Effects of Coatings on Antioxidant Enzyme Activities, Histopathology, and Transcriptome Profiles of Kidney Tissue in Larimichthys crocea
Abstract
1. Introduction
2. Materials and Methods
2.1. Ethics Statement
2.2. Experimental Animals, Coating Immersion, and Tissue Collection
2.3. Biochemical Analysis
2.4. Histological Analysis
2.5. RNA Extraction, Library Construction, and Sequencing
2.6. Read Mapping and Differential Expression Analysis
2.7. GO and KEGG Analyses
2.8. Experimental Validation by Quantitative Real-Time PCR
2.9. Statistical Analysis
3. Results
3.1. Enzyme Activity Levels
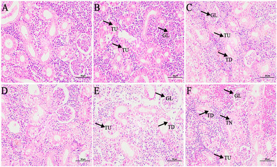
3.2. Histological Observation
3.3. Sequencing and Mapping of Expressed Short Reads
3.4. Analysis of Differentially Expressed Genes
3.5. Analysis of Expression Signatures, Clustering, and GO Analysis
3.6. Signaling Pathway Analysis
3.7. Validation of RNA-Seq Results by qRT-PCR
4. Discussion
4.1. Antioxidant Enzyme Activity
4.2. Histological Pathology
4.3. Transcriptome Analysis
4.3.1. Oxidative Phosphorylation
4.3.2. Cytokine–Cytokine Receptor Interaction
4.3.3. Protein Processing in the Endoplasmic Reticulum
4.3.4. PPAR Signaling Pathway
4.3.5. Cell Cycle and DNA Replication
5. Conclusions
Supplementary Materials
Author Contributions
Funding
Institutional Review Board Statement
Informed Consent Statement
Data Availability Statement
Conflicts of Interest
References
- Mjåtveit, M.A.; Cheng, H.; Ong, M.C.; Lee, J. Comparative study of circular and square gravity-based fish cages with different dimensions under pure current conditions. Aquac. Eng. 2022, 96, 102223. [Google Scholar]
- Wang, P.H.; Chen, Z.G.; Feng, Y.K. Many-objective optimization for a deep-sea aquaculture vessel based on an improved RBF neural network surrogate model. J. Mar. Sci. Technol. 2021, 26, 582–605. [Google Scholar] [CrossRef]
- Cheng, H.; Li, L.; Aarsaether, K.G.; Ong, M.C. Typical hydrodynamic models for aquaculture nets: A comparative study under pure current conditions. Aquac. Eng. 2020, 90, 102070. [Google Scholar]
- Liu, Q.; Chen, H.; Wang, B.L. A true double-body method based on porous media model for simulation and froude scaling verification of an aquaculture vessel resistance. Ocean Eng. 2024, 310, 118501. [Google Scholar]
- Xiong, Z.; He, M.; Zhu, W.; Sun, Y.; Hou, X. Analysis of Flow Field Characteristics of Aquaculture Cabin of Aquaculture Ship. J. Mar. Sci. Eng. 2023, 11, 390. [Google Scholar] [CrossRef]
- Kodrík, D.; Bednářová, A.; Zemanová, M.; Krishnan, N. Hormonal Regulation of Response to Oxidative Stress in Insects-An Update. Int. J. Mol. Sci. 2015, 16, 25788–25816. [Google Scholar] [CrossRef]
- Wang, X.N.; Ma, A.J.; Huang, Z.H.; Sun, Z.B.; Liu, Z.F. Genetic Mechanism for Antioxidant Activity of Endogenous Enzymes under Salinity and Temperature Stress in Turbot (Scophthalmus maximus). Antioxidants 2022, 11, 2062. [Google Scholar] [CrossRef] [PubMed]
- Song, S.; Qu, Z.; Zhou, X.; Wang, X.; Dong, S. Effects of weak and strong drought conditions on physiological stability of flowering soybean. Plants 2022, 11, 2708. [Google Scholar] [CrossRef] [PubMed]
- Golabi, S.; Ghasemi, S.; Adelipour, M.; Bagheri, R.; Suzuki, K.; Wong, A.; Seyedtabib, M.; Naghashpour, M. Oxidative Stress and Inflammatory Status in COVID-19 Outpatients: A Health Center-Based Analytical Cross-Sectional Study. Antioxidants 2022, 11, 606. [Google Scholar] [CrossRef]
- Guo, B.; Feng, D.; Xu, Z.; Qi, P.; Yan, X. Acute benzo[a]pyrene exposure induced oxidative stress, neurotoxicity and epigenetic change in blood clam Tegillarca granosa. Sci. Rep. 2021, 11, 18744. [Google Scholar]
- Tauheed, A.M.; Shittu, S.H.; Suleiman, M.M.; Habibu, B.; Kawu, M.U.; Kobo, P.I.; Yusuf, P.O. In vivo ameliorative effects of methanol leaf extract of Lawsonia inermis Linn on experimental Trypanosoma congolense infection in Wistar rats. Int. J. Vet. Sci. Med. 2016, 4, 33–40. [Google Scholar] [CrossRef] [PubMed]
- Oğuz, A.R. A histological study of the kidney structure of Van fish (Alburnus tarichi) acclimated to highly alkaline water and freshwater. Mar. Freshw. Behav. Physiol. 2015, 48, 135–144. [Google Scholar] [CrossRef]
- Korkmaz, N.; Cengiz, E.I.; Unlu, E.; Uysal, E.; Yanar, M. Cypermethrin-induced histopathological and biochemical changes in Nile tilapia (Oreochromis niloticus), and the protective and recuperative effect of ascorbic acid. Environ. Toxicol. Pharmacol. 2009, 28, 198–205. [Google Scholar] [CrossRef]
- Ortiz Juan, B.; Gonzalez de Canales, M.L.; Sarasquete, C. Histopathological changes induced by lindane (γ-HCH) in various organs of fish. Sci. Mar. 2003, 67, 53–61. [Google Scholar] [CrossRef]
- Lameire, N.; Vanholder, R. Pathophysiologic features and prevention of human and experimental acute tubular necrosis. J. Am. Soc. Nephrol. 2001, 12 (Suppl. S17), S20–S32. [Google Scholar] [CrossRef] [PubMed]
- Nath, K.A.; Norby, S.M. Reactive oxygen species and acute renal failure. Am. J. Med. 2000, 109, 665–678. [Google Scholar] [CrossRef]
- Zhao, X.; Ren, X.; Zhu, R.; Luo, Z.; Ren, B. Zinc oxide nanoparticles induce oxidative DNA damage and ROS-triggered mitochondria-mediated apoptosis in zebrafish embryos. Aquat. Toxicol. 2016, 180, 56–70. [Google Scholar] [CrossRef] [PubMed]
- Kuang, S.; Le, Q.; Hu, J.; Wang, Y.; Yu, N.; Cao, X.; Zhang, M.; Sun, Y.; Gu, W.; Yang, Y.; et al. Effects of p-nitrophenol on enzyme activity, histology, and gene expression in Larimichthys crocea. Comp. Biochem. Physiol. C Toxicol. Pharmacol. 2020, 228, 108638. [Google Scholar] [CrossRef] [PubMed]
- do Carmo, T.L.L.; Azevedo, V.C.; de Siqueira, P.R.; Galvao, T.D.; dos Santos, F.A.; Martinez, C.B.D.; Appoloni, C.R.; Fernandes, M.N. Reactive oxygen species and other biochemical and morphological biomarkers in the gills and kidneys of the Neotropical freshwater fish, Prochilodus lineatus, exposed to titanium dioxide (TiO 2) nanoparticles. Environ. Sci. Pollut. Res. 2018, 25, 22963–22976. [Google Scholar] [CrossRef]
- Wu, X.; Xu, B.; Chen, H.; Qiang, J.; Feng, H.; Li, X.; Chu, M.; Pan, E.; Dong, J. Crosstalk of oxidative stress, inflammation, apoptosis, and autophagy under reactive oxygen stress involved in difenoconazole-induced kidney damage in carp. Fish Shellfish Immunol. 2023, 132, 108508. [Google Scholar] [CrossRef]
- Sousa, C.S.V.; Power, D.M.; Guerreiro, P.M.; Louro, B.; Chen, L.B.; Canario, A.V.M. Transcriptomic Down-Regulation of Immune System Components in Barrier and Hematopoietic Tissues after Lipopolysaccharide Injection in Antarctic Notothenia coriiceps. Fishes 2022, 7, 171. [Google Scholar] [CrossRef]
- Jiang, S.H.; Wu, L.X.; Cai, Y.T.; Ma, R.T.; Zhang, H.B.; Zhang, D.Z.; Tang, B.P.; Liu, Q.N.; Dai, L.S. Differentially expressed genes in head kidney of Pelteobagrus fulvidraco following Vibrio cholerae challenge. Front. Immunol. 2022, 13, 1039956. [Google Scholar] [CrossRef]
- Zhou, T.; Gui, L.; Liu, M.; Li, W.; Hu, P.; Duarte, D.F.C.; Niu, H.; Chen, L. Transcriptomic responses to low temperature stress in the Nile tilapia, Oreochromis niloticus. Fish Shellfish Immunol. 2019, 84, 1145–1156. [Google Scholar]
- Chen, H.Z.; Li, T.; Liu, J.M.; Xiao, Y.F.; Chen, X.H.; Mu, Y.N. The molecular mechanism under the behavioral and physiological changes of large yellow croaker (Larimichthys crocea) in response to hypoxia. Aquac. Rep. 2024, 38, 102309. [Google Scholar]
- Dong, Z.; Luo, C.; Guo, Y.; Ahmed, I.; Pavase, T.R.; Lv, L.; Li, Z.; Lin, H. Characterization of new active packaging based on PP/LDPE composite films containing attapulgite loaded with Allium sativum essence oil and its application for large yellow croaker (Pseudosciaena crocea) fillets. Food Packag. Shelf Life 2019, 20, 100320. [Google Scholar]
- Yu, Y.B.; Huang, W.Y.; Yin, F.; Liu, H.; Cui, M.C. Aquaculture in an Offshore Ship: An On-Site Test of Large Yellow Croaker (Larimichthys crocea). J. Mar. Sci. Eng. 2023, 11, 101. [Google Scholar] [CrossRef]
- Ju, Z.M.; Ndandala, C.B.; Lei, Y.G.; Shija, V.M.; Luo, J.L.; Wang, P.M.; Wen, C.Q.; Liang, H.F. Cadmium-induced oxidative stress, histopathology, and transcriptomic changes in the hepatopancreas of Fenneropenaeus merguiensis. Aquac. Rep. 2024, 36, 102061. [Google Scholar]
- Bolger, A.M.; Lohse, M.; Usadel, B. Trimmomatic: A flexible trimmer for Illumina sequence data. Bioinformatics 2014, 30, 2114–2120. [Google Scholar]
- Chen, B.; Zhou, Z.; Ke, Q.; Wu, Y.; Bai, H.; Pu, F.; Xu, P. The sequencing and de novo assembly of the Larimichthys crocea genome using PacBio and Hi-C technologies. Sci. Data 2019, 6, 188. [Google Scholar] [CrossRef]
- Anders, S.; Pyl, P.T.; Huber, W. HTSeq--a Python framework to work with high-throughput sequencing data. Bioinformatics 2015, 31, 166–169. [Google Scholar] [CrossRef]
- Anders, S.; Huber, W. Differential expression analysis for sequence count data. Genome Biol. 2010, 11, R106. [Google Scholar]
- Young, M.D.; Wakefield, M.J.; Smyth, G.K.; Oshlack, A. Gene ontology analysis for RNA-seq: Accounting for selection bias. Genome Biol. 2010, 11, R14. [Google Scholar] [CrossRef] [PubMed]
- Livak, K.J.; Schmittgen, T.D. Analysis of relative gene expression data using real-time quantitative PCR and the 2(-Delta Delta C(T)) Method. Methods 2001, 25, 402–408. [Google Scholar]
- Zhou, X.; Li, J.; Li, S.; Liu, H.; Xu, D.; Chi, C.; Zheng, L. Transcriptomic analysis of large yellow croaker (Larimichthys crocea) reveals the suppression of the inflammatory response from Cryptocaryon irritans infection. Fish Shellfish Immunol. 2024, 144, 109258. [Google Scholar] [PubMed]
- Rathore, R.; Zheng, Y.M.; Niu, C.F.; Liu, Q.H.; Korde, A.; Ho, Y.S.; Wang, Y.X. Hypoxia activates NADPH oxidase to increase [ROS]i and [Ca2+]i through the mitochondrial ROS-PKCepsilon signaling axis in pulmonary artery smooth muscle cells. Free Radic. Biol. Med. 2008, 45, 1223–1231. [Google Scholar] [CrossRef]
- Chowhan, N.; Singh, H.P.; Batish, D.R.; Kaur, S.; Ahuja, N.; Kohli, R.K. β-Pinene inhibited germination and early growth involves membrane peroxidation. Protoplasma 2013, 250, 691–700. [Google Scholar]
- Jia, Y.; Chen, X.; Wang, Z.; Meng, Z.; Huang, B.; Guan, C. Physiological response of juvenile turbot (Scophthalmus maximus L.) during hyperthermal stress. Aquaculture 2020, 529, 735645. [Google Scholar] [CrossRef]
- Matin, S.; Nemati, A.; Ghobadi, H.; Alipanah-Moghadam, R.; Rezagholizadeh, L. The effect of conjugated linoleic acid on oxidative stress and matrix metalloproteinases 2 and 9 in patients with COPD. Int. J. Chron. Obs. Pulmon Dis. 2018, 13, 1449–1454. [Google Scholar] [CrossRef]
- Li, Q.; Tursun, D.; Shi, C.; Heyrulla, M.; Zhang, X.; Yang, W. Ziziphora clinopodioides Flavonoids Protect Myocardial Cell Damage from Myocardial Ischemia-Reperfusion Injury. Evid. Based Complement. Altern. Med. 2018, 2018, 8495010. [Google Scholar] [CrossRef]
- Cengiz, E.I. Gill and kidney histopathology in the freshwater fish Cyprinus carpio after acute exposure to deltamethrin. Environ. Toxicol. Pharmacol. 2006, 22, 200–204. [Google Scholar] [CrossRef]
- Teh, S.J.; Adams, S.; Hinton, D.E. Histopathologic biomarkers in feral freshwater fish populations exposed to different types of contaminant stress. Aquat. Toxicol. 1997, 37, 51–70. [Google Scholar] [CrossRef]
- Giari, L.; Manera, M.; Simoni, E.; Dezfuli, B.S. Cellular alterations in different organs of European sea bass Dicentrarchus labrax (L.) exposed to cadmium. Chemosphere 2007, 67, 1171–1181. [Google Scholar] [CrossRef] [PubMed]
- Silva-Marrero, J.I.; Sáez, A.; Caballero-Solares, A.; Viegas, I.; Almajano, M.P.; Fernández, F.; Baanante, I.V.; Metón, I. A transcriptomic approach to study the effect of long-term starvation and diet composition on the expression of mitochondrial oxidative phosphorylation genes in gilthead sea bream (Sparus aurata). BMC Genom. 2017, 18, 768. [Google Scholar] [CrossRef] [PubMed]
- Wilson, D.F. Oxidative phosphorylation: Regulation and role in cellular and tissue metabolism. J. Physiol. 2017, 595, 7023–7038. [Google Scholar] [CrossRef]
- Chaban, Y.; Boekema, E.J.; Dudkina, N.V. Structures of mitochondrial oxidative phosphorylation supercomplexes and mechanisms for their stabilisation. Biochim. Biophys. Acta 2014, 1837, 418–426. [Google Scholar] [CrossRef]
- Bermejo-Nogales, A.; Calduch-Giner, J.A.; Pérez-Sánchez, J. Unraveling the molecular signatures of oxidative phosphorylation to cope with the nutritionally changing metabolic capabilities of liver and muscle tissues in farmed fish. PLoS ONE 2015, 10, e0122889. [Google Scholar] [CrossRef]
- Birnie-Gauvin, K.; Costantini, D.; Cooke, S.J.; Willmore, W.G. A comparative and evolutionary approach to oxidative stress in fish: A review. Fish Fisheries. 2017, 18, 928–942. [Google Scholar] [CrossRef]
- Fazio, F.; Cecchini, S.; Faggio, C.; Caputo, A.; Piccione, G. Stability of oxidative stress biomarkers in flathead mullet, Mugil cephalus, serum during short-term storage. Ecol. Indic. 2014, 46, 188–192. [Google Scholar] [CrossRef]
- Zou, J.; Hu, P.; Wang, M.; Chen, Z.; Wang, H.; Guo, X.; Gao, J.; Wang, Q. Liver Injury and Metabolic Dysregulation in Largemouth Bass (Micropterus salmoides) after Ammonia Exposure. Metabolites 2023, 13, 274. [Google Scholar] [CrossRef]
- Zeng, L.; Li, W.C.; Zhang, H.; Cao, P.; Ai, C.X.; Hu, B.; Song, W. Hypoxic acclimation improves mitochondrial bioenergetic function in large yellow croaker Larimichthys crocea under Cu stress. Ecotoxicol. Environ. Saf. 2021, 224, 112688. [Google Scholar] [CrossRef]
- Wang, T.; Yang, C.; Zhang, S.; Rong, L.; Yang, X.; Wu, Z.; Sun, W. Metabolic changes and stress damage induced by ammonia exposure in juvenile Eriocheir sinensis. Ecotoxicol. Environ. Saf. 2021, 223, 112608. [Google Scholar] [CrossRef]
- Hu, Y.C.; Kang, C.K.; Tang, C.H.; Lee, T.H. Transcriptomic Analysis of Metabolic Pathways in Milkfish That Respond to Salinity and Temperature Changes. PLoS ONE 2015, 10, e0134959. [Google Scholar]
- He, J.; Ye, Q.; Pan, S.; Guo, Y.; Chu, Z.; Gao, Y.; Dai, X.; Zhao, S.; Zhao, B.; Ruan, Q. Transcriptional dynamic changes in energy metabolism, protein synthesis and cell cycle regulation reveal the biological adaptation mechanisms of juvenile Acrossocheilus wenchowensis under acute temperature changes. Ecotoxicol. Environ. Saf. 2024, 283, 116835. [Google Scholar]
- Deng, R.; Lu, M.; Korteweg, C.; Gao, Z.; McNutt, M.A.; Ye, J.; Zhang, T.; Gu, J. Distinctly different expression of cytokines and chemokines in the lungs of two H5N1 avian influenza patients. J. Pathol. 2008, 216, 328–336. [Google Scholar] [PubMed]
- Wang, A.; Liu, F.; Chen, S.; Wang, M.; Jia, R.; Zhu, D.; Liu, M.; Sun, K.; Wu, Y.; Chen, X.; et al. Transcriptome Analysis and Identification of Differentially Expressed Transcripts of Immune-Related Genes in Spleen of Gosling and Adult Goose. Int. J. Mol. Sci. 2015, 16, 22904–22926. [Google Scholar] [CrossRef] [PubMed]
- Zhu, H.; Li, L. Biological pathway selection through nonlinear dimension reduction. Biostatistics 2011, 12, 429–444. [Google Scholar] [PubMed]
- Grivennikov, S.I.; Greten, F.R.; Karin, M. Immunity, inflammation, and cancer. Cell 2010, 140, 883–899. [Google Scholar] [CrossRef]
- Mohan, T.; Deng, L.; Wang, B.Z. CCL28 chemokine: An anchoring point bridging innate and adaptive immunity. Int. Immunopharmacol. 2017, 51, 165–170. [Google Scholar] [CrossRef]
- Beute, J.E.; Kim, A.Y.; Park, J.J.; Yang, A.; Torres-Shafer, K.; Mullins, D.W.; Sundstrom, P. The IL-20RB receptor and the IL-20 signaling pathway in regulating host defense in oral mucosal candidiasis. Front. Cell. Infect. Microbiol. 2022, 12, 979701. [Google Scholar]
- Silva, A.; Almeida, A.R.M.; Cachucho, A.; Neto, J.L.; Demeyer, S.; de Matos, M.; Hogan, T.; Li, Y.; Meijerink, J.; Cools, J.; et al. Overexpression of wild-type IL-7Rα promotes T-cell acute lymphoblastic leukemia/lymphoma. Blood 2021, 138, 1040–1052. [Google Scholar] [CrossRef]
- Li, W.; He, S.; Lin, C.; Yang, S.; Zhang, W. Mesenchymal stem cell-derived exosomes carry miR-125a-5p to improve diabetic keratopathy by regulating endoplasmic reticulum stress. Tissue Cell 2025, 93, 102669. [Google Scholar] [CrossRef] [PubMed]
- Chen, X.; Shi, C.; He, M.; Xiong, S.; Xia, X. Endoplasmic reticulum stress: Molecular mechanism and therapeutic targets. Signal Transduct. Target. Ther. 2023, 8, 352. [Google Scholar]
- Kranz, P.; Neumann, F.; Wolf, A.; Classen, F.; Pompsch, M.; Ocklenburg, T.; Baumann, J.; Janke, K.; Baumann, M.; Goepelt, K.; et al. PDI is an essential redox-sensitive activator of PERK during the unfolded protein response (UPR). Cell Death Dis. 2017, 8, e2986. [Google Scholar] [CrossRef]
- Kim, S.Y.; Kim, H.J.; Kim, H.J.; Kim, D.H.; Han, J.H.; Byeon, H.K.; Lee, K.; Kim, C.H. HSPA5 negatively regulates lysosomal activity through ubiquitination of MUL1 in head and neck cancer. Autophagy 2018, 14, 385–403. [Google Scholar] [CrossRef] [PubMed]
- Zhao, X.Q.; Li, L.L.; Li, C.J.; Liu, E.U.; Zhu, H.; Ling, Q.F. Heat stress-induced endoplasmic reticulum stress promotes liver apoptosis in largemouth bass (Micropterus salmoides). Aquaculture 2022, 546, 737401. [Google Scholar]
- Faust, O.; Abayev-Avraham, M.; Wentink, A.S.; Maurer, M.; Nillegoda, N.B.; London, N.; Bukau, B.; Rosenzweig, R. HSP40 proteins use class-specific regulation to drive HSP70 functional diversity. Nature 2020, 587, 489–494. [Google Scholar]
- Li, Y.; Huang, J.; Liu, Z.; Zhou, Y.; Xia, B.; Wang, Y.; Kang, Y.; Wang, J. Transcriptome analysis provides insights into hepatic responses to moderate heat stress in the rainbow trout (Oncorhynchus mykiss). Gene 2017, 619, 1–9. [Google Scholar] [CrossRef]
- Cheng, C.H.; Yang, F.F.; Liao, S.A.; Miao, Y.T.; Ye, C.X.; Wang, A.L.; Tan, J.W.; Chen, X.Y. High temperature induces apoptosis and oxidative stress in pufferfish (Takifugu obscurus) blood cells. J. Therm. Biol. 2015, 53, 172–179. [Google Scholar]
- Li, Y.; Li, Y.; Chen, N.; Feng, L.; Gao, J.; Zeng, N.; He, Z.; Gong, Q. Icariside II Exerts Anti-Type 2 Diabetic Effect by Targeting PPARα/γ: Involvement of ROS/NF-κB/IRS1 Signaling Pathway. Antioxidants (Basel). 2022, 11, 9. [Google Scholar]
- Liu, J.; Wang, L.; Wang, W.; Li, Y.; Jia, X.; Zhai, S.; Shi, J.; Dang, S. Application of network construction to estimate functional changes to insulin receptor substrates 1 and 2 in Huh7 cells following infection with the hepatitis C virus. Mol. Med. Rep. 2016, 14, 2379–2388. [Google Scholar] [CrossRef][Green Version]
- Yamanaka, M.; Ishikawa, T.; Griep, A.; Axt, D.; Kummer, M.P.; Heneka, M.T. PPARγ/RXRα-induced and CD36-mediated microglial amyloid-β phagocytosis results in cognitive improvement in amyloid precursor protein/presenilin 1 mice. J. Neurosci. 2012, 32, 17321–17331. [Google Scholar] [CrossRef]
- Guan, Y.; Breyer, M.D. Peroxisome proliferator-activated receptors (PPARs): Novel therapeutic targets in renal disease. Kidney Int. 2001, 60, 14–30. [Google Scholar] [CrossRef]
- Guan, Y. Peroxisome proliferator-activated receptor family and its relationship to renal complications of the metabolic syndrome. J. Am. Soc. Nephrol. 2004, 15, 2801–2815. [Google Scholar] [CrossRef] [PubMed]
- Kono, K.; Kamijo, Y.; Hora, K.; Takahashi, K.; Higuchi, M.; Kiyosawa, K.; Shigematsu, H.; Gonzalez, F.J.; Aoyama, T. PPAR{alpha} attenuates the proinflammatory response in activated mesangial cells. Am. J. Physiol. Ren. Physiol. 2009, 296, F328–F336. [Google Scholar] [CrossRef]
- Guan, Y.; Zhang, Y.; Davis, L.; Breyer, M.D. Expression of peroxisome proliferator-activated receptors in urinary tract of rabbits and humans. Am. J. Physiol. 1997, 273, F1013–F1022. [Google Scholar] [CrossRef] [PubMed]
- Lucarelli, R.; Gorrochotegui-Escalante, N.; Taddeo, J.; Buttaro, B.; Beld, J.; Tam, V. Eicosanoid-Activated PPARα Inhibits NFκB-Dependent Bacterial Clearance During Post-Influenza Superinfection. Front. Cell Infect. Microbiol. 2022, 12, 881462. [Google Scholar] [CrossRef]
- Rakhshandehroo, M.; Knoch, B.; Müller, M.; Kersten, S. Peroxisome proliferator-activated receptor alpha target genes. PPAR Res. 2010, 2010, 612089. [Google Scholar] [CrossRef] [PubMed]
- Dubois, V.; Eeckhoute, J.; Lefebvre, P.; Staels, B. Distinct but complementary contributions of PPAR isotypes to energy homeostasis. J. Clin. Investig. 2017, 127, 1202–1214. [Google Scholar] [CrossRef]
- Xu, J.; Fu, Y.; Chen, A. Activation of peroxisome proliferator-activated receptor-gamma contributes to the inhibitory effects of curcumin on rat hepatic stellate cell growth. Am. J. Physiol. Gastrointest. Liver Physiol. 2003, 285, G20–G30. [Google Scholar] [CrossRef]
- Luan, Z.L.; Zhang, C.; Ming, W.H.; Huang, Y.Z.; Guan, Y.F.; Zhang, X.Y. Nuclear receptors in renal health and disease. EBioMedicine 2022, 76, 103855. [Google Scholar] [CrossRef]
- Guan, Y.; Hao, C.; Cha, D.R.; Rao, R.; Lu, W.; Kohan, D.E.; Magnuson, M.A.; Redha, R.; Zhang, Y.; Breyer, M.D. Thiazolidinediones expand body fluid volume through PPARgamma stimulation of ENaC-mediated renal salt absorption. Nat. Med. 2005, 11, 861–866. [Google Scholar] [PubMed]
- Wu, J.; Shao, X.; Shen, J.; Lin, Q.; Zhu, X.; Li, S.; Li, J.; Zhou, W.; Qi, C.; Ni, Z. Downregulation of PPARα mediates FABP1 expression, contributing to IgA nephropathy by stimulating ferroptosis in human mesangial cells. Int. J. Biol. Sci. 2022, 18, 5438–5458. [Google Scholar] [PubMed]
- Wu, D.; Jian, C.; Peng, Q.; Hou, T.; Wu, K.; Shang, B.; Zhao, M.; Wang, Y.; Zheng, W.; Ma, Q.; et al. Prohibitin 2 deficiency impairs cardiac fatty acid oxidation and causes heart failure. Cell Death Dis. 2020, 11, 181. [Google Scholar] [PubMed]
- Ma, X.; Wang, L.; Shi, Z.; Chen, W.; Yang, X.; Hu, Y.; Zheng, C.; Jiang, Z. Mechanism of continuous high temperature affecting growth performance, meat quality, and muscle biochemical properties of finishing pigs. Genes Nutr. 2019, 14, 23. [Google Scholar]
- Guo, Q.; Wang, D.; Liu, Z.; Li, C. Effects of p21 Gene Down-Regulation through RNAi on Antler Stem Cells In Vitro. PLoS ONE 2015, 10, e0134268. [Google Scholar]
- Mohamed, T.M.N.; Asmaa, M.A. New fused pyrimidine derivatives with anticancer activity: Synthesis, topoisomerase II inhibition, apoptotic inducing activity and molecular modeling study. Bioorganic Chem. 2020, 103, 104134. [Google Scholar]
- Méndez, J.; Stillman, B. Chromatin association of human origin recognition complex, cdc6, and minichromosome maintenance proteins during the cell cycle: Assembly of prereplication complexes in late mitosis. Mol. Cell. Biol. 2000, 20, 8602–8612. [Google Scholar] [CrossRef]
- Jorrit M, E.; Richard D, K. An overview of Cdk1-controlled targets and processes. Cell Div. 2010, 5, 11. [Google Scholar]
- Matthew C, J.; Janet A, A.; Jonathan D, H.; Martin J, H. Cell adhesion is regulated by CDK1 during the cell cycle. J. Cell Biol. 2018, 217, 3203–3218. [Google Scholar]
- Xie, B.; Wang, S.; Jiang, N.; Li, J.J. Cyclin B1/CDK1-regulated mitochondrial bioenergetics in cell cycle progression and tumor resistance. Cancer Lett. 2019, 443, 56–66. [Google Scholar] [CrossRef]
- Hsu, E.C.; Shen, M.; Aslan, M.; Liu, S.; Kumar, M.; Garcia-Marques, F.; Nguyen, H.M.; Nolley, R.; Pitteri, S.J.; Corey, E.; et al. MCM2-7 complex is a novel druggable target for neuroendocrine prostate cancer. Sci. Rep. 2021, 11, 13305. [Google Scholar] [CrossRef] [PubMed]
- Jung, I.J.; Ahn, J.W.; Jung, S.; Hwang, J.E.; Hong, M.J.; Choi, H.I.; Kim, J.B. Overexpression of rice jacalin-related mannose-binding lectin (OsJAC1) enhances resistance to ionizing radiation in Arabidopsis. BMC Plant Biol. 2019, 19, 561. [Google Scholar]
- Aklilu, B.B.; Soderquist, R.S.; Culligan, K.M. Genetic analysis of the Replication Protein A large subunit family in Arabidopsis reveals unique and overlapping roles in DNA repair, meiosis and DNA replication. Nucleic Acids Res. 2014, 42, 3104–3118. [Google Scholar] [PubMed]












| DEGs | Kidney_1_24 | Kidney_1_48 | Kidney_80_24 | Kidney_80_48 | Kidney_1_24 |
|---|---|---|---|---|---|
| Up-regulated | 1163 | 633 | 1530 | 1860 | 1163 |
| Down-regulated | 1638 | 793 | 2079 | 2206 | 1638 |
| Total | 2801 | 1426 | 3609 | 4066 | 2801 |
Disclaimer/Publisher’s Note: The statements, opinions and data contained in all publications are solely those of the individual author(s) and contributor(s) and not of MDPI and/or the editor(s). MDPI and/or the editor(s) disclaim responsibility for any injury to people or property resulting from any ideas, methods, instructions or products referred to in the content. |
© 2025 by the authors. Licensee MDPI, Basel, Switzerland. This article is an open access article distributed under the terms and conditions of the Creative Commons Attribution (CC BY) license (https://creativecommons.org/licenses/by/4.0/).
Share and Cite
Xu, X.; Song, H.; Zhang, L.; Chen, C.; Zhang, X.; Liu, Y.; Li, C.; Fu, Q. Effects of Coatings on Antioxidant Enzyme Activities, Histopathology, and Transcriptome Profiles of Kidney Tissue in Larimichthys crocea. Genes 2025, 16, 392. https://doi.org/10.3390/genes16040392
Xu X, Song H, Zhang L, Chen C, Zhang X, Liu Y, Li C, Fu Q. Effects of Coatings on Antioxidant Enzyme Activities, Histopathology, and Transcriptome Profiles of Kidney Tissue in Larimichthys crocea. Genes. 2025; 16(4):392. https://doi.org/10.3390/genes16040392
Chicago/Turabian StyleXu, Xuan, Huayu Song, Lu Zhang, Chonghui Chen, Xiaoxu Zhang, Yiying Liu, Chao Li, and Qiang Fu. 2025. "Effects of Coatings on Antioxidant Enzyme Activities, Histopathology, and Transcriptome Profiles of Kidney Tissue in Larimichthys crocea" Genes 16, no. 4: 392. https://doi.org/10.3390/genes16040392
APA StyleXu, X., Song, H., Zhang, L., Chen, C., Zhang, X., Liu, Y., Li, C., & Fu, Q. (2025). Effects of Coatings on Antioxidant Enzyme Activities, Histopathology, and Transcriptome Profiles of Kidney Tissue in Larimichthys crocea. Genes, 16(4), 392. https://doi.org/10.3390/genes16040392

