Central Serous Chorioretinopathy by Autofluorescence, Enface and SLO–Retromode Imaging
Abstract
1. Introduction
2. Materials and Methods
2.1. Study Design and Population
2.2. Variables and Procedures
2.3. Statistical Analysis
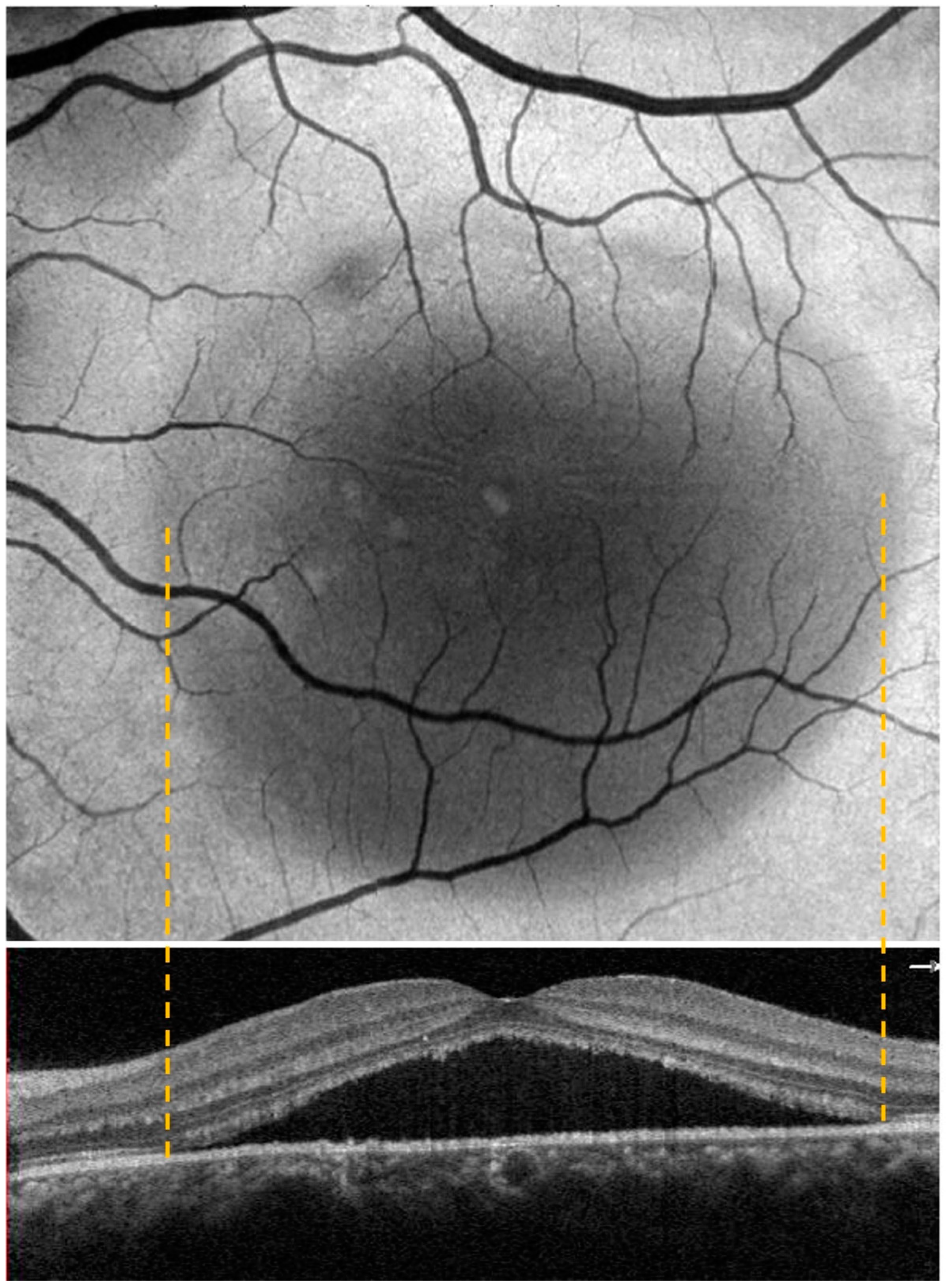
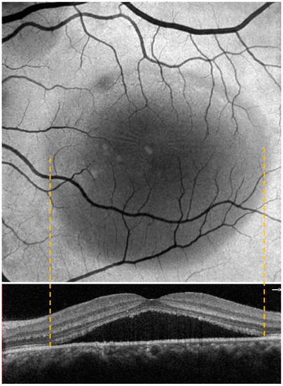
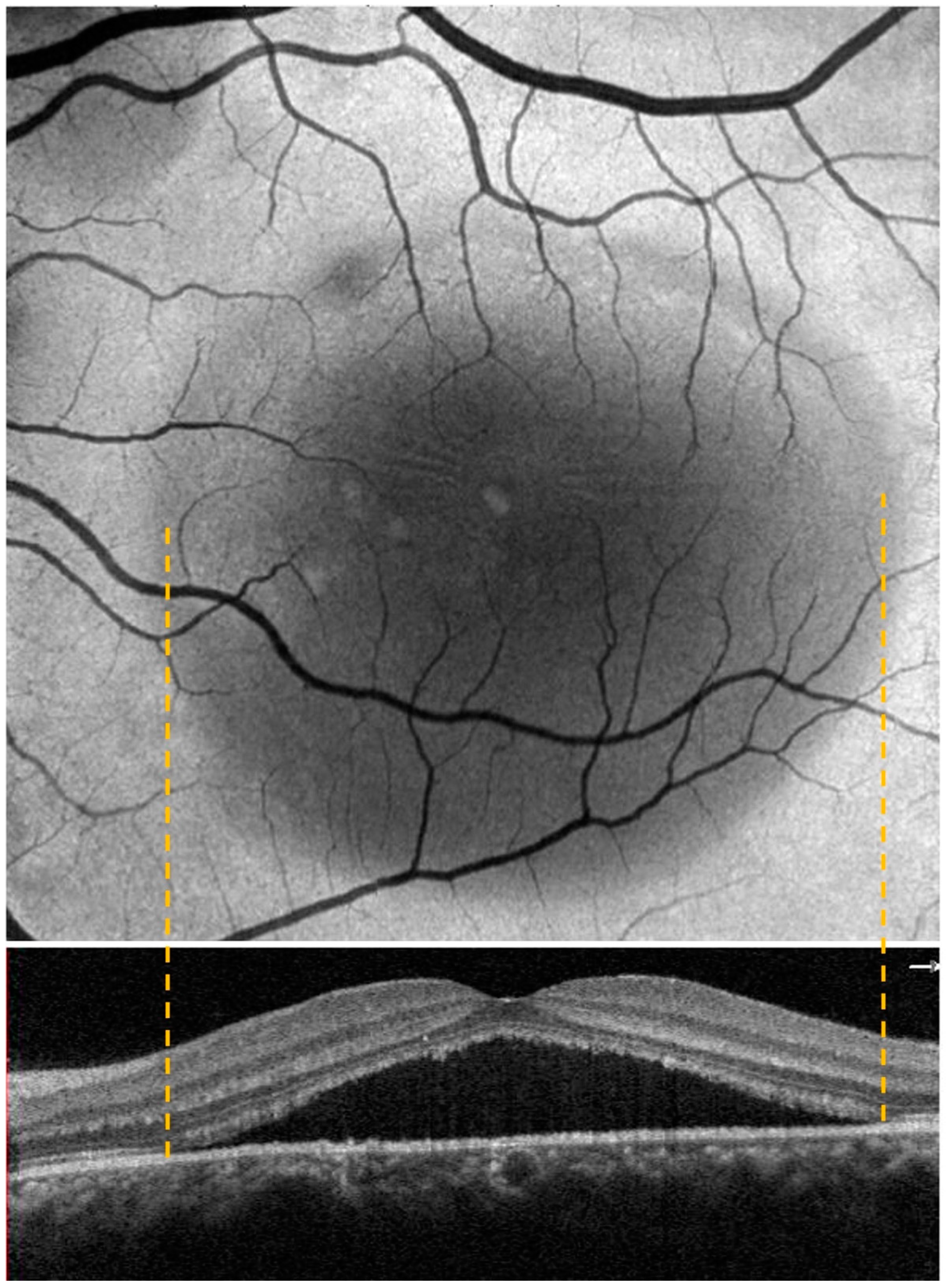
3. Results
4. Discussion
5. Conclusions
Supplementary Materials
Author Contributions
Funding
Institutional Review Board Statement
Informed Consent Statement
Data Availability Statement
Conflicts of Interest
References
- Lehmann, M.; Wolff, B.; Vasseur, V.; Martinet, V.; Manasseh, N.; Sahel, J.A.; Mauget-Faÿsse, M. Retinal and choroidal changes observed with “En face” enhanced-depth imaging OCT in central serous chorioretinopathy. Br. J. Ophthalmol. 2013, 97, 1181–1186. [Google Scholar] [CrossRef]
- Daruich, A.; Matet, A.; Dirani, A.; Bousquet, E.; Zhao, M.; Farman, N.; Jaisser, F.; Behar-Cohen, F. Central serous chorioretinopathy: Recent findings and new physiopathology hypothesis. Prog. Retin. Eye Res. 2015, 48, 82–118. [Google Scholar] [CrossRef]
- von Graefe, A. Kurzere abhandlungen, notizen und casaistische mitheilugnen vermischten inhalts: VI. Ueber zentrale recidivirende retinitis. Graefe’s Arch. Clin. Ophthalmol. 1866, 12, 211–215. [Google Scholar]
- Warrow, D.J.; Hoang, Q.V.; Freund, K.B. Pachychoroid pigment epitheliopathy. Retina 2013, 33, 1659–1672. [Google Scholar] [CrossRef]
- Matsumoto, H.; Kishi, S.; Mukai, R.; Akiyama, H. Remodeling of macular vortex veins in pachychoroid neovasculopathy. Sci. Rep. 2019, 9, 14689. [Google Scholar] [CrossRef] [PubMed]
- Savastano, M.C.; Rispoli, M.; Savastano, A.; Lumbroso, B. En Face Optical Coherence Tomography for Visualization of the Choroid. Ophthalmic Surg. Lasers Imaging Retin. 2015, 46, 561–565. [Google Scholar] [CrossRef]
- Savastano, M.C.; Dansingani, K.K.; Rispoli, M.; Virgili, G.; Savastano, A.; Freund, K.B.; Lumbroso, B. Classification of haller vessel arrangements in acute and chronic central serous chorioretinopathy imaged with en face optical coherence tomography. Retina 2018, 38, 1211–1215. [Google Scholar] [CrossRef]
- Wang, M.; Munch, I.C.; Hasler, P.W.; Prünte, C.; Larsen, M. Central serous chorioretinopathy. Acta Ophthalmol. 2008, 86, 126–145. [Google Scholar] [CrossRef] [PubMed]
- Piccolino, F.C.; De La Longrais, R.R.; Manea, M.; Cicinelli, S.; Ravera, G. Risk factors for posterior cystoid retinal degeneration in central serous chorioretinopathy. Retina 2008, 28, 1146–1150. [Google Scholar] [CrossRef]
- van Rijssen, T.J.; van Dijk, E.H.C.; Tsonaka, R.; Feenstra, H.M.A.; Dijkman, G.; Peters, P.J.H.; Diederen, R.M.; Hoyng, C.B.; Schlingemann, R.O.; Boon, C.J. Half-Dose Photodynamic Therapy Versus Eplerenone in Chronic Central Serous Chorioretinopathy (SPECTRA): A Randomized Controlled Trial. Am. J. Ophthalmol. 2022, 233, 101–110. [Google Scholar] [CrossRef] [PubMed]
- van Rijssen, T.J.; van Dijk, E.H.C.; Yzer, S.; Ohno-Matsui, K.; Keunen, J.E.E.; Schlingemann, R.O.; Sivaprasad, S.; Querques, G.; Downes, S.M.; Fauser, S.; et al. Central serous chorioretinopathy: Towards an evidence-based treatment guideline. Prog. Retin. Eye Res. 2019, 73, 100770. [Google Scholar] [CrossRef] [PubMed]
- Zhen, Y.; Chen, H.; Zhang, X.; Meng, X.; Zhang, J.; Pu, J. Assessment of Central Serous Chorioretinopathy Depicted on Color Fundus Photographs Using Deep Learning. Retina 2020, 40, 1558–1564. [Google Scholar] [CrossRef]
- Iacono, P.; Battaglia, P.M.; Papayannis, A.; la Spina, C.; Varano, M.; Bandello, F. Acute central serous chorioretinopathy: A correlation study between fundus autofluorescence and spectral-domain OCT. Graefe’s Arch. Clin. Exp. Ophthalmol. 2015, 253, 1889–1897. [Google Scholar] [CrossRef] [PubMed]
- Framme, C.; Walter, A.; Gabler, B.; Roider, J.; Sachs, H.G.; Gabel, V.P. Fundus autofluorescence in acute and chronic-recurrent central serous chorioretinopathy. Acta Ophthalmol. Scand. 2005, 83, 161–167. [Google Scholar] [CrossRef] [PubMed]
- Matsumoto, H.; Hoshino, J.; Mukai, R.; Nakamura, K.; Kikuchi, Y.; Kishi, S.; Akiyama, H. Vortex Vein Anastomosis at the Watershed in Pachychoroid Spectrum Diseases. Ophthalmol. Retin. 2020, 4, 938–945. [Google Scholar] [CrossRef] [PubMed]
- Yamamoto, M.; Tsujikawa, A.; Mizukami, S.; Miyoshi, N.; Yoshimura, N. Cystoid macular edema in polypoidal choroidal vasculopathy viewed by a scanning laser ophthalmoscope: CME in PCV viewed by SLO. Int. Ophthalmol. 2009, 29, 503–506. [Google Scholar] [CrossRef]
- Tanaka, Y.; Shimada, N.; Ohno-Matsui, K.; Hayashi, W.; Hayashi, K.; Moriyama, M.; Yoshida, T.; Tokoro, T.; Mochizuki, M. Retromode retinal imaging of macular retinoschisis in highly myopic eyes. Am. J. Ophthalmol. 2010, 149, 635–640.e1. [Google Scholar] [CrossRef]
- Acton, J.H.; Cubbidge, R.P.; King, H.; Galsworthy, P.; Gibson, J.M. Drusen detection in retro-mode imaging by a scanning laser ophthalmoscope. Acta Ophthalmol. 2011, 89, e404-11. [Google Scholar] [CrossRef]
- Ohkoshi, K.; Tsuiki, E.; Kitaoka, T.; Yamaguchi, T. Visualization of subthreshold micropulse diode laser photocoagulation by scanning laser ophthalmoscopy in the retro mode. Am. J. Ophthalmol. 2010, 150, 856–862. [Google Scholar] [CrossRef]
- Shin, Y.U.; Lee, B.R. Retro-mode Imaging for retinal pigment epithelium alterations in central serous chorioretinopathy. Am. J. Ophthalmol. 2012, 154, 155–163.e4. [Google Scholar] [CrossRef]
- Flores-Moreno, I.; Arias-Barquet, L.; Rubio-Caso, M.J.; Ruiz-Moreno, J.M.; Duker, J.S.; Caminal, J.M. En face swept-source optical coherence tomography in neovascular age-related macular degeneration. Br. J. Ophthalmol. 2015, 99, 1260–1267. [Google Scholar] [CrossRef] [PubMed]
- R Core Team. R: A Language and Environment for Statistical Computing; R Foundation for Statistical Computing: Vienna, Austria, 2023; Available online: https://www.R-project.org/ (accessed on 30 March 2023).
- Breukink, M.B.; Dingemans, A.J.; den Hollander, A.I.; Keunen, J.E.; MacLaren, R.E.; Fauser, S.; Querques, G.; Hoyng, C.B.; Downes, S.M.; Boon, C.J. Chronic central serous chorioretinopathy: Long-term follow-up and vision-related quality of life. Clin. Ophthalmol. 2017, 11, 39–46. [Google Scholar] [CrossRef] [PubMed]
- Sahin, A.; Bez, Y.; Kaya, M.C.; Türkcü, F.M.; Sahin, M.; Yüksel, H. Psychological distress and poor quality of life in patients with central serous chorioretinopathy. Semin. Ophthalmol. 2014, 29, 73–76. [Google Scholar] [CrossRef]
- Spaide, R.F.; Hall, L.; Haas, A.; Campeas, L.; Yannuzzi, L.A.; Fisher, Y.L.; Guyer, D.R.; Slakter, J.S.; Sorenson, J.A.; Orlock, D.A. Indocyanine green videoangiography of older patients with central serous chorioretinopathy. Retina 1996, 16, 203–213. [Google Scholar] [CrossRef] [PubMed]
- Teussink, M.M.; Breukink, M.B.; van Grinsven, M.J.J.P.; Hoyng, C.B.; Klevering, B.J.; Boon, C.J.F.; De Jong, E.K.; Theelen, T. OCT Angiography Compared to Fluorescein and Indocyanine Green Angiography in Chronic Central Serous Chorioretinopathy. Investig. Ophthalmol. Vis. Sci. 2015, 56, 5229–5237. [Google Scholar] [CrossRef]
- Kitaya, N.; Nagaoka, T.; Hikichi, T.; Sugawara, R.; Fukui, K.; Ishiko, S.; Yoshida, A. Features of abnormal choroidal circulation in central serous chorioretinopathy. Br. J. Ophthalmol. 2003, 87, 709–712. [Google Scholar] [CrossRef]
- Marmor, M.F. New hypotheses on the pathogenesis and treatment of serous retinal detachment. Graefe’s Arch. Clin. Exp. Ophthalmol. 1988, 226, 548–552. [Google Scholar] [CrossRef]
- Mohabati, D.; van Dijk, E.H.; van Rijssen, T.J.; de Jong, E.K.; Breukink, M.B.; Martinez-Ciriano, J.P.; Dijkman, G.; Hoyng, C.B.; Fauser, S.; Yzer, S.; et al. Clinical spectrum of severe chronic central serous chorioretinopathy and outcome of photodynamic therapy. Clin. Ophthalmol. 2018, 12, 2167–2176. [Google Scholar] [CrossRef]
- Gupta, P.; Gupta, V.; Dogra, M.R.; Singh, R.; Gupta, A. Morphological changes in the retinal pigment epithelium on spectral-domain OCT in the unaffected eyes with idiopathic central serous chorioretinopathy. Int. Ophthalmol. 2010, 30, 175–181. [Google Scholar] [CrossRef]
- Fujimoto, H.; Gomi, F.; Wakabayashi, T.; Sawa, M.; Tsujikawa, M.; Tano, Y. Morphologic changes in acute central serous chorioretinopathy evaluated by fourier-domain optical coherence tomography. Ophthalmology 2008, 115, 1494–1500, 1500.e1–e2. [Google Scholar] [CrossRef]
- Azar, G.; Wolff, B.; Mauget-Faÿsse, M.; Rispoli, M.; Savastano, M.C.; Lumbroso, B. Pachychoroid neovasculopathy: Aspect on optical coherence tomography angiography. Acta Ophthalmol. 2017, 95, 421–427. [Google Scholar] [CrossRef]
- Spaide, R.F. The Ambiguity of Pachychoroid. Retina 2021, 41, 231–237. [Google Scholar] [CrossRef]
- Spaide, R.F.; Klancnik, J.M. Fundus autofluorescence and central serous chorioretinopathy. Ophthalmology 2005, 112, 825–833. [Google Scholar] [CrossRef] [PubMed]
- Corradetti, G.; Corvi, F.; Sadda, S.R. Subretinal Drusenoid Deposits Revealed by Color SLO and Retro-Mode Imaging. Ophthalmology 2021, 128, 409. [Google Scholar] [CrossRef] [PubMed]
- Savastano, A.; Ripa, M.; Savastano, M.C.; Caporossi, T.; Bacherini, D.; Kilian, R.; Rizzo, C.; Rizzo, S. Retromode Imaging Modality of Epiretinal Membranes. J. Clin. Med. 2022, 11, 3936. [Google Scholar] [CrossRef]
- Savastano, M.C.; Kilian, R.A.; Savastano, A.; Caporossi, T.; Molle, A.; Ripa, M.; Bacherini, D.; Rizzo, S. Morphological Features of Full-Thickness Macular Holes Using Retromode Scanning Laser Ophthalmoscopy. Ophthalmic Surg. Lasers Imaging Retin. 2022, 53, 368–373. [Google Scholar] [CrossRef] [PubMed]
- Giansanti, F.; Mercuri, S.; Serino, F.; Caporossi, T.; Savastano, A.; Rizzo, C.; Faraldi, F.; Rizzo, S.; Bacherini, D. Scanning Laser Ophthalmoscopy Retromode Imaging Compared to Fundus Autofluorescence in Detecting Outer Retinal Features in Central Serous Chorioretinopathy. Diagnostics 2022, 12, 2638. [Google Scholar] [CrossRef] [PubMed]
- von Rückmann, A.; Fitzke, F.W.; Bird, A.C. Distribution of fundus autofluorescence with a scanning laser ophthalmoscope. Br. J. Ophthalmol. 1995, 79, 407–412. [Google Scholar] [CrossRef]
- Han, J.; Cho, N.S.; Kim, K.; Kim, E.S.; Kim, D.G.; Kim, J.M.; Yu, S.-Y. Fundus Autofluorescence Patterns in Central Serous Chorioretinopathy. Retina 2020, 40, 1387–1394. [Google Scholar] [CrossRef]
- Loo, R.H.; Scott, I.U.; Flynn, H.W.; Gass, J.D.M.; Murray, T.G.; Lewis, M.L.; Rosenfeld, P.J.; Smiddy, W.E. Factors associated with reduced visual acuity during long-term follow-up of patients with idiopathic central serous chorioretinopathy. Retina 2002, 22, 19–24. [Google Scholar] [CrossRef]
- Mrejen, S.; Balaratnasingam, C.; Kaden, T.R.; Bottini, A.; Dansingani, K.; Bhavsar, K.V.; Yannuzzi, N.A.; Patel, S.; Chen, K.C.; Yu, S.; et al. Long-term Visual Outcomes and Causes of Vision Loss in Chronic Central Serous Chorioretinopathy. Ophthalmology 2019, 126, 576–588. [Google Scholar] [CrossRef] [PubMed]
- Ferrara, D.; Mohler, K.J.; Waheed, N.; Adhi, M.; Liu, J.J.; Grulkowski, I.; Kraus, M.F.; Baumal, C.; Hornegger, J.; Fujimoto, J.G.; et al. En face enhanced-depth swept-source optical coherence tomography features of chronic central serous chorioretinopathy. Ophthalmology 2014, 121, 719–726. [Google Scholar] [CrossRef] [PubMed]
- Feng, L.; Moritz, S.; Nowak, G.; Welsh, A.H.; O’Neill, T.J. ImputeR: A General Multivariate Imputation Framework_. R Package Version 2.2. 2020. Available online: https://CRAN.R-project.org/package=imputeR (accessed on 30 March 2023).
- Harrell, F., Jr. Hmisc: Harrell Miscellaneous_. R Package Version 4.7-2. 2022. Available online: https://CRAN.R-project.org/package=Hmisc (accessed on 30 March 2023).
- Wickham, H. Reshaping Data with the Reshape Package. J. Stat. Softw. 2007, 21. Available online: http://www.jstatsoft.org/v21/i12/ (accessed on 30 March 2023).
- Wickham, H. ggplot2: Elegant Graphics for Data Analysis; Springer-Verlag: New York, NY, USA, 2016. [Google Scholar]
- Robin, X.; Turck, N.; Hainard, A.; Tiberti, N.; Lisacek, F.; Sanchez, J.C.; Müller, M. pROC: An open-source package for R and S+ to analyze and compare ROC curves. BMC Bioinform. 2011, 12, 77. [Google Scholar] [CrossRef] [PubMed]






| N = 32 | |
|---|---|
| Demographics | |
| Age (yrs.) | 52.7 (13.3) |
| Eye | |
| Left | 21 (65.6) |
| Right | 11 (34.4) |
| Visual acuity (LogMar) | 0.69 (0.50–0.90) |
| Techniques (mm2) | |
| Autofluorescence (AF) | 19.5 (6.1–29.3) |
| Retromode imaging (RM) | 12.3 (8.1–30.8) |
| Enface | 9.3 (4.8–18.6) |
| Diagnosis | |
| RPE detachment | 6 (18.8) |
| RPE atrophy by RM | 26 (81.3) |
| RPE atrophy by AF | 24 (75) |
| SRF | 30 (93.7) |
Disclaimer/Publisher’s Note: The statements, opinions and data contained in all publications are solely those of the individual author(s) and contributor(s) and not of MDPI and/or the editor(s). MDPI and/or the editor(s) disclaim responsibility for any injury to people or property resulting from any ideas, methods, instructions or products referred to in the content. |
© 2023 by the authors. Licensee MDPI, Basel, Switzerland. This article is an open access article distributed under the terms and conditions of the Creative Commons Attribution (CC BY) license (https://creativecommons.org/licenses/by/4.0/).
Share and Cite
Savastano, M.C.; Fossataro, C.; Sadun, R.; Scupola, A.; Sammarco, M.G.; Rizzo, C.; Pafundi, P.C.; Rizzo, S. Central Serous Chorioretinopathy by Autofluorescence, Enface and SLO–Retromode Imaging. Life 2023, 13, 1407. https://doi.org/10.3390/life13061407
Savastano MC, Fossataro C, Sadun R, Scupola A, Sammarco MG, Rizzo C, Pafundi PC, Rizzo S. Central Serous Chorioretinopathy by Autofluorescence, Enface and SLO–Retromode Imaging. Life. 2023; 13(6):1407. https://doi.org/10.3390/life13061407
Chicago/Turabian StyleSavastano, Maria Cristina, Claudia Fossataro, Riccardo Sadun, Andrea Scupola, Maria Grazia Sammarco, Clara Rizzo, Pia Clara Pafundi, and Stanislao Rizzo. 2023. "Central Serous Chorioretinopathy by Autofluorescence, Enface and SLO–Retromode Imaging" Life 13, no. 6: 1407. https://doi.org/10.3390/life13061407
APA StyleSavastano, M. C., Fossataro, C., Sadun, R., Scupola, A., Sammarco, M. G., Rizzo, C., Pafundi, P. C., & Rizzo, S. (2023). Central Serous Chorioretinopathy by Autofluorescence, Enface and SLO–Retromode Imaging. Life, 13(6), 1407. https://doi.org/10.3390/life13061407

