Oral Undifferentiated Pleomorphic Sarcoma: A Novel SPECC1L::TERT Gene Fusion and a Comprehensive Literature Review
Abstract
1. Introduction
2. Materials and Methods
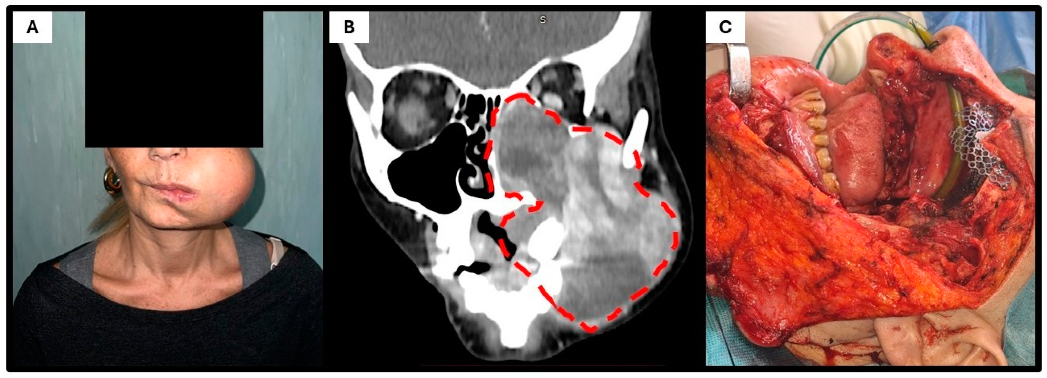
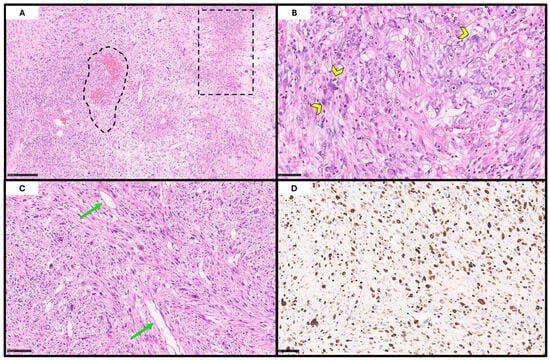
3. Case Report
4. Discussion
Author Contributions
Funding
Institutional Review Board Statement
Informed Consent Statement
Data Availability Statement
Acknowledgments
Conflicts of Interest
References
- Matushansky, I.; Charytonowicz, E.; Mills, J.; Siddiqi, S.; Hricik, T.; Cordon-Cardo, C. MFH classification: Differentiating undifferentiated pleomorphic sarcoma in the 21st Century. Expert Rev. Anticancer Ther. 2009, 9, 1135–1144. [Google Scholar] [CrossRef] [PubMed]
- Ywasa, Y.; Fletcher, C.; Flucke, U. WHO Classification of Soft Tissue and Bone Tumours; IARC: Lyon, France, 2020. [Google Scholar]
- Muller, S.; Tilakaratne, W.M. Update from the 5th Edition of the World Health Organization Classification of Head and Neck Tumors: Tumours of the Oral Cavity and Mobile Tongue. Head Neck Pathol. 2022, 16, 54–62. [Google Scholar] [CrossRef] [PubMed]
- de Souza, L.L.; Pontes, H.A.R.; Santos-Silva, A.R.; Fernandes, L.A.; Batista, L.A.L.; Lopes, M.A.; Khan, W.; Pontes, F.S.C. Oral radiation-induced sarcomas: Systematic review. Head Neck 2020, 42, 2660–2668. [Google Scholar] [CrossRef] [PubMed]
- de Arruda, J.A.A.; Schuch, L.F.; Conte Neto, N.; de Souza, L.L.; Rodrigues-Fernandes, C.I.; Abreu, L.G.; Soares, C.D.; de Carvalho, M.G.F.; Agostini, M.; de Andrade, B.A.B.; et al. Oral and oropharyngeal lymphomas: A multi-institutional collaborative study. J. Oral Pathol. Med. 2021, 50, 603–612. [Google Scholar] [CrossRef] [PubMed]
- Limongelli, L.; Cascardi, E.; Capodiferro, S.; Favia, G.; Corsalini, M.; Tempesta, A.; Maiorano, E. Multifocal Amelanotic Melanoma of the Hard Palate: A Challenging Case. Diagnostics 2020, 10, 424. [Google Scholar] [CrossRef] [PubMed]
- Mori, Y.; Motoi, T.; Ida, K.; Shibahara, J.; Saijo, H.; Susami, T.; Takato, T. Primary undifferentiated high-grade pleomorphic sarcoma/malignant fibrous histiocytoma arising from the mandible. Oral Sci. Int. 2014, 11, 70–75. [Google Scholar] [CrossRef]
- Benites, B.M.; Miranda-Silva, W.; Fonseca, F.P.; Oliveira, C.; Fregnani, E.R. Undifferentiated pleomorphic sarcoma of the mandible. J. Korean Assoc. Oral Maxillofac. Surg. 2020, 46, 282–287. [Google Scholar] [CrossRef] [PubMed]
- Rapidis, A.D.; Andressakis, D.D.; Lagogiannis, G.A.; Douzinas, E.E. Malignant fibrous histiocytoma of the tongue: Review of the literature and report of a case. J. Oral Maxillofac. Surg. 2005, 63, 546–550. [Google Scholar] [CrossRef] [PubMed]
- Senel, F.C.; Bektas, D.; Caylan, R.; Onder, E.; Gunhan, O. Malignant fibrous histiocytoma of the mandible. Dentomaxillofac. Radiol. 2006, 35, 125–128. [Google Scholar] [CrossRef] [PubMed]
- Alfredo, E.; de Padua, J.M.; Vicentini, E.L.; Marchesan, M.A.; Comelli Lia, R.C.; da Cruz Perez, D.E.; Silva-Sousa, Y.T. Oral undifferentiated high-grade pleomorphic sarcoma: Report of a case. Oral Surg. Oral Med. Oral Pathol. Oral Radiol. Endod. 2008, 105, e37–e40. [Google Scholar] [CrossRef] [PubMed]
- Nagano, H.; Deguchi, K.; Kurono, Y. Malignant fibrous histiocytoma of the bucca: A case report. Auris Nasus Larynx 2008, 35, 165–169. [Google Scholar] [CrossRef] [PubMed]
- Maeda, T.; Hashitani, S.; Zushi, Y.; Segawa, E.; Tanaka, N.; Sakurai, K.; Urade, M. Establishment of a nude mouse transplantable model of a human malignant fibrous histiocytoma of the mandible with high metastatic potential to the lung. J. Cancer Res. Clin. Oncol. 2008, 134, 1005–1011. [Google Scholar] [CrossRef] [PubMed]
- de Oliveira, M.G.; Pozatti Moure, S.; Sergio Batista, P.; Moraes Chaves, A.C.; Rados, P.V.; Sant’Ana Filho, M. NF1 diagnosis criteria and associated sarcomatous tumor review of the literature and case report. Oral Maxillofac. Surg. 2008, 12, 231–235. [Google Scholar] [CrossRef] [PubMed]
- Agnihotri, R.; Bhat, K.M.; Bhat, G.S. A rare case of malignant fibrous histiocytoma of the gingiva. J. Periodontol. 2008, 79, 955–960. [Google Scholar] [CrossRef] [PubMed]
- Mesgarzadeh, A.H.; Farahani, R.M.; Treister, N. Malignant fibrous histiocytoma of the mandible in the context of a traumatic Marjolin’s ulcer. J. Tissue Viability 2008, 17, 38–43. [Google Scholar] [CrossRef] [PubMed]
- Brahmakulam, L.E.; Noronha, B.E. Malignant fibrous histiocytoma of the mandible. Ear Nose Throat J. 2010, 89, E1–E4. [Google Scholar] [CrossRef] [PubMed]
- Sumida, T.; Otawa, N.; Kamata, Y.U.; Yamada, T.; Uchida, K.; Nakano, H.; Hamakawa, H.; Yamamoto, T.; Ueyama, Y.; Mori, Y. A Clinical Investigation of Oral Sarcomas at Multi-institutions Over the Past 30 Years. Anticancer Res. 2015, 35, 4551–4555. [Google Scholar] [PubMed]
- Tanaka, T.; Kobayashi, T.; Iino, M. Transformation of benign fibrous histiocytoma into malignant fibrous histiocytoma in the mandible: Case report. J. Oral Maxillofac. Surg. 2011, 69, e285–e290. [Google Scholar] [CrossRef] [PubMed]
- Satomi, T.; Watanabe, M.; Kaneko, T.; Matsubayashi, J.; Nagao, T.; Chiba, H. Radiation-induced malignant fibrous histiocytoma of the maxilla. Odontology 2011, 99, 203–208. [Google Scholar] [CrossRef] [PubMed]
- Joshi, H.; Rayappa, C.S. Malignant fibrous histiocytoma of the mandible and the infratemporal fossa—A case report. Int. J. Surg. Case Rep. 2011, 2, 134–137. [Google Scholar] [CrossRef] [PubMed]
- Dalirsani, Z.; Mohtasham, N.; Falaki, F.; Bidram, F.; Nosratzehi, T. Malignant fibrous histiocytoma of mandible: A review of literatures and report a case. Aust. J. Basic Appl. Sci. 2011, 5, 936–942. [Google Scholar]
- Vijayalakshmi, D.; Fathima, S.; Ramakrishnan, K.; Devi, M. Malignant fibrous histiocytoma of the gingiva. BMJ Case Rep. 2012, 2012, bcr2012007400. [Google Scholar] [CrossRef] [PubMed]
- Premkumar, J.; Mayilvakanam, S.; Martin, Y.; Magesh, K.T. Undifferentiated pleomorphic sarcoma. J. Oral Maxillofac. Pathol. 2012, 16, 306–307. [Google Scholar] [CrossRef] [PubMed]
- Effiom, O.A.; Ajayi, O.F.; Nwoga, M.C.; Ogundana, O.M.; Adeyemo, W.L.; Kolade, M.T. Clinicohistopathological analysis of 5 Nigerian cases of malignant fibrous histiocytoma of the jaws. Nig. Q. J. Hosp. Med. 2012, 22, 109–112. [Google Scholar] [PubMed]
- Dhingra, S.; Mohindra, S.; Vaiphei, K. Unusual spindle cell tumours at the base of tongue (solitary fibrous tumour and malignant fibrous histiocytoma): Report of two cases and review of literature. Oral Surg. 2012, 5, 68–73. [Google Scholar] [CrossRef]
- Naik, S.; Rao, D.; Hegde, S. Malignant fibrous histiocytoma clinically mimicking dental abscess in a child: Report of an unusual case. J. Mass. Dent. Soc. 2014, 63, 32–34, 36. [Google Scholar] [PubMed]
- Kasat, V.O.; Saluja, H.; Rudagi, B.M.; Kalburge, J.V.; Sachdeva, S. Malignant fibrous histiocytoma of maxillary alveolar ridge extending to the hard palate. J. Cancer Res. Ther. 2014, 10, 422–424. [Google Scholar] [CrossRef] [PubMed]
- Koyama, T.; Kobayashi, T.; Maruyama, S.; Abe, T.; Swelam, W.M.; Kodama, Y.; Hoshina, H.; Takagi, R.; Hayashi, T.; Saku, T. Radiation-induced undifferentiated high-grade pleomorphic sarcoma (malignant fibrous histiocytoma) of the mandible: Report of a case arising in the background of long-standing osteomyelitis with a review of the literature. Pathol. Res. Pract. 2014, 210, 1123–1129. [Google Scholar] [CrossRef] [PubMed]
- Lambade, P.N.; Lambade, D.; Saha, T.K.; Bande, C.R.; Ramakrishana, A. Malignant fibrous histiocytoma: An uncommon sarcoma with pathological fracture of mandible. J. Maxillofac. Oral Surg. 2015, 14, 283–287. [Google Scholar] [CrossRef] [PubMed][Green Version]
- Chamale, J.B.; Bruno, M.; Mandojana, F.; Jose, L.; Armando, L.; Alejandro, D. Malignant fibrous histiocytoma in the right portion of the mandible with metastasis in pancreas. Int. J. Surg. Case Rep. 2017, 41, 71–75. [Google Scholar] [CrossRef] [PubMed]
- Boaz, K.; Sharma, A.; Srikant, N.; Kumar, R.; Kumar, A.; Dorai, B.S. Rapidly enlarging swelling of the palate: A case report. J. Oral Maxillofac. Surg. Med. Pathol. 2017, 29, 576–580. [Google Scholar] [CrossRef]
- Kumar, P.; Surya, V.; Urs, A.B.; Augustine, J.; Mohanty, S.; Gupta, S. Sarcomas of the Oral and Maxillofacial Region: Analysis of 26 Cases with Emphasis on Diagnostic Challenges. Pathol. Oncol. Res. 2019, 25, 593–601. [Google Scholar] [CrossRef] [PubMed]
- Sarode, S.C.; Sarode, G.S.; Ingale, Y.; Ingale, M.; Raj, A.T.; Patil, S. Malignant fibrous histiocytoma of the mandible—A case report and review of published case reports. J. Oral Biol. Craniofac. Res. 2019, 9, 221–225. [Google Scholar] [CrossRef] [PubMed]
- Vivek, N.; Magesh, K.; Sivachandran, A.; Kumar, M.S. Undifferentiated pleomorphic sarcoma of maxilla presenting like a periapical pathology—A case report. J. Dr. YSR Univ. Health Sci. 2018, 7, 70–73. [Google Scholar]
- Amm, H.M.; DeVilliers, P.; Srivastava, A.R.; Diniz, M.G.; Siegal, G.P.; MacDougall, M. Mandibular undifferentiated pleomorphic sarcoma: Molecular analysis of a primary cell population. Clin. Exp. Dent. Res. 2020, 6, 495–505. [Google Scholar] [CrossRef] [PubMed]
- Archana, T.S.; Shetty, A.; Imran, M.; Ahmed, N.; Kumar, P.; Shruthi, T.M. A Rare Entity of Undifferentiated Pleomorphic Sarcoma of the Mandible—A Case Report. Ann. Maxillofac. Surg. 2021, 11, 156–159. [Google Scholar] [CrossRef] [PubMed]
- Rajan, S.T.; Elengkumaran, S.; Narasimhan, M.; Ravindran, C. Pleomorphic Sarcoma of the Oral Cavity: A Rare Case Entity. J. Pharm. Bioallied Sci. 2021, 13, S1747–S1749. [Google Scholar] [CrossRef] [PubMed]
- Lombardi, N.; Varoni, E.M.; Bazzacchi, R.; Moneghini, L.; Lodi, G. Secondary undifferentiated pleomorphic sarcoma of the mandible in a HIV patient who underwent radiotherapy for oral carcinoma. Spec. Care Dentist. 2021, 41, 417–422. [Google Scholar] [CrossRef] [PubMed]
- You, Y.; Shi, R.; Dai, M.; Du, Z.; Tian, Z.; Xu, G.; Wang, L.; Wang, Y.; Xiao, M. Primary undifferentiated pleomorphic sarcoma in oral-maxillary area: Retrospective study and molecular analysis. Histol. Histopathol. 2021, 36, 889–898. [Google Scholar] [CrossRef] [PubMed]
- Wu, Y.; Liu, X.; Lv, Y.; Li, Z. Malignant fibrous histiocytoma of the floor of mouth: A case report and review of the literature. J. Stomatol. Oral Maxillofac. Surg. 2022, 123, e106–e111. [Google Scholar] [CrossRef] [PubMed]
- Chandan, S.; Bagul, S.; Pandy, N.D. A Rare Case of Malignant Fibrous Histiocytoma Mimicking Benign Tumour in Maxillofacial Region. J. Maxillofac. Oral Surg. 2022, 21, 701–704. [Google Scholar] [CrossRef] [PubMed]
- Sharma, A.; Vyas, P.; Agarwal, D. Undifferentiated pleomorphic sarcoma of the floor of mouth: A rare case. J. Oral Maxillofac. Pathol. 2023, 27, S33–S37. [Google Scholar] [CrossRef] [PubMed]
- Brown, E.; Rahimi, C.; Gupta, N.D.; Gupta, J.D.; Do, T.M.; Igi, M.; Palacios, E. Undifferentiated Pleomorphic Sarcoma of the Face. Ear Nose Throat J. 2024, 1455613241252890. [Google Scholar] [CrossRef] [PubMed]
- Mahapatra, M.; Panda, A.; Kumar, H.; Bhuyan, L. A rare case of undifferentiated pleomorphic sarcoma affecting the mandible—A case report. J. Oral Maxillofac. Pathol. 2024, 28, 130–133. [Google Scholar] [CrossRef] [PubMed]
- Saadi, I.; Goering, J.P.; Hufft-Martinez, B.M.; Tran, P.V. SPECC1L: A cytoskeletal protein that regulates embryonic tissue dynamics. Biochem. Soc. Trans. 2023, 51, 949–958. [Google Scholar] [CrossRef] [PubMed]
- Colebatch, A.J.; Dobrovic, A.; Cooper, W.A. TERT gene: Its function and dysregulation in cancer. J. Clin. Pathol. 2019, 72, 281–284. [Google Scholar] [CrossRef] [PubMed]



| No | Paper ID | Country | Age | Sex | Site | History of Trauma | Tumor Size (cm) | Metastasis | Treatment | Follow-Up (Months) |
|---|---|---|---|---|---|---|---|---|---|---|
| 1 | [9] | Greece | 24 | M | Left tongue | NR | 3 | No | S | 18 (DF) |
| 2 | [10] | Turkey | 32 | F | Left mandible | No | 5 | NR | S | 2 (R) |
| 3 | [11] | Brazil | 56 | M | Right posterior mandible | NR | 4.5 | No | S + aRT | 25 (DF) |
| 4 | [12] | Japan | 61 | M | Left bucca | NR | 5 | No | RT | 22 (PR) |
| 5 | [13] | Japan | 68 | M | Left posterior mandible | NR | NR | Lung, liver | S | 8 (DOD) |
| 6 | [14] | Brazil | 72 | F | Left posterior mandible | NR | 5 | Femur | S | NR |
| 7 | [15] | India | 20 | F | Labial superior gingiva | NR | 2.5 | NR | S | 3 |
| 8 | [16] | Iran | 38 | M | Mandibular symphysis | Yes | NR | Brain | S + aRT | 12 (R) |
| 9 | [17] | USA | 37 | F | Anterior mandible | No | 9.5 | Laterocervical lymphnodes, lung | S | 12 (DOD) |
| 10 | [18] | India | 72 | M | Labial superior mucosa | Yes | 9 | NR | S | NR |
| 11 | [19] | Japan | 80 | M | Right mandible | Yes | 6 | No | None | autopsy diagnosis (DOD) |
| 12 | [20] | Japan | 79 | M | Left maxilla | No | 5.5 | NR | S + aCT | 19 (DOD) |
| 13 | [21] | India | 66 | M | Left posterior mandible | NR | 5 | No | S + aRT | 96 |
| 14 | [22] | Iran | 27 | M | Right posterior mandible | Yes | 2 | No | S | 8 (R) |
| 15 | [23] | India | 60 | F | Left posterior maxilla | No | 4 | NR | NR | NR |
| 16 | [24] | India | 42 | F | Hard palate | NR | 3 | NR | NR | NR |
| 17 | [25] | Nigeria | 16 | F | Anterior maxilla | NR | NR | NR | S | 30 (R) |
| 18 | 32 | M | Left maxilla | NR | NR | NR | S | NR | ||
| 19 | 26 | M | Right maxilla | NR | NR | NR | S | 12 (R) | ||
| 20 | 42 | M | Anterior maxilla | NR | NR | NR | S | NR | ||
| 21 | 12 | F | Posterior maxilla | NR | NR | NR | S | NR | ||
| 22 | [26] | India | 57 | M | Right tongue | NR | 3 | No | S | 12 (DF) |
| 23 | [7] | Japan | 8 | M | Right posterior mandible | No | 2.5 | No | nCT + S + aCT | 8 (DF) |
| 24 | [27] | India | 11 | M | Left posterior mandible | No | 7.9 | NR | S + aRT | NR |
| 25 | [28] | India | 46 | F | Right posterior maxilla | Yes | 4 | NR | S | 24 (DF) |
| 26 | [29] | Japan | 44 | F | Right mandible | Yes | 3.5 | NR | S | 48 (DF) |
| 27 | [30] | India | 14 | M | Right mandible | Yes | NR | No | S + aCT + aRT | 11 (DOD) |
| 28 | [31] | Argentina | 61 | F | Right mandible | NR | 2 | Pancreas, stomach | S + aRT | 72 (DF) |
| 29 | [32] | India | 55 | F | Hard palate | No | 5 | Laterocervical lymphnodes | S | 12 (DF) |
| 30 | [33] | India | 55 | M | Posterior maxilla | No | NR | NR | CT | 8 (DOD) |
| 31 | 20 | M | Palate | No | NR | NR | CT + RT | 23 (DOD) | ||
| 32 | [34] | India | 32 | M | Left mandible | No | NR | No | S | 60 (DF) |
| 33 | [35] | India | 23 | M | Left maxilla | Yes | NR | Mediastinum | S + aCT + aRT | 3 (DOD) |
| 34 | [36] | USA | 24 | M | Right mandible | NR | 6 | No | nCT + S + aCT | 24 (DF) |
| 35 | [34] | Iran | 28 | M | Right anterior maxilla | Yes | 3 | Lung | S +aRT | 8 (DF) |
| 36 | [8] | Brazil | 88 | F | Right posterior mandible | NR | NR | Lung | S + aCT | 12 (DOD) |
| 37 | [37] | India | 33 | M | Left mandible | Yes | 5 | No | S + aRT | NR |
| 38 | [38] | India | 36 | M | Right posterior mandible | Yes | NR | No | S | 24 (DF) |
| 39 | [39] | Italy | 81 | M | Left mandible | No | 8 | NR | NR | NR |
| 40 | [40] | China | 45 | M | Right maxilla | NR | NR | NR | S | 9 (DOD) |
| 41 | 42 | M | Left tongue | NR | NR | NR | S + aRT + aCT | 5 (DOD) | ||
| 42 | 46 | F | Right mandible | NR | NR | NR | nANLO + S + aCT + aRT | 18 (DOD) | ||
| 43 | 63 | F | Left maxilla | NR | NR | Lung | S + aCT | 5 (DOD) | ||
| 44 | 39 | M | Left tongue | NR | NR | NR | S + aCT + aRT | 5 (DOD) | ||
| 45 | 79 | F | Left bucca | NR | NR | NR | S + aCT | 6.5 (DOD) | ||
| 46 | 49 | M | Right tongue | NR | NR | NR | S + aCT + aRT | 6 (DOD) | ||
| 47 | 20 | F | Right palate | NR | NR | Lung | nANLO + S + aCT + aRT | 17 (DOD) | ||
| 48 | 59 | M | Left maxilla | NR | NR | NR | S + aCT + aRT | 12 (DOD) | ||
| 49 | [41] | China | 49 | M | Floor of mouth | NR | 5.1 | No | S + aCT + aRT | 26 (DF) |
| 50 | [42] | India | 67 | M | Left bucca | Yes | 6.2 | No | S | NR |
| 51 | [43] | India | 50 | F | Floor of mouth | No | 4.5 | NR | S | NR |
| 52 | [44] | USA | 69 | M | Right cheek | NR | 3.2 | No | S | 6 (DF) |
| 53 | [45] | India | 68 | M | Right posterior mandible | No | 5 | NR | S | 3 |
| 54 | Present case | Italy | 54 | F | Left maxilla | No | 10 | No | nCT + S + aRT | 8 (DF) |
Disclaimer/Publisher’s Note: The statements, opinions and data contained in all publications are solely those of the individual author(s) and contributor(s) and not of MDPI and/or the editor(s). MDPI and/or the editor(s) disclaim responsibility for any injury to people or property resulting from any ideas, methods, instructions or products referred to in the content. |
© 2025 by the authors. Licensee MDPI, Basel, Switzerland. This article is an open access article distributed under the terms and conditions of the Creative Commons Attribution (CC BY) license (https://creativecommons.org/licenses/by/4.0/).
Share and Cite
Della Mura, M.; Sorino, J.; Maiorano, E.; Cazzato, G.; Colagrande, A.; Manfuso, A.; Caporusso, C.; Copelli, C.; Cascardi, E. Oral Undifferentiated Pleomorphic Sarcoma: A Novel SPECC1L::TERT Gene Fusion and a Comprehensive Literature Review. Genes 2025, 16, 830. https://doi.org/10.3390/genes16070830
Della Mura M, Sorino J, Maiorano E, Cazzato G, Colagrande A, Manfuso A, Caporusso C, Copelli C, Cascardi E. Oral Undifferentiated Pleomorphic Sarcoma: A Novel SPECC1L::TERT Gene Fusion and a Comprehensive Literature Review. Genes. 2025; 16(7):830. https://doi.org/10.3390/genes16070830
Chicago/Turabian StyleDella Mura, Mario, Joana Sorino, Eugenio Maiorano, Gerardo Cazzato, Anna Colagrande, Alfonso Manfuso, Concetta Caporusso, Chiara Copelli, and Eliano Cascardi. 2025. "Oral Undifferentiated Pleomorphic Sarcoma: A Novel SPECC1L::TERT Gene Fusion and a Comprehensive Literature Review" Genes 16, no. 7: 830. https://doi.org/10.3390/genes16070830
APA StyleDella Mura, M., Sorino, J., Maiorano, E., Cazzato, G., Colagrande, A., Manfuso, A., Caporusso, C., Copelli, C., & Cascardi, E. (2025). Oral Undifferentiated Pleomorphic Sarcoma: A Novel SPECC1L::TERT Gene Fusion and a Comprehensive Literature Review. Genes, 16(7), 830. https://doi.org/10.3390/genes16070830

