Prenatal Diagnosis of a Feingold Syndrome Pregnancy Complicated with Severe Preeclampsia: A Report of a Challenging Case
Abstract
1. Introduction
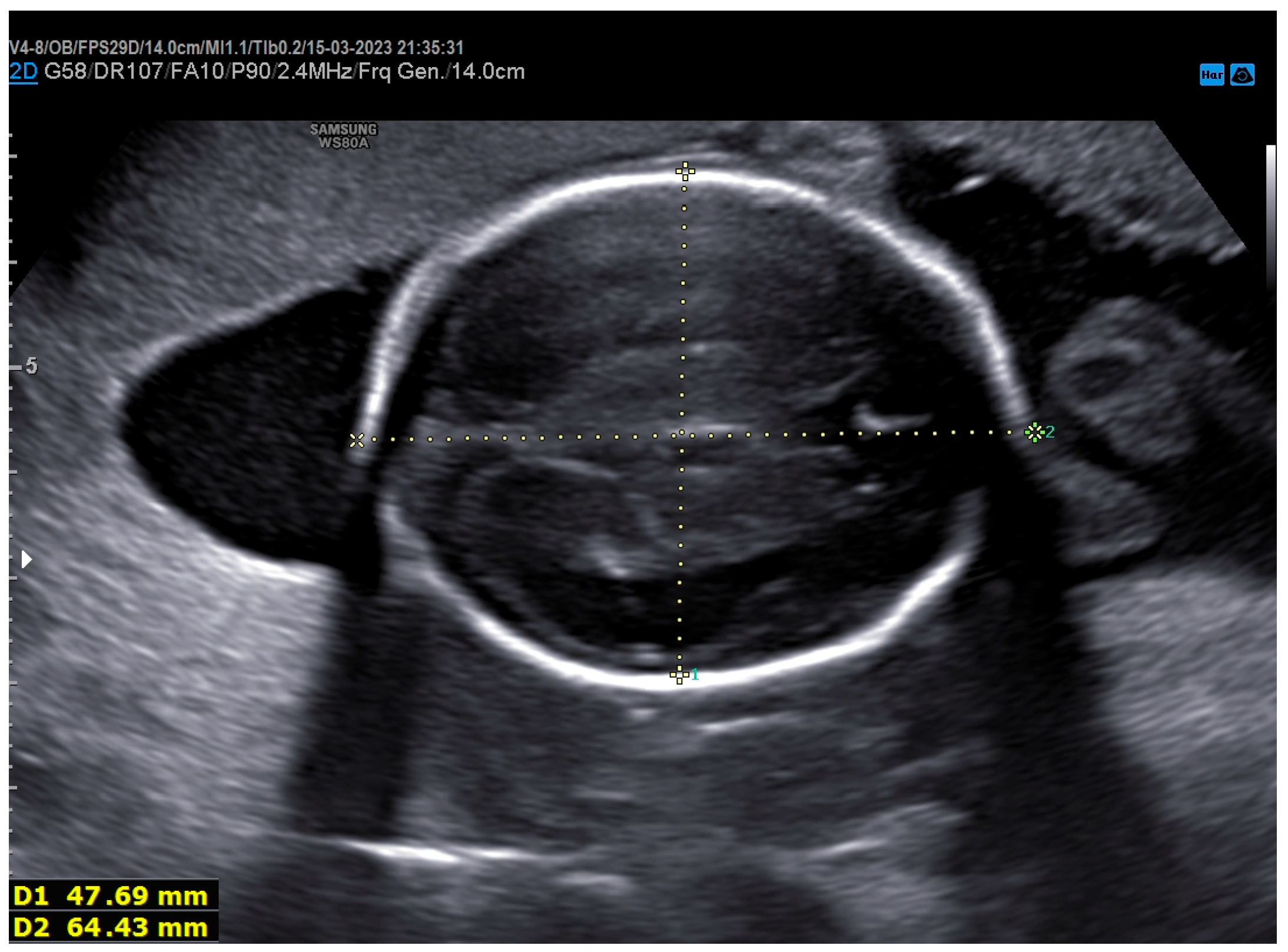
2. Case Presentation
3. Discussion
Author Contributions
Funding
Institutional Review Board Statement
Informed Consent Statement
Data Availability Statement
Conflicts of Interest
References
- Feingold, M.; Hall, B.D.; Lacassie, Y.; Martínez-Frías, M.L. Syndrome of microcephaly, facial and hand abnormalities, tracheoesophageal fistula, duodenal atresia, and developmental delay. Am. J. Med. Genet. 1997, 69, 245–249. [Google Scholar] [CrossRef]
- Zeka, N.; Bejiqi, R.; Gerguri, A.; Zogaj, L.; Jashari, H. A new variant of MYCN gene as a cause of Feingold syndrome. Clin. Case Rep. 2022, 10, e05886. [Google Scholar] [CrossRef] [PubMed]
- Herman, T.; Siegel, M. Feingold Syndrome: Microcephaly, Esophageal Atresia, Type III Laryngeal Cleft, Malrotation, Limb Anomalies. J. Perinatol. 2004, 24, 568–570. [Google Scholar] [CrossRef] [PubMed]
- De Pontual, L.; Yao, E.; Callier, P.; Faivre, L.; Drouin, V.; Cariou, S.; Haeringen, A.V.; Geneviève, D.; Goldenberg, A.; Oufadem, M.; et al. Germline deletion of the miR-17∼92 cluster causes skeletal and growth defects in humans. Nat. Genet. 2011, 43, 1026–1031. [Google Scholar] [CrossRef]
- Burnside, R.D.; Molinari, S.; Botti, C.; Brooks, S.S.; Chung, W.K.; Mehta, L.; Schwartz, S.; Papenhausen, P. Features of Feingold syndrome 1 dominate in subjects with 2p deletions including MYCN. Am. J. Med. Genet. A 2018, 176, 1956–1963. [Google Scholar] [CrossRef]
- Demir, Ş.; Söylemez, M.A.; Arman, A.; Ata, P. First Patient Diagnosed as Feingold Syndrome Type 2 with Alport Syndrome and Review of the Current Literature. Mol. Syndromol. 2022, 13, 447–453. [Google Scholar] [CrossRef]
- Tassano, E.; Di Rocco, M.; Signa, S.; Gimelli, G. De novo 13q31.1-q32.1 interstitial deletion encompassing the miR-17-92 cluster in a patient with Feingold syndrome-2. Am. J. Med. Genet. A 2013, 161, 894–896. [Google Scholar] [CrossRef]
- Muriello, M.; Kim, A.Y.; Sondergaard Schatz, K.; Beck, N.; Gunay-Aygun, M.; Hoover-Fong, J.E. Growth hormone deficiency, aortic dilation, and neurocognitive issues in Feingold syndrome 2. Am. J. Med. Genet. A 2019, 179, 410–416. [Google Scholar] [CrossRef]
- Van Bokhoven, H.; Celli, J.; van Reeuwijk, J.; Rinne, T.; Glaudemans, B.; van Beusekom, E.; Rieu, P.; Newbury-Ecob, R.A.; Chiang, C.; Brunner, H.G. MYCN haploinsufficiency is associated with reduced brain size and intestinal atresias in Feingold syndrome. Nat. Genet. 2005, 37, 465–467. [Google Scholar] [CrossRef]
- Chen, C.P.; Lin, S.-P.; Chern, S.-R.; Wu, P.-S.; Chang, S.-D.; Ng, S.-H.; Liu, Y.-P.; Su, J.-W.; Wang, W. A de novo 4.4-Mb microdeletion in 2p24.3 → p24.2 in a girl with bilateral hearing impairment, microcephaly, digit abnormalities and Feingold syndrome. Eur. J. Med. Genet. 2012, 55, 666–669. [Google Scholar] [CrossRef]
- Tészás, A.; Meijer, R.; Scheffer, H.; Gyuris, P.; Kosztolányi, G.; van Bokhoven, H.; Kellermayer, R. Expanding the clinical spectrum of MYCN-related Feingold syndrome. Am. J. Med. Genet. A 2006, 140, 2254–2256. [Google Scholar] [CrossRef]
- Kawame, H.; Pagon, R.A.; Hudgins, L. Digital anomalies, microcephaly, and normal intelligence: New syndrome or Feingold syndrome? Am. J. Med. Genet. 1997, 69, 240–244. [Google Scholar] [CrossRef]
- Ferroul, F.; Snanoudj, S.; Leterme, G.; Mezouaghi, K.; Kieffer-Traversier, M.; Celse, T.; Dospeux, J.; Huby, T.; Marzin, P.; Morel, G.; et al. Rare features in Feingold syndrome type 1. Eur. J. Med. Genet. 2025, 78, 105049. [Google Scholar] [CrossRef]
- Nishio, Y.; Kato, K.; Mau-Them, F.T.; Futagawa, H.; Quélin, C.; Masuda, S.; Vitobello, A.; Otsuji, S.; Shawki, H.H.; Oishi, H.; et al. Gain-of-function MYCN causes a megalencephaly-polydactyly syndrome manifesting mirror phenotypes of Feingold syndrome. Hum. Genet. Genom. Adv. 2023, 4, 100238. [Google Scholar] [CrossRef] [PubMed]
- Brodeur, G.M. Neuroblastoma: Biological insights into a clinical enigma. Nat. Rev. Cancer 2003, 3, 203–216. [Google Scholar] [CrossRef]
- Rickman, D.S.; Schulte, J.H.; Eilers, M. The Expanding World of N-MYC-Driven Tumors. Cancer Discov. 2018, 8, 150–164. [Google Scholar] [CrossRef] [PubMed]
- Ota, S.; Zhou, Z.Q.; Keene, D.R.; Knoepfler, P.; Hurlin, P.J. Activities of N-Myc in the developing limb link control of skeletal size with digit separation. Development 2007, 134, 1583–1592. [Google Scholar] [CrossRef] [PubMed]
- Celli, J.; Van Bokhoven, H.; Brunner, H.G. Feingold syndrome: Clinical review and genetic mapping. Am. J. Med. Genet. A 2003, 122, 294–300. [Google Scholar] [CrossRef]
- Marcelis, C.L.M.; Hol, F.A.; Graham, G.E.; Rieu, P.N.; Kellermayer, R.; Meijer, R.P.; Lugtenberg, D.; Scheffer, H.; van Bokhoven, H.; Brunner, H.G.; et al. Genotype-phenotype correlations in MYCN-related Feingold syndrome. Hum. Mutat. 2008, 29, 1125–1132. [Google Scholar] [CrossRef]
- Cognet, M.; Nougayrede, A.; Malan, V.; Callier, P.; Cretolle, C.; Faivre, L.; Genevieve, D.; Goldenberg, A.; Heron, D.; Mercier, S.; et al. Dissection of the MYCN locus in Feingold syndrome and isolated oesophageal atresia. Eur. J. Hum. Genet. 2011, 19, 602–606. [Google Scholar] [CrossRef]
- Tedesco, M.G.; Lonardo, F.; Ceccarini, C.; Cesarano, C.; Digilio, M.C.; Magliozzi, M.; Rogaia, D.; Mencarelli, A.; Leoni, C.; Piscopo, C.; et al. Clinical and molecular characterizations of 11 new patients with type 1 Feingold syndrome: Proposal for selecting diagnostic criteria and further genetic testing in patients with severe phenotype. Am. J. Med. Genet. A 2021, 185, 1204–1210. [Google Scholar] [CrossRef]
- Peleg, A.; Kurolap, A.; Sagi-Dain, L.; Larom-Khan, G.; Adir, V.; Mory, A.; Paperna, T.; Shuldiner, A.R.; Gonzaga-Jauregui, C.; Adir, N.; et al. A novel mutation in MYCN gene causing congenital absence of the flexor pollicis longus tendon as an unusual presentation of Feingold syndrome 1. Clin. Dysmorphol. 2021, 30, 71–75. [Google Scholar] [CrossRef]
- Samara, A.A.; Lafioniatis, A.; Ioannou, M.; Tsiapakidou, S.; Gerede, A.; Anastasakis, E.; Daponte, A.; Sotiriou, S. The role of heat shock proteins in placental ischemic disease: A narrative review of the current literature. Int. J. Gynaecol. Obstet. 2025, 169, 960–967. [Google Scholar] [CrossRef] [PubMed]
- Rana, S.; Lemoine, E.; Granger, J.P.; Karumanchi, S.A. Preeclampsia: Pathophysiology, Challenges, and Perspectives. Circ. Res. 2019, 124, 1094–1112, Erratum in Circ. Res. 2020, 126, e8. https://doi.org/10.1161/RES.0000000000000315. . [Google Scholar] [CrossRef] [PubMed]
- Samara, A.A.; Liampas, I.; Dadouli, K.; Siokas, V.; Zintzaras, E.; Stefanidis, I.; Daponte, A.; Sotiriou, S.; Dardiotis, E. Preeclampsia, gestational hypertension and incident dementia: A systematic review and meta-analysis of published evidence. Pregnancy Hypertens. 2022, 30, 192–197. [Google Scholar] [CrossRef] [PubMed]
- Samara, A.A.; Floros, T.; Zacharouli, K.; Ioannou, M.; Stamouli, D.; Janho, M.; Skentou, C.; Daponte, A.; Sotiriou, S. Morphological Macroscopical Placental Features of Pregnancies Complicated with Fetal Growth Restriction: A Case-Control Study. Maedica 2025, 20, 515. [Google Scholar] [CrossRef]
- Kim, Y.H.; Park, T.C.; Kim, O.K.; Seo, M.W.; Shin, J.C.; Lee, Y.; Ahn, H.Y.; Kim, S.P. Feingold syndrome with ring chromosome 13 (Poster session P44.05). Ultrasound Obstet. Gynecol. 2007, 30, 619. [Google Scholar] [CrossRef]



| Feingold Syndrome Type | Type 1 (FS1) | Type 2 (FS2) |
|---|---|---|
| Chromosome | 2p24 locus | 13q region |
| Gene Variations | MYCN gene | MIR17HG gene |
| Protein | N-myc | miR17-92 cluster |
Disclaimer/Publisher’s Note: The statements, opinions and data contained in all publications are solely those of the individual author(s) and contributor(s) and not of MDPI and/or the editor(s). MDPI and/or the editor(s) disclaim responsibility for any injury to people or property resulting from any ideas, methods, instructions or products referred to in the content. |
© 2026 by the authors. Licensee MDPI, Basel, Switzerland. This article is an open access article distributed under the terms and conditions of the Creative Commons Attribution (CC BY) license.
Share and Cite
Samara, A.A.; Perros, P.; Koutras, A.; Janho, M.B.; Manolakos, E.; Daponte, N.; Ziogas, A.C.; Garas, A.; Skentou, C.; Sotiriou, S. Prenatal Diagnosis of a Feingold Syndrome Pregnancy Complicated with Severe Preeclampsia: A Report of a Challenging Case. Genes 2026, 17, 54. https://doi.org/10.3390/genes17010054
Samara AA, Perros P, Koutras A, Janho MB, Manolakos E, Daponte N, Ziogas AC, Garas A, Skentou C, Sotiriou S. Prenatal Diagnosis of a Feingold Syndrome Pregnancy Complicated with Severe Preeclampsia: A Report of a Challenging Case. Genes. 2026; 17(1):54. https://doi.org/10.3390/genes17010054
Chicago/Turabian StyleSamara, Athina A., Paraskevas Perros, Antonios Koutras, Michel B. Janho, Emmanuil Manolakos, Nikoletta Daponte, Apostolos C. Ziogas, Antonios Garas, Chara Skentou, and Sotirios Sotiriou. 2026. "Prenatal Diagnosis of a Feingold Syndrome Pregnancy Complicated with Severe Preeclampsia: A Report of a Challenging Case" Genes 17, no. 1: 54. https://doi.org/10.3390/genes17010054
APA StyleSamara, A. A., Perros, P., Koutras, A., Janho, M. B., Manolakos, E., Daponte, N., Ziogas, A. C., Garas, A., Skentou, C., & Sotiriou, S. (2026). Prenatal Diagnosis of a Feingold Syndrome Pregnancy Complicated with Severe Preeclampsia: A Report of a Challenging Case. Genes, 17(1), 54. https://doi.org/10.3390/genes17010054

