Comparison of Androgen Receptor, VEGF, HIF-1, Ki67 and MMP9 Expression between Non-Metastatic and Metastatic Stages in Stromal and Tumor Cells of Oral Squamous Cell Carcinoma
Abstract
1. Introduction
2. Material and Subjects
Statistics
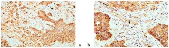
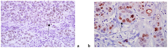
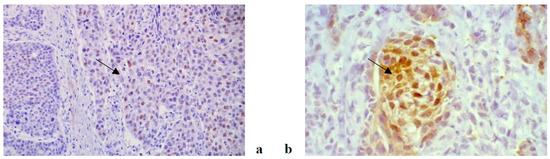
3. Results
4. Discussion
Author Contributions
Funding
Institutional Review Board Statement
Informed Consent Statement
Data Availability Statement
Conflicts of Interest
References
- Liu, L.; Chen, J.; Cai, X.; Yao, Z.; Huang, J. Progress in targeted therapeutic drugs for oral squamous cell carcinoma. Surg. Oncol. 2019, 31, 90–97. [Google Scholar] [CrossRef] [PubMed]
- Shigetomi, S.; Imanishi, Y.; Shibata, K.; Sakai, N.; Sakamoto, K.; Fujii, R.; Habu, N.; Otsuka, K.; Sato, Y.; Watanabe, Y.; et al. VEGF-C/Flt-4 axis in tumor cells contributes to the progression of oral squamous cell carcinoma via upregulating VEGF-C itself and contactin-1 in an autocrine manner. Am. J. Cancer Res. 2018, 8, 2046–2063. [Google Scholar] [PubMed]
- Koyfman, S.A.; Ismaila, N.; Crook, D.; D’Cruz, A.; Rodriguez, C.P.; Sher, D.J.; Silbermins, D.; Sturgis, E.M.; Tsue, T.T.; Weiss, J.; et al. Management of the Neck in Squamous Cell Carcinoma of the Oral Cavity and Oropharynx: ASCO Clinical Practice Guideline. J. Clin. Oncol. 2019, 37, 1753–1774. [Google Scholar] [CrossRef] [PubMed]
- Rivera, C.; Oliveira, A.K.; Costa, R.A.P.; De Rossi, T.; Leme, A.F.P. Prognostic biomarkers in oral squamous cell carcinoma: A systematic review. Oral Oncol. 2017, 72, 38–47. [Google Scholar] [CrossRef]
- Modjtahedi, H. Molecular therapy of head and neck cancer. Cancer Metastasis Rev. 2005, 24, 129–146. [Google Scholar] [CrossRef] [PubMed]
- Lombardi, A.P.G.; Vicente, C.M.; Porto, C.S. Estrogen Receptors Promote Migration, Invasion and Colony Formation of the Androgen-Independent Prostate Cancer Cells PC-3 Through β-Catenin Pathway. Front. Endocrinol. (Lausanne) 2020, 11. [Google Scholar] [CrossRef]
- Chang, W.-C.; Chang, C.-F.; Li, Y.-H.; Yang, C.-Y.; Su, R.-Y.; Lin, C.-K.; Chen, Y.-W. A histopathological evaluation and potential prognostic implications of oral squamous cell carcinoma with adverse features. Oral Oncol. 2019, 95, 65–73. [Google Scholar] [CrossRef] [PubMed]
- Tomasovic-Loncaric, C.; Fucic, A.; Andabak, A.; Andabak, M.; Ceppi, M.; Bruzzone, M.; Vrdoljak, D.; Vucicevic-Boras, V. Androgen Receptor as a Biomarker of Oral Squamous Cell Carcinoma Progression Risk. Anticancer. Res. 2019, 39, 4285–4289. [Google Scholar] [CrossRef]
- Miguelánez-Medrán, B.C.; Pozo-Kreilinger, J.J.; Cebrián-Carretero, J.L.; Martínez-García, M.A.; López-Sánchez, A.F. Oral squamous cell carcinoma of tongue: Histological risk assessment. A pilot study. Med. Oral. Patol. Oral. Cir. Bucal. 2019, 1, e603–e609. [Google Scholar] [CrossRef] [PubMed]
- Ahmed, S.P.; Javan, L.; Dineshkumar, T.; Raman, S. Oral squamous cell carcinoma under microscopic vision: A review of histological variants and its prognostic indicators. SRM J. Res. Dent. Sci. 2019, 10, 90–97. [Google Scholar] [CrossRef]
- Taghavi, N.; Yazdi, I. Prognostic factors of survival rate in oral squamous cell carcinoma: Clinical, histologic, genetic and molecular concepts. Arch. Iran. Med. 2015, 18, 314–319. [Google Scholar]
- Sheelam, S.; Reddy, S.P.; Kulkarni, P.G.; Nandan, S.; Keerthi, M.; Raj, G.S. Role of cell proliferation and vascularity in malignant transformation of potentially malignant disorders. J. Oral Maxillofac. Pathol. 2018, 22, 281. [Google Scholar] [CrossRef] [PubMed]
- Yuan, J.; Li, W.; Zhu, J.; Deng, S.; Tao, X. Low expression of RECK in oral squamous cell carcinoma patients induces a shorter survival rate through an imbalance of RECK/MMPs. Int. J. Clin. Exp. Pathol. 2020, 13, 501–508. [Google Scholar]
- Zheng, H.; Takahashi, H.; Murai, Y.; Cui, Z.; Nomoto, K.; Niwa, H.; Tsuneyama, K.; Takano, Y. Expressions of MMP-2, MMP-9 and VEGF are closely linked to growth, invasion, metastasis and angiogenesis of gastric carcinoma. Anticancer. Res. 2006, 26, 3579–3583. [Google Scholar]
- Patel, N.R.; Jain, L.; Mahajan, A.M.; Hiray, P.V.; Shinde, S.S.; Patel, P.A. An Immunohistochemical Study of HIF-1 Alpha in Oral Epithelial Dysplasia and Oral Squamous Cell Carcinoma. Indian J. Otolaryngol. Head Neck Surg. 2019, 71, 435–441. [Google Scholar] [CrossRef] [PubMed]
- Lee, L.-T.; Wong, Y.-K.; Chan, M.-Y.; Chang, K.-W.; Chen, S.-C.; Chang, C.-T.; Wang, J. The correlation between HIF-1 alpha and VEGF in oral squamous cell carcinomas: Expression patterns and quantitative immunohistochemical analysis. J. Chin. Med Assoc. 2018, 81, 370–375. [Google Scholar] [CrossRef]
- Eisermann, K.; Fraizer, G. The Androgen Receptor and VEGF: Mechanisms of Androgen-Regulated Angiogenesis in Prostate Cancer. Cancers 2017, 9, 32. [Google Scholar] [CrossRef] [PubMed]
- Tao, L.; Qiu, J.; Jiang, M.; Song, W.; Yeh, S.; Yu, H.; Zang, L.; Xia, S.; Chang, C. Infiltrating T Cells Promote Bladder Cancer Progression via Increasing IL1→Androgen Receptor→HIF1α→VEGFa Signals. Mol. Cancer Ther. 2016, 15, 1943–1951. [Google Scholar] [CrossRef] [PubMed]
- Von Wahlde, M.-K.; Hülsewig, C.; Rückert, C.; Götte, M.; Kiesel, L.; Bernemann, C. The anti-androgen drug dutasteride renders triple negative breast cancer cells more sensitive to chemotherapy via inhibition of HIF-1α-/VEGF-signaling. Gynecol. Endocrinol. 2014, 31, 160–164. [Google Scholar] [CrossRef] [PubMed]
- Larsson, P.; Syed Khaja, A.S.; Semenas, J.; Wang, T.; Sarwar, M.; Dizeyi, N.; Simoulis, A.; Hedblom, A.; Wai, S.N.; Ødum, N.; et al. The functional interlink between AR and MMP9/VEGF signaling axis is mediated through PIP5K1α/pAKT in prostate cancer. Int. J. Cancer 2020, 146, 1686–1699. [Google Scholar] [CrossRef] [PubMed]
- D’Arcangelo, E.; Wu, N.C.; Cadavid, J.L.; McGuigan, A.P. The life cycle of cancer-associated fibroblasts within the tumour stroma and its importance in disease outcome. Br. J. Cancer 2020, 122, 931–942. [Google Scholar] [CrossRef] [PubMed]
- Curry, J.M.; Sprandio, J.; Cognetti, D.; Luginbuhl, A.; Bar-Ad, V.; Pribitkin, E.; Tuluc, M. Tumor Microenvironment in Head and Neck Squamous Cell Carcinoma. Semin. Oncol. 2014, 41, 217–234. [Google Scholar] [CrossRef] [PubMed]
- Wu, J.; Liang, C.; Chen, M.; Su, W. Association between tumor-stroma ratio and prognosis in solid tumor patients: A systematic review and meta-analysis. Oncotarget 2016, 7, 68954–68965. [Google Scholar] [CrossRef] [PubMed]
- Dourado, M.R.; Guerra, E.N.S.; Salo, T.; Lambert, D.W.; Coletta, R.D. Prognostic value of the immunohistochemical detection of cancer-associated fibroblasts in oral cancer: A systematic review and meta-analysis. J. Oral Pathol. Med. 2018, 47, 443–453. [Google Scholar] [CrossRef] [PubMed]
- Almangush, A.; Heikkinen, I.; Bakhti, N.; Mäkinen, L.K.; Kauppila, J.H.; Pukkila, M.; Hagström, J.; Laranne, J.; Soini, Y.; Kowalski, L.P.; et al. Prognostic impact or tumor-stroma ratio in early-stage oral tongue cancers. Histopathology 2018, 72, 1128–1135. [Google Scholar] [CrossRef] [PubMed]
- Jimenez, L.; Jayakar, S.K.; Ow, T.J.; Segall, J.E. Mechanisms of Invasion in Head and Neck Cancer. Arch. Pathol. Lab. Med. 2015, 139, 1334–1348. [Google Scholar] [CrossRef]
- Boccellino, M.; Di Stasio, D.; DiPalma, G.; Cantore, S.; Ambrosio, P.; Coppola, M.; Quagliuolo, L.; Scarano, A.; Malcangi, G.; Borsani, E.; et al. Steroids and growth factors in oral squamous cell carcinoma: Useful source of dental-derived stem cells to develop a steroidogenic model in new clinical strategies. Eur. Rev. Med. Pharmacol. Sci 2019, 23, 8730–8740. [Google Scholar] [PubMed]
- Jayanthi, P.; Varun, B.R.; Selvaraj, J. Epithelial–mesenchymal transition in oral squamous cell carcinoma: An insight into molecular mechanisms and clinical implications. J. Oral Maxillofac. Pathol. 2020, 24, 189. [Google Scholar] [CrossRef] [PubMed]
- Lin, J.-Y.; Li, X.-Y.; Tadashi, N.; Dong, P. Clinical significance of tumor-associated macrophage infiltration in supraglottic laryngeal carcinoma. Chin. J. Cancer 2011, 30, 280–286. [Google Scholar] [CrossRef] [PubMed]
- Karagiannis, G.S.; Poutahidis, T.; Erdman, S.E.; Kirsch, R.; Riddell, R.H.; Diamandis, E.P. Cancer-Associated Fibroblasts Drive the Progression of Metastasis through both Paracrine and Mechanical Pressure on Cancer Tissue. Mol. Cancer Res. 2012, 10, 1403–1418. [Google Scholar] [CrossRef] [PubMed]
- Liu, X.; Qing, S.; Che, K.; Li, L.; Liao, X. Androgen receptor promotes oral squamous cell carcinoma cell migration by increasing EGFR phosphorylation. OncoTargets Ther. 2019, 12, 245–252. [Google Scholar] [CrossRef] [PubMed]
- Hu, C.; Fang, D.; Xu, H.; Wang, Q.; Xia, H. The androgen receptor expression and association with patient’s survival in different cancers. Genomics 2020, 112, 1926–1940. [Google Scholar] [CrossRef] [PubMed]
- Oliveira, L.; Ribeiro-Silva, A. Prognostic significance of immunohistochemical biomarkers in oral squamous cell carcinoma. Int. J. Oral. Maxillofac. Surg. 2011, 40, 298–307. [Google Scholar] [CrossRef] [PubMed]
- Goulioumis, A.K.; Varakis, J.; Goumas, P.; Papadaki, H. Androgen Receptor in Laryngeal Carcinoma: Could There Be an Androgen-Refratory Tumor? ISNR Oncol. 2011, 2011, 180518. [Google Scholar] [CrossRef] [PubMed]
- Eisermann, K.; Broderick, C.J.; Bazarov, A.; Moazam, M.M.; Fraizer, G.C. Androgen up-regulates vascular endothelial growth factor expression in prostate cancer cells via an Sp1 binding site. Mol. Cancer 2013, 12, 7. [Google Scholar] [CrossRef]
- Mabjeesh, N.J.; Willard, M.T.; Frederickson, C.E.; Zhong, H.; Simons, J.W. Androgens Stimulate Hypoxia-inducible Factor 1 activation via autocrine loop of tyrosine kinase receptor/phosphatidylinositol3-kinase/protein kinase b in prostate cancer cells. Clin. Cancer Res 2003, 9, 2416–2425. [Google Scholar] [PubMed]
- Adamo, B.; Ricciardi, G.R.R.; Ieni, A. The prognostic significance of combined androgen receptor, E-Cadherin, Ki67 and CK5/6 expression in patients with triple negative breast cancer. Oncotarget 2017, 16, 76974–76986. [Google Scholar] [CrossRef]
- Pezzuto, A.; Carico, E.; Aldo, P.; Elisabetta, C. Role of HIF-1 in Cancer Progression: Novel Insights. A Review. Curr. Mol. Med. 2018, 18, 343–351. [Google Scholar] [CrossRef] [PubMed]
- Eckert, A.W.; Wickenhauser, C.; Salins, P.C.; Kappler, M.; Bukur, J.; Seliger, B. Clinical relevance of the tumor microenvironment and immune escape of oral squamous cell carcinoma. J. Trans. Med. 2016, 14, 85. [Google Scholar] [CrossRef] [PubMed]
- Choi, J.Y.; Jang, Y.S.; Min, S.Y.; Song, J.Y. Overexpression of MMP-9 and HIF-1α in Breast Cancer Cells under Hypoxic Conditions. J. Breast Cancer 2011, 14, 88–95. [Google Scholar] [CrossRef] [PubMed]
- Petruzzi, M.N.M.R.; Cherubini, K.; Salum, F.G.; De Figueiredo, M.A.Z. Role of tumour-associated macrophages in oral squamous cells carcinoma progression: An update on current knowledge. Diagn. Pathol. 2017, 12, 1–7. [Google Scholar] [CrossRef] [PubMed]
- Fujita, S.; Sumi, M.; Tatsukawa, E.; Nagano, K.; Katase, N. Expressions of extracellular matrix-remodeling factors in lymph nodes from oral cancer patients. Oral Dis. 2020. [Google Scholar] [CrossRef] [PubMed]





| Non Metastatic 96 Patients | |||||
|---|---|---|---|---|---|
| Age Years (mean) | Sex (%) | Tumor Localization (%) | Cervical Lymph Node Resection (%) | pT (%) | Stage Grouping pTNM (%) |
| 62.8 | Male 71.9 Female 28.1 | Alveola ridges 31.1 Hard palate 6.9 Retromolar 13.8 Buccal mucosa and bucco alveolar sulci 24.1 Floor of mouth 24.1 | No-node resection 36.5 node resection 63.5 | T1 19.8 T2 42.7 T3 10.4 T4 27.1 | I 11.5 II 50.8 III 8.2 IVa 29.5 |
| Metastatic 91 patients | |||||
| Age Years (mean) | Sex (%) | Tumor Localization (%) | Cervical Lymph Node Resection (%) | pT (%) | Stage Grouping pTNM (%) |
| 61.9 | Male 68 Female 32 | Alveolar ridges 37.9 Retromolar 6.9 Buccal mucosa and Bucco alveolar sulci 20.7 Floor of mouth 34.5 | No-node resection 0 node resection 100 | T1 12.1 T2 34.1 T3 17.6 T4 6.2 | III 20.9 IVa 76.9 VIb 29.5 |
| Biomarker | Non Metastatic N = 96, Mean ± SD | Metastatic N = 91, Mean ± SD | MR * | 95% CI | p |
|---|---|---|---|---|---|
| AR | |||||
| cytoplasm | 14.4 (20.1) | 17.5 (19.7) | 1.55 | 0.87–2.73 | 0.134 |
| epithelium | 3.3 (6.7) | 5.7 (10.8) | 1.44 | 0.97–2.12 | 0.070 |
| stroma | 1.8 (4.5) | 4.5 (8.9) | 1.48 | 1.01–2.18 | 0.047 |
| ki67 | |||||
| epithelium | 45.9 (14.7) | 50.1 (15.4) | 1.10 | 1.01–1.21 | 0.041 |
| stroma | 14.3 (7.5) | 12.2 (8.2) | 0.78 | 0.64–0.95 | 0.013 |
| HF1beta | |||||
| epithelium | 26.6 (29.1) | 14.3 (21.6) | 0.37 | 0.21–0.65 | 0.001 |
| stroma | 11.0 (19.2) | 6.4 (14.9) | 0.93 | 0.57–1.51 | 0.760 |
| VEGF | |||||
| epithelium | 15.5 (17.4) | 9.6 (15.1) | 0.48 | 0.29–0.80 | 0.005 |
| stroma | 16.5 (22.0) | 9.5 (12.8) | 0.57 | 0.34–0.97 | 0.036 |
| macrophages | 15.7 (22.4) | 5.5 (9.7) | 0.41 | 0.24–0.69 | 0.001 |
| lymphocytes | 0.8 (4.4) | 3.8 (10.4) | 1.49 | 1.07–2.08 | 0.019 |
| MMP9 | |||||
| epithelium | 18.9 (23.4) | 15.2 (25.7) | 0.54 | 0.30–0.98 | 0.044 |
| stroma | 39.1 (22.1) | 43.6 (25.0) | 1.22 | 0.88–1.69 | 0.240 |
| macrophages | 11.3 (15.5) | 15.4 (14.2) | 2.43 | 1.45–4.06 | 0.001 |
| lymphocytes | 27.5 (24.7) | 29.3 (24.7) | 1.17 | 0.58–2.33 | 0.662 |
| Mean Ratio [95% CI) | |||
|---|---|---|---|
| Cytoplasmic AR/Metastatic stage ª | |||
| >=20%/No | <20%/Yes | >=20%/Yes | |
| Ki67 epithelium | 0.89 (0.78–1.03) | 1.01 (0.90–1.14) | 1.14 * (1.01–1.30) |
| HF1beta epithelium | 1.01 (0.44–2.34) | 0.35 * (0.17–0.71) | 0.41 * (0.19–0.88) |
| VEGF macrophages | 0.52 (0.23–1.16) | 0.36 * (0.19–0.71) | 0.32 * (0.16–0.63) |
| VEGF lymphocytes | 1.35 (0.82–2.24) | 1.50 (0.98–2.29) | 1.80 * (1.15–2.80) |
| MMP9 macrophages | 1.62 (0.75–3.51) | 3.01 * (1.57–5.78) | 2.52 * (1.28–4.97) |
| Biomarker | Mean Ratio [95% CI) | ||
|---|---|---|---|
| TNM ª | |||
| 2 | 3 | 4 | |
| Ki67 stroma | 0.99 (0.75–1.32) | 1.09 (0.79–1.51) | 0.72 * (0.57–0.92) |
| HF1beta epithelium | 0.49 (0.22–1.12) | 0.18 * (0.07–0.46) | 0.37 * (0.18–0.74) |
| VEGF epithelium | 1.29 (0.63–2.66) | 0.95 (0.42–2.15) | 0.45 * (0.24–0.83) |
| VEGF lymphocytes | 0.87 (0.54–1.41) | 2.27 * (1.33–3.88) | 1.16 (0.78–1.74) |
| MMP9 macrophages | 1.27 (0.61–2.66) | 3.29 * (1.42–7.63) | 1.93 * (1.02–3.63) |
Publisher’s Note: MDPI stays neutral with regard to jurisdictional claims in published maps and institutional affiliations. |
© 2021 by the authors. Licensee MDPI, Basel, Switzerland. This article is an open access article distributed under the terms and conditions of the Creative Commons Attribution (CC BY) license (https://creativecommons.org/licenses/by/4.0/).
Share and Cite
Batelja-Vuletic, L.; Tomasovic-Loncaric, C.; Ceppi, M.; Bruzzone, M.; Fucic, A.; Krstanac, K.; Boras Vucicevic, V. Comparison of Androgen Receptor, VEGF, HIF-1, Ki67 and MMP9 Expression between Non-Metastatic and Metastatic Stages in Stromal and Tumor Cells of Oral Squamous Cell Carcinoma. Life 2021, 11, 336. https://doi.org/10.3390/life11040336
Batelja-Vuletic L, Tomasovic-Loncaric C, Ceppi M, Bruzzone M, Fucic A, Krstanac K, Boras Vucicevic V. Comparison of Androgen Receptor, VEGF, HIF-1, Ki67 and MMP9 Expression between Non-Metastatic and Metastatic Stages in Stromal and Tumor Cells of Oral Squamous Cell Carcinoma. Life. 2021; 11(4):336. https://doi.org/10.3390/life11040336
Chicago/Turabian StyleBatelja-Vuletic, Lovorka, Cedna Tomasovic-Loncaric, Marcello Ceppi, Marco Bruzzone, Aleksandra Fucic, Karolina Krstanac, and Vanja Boras Vucicevic. 2021. "Comparison of Androgen Receptor, VEGF, HIF-1, Ki67 and MMP9 Expression between Non-Metastatic and Metastatic Stages in Stromal and Tumor Cells of Oral Squamous Cell Carcinoma" Life 11, no. 4: 336. https://doi.org/10.3390/life11040336
APA StyleBatelja-Vuletic, L., Tomasovic-Loncaric, C., Ceppi, M., Bruzzone, M., Fucic, A., Krstanac, K., & Boras Vucicevic, V. (2021). Comparison of Androgen Receptor, VEGF, HIF-1, Ki67 and MMP9 Expression between Non-Metastatic and Metastatic Stages in Stromal and Tumor Cells of Oral Squamous Cell Carcinoma. Life, 11(4), 336. https://doi.org/10.3390/life11040336

