RNAi Mediated Gene Silencing of Detoxification Related Genes in the Ectropis oblique
Abstract
1. Introduction
2. Materials and Methods
2.1. Insect Rearing
2.2. Total RNA Extraction and cDNA Synthesis
2.3. Quantitative Real-Time PCR Analysis
2.3.1. Treatment of E. oblique with Deltamethrin
2.3.2. Fenpropathrin and Chlorpyrifos Treatment for E. oblique
2.4. dsRNA Synthesis
2.5. RNA Interference
2.6. Effect of RNAi on the Survival of E. oblique
2.7. Expression of Detoxification Related Genes in RNAi E. oblique Stimulated by Insecticides
2.8. Determination of Toxicity of Three Insecticides after RNA Interference
2.9. Statistical Analysis
3. Results
3.1. Quantitative Real-Time PCR Analysis
3.1.1. Treatment of E. oblique with Deltamethrin
3.1.2. Fenpropathrin and Chlorpyrifos Treatment for E. oblique
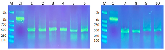
3.2. dsRNA Synthesis
3.3. RNA Interference
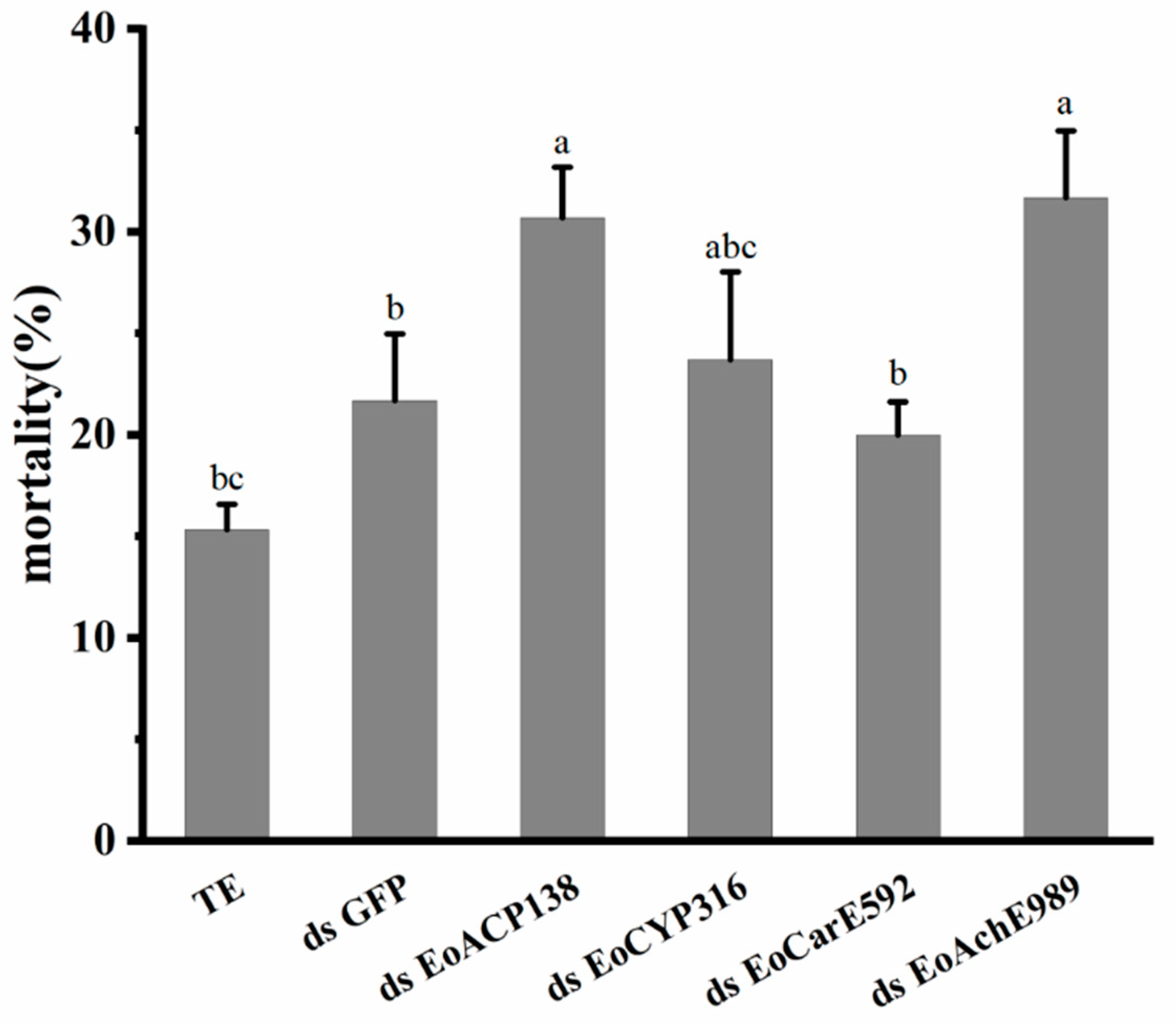
3.4. Effects of RNAi on the Survival of E. oblique
3.5. Expression of Detoxification Related Genes in RNAi E. oblique Stimulated by Insecticides
3.6. Determination of Toxicity of Insecticides after RNA Interference
4. Discussion
5. Conclusions
Author Contributions
Funding
Institutional Review Board Statement
Informed Consent Statement
Data Availability Statement
Conflicts of Interest
References
- Su, T. Studies on Determination Method and Degradation Dynamic of Acetamiprid Residues in Tea. Master’s Thesis, Anhui Agricultural University, Hefei, China, 2012. [Google Scholar] [CrossRef]
- Zhang, J.; Xing, Y.X.; Han, T.; Yu, G.W.; Sun, X.L. Research progress of induced defense against insect pests in tea plant. Acta Entomol. Sin. 2022, 65, 399–408. [Google Scholar] [CrossRef]
- Zhang, Z.B.; Feng, X.B.; Wang, Y.; Xu, W.W.; Huang, K.; Hu, M.H.; Zhang, C.; Yuan, H.Y. Advances in research on functional genes of tea plant. Gene 2019, 711, 143940. [Google Scholar] [CrossRef] [PubMed]
- Li, J.; Wang, Y.; Suh, J.H. Multi-omics approach in tea polyphenol research regarding tea plant growth, development and tea processing: Current technologies and perspectives. Food Sci. Hum. Wellness 2022, 11, 524–536. [Google Scholar] [CrossRef]
- Wei, C.L.; Yang, H.; Wang, S.B.; Zhao, J.; Liu, C.; Gao, L.P.; Xia, E.H.; Lu, Y.; Tai, Y.; She, G.; et al. Draft genome sequence of Camellia sinensis var. sinensis provides insights into the evolution of the tea genome and tea quality. Proc. Natl. Acad. Sci. USA 2018, 115, E4151–E4158. [Google Scholar] [CrossRef] [PubMed]
- Wheeler, D.S.; Wheeler, W.J. The medicinal chemistry of tea. Drug Dev. Res. 2004, 61, 45–65. [Google Scholar] [CrossRef]
- Yang, H.; Wang, Y.A.; Li, L.B.; Li, F.D.; He, Y.X.; Wu, J.Q.; Wei, C. Transcriptomic and phytochemical analyses reveal root-mediated resource-based defense response to leaf herbivory by Ectropis oblique in tea plant (Camellia sinensis). J. Agric. Food Chem. 2019, 67, 5465–5476. [Google Scholar] [CrossRef]
- Lin, S.H. The occurrence regularity and control measures of Ectropis obliqua. Fujian Agric. Sci. Technol. 2003, 1, 52–53. [Google Scholar] [CrossRef]
- Wang, Y.N.; Tang, L.; Hou, Y.; Wang, P.; Yang, H.; Wei, C.L. Differential transcriptome analysis of leaves of tea plant (Camellia sinensis) provides comprehensive insights into the defense responses to Ectropis oblique attack using RNA-Seq. Funct. Integr. Genom. 2016, 16, 383–398. [Google Scholar] [CrossRef]
- Hazarika, L.K.; Puzari, K.C.; Wahab, S. Biological Control of Tea Pests. In Biocontrol Potential and Its Exploitation in Sustainable Agriculture; Upadhyay, R.K., Mukerji, K.G., Chamola, B.P., Eds.; Springer: Boston, MA, USA, 2001; pp. 159–180. [Google Scholar] [CrossRef]
- Ye, G.Y.; Xiao, Q.; Chen, M.; Chen, X.X.; Yuan, Z.J.; Stanley, D.W.; Hu, C. Tea: Biological control of insect and mite pests in China. Biol. Control 2014, 68, 73–91. [Google Scholar] [CrossRef]
- Li, J.; Zhang, Z.; Sun, M.; Zhang, B.; Fan, C. Use of a headspace solid-phase microextraction-based methodology followed by gas chromatography–tandem mass spectrometry for pesticide multiresidue determination in teas. Chromatographia 2018, 81, 809–821. [Google Scholar] [CrossRef]
- Colapinto, C.K.; Arbuckle, T.E.; Dubois, L.; Fraser, W. Tea consumption in pregnancy as a predictor of pesticide exposure and adverse birth outcomes: The MIREC study. Environ. Res. 2015, 142, 77–83. [Google Scholar] [CrossRef] [PubMed][Green Version]
- Denholm, I.; Devine, G.J.; Williamson, M.S. Insecticide resistance on the move. Science 2002, 297, 2222–2223. [Google Scholar] [CrossRef]
- Kyre, B.R.; Bentz, B.J.; Rieske, L.K. Susceptibility of mountain pine beetle (Dendroctonus ponderosae Hopkins) to gene silencing through RNAi provides potential as a novel management tool. For. Ecol. Manag. 2020, 473, 118322. [Google Scholar] [CrossRef]
- Huvenne, H.; Smagghe, G. Mechanisms of dsRNA uptake in insects and potential of RNAi for pest control: A review. J. Insect Physiol. 2010, 56, 227–235. [Google Scholar] [CrossRef] [PubMed]
- Agrawal, N.; Dasaradhi, P.; Mohmmed, A.; Malhotra, P.; Bhatnagar, R.K.; Mukherjee, S.K. RNA interference: Biology, mechanism, and applications. Microbiol. Mol. Biol. Rev. 2003, 67, 657–685. [Google Scholar] [CrossRef] [PubMed]
- Kim, D.H.; Rossi, J.J. RNAi mechanisms and applications. Biotechniques 2008, 44, 613–616. [Google Scholar] [CrossRef]
- Mao, Y.B.; Cai, W.J.; Wang, J.W.; Hong, G.J.; Tao, X.Y.; Wang, L.J.; Huang, Y.P.; Chen, X.Y. Silencing a cotton bollworm P450 monooxygenase gene by plant-mediated RNAi impairs larval tolerance of gossypol. Nat. Biotechnol. 2007, 25, 1307–1313. [Google Scholar] [CrossRef]
- Fire, A.; Xu, S.; Montgomery, M.K.; Kostas, S.A.; Driver, S.E.; Mello, C.C. Potent and specific genetic interference by double-stranded RNA in Caenorhabditis elegans. Nature 1998, 391, 806–811. [Google Scholar] [CrossRef]
- Jaubert-Possamai, S.; Le Trionnaire, G.; Bonhomme, J.; Christophides, G.K.; Rispe, C.; Tagu, D. Gene knockdown by RNAi in the pea aphid Acyrthosiphon pisum. BMC Biotechnol. 2007, 7, 63. [Google Scholar] [CrossRef]
- Lü, J.; Guo, M.; Chen, S.; Noland, J.E.; Guo, W.; Sang, W.; Qi, Y.; Qiu, B.; Zhang, Y.; Yang, C.; et al. Double-stranded RNA targeting vATPase B reveals a potential target for pest management of Henosepilachna vigintioctopunctata. Pestic. Biochem. Physiol. 2020, 165, 104555. [Google Scholar] [CrossRef]
- Itoh, H.; Tago, K.; Hayatsu, M.; Kikuchi, Y. Detoxifying symbiosis: Microbe-mediated detoxification of phytotoxins and pesticides in insects. Nat. Prod. Rep. 2018, 35, 434–454. [Google Scholar] [CrossRef] [PubMed]
- Ranson, H.; Claudianos, C.; Ortelli, F.; Abgrall, C.; Hemingway, J.; Sharakhova, M.V.; Unger, M.F.; Collins, F.H.; Feyereisen, R. Evolution of supergene families associated with insecticide resistance. Science 2002, 298, 179–181. [Google Scholar] [CrossRef] [PubMed]
- Feyereisen, R.; Dermauw, W.; Van Leeuwen, T. Genotype to phenotype, the molecular and physiological dimensions of resistance in arthropods. Pestic. Biochem. Physiol. 2015, 121, 61–77. [Google Scholar] [CrossRef] [PubMed]
- Sun, Z.; Shi, Q.; Li, Q.; Wang, R.; Xu, C.; Wang, H.; Ran, C.; Song, Y.; Zeng, R. Identification of a cytochrome P450 CYP6AB60 gene associated with tolerance to multi-plant allelochemicals from a polyphagous caterpillar tobacco cutworm (Spodoptera litura). Pestic. Biochem. Physiol. 2019, 154, 60–66. [Google Scholar] [CrossRef]
- Yang, B.; Lin, X.; Yu, N.; Gao, H.; Zhang, Y.; Liu, W.; Liu, Z. Contribution of glutathione S-transferases to imidacloprid resistance in Nilaparvata lugens. J. Agric. Food Chem. 2020, 68, 15403–15408. [Google Scholar] [CrossRef]
- Yin, H.; Fu, Z.Z.; Yang, X.X.; Zhou, Y.Q.; Mao, X.F.; Liu, Z.Y.; Fu, J.Y. Functional annotation of Ectropis obliqua transcriptome in the treatment of pyrethroid insecticides. Meta Gene 2021, 28, 100860. [Google Scholar] [CrossRef]
- Zhu, K.Y.; Palli, S.R. Mechanisms, applications, and challenges of insect RNA interference. Annu. Rev. Entomol. 2020, 65, 293–311. [Google Scholar] [CrossRef]
- Guan, R.; Li, H.; Miao, X. RNAi pest control and enhanced BT insecticidal efficiency achieved by dsRNA of chymotrypsin-like genes in Ostrinia furnacalis. J. Pest Sci. 2017, 90, 745–757. [Google Scholar] [CrossRef]
- Zhang, N.; Wei, J.; Jiang, H.; Ge, H.; Zheng, Y.; Meng, X.; Qian, K.; Wang, J. Knockdown or inhibition of arginine kinases enhances susceptibility of Tribolium castaneum to deltamethrin. Pestic. Biochem. Physiol. 2022, 183, 105080. [Google Scholar] [CrossRef]
- Peng, X.; Qu, M.J.; Wang, S.J.; Huang, Y.X.; Chen, C.; Chen, M.H. Chemosensory proteins participate in insecticide susceptibility in Rhopalosiphum padi, a serious pest on wheat crops. Insect Mol. Biol. 2021, 30, 138–151. [Google Scholar] [CrossRef]
- Zhao, P.; Xue, H.; Zhu, X.Z.; Wang, L.; Zhang, K.X.; Li, D.Y.; Ji, J.C.; Niu, L.; Gao, X.K.; Luo, J.Y.; et al. Silencing of cytochrome P450 gene CYP321A1 effects tannin detoxification and metabolism in Spodoptera litura. Int. J. Biol. Macromol. 2022, 194, 895–902. [Google Scholar] [CrossRef] [PubMed]
- Roy, S.; Babu, A.; Handique, G.; Dutta, R.; Bora, A.; Das, P. Stage specific differential expression of three detoxifying enzymes of larvae of tea defoliator, Hyposidra talaca Walker (Geometridae: Lepidoptera) and its bearing on their insecticide tolerance status. Int. J. Trop. Insect Sci. 2021, 41, 541–545. [Google Scholar] [CrossRef]
- Kalsi, M.; Palli, S.R. Transcription factor cap n collar C regulates multiple cytochrome P450 genes conferring adaptation to potato plant allelochemicals and resistance to imidacloprid in Leptinotarsa decemlineata (Say). Insect Biochem. Mol. Biol. 2017, 83, 1–12. [Google Scholar] [CrossRef] [PubMed]
- Bautista, M.A.M.; Miyata, T.; Miura, K.; Tanaka, T. RNA interference-mediated knockdown of a cytochrome P450, CYP6BG1, from the diamondback moth, Plutella xylostella, reduces larval resistance to permethrin. Insect Biochem. Mol. Biol. 2009, 39, 38–46. [Google Scholar] [CrossRef]
- Lu, K.; Wang, Y.; Chen, X.; Zhang, Z.C.; Li, Y.; Li, W.R.; Zhou, Q. Characterization and functional analysis of a carboxylesterase gene associated with chlorpyrifos resistance in Nilaparvata lugens (Stl). Comp. Biochem. Physiol. Toxicol. Pharmacol. 2017, 203, 12–20. [Google Scholar] [CrossRef]
- Sun, Z.X.; Wang, R.M.; Du, Y.F.; Gao, B.Y.; Gui, F.R.; Lu, K. Olfactory perception of herbicide butachlor by GOBP2 elicits ecdysone biosynthesis and detoxification enzyme responsible for chlorpyrifos tolerance in Spodoptera litura. Environ. Pollut. 2021, 285, 117409. [Google Scholar] [CrossRef]
- Meng, X.; Li, C.; Bao, H.; Fang, J.; Liu, Z.; Zhang, Y. Validating the importance of two acetylcholinesterases in insecticide sensitivities by RNAi in Pardosa pseudoannulata, an important predatory enemy against several insect pests. Pestic. Biochem. Physiol. 2015, 125, 26–30. [Google Scholar] [CrossRef]







| Primer Name | Primer Sequence (5′-3′) |
|---|---|
| EoRNA18S R | GAGAAACGGCTACCACATCCA |
| EoRNA18S F | GCAAATGCTTTCGCTGATGTT |
| EoACP138 R | TTCGCAGGGACAGTAGTGTAGGG |
| EoACP138 F | ACATCCGCTCCACCGACTCTAC |
| EoCYP316 R | CACCACCACCAACTTCTCACTCC |
| EoCYP316 F | CGCAGGGTCGAGCAGCATATTAC |
| EoCarE592 R | AGTGGCGAGAGGTAGTGGTAATGG |
| EoCarE592 F | CGGCAACAACGGGCTGAAGG |
| EoAchE989 R | ATCCATCAGCCTGTTGTCTGTTCG |
| EoAchE989 F | GGAGCCCTTAACCGCCGAAAG |
| Primer Name | Primer Sequence (5′-3′) |
|---|---|
| GFP dsRNA R | taatacgactcactatagggGCTTCTCGTTCGGATCTTTG |
| GFP dsRNA F | taatacgactcactatagggGTGGAGTTGGACGGAGATGT |
| EoACP138 dsRNA R | GATCACtaatacgactcactatagggGCCACGATGTTGAGGGTATC |
| EoACP138 dsRNA F | GATCACtaatacactcactatagggCGATATTGATGCACCGTCAC |
| EoCYP316 dsRNA R | GATCACtaatacgactcactatagggTGCTCGTTGTTTGAGAACCA |
| EoCYP316 dsRNA F | GATCACtaatacgactcactatagggTCGGCTTTGGAAAAAGTGTT |
| EoCarE592 dsRNA R | GATCACtaatacgactcactatagggGGAAAGACTCTTGCTGCCAC |
| EoCarE592 dsRNA F | GATCACtaatacactcactatagggCAATGCGCAGATTGAGATGT |
| EoAchE989 dsRNA R | GATCACtaatacgactcactatagggATTCGGGTGAATAGGCACAA |
| EoAchE989 dsRNA F | GATCACtaatacgactcactatagggTTGGAATGTACGGCTTCCTC |
Publisher’s Note: MDPI stays neutral with regard to jurisdictional claims in published maps and institutional affiliations. |
© 2022 by the authors. Licensee MDPI, Basel, Switzerland. This article is an open access article distributed under the terms and conditions of the Creative Commons Attribution (CC BY) license (https://creativecommons.org/licenses/by/4.0/).
Share and Cite
Peng, C.; Yin, H.; Liu, Y.; Mao, X.-F.; Liu, Z.-Y. RNAi Mediated Gene Silencing of Detoxification Related Genes in the Ectropis oblique. Genes 2022, 13, 1141. https://doi.org/10.3390/genes13071141
Peng C, Yin H, Liu Y, Mao X-F, Liu Z-Y. RNAi Mediated Gene Silencing of Detoxification Related Genes in the Ectropis oblique. Genes. 2022; 13(7):1141. https://doi.org/10.3390/genes13071141
Chicago/Turabian StylePeng, Cui, Heng Yin, Yang Liu, Xin-Fang Mao, and Zhong-Yuan Liu. 2022. "RNAi Mediated Gene Silencing of Detoxification Related Genes in the Ectropis oblique" Genes 13, no. 7: 1141. https://doi.org/10.3390/genes13071141
APA StylePeng, C., Yin, H., Liu, Y., Mao, X.-F., & Liu, Z.-Y. (2022). RNAi Mediated Gene Silencing of Detoxification Related Genes in the Ectropis oblique. Genes, 13(7), 1141. https://doi.org/10.3390/genes13071141
