Alterations of Oxidative Phosphorylation Complexes in Papillary Thyroid Carcinoma
Abstract
1. Introduction
2. Materials and Methods
2.1. Patients
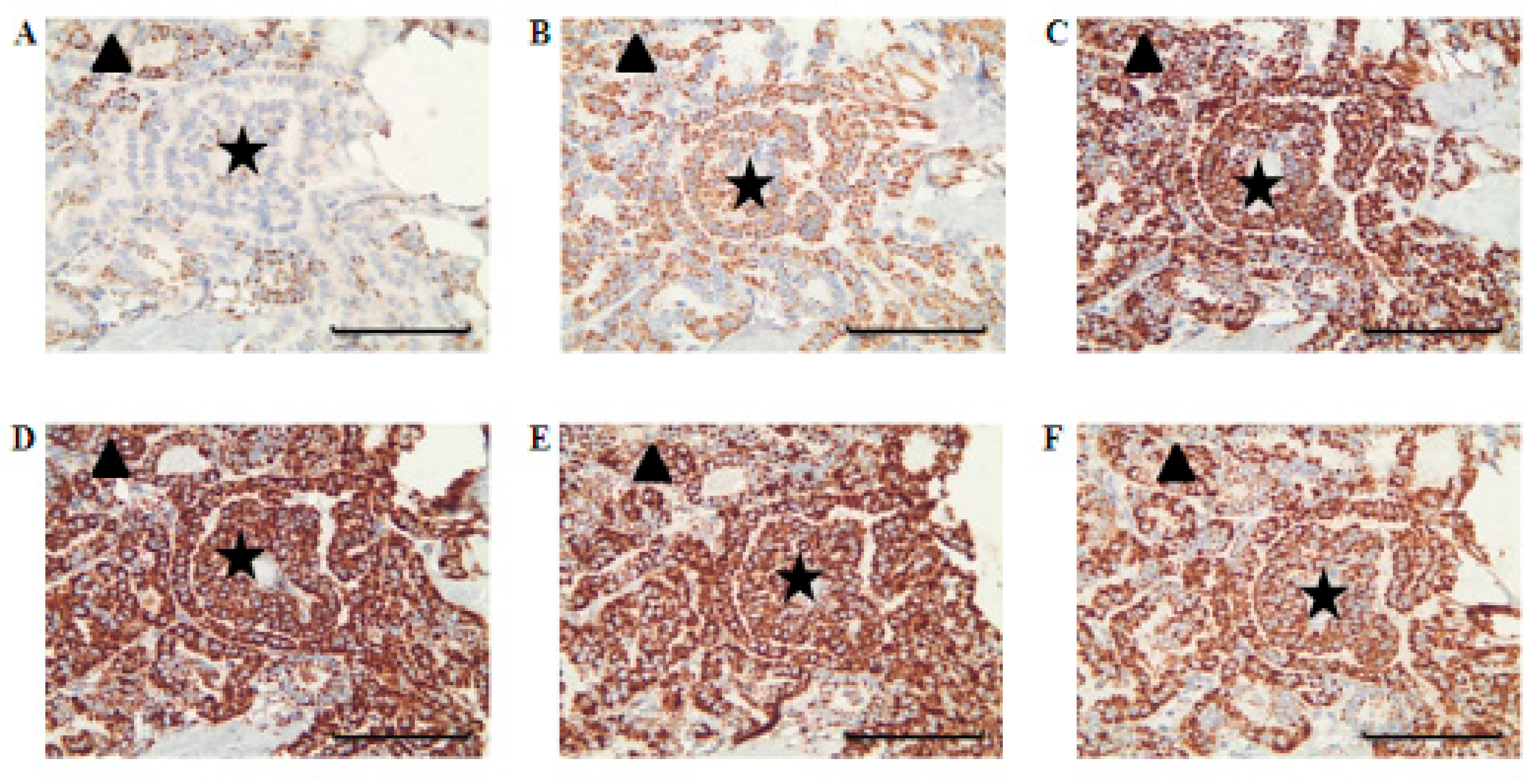
2.2. Immunohistochemical Staining and Analysis
2.3. Mitochondrial DNA Analysis
2.4. Statistical Analysis
3. Results
3.1. Enhanced Mitochondrial Biogenesis in PTC
3.2. Levels of OXPHOS Complexes in PTC Reveal an Oncocytic Signature
3.3. mtDNA Analysis
4. Discussion
5. Conclusions
Supplementary Materials
Author Contributions
Funding
Acknowledgments
Conflicts of Interest
References
- Durante, C.; Montesano, T.; Torlontano, M.; Attard, M.; Monzani, F.; Tumino, S.; Costante, G.; Meringolo, D.; Bruno, R.; Trulli, F.; et al. Papillary thyroid cancer: Time course of recurrences during postsurgery surveillance. J. Clin. Endocrinol. MeTable 2013, 98, 636–642. [Google Scholar] [CrossRef] [PubMed]
- LiVolsi, V.A. Papillary thyroid carcinoma: An update. Mod. Pathol. 2011, 24, S1–S9. [Google Scholar] [CrossRef] [PubMed]
- Lloyd, R.V.; Buehler, D.; Khanafshar, E. Papillary thyroid carcinoma variants. Head Neck Pathol. 2011, 5, 51–56. [Google Scholar] [CrossRef] [PubMed]
- Rusinek, D.; Krajewska, J.; Jarzab, M. Mouse models of papillary thyroid carcinoma—Short review. Endokrynol. Pol. 2016, 67, 212–223. [Google Scholar] [CrossRef] [PubMed]
- Rhoden, K.J.; Unger, K.; Salvatore, G.; Yilmaz, Y.; Vovk, V.; Chiappetta, G.; Qumsiyeh, M.B.; Rothstein, J.L.; Fusco, A.; Santoro, M.; et al. Ret/papillary thyroid cancer rearrangement in nonneoplastic thyrocytes: Follicular cells of hashimoto’s thyroiditis share low-level recombination events with a subset of papillary carcinoma. J. Clin. Endocrinol. MeTable 2006, 91, 2414–2423. [Google Scholar] [CrossRef] [PubMed][Green Version]
- Zhao, H.; Zhang, Z.H.; Zhou, B.; Xiao, T.; Pan, Q.J.; Guo, H.Q. Detection of braf c.1799t > a (p.V600e) mutation using residual routine fine-needle aspiration specimens of papillary thyroid carcinoma. Diagn. Cytopathol. 2015, 43, 786–790. [Google Scholar] [CrossRef] [PubMed]
- Oler, G.; Cerutti, J.M. High prevalence of braf mutation in a brazilian cohort of patients with sporadic papillary thyroid carcinomas: Correlation with more aggressive phenotype and decreased expression of iodide-metabolizing genes. Cancer 2009, 115, 972–980. [Google Scholar] [CrossRef] [PubMed]
- Warburg, O. On the origin of cancer cells. Science 1956, 123, 309–314. [Google Scholar] [CrossRef] [PubMed]
- Zimmermann, F.A.; Mayr, J.A.; Neureiter, D.; Feichtinger, R.; Alinger, B.; Jones, N.D.; Eder, W.; Sperl, W.; Kofler, B. Lack of complex i is associated with oncocytic thyroid tumours. Br. J. Cancer 2009, 100, 1434–1437. [Google Scholar] [CrossRef] [PubMed]
- Gasparre, G.; Porcelli, A.M.; Bonora, E.; Pennisi, L.F.; Toller, M.; Iommarini, L.; Ghelli, A.; Moretti, M.; Betts, C.M.; Martinelli, G.N.; et al. Disruptive mitochondrial DNA mutations in complex i subunits are markers of oncocytic phenotype in thyroid tumors. Proc. Natl. Acad. Sci. USA 2007, 104, 9001–9006. [Google Scholar] [CrossRef] [PubMed]
- Tallini, G. Oncocytic tumours. Virchows Arch. 1998, 433, 5–12. [Google Scholar] [CrossRef] [PubMed]
- Ferreira-da-Silva, A.; Valacca, C.; Rios, E.; Populo, H.; Soares, P.; Sobrinho-Simoes, M.; Scorrano, L.; Maximo, V.; Campello, S. Mitochondrial dynamics protein drp1 is overexpressed in oncocytic thyroid tumors and regulates cancer cell migration. PLoS ONE 2015, 10, e0122308. [Google Scholar] [CrossRef] [PubMed]
- Zimmermann, F.A.; Mayr, J.A.; Feichtinger, R.; Neureiter, D.; Lechner, R.; Koegler, C.; Ratschek, M.; Rusmir, H.; Sargsyan, K.; Sperl, W.; et al. Respiratory chain complex i is a mitochondrial tumor suppressor of oncocytic tumors. Front. Biosci. 2011, 3, 315–325. [Google Scholar]
- Pereira, L.; Soares, P.; Maximo, V.; Samuels, D.C. Somatic mitochondrial DNA mutations in cancer escape purifying selection and high pathogenicity mutations lead to the oncocytic phenotype: Pathogenicity analysis of reported somatic mtdna mutations in tumors. BMC Cancer 2012, 12, 53. [Google Scholar] [CrossRef] [PubMed]
- Goto, Y.; Horai, S.; Matsuoka, T.; Koga, Y.; Nihei, K.; Kobayashi, M.; Nonaka, I. Mitochondrial myopathy, encephalopathy, lactic acidosis, and stroke-like episodes (melas): A correlative study of the clinical features and mitochondrial DNA mutation. Neurology 1992, 42, 545–550. [Google Scholar] [CrossRef] [PubMed]
- Nouws, J.; Nijtmans, L.G.; Smeitink, J.A.; Vogel, R.O. Assembly factors as a new class of disease genes for mitochondrial complex i deficiency: Cause, pathology and treatment options. Brain 2012, 135, 12–22. [Google Scholar] [CrossRef] [PubMed]
- Haack, T.B.; Madignier, F.; Herzer, M.; Lamantea, E.; Danhauser, K.; Invernizzi, F.; Koch, J.; Freitag, M.; Drost, R.; Hillier, I.; et al. Mutation screening of 75 candidate genes in 152 complex i deficiency cases identifies pathogenic variants in 16 genes including ndufb9. J. Med. Genet. 2012, 49, 83–89. [Google Scholar] [CrossRef] [PubMed]
- Yeh, J.J.; Lunetta, K.L.; van Orsouw, N.J.; Moore, F.D., Jr.; Mutter, G.L.; Vijg, J.; Dahia, P.L.; Eng, C. Somatic mitochondrial DNA (mtdna) mutations in papillary thyroid carcinomas and differential mtdna sequence variants in cases with thyroid tumours. Oncogene 2000, 19, 2060–2066. [Google Scholar] [CrossRef] [PubMed]
- Abu-Amero, K.K.; Alzahrani, A.S.; Zou, M.; Shi, Y. High frequency of somatic mitochondrial DNA mutations in human thyroid carcinomas and complex i respiratory defect in thyroid cancer cell lines. Oncogene 2005, 24, 1455–1460. [Google Scholar] [CrossRef] [PubMed]
- Sobin, L.H.; Gospodarowicz, M.K.; Wittekind, C. International Union against Cancer (UICC) TNM Classification of Malignant Tumors, 7th ed.; Wiley-Blackwell: New York, NY, USA, 2010. [Google Scholar]
- Zimmermann, F.A.; Neureiter, D.; Feichtinger, R.G.; Trost, A.; Sperl, W.; Kofler, B.; Mayr, J.A. Deficiency of respiratory chain complex i in hashimoto thyroiditis. Mitochondrion 2016, 26, 1–6. [Google Scholar] [CrossRef] [PubMed]
- Feichtinger, R.G.; Neureiter, D.; Mayr, J.A.; Zimmermann, F.A.; Berthold, F.; Jones, N.; Sperl, W.; Kofler, B. Loss of mitochondria in ganglioneuromas. Front. Biosci. 2011, 3, 179–186. [Google Scholar]
- Yin, P.H.; Wu, C.C.; Lin, J.C.; Chi, C.W.; Wei, Y.H.; Lee, H.C. Somatic mutations of mitochondrial genome in hepatocellular carcinoma. Mitochondrion 2010, 10, 174–182. [Google Scholar] [CrossRef] [PubMed]
- Habano, W.; Nakamura, S.; Sugai, T. Microsatellite instability in the mitochondrial DNA of colorectal carcinomas: Evidence for mismatch repair systems in mitochondrial genome. Oncogene 1998, 17, 1931–1937. [Google Scholar] [CrossRef] [PubMed]
- Jeronimo, C.; Nomoto, S.; Caballero, O.L.; Usadel, H.; Henrique, R.; Varzim, G.; Oliveira, J.; Lopes, C.; Fliss, M.S.; Sidransky, D. Mitochondrial mutations in early stage prostate cancer and bodily fluids. Oncogene 2001, 20, 5195–5198. [Google Scholar] [CrossRef] [PubMed]
- Cavadas, B.; Pereira, J.B.; Correia, M.; Fernandes, V.; Eloy, C.; Sobrinho-Simoes, M.; Soares, P.; Samuels, D.C.; Maximo, V.; Pereira, L. Genomic and transcriptomic characterization of the mitochondrial-rich oncocytic phenotype on a thyroid carcinoma background. Mitochondrion 2018. [Google Scholar] [CrossRef] [PubMed]
- Mayr, J.A.; Meierhofer, D.; Zimmermann, F.; Feichtinger, R.; Kogler, C.; Ratschek, M.; Schmeller, N.; Sperl, W.; Kofler, B. Loss of complex i due to mitochondrial DNA mutations in renal oncocytoma. Clin. Cancer. Res. 2008, 14, 2270–2275. [Google Scholar] [CrossRef] [PubMed]
- Lee, J.; Seol, M.Y.; Jeong, S.; Lee, C.R.; Ku, C.R.; Kang, S.W.; Jeong, J.J.; Shin, D.Y.; Nam, K.H.; Lee, E.J.; et al. A metabolic phenotype based on mitochondrial ribosomal protein expression as a predictor of lymph node metastasis in papillary thyroid carcinoma. Medicine 2015, 94, e380. [Google Scholar] [CrossRef] [PubMed]
- Martinvalet, D.; Dykxhoorn, D.M.; Ferrini, R.; Lieberman, J. Granzyme a cleaves a mitochondrial complex i protein to initiate caspase-independent cell death. Cell 2008, 133, 681–692. [Google Scholar] [CrossRef] [PubMed]
- Ricci, J.E.; Munoz-Pinedo, C.; Fitzgerald, P.; Bailly-Maitre, B.; Perkins, G.A.; Yadava, N.; Scheffler, I.E.; Ellisman, M.H.; Green, D.R. Disruption of mitochondrial function during apoptosis is mediated by caspase cleavage of the p75 subunit of complex i of the electron transport chain. Cell 2004, 117, 773–786. [Google Scholar] [CrossRef] [PubMed]
- Jacquemin, G.; Margiotta, D.; Kasahara, A.; Bassoy, E.Y.; Walch, M.; Thiery, J.; Lieberman, J.; Martinvalet, D. Granzyme b-induced mitochondrial ros are required for apoptosis. Cell Death Differ. 2015, 22, 862–874. [Google Scholar] [CrossRef] [PubMed]





| Nr | Age | Sex | CI | CII | CIII | CIV | CV | P | Mutation of Complex I Genes |
|---|---|---|---|---|---|---|---|---|---|
| 1 | 34 | f | 22 | 198 | 157 | 176 | 125 | 130 | m. 14451_14452insT |
| 2 | 45 | f | 34 | 161 | 118 | 130 | 199 | 180 | n.d. |
| 3 | 58 | f | 88 | 117 | 159 | 160 | 145 | 251 | n.d. |
| 4 | 24 | m | 12 | 316 | 228 | 13 | 296 | 235 | none |
| 5 | 27 | m | 91 | 104 | 115 | 97 | 180 | 292 | n.d. |
| 6 | 27 | m | 104 | 86 | 91 | 109 | 102 | 110 | n.d. |
| 7 | 38 | f | 53 | 173 | 137 | 94 | 129 | 123 | m. 4611delA |
| 8 | 64 | f | 16 | 202 | 160 | 171 | 125 | 116 | m. 11179_11180insT |
| 9 | 30 | f | 58 | 84 | 106 | 104 | 92 | 104 | n.d. |
| 10 | 48 | f | 10 | 220 | 25 | 31 | 183 | 233 | none |
| 11 | 60 | m | 17 | 97 | 108 | 83 | 143 | 158 | none |
| 12 | 32 | f | 53 | 229 | 152 | 138 | 162 | 320 | n.d. |
| 13 | 35 | f | 71 | 353 | 214 | 191 | 163 | 333 | n.d. |
| 14 | 36 | f | 86 | 209 | 234 | 100 | 170 | 150 | n.d. |
| 15 | 46 | f | 73 | 126 | 132 | 138 | 133 | 130 | n.d. |
| 16 | 53 | f | 23 | 258 | 115 | 94 | - | 168 | none |
| 17 | 68 | f | 61 | 285 | 313 | 146 | 183 | 363 | n.d. |
| 18 | 41 | f | 38 | 181 | 146 | 168 | 159 | 165 | none |
© 2018 by the authors. Licensee MDPI, Basel, Switzerland. This article is an open access article distributed under the terms and conditions of the Creative Commons Attribution (CC BY) license (http://creativecommons.org/licenses/by/4.0/).
Share and Cite
Zimmermann, F.A.; Neureiter, D.; Sperl, W.; Mayr, J.A.; Kofler, B. Alterations of Oxidative Phosphorylation Complexes in Papillary Thyroid Carcinoma. Cells 2018, 7, 40. https://doi.org/10.3390/cells7050040
Zimmermann FA, Neureiter D, Sperl W, Mayr JA, Kofler B. Alterations of Oxidative Phosphorylation Complexes in Papillary Thyroid Carcinoma. Cells. 2018; 7(5):40. https://doi.org/10.3390/cells7050040
Chicago/Turabian StyleZimmermann, Franz A., Daniel Neureiter, Wolfgang Sperl, Johannes A. Mayr, and Barbara Kofler. 2018. "Alterations of Oxidative Phosphorylation Complexes in Papillary Thyroid Carcinoma" Cells 7, no. 5: 40. https://doi.org/10.3390/cells7050040
APA StyleZimmermann, F. A., Neureiter, D., Sperl, W., Mayr, J. A., & Kofler, B. (2018). Alterations of Oxidative Phosphorylation Complexes in Papillary Thyroid Carcinoma. Cells, 7(5), 40. https://doi.org/10.3390/cells7050040
