Isolation and Identification of a Carbon-Fixing Bacteria Strain and Its Efficiency for Nitrogen and Phosphorus Removal from Viaduct Rainwater
Abstract
:1. Introduction
2. Materials and Methods
2.1. Materials
2.1.1. Sediment Sample
2.1.2. Carbon-Free Inorganic Medium
2.1.3. Simulated Viaduct Rainwater
2.1.4. Actual Viaduct Rainwater
2.2. Methods
2.2.1. Isolation and Identification of the Carbon-Fixing Bacteria
- (1)
- Isolation, purification, screening of carbon-fixing bacterial strains
- (2)
- Identification of the carbon-fixing bacterial strain
2.2.2. Optimization of Purification Process of the Carbon-Fixing Bacteria Using the Simulated Viaduct Rainwater
- (1)
- Effect of different simulated rainwater concentrations on the purification efficiency of 1C-1
- (2)
- Effect of different carbon source dosages on the purification efficiency of 1C-1
- (3)
- Effect of different inoculation amounts on the purification effect of 1C-1
2.2.3. The Efficiency of the Carbon-Fixing Bacteria for Actual Viaduct Rainwater Treatment
3. Results and Discussion
3.1. Isolation and Identification of the Carbon-Fixing Bacteria
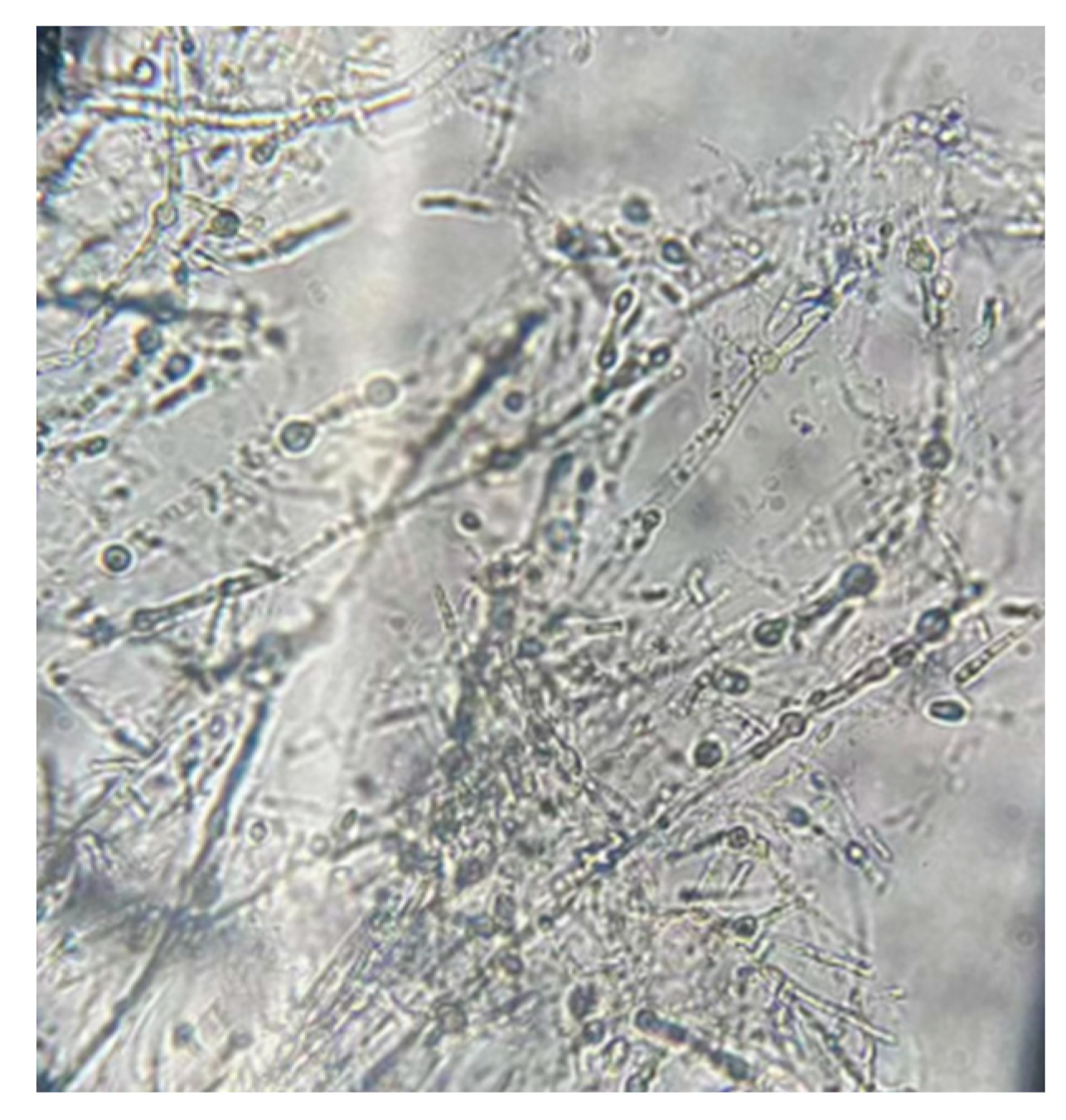
3.1.1. Morphology Observation of 1C-1
3.1.2. 16S rDNA Analysis of 1C-1
3.2. Optimization of the Purification Process of the Carbon-Fixing Bacteria Using Simulated Viaduct Rainwater
3.2.1. The Effect of Different Simulated Rainwater Concentrations on the Purification Efficiency of 1C-1
3.2.2. The Effect of Different Carbon Source Dosages on the Purification Efficiency of 1C-1
3.2.3. The Effect of Different Inoculation Amounts on the Purification Effect of 1C-1
3.3. The Efficiency of the Carbon-Fixing Bacteria for Actual Viaduct Rainwater Treatment
4. Conclusions
- (1)
- Through isolation, purification, screening, and identification, a carbon-fixing bacteria strain numbered 1C-1 with water purification effects was obtained from the sediment of the viaduct rainwater tank of the bridge in Guangzhou. Based on its morphological characteristics and 16S rDNA gene molecular biology identification, the strain 1C-1 belongs to Streptomyces sp.
- (2)
- Under different simulated viaduct rainwater concentrations, the strain 1C-1 had a relatively high TN removal rate at 1/2 diluent of simulated viaduct rainwater, and a relatively high TP removal rate at 2 times concentrate. To balance the nitrogen and phosphorus removal efficiencies and to ensure practicability, the original concentration was chosen as the optimal simulated viaduct rainwater concentration with removal rates of 29.00%, 50.73%, and 9.55% for NH4+-N, TN, and TP, respectively. Under different carbon source dosages, a glucose dosage of 800 mg showed a relatively high purification efficiency with removal rates of 71.48%, 47.86%, and 10.43% for NH4+-N, TN, and TP, respectively. Under different inoculation amounts, the inoculation amount of 1% showed a relatively high efficiency with removal rates of 58.62%, 58.35%, and 27.32% for NH4+-N, TN, and TP, respectively.
- (3)
- Under the above optimal process conditions of an original concentration of the viaduct rainwater, a carbon source dosage of 800 mg, and an inoculation amount of 1%, the strain 1C-1 removed 92.62%, 6.98%, and 6.16% of NH4+-N, TN, and TP respectively from the actual viaduct rainwater. More interestingly, the removal rates of NH4+-N and TN achieved 43.26% and 78.02%, respectively, for the actual viaduct rainwater, even without carbon source addition.
Author Contributions
Funding
Institutional Review Board Statement
Data Availability Statement
Acknowledgments
Conflicts of Interest
References
- Tenebe, I.T.; Emenike, P.C.; Nnaji, C.C.; Babatunde, E.O.; Ogarekpe, N.M.; Dede-Bamfo, N.; Omole, D.O. Bacterial characterization and quantification of rainwater harvested in a rural community in Nigeria. Environ. Nanotechnol. Monit. Manag. 2020, 14, 100370. [Google Scholar] [CrossRef]
- Huber, M.; Welker, A.; Helmreich, B. Critical review of heavy metal pollution of traffic area runoff: Occurrence, influencing factors, and partitioning. Sci. Total Environ. 2015, 541, 895–919. [Google Scholar] [CrossRef]
- Sun, X.; Jia, Q.; Ye, J.; Zhu, Y.; Song, Z.; Guo, Y.; Chen, H. Real-time variabilities in microplastic abundance and characteristics of urban surface runoff and sewer overflow in wet weather as impacted by land use and storm factors. Sci. Total Environ. 2023, 859, 160148. [Google Scholar] [CrossRef]
- Azimi, A.; Bakhtiari, A.R.; Tauler, R. Chemometrics analysis of petroleum hydrocarbons sources in the street dust, runoff and sediment of urban rivers in Anzali port—South of Caspian Sea. Environ. Pollut. 2018, 243, 374–382. [Google Scholar] [CrossRef] [PubMed]
- Zhang, W.; Sang, M.; Che, W.; Sun, H. Nutrient removal from urban stormwater runoff by an up-flow and mixed-flow bioretention system. Environ. Sci. Pollut. Res. Int. 2019, 26, 17731–17739. [Google Scholar] [CrossRef] [PubMed]
- Marszałek, A.; Dudziak, M. Application of the ultrafiltration and photooxidation process for the treatment of rainwater. Water Air Soil Pollut. 2021, 232, 504. [Google Scholar] [CrossRef]
- Zubala, T.; Patro, M. Time and spatial variability in concentrations of selected pollutants in the new bypass rainwater harvesting system. Water Air Soil Pollut. 2021, 232, 211. [Google Scholar] [CrossRef]
- Zhu, Y.; Zhang, H.; Jiang, W.; Chen, L. Design of rainwater collection and treatment system for urban express way. China Water Wastewater 2007, 23, 35–39. [Google Scholar]
- Gao, Z.; Zhang, Q.; Li, J.; Wang, Y.; Dzakpasu, M.; Wang, X. First flush stormwater pollution in urban catchments: A review of its characterization and quantification towards optimization of control measures. J. Environ. Manag. 2023, 340, 117976. [Google Scholar] [CrossRef]
- Wang, Y.; Jia, R.Y. Initial stormwater pollution control technology in the Shuangqiao River basin of Chaohu City. China Munic. Eng. 2020, 2, 56–59. [Google Scholar] [CrossRef]
- Zubala, T. The working conditions and optimisation of a large rainwater harvesting and treatment system in an area at a risk of erosion. Water Resour. Manag. 2022, 36, 135–152. [Google Scholar] [CrossRef]
- Tran, S.H.; Dang, H.T.; Dao, D.A.; Nguyen, V.A.; Nguyen, L.T.; Han, M. On-site rainwater harvesting and treatment for drinking water supply: Assessment of cost and technical issues. Environ. Sci. Pollut. Res. 2021, 28, 11928–11941. [Google Scholar] [CrossRef]
- Morales-Figueroa, C.; Castillo-Suárez, L.A.; Linares-Hernández, I.; Martínez-Miranda, V.; Teutli-Sequeira, E.A. Treatment processes and analysis of rainwater quality for human use and consumption regulations, treatment systems and quality of rainwater. Int. J. Environ. Sci. Technol. 2023, 20, 9369–9392. [Google Scholar] [CrossRef]
- Zhang, L.; Chen, W.; Zheng, G.; Ding, G. Purification of initial rainwater stored in a storage pond by bacterial injection. J. Shanghai Univ. 2010, 16, 572–576. [Google Scholar]
- Masy, T.; Bertrand, C.; Xavier, P.M.; Vreuls, C.; Wilmot, A.; Cludts, M.; Renard, P.; Mawet, P.; Smets, S.; Dethy, B.; et al. Stable biofilms of Rhodococcus erythropolis T902.1 in draining pavement structures for runoff water decontamination. Int. Biodeterior. Biodegrad. 2016, 112, 108–118. [Google Scholar] [CrossRef]
- Zhou, Z.; Xu, P.; Cao, X.; Zhou, Y.; Song, C. Efficiency promotion and its mechanisms of simultaneous nitrogen and phosphorus removal in stormwater biofilters. Bioresour. Technol. 2016, 218, 842–849. [Google Scholar] [CrossRef]
- Hu, J.; Wang, L.; Zhang, S.; Wang, Y.; Jin, F.; Fu, X.; Li, H. Universally improving effect of mixed electron donors on the CO2 fixing efficiency of non-photosynthetic microbial communities from marine environments. J. Environ. Sci. 2014, 26, 1709–1716. [Google Scholar] [CrossRef]
- Chi, X.; Zhao, Z.; Han, Q.; Yan, H.; Ji, B.; Chai, Y.; Li, S.; Liu, K. Insights into autotrophic carbon fixation strategies through metagonomics in the sediments of seagrass beds. Mar. Environ. Res. 2023, 188, 106002. [Google Scholar] [CrossRef]
- Isobe, K.; Suetsugu, R.; Kaneko, M.; Ise, Y.; Oda, T.; Hobara, S. Chemolithotrophic microbiome of buried soil layers following volcanic eruptions: A potential huge carbon sink. Soil Biol. Biochem. 2023, 183, 109055. [Google Scholar] [CrossRef]
- Mccrimmon, D.O.; Bizimis, M.; Holland, A.; Ziolkowski, L.A. Supraglacial microbes use young carbon and not aged cryoconite carbon. Org. Geochem. 2017, 118, 63–72. [Google Scholar] [CrossRef]
- Zhao, K.; Kong, W.; Wang, F.; Long, X.; Guo, C.; Yue, L.; Yao, H.; Dong, X. Desert and steppe soils exhibit lower autotrophic microbial abundance but higher atmospheric CO2 fixation capacity than meadow soils. Soil Biol. Biochem. 2018, 127, 230–238. [Google Scholar] [CrossRef]
- Zheng, Z.; Liu, B.; Fang, X.; Fa, K.; Liu, Z. Dryland farm soil may fix atmospheric carbon through autotrophic microbial pathways. Catena 2022, 214, 106299. [Google Scholar] [CrossRef]
- Wang, X.; Li, W.; Xiao, Y.; Cheng, A.; Shen, T.; Zhu, M.; Yu, L. Abundance and diversity of carbon-fixing bacterial communities in karst wetland soil ecosystems. Catena 2021, 204, 105418. [Google Scholar] [CrossRef]
- Li, Z.; Tong, D.; Nie, X.; Xiao, H.; Jiao, P.; Jiang, J.; Li, Q.; Liao, W. New insight into soil carbon fixation rate: The intensive co-occurrence network of autotrophic bacteria increases the carbon fixation rate in depositional sites. Agric. Ecosyst. Environ. 2021, 320, 107579. [Google Scholar] [CrossRef]
- Guo, J.; Fan, F.; Wang, L.; Wu, A.; Zheng, J. Isolation, identification of carbon-fixing bacteria and determination of their carbon-fixing abilities. Biotechnol. Bull. 2019, 35, 90–97. [Google Scholar]
- Kong, W.; Shen, B.; Lyu, H.; Kong, J.; Ma, J.; Wang, Z.; Feng, S. Review on carbon dioxide fixation coupled with nutrients removal from wastewater by microalgae. J. Clean. Prod. 2021, 292, 125975. [Google Scholar] [CrossRef]
- Li, M.; Ge, S.; Zhang, J.; Wu, S.; Wu, H.; Zhuang, L. Mechanism and performance of algal pond assisted constructed wetlands for wastewater polishing and nutrient recovery. Sci. Total Environ. 2022, 840, 156667. [Google Scholar] [CrossRef] [PubMed]
- Kin, I.; Ahn, K.; Lee, Y.; Jeong, Y.; Park, J.; Shin, D.; Jung, J. An experimental study on the biological fixation and effective use of carbon using biogas and bacterial community dominated by methanotrophs, methanol-oxidizing bacteria, and ammonia-oxidizing bacteria. Catalysts 2021, 11, 1342. [Google Scholar]
- Xia, W.; Bowatte, S.; Jia, Z.; Newton, P. Offsetting N2O emissions through nitrifying CO2 fixation in grassland soil. Soil Biol. Biochem. 2022, 165, 108528. [Google Scholar] [CrossRef]
- Yu, J.; Dow, A.; Pingali, S. The energy efficiency of carbon dioxide fixation by a hydrogen-oxidizing bacterium. Int. J. Hydrog. Energy 2013, 38, 8683–8690. [Google Scholar] [CrossRef]
- Wang, Y.; Wang, L.; Tsang, Y.F.; Fu, X.; Hu, J.; Li, H.; Le, Y. Response of cbb gene transcription levels of four typical sulfur-oxidizing bacteria to the CO2 concentration and its effect on their carbon fixation efficiency during sulfur oxidation. Enzym. Microb. Technol. 2016, 92, 31–40. [Google Scholar] [CrossRef]
- Mishra, S.; Chauhan, P.; Gupta, S.; Raghuvanshi, S.; Singh, R.P.; Jha, P.N. CO2 sequestration potential of halo-tolerant bacterium Pseudomonas aeruginosa SSL-4 and its application for recovery of fatty alcohols. Process Saf. Environ. Prot. 2017, 111, 582–591. [Google Scholar] [CrossRef]
- Li, Y.; Hu, Y.; Wang, G.; Lan, W.; Lin, J.; Bi, Q.; Shen, H.; Liang, S. Screening pretreatment methods for sludge disintegration to selectively reclaim carbon source from surplus activated sludge. Chem. Eng. J. 2014, 255, 365–371. [Google Scholar] [CrossRef]
- Hu, X.; Chen, H.; Zhang, S.; Song, W.; Li, J.; Wang, K. Study on performance of carbon source released from fruit shells and the effect on biological denitrification in the advanced treatment. Chemosphere 2022, 307, 136173. [Google Scholar] [CrossRef] [PubMed]
- Meyer, O.; Frunzke, K.; Gadkari, D.; Jacobitz, S.; Hugendieck, I.; Kraut, M. Utilization of carbon monoxide by aerobes: Recent advances. FEMS Microbiol. Lett. 1990, 87, 253–260. [Google Scholar] [CrossRef]
- Sangeetha, M.; Sivarajan, A.; Radhakrishnan, M.; Siddharthan, N.; Balagurunathan, R. Biosequestration of carbon dioxide using carbonic anhydrase from novel Streptomyces kunmingensis. Arch. Microbiol. 2022, 204, 270. [Google Scholar] [CrossRef] [PubMed]
- Sun, Y.; Zhang, D.; Wang, Z. The potential of using biological nitrogen removal technique for stormwater treatment. Ecol. Eng. 2017, 106, 482–495. [Google Scholar] [CrossRef]
- Wang, S.; Lin, X.; Yu, H.; Wang, Z.; Xia, H.; An, J.; Fan, G. Nitrogen removal from urban stormwater runoff by stepped bioretention systems. Ecol. Eng. 2017, 106, 340–348. [Google Scholar] [CrossRef]
- Li, H.; Liu, Z.; Tan, C.; Zhang, X.; Zhang, Z.; Bai, X.; Wu, L.; Yang, H. Efficient nitrogen removal from stormwater runoff by bioretention system: The construction of plant carbon source-based heterotrophic and sulfur autotrophic denitrification process. Bioresour. Technol. 2022, 349, 126803. [Google Scholar] [CrossRef]
- Peng, B.; Peng, S.; Kuang, W.; Zheng, X.; Zhang, L. Turbidity on removal of phosphorus in simulation initial rainwater by modified diatomite. Environ. Sci. Technol. 2015, 38, 36–40. [Google Scholar]
- Lu, Y.; Yan, X. Study on the classification of thermophilic Actinomycetes--I. determination of thermophilic Strepomycetes (2). J. Microbiol. 1981, 21, 414–420. [Google Scholar]
- Qian, Y.; Pan, Y.; Li, E.; Jia, H.; Wei, Y.; Liu, G. Classification of Streptomyces sp. IMS002 and identification of its antifungal metabolite. J. Microbiol. 2020, 60, 60–68. [Google Scholar]
- Singh, R.; Kumar, A.; Kirrolia, A.; Kumar, R.; Yadav, N.; Bishnoi, N.R.; Lohchab, R.K. Removal of sulphate, COD and Cr(VI) in simulated and real wastewater by sulphate reducing bacteria enrichment in small bioreactor and FTIR study. Bioresour. Technol. 2011, 102, 677–682. [Google Scholar] [CrossRef]
- Yang, B.; Wang, Y.; Liu, Z.; Liu, J.; Cai, J. Optimum removal conditions of aniline compounds in simulated wastewater by laccase from white-rot fungi. J. Environ. Health Sci. Eng. 2019, 17, 135–140. [Google Scholar] [CrossRef]
- Wang, H.; Chen, N.; Feng, C.; Deng, Y. Insights into heterotrophic denitrification diversity in wastewater treatment systems: Progress and future prospects based on different carbon sources. Sci. Total Environ. 2021, 780, 146521. [Google Scholar] [CrossRef] [PubMed]
- Fang, J.; Tao, Y.; Liu, J.; Lyu, T.; Yang, X.; Ma, S.; Dong, J.; Dou, H.; Zhang, H. Effects of emergent plants on soil carbon-fixation and denitrification processes in freshwater and brackish wetlands in a watershed in northern China. Geoderma 2023, 430, 116311. [Google Scholar] [CrossRef]
- Ibrahim, A.J. Effective biodeterioration of a common endocrine disruptor 17β-estradiol using mixed microbial cultures isolated from waste water. Environ. Res. 2021, 206, 112559. [Google Scholar]
- Chen, Y.; Shao, Z.; Kong, Z.; Gu, L.; Fang, J.; Chai, H. Study of pyrite based autotrophic denitrification system for low-carbon source stormwater treatment. J. Water Process Eng. 2020, 37, 101414. [Google Scholar] [CrossRef]
- Kaur, R.; Salwan, R.; Sharma, V. Structural properties, genomic distribution of laccases from Streptomyces and their potential applications. Process Biochem. 2022, 118, 133–144. [Google Scholar] [CrossRef]










Disclaimer/Publisher’s Note: The statements, opinions and data contained in all publications are solely those of the individual author(s) and contributor(s) and not of MDPI and/or the editor(s). MDPI and/or the editor(s) disclaim responsibility for any injury to people or property resulting from any ideas, methods, instructions or products referred to in the content. |
© 2023 by the authors. Licensee MDPI, Basel, Switzerland. This article is an open access article distributed under the terms and conditions of the Creative Commons Attribution (CC BY) license (https://creativecommons.org/licenses/by/4.0/).
Share and Cite
Bi, S.; Zeng, Q.; Deng, Q.; Liu, H.; Zhou, X.; Xie, C.; Liu, W.; Li, Y. Isolation and Identification of a Carbon-Fixing Bacteria Strain and Its Efficiency for Nitrogen and Phosphorus Removal from Viaduct Rainwater. Water 2023, 15, 2916. https://doi.org/10.3390/w15162916
Bi S, Zeng Q, Deng Q, Liu H, Zhou X, Xie C, Liu W, Li Y. Isolation and Identification of a Carbon-Fixing Bacteria Strain and Its Efficiency for Nitrogen and Phosphorus Removal from Viaduct Rainwater. Water. 2023; 15(16):2916. https://doi.org/10.3390/w15162916
Chicago/Turabian StyleBi, Shiming, Qingjun Zeng, Qianwen Deng, Haohua Liu, Xiaoman Zhou, Chijian Xie, Wen Liu, and Yiyong Li. 2023. "Isolation and Identification of a Carbon-Fixing Bacteria Strain and Its Efficiency for Nitrogen and Phosphorus Removal from Viaduct Rainwater" Water 15, no. 16: 2916. https://doi.org/10.3390/w15162916
APA StyleBi, S., Zeng, Q., Deng, Q., Liu, H., Zhou, X., Xie, C., Liu, W., & Li, Y. (2023). Isolation and Identification of a Carbon-Fixing Bacteria Strain and Its Efficiency for Nitrogen and Phosphorus Removal from Viaduct Rainwater. Water, 15(16), 2916. https://doi.org/10.3390/w15162916
