Chitin Synthases Are Critical for Reproduction, Molting, and Digestion in the Salmon Louse (Lepeophtheirus salmonis)
Abstract
1. Introduction
2. Materials and Methods
2.1. Lepeophtheirus salmonis Production
2.2. RNA Interference (RNAi) Experiment
2.2.1. Synthesis of dsRNA
2.2.2. Injection of dsRNA Fragments into Pre-Adult I Lepeophtheirus salmonis
2.2.3. RNAi Trials
2.2.4. Fish Tank Setup
2.2.5. Sampling and Termination of Trials
2.3. Collection of Tissues and Organs for Tissue-Specific Localization of Transcripts
2.4. RNA Purification and cDNA Synthesis
2.5. Quantitative RT-PCR (qPCR)
2.6. Histology
2.7. Paraffin Embedding
2.8. In Situ Hybridization Analysis
2.9. Immunohistochemistry
2.10. Statistical Analysis
3. Results
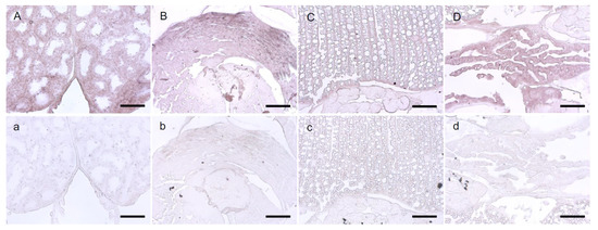
3.1. Localization of LsCHSs
3.2. WGA Signals in Female Lice
3.3. RNAi-Mediated Knockdown of LsCHSs
3.4. Functional Impact of CHS Knockdown
3.4.1. Knockdown of LsCHSs Induced Loss of Lice from the Fish
3.4.2. Knockdown of LsCHS1 Affected the Cuticle and the Subcuticular Layer
3.4.3. LsCHS Knockdown Affected Blood Feeding and Growth
Digestion
Growth
3.4.4. LsCHS Knockdown Affected the Reproductive Organs and the Offspring
4. Discussion
4.1. Chitin Detection by WGA and In Situ Localization of LsCHS2
4.2. LsCHS1 and LsCHS2 are Also Expressed in the Reproductive Organs and Intestine
4.3. Silencing the Expression of LsCHS1 Disrupts Development and Growth
4.4. Silencing the Expression of LsCHS1 or LsCHS2 Interferes with the Digestive System
4.5. LsCHS1 and LsCHS2 Are Important for Reproduction
Supplementary Materials
Author Contributions
Funding
Institutional Review Board Statement
Informed Consent Statement
Data Availability Statement
Acknowledgments
Conflicts of Interest
References
- Boxaspen, K. A review of the biology and genetics of sea lice. ICES J. Mar. Sci. 2006, 63, 1304–1316. [Google Scholar] [CrossRef]
 - Pike, A.; Wadsworth, S. Sealice on Salmonids: Their Biology and Control. Adv. Parasitol. 1999, 44, 234–337. [Google Scholar] [CrossRef]
 - Mackinnon, B.M. Host factors important in sea lice infections. ICES J. Mar. Sci. 1998, 55, 188–192. [Google Scholar] [CrossRef]
 - Costello, M.J. Ecology of sea lice parasitic on farmed and wild fish. Trends Parasitol. 2006, 22, 475–483. [Google Scholar] [CrossRef] [PubMed]
 - Barker, S.E.; Bricknell, I.R.; Covello, J.; Purcell, S.; Fast, M.D.; Wolters, W.; Bouchard, D.A. Sea lice, Lepeophtheirus salmonis (Krøyer 1837), infected Atlantic salmon (Salmo salar L.) are more susceptible to infectious salmon anemia virus. PLoS ONE 2019, 14, e0209178. [Google Scholar] [CrossRef]
 - Barker, D.E.; Braden, L.M.; Coombs, M.P.; Boyce, B. Preliminary studies on the isolation of bacteria from sea lice, Lepeophtheirus salmonis, infecting farmed salmon in British Columbia, Canada. Parasitol. Res. 2009, 105, 1173–1177. [Google Scholar] [CrossRef]
 - Overton, K.; Dempster, T.; Oppedal, F.; Kristiansen, T.S.; Gismervik, K.; Stien, L.H. Salmon lice treatments and salmon mortality in Norwegian aquaculture: A review. Rev. Aquac. 2018, 11, 1–20. [Google Scholar] [CrossRef]
 - Aaen, S.M.; Helgesen, K.O.; Bakke, M.J.; Kaur, K.; Horsberg, T.E. Drug resistance in sea lice: A threat to salmonid aquaculture. Trends Parasitol. 2015, 31, 72–81. [Google Scholar] [CrossRef]
 - Torrissen, O.; Jones, S.; Asche, F.; Guttormsen, A.; Skilbrei, O.T.; Nilsen, F.; Horsberg, T.E.; Jackson, D. Salmon lice—impact on wild salmonids and salmon aquaculture. J. Fish Dis. 2013, 36, 171–194. [Google Scholar] [CrossRef]
 - Fjørtoft, H.B.; Nilsen, F.; Besnier, F.; Stene, A.; Bjørn, P.A.; Tveten, A.; Aspehaug, V.T.; Finstad, B.; Glover, K.A. Salmon lice sampled from wild Atlantic salmon and sea trout throughout Norway display high frequencies of the genotype associated with pyrethroid resistance. Aquac. Environ. Interact. 2019, 11, 459–468. [Google Scholar] [CrossRef]
 - Bakke, T.A.; Harris, P.D. Diseases and parasites in wild Atlantic salmon (Salmo salar) populations. Can. J. Fish. Aquat. Sci. 1998, 55, 247–266. [Google Scholar] [CrossRef]
 - Hamre, L.A.; Eichner, C.; Caipang, C.M.A.; Dalvin, S.T.; Bron, J.E.; Nilsen, F.; Boxshall, G.; Skern-Mauritzen, R. The Salmon Louse Lepeophtheirus salmonis (Copepoda: Caligidae) Life Cycle Has Only Two Chalimus Stages. PLoS ONE 2013, 8, e73539. [Google Scholar] [CrossRef]
 - Eichner, C.; Frost, P.; Dysvik, B.; Jonassen, I.; Kristiansen, B.; Nilsen, F. Salmon louse (Lepeophtheirus salmonis) transcriptomes during post molting maturation and egg production, revealed using EST-sequencing and microarray analysis. BMC Genom. 2008, 9, 126. [Google Scholar] [CrossRef] [PubMed]
 - Ritchie, G.; Mordue, A.; Pike, A.; Rae, G. Morphology and Ultrastructure of the Reproductive System of Lepeophtheirus salmonis (Krøyer, 1937) (Copepoda:Caligidae). J. Crustac. Biol. 1996, 16, 330–346. [Google Scholar] [CrossRef]
 - Eisemann, C.H.; Binnington, K.C. The peritrophic membrane: Its formation, structure, chemical composition and permeability in relation to vaccination against ectoparasitic arthropods. Int. J. Parasitol. 1994, 24, 15–26. [Google Scholar] [CrossRef]
 - Ibrahim, G.H.; Smartt, C.T.; Kiley, L.M.; Christensen, B.M. Cloning and characterization of a chitin synthase cDNA from the mosquito Aedes aegypti. Insect Biochem. Mol. Biol. 2000, 30, 1213–1222. [Google Scholar] [CrossRef]
 - Kelkenberg, M.; Odman-Naresh, J.; Muthukrishnan, S.; Merzendorfer, H. Chitin is a necessary component to maintain the barrier function of the peritrophic matrix in the insect midgut. Insect Biochem. Mol. Biol. 2015, 56, 21–28. [Google Scholar] [CrossRef]
 - Nylund, A.; Økland, S.; Bjørknes, B. Anatomy and Ultrastructure of the Alimentary Canal in Lepeophtheirus salmonis (Copepoda: Siphonostomatoida). J. Crustac. Biol. 1992, 3, 423–437. [Google Scholar] [CrossRef]
 - Gutiérrez-Cabrera, A.E.; Córdoba-Aguilar, A.; Zenteno, E.; Lowenberger, C.; Espinoza, B. Origin, evolution and function of the hemipteran perimicrovillar membrane with emphasis on Reduviidae that transmit Chagas disease. Bull. Entomol. Res. 2016, 106, 279–291. [Google Scholar] [CrossRef]
 - Mansur, J.F.; Alvarenga, E.S.L.; Figueira-mansur, J.; Franco, T.A.; Ramos, I.B.; Masuda, H.; Melo, A.C.A.; Moreira, M.F. Effects of chitin synthase double-stranded RNA on molting and oogenesis in the Chagas disease vector Rhodnius prolixus. Insect Biochem. Mol. Biol. 2014, 51, 110–121. [Google Scholar] [CrossRef]
 - Souza-Ferreira, P.S.; Mansur, J.F.; Berni, M.; Moreira, M.F.; Dos Santos, R.E.; Araújo, H.M.M.; De Souza, W.; Ramos, I.B.; Masuda, H. Chitin deposition on the embryonic cuticle of Rhodnius prolixus: The reduction of CHS transcripts by CHS-dsRNA injection in females affects chitin deposition and eclosion of the first instar nymph. Insect Biochem. Mol. Biol. 2014, 51, 101–109. [Google Scholar] [CrossRef] [PubMed]
 - Urbina, M.A.; Cumillaf, J.P.; Paschke, K.; Gebauer, P. Effects of pharmaceuticals used to treat salmon lice on non-target species: Evidence from a systematic review. Sci. Total Environ. 2019, 649, 1124–1136. [Google Scholar] [CrossRef] [PubMed]
 - Philips, M.; Tang, W.J.; Robinson, M.; Daza, D.O.; Hassan, K.; Leppert, V.; Hirst, L.S.; Amemiya, C.T. Evidence of chitin in the ampullae of Lorenzini of chondrichthyan fishes. Curr. Biol. 2020, 30, R1254–R1255. [Google Scholar] [CrossRef] [PubMed]
 - Tang, W.J.; Fernandez, J.G.; Sohn, J.J.; Amemiya, C.T. Chitin is endogenously produced in vertebrates. Curr. Biol. 2015, 25, 879–900. [Google Scholar] [CrossRef] [PubMed]
 - Douris, V.; Steinbach, D.; Panteleri, R.; Livadaras, I.; Pickett, J.A.; Van Leeuwen, T.; Nauen, R.; Vontas, J. Resistance mutation conserved between insects and mites unravels the benzoylurea insecticide mode of action on chitin biosynthesis. Proc. Natl. Acad. Sci. USA 2016, 113, 14692–14697. [Google Scholar] [CrossRef] [PubMed]
 - Grigoraki, L.; Puggioli, A.; Mavridis, K.; Douris, V.; Montanari, M.; Bellini, R.; Vontas, J. Striking diflubenzuron resistance in Culex pipiens, the prime vector of West Nile Virus. Sci. Rep. 2017, 7, 11699. [Google Scholar] [CrossRef] [PubMed]
 - Porretta, D.; Fotakis, E.A.; Mastrantonio, V.; Chaskopoulou, A.; Michaelakis, A.; Kioulos, I.; Weill, M.; Urbanelli, S.; Vontas, J.; Bellini, R. Focal distribution of diflubenzuron resistance mutations in Culex pipiens mosquitoes from Northern Italy. Acta Trop. 2019, 193, 106–112. [Google Scholar] [CrossRef]
 - Hogenkamp, D.G.; Arakane, Y.; Zimoch, L.; Merzendorfer, H.; Kramer, K.J.; Beeman, R.W.; Kanost, M.R.; Specht, C.A.; Muthukrishnan, S. Chitin synthase genes in Manduca sexta: Characterization of a gut-specific transcript and differential tissue expression of alternately spliced mRNAs during development. Insect Biochem. Mol. Biol. 2005, 35, 529–540. [Google Scholar] [CrossRef]
 - Arakane, Y.; Muthukrishnan, S.; Kramer, K.J.; Specht, C.A.; Tomoyasu, Y.; Lorenzen, M.D.; Kanost, M.; Beeman, R.W. The Tribolium chitin synthase genes TcCHS1 and TcCHS2 are specialized for synthesis of epidermal cuticle and midgut peritrophic matrix. Insect Mol. Biol. 2005, 14, 453–463. [Google Scholar] [CrossRef]
 - Al-Mokhlef, A.A.; Mariy, F.M.; Emam, A.K.; Ali, G.M. Effect of teflubenzuron on ultrastructure and components of the integument in Schistocerca gregaria (Forskal) 5th instar nymphs. Ann. Agric. Sci. 2012, 57, 1–6. [Google Scholar] [CrossRef][Green Version]
 - Silva, C.P.; Silva, J.R.; Vasconcelos, F.F.; Petretski, M.D.A.; DaMatta, R.A.; Ribeiro, A.F.; Terra, W.R. Occurrence of midgut perimicrovillar membranes in paraneopteran insect orders with comments on their function and evolutionary significance. Arthropod Struct. Dev. 2004, 33, 139–148. [Google Scholar] [CrossRef] [PubMed]
 - Uddowla, H.; Kim, A.R.; Park, W.; Kim, H. cDNAs Encoding Chitin Synthase from Shrimp (Pandalopsis Japonica): Molecular Characterization and Expression Analysis. Aquac. Res. Dev. 2015, 6, 298. [Google Scholar] [CrossRef]
 - Hwang, D.S.; Lee, M.C.; Kyung, D.H.; Kim, H.S.; Han, J.; Kim, I.C.; Puthumana, J.; Lee, J.S. WAFs lead molting retardation of naupliar stages with down-regulated expression profiles of chitin metabolic pathway and related genes in the copepod Tigriopus japonicus. Comp. Biochem. Physiol. Part C Toxicol. Pharmacol. 2017, 193, 9–17. [Google Scholar] [CrossRef] [PubMed]
 - Harðardóttir, H.M.; Male, R.; Nilsen, F.; Eichner, C.; Dondrup, M.; Dalvin, S. Chitin synthesis and degradation in Lepeophtheirus salmonis: Molecular characterization and gene expression profile during synthesis of a new exoskeleton. Comp. Biochem. Physiol. Part A 2019, 227, 123–133. [Google Scholar] [CrossRef] [PubMed]
 - Braden, L.; Michaud, D.; Igboeli, O.O.; Dondrup, M.; Hamre, L.; Dalvin, S.; Purcell, S.L.; Kongshaug, H.; Eichner, C.; Nilsen, F.; et al. Identification of critical enzymes in the salmon louse chitin synthesis pathway as revealed by RNA interference-mediated abrogation of infectivity. Int. J. Parasitol. 2020, 50, 873–889. [Google Scholar] [CrossRef] [PubMed]
 - Arakane, Y.; Specht, C.a.; Kramer, K.J.; Muthukrishnan, S.; Beeman, R.W. Chitin synthases are required for survival, fecundity and egg hatch in the red flour beetle, Tribolium castaneum. Insect Biochem. Mol. Biol. 2008, 38, 959–962. [Google Scholar] [CrossRef]
 - Macedo, L.L.P.; de Antonino Souza Junior, J.D.; Coelho, R.R.; Fonseca, F.C.A.; Firmino, A.A.P.; Silva, M.C.M.; Fragoso, R.R.; Albuquerque, E.V.S.; Silva, M.S.; de Almeida Engler, J.; et al. Knocking down chitin synthase 2 by RNAi is lethal to the cotton boll weevil. Biotechnol. Res. Innov. 2017, 1, 72–86. [Google Scholar] [CrossRef]
 - Hamre, L.A.; Glover, K.A.; Nilsen, F. Establishment and characterisation of salmon louse (Lepeophtheirus salmonis (Krøyer 1837)) laboratory strains. Parasitol. Int. 2009, 58, 451–460. [Google Scholar] [CrossRef]
 - Dalvin, S.; Frost, P.; Biering, E.; Hamre, L.A.; Eichner, C.; Krossøy, B.; Nilsen, F. Functional characterisation of the maternal yolk-associated protein (LsYAP) utilising systemic RNA interference in the salmon louse (Lepeophtheirus salmonis) (Crustacea: Copepoda). Int. J. Parasitol. 2009, 39, 1407–1415. [Google Scholar] [CrossRef]
 - Frost, P.; Nilsen, F. Validation of reference genes for transcription profiling in the salmon louse, Lepeophtheirus salmonis, by quantitative real-time PCR. Vet. Parasitol. 2003, 118, 169–174. [Google Scholar] [CrossRef]
 - Øvergård, A.C.; Eichner, C.; Nilsen, F.; Dalvin, S. Molecular characterization and functional analysis of a salmon louse (Lepeophtheirus salmonis, Krøyer 1838) heme peroxidase with a potential role in extracellular matrixes. Comp. Biochem. Physiol. Part A Mol. Integr. Physiol. 2017, 206, 1–10. [Google Scholar] [CrossRef] [PubMed]
 - Livak, K.J.; Schmittgen, T.D. Analysis of relative gene expression data using real-time quantitative PCR and. Methods 2001, 25, 402–408. [Google Scholar] [CrossRef] [PubMed]
 - Dalvin, S.; Nilsen, F.; Skern-Mauritzen, R. Localization and transcription patterns of LsVasa, a molecular marker of germ cells in Lepeophtheirus salmonis (Krøyer). J. Nat. Hist. 2013, 47, 889–900. [Google Scholar] [CrossRef]
 - Ye, C.; Jiang, Y.D.; An, X.; Yang, L.; Shang, F.; Niu, J.; Wang, J.J. Effects of RNAi-based silencing of chitin synthase gene on moulting and fecundity in pea aphids (Acyrthosiphon pisum). Sci. Rep. 2019, 9, 3694. [Google Scholar] [CrossRef] [PubMed]
 - Zhai, Y.; Fan, X.; Yin, Z.; Yue, X.; Men, X.; Zheng, L.; Zhang, W. Identification and Functional Analysis of Chitin Synthase A in Oriental Armyworm, Mythimna separata. Proteomics 2017, 17, 1700165. [Google Scholar] [CrossRef]
 - Wilson, T.G.; Cryan, J.R. Lufenuron, a chitin-synthesis inhibitor, interrupts development of Drosophila melanogaster. J. Exp. Zool. 1997, 278, 37–44. [Google Scholar] [CrossRef]
 - Dean, S.R.; Meola, R.W.; Meola, S.M.; Sittertz-Bhatkar, H.; Schenker, R. Mode of action of lufenuron in adult Ctenocephalides felis (Siphonaptera: Pulicidae). J. Med. Entomol. 1999, 36, 486–492. [Google Scholar] [CrossRef]
 - Moreira, M.F.; dos Santos, A.S.; Marotta, H.R.; Mansur, J.F.; Ramos, I.B.; Machado, E.A.; Souza, G.H.M.F.; Eberlin, M.N.; Kaiser, C.R.; Kramer, K.J.; et al. A chitin-like component in Aedes aegypti eggshells, eggs and ovaries. Insect Biochem. Mol. Biol. 2007, 37, 1249–1261. [Google Scholar] [CrossRef]
 - Sugier, K.; Vacherie, B.; Cornils, A.; Wincker, P.; Jamet, J.L.; Madoui, M.A. Chitin distribution in the Oithona digestive and reproductive systems revealed by fluorescence microscopy. PeerJ 2018, 2018, e4685. [Google Scholar] [CrossRef]
 - Alvarenga, E.S.L.; Mansur, J.F.; Justi, S.A.; Figueira-Mansur, J.; Dos Santos, V.M.; Lopez, S.G.; Masuda, H.; Lara, F.A.; Melo, A.C.A.; Moreira, M.F. Chitin is a component of the Rhodnius prolixus midgut. Insect Biochem. Mol. Biol. 2016, 69, 61–70. [Google Scholar] [CrossRef]
 - Alagboso, F.I.; Reisecker, C.; Hild, S.; Ziegler, A. Ultrastructure and mineral composition of the cornea cuticle in the compound eyes of a supralittoral and a marine isopod. J. Struct. Biol. 2014, 187, 158–173. [Google Scholar] [CrossRef] [PubMed]
 - Wang, L.; Li, F.; Wang, B.; Xiang, J. Structure and partial protein profiles of the peritrophic membrane (PM) from the gut of the shrimp Litopenaeus vannamei. Fish Shellfish Immunol. 2012, 33, 1285–1291. [Google Scholar] [CrossRef]
 - Štrus, J.; Tušek-Žnidarič, M.; Repnik, U.; Blejec, A.; Summers, A. Microscopy of crustacean cuticle: Formation of a flexible extracellular matrix in moulting sea slaters Ligia pallasii. J. Mar. Biol. Assoc. UK 2019, 99, 857–865. [Google Scholar] [CrossRef]
 - Aldred, N.; Chan, V.B.S.; Emami, K.; Okano, K.; Clare, A.S.; Mount, A.S. Chitin is a functional component of the larval adhesive of barnacles. Commun. Biol. 2020, 3, 31. [Google Scholar] [CrossRef] [PubMed]
 - Zimoch, L.; Merzendorfer, H. Immunolocalization of chitin synthase in the tobacco hornworm. Cell Tissue Res. 2002, 308, 287–297. [Google Scholar] [CrossRef]
 - Zhang, X.; Zhang, J.; Park, Y.; Zhu, K.Y. Identification and characterization of two chitin synthase genes in African malaria mosquito, Anopheles gambiae. Insect Biochem. Mol. Biol. 2012, 42, 674–682. [Google Scholar] [CrossRef] [PubMed]
 - Yang, X.; Yin, Q.; Xu, Y.; Li, X.; Sun, Y.; Ma, L.; Zhou, D.; Shen, B. Molecular and physiological characterization of the chitin synthase B gene isolated from Culex pipiens pallens (Diptera: Culicidae). Parasites Vectors 2019, 12, 614. [Google Scholar] [CrossRef] [PubMed]
 - Wang, Z.; Yang, H.; Zhou, C.; Yang, W.J.; Jin, D.C.; Long, G.Y. Molecular cloning, expression, and functional analysis of the chitin synthase 1 gene and its two alternative splicing variants in the white-backed planthopper, Sogatella furcifera (Hemiptera: Delphacidae). Sci. Rep. 2019, 9, 1087. [Google Scholar] [CrossRef]
 - Chen, L.; Yang, W.-J.; Cong, L.; Xu, K.-K.; Wang, J.-J. Molecular Cloning, Characterization and mRNA Expression of a Chitin Synthase 2 Gene from the Oriental Fruit Fly, Bactrocera dorsalis (Diptera: Tephritidae). Int. J. Mol. Sci. 2013, 14, 17055–17072. [Google Scholar] [CrossRef]
 - Shi, J.F.; Mu, L.L.; Chen, X.; Guo, W.C.; Li, G.Q. RNA interference of chitin synthase genes inhibits chitin biosynthesis and affects larval performance in Leptinotarsa decemlineata (Say). Int. J. Biol. Sci. 2016, 12, 1319–1331. [Google Scholar] [CrossRef]
 - Chen, X.; Yang, X.; Senthil Kumar, N.; Tang, B.; Sun, X.; Qiu, X.; Hu, J.; Zhang, W. The class A chitin synthase gene of Spodoptera exigua: Molecular cloning and expression patterns. Insect Biochem. Mol. Biol. 2007, 37, 409–417. [Google Scholar] [CrossRef] [PubMed]
 - Kumar, N.S.; Tang, B.; Chen, X.; Tian, H.; Zhang, W. Molecular cloning, expression pattern and comparative analysis of chitin synthase gene B in Spodoptera exigua. Comp. Biochem. Physiol. B Biochem. Mol. Biol. 2008, 149, 447–453. [Google Scholar] [CrossRef] [PubMed]
 - Qu, M.; Liu, T.; Yang, J.; Yang, Q. The gene, expression pattern and subcellular localization of chitin synthase B from the insect Ostrinia furnacalis. Biochem. Biophys. Res. Commun. 2011, 404, 302–307. [Google Scholar] [CrossRef] [PubMed]
 - Yang, W.; Xu, K.; Cong, L.; Wang, J. Identification, mRNA expression, and functional analysis of chitin synthase 1 gene and its two alternative splicing variants in oriental fruit fly, Bactrocera dorsalis. Int. J. Biol. Sci. 2013, 9, 331–342. [Google Scholar] [CrossRef] [PubMed]
 - Attardo, G.M.; Hansen, I.A.; Raikhel, A.S. Nutritional regulation of vitellogenesis in mosquitoes: Implications for anautogeny. Insect Biochem. Mol. Biol. 2005, 35, 661–675. [Google Scholar] [CrossRef]
 - Kvamme, B.O.; Skern, R.; Frost, P.; Nilsen, F. Molecular characterisation of five trypsin-like peptidase transcripts from the salmon louse (Lepeophtheirus salmonis) intestine. Int. J. Parasitol. 2004, 34, 823–832. [Google Scholar] [CrossRef]
 - Bansal, R.; Rouf Mian, M.a.; Mittapalli, O.; Michel, A.P. Characterization of a chitin synthase encoding gene and effect of diflubenzuron in soybean aphid, aphis glycines. Int. J. Biol. Sci. 2012, 8, 1323–1334. [Google Scholar] [CrossRef]
 - Ostrowski, S.; Dierick, H.A.; Bejsovec, A. Genetic control of cuticle formation during embryonic development of Drosophila melanogaster. Genet. Soc. Am. 2002, 161, 171–182. [Google Scholar]
 










| Gene | Primer Identification | Forward (3′–5′) | Reverse (3′–5′) | Method | Product Size | 
| LsCHS1 | Forward_b2874 | GCGTTGCGTTCATACCTTCT | TAATTTTCCCACCAACCCGC | qPCR | 214 | 
| Reverse_b2875 | |||||
| Forward_b4615 | TAATACGACTCACTATAGGGAGA- | CGGTGCCAAACGTTCACAAT | In situ | 721 | |
| Reverse_b4614 | AGCCTGGACCGTACCTGTAT | anit-sense probe | |||
| Forward_b4613 | AGCCTGGACCGTACCTGTAT | TAATACGACTCACTATAGGGAGA- | In situ | 721 | |
| Reverse_b4616 | CGGTGCCAAACGTTCACAAT | sense probe | |||
| Forward_b4611 | TAATACGACTCACTATAGGGAGA- | TAATACGACTCACTATAGGGAGA- | dsRNA | 380 | |
| Reverse_b4612 | TGGTGTGAGGCGTTAGAACC | CGTGAGTGGAGTGGCTTCAT | |||
| Gene | Primer Identification | Forward (3′–5′) | Reverse (3′–5′) | Method | Product Size | 
| LsCHS2 | Forward b2876 | TCACTCACGTCCCCATTTCT | TCGATGGATGCTAGCCGAAT | qPCR | 242 | 
| Reverse b2877 | |||||
| Forward_b7044 | CTTGGACACTTCCTTTAGGC | TAATACGACTCACTATAGGGAGA- | In situ | 551 | |
| Reverse_b5763 | GACCGCTGCATAAGATACG | anti-sense probe | |||
| Forward_b5762 | TAATACGACTCACTATAGGGAGA- | GACCGCTGCATAAGATACG | In situ | 551 | |
| Reverse_b7045 | CTTGGACACTTCCTTTAGGC | sense probe | |||
| Forward b2843 | TAATACGACTCACTATAGGGAGA- | TAATACGACTCACTATAGGGAGA- | dsRNA | 563 | |
| Reverse b2844 | CAACGAACCCACGAAGAGTTGATT | TTGTCGTCCCGTTAATATAGGCCA | 
Publisher’s Note: MDPI stays neutral with regard to jurisdictional claims in published maps and institutional affiliations.  | 
© 2021 by the authors. Licensee MDPI, Basel, Switzerland. This article is an open access article distributed under the terms and conditions of the Creative Commons Attribution (CC BY) license (http://creativecommons.org/licenses/by/4.0/).
Share and Cite
Harðardóttir, H.M.; Male, R.; Nilsen, F.; Dalvin, S. Chitin Synthases Are Critical for Reproduction, Molting, and Digestion in the Salmon Louse (Lepeophtheirus salmonis). Life 2021, 11, 47. https://doi.org/10.3390/life11010047
Harðardóttir HM, Male R, Nilsen F, Dalvin S. Chitin Synthases Are Critical for Reproduction, Molting, and Digestion in the Salmon Louse (Lepeophtheirus salmonis). Life. 2021; 11(1):47. https://doi.org/10.3390/life11010047
Chicago/Turabian StyleHarðardóttir, Hulda María, Rune Male, Frank Nilsen, and Sussie Dalvin. 2021. "Chitin Synthases Are Critical for Reproduction, Molting, and Digestion in the Salmon Louse (Lepeophtheirus salmonis)" Life 11, no. 1: 47. https://doi.org/10.3390/life11010047
APA StyleHarðardóttir, H. M., Male, R., Nilsen, F., & Dalvin, S. (2021). Chitin Synthases Are Critical for Reproduction, Molting, and Digestion in the Salmon Louse (Lepeophtheirus salmonis). Life, 11(1), 47. https://doi.org/10.3390/life11010047
        
