Oxidative Stress and Intestinal Transcriptome Changes in Clostridium perfringens Type A-Caused Enteritis in Deer
Abstract
1. Introduction
2. Materials and Methods
2.1. Bacterial Strain and Growth Media
2.2. Animal and Preparation of Loops
2.3. Morphologic Analysis
2.4. RNA Sequencing
2.5. RNA-Seq Data Analysis
2.6. Protein–Protein Interaction (PPI) Network Construction
2.7. qPCR Validation
2.8. ELISA
2.9. Intestinal Antioxidant Capacity Test
2.10. Statistical Analyses
3. Results
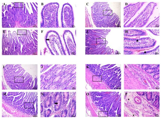
3.1. Histological Damage of C. perfringens Type A-Infected Intestine
3.2. C. perfringens Type A Destroys the Related Gene of Intestinal Barrier Immune System and Haematopoietic System
3.3. C. perfringens Type A Affects the Intestinal Barrier Function by Reducing Intestinal Tight Junction Protein Expression
3.4. C. perfringens Type A Can Be Recognized by TLR6 in the Intestinal Barrier of Deer
3.5. Enteritis Caused by C. perfringens Type A Promotes the Expression of Immunoinflammation-Related Proteins
3.6. Effect of C. perfringens Type A Infection on the Intestinal Antioxidant Capacity of Deer
4. Discussion
5. Conclusions
Supplementary Materials
Author Contributions
Funding
Institutional Review Board Statement
Informed Consent Statement
Data Availability Statement
Acknowledgments
Conflicts of Interest
Abbreviations
| C. perfringens | Clostridium perfringens |
| CAT | Catalase |
| CPA | C. perfringens α-toxin |
| DEG(s) | Differentially expressed gene(s) |
| ELISA | Enzyme-linked immunosorbent assay |
| FTG | Fluid thioglycollate |
| GO | Gene ontology |
| GSH | Glutathione |
| KEGG | Kyoto Encyclopedia of Genes and Genomes |
| MDA | Malondialdehyde |
| PC | Phosphatidylcholine |
| PPI | Protein–protein interaction |
| qPCR | Quantitative real-time PCR |
| ROS/NOS | Reactive oxygen species/nitric oxide synthase |
| SM | Sphingomyelin |
| T-AOC | Total antioxidant capacity |
| TLRs | Toll-like receptors |
References
- Mohiuddin, M.; Iqbal, Z.; Siddique, A.; Liao, S.; Salamat, M.K.F.; Qi, N.; Din, A.M.; Sun, M. Prevalence, Genotypic and Phenotypic characterization and antibiotic resistance profile of type A and D isolated from feces of sheep (Ovis aries) and goats (Capra hircus) in Punjab, Pakistan. Toxins 2020, 12, 657. [Google Scholar] [CrossRef] [PubMed]
- Zhu, Z. Comprehensive Diagnosis and Pathogenicity of Deer Intestinal Toxemia Shandong Area. Master’s Thesis, Qingdao Agricultural University, Qingdao, China, 2019. [Google Scholar]
- Qiu, H.; Chen, F.; Leng, X.; Fei, R.; Wang, L. Toxinotyping of Clostridium perfringens fecal isolates of reintroduced Père David’s deer (Elaphurus davidianus) in China. J. Wildl. Dis. 2014, 50, 942–945. [Google Scholar] [CrossRef]
- Li, C.X.; Wang, W.H.; Bai, Z.J.; Wang, Z.Y. The enterotoxemia of wild animal ruminant and its prevention and cure. Chin. J. Vet. Med. 2007, 5, 32. [Google Scholar]
- Zhong, Z.; Zhang, L.; Xia, J.; Tang, B.; Chen, G. Epidemiological investigation of sudden death of Père David’s deer in the South China Sea in 1999. In Proceedings of the Père David’s Deer Home 20th Anniversary International Academic Symposium, Beijing, China, 17–18 October 2005; Beijing Press: Beijing, China, 2007; pp. 34–37. [Google Scholar]
- English, A.W. Enterotoxaemia caused by Clostridium perfringens type D in farmed fallow deer. Aust. Vet. J. 1985, 62, 320. [Google Scholar] [CrossRef] [PubMed]
- Zhang, M.; Shi, M.; Fan, M.; Xu, S.; Li, Y.; Zhang, T.; Cha, M.; Liu, Y.; Guo, X.; Chen, Q.; et al. Comparative analysis of gut microbiota ghanges in Père David’s deer populations in Beijing milu park and Shishou, Hubei Province in China. Front. Microbiol. 2018, 9, 1258. [Google Scholar]
- Sun, C.H.; Liu, H.Y.; Liu, B.; Yuan, B.D.; Lu, C.H. Analysis of the gut microbiome of wild and captive Père David’s deer. Front. Microbiol. 2019, 10, 2331. [Google Scholar] [CrossRef]
- Uzal, F.A.; Freedman, J.C.; Shrestha, A.; Theoret, J.R.; Garcia, J.; Awad, M.M.; Adams, V.; Moore, R.J.; Rood, J.I.; McClane, B.A. Towards an understanding of the role of Clostridium perfringens toxins in human and animal disease. Future Microbiol. 2014, 9, 361–377. [Google Scholar] [CrossRef]
- Stevens, D.L.; Aldape, M.J.; Bryant, A.E. Life-threatening clostridial infections. Anaerobe 2012, 18, 254–259. [Google Scholar] [CrossRef]
- Hill, K.K.; Smith, T.J. Genetic diversity within Clostridium botulinum serotypes, botulinum neurotoxin gene clusters and toxin subtypes. Curr. Top. Microbiol. Immunol. 2013, 364, 1–20. [Google Scholar]
- Freedman, J.C.; Shrestha, A.; McClane, B.A. Clostridium perfringens enterotoxin: Action, genetics, and translational applications. Toxins 2016, 8, 73. [Google Scholar] [CrossRef]
- Kiu, R.; Hall, L.J. An update on the human and animal enteric pathogen Clostridium perfringens. Emerg. Microbes Infect. 2018, 7, 141. [Google Scholar] [CrossRef]
- Eisler, M.C.; Lee, M.R.; Tarlton, J.F.; Martin, G.B.; Beddington, J.; Dungait, J.A.; Greathead, H.; Liu, J.; Mathew, S.; Miller, H.; et al. Agriculture: Steps to sustainable livestock. Nature 2014, 507, 32–34. [Google Scholar] [CrossRef]
- Bryant, A.E. Biology and pathogenesis of thrombosis and procoagulant activity in invasive infections caused by group A streptococci and Clostridium perfringens. Clin. Microbiol. Rev. 2003, 16, 451–462. [Google Scholar] [CrossRef]
- Takagishi, T.; Takehara, M.; Seike, S.; Miyamoto, K.; Kobayashi, K.; Nagahama, M. Clostridium perfringens α-toxin impairs erythropoiesis by inhibition of erythroid differentiation. Sci. Rep. 2017, 7, 5217. [Google Scholar] [CrossRef]
- Jewell, S.A.; Titball, R.W.; Huyet, J.; Naylor, C.E.; Basak, A.K.; Gologan, P.; Winlove, C.P.; Petrov, P.G. Clostridium perfringens α-toxin interaction with red cells and model membranes. Soft Matter 2015, 11, 7748–7761. [Google Scholar] [CrossRef]
- Ochi, S.; Oda, M.; Nagahama, M.; Sakurai, J. Clostridium perfringens α-toxin-induced hemolysis of horse erythrocytes is dependent on Ca2+ uptake. Biochim. Biophys. Acta 2003, 1613, 79–86. [Google Scholar] [CrossRef]
- Oda, M.; Matsuno, T.; Shiihara, R.; Ochi, S.; Yamauchi, R.; Saito, Y.; Imagawa, H.; Nagahama, M.; Nishizawa, M.; Sakurai, J. The relationship between the metabolism of sphingomyelin species and the hemolysis of sheep erythrocytes induced by Clostridium perfringens alpha-toxin. J. Lipid Res. 2008, 49, 1039–1047. [Google Scholar] [CrossRef]
- Ogbu, C.P.; Roy, S.; Vecchio, A.J. Disruption of claudin-made tight junction barriers by Clostridium perfringens enterotoxin: Insights from structural biology. Cells 2022, 11, 903. [Google Scholar] [CrossRef] [PubMed]
- Zhuang, Y.; Wu, H.; Wang, X.; He, J.; He, S.; Yin, Y. Resveratrol attenuates oxidative stress-induced intestinal barrier injury through PI3K/Akt-mediated Nrf2 signaling pathway. Oxid. Med. Cell. Longev. 2019, 2019, 7591840. [Google Scholar] [CrossRef] [PubMed]
- Ren, C.; Zhang, Q.; de Haan, B.J.; Zhang, H.; Faas, M.M.; de Vos, P. Identification of TLR2/TLR6 signalling lactic acid bacteria for supporting immune regulation. Sci. Rep. 2016, 6, 34561. [Google Scholar] [CrossRef] [PubMed]
- John, L.J.; Fromm, M.; Schulzke, J.D. Epithelial barriers in intestinal inflammation. Antioxid. Redox Signal. 2011, 15, 1255–1270. [Google Scholar] [CrossRef] [PubMed]
- Patel, H.; Yong, C.; Navi, A.; Shaw, S.G.; Shiwen, X.; Abraham, D.; Baker, D.M.; Tsui, J.C. Toll-like receptors 2 and 6 mediate apoptosis and inflammation in ischemic skeletal myotubes. Vasc. Med. 2019, 24, 295–305. [Google Scholar] [CrossRef]
- Luo, R.; Yang, Q.; Huang, X.; Yan, Z.; Gao, X.; Wang, W.; Xie, K.; Wang, P.; Gun, S. Clostridium perfringens beta2 toxin induced in vitro oxidative damage and its toxic assessment in porcine small intestinal epithelial cell lines. Gene 2020, 759, 144999. [Google Scholar] [CrossRef]
- Songer, J.G. Clostridial enteric diseases of domestic animals. Clin. Microbiol. Rev. 1996, 9, 216–234. [Google Scholar] [CrossRef]
- Uzal, F.A.; Navarro, M.A.; Li, J.; Freedman, J.C.; Shrestha, A.; McClane, B.A. Comparative pathogenesis of enteric clostridial infections in humans and animals. Anaerobe 2018, 53, 11–20. [Google Scholar] [CrossRef]
- Mackintosh, C.G.; Griffin, J.F.; Scott, I.C.; O’Brien, R.; Stanton, J.L.; MacLean, P.; Brauning, R. SOLiD SAGE sequencing shows differential gene expression in jejunal lymph node samples of resistant and susceptible red deer (Cervus elaphus) challenged with Mycobacterium avium subsp. paratuberculosis. Vet. Immunol. Immunopathol. 2016, 169, 102–110. [Google Scholar] [CrossRef]
- Choteau, L.; Vancraeyneste, H.; Le Roy, D.; Dubuquoy, L.; Romani, L.; Jouault, T.; Poulain, D.; Sendid, B.; Calandra, T.; Roger, T.; et al. Role of TLR1, TLR2 and TLR6 in the modulation of intestinal inflammation and Candida albicans elimination. Gut Pathog. 2017, 9, 9. [Google Scholar] [CrossRef]
- Sayeed, S.; Uzal, F.A.; Fisher, D.J.; Saputo, J.; Vidal, J.E.; Chen, Y.; Gupta, P.; Rood, J.I.; McClane, B.A. Beta toxin is essential for the intestinal virulence of Clostridium perfringens type C disease isolate CN3685 in a rabbit ileal loop model. Mol. Microbiol. 2008, 67, 15–30. [Google Scholar] [CrossRef] [PubMed]
- Valgaeren, B.; Pardon, B.; Goossens, E.; Verherstraeten, S.; Schauvliege, S.; Timbermont, L.; Ducatelle, R.; Deprez, P.; Van Immerseel, F. lesion development in a new intestinal loop model indicates the involvement of a shared Clostridium perfringens virulence factor in haemorrhagic enteritis in calves. J. Comp. Pathol. 2013, 149, 103–112. [Google Scholar] [CrossRef]
- Goossens, E.; Verherstraeten, S.; Valgaeren, B.R.; Pardon, B.; Timbermont, L.; Schauvliege, S.; Rodrigo-Mocholí, D.; Haesebrouck, F.; Ducatelle, R.; Deprez, P.R.; et al. The C-terminal domain of Clostridium perfringens alpha toxin as a vaccine candidate against bovine necrohemorrhagic enteritis. Vet. Res. 2016, 47, 52. [Google Scholar] [CrossRef] [PubMed]
- Gerdts, V.; Uwiera, R.R.; Mutwiri, G.K.; Wilson, D.J.; Bowersock, T.; Kidane, A.; Babiuk, L.A.; Griebel, P.J. Multiple intestinal ‘loops’ provide an in vivo model to analyse multiple mucosal immune responses. J. Immunol. Methods 2001, 256, 19–33. [Google Scholar] [CrossRef]
- Nowell, V.J.; Kropinski, A.M.; Songer, J.G.; MacInnes, J.I.; Parreira, V.R.; Prescott, J.F. Genome sequencing and analysis of a type A Clostridium perfringens isolate from a case of bovine clostridial abomasitis. PLoS ONE 2012, 7, e32271. [Google Scholar] [CrossRef]
- Van Kruiningen, H.J.; Nyaoke, C.A.; Sidor, I.F.; Fabis, J.J.; Hinckley, L.S.; Lindell, K.A. Clostridial abomasal disease in Connecticut dairy calves. Can. Vet. J. 2009, 50, 857–860. [Google Scholar]
- Diab, S.S.; Kinde, H.; Moore, J.; Shahriar, M.F.; Odani, J.; Anthenill, L.; Songer, G.; Uzal, F.A. Pathology of Clostridium perfringens type C enterotoxemia in horses. Vet Pathol. 2012, 49, 255–263. [Google Scholar] [CrossRef] [PubMed]
- Uzal, F.A.; Songer, J.G. Diagnosis of Clostridium perfringens intestinal infections in sheep and goats. J. Vet. Diagn. Investig. 2008, 20, 253–265. [Google Scholar] [CrossRef] [PubMed]
- Shi, H.; Huang, X.; Yan, Z.; Yang, Q.; Wang, P.; Li, S.; Sun, W.; Gun, S. Effect of Clostridium perfringens type C on TLR4/MyD88/NF-κB signaling pathway in piglet small intestines. Microb. Pathog. 2019, 135, 103567. [Google Scholar] [CrossRef]
- Liang, L.; Wang, Z.J.; Ye, G.; Tang, X.Y.; Zhang, Y.Y.; Kong, J.X.; Du, H.H. Distribution of lactoferrin is related with dynamics of neutrophils in bacterial infected mice intestine. Molecules 2020, 25, 1496. [Google Scholar] [CrossRef] [PubMed]
- Allam-Ndoul, B.; Castonguay-Paradis, S.; Veilleux, A. Gut microbiota and intestinal trans-epithelial permeability. Int. J. Mol. Sci. 2020, 21, 6402. [Google Scholar] [CrossRef]
- Eichner, M.; Protze, J.; Piontek, A.; Krause, G.; Piontek, J. Targeting and alteration of tight junctions by bacteria and their virulence factors such as Clostridium perfringens enterotoxin. Pflügers Arch. 2017, 469, 77–90. [Google Scholar] [CrossRef]
- Xun, W.; Fu, Q.; Shi, L.; Cao, T.; Jiang, H.; Ma, Z. Resveratrol protects intestinal integrity, alleviates intestinal inflammation and oxidative stress by modulating AhR/Nrf2 pathways in weaned piglets challenged with diquat. Int. Immunopharmacol. 2021, 99, 107989. [Google Scholar] [CrossRef]
- Katahira, J.; Inoue, N.; Horiguchi, Y.; Matsuda, M.; Sugimoto, N. Molecular cloning and functional characterization of the receptor for Clostridium perfringens enterotoxin. J. Cell Biol. 1997, 136, 1239–1247. [Google Scholar] [CrossRef] [PubMed]
- Kimura, J.; Abe, H.; Kamitani, S.; Toshima, H.; Fukui, A.; Miyake, M.; Kamata, Y.; Sugita-Konishi, Y.; Yamamoto, S.; Horiguchi, Y. Clostridium perfringens enterotoxin interacts with claudins via electrostatic attraction. J. Biol. Chem. 2010, 285, 401–408. [Google Scholar] [CrossRef] [PubMed]
- Oh, S.T.; Lillehoj, H.S. The role of host genetic factors and host immunity in necrotic enteritis. Avian Pathol. 2016, 45, 313–316. [Google Scholar] [CrossRef]
- Takehara, M.; Seike, S.; Sonobe, Y.; Bandou, H.; Yokoyama, S.; Takagishi, T.; Miyamoto, K.; Kobayashi, K.; Nagahama, M. α-toxin impairs granulocyte colony-stimulating factor receptor-mediated granulocyte production while triggering septic shock. Commun. Biol. 2019, 2, 45. [Google Scholar] [CrossRef]
- Fitzgerald, K.A.; Kagan, J.C. Toll-like receptors and the control of immunity. Cell 2020, 180, 1044–1066. [Google Scholar] [CrossRef] [PubMed]
- Kye, Y.J.; Lee, S.Y.; Kim, H.R.; Lee, B.H.; Park, J.H.; Park, M.S.; Ji, G.E.; Sung, M.K. Lactobacillus acidophilus PIN7 paraprobiotic supplementation ameliorates DSS-induced colitis through anti-inflammatory and immune regulatory effects. J. Appl. Microbiol. 2022, 132, 3189–3200. [Google Scholar] [CrossRef]
- Noreen, M.; Arshad, M. Association of TLR1, TLR2, TLR4, TLR6, and TIRAP polymorphisms with disease susceptibility. Immunol. Res. 2015, 62, 234–252. [Google Scholar] [CrossRef]
- Williams, J.M.; Duckworth, C.A.; Burkitt, M.D.; Watson, A.J.; Campbell, B.J.; Pritchard, D.M. Epithelial cell shedding and barrier function: A matter of life and death at the small intestinal villus tip. Vet. Pathol. 2015, 52, 445–455. [Google Scholar] [CrossRef]
- Guma, M.; Stepniak, D.; Shaked, H.; Spehlmann, M.E.; Shenouda, S.; Cheroutre, H.; Vicente-Suarez, I.; Eckmann, L.; Kagnoff, M.F.; Karin, M. Constitutive intestinal NF-κB does not trigger destructive inflammation unless accompanied by MAPK activation. J. Exp. Med. 2011, 208, 1889–1900. [Google Scholar] [CrossRef]
- Oda, M.; Kihara, A.; Yoshioka, H.; Saito, Y.; Watanabe, N.; Uoo, K.; Higashihara, M.; Nagahama, M.; Koide, N.; Yokochi, T.; et al. Effect of erythromycin on biological activities induced by Clostridium perfringens alpha-toxin. J. Pharmacol. Exp. Ther. 2008, 327, 934–940. [Google Scholar] [CrossRef]
- Huang, F.C. The interleukins orchestrate mucosal immune responses to Salmonella infection in the intestine. Cells 2021, 10, 3492. [Google Scholar] [CrossRef]
- Kinra, M.; Nampoothiri, M.; Arora, D.; Mudgal, J. Reviewing the importance of TLR-NLRP3-pyroptosis pathway and mechanism of experimental NLRP3 inflammasome inhibitors. Scand. J. Immunol. 2022, 95, e13124. [Google Scholar] [CrossRef]
- Chen, J.; Li, Y.; Yu, B.; Chen, D.; Mao, X.; Zheng, P.; Luo, Y.; He, J. Dietary chlorogenic acid improves growth performance of weaned pigs through maintaining antioxidant capacity and intestinal digestion and absorption function. J. Anim. Sci. 2018, 96, 1108–1118. [Google Scholar] [CrossRef]
- Yin, J.; Wu, M.M.; Xiao, H.; Ren, W.K.; Duan, J.L.; Yang, G.; Li, T.J.; Yin, Y.L. Development of an antioxidant system after early weaning in piglets. J. Anim. Sci. 2014, 92, 612–619. [Google Scholar] [CrossRef] [PubMed]
- Hao, Y.; Xing, M.; Gu, X. Research progress on oxidative stress and its nutritional regulation strategies in pigs. Animals 2021, 11, 1384. [Google Scholar] [CrossRef] [PubMed]
- Luo, L.; Zang, G.; Liu, B.; Qin, X.; Zhang, Y.; Chen, Y.; Zhang, H.; Wu, W.; Wang, G. Bioengineering CXCR4-overexpressing cell membrane functionalized ROS-responsive nanotherapeutics for targeting cerebral ischemia-reperfusion injury. Theranostics 2021, 11, 8043–8056. [Google Scholar] [CrossRef] [PubMed]
- Monturiol-Gross, L.; Flores-Díaz, M.; Pineda-Padilla, M.J.; Castro-Castro, A.C.; Alape-Girón, A. Clostridium perfringens phospholipase C induced ROS production and cytotoxicity require PKC, MEK1 and NF-κB activation. PLoS ONE 2014, 9, e86475. [Google Scholar] [CrossRef] [PubMed]
- Bunkar, N.; Sharma, J.; Chouksey, A.; Kumari, R.; Gupta, P.K.; Tiwari, R. Clostridium perfringens phospholipase C impairs innate immune response by inducing integrated stress response and mitochondrial-induced epigenetic modifications. Cell. Signal. 2020, 75, 109776. [Google Scholar] [CrossRef] [PubMed]
- Zhou, M.; Xu, W.; Wang, J.; Yan, J.; Shi, Y.; Zhang, C.; Ge, W.; Wu, J.; Du, P.; Chen, Y. Boosting mTOR-dependent autophagy via upstream TLR4-MyD88-MAPK signalling and downstream NF-κB pathway quenches intestinal inflammation and oxidative stress injury. eBioMedicine 2018, 35, 345–360. [Google Scholar] [CrossRef]
- Ali, S.S.; Ahsan, H.; Zia, M.K.; Siddiqui, T.; Khan, F.H. Understanding oxidants and antioxidants: Classical team with new players. J. Food Biochem. 2020, 44, e13145. [Google Scholar] [CrossRef]
- Zhang, X.; Fan, J.; Li, H.; Chen, C.; Wang, Y. CD36 signaling in diabetic cardiomyopathy. Aging Dis. 2021, 12, 826–840. [Google Scholar] [CrossRef] [PubMed]







| Primer | Direction | Sequences (5′ to 3′) |
|---|---|---|
| Claudin3 | Forward | GAGGGCCTGTGGATGAACTG |
| Claudin3 | Reverse | GAAGACGGCCAGTAGGATGG |
| Claudin8 | Forward | AAAACTGCTCTCCCTCGGTG |
| Claudin8 | Reverse | GGCGTAGGTAGCCATTCTCC |
| Occludin | Forward | AATAGTGAACGCCGTCCTGG |
| Occludin | Reverse | GGTCTGGGCAGTTGGATTGA |
| Tlr4 | Forward | CTCCTGCCTGAGATCCGAGA |
| Tlr4 | Reverse | AGGTCCAGCATCTTGGTTGTT |
| Tlr6 | Forward | TGCTGATTACAGTGGATGTTGTG |
| Tlr6 | Reverse | AACTGACCCCAAGGCTGATG |
| Nf-κb | Forward | TTGGCAACAACACTGACCCT |
| Nf-κb | Reverse | CCATGGGTACACCCTGGTTC |
| Nlrp3 | Forward | TTCCCATCAGTGCTGCTTCA |
| Nlrp3 | Reverse | GGCCAGAATTCACCAACCAG |
| Il-1β | Forward | CTGTGGCCTTGGGTATCAGG |
| Il-1β | Reverse | GCCACCTCTAAAACGTCCCA |
| Il-6 | Forward | ACGAGTGGGTAAAGAACGCA |
| Il-6 | Reverse | GGAATGCCCAGGAACTACCA |
| Il-8 | Forward | GACCCCAAGGAAAAGTGGGT |
| Il-8 | Reverse | CCACACAGTACTCAAGGCACT |
| Il-22 | Forward | ACCCTGAAACGTGAATGTGC |
| Il-22 | Reverse | AGGACTGTGGAGTTTGGCTT |
| Gapdh | Forward | GAGCACGAGAGGAAGAGAGTT |
| Gapdh | Reverse | TTGGGGATGGAAACTGTGGA |
Disclaimer/Publisher’s Note: The statements, opinions and data contained in all publications are solely those of the individual author(s) and contributor(s) and not of MDPI and/or the editor(s). MDPI and/or the editor(s) disclaim responsibility for any injury to people or property resulting from any ideas, methods, instructions or products referred to in the content. |
© 2025 by the authors. Licensee MDPI, Basel, Switzerland. This article is an open access article distributed under the terms and conditions of the Creative Commons Attribution (CC BY) license (https://creativecommons.org/licenses/by/4.0/).
Share and Cite
Wang, M.; Guo, Q.; Zhong, Z.; Zhang, Q.; Shan, Y.; Cheng, Z.; Wang, X.; Meng, Y.; Dong, Y.; Bai, J. Oxidative Stress and Intestinal Transcriptome Changes in Clostridium perfringens Type A-Caused Enteritis in Deer. Genes 2025, 16, 949. https://doi.org/10.3390/genes16080949
Wang M, Guo Q, Zhong Z, Zhang Q, Shan Y, Cheng Z, Wang X, Meng Y, Dong Y, Bai J. Oxidative Stress and Intestinal Transcriptome Changes in Clostridium perfringens Type A-Caused Enteritis in Deer. Genes. 2025; 16(8):949. https://doi.org/10.3390/genes16080949
Chicago/Turabian StyleWang, Meihui, Qingyun Guo, Zhenyu Zhong, Qingxun Zhang, Yunfang Shan, Zhibin Cheng, Xiao Wang, Yuping Meng, Yulan Dong, and Jiade Bai. 2025. "Oxidative Stress and Intestinal Transcriptome Changes in Clostridium perfringens Type A-Caused Enteritis in Deer" Genes 16, no. 8: 949. https://doi.org/10.3390/genes16080949
APA StyleWang, M., Guo, Q., Zhong, Z., Zhang, Q., Shan, Y., Cheng, Z., Wang, X., Meng, Y., Dong, Y., & Bai, J. (2025). Oxidative Stress and Intestinal Transcriptome Changes in Clostridium perfringens Type A-Caused Enteritis in Deer. Genes, 16(8), 949. https://doi.org/10.3390/genes16080949

