Identification of a Novel Indel Variant in the DARS2 Gene in Russian Patients with Leukoencephalopathy with Brainstem and Spinal Cord Involvement and Lactate Elevation
Abstract
1. Background
2. Materials and Methods
2.1. Editorial Policies and Ethical Considerations
2.2. Patients
2.3. Molecular Genetic Methods
2.4. Searching for Common Mutations in the DARS2 Gene
2.5. Target Gene Sequencing
2.6. Multiplex PCR for the Fast Detection of Novel Variants
3. Results and Discussion
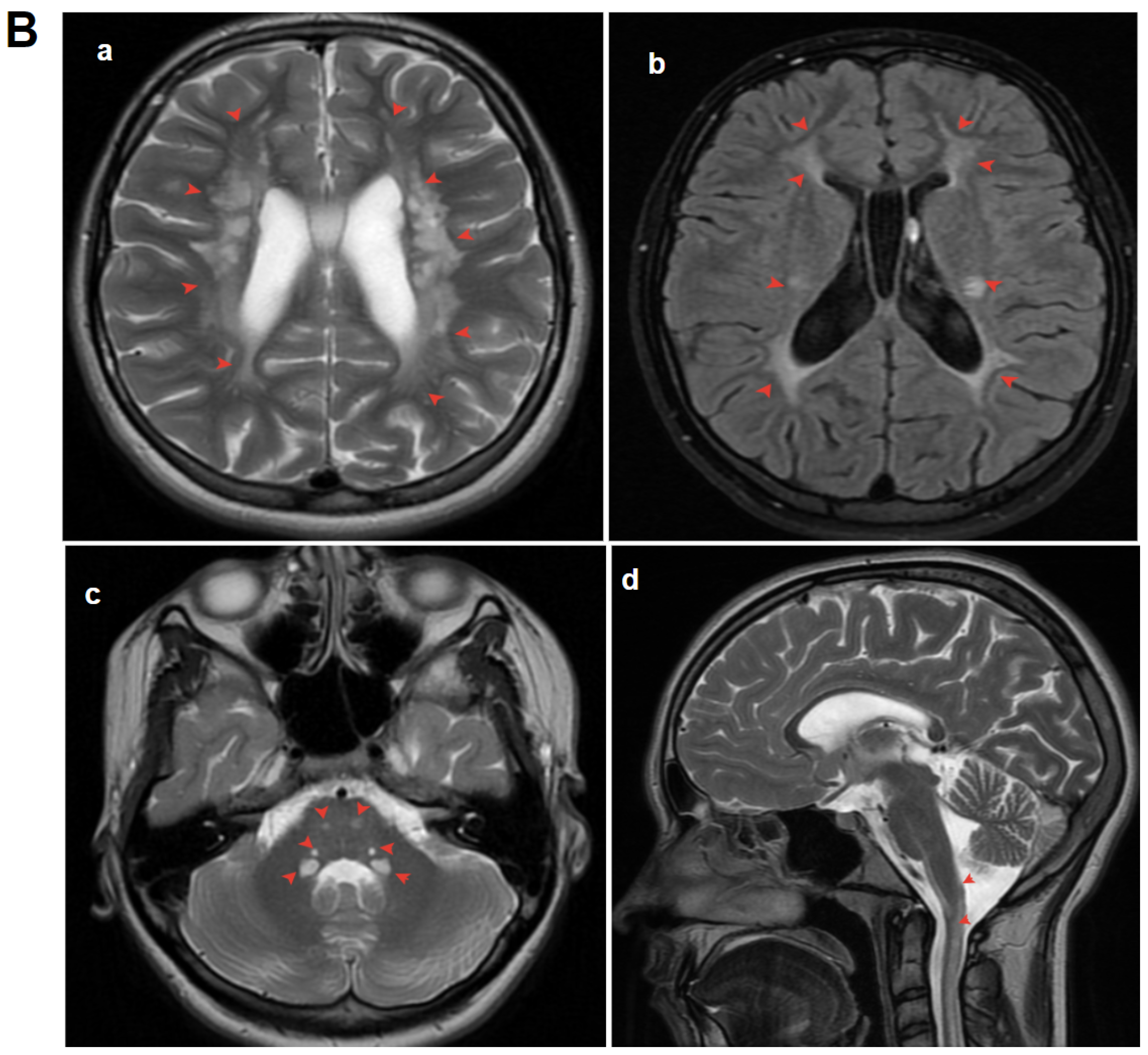
3.1. Clinical Cases
3.1.1. Patient 1
3.1.2. Patient 2
3.1.3. Patient 3
3.1.4. Patient 4
3.2. Molecular Findings
4. Conclusions
Supplementary Materials
Author Contributions
Funding
Institutional Review Board Statement
Data Availability Statement
Conflicts of Interest
Abbreviations
| LBSL | Leukoencephalopathy with brainstem and spinal cord involvement and lactate elevation |
| WMH | White matter hyperintensities |
| MRI | Magnetic resonance imaging |
| T1WI | T1-weighted images |
| ENMG | Electroneuromyography |
References
- Van der Knaap, M.S.; van der Voorn, P.; Barkhof, F.; Van Coster, R.; Krägeloh-Mann, I.; Feigenbaum, A.; Blaser, S.; Vles, J.S.; Rieckmann, P.; Pouwels, P.J. A new leukoencephalopathy with brainstem and spinal cord involvement and high lactate. Ann. Neurol. 2003, 53, 252–258. [Google Scholar] [CrossRef] [PubMed]
- Scheper, G.C.; van der Klok, T.; van Andel, R.J.; van Berkel, C.G.; Sissler, M.; Smet, J.; Muravina, T.I.; Serkov, S.V.; Uziel, G.; Bugiani, M.; et al. Mitochondrial aspartyl-tRNA synthetase deficiency causes leukoencephalopathy with brain stem and spinal cord involvement and lactate elevation. Nat. Genet. 2007, 39, 534–539. [Google Scholar] [CrossRef] [PubMed]
- Rumyantseva, A.; Motori, E.; Trifunovic, A. DARS2 is indispensable for Purkinje cell survival and protects against cerebellar ataxia. Hum. Mol. Genet. 2020, 29, 2845–2854. [Google Scholar] [CrossRef] [PubMed]
- Steenweg, M.E.; van Berge, L.; van Berkel, C.G.; de Coo, I.F.; Temple, I.K.; Brockmann, K.; Mendonça, C.I.; Vojta, S.; Kolk, A.; Peck, D.; et al. Early-onset LBSL: How severe does it get? Neuropediatrics 2012, 43, 332–338. [Google Scholar] [CrossRef] [PubMed]
- van Berge, L.; Dooves, S.; van Berkel, C.G.; Polder, E.; van der Knaap, M.S.; Scheper, G.C. Leukoencephalopathy with brain stem and spinal cord involvement and lactate elevation is associated with cell-type-dependent splicing of mtAspRS mRNA. Biochem. J. 2012, 441, 955–962. [Google Scholar] [CrossRef] [PubMed]
- Lan, M.Y.; Chang, Y.Y.; Yeh, T.H.; Lin, T.K.; Lu, C.S. Leukoencephalopathy with brainstem and spinal cord involvement and lactate elevation (LBSL) with a novel DARS2 mutation and isolated progressive spastic paraparesis. J. Neurol. Sci. 2017, 372, 229–231. [Google Scholar] [CrossRef] [PubMed]
- Riggs, E.R.; Andersen, E.F.; Cherry, A.M.; Kantarci, S.; Kearney, H.; Patel, A.; Raca, G.; Ritter, D.I.; South, S.T.; Thorland, E.C.; et al. Technical standards for the interpretation and reporting of constitutional copy-number variants: A joint consensus recommendation of the American College of Medical Genetics and Genomics (ACMG) and the Clinical Genome Resource (ClinGen). Genet. Med. 2020, 22, 245–257. [Google Scholar] [CrossRef] [PubMed]









| Patient Number | 1 | 2 | 3 | 4 |
|---|---|---|---|---|
| Gender | f. | m. | f. | m. |
| Age at the last observation (years)/ age of onset | 12 y./ 10 y. | 14 y./ 3 y. | 14 y./ 1 y. | 17 y./ 12 y. |
| Early development | Normal | Normal | Normal | Normal |
| First symptoms | Gait disturbances | Gait disturbances | Gait disturbances | Gait disturbances |
| Headache | − | + | − | − |
| Cognitive decline | Mild | Mild | − | − |
| Nystagmus | − | − | − | Horizontal nystagmus |
| Decreased visual acuity | + | + | − | − |
| Dysarthria | + | − | − | − |
| Dysgraphia | + | − | − | − |
| Peripheral axonal neuropathy | − | + | − | + |
| Distal weakness | − | − | − | + |
| Leg pain | + | + | − | − |
| Muscle atrophy | − | Lower limb atrophy | Lower limb atrophy | + |
| Spasticity | + | + | − | − |
| Tremor | Hand tremor | Generalized tremor | − | Hand tremor |
| Tendon reflexes | Hyperreflexia | Tendon reflexes are decreased | Lower limb hyperreflexia | Tendon reflexes in the hand are decreased; lower limb hyperreflexia |
| Extensor plantar responses | Babinski reflex and clonus | − | Babinski reflex and clonus | Babinski reflex |
| Pes cavus | − | + | − | + |
| Joint contractures | − | Ankle contractures | Ankle contractures | Ankle contractures |
| Ataxia | + | + | − | + |
| Gait | Sensory ataxia | Paretic gait with ataxia | Paretic gait | Sensory ataxia |
Disclaimer/Publisher’s Note: The statements, opinions and data contained in all publications are solely those of the individual author(s) and contributor(s) and not of MDPI and/or the editor(s). MDPI and/or the editor(s) disclaim responsibility for any injury to people or property resulting from any ideas, methods, instructions or products referred to in the content. |
© 2024 by the authors. Licensee MDPI, Basel, Switzerland. This article is an open access article distributed under the terms and conditions of the Creative Commons Attribution (CC BY) license (https://creativecommons.org/licenses/by/4.0/).
Share and Cite
Bostanova, F.M.; Tsygankova, P.G.; Larshina, E.A.; Nagornov, I.O.; Evseeva, Y.V.; Krutikhina, I.L.; Dzhentemirova, M.E.; Kashlakova, M.N.; Petukhova, M.S.; Sharkova, I.V.; et al. Identification of a Novel Indel Variant in the DARS2 Gene in Russian Patients with Leukoencephalopathy with Brainstem and Spinal Cord Involvement and Lactate Elevation. Genes 2024, 15, 615. https://doi.org/10.3390/genes15050615
Bostanova FM, Tsygankova PG, Larshina EA, Nagornov IO, Evseeva YV, Krutikhina IL, Dzhentemirova ME, Kashlakova MN, Petukhova MS, Sharkova IV, et al. Identification of a Novel Indel Variant in the DARS2 Gene in Russian Patients with Leukoencephalopathy with Brainstem and Spinal Cord Involvement and Lactate Elevation. Genes. 2024; 15(5):615. https://doi.org/10.3390/genes15050615
Chicago/Turabian StyleBostanova, Fatima M., Polina G. Tsygankova, Elena A. Larshina, Ilya O. Nagornov, Yulia V. Evseeva, Irina L. Krutikhina, Marina E. Dzhentemirova, Marina N. Kashlakova, Marina S. Petukhova, Inna V. Sharkova, and et al. 2024. "Identification of a Novel Indel Variant in the DARS2 Gene in Russian Patients with Leukoencephalopathy with Brainstem and Spinal Cord Involvement and Lactate Elevation" Genes 15, no. 5: 615. https://doi.org/10.3390/genes15050615
APA StyleBostanova, F. M., Tsygankova, P. G., Larshina, E. A., Nagornov, I. O., Evseeva, Y. V., Krutikhina, I. L., Dzhentemirova, M. E., Kashlakova, M. N., Petukhova, M. S., Sharkova, I. V., & Zakharova, E. Y. (2024). Identification of a Novel Indel Variant in the DARS2 Gene in Russian Patients with Leukoencephalopathy with Brainstem and Spinal Cord Involvement and Lactate Elevation. Genes, 15(5), 615. https://doi.org/10.3390/genes15050615

