Primitive Cutaneous (P)erivascular (E)pithelioid (C)ell Tumour (PEComa): A New Case Report of a Rare Cutaneous Tumor
Abstract
:1. Introduction
2. Materials and Methods
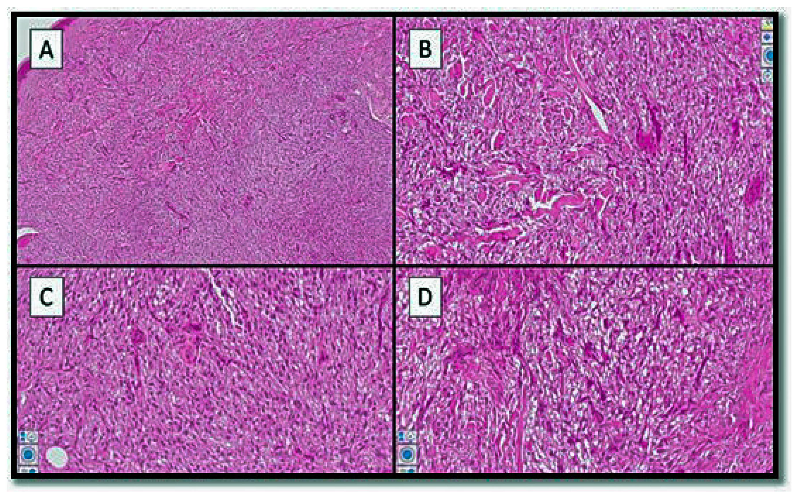
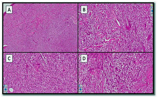
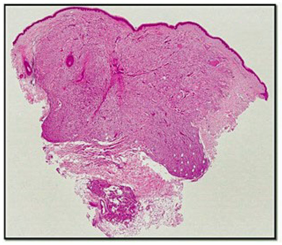
3. Results
4. Discussion
5. Conclusions
Author Contributions
Funding
Institutional Review Board Statement
Informed Consent Statement
Data Availability Statement
Acknowledgments
Conflicts of Interest
References
- WHO. Classification of Soft Tissue and Bone Tumours; IARC: Lyon, France, 2020; pp. 312–314. [Google Scholar]
- Folpe, A.L.; Goodman, Z.D.; Ishak, K.G.; Paulino, A.F.; Taboada, E.M.; Meehan, S.A.; Weiss, S.W. Clear cell myomelanocytic tumor of the falciform ligament/ligamentum teres: A novel member of the perivascular epithelioid clear cell family of tumors with a predilection for children and young adults. Am. J. Surg. Pathol. 2000, 24, 1239–1246. [Google Scholar] [CrossRef] [PubMed]
- Folpe, A.L.; Mentzel, T.; Lehr, H.A.; Fisher, C.; Balzer, B.L.; Weiss, S.W. Perivascular epithelioid cell neoplasms of soft tissue and gynecologic origin: A clinicopathologic study of 26 cases and review of the literature. Am. J. Surg. Pathol. 2005, 29, 1558–1575. [Google Scholar] [CrossRef] [PubMed]
- Doyle, L.A.; Hornick, J.L.; Fletcher, C.D. PEComa of the gastrointestinal tract: Clinicopathologic study of 35 cases with evaluation of prognostic parameters. Am. J. Surg Pathol. 2013, 37, 1769–1782. [Google Scholar] [CrossRef] [PubMed]
- Hornick, J.L.; Fletcher, C.D. Sclerosing PEComa: Clinicopathologic analysis of a distinctive variant with a predilection for the retroperitoneum. Am. J. Surg Pathol. 2008, 32, 493–501. [Google Scholar] [CrossRef] [PubMed]
- Crowson, A.N.; Taylor, J.R.; Magro, C.M. Cutaneous clear cell myomelanocytic tumor perivascular epitheloid cell tumor: First reported case. Mod. Pathol. 2003, 16, 400. [Google Scholar]
- Mentzel, T.; Reisshauer, S.; Rütten, A.; Hantschke, M.; Soares de Almeida, L.M.; Kutzner, H. Cutaneous clear cell myomelanocytic tumour: A new member of the growing family of perivascular epithelioid cell tumours (PEComas). Clinicopathological and immunohistochemical analysis of seven cases. Histopathology 2005, 46, 498–504. [Google Scholar] [CrossRef]
- Liegl, B.; Hornick, J.L.; Fletcher, C.D. Primary cutaneous PEComa: Distinctive clear cell lesions of skin. Am. J. Surg. Pathol. 2008, 32, 608–614. [Google Scholar] [CrossRef] [PubMed]
- Cohen, P.R.; Kato, S.M.; Erickson, C.P.; Calame, A.; Kurzrock, R. Cutaneous perivascular epithelioid cell tumor (PEComa): Case report and world literature review of clinical and molecular characteristics. Dermatol. Online J. 2022, 15, 28. [Google Scholar] [CrossRef] [PubMed]
- Ueberschaar, S.; Goebeler, M.; Kneitz, H. CD10-Positive Cutaneous PEComa: An Extremely Rare Skin Tumour. Case Rep. Dermatol. 2020, 12, 192–198. [Google Scholar] [CrossRef]
- Folpe, A.L.; Kwiatkowski, D.J. Perivascular epithelioid cell neoplasms: Pathology and pathogenesis. Hum. Pathol. 2010, 41, 1–15. [Google Scholar] [CrossRef]
- WHO. Classification of Tumours of the Lung, Pleura, Thymus and Heart, 4th ed.; IARC: Lyon, France, 2015. [Google Scholar]
- Ryu, J.H.; Anne-Marie, G.S.; Lee, A.S.; Burger, C.D. Cystic lung disease is not uncommon in men with tuberous sclerosis complex. Respir. Med. 2012, 106, 1586–1590. [Google Scholar] [CrossRef] [PubMed] [Green Version]
- Requena, L.; Kutzner, H. Cutaneous PEComa. In Cutaneous Soft Tissue Tumors; Requena, L., Kutzner, H., Eds.; Wolters Kluwer: Philadelphia, PA, USA, 2015. [Google Scholar]
- Kneitz, H.; Mentzel, T.; Wobser, M.; Goebeler, M. Cutaneous PEComa of the right lower leg. J Dtsch Dermatol Ges. 2015, 13, 815–817. [Google Scholar] [CrossRef] [PubMed]
- Llamas-Velasco, M.; Requena, L.; Mentzel, T. Cutaneous perivascular epithelioid cell tumors: A review on an infrequent neoplasm. World J. Methodol. 2016, 6, 87–92. [Google Scholar] [CrossRef]
- Zamboni, G.; Pea, M.; Martignoni, G.; Zancanaro, C.; Faccioli, G.; Gilioli, E.; Pederzoli, P.; Bonetti, F. Clear cell “sugar” tumor of the pancreas. A novel member of the family of lesions characterized by the presence of perivascular epithelioid cells. Am. J. Surg. Pathol. 1996, 20, 722–730. [Google Scholar] [CrossRef] [PubMed]
- de Saint Aubain Somerhausen, N.; Gomez Galdon, M.; Bouffioux, B.; Courtin, C.; Theunis, A.; Vogeleer, M.N.; Myant, N. Clear cell ’sugar’ tumor (PEComa) of the skin: A case report. J. Cutan. Pathol. 2005, 32, 441–444. [Google Scholar] [CrossRef] [PubMed]
- Fernandez-Flores, A.; Nguyen, C.M.; Cassarino, D.S. Cutaneous PEComas Express CD10: Implications for the Classification of PEComas and the Differential Diagnosis With Metastatic Renal Cell Carcinoma. Am. J. Dermatopathol. 2016, 38, 645–652. [Google Scholar] [CrossRef]
- Shimokama, T.; Watanabe, T. Leiomyoma exhibiting a marked granular change: Granular cell leiomyoma versus granular cell schwannoma. Hum. Pathol. 1992, 23, 327–331. [Google Scholar] [CrossRef] [PubMed]
- Sobiborowicz, A.; Świtaj, T.; Teterycz, P.; Spałek, M.J.; Szumera-Ciećkiewicz, A.; Wągrodzki, M.; Zdzienicki, M.; Czarnecka, A.M.; Rutkowski, P. Feasibility and Long-Term Efficacy of PEComa Treatment-20 Years of Experience. J. Clin. Med. 2021, 10, 2200. [Google Scholar] [CrossRef]
- Kinkor, Z.; Hes, O. Pleomorphic epithelioid/clear cell malignant tumor of the uterus exhibiting both myoid and melanocytic differentiation--leiomyosarcoma or PEComa? A case report and a review of the literature. Cesk. Patol. 2007, 43, 103–108. [Google Scholar]
- Utpatel, K.; Calvisi, D.F.; Köhler, G.; Kühnel, T.; Niesel, A.; Verloh, N.; Vogelhuber, M.; Neu, R.; Hosten, N.; Schildhaus, H.U.; et al. Complexity of PEComas: Diagnostic approach, molecular background, clinical management. Pathologe 2020, 41, 9–19. [Google Scholar] [CrossRef] [Green Version]
- Choi, J.H.; Ro, J.Y. Epithelioid Cutaneous Mesenchymal Neoplasms: A Practical Diagnostic Approach. Diagnostics 2020, 17, 233. [Google Scholar] [CrossRef] [PubMed]
- Stuart, L.N.; Tipton, R.G.; DeWall, M.R.; Parker, D.C.; Stelton, C.D.; Morrison, A.O.; Coleman, L.W.; Fosko, S.W.; Vidal, C.I.; Yadira Hurley, M.; et al. Primary cutaneous perivascular epithelioid cell tumor (PEComa): Five new cases and review of the literature. J. Cutan. Pathol. 2017, 44, 713–721. [Google Scholar] [CrossRef] [PubMed]
- Cazzato, G.; Cascardi, E.; Colagrande, A.; Cimmino, A.; Ingravallo, G.; Lospalluti, L.; Romita, P.; Demarco, A.; Arezzo, F.; Loizzi, V.; et al. Balloon Cell Melanoma: Presentation of Four Cases with a Comprehensive Review of the Literature. Dermatopathology 2022, 9, 100–110. [Google Scholar] [CrossRef]
- Cole, D.W.; Menge, T.D.; Renati, S.; Bresler, S.C.; Patel, R.M.; Fullen, D.R.; Hamp, L.M. Primary cutaneous malignant perivascular epithelioid cell tumor: Case of a rare tumor with review of the literature. J. Cutan. Pathol. 2021, 48, 1088–1093. [Google Scholar] [CrossRef]
- Warmke, L.; Meis, J. Alveolar Soft Part Sarcoma. PathologyOutlines.com Website. Available online: https://www.pathologyoutlines.com/topic/softtissuealveolarsoft.html (accessed on 23 June 2022).
- Williams, A.; Bartle, G.; Sumathi, V.P.; Meis, J.M.; Mangham, D.C.; Grimer, R.J.; Kindblom, L.G. Detection of ASPL/TFE3 fusion transcripts and the TFE3 antigen in formalin-fixed, paraffin-embedded tissue in a series of 18 cases of alveolar soft part sarcoma: Useful diagnostic tools in cases with unusual histological features. Virchows. Arch. 2011, 458, 291–300. [Google Scholar] [CrossRef] [PubMed]
- Lookingbill, D.P.; Spangler, N.; Helm, K.F. Cutaneous metastases in patients with metastatic carcinoma: A retrospective study of 4020 patients. J. Am. Acad. Dermatol. 1993, 29, 228–236. [Google Scholar] [CrossRef]
- Liu, P.; Tan, F.; Liu, H.; Ge, J.; Liu, S.; Lei, T.; Zhao, X. Skin Metastasis of Gastrointestinal Stromal Tumors: A Case Series and Literature Review. Cancer Manag. Res. 2020, 12, 7681–7690. [Google Scholar] [CrossRef]
- Dermawan., J.K.; Azzato, E.M.; Goldblum., J.R.; Rubin, B.P.; Billings, S.D.; Ko, J.S. Superficial ALK-rearranged myxoid spindle cell neoplasm: A cutaneous soft tissue tumor with distinctive morphology and immunophenotypic profile. Mod. Pathol. 2021, 34, 1710–1718. [Google Scholar] [CrossRef]
- Akumalla, S.; Madison, R.; Lin, D.I.; Schrock, A.B.; Yakirevich, E.; Rosenzweig, M.; Balar, A.V.; Frampton, G.M.; Edgerly, C.; Erlich, R.L.; et al. Characterization of Clinical Cases of Malignant PEComa via Comprehensive Genomic Profiling of DNA and RNA. Oncology 2020, 98, 905–912. [Google Scholar] [CrossRef]
- Liapi, A.; Mathevet, P.; Herrera, F.G.; Hastir, D.; Sarivalasis, A. VEGFR Inhibitors for Uterine Metastatic Perivascular Epithelioid Tumors (PEComa) Resistant to mTOR Inhibitors. A Case Report and Review of Literature. Front. Oncol. 2021, 11, 641376. [Google Scholar] [CrossRef]



| Type of Antibodies Used | Fibrohistiocytic | Vascular | Neural/Melanocytic | Epithelial |
|---|---|---|---|---|
| Anti-CD68 (PGM-1; Dako, 1:800) | Anti-CD34 (QBEND/10, Dako, 1:100) | Anti-S-100 protein (Polyclonal, Dako, 1:500) | Anti-EMA (E29, Dako, 1:200) | |
| Immunohistochemical Markers (Clone, manufacturing company, dilution) | Anti-CD163 (Polyclonal, Thermofisher 1:50) | Anti-CD31 (JC70A, Dako, 1:40) | Anti-SOX-10 (Polyclonal Thermofisher, 1:2000) | Anti-CK-Pool (M3515, Dako, 1:150) |
| Anti-Desmin (PA5-16705, Thermofisher, 1:200) | Anti-Melan-A (M2-7C10 + M2-9E3, ThermoFisher, 1:100) Anti-HMB-45 (ThermoFisher, 1:100) | Anti-CK 7 (Clone OV-TL 12/30, Dako, 1:100) |
| Author(s) | Number of Patients | Age | Gender | Localisation | Clinical Appearance | Histological Diagnosis | Outcome | Molecular Biology |
|---|---|---|---|---|---|---|---|---|
| Mentzel et al. | 7 | 30-66 | F | 5 lower leg 1 popliteal fossa 1 forearm | not reported | Benign PEComa | indolent | not performed |
| Liegl et al. | 10 | 15–81 | 8 F 2 M | 8 limbs 2 back | various | Benign PEComa | Available in 6 cases: none | not performed |
| Ueberschaar et al. | 1 | 67 | F | wrist | nodule | Benign PEComa | indolent | none mutations |
| Cohen et al. | 1 | 43 | 1 M | distal left forearm | nodule | Malignant PEComa | indolent | BIRC3 splice site 1622-27_1631 del37 FANCC R185 * TP53 R248W TSC1 T4151 |
| Kneitz et al. | 1 | 44 | / | lower leg | Atypical histiocytoma | Benign PEComa | indolent | not performed |
Publisher’s Note: MDPI stays neutral with regard to jurisdictional claims in published maps and institutional affiliations. |
© 2022 by the authors. Licensee MDPI, Basel, Switzerland. This article is an open access article distributed under the terms and conditions of the Creative Commons Attribution (CC BY) license (https://creativecommons.org/licenses/by/4.0/).
Share and Cite
Cazzato, G.; Colagrande, A.; Lospalluti, L.; Pacello, L.; Lettini, T.; Arezzo, F.; Loizzi, V.; Lupo, C.; Casatta, N.; Cormio, G.; et al. Primitive Cutaneous (P)erivascular (E)pithelioid (C)ell Tumour (PEComa): A New Case Report of a Rare Cutaneous Tumor. Genes 2022, 13, 1153. https://doi.org/10.3390/genes13071153
Cazzato G, Colagrande A, Lospalluti L, Pacello L, Lettini T, Arezzo F, Loizzi V, Lupo C, Casatta N, Cormio G, et al. Primitive Cutaneous (P)erivascular (E)pithelioid (C)ell Tumour (PEComa): A New Case Report of a Rare Cutaneous Tumor. Genes. 2022; 13(7):1153. https://doi.org/10.3390/genes13071153
Chicago/Turabian StyleCazzato, Gerardo, Anna Colagrande, Lucia Lospalluti, Lucia Pacello, Teresa Lettini, Francesca Arezzo, Vera Loizzi, Carmelo Lupo, Nadia Casatta, Gennaro Cormio, and et al. 2022. "Primitive Cutaneous (P)erivascular (E)pithelioid (C)ell Tumour (PEComa): A New Case Report of a Rare Cutaneous Tumor" Genes 13, no. 7: 1153. https://doi.org/10.3390/genes13071153
APA StyleCazzato, G., Colagrande, A., Lospalluti, L., Pacello, L., Lettini, T., Arezzo, F., Loizzi, V., Lupo, C., Casatta, N., Cormio, G., Maiorano, E., Ingravallo, G., & Resta, L. (2022). Primitive Cutaneous (P)erivascular (E)pithelioid (C)ell Tumour (PEComa): A New Case Report of a Rare Cutaneous Tumor. Genes, 13(7), 1153. https://doi.org/10.3390/genes13071153

