Potential Role of ABCF2 Gene in Pudendal Nerve Neuropathy and Interstitial Cystitis
Abstract
1. Introduction
2. Materials and Methods
2.1. Histological Analysis
2.2. Next Generation Sequency (NGS) Analysis
2.3. Data Analysis
3. Results
3.1. Clinical Report
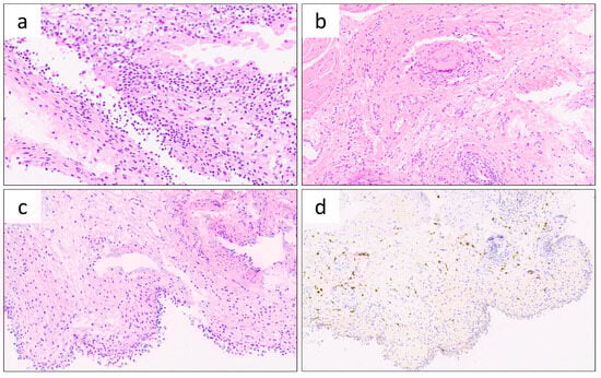
3.2. Histological Analysis
3.3. NGS Analysis
4. Discussion
5. Conclusions
Supplementary Materials
Author Contributions
Funding
Institutional Review Board Statement
Informed Consent Statement
Data Availability Statement
Acknowledgments
Conflicts of Interest
Abbreviations
| ABCF2 | ATP-binding cassette sub-family F member 2 |
| ACMG | American College of Medical Genetics |
| ATP | Adenosine triphosphate |
| BPS | Bladder pain syndrome |
| FSH | Follicle-stimulating hormone |
| GAG | Glycosaminoglycans |
| GTEx | Genotype-Tissue Expression |
| GO | Gene ontology |
| HGMD | Human Gene Mutation Database |
| H&E | Hematoxylin-eosin |
| IC | Interstitial cystitis |
| IGV | Integrative Genomics Viewer |
| MAF | Minor allele frequency |
| NGS | Next generation sequencing |
| NH | Non-Hunner |
| PEA | Palmitoylethanolamide |
| TMD | Transmembrane domain |
| USA | United States of America |
| UTIs | Urinary trait infections |
| WES | Whole exome sequencing |
References
- Ploteau, S.; Cardaillac, C.; Perrouin-Verbe, M.-A.; Riant, T.; Labat, J.-J. Pudendal Neuralgia Due to Pudendal Nerve Entrapment: Warning Signs Observed in Two Cases and Review of the Literature. Pain Physician 2016, 19, E449–E454. [Google Scholar] [CrossRef]
- Clemens, J.Q.; Erickson, D.R.; Varela, N.P.; Lai, H.H. Diagnosis and Treatment of Interstitial Cystitis/Bladder Pain Syndrome. J. Urol. 2022, 208, 34–42. [Google Scholar] [CrossRef] [PubMed]
- Shafik, A.; El-Sibai, O.; Shafik, A.A.; Shafik, I.A. Role of Pudendal Canal Syndrome in the Pathogenesis of Interstitial Cystitis and Its Treatment by Pudendal Canal Decompression. Curr. Urol. 2008, 2, 24–29. [Google Scholar] [CrossRef]
- Cervigni, M.; Natale, F. Gynecological Disorders in Bladder Pain Syndrome/Interstitial Cystitis Patients. Int. J. Urol. 2014, 21, 85–88. [Google Scholar] [CrossRef] [PubMed]
- Armstrong, G.L.; Vancaillie, T.G. Combined Site-Specific Sacral Neuromodulation and Pudendal Nerve Release Surgery in a Patient with Interstitial Cystitis and Persistent Arousal. BMJ Case Rep. 2016, 2016, bcr2015213513. [Google Scholar] [CrossRef]
- Akiyama, Y.; Luo, Y.; Hanno, P.M.; Maeda, D.; Homma, Y. Interstitial Cystitis/Bladder Pain Syndrome: The Evolving Landscape, Animal Models and Future Perspectives. Int. J. Urol. 2020, 27, 491–503. [Google Scholar] [CrossRef] [PubMed]
- Ronstrom, C.; Lai, H.H. Presenting an Atlas of Hunner Lesions in Interstitial Cystitis Which Can Be Identified with Office Cystoscopy. Neurourol. Urodyn. 2020, 39, 2394–2400. [Google Scholar] [CrossRef] [PubMed]
- Padilla-Fernández, B.; Hernández-Hernández, D.; Castro-Díaz, D.M. Current Role of Neuromodulation in Bladder Pain Syndrome/Interstitial Cystitis. Ther. Adv. Urol. 2022, 14. [Google Scholar] [CrossRef]
- Taidi, Z.; Mansfield, K.J.; Bates, L.; Sana-Ur-Rehman, H.; Liu, L. Purinergic P2X7 Receptors as Therapeutic Targets in Interstitial Cystitis/Bladder Pain Syndrome; Key Role of ATP Signaling in Inflammation. Bladder 2019, 6, e38. [Google Scholar] [CrossRef]
- Liu, J.; Liu, S.; Hu, S.; Lu, J.; Wu, C.; Hu, D.; Zhang, W. ATP Ion Channel P2X Purinergic Receptors in Inflammation Response. Biomed. Pharmacother. 2023, 158, 114205. [Google Scholar] [CrossRef]
- Wu, H.; Su, Q.-X.; Zhang, Z.-Y.; Zhang, Z.; Gao, S.-L.; Lu, C.; Zuo, L.; Zhang, L.-F. Exploration of the Core Genes in Ulcerative Interstitial Cystitis/Bladder Pain Syndrome. Int. Braz. J. Urol. 2021, 47, 843–855. [Google Scholar] [CrossRef] [PubMed]
- Werneburg, G.T.; Keslar, K.S.; Gotwald, P.; Doolittle, J.; Vij, S.C.; Lee, B.H.; Shoskes, D.A. Neuroinflammatory Gene Expression Analysis Reveals Potential Novel Mediators and Treatment Targets in Interstitial Cystitis with Hunner Lesions. Transl. Androl. Urol. 2021, 10, 4100–4109. [Google Scholar] [CrossRef] [PubMed]
- Akiyama, Y.; Sonehara, K.; Maeda, D.; Katoh, H.; Naito, T.; Yamamoto, K.; Matsuda, K.; Yamanashi, Y.; Furukawa, Y.; Morisaki, T.; et al. Genome-Wide Association Study Identifies Risk Loci within the Major Histocompatibility Complex Region for Hunner-Type Interstitial Cystitis. Cell Rep. Med. 2023, 4, 101114. [Google Scholar] [CrossRef]
- Akiyama, Y.; Miyakawa, J.; O’Donnell, M.A.; Kreder, K.J.; Luo, Y.; Maeda, D.; Ushiku, T.; Kume, H.; Homma, Y. Overexpression of HIF1α in Hunner Lesions of Interstitial Cystitis: Pathophysiological Implications. J. Urol. 2022, 207, 635–646. [Google Scholar] [CrossRef]
- Burnstock, G. Purinergic Signalling in the Urinary Tract in Health and Disease. Purinergic Signal 2014, 10, 103–155. [Google Scholar] [CrossRef] [PubMed]
- Vinci, M.; Vitello, G.; Greco, D.; Treccarichi, S.; Ragalmuto, A.; Musumeci, A.; Fallea, A.; Federico, C.; Calì, F.; Saccone, S.; et al. Next Generation Sequencing and Electromyography Reveal the Involvement of the P2RX6 Gene in Myopathy. Curr. Issues Mol. Biol. 2024, 46, 1150–1163. [Google Scholar] [CrossRef]
- Sun, Y.; Chai, T.C. Augmented Extracellular ATP Signaling in Bladder Urothelial Cells from Patients with Interstitial Cystitis. Am. J. Physiol.-Cell Physiol. 2006, 290, C27–C34. [Google Scholar] [CrossRef] [PubMed]
- Mohammad, A.; Laboulaye, M.A.; Shenhar, C.; Dobberfuhl, A.D. Mechanisms of Oxidative Stress in Interstitial Cystitis/Bladder Pain Syndrome. Nat. Rev. Urol. 2024, 21, 433–449. [Google Scholar] [CrossRef]
- Lewinson, O.; Orelle, C.; Seeger, M.A. Structures of ABC Transporters: Handle with Care. FEBS Lett. 2020, 594, 3799–3814. [Google Scholar] [CrossRef] [PubMed]
- Pote, M.S.; Gacche, R.N. ATP-Binding Cassette Efflux Transporters and MDR in Cancer. Drug Discov. Today 2023, 28, 103537. [Google Scholar] [CrossRef] [PubMed]
- Thomas, C.; Tampé, R. Structural and Mechanistic Principles of ABC Transporters. Annu. Rev. Biochem. 2020, 89, 605–636. [Google Scholar] [CrossRef]
- Tsuda, H.; Ito, K.; Yaegashi, N.; Hirasawa, A.; Sudo, T.; Kita, T.; Terai, Y.; Kigawa, J.; Sugiyama, T.; Aoki, D. Relationship Between ABCF2 Expression and Response to Chemotherapy or Prognosis in Clear Cell Adenocarcinoma of the Ovary. Int. J. Gynecol. Cancer 2010, 20, 794–797. [Google Scholar] [CrossRef]
- Hanno, P.M.; Landis, J.R.; Matthews-Cook, Y.; Kusek, J.; Nyberg, L.JR. The Diagnosis of Interstitial Cystitis Revisited: Lessons Learned From The National Institutes Of Health Interstitial Cystitis Database Study. J. Urol. 1999, 161, 553–557. [Google Scholar] [CrossRef]
- Tailor, V.K.; Morris, E.; Bhide, A.A.; Fernando, R.; Digesu, G.A.; Khullar, V. Does Cystoscopy Method Affect the Investigation of Bladder Pain Syndrome/Interstitial Cystitis? Int. Urogynecol. J. 2021, 32, 1229–1235. [Google Scholar] [CrossRef]
- Makino, T.; Kawashima, H.; Konishi, H.; Nakatani, T.; Kiyama, H. Elevated Urinary Levels and Urothelial Expression of Hepatocarcinoma-Intestine-Pancreas/Pancreatitis-Associated Protein in Patients with Interstitial Cystitis. Urology 2010, 75, 933–937. [Google Scholar] [CrossRef] [PubMed]
- Vinci, M.; Greco, D.; Figura, M.G.; Treccarichi, S.; Musumeci, A.; Greco, V.; Pettinato, R.; Gloria, A.; Papa, C.; Saccone, S.; et al. Exploring the Role of FICD, a New Potential Gene Involved in Borderline Intellectual Functioning, Psychological and Metabolic Disorders. Genes 2024, 15, 1655. [Google Scholar] [CrossRef] [PubMed]
- Calì, F.; Vinci, M.; Treccarichi, S.; Papa, C.; Gloria, A.; Musumeci, A.; Federico, C.; Vitello, G.A.; Nicotera, A.G.; Di Rosa, G.; et al. PLEKHG1: New Potential Candidate Gene for Periventricular White Matter Abnormalities. Genes 2024, 15, 1096. [Google Scholar] [CrossRef] [PubMed]
- Peters, K.M.; Feber, K.M.; Bennett, R.C. A prospective, single-blind, randomized crossover trial of sacral vs pudendal nerve stimulation for interstitial cystitis. BJU Int. 2007, 100, 835–839. [Google Scholar] [CrossRef]
- Campbell, I.M.; Shaw, C.A.; Stankiewicz, P.; Lupski, J.R. Somatic Mosaicism: Implications for Disease and Transmission Genetics. Trends Genet. 2015, 31, 382–392. [Google Scholar] [CrossRef]
- Mohiuddin, M.; Kooy, R.F.; Pearson, C.E. De Novo Mutations, Genetic Mosaicism and Human Disease. Front. Genet. 2022, 13, 983668. [Google Scholar] [CrossRef] [PubMed]
- Damavandi, M.; Farrokh, P.; Zavareh, S. Effect of Mouse Ovarian Vitrification on Promoter Methylation of Inhba and Inhbb in Granulosa Cells of Follicles. Cryo Lett. 2021, 42, 67–72. [Google Scholar]
- Koldamova, R.; Fitz, N.F.; Lefterov, I. ATP-Binding Cassette Transporter A1: From Metabolism to Neurodegeneration. Neurobiol. Dis. 2014, 72, 13–21. [Google Scholar] [CrossRef]
- Nakajima, N.; Ohnishi, Y.; Yamamoto, M.; Setoyama, D.; Imai, H.; Takenaka, T.; Matsumoto, M.; Hosomi, K.; Saitoh, Y.; Furue, H.; et al. Excess Intracellular ATP Causes Neuropathic Pain Following Spinal Cord Injury. Cell. Mol. Life Sci. 2022, 79, 483. [Google Scholar] [CrossRef]
- Osman, N.I.; Bratt, D.G.; Downey, A.P.; Esperto, F.; Inman, R.D.; Chapple, C.R. A Systematic Review of Surgical Interventions for the Treatment of Bladder Pain Syndrome/Interstitial Cystitis. Eur. Urol. Focus. 2021, 7, 877–885. [Google Scholar] [CrossRef]
- Kaur, G.; Singh, N.; Jaggi, A.S. Mast Cells in Neuropathic Pain: An Increasing Spectrum of Their Involvement in Pathophysiology. Rev. Neurosci. 2017, 28, 759–766. [Google Scholar] [CrossRef] [PubMed]
- Chuang, Y.-C.; Chou, A.-K.; Wu, P.-C.; Chiang, P.-H.; Yu, T.-J.; Yang, L.-C.; Yoshimura, N.; Chancellor, M.B. Gene Therapy for Bladder Pain with Gene Gun Particle Encoding Pro-Opiomelanocortin CDNA. J. Urol. 2003, 170, 2044–2048. [Google Scholar] [CrossRef] [PubMed]
- Benavides, R.; Vsevolozhskaya, O.; Cattaneo, S.; Zaykin, D.; Brenton, A.; Parisien, M.; Verma, V.; Khoury, S.; Gilron, I.; Diatchenko, L. A Functional Polymorphism in the ATP-Binding Cassette B1 Transporter Predicts Pharmacologic Response to Combination of Nortriptyline and Morphine in Neuropathic Pain Patients. Pain 2020, 161, 619–629. [Google Scholar] [CrossRef]



| Criteria for Classifying Variants | Category Code | Description |
|---|---|---|
| Moderate | PM2 | Absent from controls (or at extremely low frequency if recessive) in Exome Sequencing Project, 1000 Genomes Project, or Exome Aggregation Consortium |
| Supporting | PP3 | In silico evidence |
| Supporting | PP4 | Patient’s phenotype or family history is highly specific for a disease with a single genetic etiology |
| ACMG variant classification | Likely pathogenic |
| Tool | Prediction | Score |
|---|---|---|
| BayesDel addAF | Pathogenic Moderate | 0.3625 |
| BayesDel noAF | Pathogenic Moderate | 0.4645 |
| MetaRNN | Pathogenic Moderate | 0.8807 |
| REVEL | Pathogenic Moderate | 0.922 |
| MetaSVM | Pathogenic Supporting | 0.7992 |
| MetaLR | Damaging | 0.8249 |
| CADD | Likely Deleterious | 25.2 |
| MVP | Pathogenic Moderate | 0.9797 |
| PrimateAI | Pathogenic Moderate | 0.8955 |
| FATHMM-MKL | Pathogenic Supporting | 0.993 |
| FATHMM-XF | Pathogenic Supporting | 0.8988 |
| LIST-S2 | Pathogenic Supporting | 0.973 |
| LRT | Pathogenic Supporting | 0 |
| M-CAP | Pathogenic Supporting | 0.3338 |
| MutPred2 | Pathogenic Moderate | 0.945 |
| PROVEAN | Pathogenic Supporting | −5.44 |
| Polyphen2 | Possibly Damaging | 0.566 |
| BLOSUM | Non-conservative | −4 |
| DANN | Damaging | 0.9866 |
| DEOGEN2 | Deleterious | 0.7608 |
| FATHMM | Damaging | −3.51 |
| Mutation assessor | Damaging | 2.15 |
| MutationTaster | Disease causing | 1 |
| SIFT | Deleterious | 0.009 |
| Conservation Parameter * | Score |
|---|---|
| PhastCons100way | 1.000 |
| PhyloP100way | 8.637 |
| fitCons-gm | 0.725 |
| Bselection | 912 |
Disclaimer/Publisher’s Note: The statements, opinions and data contained in all publications are solely those of the individual author(s) and contributor(s) and not of MDPI and/or the editor(s). MDPI and/or the editor(s) disclaim responsibility for any injury to people or property resulting from any ideas, methods, instructions or products referred to in the content. |
© 2025 by the authors. Licensee MDPI, Basel, Switzerland. This article is an open access article distributed under the terms and conditions of the Creative Commons Attribution (CC BY) license (https://creativecommons.org/licenses/by/4.0/).
Share and Cite
Musumeci, A.; Vinci, M.; Treccarichi, S.; Ragalmuto, A.; Bruno, G.; Tinniriello, G.; Farina, J.; Federico, C.; Saccone, S.; Calì, F.; et al. Potential Role of ABCF2 Gene in Pudendal Nerve Neuropathy and Interstitial Cystitis. Genes 2025, 16, 281. https://doi.org/10.3390/genes16030281
Musumeci A, Vinci M, Treccarichi S, Ragalmuto A, Bruno G, Tinniriello G, Farina J, Federico C, Saccone S, Calì F, et al. Potential Role of ABCF2 Gene in Pudendal Nerve Neuropathy and Interstitial Cystitis. Genes. 2025; 16(3):281. https://doi.org/10.3390/genes16030281
Chicago/Turabian StyleMusumeci, Antonino, Mirella Vinci, Simone Treccarichi, Alda Ragalmuto, Giuseppe Bruno, Giordana Tinniriello, Jessica Farina, Concetta Federico, Salvatore Saccone, Francesco Calì, and et al. 2025. "Potential Role of ABCF2 Gene in Pudendal Nerve Neuropathy and Interstitial Cystitis" Genes 16, no. 3: 281. https://doi.org/10.3390/genes16030281
APA StyleMusumeci, A., Vinci, M., Treccarichi, S., Ragalmuto, A., Bruno, G., Tinniriello, G., Farina, J., Federico, C., Saccone, S., Calì, F., & Porru, D. (2025). Potential Role of ABCF2 Gene in Pudendal Nerve Neuropathy and Interstitial Cystitis. Genes, 16(3), 281. https://doi.org/10.3390/genes16030281

