Clinical and Neuroimaging Features in Charcot–Marie–Tooth Patients with GNB4 Mutations
Abstract
1. Introduction
2. Patients and Methods
2.1. Patients
2.2. Molecular Genetic Studies
2.3. Clinical Assessment
2.4. Electrophysiological Examination
2.5. Sural Nerve Biopsy
2.6. Lower Extremity MRI
3. Results
3.1. Identification of GNB4 Mutations
3.2. Clinical Manifestations
3.3. Electrophysiological Findings
3.4. Histopathological Findings
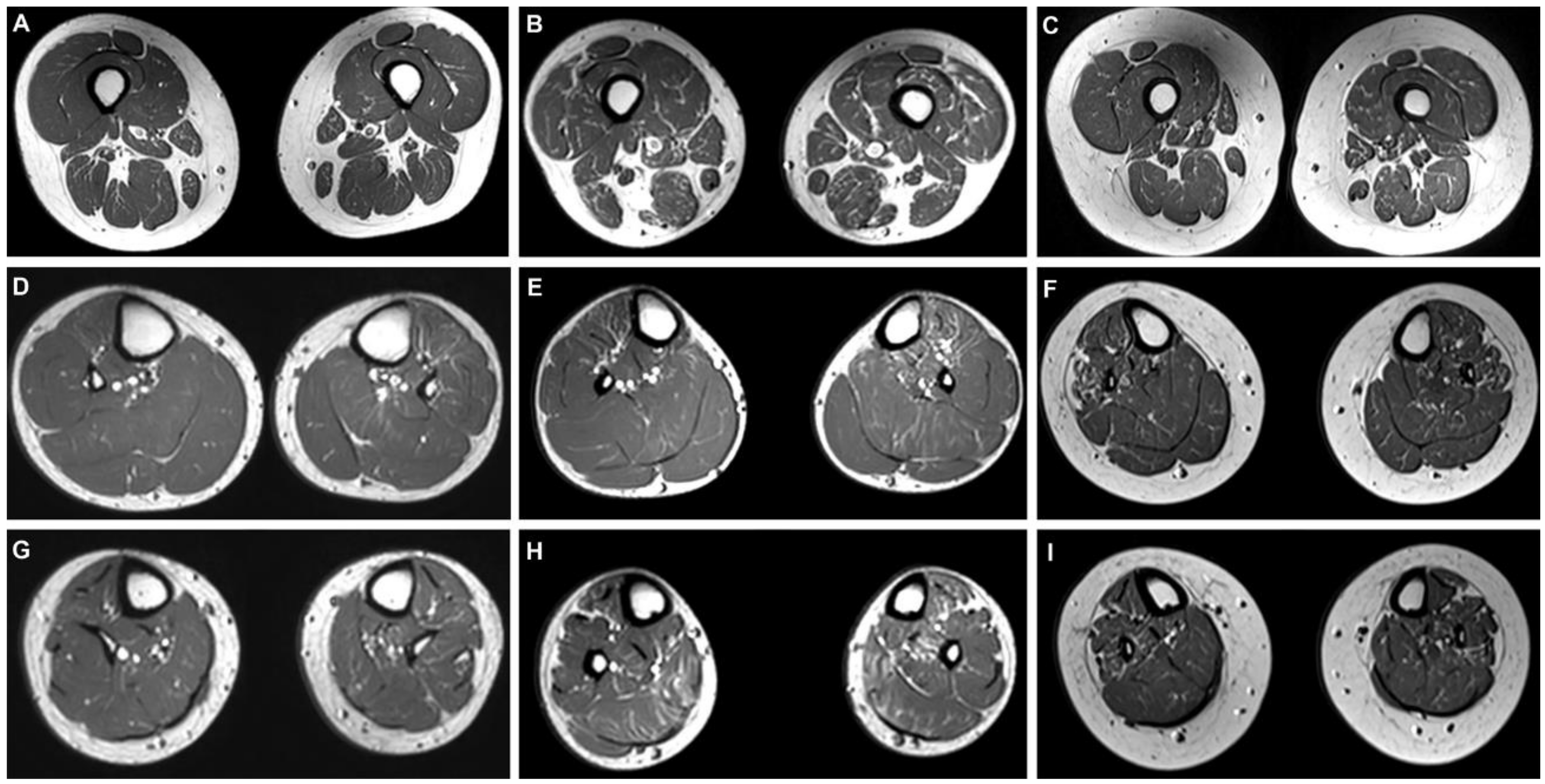
3.5. Lower Limb MRI Features
4. Discussion
Supplementary Materials
Author Contributions
Funding
Institutional Review Board Statement
Informed Consent Statement
Data Availability Statement
Conflicts of Interest
Abbreviations
| GPCR | G protein-coupled receptor |
| C-score | Confidence score for estimating the quality of predicted models by I-TASSER |
| CMTNS v2 | CMT neuropathy score version 2 |
| DTR | deep tendon reflex |
| FDS | functional disability scale |
| ND | not done |
| MRC scale | Medical Research Council scale |
| CMAP | compound muscle action potential |
| SNAP | sensory nerve action potential |
| SNCV | sensory nerve conduction velocity |
References
- Reilly, M.M. Classification and diagnosis of the inherited neuropathies. Ann. Indian Acad. Neurol. 2009, 12, 80–88. [Google Scholar] [CrossRef] [PubMed]
- Madrid, R.; Bradley, W.G.; Davis, C.J. The peroneal muscular atrophy syndrome. Clinical, genetic, electrophysiological and nerve biopsy studies. Part Observations on pathological changes in sural nerve biopsies. J. Neurol. Sci. 1977, 32, 91–122. [Google Scholar] [CrossRef]
- Harding, A.E.; Thomas, P.K. The clinical features of hereditary motor and sensory neuropathy types i and ii. Brain 1980, 103, 259–280. [Google Scholar] [CrossRef] [PubMed]
- Schroder, J.M. Neuropathology of Charcot-Marie-Tooth and related disorders. Neuromolec. Med. 2006, 8, 23–42. [Google Scholar] [CrossRef]
- Rossor, A.M.; Polke, J.M.; Houlden, H.; Reilly, M.M. Clinical implications of genetic advances in Charcot-Marie-Tooth disease. Nat. Rev. Neurol. 2013, 9, 562–571. [Google Scholar] [CrossRef] [PubMed]
- Jerath, N.U.; Shy, M.E. Hereditary motor and sensory neuropathies: Understanding molecular pathogenesis could lead to future treatment strategies. Biochim. Biophys. Acta Mol. Basis Dis. 2015, 1852, 667–678. [Google Scholar] [CrossRef]
- Berciano, J.; García, A.; Gallardo, E.; Peeters, K.; Pelayo-Negro, A.L.; Álvarez-Paradelo, S.; Gazulla, J.; Martínez-Tames, M.; Infante, J.; Jordanova, A. Intermediate Charcot–Marie–Tooth disease: An electrophysiological reappraisal and systematic review. J. Neurol. 2017, 264, 1655–1677. [Google Scholar] [CrossRef]
- Wheeler, D.L.; Church, D.M.; Federhen, S.; Lash, A.E.; Madden, T.L.; Pontius, J.U.; Schuler, G.D.; Schriml, L.M.; Sequeira, E.; Tatusova, T.A.; et al. Database resources of the National Center for Biotechnology. Nucleic Acids Res. 2003, 31, 28–33. [Google Scholar] [CrossRef]
- Patzig, J.; Jahn, O.; Tenzer, S.; Wichert, S.P.; De Monasterio-Schrader, P.; Rosfa, S.; Kuharev, J.; Yan, K.; Bormuth, I.; Bremer, J.; et al. Quantitative and Integrative Proteome Analysis of Peripheral Nerve Myelin Identifies Novel Myelin Proteins and Candidate Neuropathy Loci. J. Neurosci. 2011, 31, 16369–16386. [Google Scholar] [CrossRef]
- Gilman, A.G. G proteins: Transducers of receptor-generated signals. Annu. Rev. Biochem. 1987, 56, 615–649. [Google Scholar] [CrossRef]
- Oldham, W.M.; Hamm, H.E. Heterotrimeric G protein activation by G-protein-coupled receptors. Nat. Rev. Mol. Cell Biol. 2008, 9, 60–71. [Google Scholar] [CrossRef]
- Dupre, D.J.; Robitaille, M.; Rebois, R.V.; Hebert, T.E. The role of Gbetagamma subunits in the organization, assembly, and function of GPCR signaling complexes. Annu. Rev. Pharmacol. Toxicol. 2009, 49, 31–56. [Google Scholar] [CrossRef]
- Soong, B.W.; Huang, Y.H.; Tsai, P.C.; Huang, C.C.; Pan, H.C.; Lu, Y.C.; Chien, H.J.; Liu, T.T.; Chang, M.H.; Lin, K.P.; et al. Exome sequencing identifies GNB4 mutations as a cause of dominant intermediate Charcot-Marie-Tooth disease. Am. J. Hum. Genet. 2013, 92, 422–430. [Google Scholar] [CrossRef]
- Laššuthová, P.; Brožková, D.S.; Neupauerová, J.; Krůtová, M.; Mazanec, R.; Seeman, P. Confirmation of the GNB4 gene as causal for Charcot–Marie–Tooth disease by a novel de novo mutation in a Czech patient. Neuromuscul. Disord. 2017, 27, 57–60. [Google Scholar] [CrossRef] [PubMed]
- Miura, S.; Morikawa, T.; Fujioka, R.; Noda, K.; Kosaka, K.; Taniwaki, T.; Shibata, H. A novel missense variant (Gln220Arg) of GNB4 encoding guanine nucleotide-binding protein, subunit beta-4 in a Japanese family with autosomal dominant motor and sensory neuropathy. Eur. J. Med. Genet. 2017, 60, 474–478. [Google Scholar] [CrossRef] [PubMed]
- Morrow, J.M.; Sinclair, C.D.J.; Fischmann, A.; Machado, P.M.; Reilly, M.M.; Yousry, T.A.; Thornton, J.S.; Hanna, M.G. MRI biomarker assessment of neuromuscular disease progression: A prospective observational cohort study. Lancet Neurol. 2016, 15, 65–77. [Google Scholar] [CrossRef]
- Dahlqvist, J.R.; Widholm, P.; Leinhard, O.D.; Vissing, J. MRI in Neuromuscular Diseases: An Emerging Diagnostic Tool and Biomarker for Prognosis and Efficacy. Ann. Neurol. 2020, 88, 669–681. [Google Scholar] [CrossRef]
- Roy, A.; Kucukural, A.; Zhang, Y. I-TASSER: A unified platform for automated protein structure and function prediction. Nat. Protoc. 2010, 5, 725–738. [Google Scholar] [CrossRef] [PubMed]
- Sehnal, D.; Rose, A.; Koca, J.; Burley, S.; Velankar, S. Mol: Towards a Common Library and Tools for Web Molecular Graphics. In Workshop on Molecular Graphics and Visual Analysis of Molecular Data; Byska, J., Krone, M., Sommer, B., Eds.; The Eurographics Association: Aire-la-Ville, Switzerland, 2018; pp. 29–33. [Google Scholar]
- Richards, S.; Aziz, N.; Bale, S.; Bick, D.; Das, S.; Gastier-Foster, J.; Grody, W.W.; Hegde, M.; Lyon, E.; Spector, E.; et al. Standards and guidelines for the interpretation of sequence variants: A joint consensus recommendation of the American College of Medical Genetics and Genomics and the Association for Molecular Pathology. Genet. Med. 2015, 17, 405–423. [Google Scholar] [CrossRef]
- Paternostro-Sluga, T.; Grim-Stieger, M.; Posch, M.; Schuhfried, O.; Vacariu, G.; Mittermaier, C.; Bittner, C.; Fialka-Moser, V. Reliability and validity of the Medical Research Council (MRC) scale and a modified scale for testing muscle strength in patients with radial palsy. J. Rehabilitation Med. 2008, 40, 665–671. [Google Scholar] [CrossRef]
- Birouk, N.; Gouider, R.; Le Guern, E.; Gugenheim, M.; Tardieu, S.; Maisonobe, T.; Le Forestier, N.; Agid, Y.; Brice, A.; Bouche, P. Charcot-Marie-Tooth disease type 1A with 17p11.2 duplication. Clinical and electrophysiological phenotype study and factors influencing disease severity in 119 cases. Brain 1997, 120, 813–823. [Google Scholar] [CrossRef] [PubMed]
- Murphy, S.M.; Herrmann, D.N.; McDermott, M.P.; Scherer, S.S.; Shy, M.E.; Reilly, M.M.; Pareyson, D. Reliability of the CMT neuropathy score (second version) in Charcot-Marie-Tooth disease. J. Peripher. Nerv. Syst. 2011, 16, 191–198. [Google Scholar] [CrossRef] [PubMed]
- Goutallier, D.; Postel, J.M.; Bernageau, J.; Lavau, L.; Voisin, M.C. Fatty muscle degeneration in cuff ruptures. Pre- and postoperative evaluation by CT scan. Clin. Orthop. Relat. Res. 1994, 78–83. [Google Scholar]
- Bredella, M.A.; Tirman, P.F.; Fritz, R.C.; Wischer, T.K.; Stork, A.; Genant, H.K. Denervation syndromes of the shoulder girdle: MR imaging with electrophysiologic correlation. Skeletal Radiol. 1999, 28, 567–572. [Google Scholar] [CrossRef]
- Kamath, S.; Venkatanarasimha, N.; Walsh, M.A.; Hughes, P.M. MRI appearance of muscle denervation. Skeletal Radiol. 2008, 37, 397–404. [Google Scholar] [CrossRef]
- Tsubahara, A.; Chino, N.; Okajima, Y.; Akaboshi, K. Fat/water suppression magnetic resonance (MR) imaging in disuse muscular atrophy. Neuroorthopedics 1995, 17, 67–74. [Google Scholar]
- Tavtigian, S.V.; Greenblatt, M.S.; Lesueur, F.; Byrnes, G.B.; IARC Unclassified Genetic Variants Working Group. In silico analysis of missense substitutions using sequence-alignment based methods. Hum. Mutat. 2008, 29, 1327–1336. [Google Scholar] [CrossRef] [PubMed]



| Patient ID | FC777 (II-2) | FC822 (II-3) | FC780 (II-3) |
|---|---|---|---|
| Mutation a | |||
| Nucleotide | c.G229A | c.A265G | c.A265G |
| Amino acid | p.Gly77Arg | p.Lys89Glu | p.Lys89Glu |
| Sex | Female | Male | Female |
| Age at onset (years) | 25 | 9 | 5 |
| Age at exam (years) | 31 | 12 | 17 |
| Disease duration (years) | 6 | 3 | 12 |
| Muscle weakness b | |||
| Upper limb | + | ++ | ++ |
| Lower limb | + | +++ | +++ |
| Muscle atrophy | No | Moderate | Mild to moderate |
| Pinprick sensation c | |||
| Upper limb | Mildly reduced | Reduced | Reduced |
| Lower limb | Normal | Reduced | Reduced |
| Vibratory sensation c | |||
| Upper limb | Reduced | Reduced | Reduced |
| Lower limb | Reduced | Reduced | Reduced |
| DTR (knee jerk) | Decreased | Absent | Absent |
| Scoliosis | No | Yes | Yes |
| Romberg sign | Abnormal | Abnormal | Abnormal |
| Pyramidal sign | No | No | No |
| Foot deformities | Yes | Yes | Yes |
| FDS d | 1 | 4 | 3 |
| CMTNS v2 | 9 | 26 | 18 |
| Sural nerve biopsy | ND | ND | Demyelinating neuropathy, onion bulb formation |
| Patient ID | FC777 (II-2) | FC822 (II-3) | FC780 (II-3) | |||||||
|---|---|---|---|---|---|---|---|---|---|---|
| Mutation | p.Gly77Arg | p.Lys89Glu | p.Lys89Glu | |||||||
| Site | Right | Left | Right | Left | Right | Left | Right | Left | ||
| Age at examination (years) | 26 | 26 | 31 | 31 | 12 | 12 | 17 | 17 | ||
| Motor nerve conduction study | ||||||||||
| Median nerve | ||||||||||
| DTL (ms) | 4.2 | 4.1 | 4.1 | 4.0 | 16.4 | 25.0 | 14.2 | 9.4 | ||
| CMAP (mV) | 14.9 | 16.0 | 13.6 | 15.4 | 1.4 | 0.7 | 1.5 | 1.9 | ||
| MNCV (m/s) | 38.5 | 37.5 | 39.7 | 38.4 | 4.8 | 3.9 | 6.3 | 7.1 | ||
| Ulnar nerve | ||||||||||
| DTL (ms) | 4.3 | 3.5 | 3.4 | 4.2 | 12.8 | 19.0 | 10.7 | 13.1 | ||
| CMAP (mV) | 9.8 | 12.0 | 11.4 | 12.0 | 1.8 | 0.5 | 1.5 | 1.0 | ||
| MNCV (m/s) | 33.9 | 36.8 | 36.8 | 34.4 | 4.4 | 4.5 | 4.1 | 5.5 | ||
| Radial nerve | ||||||||||
| DTL (ms) | 4.0 | 4.3 | 4.2 | 4.4 | A | A | A | A | ||
| CMAP (mV) | 6.2 | 5.1 | 6.3 | 4.2 | A | A | A | A | ||
| MNCV (m/s) | 46.4 | 54.2 | 48.1 | 48.1 | A | A | A | A | ||
| Peroneal nerve | ||||||||||
| DTL (ms) | 6.9 | 6.3 | 6.4 | 6.3 | A | A | A | A | ||
| CMAP (mV) | 2.7 | 2.9 | 2.6 | 2.2 | A | A | A | A | ||
| MNCV (m/s) | 22.3 | 24.7 | 23.2 | 26.5 | A | A | A | A | ||
| Tibial nerve | ||||||||||
| DTL (ms) | 5.9 | 5.6 | 6.1 | 5.5 | A | A | A | A | ||
| CMAP (mV) | 10.5 | 9.9 | 6.2 | 4.6 | A | A | A | A | ||
| MNCV (m/s) | 26.3 | 26.8 | 25.9 | 26.5 | A | A | A | A | ||
| Sensory nerve conduction study | ||||||||||
| Median nerve | ||||||||||
| SNAP (μV) | 21.0 | 20.5 | 17.2 | 143 | A | A | A | A | ||
| SNCV (m/s) | 31.2 | 33.0 | 32.8 | 33.2 | A | A | A | A | ||
| Ulnar nerve | ||||||||||
| SNAP (μV) | 12.4 | 15.9 | 12.7 | 10.9 | A | A | A | A | ||
| SNCV (m/s) | 28.7 | 30.3 | 30.3 | 32.2 | A | A | A | A | ||
| Radial nerve | ||||||||||
| SNAP (μV) | 13.4 | 15.7 | 14.8 | 14.2 | A | A | A | A | ||
| SNCV (m/s) | 30.4 | 31.8 | 31.8 | 33.3 | A | A | A | A | ||
| Sural nerve | ||||||||||
| SNAP (μV) | 6.5 | 5.2 | 6.8 | 4.9 | A | A | A | A | ||
| SNCV (m/s) | 26.4 | 28.0 | 28.0 | 31.1 | A | A | A | A | ||
Publisher’s Note: MDPI stays neutral with regard to jurisdictional claims in published maps and institutional affiliations. |
© 2021 by the authors. Licensee MDPI, Basel, Switzerland. This article is an open access article distributed under the terms and conditions of the Creative Commons Attribution (CC BY) license (https://creativecommons.org/licenses/by/4.0/).
Share and Cite
Kwon, H.M.; Kim, H.S.; Kim, S.B.; Park, J.H.; Nam, D.E.; Lee, A.J.; Nam, S.H.; Hwang, S.; Chung, K.W.; Choi, B.-O. Clinical and Neuroimaging Features in Charcot–Marie–Tooth Patients with GNB4 Mutations. Life 2021, 11, 494. https://doi.org/10.3390/life11060494
Kwon HM, Kim HS, Kim SB, Park JH, Nam DE, Lee AJ, Nam SH, Hwang S, Chung KW, Choi B-O. Clinical and Neuroimaging Features in Charcot–Marie–Tooth Patients with GNB4 Mutations. Life. 2021; 11(6):494. https://doi.org/10.3390/life11060494
Chicago/Turabian StyleKwon, Hye Mi, Hyun Su Kim, Sang Beom Kim, Jae Hong Park, Da Eun Nam, Ah Jin Lee, Soo Hyun Nam, Soohyun Hwang, Ki Wha Chung, and Byung-Ok Choi. 2021. "Clinical and Neuroimaging Features in Charcot–Marie–Tooth Patients with GNB4 Mutations" Life 11, no. 6: 494. https://doi.org/10.3390/life11060494
APA StyleKwon, H. M., Kim, H. S., Kim, S. B., Park, J. H., Nam, D. E., Lee, A. J., Nam, S. H., Hwang, S., Chung, K. W., & Choi, B.-O. (2021). Clinical and Neuroimaging Features in Charcot–Marie–Tooth Patients with GNB4 Mutations. Life, 11(6), 494. https://doi.org/10.3390/life11060494

