Investigation of Silicon Cyclone Dust and Products of Its Flotation Enrichment
Abstract
1. Introduction
- The interaction between silicon monoxide and carbon monoxide in the gas phase in a furnace at a temperature of 1400–1800 K leads to the formation of microsilica. In low-temperature zones of the furnace, which experience a sharp decrease in both the gas phase temperature and the equilibrium concentration of SiO, disproportionation of silicon monoxide can occur. At very high cooling rates of the gas phase, direct condensation of silicon monoxide is possible. A significant portion of the microsilica formed at this stage is returned to the process.
- In open furnaces, microsilica formation occurs as a result of oxidation.
- Microsilica formation occurs due to mechanical entrainment of small fractions of the charge.
2. Materials and Methods of Research
3. Results and Discussion
3.1. Research of into the Kinetics of Cyclone Dust Flotation
- Hygroscopicity (temperature 24.8 °C, relative humidity 100%) was 16.6%;
- Regarding the static angle of repose, the minimum angle β was 30° and the maximum angle α was 70°;
- Specific electrical resistance was 6.5 × 107 Ohm × m;
- Dynamic angle of repose was 39.3°;
- Bulk density was 680 kg/m3.
3.2. Preliminary Preparation of Cyclone Dust for Flotation Enrichment
- Phase composition—silicon carbide and crystalline silicon dioxide appeared in approximately equal proportions, with up to 5% crystalline silicon;
- The granulometric composition of the crystalline phase contained particles 20–650 μm in size;
- Up to 20% of the amorphous phase was represented by silicon dioxide with a size of up to 20 μm;
- The d80 was 327 μm.
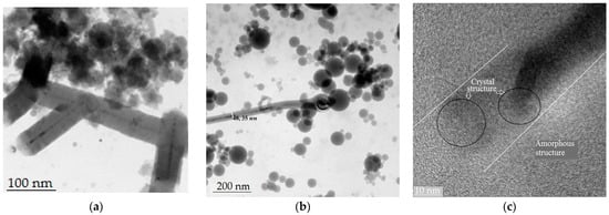
3.3. Transmission and Electron Microscopy of the Obtained Products
3.4. A Structural Diagram of the Technology Used for Flotation Separation of the Silicate and Carbon Phases of Cyclone Dust
- Preliminary preparation of dust for flotation;
- Repulping of the prepared dust;
- Sonochemical treatment of pulp;
- Gravitational separation of the sand phase;
- Flotation separation.
4. Conclusions
- Composition: SiO2 = 67.37%, C = 23.47%, SiC = 5.03%, CaO = 1.19%, Al2O3 = 0.24%, K2O = 0.24%, Fe2O3 = 0.21%, MgO = 0.059%, Na2O = 0.059%, others—2.132%;
- Phase composition of cyclone dust: SiO2 (quartz and cristobalite), SiC (moissanite), C (graphite), Si (silicon);
- Granulometric composition of dust after sifting through a 400 μm sieve: particle sizes vary from 0.01 μm to 400 μm, with a maximum particle distribution near 100 μm;
- Bulk density of cyclone dust is 680 kg/m3;
- Dynamic angle of repose is 39.3°;
- Static angle of repose: the minimum angle β was 30°, the maximum angle α was 70°;
- Hygroscopicity at a temperature of 24.8 °C and a relative humidity of 100% was 16.6%;
- Specific electrical resistance: 6.5 × 107 Ohm × m.
- Composition: silicon carbide and crystalline silicon dioxide in approximately equal proportions, with up to 5% crystalline silicon;
- Granulometric composition of crystalline phase: 20–650 μm;
- Up to 20% of the amorphous phase was represented by silicon dioxide, which had a size of up to 20 μm.
Author Contributions
Funding
Data Availability Statement
Conflicts of Interest
References
- Silicon Production by Country 2024. Available online: https://worldpopulationreview.com/country-rankings/silicon-production-by-country (accessed on 10 January 2025).
- Pizzini, S. Towards solar grade silicon: Challenges and benefits for low cost photovoltaics. Sol. Energy Mater. Sol. Cells 2010, 94, 1528–1533. [Google Scholar] [CrossRef]
- Pizzini, S.; Calligarich, C. On the Effect of Impurities on the Photovoltaic Behavior of Solar-Grade Silicon. J. Electrochem. Soc. 1984, 131, 2128. [Google Scholar] [CrossRef]
- Kondratiev, V.V.; Govorkov, A.S.; Kolosov, A.D.; Gorovoy, V.O.; Karlina, A.I. The development of a test stand for developing technological operation “flotation and separation of MD2. The deposition of nanostructures MD1” produce nanostructures with desired properties. Int. J. Appl. Eng. Res. 2017, 12, 12373–12377. [Google Scholar]
- Protopopov, E.V.; Galevsky, G.V.; Temlyantsev, M.V. The use of technogenic metallurgical waste in silicon carbide technology. Bull. Kuzbass State Technol. Univ. 2014, 4, 103–110. [Google Scholar]
- Burkat, B.C.; Drukarev, V.A. Reduction of Emissions into the Atmosphere at Aluminum Production; St. Petersburg Mining University: St. Petersburg, Russia, 2005; p. 275. [Google Scholar]
- Kondratyev, V.V.; Nemchinova, N.V.; Ivanov, N.A.; Ershov, V.A.; Sysoev, I.A. New technological solutions for processing of silicon and aluminum production wastes. Metallurgist 2013, 5, 92–95. [Google Scholar]
- Rzhechitskiy, E.P.; Kondratyev, V.V. Ecological and economic efficiency of recycling of gas cleaning solutions and fluorocarbon-containing wastes of aluminum production. Ecol. Ind. Russ. 2011, 8, 28–31. [Google Scholar]
- Kondratyev, V.V. Prospects of processing of the solid fluorocarbon-containing wastes of aluminum. Bull. Irkutsk. State Tech. Univ. 2007, 1–2, 36–41. [Google Scholar]
- Nemchinova, N.V.; Mineeva, T.S.; Nikanorov, A.V. Problems of environmental safety of aluminum and silicon production. Mod. Probl. Sci. Educ. 2013, 3, 10–14. [Google Scholar]
- Sivtsov, A.V.; Tsimbalist, M.M.; Fadeev, V.I.; Ostrovskii, Y.I.; Veselovskii, I.A.; Afanas’ev, V.I. Method of controlling the charge feeding conditions in melting of ferrosilicium and ferrosilicochromium. Russ. Met. 2012, 2012, 1036–1040. [Google Scholar] [CrossRef]
- Katkov, O.M. Technology of Technical Silicon Smelting; Kermniy: Irkutsk, Russia, 1999; p. 244. [Google Scholar]
- Elkin, K.S.; Sivtsov, A.V.; Elkin, D.K.; Karlina, A.I. Use of Silicon Carbide Materials in Reduction Smelting of Metallic Silicon and Siliceous Ferroalloys. Metallurgist 2022, 66, 172–179. [Google Scholar] [CrossRef]
- Nemchinova, N.V.; Kritskaya, T.V.; Kolobov, G.A. Study of the impurity composition of silicon of metallurgical grades. Metallurgy 2015, 1, 71–75. [Google Scholar]
- Nehamin, S.M. Creation and Implementation of Energy-Efficient Arc and Slag Electric Furnace Complexes Using Direct Current and Current of Reduced Frequency; National Research University MPEI: Moscow, Russia, 2015; p. 40. [Google Scholar]
- Nehamin, S.M.; Friedman, M.A.; Scherbinin, V.I.; Kotyuk, A.V.; Artemenko, S.A.; Shevchenko, E.V. Smelting of silicon in an orethermal furnace on rectified current. Non-Ferr. Met. 2000, 2, 60–63. [Google Scholar]
- Nemchinova, N.V.; Bychinsky, V.A.; Belsky, S.S.; Kljets, V.E. Basic physico-chemical model of silicon carbothermal melting. Izv. Vuzov. Non-Ferr. Metall. 2008, 4, 56–63. [Google Scholar]
- Yolkin, D.K.; Zelberg, B.I.; Glushkevich, M.I.; Yolkin, K.S. Systems and apparatuses of dry gas purification. Transp. Infrastruct. Sib. Reg. 2015, 1, 244–249. [Google Scholar]
- Lokhova, N.A.; Makarova, I.A.; Patramanskaya, S.V. Roasting Materials Based on Microsilica; Bratsk State University: Bratsk, Russia, 2002; p. 163. [Google Scholar]
- Rassokhin, A.S.; Ponomarev, A.N.; Figovsky, O.L. Silica fumes of different types for high-performance fine-grained concrete. Mag. Civ. Eng. 2018, 78, 151–160. [Google Scholar] [CrossRef]
- Rassokhin, A.S.; Ponomarev, A.N.; Figovsky, O.L. Ultra-light hybrid composite wood-polymer structural materials in construction. Mag. Civ. Eng. 2018, 79, 132–139. [Google Scholar] [CrossRef]
- Ponomarev, A.; Steshenko, D.; Rassokhin, A. Development of technology for production of fire-resistant nanocomposite constructional rebar and structural elements based on it. MATEC Web Conf. 2018, 245, 04001. [Google Scholar] [CrossRef]
- Loos, M. Carbon Nanotube Reinforced Composites: CNT Polymer Science and Technology; William Andrew: Norwich, NY, USA, 2014; p. 304. [Google Scholar]
- Arifuzzaman, M. Polymer nanocomposites for road construction: Investigating the aging performance of polymer and carbon nanotube–modified asphalt binder. In Advanced Polymer Nanocomposites; Woodhead Publishing: Thorston, UK, 2022; pp. 319–334. [Google Scholar]
- Strozzi, M.; Smirnov, V.V.; Pellicano, F.; Kovaleva, M. Nonlocal anisotropic elastic shell model for vibrations of double-walled carbon nanotubes under nonlinear van der Waals interaction forces. Int. J. Non-Linear Mech. 2022, 146, 104172. [Google Scholar] [CrossRef]
- Ghavanloo, E.; Fazelzadeh, S.A. Vibration characteristics of single-walled carbon nanotubes based on an anisotropic elastic shell model including chirality effect. Appl. Math. Model. 2012, 36, 4988–5000. [Google Scholar] [CrossRef]
- Strozzi, M.; Elishakoff, I.E.; Bochicchio, M.; Cocconcelli, M.; Rubini, R.; Radi, E. A Comparison of Shell Theories for Vibration Analysis of Single-Walled Carbon Nanotubes Based on an Anisotropic Elastic Shell Model. Nanomaterials 2023, 13, 1390. [Google Scholar] [CrossRef]
- Rassokhin, A.; Ponomarev, A.; Shambina, S.; Karlina, A. Different types of basalt fibers for disperse reinforcing of fine-grained concrete. Mag. Civ. Eng. 2022, 109, 10913. [Google Scholar]
- Shu, B.; Wu, S.; Pang, L.; Javilla, B. The Utilization of Multiple-Walled Carbon Nanotubes in Polymer Modified Bitumen. Materials 2017, 10, 416. [Google Scholar] [CrossRef] [PubMed]
- Akhnoukh, A.K. Improving Concrete Infrastructure Project Conditions by Mitigating Alkali–Silica Reactivity of Fine Aggregates. Constr. Mater. 2023, 3, 233–243. [Google Scholar] [CrossRef]
- Mohmmad, S.H.; Shakor, P.; Muhammad, J.H.; Hasan, M.F.; Karakouzian, M. Sustainable Alternatives to Cement: Synthesizing Metakaolin-Based Geopolymer Concrete Using Nano-Silica. Constr. Mater. 2023, 3, 276–286. [Google Scholar] [CrossRef]
- Nafees, A.; Javed, M.F.; Khan, S.; Nazir, K.; Farooq, F.; Aslam, F.; Musarat, M.A.; Vatin, N.I. Predictive Modeling of Mechanical Properties of Silica Fume-Based Green Concrete Using Artificial Intelligence Approaches: MLPNN, ANFIS, and GEP. Materials 2021, 14, 7531. [Google Scholar] [CrossRef]
- AlTawaiha, H.; Alhomaidat, F.; Eljufout, T. A Review of the Effect of Nano-Silica on the Mechanical and Durability Properties of Cementitious Composites. Infrastructures 2023, 8, 132. [Google Scholar] [CrossRef]
- Wu, L.; Lu, Z.; Zhuang, C.; Chen, Y.; Hu, R. Mechanical Properties of Nano SiO2 and Carbon Fiber Reinforced Concrete after Exposure to High Temperatures. Materials 2019, 12, 3773. [Google Scholar] [CrossRef] [PubMed]
- Ivanchik, N.N.; Balanovsky, A.E.; Shtayger, M.G.; Sysoev, I.A.; Karlina, A.I. Capability enhancement of production of activating fluxes for arc welding using ultradispersed products of silicon waste processing. IOP Conf. Ser. Mater. Sci. Eng. 2018, 411, 012035. [Google Scholar] [CrossRef]
- GOST 23581.9-79; Iron Ores, Concentrates, Agglomerates and Pellets. Methods of Determination of Carbon Content. RussianGost: Moscow, Russia, 1985.
- Wu, H.; Yang, J.; Zhang, Y.; Xu, L.; Meng, J.; Jin, J. Effects of Spodumene Flotation Tailings on Mechanical Properties of Acid-Based Geopolymer Mortar. Minerals 2023, 13, 150. [Google Scholar] [CrossRef]
- Kondratiev, V.V.; Nebogin, S.A.; Sysoev, I.A.; Gorovoy, V.O.; Karlina, A.I. Description of the test stand for developing of technological operation of nano-dispersed dust preliminary coagulation. Int. J. Appl. Eng. Res. 2017, 12, 12809–12813. [Google Scholar]
- Nemarov, A.A.; Lebedev, N.V.; Kondrat’ev, V.V.; Kornyakov, M.V.; Karlina, A.I. Theoretical and experimental research of parameters of pneumatic aerators and elementary cycle flotation. Int. J. Appl. Eng. Res. 2016, 11, 10222–10226. [Google Scholar]
- Jiang, Y.; Sun, C.; Kou, J. Enhanced Flotation Separation of Iron and Silicon with Branched Block Polyethylene Oxide Polypropylene Oxide and Sodium Oleate: Mechanisms and Flotation Behavior. Minerals 2024, 14, 1081. [Google Scholar] [CrossRef]
- Rulyov, N.N.; Filippov, L.O.; Sadovskyi, D.Y.; Lukianova, V.V.; Filippova, I.V. Reverse Column Flotation of Ultrafine Magnetite Mixture with Fine Glass Beads Enhanced by Fine Bubbles. Minerals 2022, 12, 584. [Google Scholar] [CrossRef]
- Liu, Q.; Wannas, D. The role of polymeric-depressant-induced flocculation in fine particle flotation. In Particle Size Enlargement in Mineral Processing, Proceedings of the UBC-McGill Biennial International Symposium on Fundamentals of Mineral Processing 5th, Hamilton, ON, Canada, 1 August 2004; Canadian Institute of Mining, Metallurgy and Petroleum: Westmount, QC, Canada, 2014; pp. 179–193. [Google Scholar]
- Derjaguin, B.V.; Dukhin, S.S.; Rulyov, N.N. Kinetic Theory of Flotation of Small Particles. Surf. Colloid Sci. 1984, 13, 71–113. [Google Scholar]















| x < microns | 0.1 | 0.2 | 0.4 | 0.8 | 1.5 | 3 | 6 | 12 | 25 | 45 | 100 | 200 |
| % | 0 | 0.1 | 0.9 | 2 | 4 | 9.3 | 18 | 28.6 | 44.7 | 64 | 94.5 | 100 |
| No. | Phase | Content, % |
|---|---|---|
| 1 | SiC (Moissanite) | 52 |
| 2 | SiO2 (Quartz) | 36 |
| 3 | SiO2 (Cristobalite) | 8 |
| 4 | Si (Crystal) | 4 |
| x < microns | 10 | 15 | 25 | 35 | 55 | 80 | 125 | 200 | 300 | 400 |
| % | 15.3 | 18.5 | 20.2 | 20.3 | 21 | 24.1 | 33.2 | 49.6 | 72.6 | 100 |
Disclaimer/Publisher’s Note: The statements, opinions and data contained in all publications are solely those of the individual author(s) and contributor(s) and not of MDPI and/or the editor(s). MDPI and/or the editor(s) disclaim responsibility for any injury to people or property resulting from any ideas, methods, instructions or products referred to in the content. |
© 2025 by the authors. Licensee MDPI, Basel, Switzerland. This article is an open access article distributed under the terms and conditions of the Creative Commons Attribution (CC BY) license (https://creativecommons.org/licenses/by/4.0/).
Share and Cite
Karlina, A.I.; Karlina, Y.I.; Gladkikh, V.A. Investigation of Silicon Cyclone Dust and Products of Its Flotation Enrichment. Minerals 2025, 15, 209. https://doi.org/10.3390/min15030209
Karlina AI, Karlina YI, Gladkikh VA. Investigation of Silicon Cyclone Dust and Products of Its Flotation Enrichment. Minerals. 2025; 15(3):209. https://doi.org/10.3390/min15030209
Chicago/Turabian StyleKarlina, Antonina I., Yuliya I. Karlina, and Vitaliy A. Gladkikh. 2025. "Investigation of Silicon Cyclone Dust and Products of Its Flotation Enrichment" Minerals 15, no. 3: 209. https://doi.org/10.3390/min15030209
APA StyleKarlina, A. I., Karlina, Y. I., & Gladkikh, V. A. (2025). Investigation of Silicon Cyclone Dust and Products of Its Flotation Enrichment. Minerals, 15(3), 209. https://doi.org/10.3390/min15030209

