSIL | NA | PHSIL (CIN 2) | No residual PHSIL | NA | 3 | Present | 5 | 1 |
| 7 | 37 | ASC-US | HR (58) | PHSIL (CIN 2; 1 mm) | PHSIL (CIN 3) | NA | 2 | Present | 5 | 1 |
| 8 | 69 | HSIL | NA | PHSIL (CIN 3) | SCC; PHSIL (CIN 3) | SCC; PHSIL (CIN 3) | 1 (SCC); 11 (HSIL) | Present | 17 | 3 |
| 9 | 40 | HSIL | HR (16, 58) | PHSIL (CIN 3) | PHSIL (CIN 3) | NA | 8 | Absent | 4 | 0 |
| 10 | 42 | NILM | NA | PHSIL (CIN 3) | PHSIL (CIN 3) | NA | 10 | Present | 9 | 1 |
| 11 | 27 | ASC-H | NA | PHSIL (CIN 3) | PHSIL (CIN 3) | NA | 4 | Present | 14 | 6 |
| 12 | 43 | HSIL | HR (33) | PHSIL (CIN 3) | PHSIL (CIN 3) | NA | 18 | Present | 24 | 7 |
| 13 | 25 | NILM | NA | PHSIL (CIN 3) | PHSIL (CIN 3) | NA | 4 | Absent | 8 | 0 |
| 14 | 72 | NILM | NA | PHSIL (CIN 3) | PHSIL (CIN 3) | NA | 4 | Present | 4 | 1 |
| 15 | 49 | NILM | HR (31) | PHSIL (CIN 3) | PHSIL (CIN 3) | NA | 13 | Present | 14 | 3 |
| 16 | 44 | LSIL | HR (51) | PHSIL (CIN 3) | PHSIL (CIN 3) | NA | 4 | Present | 1 | 0 |
| 17 | 44 | HSIL | Not detected | PHSIL (CIN 3) | PHSIL (CIN 3) | NA | 2 | Present | 4 | 1 |
| 18 | 49 | HSIL | HR (18) | PHSIL (CIN 3) | NA | PHSIL (CIN 3) | 2 | Present | 8 | 1 |
| 19 | 55 | HSIL | Not detected | PHSIL (CIN 3) | NA | PHSIL (CIN 3) | 6 | Present | 8 | 2 |
| 20 | 33 | ASC-H | HR (35, 53) | PHSIL (CIN 3) | NA | NA | NA | Present | 12 | 3 |
| 21 | 41 | HSIL | HR (16) | PHSIL (CIN 3) | NA | NA | NA | Present | 9 | 2 |
| 22 | 36 | SCC | HR (51) | PHSIL (CIN 3) | NA | NA | NA | Present | 4 | 1 |
| 23 | 42 | LSIL | HR (56) | PHSIL (CIN 3) | NA | NA | NA | Present | 9 | 3 |
| 24 | 60 | ASC-H | HR (69) | PHSIL (CIN 3; < 1 mm) | PHSIL (CIN 3) | NA | 1 | Absent | 3 | 0 |
| 25 | 80 | ASC-H | HR (53) | At least PHSIL (CIN 3) | PHSIL (CIN 3) | PHSIL (CIN 3) | 6 | Present | 1 | 0 |
| 26 | 80 | HSIL | NA | At least PHSIL (CIN 3) | PHSIL (CIN 3) | PHSIL (CIN 3) | 6 | Absent | 2 | 0 |
| 27 | 34 | ASC-H | HR (16, 33) | At least PHSIL (CIN 3) | PHSIL (CIN 3) | NA | 5 | Present | 22 | 8 |
| 28 | 62 | ASC-H | HR (16) | At least PHSIL (CIN 3) | PHSIL (CIN 3) | NA | 2 | Present | 5 | 2 |
| 29 | 74 | HSIL | HR (16, 56) | At least PHSIL (CIN 3) | No residual PHSIL | NA | 5 | Present | 8 | 1 |
| 30 | 33 | HSIL | HR (51) | At least PHSIL (CIN 3) | No residual PHSIL | NA | 5 | Present | 9 | 3 |
| 31 | 77 | SCC | HR (52) | At least PHSIL (CIN 3) | NA | No residual PHSIL | 5 | Absent | 2 | 0 |
© 2020 by the authors. Licensee MDPI, Basel, Switzerland. This article is an open access article distributed under the terms and conditions of the Creative Commons Attribution (CC BY) license (http://creativecommons.org/licenses/by/4.0/).
Share and Cite
Kim, H.; Choi, S.; Do, S.-I.; Lee, S.H.; Yoon, N.; Kim, H.-S. Clinicopathological Characteristics of Pleomorphic High-Grade Squamous Intraepithelial Lesion of the Uterine Cervix: A Single-Institutional Series of 31 Cases. Diagnostics 2020, 10, 595. https://doi.org/10.3390/diagnostics10080595
Kim H, Choi S, Do S-I, Lee SH, Yoon N, Kim H-S. Clinicopathological Characteristics of Pleomorphic High-Grade Squamous Intraepithelial Lesion of the Uterine Cervix: A Single-Institutional Series of 31 Cases. Diagnostics. 2020; 10(8):595. https://doi.org/10.3390/diagnostics10080595
Chicago/Turabian StyleKim, Hyunjin, Sangjoon Choi, Sung-Im Do, Sang Hwa Lee, Nara Yoon, and Hyun-Soo Kim. 2020. "Clinicopathological Characteristics of Pleomorphic High-Grade Squamous Intraepithelial Lesion of the Uterine Cervix: A Single-Institutional Series of 31 Cases" Diagnostics 10, no. 8: 595. https://doi.org/10.3390/diagnostics10080595
APA StyleKim, H., Choi, S., Do, S.-I., Lee, S. H., Yoon, N., & Kim, H.-S. (2020). Clinicopathological Characteristics of Pleomorphic High-Grade Squamous Intraepithelial Lesion of the Uterine Cervix: A Single-Institutional Series of 31 Cases. Diagnostics, 10(8), 595. https://doi.org/10.3390/diagnostics10080595

