GDP-Mannose Pyrophosphorylase B (GMPPB)-Related Disorders
Abstract
1. Introduction
2. GDP-Mannose Pyrophosphorylase B (GMPPB) and Its Association with α-Dystroglycan (α-DG)
3. Gene and Mutations
4. Prevalence
5. Clinical Phenotype and Creatine Kinase Levels
5.1. LGMD
5.2. CMD
5.3. CMS
5.4. Creatine Kinase (CK) Levels
6. Electrophysiologic Findings
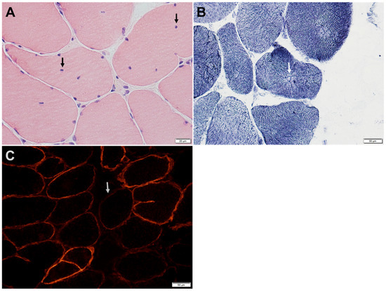
7. Muscle Biopsy Findings
8. Muscle MRI Findings
9. In Vitro Muscle Analysis
10. Genotype–Phenotype Correlation
11. Treatment
12. Conclusions
Author Contributions
Funding
Institutional Review Board Statement
Informed Consent Statement
Conflicts of Interest
References
- Kanagawa, M. Dystroglycanopathy: From Elucidation of Molecular and Pathological Mechanisms to Development of Treatment Methods. Int. J. Mol. Sci. 2021, 22, 13162. [Google Scholar] [CrossRef] [PubMed]
- Hara, Y.; Balci-Hayta, B.; Yoshida-Moriguchi, T.; Kanagawa, M.; de Bernabé, D.B.-V.; Gündeşli, H.; Willer, T.; Satz, J.S.; Crawford, R.W.; Burden, S.J.; et al. A Dystroglycan Mutation Associated with Limb-Girdle Muscular Dystrophy. N. Engl. J. Med. 2011, 364, 939–946. [Google Scholar] [CrossRef] [PubMed]
- Mercuri, E.; Bönnemann, C.G.; Muntoni, F. Muscular dystrophies. Lancet 2019, 394, 2025–2038. [Google Scholar] [CrossRef]
- Muntoni, F.; Brockington, M.; Blake, D.J.; Torelli, S.; Brown, S. Defective glycosylation in muscular dystrophy. Lancet 2002, 360, 1419–1421. [Google Scholar] [CrossRef]
- Yoshida-Moriguchi, T.; Yu, L.; Stalnaker, S.H.; Davis, S.; Kunz, S.; Madson, M.; Oldstone, M.B.A.; Schachter, H.; Wells, L.; Campbell, K.P. O-Mannosyl Phosphorylation of Alpha-Dystroglycan Is Required for Laminin Binding. Science 2010, 327, 88–92. [Google Scholar] [CrossRef]
- Carss, K.J.; Stevens, E.; Foley, A.R.; Cirak, S.; Riemersma, M.; Torelli, S.; Hoischen, A.; Willer, T.; van Scherpenzeel, M.; Moore, S.A.; et al. Mutations in GDP-Mannose Pyrophosphorylase B Cause Congenital and Limb-Girdle Muscular Dystrophies Associated with Hypoglycosylation of α-Dystroglycan. Am. J. Hum. Genet. 2013, 93, 29–41. [Google Scholar] [CrossRef] [PubMed]
- Panicucci, C.; Fiorillo, C.; Moro, F.; Astrea, G.; Brisca, G.; Trucco, F.; Pedemonte, M.; Lanteri, P.; Sciarretta, L.; Minetti, C.; et al. Mutations in GMPPB Presenting with Pseudometabolic Myopathy. JIMD Rep. 2018, 38, 23–31. [Google Scholar] [CrossRef]
- Belaya, K.; Cruz, P.M.R.; Liu, W.W.; Maxwell, S.; McGowan, S.; Farrugia, M.E.; Petty, R.; Walls, T.J.; Sedghi, M.; Basiri, K.; et al. Mutations in GMPPB cause congenital myasthenic syndrome and bridge my-asthenic disorders with dystroglycanopathies. Brain 2015, 138, 2493–2504. [Google Scholar] [CrossRef]
- Nicolau, S.; Liewluck, T.; Shen, X.-M.; Selcen, D.; Engel, A.G.; Milone, M. A homozygous mutation in GMPPB leads to centronuclear myopathy with combined pre- and postsynaptic defects of neuromuscular transmission. Neuromuscul. Disord. 2019, 29, 614–617. [Google Scholar] [CrossRef]
- Cruz, P.R.; Belaya, K.; Basiri, K.; Sedghi, M.; Farrugia, M.E.; Holton, J.; Liu, W.W.; Maxwell, S.; Petty, R.; Walls, T.; et al. Clinical features of the myasthenic syndrome arising from mutations in GMPPB. J. Neurol. Neurosurg. Psychiatry 2016, 87, 802–809. [Google Scholar] [CrossRef]
- Maeda, Y.; Kinoshita, T. Dolichol-phosphate mannose synthase: Structure, function and regulation. Biochim. Biophys. Acta-Gen. Subj. 2008, 1780, 861–868. [Google Scholar] [CrossRef] [PubMed]
- Michele, D.E.; Barresi, R.; Kanagawa, M.; Saito, F.; Cohn, R.D.; Satz, J.S.; Dollar, J.; Nishino, I.; Kelley, R.I.; Somer, H.; et al. Post-translational disruption of dystroglycan—Ligand interactions in congenital muscular dystrophies. Nature 2002, 418, 417–421. [Google Scholar] [CrossRef] [PubMed]
- Taniguchi-Ikeda, M.; Morioka, I.; Iijima, K.; Toda, T. Mechanistic aspects of the formation of α-dystroglycan and therapeutic re-search for the treatment of α-dystroglycanopathy: A review. Mol. Asp. Med. 2016, 51, 115–124. [Google Scholar] [CrossRef] [PubMed]
- De Bernabé, D.B.-V.; Currier, S.; Steinbrecher, A.; Celli, J.; van Beusekom, E.; van der Zwaag, B.; Kayserili, H.; Merlini, L.; Chitayat, D.; Dobyns, W.B.; et al. Mutations in the O-mannosyltransferase gene POMT1 give rise to the severe neuronal migration disorder Walker-Warburg syndrome. Am. J. Hum. Genet. 2002, 71, 1033–1043. [Google Scholar] [CrossRef]
- Van Reeuwijk, J.; Janssen, M.; van den Elzen, C.; de Bernabé, B.-V.; Sabatelli, P.; Merlini, L.; Boon, M.; Scheffer, H.; Brockington, M.; Muntoni, F.; et al. POMT2 mutations cause alpha-dystroglycan hypoglycosylation and Walker-Warburg syndrome. J. Med. Genet. 2005, 42, 907–912. [Google Scholar] [CrossRef]
- Yoshida, A.; Kobayashi, K.; Manya, H.; Taniguchi, K.; Kano, H.; Mizuno, M.; Inazu, T.; Mitsuhashi, H.; Takahashi, S.; Takeuchi, M.; et al. Muscular Dystrophy and Neuronal Migration Disorder Caused by Mutations in a Glycosyltransferase, POMGnT1. Dev. Cell 2001, 1, 717–724. [Google Scholar] [CrossRef]
- Barone, R.; Aiello, C.; Race, V.; Morava, E.; Foulquier, F.; Riemersma, M.; Passarelli, C.; Concolino, D.; Carella, M.; Santorelli, F.; et al. DPM2-CDG: A muscular dystrophy-dystroglycanopathy syndrome with severe epilepsy. Ann. Neurol. 2012, 72, 550–558. [Google Scholar] [CrossRef]
- Lefeber, D.J.; Schönberger, J.; Morava, E.; Guillard, M.; Huyben, K.M.; Verrijp, K.; Grafakou, O.; Evangeliou, A.; Preijers, F.W.; Manta, P.; et al. Deficiency of Dol-P-Man Synthase Subunit DPM3 Bridges the Congenital Disorders of Glycosylation with the Dystroglycanopathies. Am. J. Hum. Genet. 2009, 85, 76–86. [Google Scholar] [CrossRef]
- Lefeber, D.J.; de Brouwer, A.P.M.; Morava, E.; Riemersma, M.; Schuurs-Hoeijmakers, J.H.M.; Absmanner, B.; Verrijp, K.; Akker, W.M.R.V.D.; Huijben, K.; Steenbergen, G.; et al. Autosomal Recessive Dilated Cardiomyopathy due to DOLK Mutations Results from Abnormal Dystroglycan O-Mannosylation. PLoS Genet. 2011, 7, e1002427. [Google Scholar] [CrossRef]
- Astrea, G.; Network, T.I.C.; Romano, A.; Angelini, C.; Antozzi, C.G.; Barresi, R.; Battini, R.; Battisti, C.; Bertini, E.; Bruno, C.; et al. Broad phenotypic spectrum and genotype-phenotype correlations in GMPPB-related dystroglycanopathies: An Italian cross-sectional study. Orphanet J. Rare Dis. 2018, 13, 170. [Google Scholar] [CrossRef]
- Sarkozy, A.; Torelli, S.; Mein, R.; Henderson, M.; Phadke, R.; Feng, L.; Sewry, C.; Ala, P.; Yau, M.; Bertoli, M.; et al. Mobility shift of beta-dystroglycan as a marker of GMPPB gene-related muscular dystrophy. J. Neurol. Neurosurg. Psychiatry 2018, 89, 762–768. [Google Scholar] [CrossRef] [PubMed]
- Jensen, B.S.; Willer, T.; Saade, D.N.; Cox, M.O.; Mozaffar, T.; Scavina, M.; Stefans, V.A.; Winder, T.L.; Campbell, K.P.; Moore, S.A.; et al. GMPPB-Associated Dystroglycanopathy: Emerging Common Variants with Phenotype Correlation. Hum. Mutat. 2015, 36, 1159–1163. [Google Scholar] [CrossRef] [PubMed]
- Krenn, M.; Sener, M.; Rath, J.; Zulehner, G.; Keritam, O.; Wagner, M.; Laccone, F.; Iglseder, S.; Marte, S.; Baumgartner, M.; et al. The clinical and molecular landscape of congenital myasthenic syndromes in Austria: A na-tionwide study. J. Neurol. 2022, 270, 909–916. [Google Scholar] [CrossRef] [PubMed]
- Cabrera-Serrano, M.; Ghaoui, R.; Ravenscroft, G.; Johnsen, R.D.; Davis, M.R.; Corbett, A.; Reddel, S.; Sue, C.M.; Liang, C.; Waddell, L.B.; et al. Expanding the phenotype of GMPPB mutations. Brain 2015, 138, 836–844. [Google Scholar] [CrossRef]
- Oestergaard, S.; Stojkovic, T.; Dahlqvist, J.; Bouchet-Seraphin, C.; Nectoux, J.; Leturcq, F.; Cossée, M.; Solé, G.; Thomsen, C.; Krag, T.; et al. Muscle involvement in limb-girdle muscular dystrophy with GMPPB deficiency (LGMD2T). Neurol. Genet. 2016, 2, e112. [Google Scholar] [CrossRef]
- Montagnese, F.; Klupp, E.; Karampinos, D.C.; Biskup, S.; Gläser, D.; Kirschke, J.S.; Schoser, B. Two patients with GMPPB mutation: The overlapping phenotypes of limb-girdle myasthenic syndrome and limb-girdle muscular dystrophy dystroglycanopathy. Muscle Nerve 2017, 56, 334–340. [Google Scholar] [CrossRef]
- Bharucha-Goebel, D.X.; Neil, E.; Donkervoort, S.; Dastgir, J.; Wiggs, E.; Winder, T.L.; Moore, S.A.; Iannaccone, S.T.; Bönnemann, C.G. Intrafamilial variability in GMPPB-associated dystroglycanopathy: Broadening of the phenotype. Neurology 2015, 84, 1495–1497. [Google Scholar] [CrossRef]
- Balcin, H.; Palmio, J.; Penttilä, S.; Nennesmo, I.; Lindfors, M.; Lindfors, M.; Udd, B. Late-onset limb-girdle muscular dystrophy caused by GMPPB mutations. Neuromuscul. Disord. 2017, 27, 627–630. [Google Scholar] [CrossRef]
- Gonzalez-Perez, P.; Smith, C.; Sebetka, W.L.; Gedlinske, A.; Perlman, S.; Mathews, K.D. Clinical and electrophysiological evaluation of myasthenic features in an alpha-dystroglycanopathy cohort (FKRP-predominant). Neuromuscul. Disord. 2020, 30, 213–218. [Google Scholar] [CrossRef]
- Liu, Z.; Wang, Y.; Yang, F.; Yang, Q.; Mo, X.; Burstein, E.; Da Jia, D.; Cai, X.-T.; Tu, Y. GMPPB-congenital disorders of glycosylation associate with decreased enzymatic activity of GMPPB. Mol. Biomed. 2021, 2, 13. [Google Scholar] [CrossRef]
- Sun, L.; Shen, D.; Xiong, T.; Zhou, Z.; Lu, X.; Cui, F. Limb-girdle muscular dystrophy due to GMPPB mutations: A case report and comprehensive literature review. Bosn. J. Basic Med. Sci. 2020, 20, 275–280. [Google Scholar] [CrossRef] [PubMed]
- Song, D.; Dai, Y.; Chen, X.; Fu, X.; Chang, X.; Wang, N.; Zhang, C.; Yan, C.; Zheng, H.; Wu, L.; et al. Genetic variations and clinical spectrum of dystroglycanopathy in a large cohort of Chinese patients. Clin. Genet. 2021, 99, 384–395. [Google Scholar] [CrossRef] [PubMed]
- Fecarotta, S.; Gragnaniello, V.; Della Casa, R.; Romano, A.; Raiano, E.; Torella, A.; Savarese, M.; Nigro, V.; Strisciuglio, P.; Andria, G.; et al. Steroid therapy in an alpha-dystroglycanopathy due to GMPPB gene mutations: A case report. Neuromuscul. Disord. 2018, 28, 956–960. [Google Scholar] [CrossRef] [PubMed]
- Benito, D.N.-d.; Töpf, A.; Vilchez, J.J.; González-Quereda, L.; Domínguez-Carral, J.; Díaz-Manera, J.; Ortez, C.; Bestué, M.; Abicht, A.; Müller, J.; et al. Molecular characterization of congenital myasthenic syndromes in Spain. Neuromuscul. Disord. 2017, 27, 1087–1098. [Google Scholar] [CrossRef] [PubMed]
- Bobadilla-Quesada, E.J.; Benito, D.N.-d.; Carrera-García, L.; Ortez, C.; Exposito-Escudero, J.; Jimenez-Mallebrera, C.; Jou, C.; Codina, A.; Corbera, J.; Moya, O.; et al. Early and long-term effect of the treatment with pyri-dostigmine in patients with GMPPB-related congenital myasthenic syndrome. Neuromuscul. Disord. 2020, 30, 719–726. [Google Scholar] [CrossRef]
- Raphael, A.R.; Couthouis, J.; Sakamuri, S.; Siskind, C.; Vogel, H.; Day, J.W.; Gitler, A.D. Congenital muscular dystrophy and generalized epilepsy caused by GMPPB mutations. Brain Res. 2014, 1575, 66–71. [Google Scholar] [CrossRef]
- Tian, W.; Zhou, H.; Zhan, F.; Zhu, Z.; Yang, J.; Chen, S.; Luan, X.; Cao, L. Lysosomal degradation of GMPPB is associated with limb-girdle muscular dystrophy type 2T. Ann. Clin. Transl. Neurol. 2019, 6, 1062–1071. [Google Scholar] [CrossRef]
- Luo, S.; Cai, S.; Maxwell, S.; Yue, D.; Zhu, W.; Qiao, K.; Zhu, Z.; Zhou, L.; Xi, J.; Lu, J.; et al. Novel mutations in the C-terminal region of GMPPB causing limb-girdle muscular dystrophy overlapping with congenital myasthenic syndrome. Neuromuscul. Disord. 2017, 27, 557–564. [Google Scholar] [CrossRef]
- Polavarapu, K.; Mathur, A.; Joshi, A.; Nashi, S.; Preethish-Kumar, V.; Bardhan, M.; Sharma, P.; Parveen, S.; Seth, M.; Vengalil, S.; et al. A founder mutation in the GMPPB gene [c.1000G > A (p.Asp334Asn)] causes a mild form of limb-girdle muscular dystrophy/congenital myasthenic syndrome (LGMD/CMS) in South Indian patients. Neurogenetics 2021, 22, 271–285. [Google Scholar] [CrossRef]
- Zhao, Y.; Li, Y.; Bian, Y.; Yao, S.; Liu, P.; Yu, M.; Zhang, W.; Wang, Z.; Yuan, Y. Congenital myasthenic syndrome in China: Genetic and myopathological characterization. Ann. Clin. Transl. Neurol. 2021, 8, 898–907. [Google Scholar] [CrossRef]
- Graziano, A.; Bianco, F.; D’Amico, A.; Moroni, I.; Messina, S.; Bruno, C.; Pegoraro, E.; Mora, M.; Astrea, G.; Magri, F.; et al. Prevalence of congenital muscular dystrophy in Italy: A population study. Neurology 2015, 84, 904–911. [Google Scholar] [CrossRef] [PubMed]
- Sframeli, M.; Sarkozy, A.; Bertoli, M.; Astrea, G.; Hudson, J.; Scoto, M.; Mein, R.; Yau, M.; Phadke, R.; Feng, L.; et al. Congenital muscular dystrophies in the UK population: Clinical and molecular spectrum of a large cohort diagnosed over a 12-year period. Neuromuscul. Disord. 2017, 27, 793–803. [Google Scholar] [CrossRef] [PubMed]
- Gehle, V.M.; Walcott, E.C.; Nishizaki, T.; Sumikawa, K. N-Glycosylation at the conserved sites ensures the expression of properly folded functional ACh receptors. Mol. Brain Res. 1997, 45, 219–229. [Google Scholar] [CrossRef] [PubMed]
- Bogdanik, L.P.; Burgess, R.W. A valid mouse model of AGRIN-associated congenital myasthenic syndrome. Hum. Mol. Genet. 2011, 20, 4617–4633. [Google Scholar] [CrossRef] [PubMed]
- Nicole, S.; Chaouch, A.; Torbergsen, T.; Bauché, S.; De Bruyckere, E.; Fontenille, M.-J.; Horn, M.A.; Van Ghelue, M.; Løseth, S.; Issop, Y.; et al. Agrin mutations lead to a congenital myasthenic syndrome with distal muscle weakness and atrophy. Brain 2014, 137, 2429–2443. [Google Scholar] [CrossRef] [PubMed]




| Domain | Mutation, DNA | Mutation, Protein | Reported Phenotypes | Reported Involvement of NMJ | Number of Patients/Families | References |
|---|---|---|---|---|---|---|
| N-terminal nucleotidyl transferase domain (2-235aa) | c.64C>T | p.Pro22Ser | CMD | 2/2 | [6,8] | |
| c.79G>C | p.Asp27His | LGMD | Yes | 38/31 | [6,7,8,10,20,21,22,23,24,25,26,27,28,29] | |
| c.87C>A | p.Cys29* | LGMD | 1/1 | [21] | ||
| c.91A>G | p.Lys31Glu | CMD | 1/1 | [20] | ||
| c.94C>T | p.Pro32Ser | CMD | 1/1 | [22] | ||
| c.95C>T | p.Pro32Leu | LGMD, CMD | 9/8 | [6,20,21,24] | ||
| c.130-3C>G | Splicing | LGMD | Yes | 1/1 | [8,10] | |
| c.220C>T | p.Arg74* | CMD | 1/1 | [6] | ||
| c.308C>T | p.Pro103Leu | LGMD | Yes | 3/1 | [8,10] | |
| c.332T>G | p.Val111Gly | CMD | 1/1 | [30] | ||
| c.338G>A | p.Cys113Tyr | LGMD | 1/1 | [21] | ||
| c.346C>T | p.Pro116Ser | LGMD | 1/1 | [31] | ||
| c.391G>T | p.Gly131Cys | CMD, LGMD | 1/1 | [32] | ||
| c.395C>G | p.Ser132Cys | CMD | 1/1 | [22] | ||
| c.402+1G>A | Splicing | LGMD | Yes | 2/2 | [22,29] | |
| c.458C>T | p.Thr153Ile | LGMD, CMD Recurrent rhabdomyolysis | Yes | 5/4 | [9,20,24,33] | |
| c.464G>A | p.Arg155His | LGMD | 1/1 | [25] | ||
| c.503C>T | p.Ser168Phe | LGMD | 1/1 | [20] | ||
| c.520G>A | p.Gly174Ser | CMD | 1/1 | [20] | ||
| c.553C>T | p.Arg185Cys | CMD, LGMD | Yes | 7/5 | [6,31,34,35] | |
| c.559C>T | p.Gln187* | CMD | Yes | 1/1 | [8,10] | |
| c.578T>C | p.Ile193Thr | CMD | Yes | 1/1 | [8,10] | |
| c.640G>A | p.Gly214Ser | CMD | 1/1 | [30] | ||
| c.656T>C | p.Ile219Thr | CMD (epilepsy) | 6/5 | [8,20,22,36] | ||
| c.658G>C | p.Gly220Arg | LGMD | 1/1 | [20] | ||
| c.700C>T | p.Gln234* | CMD, LGMD | 4/3 | [20,33] | ||
| Inter-domain | c.721C>T | p.Pro241Ser | LGMD, ID | 1/1 | [22] | |
| c.727C>T | p.Arg243Trp | LGMD | 2/2 | [20,21] | ||
| c.754G>T | p.Gly252Cys | LGMD | 1/1 | [21] | ||
| c.760G>A | p.Val254Met | LGMD | Yes | 4/4 | [8,10,22,25,29] | |
| LbH domain (259-294aa) | c.781C>T | p.Arg261Cys | LGMD | Yes | 1/1 | [8,10] |
| c.790C>T | p.Gln264* | LGMD, ID, epilepsy | 3/1 | [27] | ||
| c.797G>A | p.Cys266Tyr | LGMD (respiratory involvement at 70) | 2/1 | [24] | ||
| c.803T>C | p.Ile268Thr | LGMD | Yes | 1/1 | [37] | |
| c.810_813delCAATinsTGGC | p.Asn271Gly | CMD | 4/3 | [21] | ||
| c.841G>A | p.Glu281Gln | LGMD | 1/1 | [21] | ||
| c.854_855delGT | p.Cys285Tyrfs*19 | LGMD | 1/1 | [20] | ||
| c.859C>T | p.Arg287Trp | LGMD, Exercise intolerance, CMD | Yes | 10/9 | [8,10,20,21,22,25,26,28,29] | |
| c.860G>A | p.Arg287Gln | CMD (more common), LGMD | Yes | 19/17 | [6,8,21,22,23,24,29,36] | |
| c.863G>A | p.Arg288Gln | LGMD | 1/1 | [20] | ||
| c.877C>T | p.Arg293Trp | Myalgia | Yes | 1/1 | [38] | |
| C-terminal | c.902C>G | p.Ser301Cys | LGMD | Yes | 1/1 | [25] |
| c.907C>T | p.Leu303Phe | LGMD | Yes | 2/2 | [8,10,21] | |
| c.943G>A | p.Gly315Ser | LGMD, Exercise intolerance, rhabdomyolysis, ID | 1/1 | [7,20] | ||
| c.966C>A | p.Asn322Lys | LGMD | Yes | 3/1 | [38] | |
| c.988G>A | p.Val330Ile | LGMD, Elevated CK, Exercise intolerance | 5/4 | [6,20,21] | ||
| c.1000G>A | p.Asp334Asn | CMD, LGMD | Yes | 4/4 | [6,8,21,39] | |
| c.1018G>A | p.Gly340Arg | Exercise intolerance | 1/1 | [38] | ||
| c.1034T>C | p.Val345Ala | LGMD, ID | 1/1 | [22] | ||
| c.1036C>A | p.Arg346Ser | LGMD, ID | 3/2 | [24,40] | ||
| c.1039_1043dup | p.Ile349Serfs | LGMD | Yes | 1/1 | [25] | |
| c.1060G>A | p.Gly354Ser | LGMD | Yes | 1/1 | [37] | |
| c.1069G>A | p.Val357Ile | CMD, LGMD | Yes | 5/5 | [21,22,25,29] | |
| c.1070G>A | p.Arg357His | LGMD, Exercise intolerance | Yes | 5/3 | [38] | |
| c.1081G>A | p.Asp361Asn | CMD | 1/1 | [21] | ||
| c.1090T>A | p.Tyr364Asn | LGMD | 1/1 | [32] | ||
| c.1108G>C | p.Val370Leu | LGMD | 1/1 | [21] | ||
| c.1151G>A | p.Arg384His | LGMD | Yes | 1/1 | [40] |
Disclaimer/Publisher’s Note: The statements, opinions and data contained in all publications are solely those of the individual author(s) and contributor(s) and not of MDPI and/or the editor(s). MDPI and/or the editor(s) disclaim responsibility for any injury to people or property resulting from any ideas, methods, instructions or products referred to in the content. |
© 2023 by the authors. Licensee MDPI, Basel, Switzerland. This article is an open access article distributed under the terms and conditions of the Creative Commons Attribution (CC BY) license (https://creativecommons.org/licenses/by/4.0/).
Share and Cite
Chompoopong, P.; Milone, M. GDP-Mannose Pyrophosphorylase B (GMPPB)-Related Disorders. Genes 2023, 14, 372. https://doi.org/10.3390/genes14020372
Chompoopong P, Milone M. GDP-Mannose Pyrophosphorylase B (GMPPB)-Related Disorders. Genes. 2023; 14(2):372. https://doi.org/10.3390/genes14020372
Chicago/Turabian StyleChompoopong, Pitcha, and Margherita Milone. 2023. "GDP-Mannose Pyrophosphorylase B (GMPPB)-Related Disorders" Genes 14, no. 2: 372. https://doi.org/10.3390/genes14020372
APA StyleChompoopong, P., & Milone, M. (2023). GDP-Mannose Pyrophosphorylase B (GMPPB)-Related Disorders. Genes, 14(2), 372. https://doi.org/10.3390/genes14020372

