FAN1 Deletion Variant in Basenji Dogs with Fanconi Syndrome
Abstract
1. Introduction
2. Materials and Methods
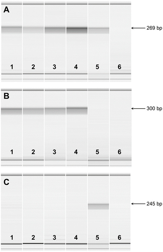
3. Results
4. Discussion
Supplementary Materials
Author Contributions
Funding
Institutional Review Board Statement
Informed Consent Statement
Data Availability Statement
Acknowledgments
Conflicts of Interest
References
- Foreman, J.W. Fanconi Syndrome. Pediatr. Clin. N. Am. 2019, 66, 159–167. [Google Scholar] [CrossRef] [PubMed]
- Albuquerque, A.L.B.; Dos Santos Borges, R.; Conegundes, A.F.; Dos Santos, E.E.; Fu, F.M.M.; Araujo, C.T.; Vaz de Castro, P.A.S.; Simoes E Silva, A.C. Inherited Fanconi Syndrome. World J. Pediatr. 2023, 19, 619–634. [Google Scholar] [CrossRef]
- Kunchur, M.G.; Mauch, T.J.; Parkanzky, M.; Rahilly, L.J. A Review of Renal Tubular Acidosis. J. Vet. Emerg. Crit. Care 2024, 34, 325–355. [Google Scholar] [CrossRef]
- Lobitz, S.; Velleuer, E. Guido Fanconi (1892–1979): A Jack of All Trades. Nat. Rev. Cancer 2006, 6, 893–898. [Google Scholar] [CrossRef] [PubMed]
- Baum, M. The Cellular Basis of Fanconi Syndrome. Hosp. Pract. 1993, 28, 137–138. [Google Scholar] [CrossRef] [PubMed]
- Magen, D.; Berger, L.; Coady, M.J.; Ilivitzki, A.; Militianu, D.; Tieder, M.; Selig, S.; Lapointe, J.Y.; Zelikovic, I.; Skorecki, K. A Loss-of-Function Mutation in NaPi-IIa and Renal Fanconi’s Syndrome. N. Engl. J. Med. 2010, 362, 1102–1109. [Google Scholar] [CrossRef]
- Lichter-Konecki, U.; Broman, K.W.; Blau, E.B.; Konecki, D.S. Genetic and Physical Mapping of the Locus for Autosomal Dominant Renal Fanconi Syndrome, on Chromosome 15q15.3. Am. J. Hum. Genet. 2001, 68, 264–268. [Google Scholar] [CrossRef]
- Emma, F.; Bertini, E.; Salviati, L.; Montini, G. Renal Involvement in Mitochondrial Cytopathies. Pediatr. Nephrol. 2012, 27, 539–550. [Google Scholar] [CrossRef]
- Lloyd, S.E.; Pearce, S.H.; Fisher, S.E.; Steinmeyer, K.; Schwappach, B.; Scheinman, S.J.; Harding, B.; Bolino, A.; Devoto, M.; Goodyer, P.; et al. A Common Molecular Basis for Three Inherited Kidney Stone Diseases. Nature 1996, 379, 445–449. [Google Scholar] [CrossRef]
- Lowe, M. Structure and Function of the Lowe Syndrome Protein OCRL1. Traffic 2005, 6, 711–719. [Google Scholar] [CrossRef]
- Baum, M. The Fanconi Syndrome of Cystinosis: Insights into the Pathophysiology. Pediatr. Nephrol. 1998, 12, 492–497. [Google Scholar] [CrossRef] [PubMed]
- Kintzel, P.E. Anticancer Drug-Induced Kidney Disorders. Drug Saf. 2001, 24, 19–38. [Google Scholar] [CrossRef] [PubMed]
- Gonick, H.; Indraprasit, S.; Neustein, H.; Rosen, V. Cadmium-Induced Experimental Fanconi Syndrome. Curr. Probl. Clin. Biochem. 1975, 4, 111–118. [Google Scholar] [PubMed]
- Yui, J.C.; Geara, A.; Sayani, F. Deferasirox-Associated Fanconi Syndrome in Adult Patients with Transfusional Iron Overload. Vox Sang. 2021, 116, 793–797. [Google Scholar] [CrossRef]
- Hall, A.M.; Trepiccione, F.; Unwin, R.J. Drug Toxicity in the Proximal Tubule: New Models, Methods and Mechanisms. Pediatr. Nephrol. 2022, 37, 973–982. [Google Scholar] [CrossRef]
- Anguissola, G.; Leu, D.; Simonetti, G.D.; Simonetti, B.G.; Lava, S.A.G.; Milani, G.P.; Bianchetti, M.G.; Scoglio, M. Kidney Tubular Injury Induced by Valproic Acid: Systematic Literature Review. Pediatr. Nephrol. 2023, 38, 1725–1731. [Google Scholar] [CrossRef]
- Easley, J.R.; Breitschwerdt, D.B. Glucosuria Associated with Renal Tubular Dysfunction in Three Basenji Dogs. J. Am. Vet. Med. Assoc. 1976, 168, 938–943. [Google Scholar]
- Bovee, K.C.; Joyce, T.; Reynolds, R.; Segal, S. Spontaneous Fanconi Syndrome in the Dog. Metabolism 1978, 27, 45–52. [Google Scholar] [CrossRef]
- Bovee, K.C.; Joyce, T.; Reynolds, R.; Segal, S. The Fanconi Syndrome in Basenji Dogs: A New Model for Renal Transport Defects. Science 1978, 201, 1129–1131. [Google Scholar] [CrossRef]
- Bovee, K.C.; Joyce, T.; Blazer-Yost, B.; Goldschmidt, M.S.; Segal, S. Characterization of Renal Defects in Dogs with a Syndrome Similar to the Fanconi Syndrome in Man. J. Am. Vet. Med. Assoc. 1979, 174, 1094–1099. [Google Scholar]
- Bovee, K.C.; Anderson, T.; Brown, S.; Goldschmidt, M.H.; Segal, S. Renal Tubular Defects of Spontaneous Fanconi Syndrome in Dogs. Prog. Clin. Biol. Res. 1982, 94, 435–447. [Google Scholar] [PubMed]
- Medow, M.S.; Reynolds, R.; Bovee, K.C.; Segal, S. Proline and Glucose Transport by Renal Membranes from Dogs with Spontaneous Idiopathic Fanconi Syndrome. Proc. Natl. Acad. Sci. USA 1981, 78, 7769–7772. [Google Scholar] [CrossRef] [PubMed]
- Mainka, S.A. Fanconi Syndrome in a Basenji. Can. Vet. J. 1985, 26, 303–305. [Google Scholar]
- Noonan, C.H.; Kay, J.M. Prevalence and Geographic Distribution of Fanconi Syndrome in Basenjis in the United States. J. Am. Vet. Med. Assoc. 1990, 197, 345–349. [Google Scholar] [CrossRef]
- Yearley, J.H.; Hancock, D.D.; Mealey, K.L. Survival Time, Lifespan, and Quality of Life in Dogs with Idiopathic Fanconi Syndrome. J. Am. Vet. Med. Assoc. 2004, 225, 377–383. [Google Scholar] [CrossRef]
- Freeman, L.M.; Breitschwerdt, E.B.; Keene, B.W.; Hansen, B. Fanconi’s Syndrome in a Dog with Primary Hypoparathyroidism. J. Vet. Intern. Med. 1994, 8, 349–354. [Google Scholar] [CrossRef] [PubMed]
- Settles, E.L.; Schmidt, D. Fanconi Syndrome in a Labrador Retriever. J. Vet. Intern. Med. 1994, 8, 390–393. [Google Scholar] [CrossRef]
- Appleman, E.H.; Cianciolo, R.; Mosenco, A.S.; Bounds, M.E.; Al-Ghazlat, S. Transient Acquired Fanconi Syndrome Associated with Copper Storage Hepatopathy in 3 Dogs. J. Vet. Intern. Med. 2008, 22, 1038–1042. [Google Scholar] [CrossRef]
- King, J.B. Proximal Tubular Nephropathy in Two Dogs Diagnosed with Lead Toxicity. Aust. Vet. J. 2016, 94, 280–284. [Google Scholar] [CrossRef]
- Yabuki, A.; Iwanaga, T.; Giger, U.; Sawa, M.; Kohyama, M.; Yamato, O. Acquired Fanconi Syndrome in Two Dogs Following Long-Term Consumption of Pet Jerky Treats in Japan: Case Report. J. Vet. Med. Sci. 2017, 79, 818–821. [Google Scholar] [CrossRef]
- Bommer, N.X.; Brownlie, S.E.; Morrison, L.R.; Chandler, M.L.; Simpson, J.W. Fanconi Syndrome in Irish Wolfhound Siblings. J. Am. Anim. Hosp. Assoc. 2018, 54, 173–178. [Google Scholar] [CrossRef]
- Ahn, J.-O.; Kim, S.-M.; Song, W.-J.; Ryu, M.-O.; Li, Q.; Chung, J.-Y.; Youn, H.-Y. Transient Fanconi Syndrome After Treatment with Firocoxib, Cefadroxil, Tramadol, and Famotidine in a Maltese. J. Am. Anim. Hosp. Assoc. 2019, 55, 323–327. [Google Scholar] [CrossRef] [PubMed]
- Takashima, S.; Nasu, T.; Ohata, K.; Oikawa, T.; Sugaya, T.; Kobatake, Y.; Shibata, S.; Nishii, N. Urinary Liver-Type Fatty Acid-Binding Protein in Two Dogs with Acquired Fanconi Syndrome: A Case Report. Open Vet. J. 2022, 12, 864–867. [Google Scholar] [CrossRef]
- Nybroe, S.; Bjornvad, C.R.; Hansen, C.F.H.; Andersen, T.S.L.; Kieler, I.N. Outcome of Acquired Fanconi Syndrome Associated with Ingestion of Jerky Treats in 30 Dogs. Animals 2022, 12, 3192. [Google Scholar] [CrossRef]
- Hooper, A.N.; Roberts, B.K. Fanconi Syndrome in Four Non-Basenji Dogs Exposed to Chicken Jerky Treats. J. Am. Anim. Hosp. Assoc. 2011, 47, e178–e187. [Google Scholar] [CrossRef]
- Major, A.; Schweighauser, A.; Hinden, S.E.; Francey, T. Transient Fanconi Syndrome with Severe Polyuria and Polydipsia in a 4-Year Old Shih Tzu Fed Chicken Jerky Treats. Schweiz. Arch. Tierheilkd. 2014, 156, 593–598. [Google Scholar] [CrossRef][Green Version]
- Hill, T.L.; Breitschwerdt, E.B.; Cecere, T.; Vaden, S. Concurrent Hepatic Copper Toxicosis and Fanconi’s Syndrome in a Dog. J. Vet. Intern. Med. 2008, 22, 219–222. [Google Scholar] [CrossRef]
- Preston, R.; Naylor, R.W.; Stewart, G.; Bierzynska, A.; Saleem, M.A.; Lowe, M.; Lennon, R. A Role for OCRL in Glomerular Function and Disease. Pediatr. Nephrol. 2020, 35, 641–648. [Google Scholar] [CrossRef] [PubMed]
- Sharari, S.; Abou-Alloul, M.; Hussain, K.; Ahmad Khan, F. Fanconi-Bickel Syndrome: A Review of the Mechanisms That Lead to Dysglycaemia. Int. J. Mol. Sci. 2020, 21, 6286. [Google Scholar] [CrossRef] [PubMed]
- Govers, L.P.; Toka, H.R.; Hariri, A.; Walsh, S.B.; Bockenhauer, D. Mitochondrial DNA Mutations in Renal Disease: An Overview. Pediatr. Nephrol. 2021, 36, 9–17. [Google Scholar] [CrossRef]
- Khandelwal, P.; Mahesh, V.; Mathur, V.P.; Raut, S.; Geetha, T.S.; Nair, S.; Hari, P.; Sinha, A.; Bagga, A. Phenotypic Variability in Distal Acidification Defects Associated with WDR72 Mutations. Pediatr. Nephrol. 2021, 36, 881–887. [Google Scholar] [CrossRef] [PubMed]
- Sheppard, S.E.; Barrett, B.; Muraresku, C.; McKnight, H.; De Leon, D.D.; Lord, K.; Ganetzky, R. Heterozygous Recurrent HNF4A Variant p.Arg85Trp Causes Fanconi Renotubular Syndrome 4 with Maturity Onset Diabetes of the Young, an Autosomal Dominant Phenocopy of Fanconi Bickel Syndrome with Colobomas. Am. J. Med. Genet. A 2021, 185, 566–570. [Google Scholar] [CrossRef] [PubMed]
- Duan, N.; Huang, C.; Pang, L.; Jiang, S.; Yang, W.; Li, H. Clinical Manifestation and Genetic Findings in Three Boys with Low Molecular Weight Proteinuria-Three Case Reports for Exploring Dent Disease and Fanconi Syndrome. BMC Nephrol. 2021, 22, 24. [Google Scholar] [CrossRef]
- Elsayed, A.K.; Al-Khawaga, S.; Hussain, K.; Abdelalim, E.M. An Induced Pluripotent Stem Cell Line Derived from a Patient with Neonatal Diabetes and Fanconi-Bickel Syndrome Caused by a Homozygous Mutation in the SLC2A2 Gene. Stem Cell Res. 2021, 54, 102433. [Google Scholar] [CrossRef]
- Grunert, S.C.; Schumann, A.; Baronio, F.; Tsiakas, K.; Murko, S.; Spiekerkoetter, U.; Santer, R. Evidence for a Genotype-Phenotype Correlation in Patients with Pathogenic GLUT2 (SLC2A2) Variants. Genes 2021, 12, 1785. [Google Scholar] [CrossRef] [PubMed]
- Kanako, K.-I.; Sakakibara, N.; Murayama, K.; Nagatani, K.; Murata, S.; Otake, A.; Koga, Y.; Suzuki, H.; Uehara, T.; Kosaki, K.; et al. BCS1L Mutations Produce Fanconi Syndrome with Developmental Disability. J. Hum. Genet. 2022, 67, 143–148. [Google Scholar] [CrossRef] [PubMed]
- Sharari, S.; Aouida, M.; Mohammed, I.; Haris, B.; Bhat, A.A.; Hawari, I.; Nisar, S.; Pavlovski, I.; Biswas, K.H.; Syed, N.; et al. Understanding the Mechanism of Dysglycemia in a Fanconi-Bickel Syndrome Patient. Front. Endocrinol. 2022, 13, 841788. [Google Scholar] [CrossRef]
- Agakidou, E.; Agakidis, C.; Kambouris, M.; Printza, N.; Farini, M.; Vourda, E.; Gerou, S.; Sarafidis, K. A Novel Mutation of VPS33B Gene Associated with Incomplete Arthrogryposis-Renal Dysfunction-Cholestasis Phenotype. Case Rep. Genet. 2020, 2020, 8872294. [Google Scholar] [CrossRef] [PubMed]
- Forst, A.-L.; Reichold, M.; Kleta, R.; Warth, R. Distinct Mitochondrial Pathologies Caused by Mutations of the Proximal Tubular Enzymes EHHADH and GATM. Front. Physiol. 2021, 12, 715485. [Google Scholar] [CrossRef]
- Guan, Y.-J.; Guo, Y.-N.; Peng, W.-T.; Liu, L.-L. Case Report: Cystinosis in a Chinese Child With a Novel CTNS Pathogenic Variant. Front. Pediatr. 2022, 10, 860990. [Google Scholar] [CrossRef]
- Kudo, H.; Suzuki, R.; Kondo, A.; Nozu, K.; Nakamura, Y.; Mikami, H.; Soma, J.; Nakaya, I. Association of Familial Fanconi Syndrome with a Novel GATM Variant. Tohoku J. Exp. Med. 2023, 260, 337–340. [Google Scholar] [CrossRef] [PubMed]
- Sivaji, V.; Raju, P.; Marimuthu, S.; Sundar, S. Familial Renal Glycosuria Identified in an Indian Family. BMJ Case Rep. 2024, 17, e258408. [Google Scholar] [CrossRef] [PubMed]
- Saiteja, P.; Krishnamurthy, S.; Deepthi, B.; Krishnasamy, S.; Sravani, M. Distal Renal Tubular Acidosis as Presenting Manifestation of Wilson Disease in a 11-Year-Old Girl. CEN Case Rep. 2024, 13, 93–97. [Google Scholar] [CrossRef] [PubMed]
- Katz, M.L.; Khan, S.; Awano, T.; Shahid, S.A.; Siakotos, A.N.; Johnson, G.S. A Mutation in the CLN8 Gene in English Setter Dogs with Neuronal Ceroid-Lipofuscinosis. Biochem. Biophys. Res. Commun. 2005, 327, 541–547. [Google Scholar] [CrossRef]
- Airik, M.; Arbore, H.; Childs, E.; Huynh, A.B.; Phua, Y.L.; Chen, C.W.; Aird, K.; Bharathi, S.; Zhang, B.; Conlon, P.; et al. Mitochondrial ROS Triggers KIN Pathogenesis in FAN1-Deficient Kidneys. Antioxidants 2023, 12, 900. [Google Scholar] [CrossRef]
- Airik, M.; Phua, Y.L.; Huynh, A.B.; McCourt, B.T.; Rush, B.M.; Tan, R.J.; Vockley, J.; Murray, S.L.; Dorman, A.; Conlon, P.J.; et al. Persistent DNA Damage Underlies Tubular Cell Polyploidization and Progression to Chronic Kidney Disease in Kidneys Deficient in the DNA Repair Protein FAN1. Kidney Int. 2022, 102, 1042–1056. [Google Scholar] [CrossRef]
- Csaszar, I.; Kalmar, T.; Maroti, Z.; Aved, J.; Szederkenyi, E.; Zombori, J.; Pankotai-Bodo, G.; Turkevi-Nagy, S.; Ivanyi, B. Phenotypic and Genotypic Features of the FAN1 Mutation-Related Disease in a Large Hungarian Family. Int. J. Mol. Sci. 2024, 25, 5907. [Google Scholar] [CrossRef]
- Nagase, T.; Ishikawa, K.; Suyama, M.; Kikuno, R.; Hirosawa, M.; Miyajima, N.; Tanaka, A.; Kotani, H.; Nomura, N.; Ohara, O. Prediction of the Coding Sequences of Unidentified Human Genes. XIII. The Complete Sequences of 100 New CDNA Clones from Brain Which Code for Large Proteins in Vitro. DNA Res. 1999, 6, 63–70. [Google Scholar] [CrossRef][Green Version]
- Alonso, A.; Sasin, J.; Bottini, N.; Friedberg, I.; Friedberg, I.; Osterman, A.; Godzik, A.; Hunter, T.; Dixon, J.; Mustelin, T. Protein Tyrosine Phosphatases in the Human Genome. Cell 2004, 117, 699–711. [Google Scholar] [CrossRef]
- Azzedine, H.; Bolino, A.; Taieb, T.; Birouk, N.; Di Duca, M.; Bouhouche, A.; Benamou, S.; Mrabet, A.; Hammadouche, T.; Chkili, T.; et al. Mutations in MTMR13, a New Pseudophosphatase Homologue of MTMR2 and Sbf1, in Two Families with an Autosomal Recessive Demyelinating Form of Charcot-Marie-Tooth Disease Associated with Early-Onset Glaucoma. Am. J. Hum. Genet. 2003, 72, 1141–1153. [Google Scholar] [CrossRef]
- Yoshikiyo, K.; Kratz, K.; Hirota, K.; Nishihara, K.; Takata, M.; Kurumizaka, H.; Horimoto, S.; Takeda, S.; Jiricny, J. KIAA1018/FAN1 Nuclease Protects Cells against Genomic Instability Induced by Interstrand Cross-Linking Agents. Proc. Natl. Acad. Sci. USA 2010, 107, 21553–21557. [Google Scholar] [CrossRef] [PubMed]
- Liu, T.; Ghosal, G.; Yuan, J.; Chen, J.; Huang, J. FAN1 Acts with FANCI-FANCD2 to Promote DNA Interstrand Cross-Link Repair. Science 2010, 329, 693–696. [Google Scholar] [CrossRef]
- MacKay, C.; Declais, A.-C.; Lundin, C.; Agostinho, A.; Deans, A.J.; MacArtney, T.J.; Hofmann, K.; Gartner, A.; West, S.C.; Helleday, T.; et al. Identification of KIAA1018/FAN1, a DNA Repair Nuclease Recruited to DNA Damage by Monoubiquitinated FANCD2. Cell 2010, 142, 65–76. [Google Scholar] [CrossRef]
- Smogorzewska, A.; Desetty, R.; Saito, T.T.; Schlabach, M.; Lach, F.P.; Sowa, M.E.; Clark, A.B.; Kunkel, T.A.; Harper, J.W.; Colaiacovo, M.P.; et al. A Genetic Screen Identifies FAN1, a Fanconi Anemia-Associated Nuclease Necessary for DNA Interstrand Crosslink Repair. Mol. Cell 2010, 39, 36–47. [Google Scholar] [CrossRef] [PubMed]
- Kratz, K.; Schopf, B.; Kaden, S.; Sendoel, A.; Eberhard, R.; Lademann, C.; Cannavo, E.; Sartori, A.A.; Hengartner, M.O.; Jiricny, J. Deficiency of FANCD2-Associated Nuclease KIAA1018/FAN1 Sensitizes Cells to Interstrand Crosslinking Agents. Cell 2010, 142, 77–88. [Google Scholar] [CrossRef] [PubMed]
- Jin, H.; Cho, Y. Structural and Functional Relationships of FAN1. DNA Repair. 2017, 56, 135–143. [Google Scholar] [CrossRef]
- Thongthip, S.; Bellani, M.; Gregg, S.Q.; Sridhar, S.; Conti, B.A.; Chen, Y.; Seidman, M.M.; Smogorzewska, A. Fan1 Deficiency Results in DNA Interstrand Cross-Link Repair Defects, Enhanced Tissue Karyomegaly, and Organ Dysfunction. Genes Dev. 2016, 30, 645–659. [Google Scholar] [CrossRef]
- Hoover, A.; Turcotte, L.M.; Phelan, R.; Barbus, C.; Rayannavar, A.; Miller, B.S.; Reardon, E.E.; Theis-Mahon, N.; MacMillan, M.L. Longitudinal Clinical Manifestations of Fanconi Anemia: A Systematized Review. Blood Rev. 2024, 68, 101225. [Google Scholar] [CrossRef]
- Woo, A.Y.-H.; Jia, L. ALDH2 Mutations and Defense against Genotoxic Aldehydes in Cancer and Inherited Bone Marrow Failure Syndromes. Mutat. Res. 2024, 829, 111870. [Google Scholar] [CrossRef]
- Parsa, F.G.; Nobili, S.; Karimpour, M.; Aghdaei, H.A.; Nazemalhosseini-Mojarad, E.; Mini, E. Fanconi Anemia Pathway in Colorectal Cancer: A Novel Opportunity for Diagnosis, Prognosis and Therapy. J. Pers. Med. 2022, 12, 396. [Google Scholar] [CrossRef]
- Mehta, P.A.; Ebens, C. Fanconi Anemia. In GeneReviews® [Internet]; University of Washington: Seattle, WA, USA, 1993. [Google Scholar]
- Gwon, G.H.; Kim, Y.; Liu, Y.; Watson, A.T.; Jo, A.; Etheridge, T.J.; Yuan, F.; Zhang, Y.; Kim, Y.; Carr, A.M.; et al. Crystal Structure of a Fanconi Anemia-Associated Nuclease Homolog Bound to 5’ Flap DNA: Basis of Interstrand Cross-Link Repair by FAN1. Genes. Dev. 2014, 28, 2276–2290. [Google Scholar] [CrossRef]
- Zhang, J.; Walter, J.C. Mechanism and Regulation of Incisions during DNA Interstrand Cross-Link Repair. DNA Repair. 2014, 19, 135–142. [Google Scholar] [CrossRef]
- Jin, H.; Roy, U.; Lee, G.; Scharer, O.D.; Cho, Y. Structural Mechanism of DNA Interstrand Cross-Link Unhooking by the Bacterial FAN1 Nuclease. J. Biol. Chem. 2018, 293, 6482–6496. [Google Scholar] [CrossRef]
- Johri, N.; Jacquillet, G.; Unwin, R. Heavy Metal Poisoning: The Effects of Cadmium on the Kidney. Biometals 2010, 23, 783–792. [Google Scholar] [CrossRef]
- Bautista, C.J.; Arango, N.; Plata, C.; Mitre-Aguilar, I.B.; Trujillo, J.; Ramirez, V. Mechanism of Cadmium-induced Nephrotoxicity. Toxicology 2024, 502, 153726. [Google Scholar] [CrossRef]
- Chakraborty, S.; Dutta, A.R.; Sural, S.; Gupta, D.; Sen, S. Ailing Bones and Failing Kidneys: A Case of Chronic Cadmium Toxicity. Ann. Clin. Biochem. 2013, 50, 492–495. [Google Scholar] [CrossRef] [PubMed]
- Senthilnathan, S.; Nallusamy, G.; Varadaraj, P. An Interesting Case of Acquired Renal Fanconi Syndrome. Cureus 2024, 16, e65208. [Google Scholar] [CrossRef] [PubMed]
- Sheridan, R.; Mirabile, J.; Hafler, K. Determination of Six Illegal Antibiotics in Chicken Jerky Dog Treats. J. Agric. Food Chem. 2014, 62, 3690–3696. [Google Scholar] [CrossRef] [PubMed]
- Pal, S.; Kim, J.Y.; Park, S.H.; Lim, H.B.; Lee, K.-H.; Song, J.M. Quantitative Classification of DNA Damages Induced by Submicromolar Cadmium Using Oligonucleotide Chip Coupled with Lesion-Specific Endonuclease Digestion. Environ. Sci. Technol. 2011, 45, 4460–4467. [Google Scholar] [CrossRef]
- Wang, Y.; Fang, J.; Leonard, S.S.; Rao, K.M.K. Cadmium Inhibits the Electron Transfer Chain and Induces Reactive Oxygen Species. Free Radic. Biol. Med. 2004, 36, 1434–1443. [Google Scholar] [CrossRef]
- Thevenod, F.; Friedmann, J.M.; Katsen, A.D.; Hauser, I.A. Up-Regulation of Multidrug Resistance P-Glycoprotein via Nuclear Factor-KappaB Activation Protects Kidney Proximal Tubule Cells from Cadmium- and Reactive Oxygen Species-Induced Apoptosis. J. Biol. Chem. 2000, 275, 1887–1896. [Google Scholar] [CrossRef] [PubMed]
- Tzirogiannis, K.N.; Panoutsopoulos, G.I.; Demonakou, M.D.; Hereti, R.I.; Alexandropoulou, K.N.; Basayannis, A.C.; Mykoniatis, M.G. Time-Course of Cadmium-Induced Acute Hepatotoxicity in the Rat Liver: The Role of Apoptosis. Arch. Toxicol. 2003, 77, 694–701. [Google Scholar] [CrossRef] [PubMed]







| Target | Forward Primer Sequence/Reverse Primer Sequence | Amplicon Size (bp) |
|---|---|---|
| exon 5 to 7 | CCTAGGTACACCATCAATCGGAA/ACAGTCCGAGACAAAATCCTT | 269 |
| exon 12 to exon 14 | CAGGCCCAGGAAGGCAGA/CACGTGGCAGACTTCTACTTCGG | 300 |
| exon 12 to intron 13 | CAGGCCCAGGAAGGCAGA/AACACAATTATCAGAGAAAAAGCGT | 245 |
| exon 13 to 3′UTR | CTGGCTGTGGACTTCCGACA/CTTAACTGGAAACATTGGGTGTG | 244 |
| Phenotype | Del/Del | Genotypes Del/Wt | Wt/Wt | Total |
|---|---|---|---|---|
| FS-affected | 32 | 0 | 0 | 32 |
| FS-unaffected | 1 | 33 | 12 | 46 |
| Total | 33 | 33 | 12 | 78 |
Disclaimer/Publisher’s Note: The statements, opinions and data contained in all publications are solely those of the individual author(s) and contributor(s) and not of MDPI and/or the editor(s). MDPI and/or the editor(s) disclaim responsibility for any injury to people or property resulting from any ideas, methods, instructions or products referred to in the content. |
© 2024 by the authors. Licensee MDPI, Basel, Switzerland. This article is an open access article distributed under the terms and conditions of the Creative Commons Attribution (CC BY) license (https://creativecommons.org/licenses/by/4.0/).
Share and Cite
Farias, F.H.G.; Mhlanga-Mutangadura, T.; Guo, J.; Hansen, L.; Johnson, G.S.; Katz, M.L. FAN1 Deletion Variant in Basenji Dogs with Fanconi Syndrome. Genes 2024, 15, 1469. https://doi.org/10.3390/genes15111469
Farias FHG, Mhlanga-Mutangadura T, Guo J, Hansen L, Johnson GS, Katz ML. FAN1 Deletion Variant in Basenji Dogs with Fanconi Syndrome. Genes. 2024; 15(11):1469. https://doi.org/10.3390/genes15111469
Chicago/Turabian StyleFarias, Fabiana H. G., Tendai Mhlanga-Mutangadura, Juyuan Guo, Liz Hansen, Gary S. Johnson, and Martin L. Katz. 2024. "FAN1 Deletion Variant in Basenji Dogs with Fanconi Syndrome" Genes 15, no. 11: 1469. https://doi.org/10.3390/genes15111469
APA StyleFarias, F. H. G., Mhlanga-Mutangadura, T., Guo, J., Hansen, L., Johnson, G. S., & Katz, M. L. (2024). FAN1 Deletion Variant in Basenji Dogs with Fanconi Syndrome. Genes, 15(11), 1469. https://doi.org/10.3390/genes15111469

