Molecular Characterization of Muellerian Tumors of the Urinary Tract
Abstract
1. Introduction
2. Materials and Methods
2.1. Study Cohort
2.2. Immunohistochemical confirmation of Diagnosis
2.3. DNA and RNA Isolation
2.4. Targeted Next Generation Sequencing
2.5. Fluorescence In Situ Hybridization Analysis (FISH)
2.6. Comparison with Publicly Available TCGA Data of Bladder, Endometrial, and Kidney Cancer
3. Results
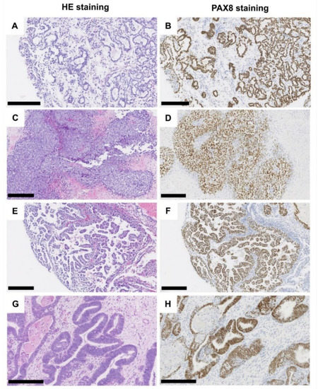
3.1. Histomorphological and Immunohistochemical Diagnostic Evaluation
3.2. Mutational Analysis
3.3. Copy Number Analysis
3.4. Fusion Gene Analysis
3.5. Comparison with Publicly Available TCGA Data of Bladder, Endometrial, and Kidney Cancer
4. Discussion
Supplementary Materials
Author Contributions
Funding
Institutional Review Board Statement
Acknowledgments
Conflicts of Interest
References
- Oliva, E.; Trpkov, K. Tumours of Müllerian type. In WHO Classification of Tumours of the Urinary System and Male Genital Organs, 4th ed.; Moch, H., Humphrey, P.A., Ulbright, T.M., Reuter, V.E., Eds.; IARC: Lyon, France, 2016; pp. 115–116. [Google Scholar]
- Konnak, J.W. Mesonephric carcinoma involving the urethra. J. Urol. 1973, 110, 76–78. [Google Scholar] [CrossRef]
- Young, R.H.; Scully, R.E. Clear cell adenocarcinoma of the bladder and urethra. A report of three cases and review of the literature. Am. J. Surg. Pathol. 1985, 9, 816–826. [Google Scholar] [CrossRef]
- Grosser, D.; Matoso, A.; Epstein, J.I. Clear Cell Adenocarcinoma in Men: A Series of 15 Cases. Am. J. Surg. Pathol. 2021, 45, 270–276. [Google Scholar] [CrossRef]
- Sethi, S.; Dhawan, S.; Chopra, P. Clear cell adenocarcinoma of urinary bladder: A case report and review. Urol. Ann. 2011, 3, 151–154. [Google Scholar] [CrossRef]
- Tong, G.X.; Weeden, E.M.; Hamele-Bena, D.; Huan, Y.; Unger, P.; Memeo, L.; O’Toole, K. Expression of PAX8 in nephrogenic adenoma and clear cell adenocarcinoma of the lower urinary tract: Evidence of related histogenesis? Am. J. Surg. Pathol. 2008, 32, 1380–1387. [Google Scholar] [CrossRef]
- Lin, C.Y.; Saleem, A.; Stehr, H.; Zehnder, J.L.; Pinsky, B.A.; Kunder, C.A. Molecular profiling of clear cell adenocarcinoma of the urinary tract. Virchows Arch. 2019, 475, 727–734. [Google Scholar] [CrossRef]
- Guricova, K.; Maurer, A.; Gaisa, N.; Garczyk, S.; Knüchel-Clarke, R.; Dahl, E.; Ortiz Brüchle, N. Ein robustes Tool zur Kopienzahlanalyse für verschiedene amplikon-basierte NGS-Panel (ACopy). Pathologe 2019, 40, 196. [Google Scholar]
- Cerami, E.; Gao, J.; Dogrusoz, U.; Gross, B.E.; Sumer, S.O.; Aksoy, B.A.; Jacobsen, A.; Byrne, C.J.; Heuer, M.L.; Larsson, E.; et al. The cBio cancer genomics portal: An open platform for exploring multidimensional cancer genomics data. Cancer Discov. 2012, 2, 401–404. [Google Scholar] [CrossRef]
- Gao, J.; Aksoy, B.A.; Dogrusoz, U.; Dresdner, G.; Gross, B.; Sumer, S.O.; Sun, Y.; Jacobsen, A.; Sinha, R.; Larsson, E.; et al. Integrative analysis of complex cancer genomics and clinical profiles using the cBioPortal. Sci. Signal. 2013, 6, pl1. [Google Scholar] [CrossRef]
- Robertson, A.G.; Kim, J.; Al-Ahmadie, H.; Bellmunt, J.; Guo, G.; Cherniack, A.D.; Hinoue, T.; Laird, P.W.; Hoadley, K.A.; Akbani, R.; et al. Comprehensive Molecular Characterization of Muscle-Invasive Bladder Cancer. Cell 2018, 174, 1033. [Google Scholar] [CrossRef]
- Kandoth, C.; Schultz, N.; Cherniack, A.D.; Akbani, R.; Liu, Y.; Shen, H.; Robertson, A.G.; Pashtan, I.; Shen, R.; Benz, C.C.; et al. Integrated genomic characterization of endometrial carcinoma. Nature 2013, 497, 67–73. [Google Scholar]
- Cancer Genome Atlas Research Network. Comprehensive molecular characterization of clear cell renal cell carcinoma. Nature 2013, 499, 43–49. [Google Scholar] [CrossRef]
- Vinagre, J.; Almeida, A.; Pópulo, H.; Batista, R.; Lyra, J.; Pinto, V.; Coelho, R.; Celestino, R.; Prazeres, H.; Lima, L.; et al. Frequency of TERT promoter mutations in human cancers. Nat. Commun. 2013, 4, 2185. [Google Scholar] [CrossRef]
- Longerich, T.; Endris, V.; Neumann, O.; Rempel, E.; Kirchner, M.; Abadi, Z.; Uhrig, S.; Kriegsmann, M.; Weiss, K.H.; Breuhahn, K.; et al. RSPO2 gene rearrangement: A powerful driver of β-catenin activation in liver tumours. Gut 2019, 68, 1287–1296. [Google Scholar] [CrossRef]
- Hartmann, A.; Junker, K.; Dietmaier, W.; Schröder, S.; Lopez, D.; Hofstädter, F.; Blaszyk, H. Molecular evidence for progression of nephrogenic metaplasia of the urinary bladder to clear cell adenocarcinoma. Hum. Pathol. 2006, 37, 117–120. [Google Scholar] [CrossRef]
- Allory, Y.; Beukers, W.; Sagrera, A.; Flandez, M.; Marques, M.; Marquez, M.; van der Keur, K.A.; Dyrskjot, L.; Lurkin, I.; Vermeij, M.; et al. Telomerase reverse transcriptase promoter mutations in bladder cancer: High frequency across stages, detection in urine, and lack of association with outcome. Eur. Urol. 2014, 65, 360–366. [Google Scholar] [CrossRef]
- Günes, C.; Wezel, F.; Southgate, J.; Bolenz, C. Implications of TERT promoter mutations and telomerase activity in urothelial carcinogenesis. Nat. Rev. Urol. 2018, 15, 386–393. [Google Scholar] [CrossRef] [PubMed]
- Gupta, S.; Vanderbilt, C.M.; Lin, Y.T.; Benhamida, J.K.; Jungbluth, A.A.; Rana, S.; Momeni-Boroujeni, A.; Chang, J.C.; Mcfarlane, T.; Salazar, P.; et al. A Pan-Cancer Study of Somatic TERT Promoter Mutations and Amplification in 30,773 Tumors Profiled by Clinical Genomic Sequencing. J. Mol. Diagn. 2021, 23, 253–263. [Google Scholar] [CrossRef] [PubMed]
- Chiba, K.; Lorbeer, F.K.; Shain, A.H.; McSwiggen, D.T.; Schruf, E.; Oh, A.; Ryu, J.; Darzacq, X.; Bastian, B.C.; Hockemeyer, D. Mutations in the promoter of the telomerase gene TERT contribute to tumorigenesis by a two-step mechanism. Science 2017, 357, 1416–1420. [Google Scholar] [CrossRef]
- Leão, R.; Apolónio, J.D.; Lee, D.; Figueiredo, A.; Tabori, U.; Castelo-Branco, P. Mechanisms of human telomerase reverse transcriptase (hTERT) regulation: Clinical impacts in cancer. J. Biomed. Sci. 2018, 25, 22. [Google Scholar] [CrossRef]
- Maurer, A.; Ortiz-Bruechle, N.; Guricova, K.; Rose, M.; Morsch, R.; Garczyk, S.; Stöhr, R.; Bertz, S.; Golz, R.; Reis, H.; et al. Comparative genomic profiling of glandular bladder tumours. Virchows Arch. 2020, 477, 445–454. [Google Scholar] [CrossRef] [PubMed]
- André, F.; Ciruelos, E.; Rubovszky, G.; Campone, M.; Loibl, S.; Rugo, H.S.; Iwata, H.; Conte, P.; Mayer, I.A.; Kaufman, B.; et al. Alpelisib for PIK3CA-Mutated, Hormone Receptor–Positive Advanced Breast Cancer. N. Engl. J. Med. 2019, 380, 1929–1940. [Google Scholar] [CrossRef]
- Ledermann, J.; Harter, P.; Gourley, C.; Friedlander, M.; Vergote, I.; Rustin, G.; Scott, C.L.; Meier, W.; Shapira-Frommer, R.; Safra, T.; et al. Olaparib maintenance therapy in patients with platinum-sensitive relapsed serous ovarian cancer: A preplanned retrospective analysis of outcomes by BRCA status in a randomised phase 2 trial. Lancet Oncol. 2014, 15, 852–861. [Google Scholar] [CrossRef]
- De Bono, J.; Mateo, J.; Fizazi, K.; Saad, F.; Shore, N.; Sandhu, S.; Chi, K.N.; Sartor, O.; Agarwal, N.; Olmos, D.; et al. Olaparib for Metastatic Castration-Resistant Prostate Cancer. N. Engl. J. Med. 2020, 382, 2091–2102. [Google Scholar] [CrossRef] [PubMed]
- Piccart-Gebhart, M.J.; Procter, M.; Leyland-Jones, B.; Goldhirsch, A.; Untch, M.; Smith, I.; Gianni, L.; Baselga, J.; Bell, R.; Jackisch, C.; et al. Trastuzumab after adjuvant chemotherapy in HER2-positive breast cancer. N. Engl. J. Med. 2005, 353, 1659–1672. [Google Scholar] [CrossRef] [PubMed]
- Wiegand, K.C.; Shah, S.P.; Al-Agha, O.M.; Zhao, Y.; Tse, K.; Zeng, T.; Senz, J.; McConechy, M.K.; Anglesio, M.S.; Kalloger, S.E.; et al. ARID1A mutations in endometriosis-associated ovarian carcinomas. N. Engl. J. Med. 2010, 363, 1532–1543. [Google Scholar] [CrossRef] [PubMed]
- Wu, J.N.; Roberts, C.W. ARID1A mutations in cancer: Another epigenetic tumor suppressor? Cancer Discov. 2013, 3, 35–43. [Google Scholar] [CrossRef]
- Kadoch, C.; Hargreaves, D.C.; Hodges, C.; Elias, L.; Ho, L.; Ranish, J.; Crabtree, G.R. Proteomic and bioinformatic analysis of mammalian SWI/SNF complexes identifies extensive roles in human malignancy. Nat. Genet. 2013, 45, 592–601. [Google Scholar] [CrossRef]
- Shen, J.; Peng, Y.; Wei, L.; Zhang, W.; Yang, L.; Lan, L.; Kapoor, P.; Ju, Z.; Mo, Q.; Shih, I.M.; et al. ARID1A Deficiency Impairs the DNA Damage Checkpoint and Sensitizes Cells to PARP Inhibitors. Cancer Discov. 2015, 5, 752–767. [Google Scholar] [CrossRef]
- Jiang, T.; Chen, X.; Su, C.; Ren, S.; Zhou, C. Pan-cancer analysis of ARID1A Alterations as Biomarkers for Immunotherapy Outcomes. J. Cancer 2020, 11, 776–780. [Google Scholar] [CrossRef]
- Yap, T.A.; O’Carrigan, B.; Penney, M.S.; Lim, J.S.; Brown, J.S.; de Miguel Luken, M.J.; Tunariu, N.; Perez-Lopez, R.; Rodrigues, D.N.; Riisnaes, R.; et al. Phase I Trial of First-in-Class ATR Inhibitor M6620 (VX-970) as Monotherapy or in Combination With Carboplatin in Patients With Advanced Solid Tumors. J. Clin. Oncol. 2020, 38, 3195–3204. [Google Scholar] [CrossRef] [PubMed]





| MTUT | CCACA | EACA | |
|---|---|---|---|
| n (%) | n (%) | n (%) | |
| Total number of cases | 11 (100) | 10 (91) | 1 (9) |
| Gender | |||
| male | 2 (18) | 2 (100) | 0 (0) |
| female | 9 (82) | 8 (89) | 1 (11) |
| Localization | |||
| trigone | 3 (27) | 2 (67) | 1 (33) |
| bladder neck | 1 (9) | 1 (100) | 0 (0) |
| urethra/periurethral | 6 (55) | 6 (100) | 0 (0) |
| not available | 1 (9) | 1 (100) | 0 (0) |
| Dominant histological growth pattern | |||
| tubulo-cystic | 3 (27) | 3 (100) | 0 (0) |
| (micro-)papillary | 5 (45) | 5 (100) | 0 (0) |
| solid | 2 (18) | 2 (100) | 0 (0) |
| not applicable/special | 1 (9) | 0 (0) | 1 (100) |
| Stage distribution * | |||
| pT1 | 3 (27) | 3 (100) | 0 (0) |
| pT2 | 2 (18) | 1 (50) | 1 (50) |
| pT3 | 1 (9) | 1 (100) | 0 (0) |
| n.a. | 5 (46) | 5 (100) | 0 (0) |
| Grade distribution (WHO 1973) * | |||
| G2 | 2 (18) | 1 (50) | 1 (50) |
| G3 | 2 (18) | 2 (100) | 0 (0) |
| not available | 7 (64) | 7 (100) | 0 (0) |
| Grade distribution (WHO 2016) # | |||
| high-grade | 11 (100) | 10 (91) | 1 (9) |
| Immunohistochemistry | |||
| keratin7 positivity | 6/9 (67) | 5 (83) | 1 (17) |
| keratin20 positivity | 2/6 (33) | 2 (100) | 0 (0) |
| GATA3 positivity | 3/10 (30) | 2 (67) | 1 (33) |
| PAX8 positivity | 11/11 (100) | 10 (90) | 1 (10) |
| ARID1A positivity | 6/7 (86) | 5 (83) | 1 (17) |
| Estrogen receptor positivity | 1/8 (13) | 0 (0) | 1 (100) |
| Progesterone receptor positivity | 1/8 (13) | 0 (0) | 1 (100) |
Publisher’s Note: MDPI stays neutral with regard to jurisdictional claims in published maps and institutional affiliations. |
© 2021 by the authors. Licensee MDPI, Basel, Switzerland. This article is an open access article distributed under the terms and conditions of the Creative Commons Attribution (CC BY) license (https://creativecommons.org/licenses/by/4.0/).
Share and Cite
Ortiz-Brüchle, N.; Wucherpfennig, S.; Rose, M.; Garczyk, S.; Bertz, S.; Hartmann, A.; Reis, H.; Szarvas, T.; Kiss, A.; Bremmer, F.; et al. Molecular Characterization of Muellerian Tumors of the Urinary Tract. Genes 2021, 12, 880. https://doi.org/10.3390/genes12060880
Ortiz-Brüchle N, Wucherpfennig S, Rose M, Garczyk S, Bertz S, Hartmann A, Reis H, Szarvas T, Kiss A, Bremmer F, et al. Molecular Characterization of Muellerian Tumors of the Urinary Tract. Genes. 2021; 12(6):880. https://doi.org/10.3390/genes12060880
Chicago/Turabian StyleOrtiz-Brüchle, Nadina, Sophie Wucherpfennig, Michael Rose, Stefan Garczyk, Simone Bertz, Arndt Hartmann, Henning Reis, Tibor Szarvas, András Kiss, Felix Bremmer, and et al. 2021. "Molecular Characterization of Muellerian Tumors of the Urinary Tract" Genes 12, no. 6: 880. https://doi.org/10.3390/genes12060880
APA StyleOrtiz-Brüchle, N., Wucherpfennig, S., Rose, M., Garczyk, S., Bertz, S., Hartmann, A., Reis, H., Szarvas, T., Kiss, A., Bremmer, F., Golz, R., Knüchel, R., & Gaisa, N. T. (2021). Molecular Characterization of Muellerian Tumors of the Urinary Tract. Genes, 12(6), 880. https://doi.org/10.3390/genes12060880

