Antibodies Against SARS-CoV-2 Nucleocapsid Protein Possess Autoimmune Properties
Abstract
1. Introduction
2. Materials and Methods
2.1. Cells, Sera, and Protein
2.2. SDS-PAGE and Western Blot
2.3. MALDI-TOF Mass-Spectrometry
2.4. Protein Set and Structural Templates
3. Results
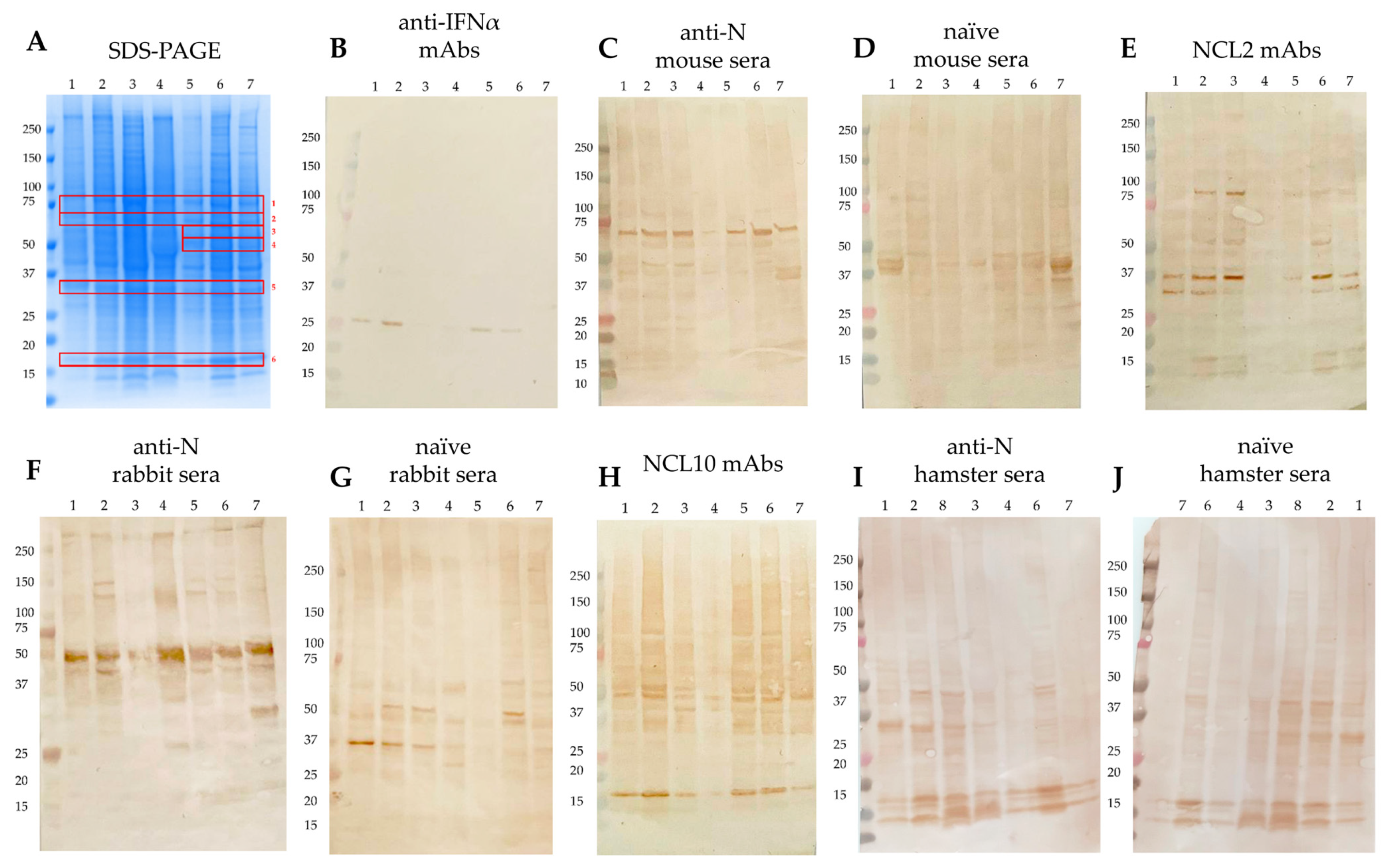
3.1. Autoimmune Properties of Anti-N Antibodies
3.2. Mass Spectrometry Identification of Bands Developed with Anti-N Antibodies
3.3. Interpretation of Normalized Align vs. Super Scores
4. Discussion
5. Conclusions
Supplementary Materials
Author Contributions
Funding
Institutional Review Board Statement
Informed Consent Statement
Data Availability Statement
Conflicts of Interest
References
- Mambelli, F.; de Araujo, A.; Farias, J.P.; de Andrade, K.Q.; Ferreira, L.C.S.; Minoprio, P.; Leite, L.C.C.; Oliveira, S.C. An Update on Anti-COVID-19 Vaccines and the Challenges to Protect Against New SARS-CoV-2 Variants. Pathogens 2025, 14, 23. [Google Scholar] [CrossRef] [PubMed]
- Shaw Stewart, P.D. Will COVID-19 become mild, like a cold? Epidemiol. Infect. 2024, 152, e120. [Google Scholar] [CrossRef] [PubMed]
- Xie, Y.; Choi, T.; Al-Aly, Z. Postacute Sequelae of SARS-CoV-2 Infection in the Pre-Delta, Delta, and Omicron Eras. N. Engl. J. Med. 2024, 391, 515–525. [Google Scholar] [CrossRef] [PubMed]
- Moritani, I.; Yamanaka, K.; Nakamura, T.; Tanaka, J.; Kainuma, K.; Okamoto, M.; Ieki, T.; Wada, H.; Shiraki, K. Prevalence of and risk factors for long COVID following infection with the COVID-19 omicron variant. Med. Int. 2025, 5, 17. [Google Scholar] [CrossRef]
- Bai, Z.; Cao, Y.; Liu, W.; Li, J. The SARS-CoV-2 Nucleocapsid Protein and Its Role in Viral Structure, Biological Functions, and a Potential Target for Drug or Vaccine Mitigation. Viruses 2021, 13, 1115. [Google Scholar] [CrossRef]
- Rahman, M.S.; Islam, M.R.; Alam, A.; Islam, I.; Hoque, M.N.; Akter, S.; Rahaman, M.M.; Sultana, M.; Hossain, M.A. Evolutionary dynamics of SARS-CoV-2 nucleocapsid protein and its consequences. J. Med. Virol. 2021, 93, 2177–2195. [Google Scholar] [CrossRef]
- Rak, A.; Isakova-Sivak, I.; Rudenko, L. Overview of Nucleocapsid-Targeting Vaccines against COVID-19. Vaccines 2023, 11, 1810. [Google Scholar] [CrossRef]
- Rak, A.; Donina, S.; Zabrodskaya, Y.; Rudenko, L.; Isakova-Sivak, I. Cross-Reactivity of SARS-CoV-2 Nucleocapsid-Binding Antibodies and Its Implication for COVID-19 Serology Tests. Viruses 2022, 14, 2041. [Google Scholar] [CrossRef]
- Isaacs, A.; Amarilla, A.A.; Aguado, J.; Modhiran, N.; Albornoz, E.A.; Baradar, A.A.; McMillan, C.L.D.; Choo, J.J.Y.; Idris, A.; Supramaniam, A.; et al. Nucleocapsid Specific Diagnostics for the Detection of Divergent SARS-CoV-2 Variants. Front. Immunol. 2022, 13, 926262. [Google Scholar] [CrossRef]
- Xie, C.; Ding, H.; Ding, J.; Xue, Y.; Lu, S.; Lv, H. Preparation of highly specific monoclonal antibodies against SARS-CoV-2 nucleocapsid protein and the preliminary development of antigen detection test strips. J. Med. Virol. 2022, 94, 1633–1640. [Google Scholar] [CrossRef]
- Rak, A.; Gorbunov, N.; Kostevich, V.; Sokolov, A.; Prokopenko, P.; Rudenko, L.; Isakova-Sivak, I. Assessment of Immunogenic and Antigenic Properties of Recombinant Nucleocapsid Proteins of Five SARS-CoV-2 Variants in a Mouse Model. Viruses 2023, 15, 230. [Google Scholar] [CrossRef] [PubMed]
- Cubuk, J.; Alston, J.J.; Incicco, J.J.; Singh, S.; Stuchell-Brereton, M.D.; Ward, M.D.; Zimmerman, M.I.; Vithani, N.; Griffith, D.; Wagoner, J.A.; et al. The SARS-CoV-2 nucleocapsid protein is dynamic, disordered, and phase separates with RNA. Nat. Commun. 2021, 12, 1936. [Google Scholar] [CrossRef] [PubMed]
- López-Muñoz, A.D.; Kosik, I.; Holly, J.; Yewdell, J.W. Cell surface SARS-CoV-2 nucleocapsid protein modulates innate and adaptive immunity. Sci. Adv. 2022, 8, eabp9770. [Google Scholar] [CrossRef] [PubMed]
- López-Muñoz, A.D.; Yewdell, J.W. Cell surface RNA virus nucleocapsid proteins: A viral strategy for immunosuppression? npj Viruses 2024, 2, 41. [Google Scholar] [CrossRef]
- Lopez-Munoz, A.D.; Santos, J.J.S.; Yewdell, J.W. Cell surface nucleocapsid protein expression: A betacoronavirus immunomodulatory strategy. Proc. Natl. Acad. Sci. USA 2023, 120, e2304087120. [Google Scholar] [CrossRef]
- Koerber, N.; Priller, A.; Yazici, S.; Bauer, T.; Cheng, C.C.; Mijocevic, H.; Wintersteller, H.; Jeske, S.; Vogel, E.; Feuerherd, M.; et al. Dynamics of spike-and nucleocapsid specific immunity during long-term follow-up and vaccination of SARS-CoV-2 convalescents. Nat. Commun. 2022, 13, 153. [Google Scholar] [CrossRef]
- Long, Q.X.; Liu, B.Z.; Deng, H.J.; Wu, G.C.; Deng, K.; Chen, Y.K.; Liao, P.; Qiu, J.F.; Lin, Y.; Cai, X.F.; et al. Antibody responses to SARS-CoV-2 in patients with COVID-19. Nat. Med. 2020, 26, 845–848. [Google Scholar] [CrossRef]
- Kang, S.; Yang, M.; He, S.; Wang, Y.; Chen, X.; Chen, Y.Q.; Hong, Z.; Liu, J.; Jiang, G.; Chen, Q.; et al. A SARS-CoV-2 antibody curbs viral nucleocapsid protein-induced complement hyperactivation. Nat. Commun. 2021, 12, 2697. [Google Scholar] [CrossRef]
- Caddy, S.L.; Vaysburd, M.; Papa, G.; Wing, M.; O’Connell, K.; Stoycheva, D.; Foss, S.; Terje Andersen, J.; Oxenius, A.; James, L.C. Viral nucleoprotein antibodies activate TRIM21 and induce T cell immunity. EMBO J. 2021, 40, e106228. [Google Scholar] [CrossRef]
- Rak, A.; Bazhenova, E.; Prokopenko, P.; Matyushenko, V.; Orshanskaya, Y.; Sivak, K.V.; Kostromitina, A.; Rudenko, L.; Isakova-Sivak, I. Protective Potential and Functional Role of Antibodies Against SARS-CoV-2 Nucleocapsid Protein. Antibodies 2025, 14, 45. [Google Scholar] [CrossRef]
- Matyushkina, D.; Shokina, V.; Tikhonova, P.; Manuvera, V.; Shirokov, D.; Kharlampieva, D.; Lazarev, V.; Varizhuk, A.; Vedekhina, T.; Pavlenko, A.; et al. Autoimmune Effect of Antibodies against the SARS-CoV-2 Nucleoprotein. Viruses 2022, 14, 1141. [Google Scholar] [CrossRef]
- Zanella, I.; Degli Antoni, M.; Marchese, V.; Castelli, F.; Quiros-Roldan, E. Non-neutralizing antibodies: Deleterious or propitious during SARS-CoV-2 infection? Int. Immunopharmacol. 2022, 110, 108943. [Google Scholar] [CrossRef] [PubMed]
- Nakayama, E.E.; Shioda, T. SARS-CoV-2 Related Antibody-Dependent Enhancement Phenomena In Vitro and In Vivo. Microorganisms 2023, 11, 1015. [Google Scholar] [CrossRef] [PubMed]
- Gallagher, S.R. One-dimensional SDS gel electrophoresis of proteins. Curr. Protoc. Immunol. 2006, 75, 8-4. [Google Scholar] [CrossRef]
- Taraskin, A.S.; Semenov, K.K.; Protasov, A.V.; Lozhkov, A.A.; Tyulin, A.A.; Shaldzhyan, A.A.; Ramsay, E.S.; Mirgorodskaya, O.A.; Klotchenko, S.A.; Zabrodskaya, Y.A. Quench me if you can: Alpha-2-macroglobulin trypsin complexes enable serum biomarker analysis by MALDI mass spectrometry. Biochimie 2021, 185, 87–95. [Google Scholar] [CrossRef]
- Mascot Search Engine. Available online: https://www.matrixscience.com/ (accessed on 1 October 2025).
- Wu, C.H.; Apweiler, R.; Bairoch, A.; Natale, D.A.; Barker, W.C.; Boeckmann, B.; Ferro, S.; Gasteiger, E.; Huang, H.; Lopez, R.; et al. The Universal Protein Resource (UniProt): An expanding universe of protein information. Nucleic Acids Res. 2006, 34, D187–D191. [Google Scholar] [CrossRef]
- Rak, A.; Isakova-Sivak, I.; Rudenko, L. Nucleoprotein as a Promising Antigen for Broadly Protective Influenza Vaccines. Vaccines 2023, 11, 1747. [Google Scholar] [CrossRef]
- Sedova, E.S.; Scherbinin, D.N.; Lysenko, A.A.; Alekseeva, S.V.; Artemova, E.A.; Shmarov, M.M. Non-neutralizing Antibodies Directed at Conservative Influenza Antigens. Acta Naturae 2019, 11, 22–32. [Google Scholar] [CrossRef]
- Sawant, J.; Patil, A.; Kurle, S. A Review: Understanding Molecular Mechanisms of Antibody-Dependent Enhancement in Viral Infections. Vaccines 2023, 11, 1240. [Google Scholar] [CrossRef]
- Wells, T.J.; Esposito, T.; Henderson, I.R.; Labzin, L.I. Mechanisms of antibody-dependent enhancement of infectious disease. Nat. Rev. Immunol. 2025, 25, 6–21. [Google Scholar] [CrossRef]
- Tan, B.E.K.; Tham, S.K.; Poh, C.L. Development of New Live-Attenuated Vaccine Candidates Lacking Antibody-Dependent Enhancement (ADE) Against Dengue. Vaccines 2025, 13, 532. [Google Scholar] [CrossRef]
- Shukla, R.; Ramasamy, V.; Shanmugam, R.K.; Ahuja, R.; Khanna, N. Antibody-Dependent Enhancement: A Challenge for Developing a Safe Dengue Vaccine. Front. Cell Infect. Microbiol. 2020, 10, 572681. [Google Scholar] [CrossRef] [PubMed]
- Slon-Campos, J.L.; Dejnirattisai, W.; Jagger, B.W.; Lopez-Camacho, C.; Wongwiwat, W.; Durnell, L.A.; Winkler, E.S.; Chen, R.E.; Reyes-Sandoval, A.; Rey, F.A.; et al. A protective Zika virus E-dimer-based subunit vaccine engineered to abrogate antibody-dependent enhancement of dengue infection. Nat. Immunol. 2019, 20, 1291–1298. [Google Scholar] [CrossRef]
- Modhiran, N.; Song, H.; Liu, L.; Bletchly, C.; Brillault, L.; Amarilla, A.A.; Xu, X.; Qi, J.; Chai, Y.; Cheung, S.T.M.; et al. A broadly protective antibody that targets the flavivirus NS1 protein. Science 2021, 371, 190–194. [Google Scholar] [CrossRef] [PubMed]
- Banoun, H. Analysis of Beyfortus ((R)) (Nirsevimab) Immunization Campaign: Effectiveness, Biases, and ADE Risks in RSV Prevention. Curr. Issues Mol. Biol. 2024, 46, 10369–10395. [Google Scholar] [CrossRef] [PubMed]
- Halstead, S.B.; Katzelnick, L. COVID-19 Vaccines: Should We Fear ADE? J. Infect. Dis. 2020, 222, 1946–1950. [Google Scholar] [CrossRef]
- Shen, X.R.; Li, Q.; Li, H.L.; Wang, X.; Wang, Q.; Zheng, X.S.; Geng, R.; Zhang, Y.L.; Li, B.; Jiang, R.D.; et al. Antibody-Dependent Enhancement of SARS-CoV-2 Infection of Human Immune Cells: In Vitro Assessment Provides Insight in COVID-19 Pathogenesis. Viruses 2021, 13, 2483. [Google Scholar] [CrossRef]
- Boldova, A.E.; Korobkin, J.D.; Nechipurenko, Y.D.; Sveshnikova, A.N. Theoretical Explanation for the Rarity of Antibody-Dependent Enhancement of Infection (ADE) in COVID-19. Int. J. Mol. Sci. 2022, 23, 11364. [Google Scholar] [CrossRef]
- Tao, T.; Tian, L.; Ke, J.; Zhang, C.; Li, M.; Xu, X.; Fan, J.; Tong, Y.; Fan, H. Antibody-dependent enhancement of coronaviruses. Int. J. Biol. Sci. 2025, 21, 1686–1704. [Google Scholar] [CrossRef]
- Shukla, A.K.; Misra, S. Antibody-dependent enhancement of virus infection and disease: Implications in COVID-19. J. Basic. Clin. Physiol. Pharmacol. 2022, 33, 13–16. [Google Scholar] [CrossRef]
- Lee, W.S.; Wheatley, A.K.; Kent, S.J.; DeKosky, B.J. Antibody-dependent enhancement and SARS-CoV-2 vaccines and therapies. Nat. Microbiol. 2020, 5, 1185–1191. [Google Scholar] [CrossRef] [PubMed]
- Al Dossary, R. Antibody Dependent Enhancement of SARS-CoV-2 Infection in the Era of Rapid Vaccine Development. Med. Arch. 2022, 76, 383–386. [Google Scholar] [CrossRef]
- Coish, J.M.; MacNeil, A.J. Out of the frying pan and into the fire? Due diligence warranted for ADE in COVID-19. Microbes Infect. 2020, 22, 405–406. [Google Scholar] [CrossRef] [PubMed]
- Li, D.; Edwards, R.J.; Manne, K.; Martinez, D.R.; Schafer, A.; Alam, S.M.; Wiehe, K.; Lu, X.; Parks, R.; Sutherland, L.L.; et al. In vitro and in vivo functions of SARS-CoV-2 infection-enhancing and neutralizing antibodies. Cell 2021, 184, 4203–4219 e4232. [Google Scholar] [CrossRef]
- Farouq, M.A.H.; Acevedo, R.; Ferro, V.A.; Mulheran, P.A.; Al Qaraghuli, M.M. The Role of Antibodies in the Treatment of SARS-CoV-2 Virus Infection, and Evaluating Their Contribution to Antibody-Dependent Enhancement of Infection. Int. J. Mol. Sci. 2022, 23, 6078. [Google Scholar] [CrossRef] [PubMed]
- Sanchez-Zuno, G.A.; Matuz-Flores, M.G.; Gonzalez-Estevez, G.; Nicoletti, F.; Turrubiates-Hernandez, F.J.; Mangano, K.; Munoz-Valle, J.F. A review: Antibody-dependent enhancement in COVID-19: The not so friendly side of antibodies. Int. J. Immunopathol. Pharmacol. 2021, 35, 20587384211050199. [Google Scholar] [CrossRef]
- Ricke, D.O. Two Different Antibody-Dependent Enhancement (ADE) Risks for SARS-CoV-2 Antibodies. Front. Immunol. 2021, 12, 640093. [Google Scholar] [CrossRef]
- Sun, D.S.; Lien, T.S.; Chang, H.H. Virus-Induced Pathogenic Antibodies: Lessons from Long COVID and Dengue Hemorrhage Fever. Int. J. Mol. Sci. 2025, 26, 1898. [Google Scholar] [CrossRef]
- Maemura, T.; Kuroda, M.; Armbrust, T.; Yamayoshi, S.; Halfmann, P.J.; Kawaoka, Y. Antibody-Dependent Enhancement of SARS-CoV-2 Infection Is Mediated by the IgG Receptors FcgammaRIIA and FcgammaRIIIA but Does Not Contribute to Aberrant Cytokine Production by Macrophages. mBio 2021, 12, e0198721. [Google Scholar] [CrossRef]
- Okuya, K.; Hattori, T.; Saito, T.; Takadate, Y.; Sasaki, M.; Furuyama, W.; Marzi, A.; Ohiro, Y.; Konno, S.; Hattori, T.; et al. Multiple Routes of Antibody-Dependent Enhancement of SARS-CoV-2 Infection. Microbiol. Spectr. 2022, 10, e0155321. [Google Scholar] [CrossRef]
- Thomas, S.; Smatti, M.K.; Ouhtit, A.; Cyprian, F.S.; Almaslamani, M.A.; Thani, A.A.; Yassine, H.M. Antibody-Dependent Enhancement (ADE) and the role of complement system in disease pathogenesis. Mol. Immunol. 2022, 152, 172–182. [Google Scholar] [CrossRef] [PubMed]
- Kumar, A.; Tripathi, P.; Kumar, P.; Shekhar, R.; Pathak, R. From Detection to Protection: Antibodies and Their Crucial Role in Diagnosing and Combatting SARS-CoV-2. Vaccines 2024, 12, 459. [Google Scholar] [CrossRef] [PubMed]
- Thomas, S.; Smatti, M.K.; Alsulaiti, H.; Zedan, H.T.; Eid, A.H.; Hssain, A.A.; Abu Raddad, L.J.; Gentilcore, G.; Ouhtit, A.; Althani, A.A.; et al. Antibody-dependent enhancement (ADE) of SARS-CoV-2 in patients exposed to MERS-CoV and SARS-CoV-2 antigens. J. Med. Virol. 2024, 96, e29628. [Google Scholar] [CrossRef] [PubMed]
- Ikewaki, N.; Kurosawa, G.; Levy, G.A.; Preethy, S.; Abraham, S.J.K. Antibody dependent disease enhancement (ADE) after COVID-19 vaccination and beta glucans as a safer strategy in management. Vaccine 2023, 41, 2427–2429. [Google Scholar] [CrossRef]
- Thomas, S.; Smatti, M.K.; Mohammad AlKhatib, H.A.; Tayyar, Y.; Nizar, M.; Zedan, H.T.; Ouhtit, A.; Althani, A.A.; Nasrallah, G.K.; Yassine, H.M. Antibody-dependent enhancement of SARS-CoV-2, the impact of variants and vaccination. Hum. Vaccines Immunother. 2025, 21, 2505356. [Google Scholar] [CrossRef]
- Yahi, N.; Chahinian, H.; Fantini, J. Infection-enhancing anti-SARS-CoV-2 antibodies recognize both the original Wuhan/D614G strain and Delta variants. A potential risk for mass vaccination? J. Infect. 2021, 83, 607–635. [Google Scholar] [CrossRef]
- Dzuvor, C.K.O.; Tettey, E.L.; Danquah, M.K. Aptamers as promising nanotheranostic tools in the COVID-19 pandemic era. Wiley Interdiscip. Rev. Nanomed. Nanobiotechnology 2022, 14, e1785. [Google Scholar] [CrossRef]
- Sun, M.; Liu, S.; Wei, X.; Wan, S.; Huang, M.; Song, T.; Lu, Y.; Weng, X.; Lin, Z.; Chen, H.; et al. Aptamer Blocking Strategy Inhibits SARS-CoV-2 Virus Infection. Angew. Chem. 2021, 60, 10266–10272. [Google Scholar] [CrossRef]
- Luan, N.; Li, T.; Wang, Y.; Cao, H.; Yin, X.; Lin, K.; Liu, C. Th2-Oriented Immune Serum After SARS-CoV-2 Vaccination Does Not Enhance Infection In Vitro. Front. Immunol. 2022, 13, 882856. [Google Scholar] [CrossRef]
- Clark, N.M.; Janaka, S.K.; Hartman, W.; Stramer, S.; Goodhue, E.; Weiss, J.; Evans, D.T.; Connor, J.P. Anti-SARS-CoV-2 IgG and IgA antibodies in COVID-19 convalescent plasma do not facilitate antibody-dependent enhance of viral infection. bioRxiv 2021, preprint. [Google Scholar] [CrossRef]
- Garcia-Nicolas, O.; V’Kovski, P.; Zettl, F.; Zimmer, G.; Thiel, V.; Summerfield, A. No Evidence for Human Monocyte-Derived Macrophage Infection and Antibody-Mediated Enhancement of SARS-CoV-2 Infection. Front. Cell. Infect. Microbiol. 2021, 11, 644574. [Google Scholar] [CrossRef]
- Lamerton, R.E.; Marcial-Juarez, E.; Faustini, S.E.; Perez-Toledo, M.; Goodall, M.; Jossi, S.E.; Newby, M.L.; Chapple, I.; Dietrich, T.; Veenith, T.; et al. SARS-CoV-2 Spike- and Nucleoprotein-Specific Antibodies Induced After Vaccination or Infection Promote Classical Complement Activation. Front. Immunol. 2022, 13, 838780. [Google Scholar] [CrossRef] [PubMed]
- Vojdani, A.; Vojdani, E.; Kharrazian, D. Reaction of Human Monoclonal Antibodies to SARS-CoV-2 Proteins With Tissue Antigens: Implications for Autoimmune Diseases. Front. Immunol. 2020, 11, 617089. [Google Scholar] [CrossRef] [PubMed]
- Vojdani, A.; Kharrazian, D. Potential antigenic cross-reactivity between SARS-CoV-2 and human tissue with a possible link to an increase in autoimmune diseases. Clin. Immunol. 2020, 217, 108480. [Google Scholar] [CrossRef] [PubMed]
- Capozzi, A.; Riitano, G.; Recalchi, S.; Manganelli, V.; Longo, A.; Falcou, A.; De Michele, M.; Garofalo, T.; Pulcinelli, F.M.; Sorice, M.; et al. Antiphospholipid antibodies in patients with stroke during COVID-19: A role in the signaling pathway leading to platelet activation. Front. Immunol. 2023, 14, 1129201. [Google Scholar] [CrossRef]
- Sorice, M.; Misasi, R.; Riitano, G.; Manganelli, V.; Martellucci, S.; Longo, A.; Garofalo, T.; Mattei, V. Targeting Lipid Rafts as a Strategy Against Coronavirus. Front. Cell Dev. Biol. 2020, 8, 618296. [Google Scholar] [CrossRef]
- Strizzi, C.T.; Ambrogio, M.; Zanoni, F.; Bonerba, B.; Bracaccia, M.E.; Grandaliano, G.; Pesce, F. Epitope Spreading in Immune-Mediated Glomerulonephritis: The Expanding Target. Int. J. Mol. Sci. 2024, 25, 11096. [Google Scholar] [CrossRef]
- Maguire, C.; Wang, C.; Ramasamy, A.; Fonken, C.; Morse, B.; Lopez, N.; Wylie, D.; Melamed, E. Molecular mimicry as a mechanism of viral immune evasion and autoimmunity. Nat. Commun. 2024, 15, 9403. [Google Scholar] [CrossRef]
- Zahra, K.; Dey, T.; Ashish; Mishra, S.P.; Pandey, U. Pyruvate Kinase M2 and Cancer: The Role of PKM2 in Promoting Tumorigenesis. Front. Oncol. 2020, 10, 159. [Google Scholar] [CrossRef]
- Meyer, P.; Prodromou, C.; Hu, B.; Vaughan, C.; Roe, S.M.; Panaretou, B.; Piper, P.W.; Pearl, L.H. Structural and functional analysis of the middle segment of hsp90: Implications for ATP hydrolysis and client protein and cochaperone interactions. Mol. Cell 2003, 11, 647–658. [Google Scholar] [CrossRef]
- Luo, W.; Dou, F.; Rodina, A.; Chip, S.; Kim, J.; Zhao, Q.; Moulick, K.; Aguirre, J.; Wu, N.; Greengard, P.; et al. Roles of heat-shock protein 90 in maintaining and facilitating the neurodegenerative phenotype in tauopathies. Proc. Natl. Acad. Sci. USA 2007, 104, 9511–9516. [Google Scholar] [CrossRef]
- Mazurek, S.; Boschek, C.B.; Hugo, F.; Eigenbrodt, E. Pyruvate kinase type M2 and its role in tumor growth and spreading. Semin. Cancer Biol. 2005, 15, 300–308. [Google Scholar] [CrossRef]


| Band Number */ kDa | 1 (MCF7) | 2 (HEK293) | 3 (THP-1) | 4 (CaCo-2) | 5 (Hep2) | 6 (T98G) | 7 (A549) |
|---|---|---|---|---|---|---|---|
| 1 (85) | HS90B and/or HS90A | HS90B and/or HS90A | HS90B and/or HS90A | HS90B | HS90B and/or HS90A | HS90B and/or HS90A | HS90B and/or HS90A |
| 2 (70) | HSP7C | HSP7C | HSP7C | HSP7C | HSP7C | HSP7C + HSP71 | HSP7C + HSP71 |
| 3 (60) | KPYM | KPYM + CH60 | KPYM | ||||
| 4 (50) | CAP1 | CALR | G6PD | ||||
| 5 (30) | AK1BA + (AK1C1 and/or AK1C3) + G3P | G3P | G3P | G3P | G3P | G3P + LDHB | G3P |
| 6 (17) | H31 or H32 or H33 | PPIA + H3 | PPIA | (H31 or H32 or H33) + PPIA + H2B | IGHG1 | (H3 or H32 or H33) + H2B + PPIA | H3 + H2B |
| Target | Align CTD | Align NTD | Norm Align CTD | Norm Align NTD | Combined Norm Align | Driver Domain Align | Rank Align |
|---|---|---|---|---|---|---|---|
| HS90B | 77 | 38.5 | 1 | 0.119 | 1 | CTD | 1 |
| KPYM | 51.5 | 178.5 | 0.49 | 1 | 1 | NTD | 1 |
| HS90A | 76.5 | 40.5 | 0.99 | 0.132 | 0.99 | CTD | 3 |
| CALR | 68 | 35 | 0.82 | 0.097 | 0.82 | CTD | 4 |
| H32 | 66.5 | 61 | 0.79 | 0.261 | 0.79 | CTD | 5 |
| HSP7C | 57 | 61 | 0.6 | 0.261 | 0.6 | CTD | 6 |
| H2B | 54.5 | 55 | 0.55 | 0.223 | 0.55 | CTD | 7 |
| IGHG1 | 53 | 47.5 | 0.52 | 0.176 | 0.52 | CTD | 8 |
| H33 | 52.5 | 81 | 0.51 | 0.387 | 0.51 | CTD | 9 |
| H31 | 48 | 60 | 0.42 | 0.255 | 0.42 | CTD | 10 |
| AK1BA | 46.5 | 38 | 0.39 | 0.116 | 0.39 | CTD | 12 |
| CH60 | 44.5 | 33 | 0.35 | 0.085 | 0.35 | CTD | 13 |
| PPIA | 32 | 61.5 | 0.1 | 0.264 | 0.264 | NTD | 14 |
| LDHB | 38 | 30 | 0.22 | 0.066 | 0.22 | CTD | 15 |
| G6PD | 35.5 | 53 | 0.17 | 0.211 | 0.211 | NTD | 16 |
| AK1C3 | 33 | 51 | 0.12 | 0.198 | 0.198 | NTD | 17 |
| G3P | 27 | 50.5 | 0 | 0.195 | 0.195 | NTD | 18 |
| AK1C1 | 31 | 28.5 | 0.08 | 0.057 | 0.08 | CTD | 19 |
| CAP1 | 28.5 | 19.5 | 0.03 | 0 | 0.03 | CTD | 20 |
| Target | Super CTD | Super NTD | Norm Super CTD | Norm Super NTD | Combined Norm Super | Driver Domain Super | Rank Super |
|---|---|---|---|---|---|---|---|
| AK1C3 | 117.696 | 32.49 | 1 | 0.205 | 1 | CTD | 1 |
| CALR | 104.314 | 134.133 | 0.837 | 1 | 1 | NTD | 1 |
| AK1C1 | 115.998 | 39.463 | 0.979 | 0.259 | 0.979 | CTD | 3 |
| AK1BA | 112.491 | 35.35 | 0.937 | 0.227 | 0.937 | CTD | 4 |
| HS90A | 105.089 | 92.783 | 0.847 | 0.676 | 0.847 | CTD | 5 |
| HSP7C | 102.505 | 107.593 | 0.815 | 0.792 | 0.815 | CTD | 6 |
| IGHG1 | 91.387 | 110.141 | 0.68 | 0.812 | 0.812 | NTD | 7 |
| KPYM | 102.032 | 53.987 | 0.809 | 0.373 | 0.809 | CTD | 8 |
| CH60 | 100.863 | 28.215 | 0.795 | 0.171 | 0.795 | CTD | 9 |
| G3P | 95.667 | 39.779 | 0.732 | 0.262 | 0.732 | CTD | 10 |
| G6PD | 91.489 | 44.426 | 0.681 | 0.298 | 0.681 | CTD | 11 |
| HS90B | 89.986 | 58.397 | 0.663 | 0.407 | 0.663 | CTD | 12 |
| LDHB | 89.738 | 46.558 | 0.66 | 0.315 | 0.66 | CTD | 13 |
| H33 | 89.177 | 24.762 | 0.653 | 0.144 | 0.653 | CTD | 14 |
| H32 | 88.726 | 6.356 | 0.647 | 0 | 0.647 | CTD | 15 |
| H2B | 86.471 | 19.092 | 0.62 | 0.1 | 0.62 | CTD | 16 |
| CAP1 | 35.53 | 84.841 | 0 | 0.614 | 0.614 | NTD | 17 |
| PPIA | 83.337 | 66.079 | 0.582 | 0.467 | 0.582 | CTD | 18 |
| H31 | 82.573 | 14.822 | 0.573 | 0.066 | 0.573 | CTD | 19 |
Disclaimer/Publisher’s Note: The statements, opinions and data contained in all publications are solely those of the individual author(s) and contributor(s) and not of MDPI and/or the editor(s). MDPI and/or the editor(s) disclaim responsibility for any injury to people or property resulting from any ideas, methods, instructions or products referred to in the content. |
© 2025 by the authors. Licensee MDPI, Basel, Switzerland. This article is an open access article distributed under the terms and conditions of the Creative Commons Attribution (CC BY) license.
Share and Cite
Rak, A.; Zabrodskaya, Y.; Wong, P.-F.; Isakova-Sivak, I. Antibodies Against SARS-CoV-2 Nucleocapsid Protein Possess Autoimmune Properties. Antibodies 2026, 15, 2. https://doi.org/10.3390/antib15010002
Rak A, Zabrodskaya Y, Wong P-F, Isakova-Sivak I. Antibodies Against SARS-CoV-2 Nucleocapsid Protein Possess Autoimmune Properties. Antibodies. 2026; 15(1):2. https://doi.org/10.3390/antib15010002
Chicago/Turabian StyleRak, Alexandra, Yana Zabrodskaya, Pei-Fong Wong, and Irina Isakova-Sivak. 2026. "Antibodies Against SARS-CoV-2 Nucleocapsid Protein Possess Autoimmune Properties" Antibodies 15, no. 1: 2. https://doi.org/10.3390/antib15010002
APA StyleRak, A., Zabrodskaya, Y., Wong, P.-F., & Isakova-Sivak, I. (2026). Antibodies Against SARS-CoV-2 Nucleocapsid Protein Possess Autoimmune Properties. Antibodies, 15(1), 2. https://doi.org/10.3390/antib15010002

