Immunohistochemical Characterization of Spermatogenesis in the Ascidian Ciona robusta
Abstract
1. Introduction
2. Materials and Methods
2.1. Dissection of Testis Tissue from Adult Animals
2.2. Isolation of Spermatogenic Cells
2.3. Histological Observation of Testes
2.4. Preparation of Frozen Sections
2.5. Primary Antibodies
2.6. Immunohistochemistry
2.7. Electron Microscopy
3. Results
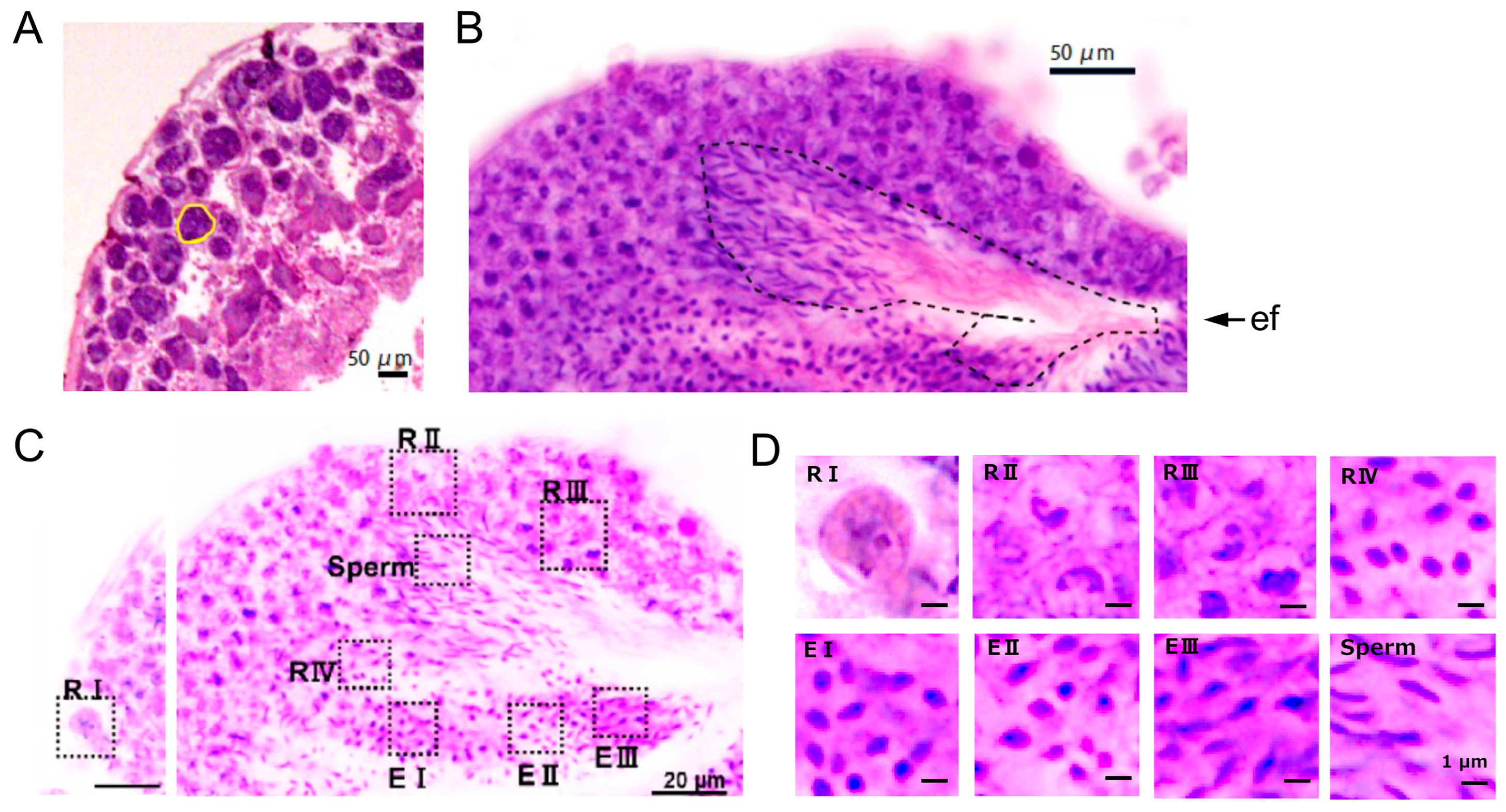
3.1. Observation and Classification of Spermatogenic Cells in Ciona Testis
3.2. Classification of Spermatogenic Cells Using Immunohistochemical Staining
3.2.1. MIS H-300 Antibody
3.2.2. Anti-CiVH Antibody
3.2.3. Anti-TD09 Antibody
3.2.4. Anti-TD02 Antibody
3.2.5. Anti-Acetylated α-Tubulin Antibody
3.3. Observation by Thin-Sectioned Electron Microscopy
4. Discussion
5. Conclusions
Author Contributions
Funding
Institutional Review Board Statement
Informed Consent Statement
Data Availability Statement
Acknowledgments
Conflicts of Interest
References
- Russell, L.D.; Ettlin, R.A.; Hikim, A.P.; Clegg, E.D. Mammalian spermatogenesis. In Histological and Histopathological Evaluation of the Testis; Russell, L.D., Ettlin, R., Sinha Hikim, A.P., Clegg, E.D., Eds.; Cache River: Clearwater, FL, USA, 1990; pp. 1–40. [Google Scholar]
- Griswold, M.D. Spermatogenesis: The Commitment to meiosis. Physiol. Rev. 2016, 96, 1–17. [Google Scholar] [CrossRef] [PubMed]
- Yoshida, S. From cyst to tubule: Innovations in vertebrate spermatogenesis. Wiley Interdiscip. Rev. Dev. Biol. 2016, 5, 119–131. [Google Scholar] [CrossRef] [PubMed]
- Satoh, N. Developmental Genomics of Ascidians; Wiley-Blackwell: Hoboken, NJ, USA, 2014; pp. 1–216. [Google Scholar]
- Inaba, K.; Padma, P.; Satouh, Y.; Shin-I, T.; Kohara, Y.; Satoh, N.; Satou, Y. EST analysis of gene expression in testis of the ascidian Ciona intestinalis. Mol. Reprod. Dev. 2002, 62, 431–445. [Google Scholar] [CrossRef] [PubMed]
- Saito, T.; Sawada, H. Fertilization of ascidians: Gamete interaction, self/nonself recognition and sperm penetration of egg coat. Front. Cell Dev. Biol. 2021, 9, 827214. [Google Scholar] [CrossRef] [PubMed]
- Miller, R.L. Sperm chemo-orientation in metazoan. In Biology of Fertilization; Metz, C.B., Monroy, A., Eds.; Academic Press: New York, NY, USA, 1985; pp. 275–337. [Google Scholar]
- Yoshida, M.; Murata, M.; Inaba, K.; Morisawa, M. A chemoattractant for ascidian spermatozoa is a sulfated steroid. Proc. Natl. Acad. Sci. USA 2002, 99, 14831–14836. [Google Scholar] [CrossRef]
- Inaba, K. Molecular architecture of the sperm flagella: Molecules for motility and signaling. Zool. Sci. 2003, 20, 1043–1056. [Google Scholar] [CrossRef]
- Mizuno, K.; Shiba, K.; Okai, M.; Takahashi, Y.; Shitaka, Y.; Oiwa, K.; Tanokura, M.; Inaba, K. Calaxin drives sperm chemotaxis by Ca2+-mediated direct modulation of a dynein motor. Proc. Natl. Acad. Sci. USA 2013, 109, 20497–20502. [Google Scholar] [CrossRef]
- Yoshida, K.; Shiba, K.; Sakamoto, A.; Ikenaga, J.; Matsunaga, S.; Inaba, K.; Yoshida, M. Ca2+ efflux via plasma membrane Ca2+-ATPase mediates chemotaxis in ascidian sperm. Sci. Rep. 2018, 8, 16622. [Google Scholar] [CrossRef]
- Lambert, C.C. The ascidian sperm reaction. Am. Zool. 1982, 22, 841–849. [Google Scholar] [CrossRef][Green Version]
- Lambert, C.C.; Koch, R.A. Sperm binding and penetration during ascidian fertilization. Dev. Growth Differ. 1988, 30, 325–336. [Google Scholar] [CrossRef]
- Morgan, T.H. Removal of the block to self-fertilization in the ascidian Ciona. Proc. Natl. Acad. Sci. USA 1923, 9, 170–171. [Google Scholar] [CrossRef] [PubMed]
- Harada, Y.; Takagaki, Y.; Sunagawa, M.; Saito, T.; Yamada, L.; Taniguchi, H.; Shoguchi, E.; Sawada, H. Mechanism of self-sterility in a hermaphroditic chordate. Science 2008, 320, 548–550. [Google Scholar] [CrossRef] [PubMed][Green Version]
- Saito, T.; Shiba, K.; Inaba, K.; Yamada, L.; Sawada, H. Self-incompatiblity response induced by calcium increase in sperm of the ascidian Ciona intestinalis. Proc. Natl. Acad. Sci. USA 2012, 109, 4158–4162. [Google Scholar] [CrossRef] [PubMed]
- Georges, D. Spermatogenese et spermiogenese de Ciona intestinalis L. Observees au electronique. J. Microscopie. 1969, 8, 391–400. [Google Scholar]
- Okada, T.; Yamamoto, M. Identification of early oogenetic cells in the solitary ascidians, Ciona savignyi and Ciona intestinalis: An immunoelectron microscopic study. Dev. Growth Differ. 1993, 35, 495–506. [Google Scholar] [CrossRef]
- Okada, T.; Yamamoto, M. Differentiation of the gonad rudiment into ovary and testis in the solitary ascidian, Ciona intestinalis. Dev. Growth Differ. 1999, 41, 759–768. [Google Scholar] [CrossRef]
- Takamura, K.; Fujimura, M.; Yamaguchi, Y. Primordial germ cells originate from the endodermal strand cells in the ascidian Ciona intestinalis. Dev. Genes Evol. 2002, 212, 11–18. [Google Scholar] [CrossRef]
- Cotelli, F.; De Santis, R.; Rosati, F.; Monroy, A. Acrosome differentiation in the spermatogenesis of Ciona intestinalis. Dev. Growth Differ. 1980, 22, 561–569. [Google Scholar] [CrossRef]
- Cavey, M.J. Spermatogenesis in the ovotestes of the solitary ascidian Boltenia villosa. In Reproduction and Development of Marine Invertebrates; Wilson, W.H., Stricker, S.A., Shinn, G.L., Eds.; Hopkins University Press: Baltimore, MD, USA, 1994; pp. 64–76. [Google Scholar]
- Burighel, P.; Cloney, R.A. Urochordata: Ascidiacea. In Microscopic Anatomy of Invertebrates; Harrison, F.W., Ruppert, E.E., Eds.; Wiley-Liss: New York, NY, USA, 1997; Volume 15, pp. 221–348. [Google Scholar]
- Kawamura, K.; Tiozzo, S.; Manni, L.; Sunanaga, T.; Burighel, P.; De Tomaso, A.W. Germline cell formation and gonad regeneration in solitary and colonial ascidians. Dev. Dyn. 2011, 240, 299–308. [Google Scholar] [CrossRef]
- Konno, A.; Padma, P.; Ushimaru, Y.; Inaba, K. Multidimensional analysis of uncharacterized sperm proteins in Ciona intestinalis: EST-based analysis and functional immunoscreening of testis-expressed genes. Zool. Sci. 2010, 27, 204–215. [Google Scholar] [CrossRef]
- Konno, A.; Kaizu, M.; Hotta, K.; Horie, T.; Sasakura, Y.; Ikeo, K.; Inaba, K. Distribution and structural diversity of cilia in tadpole larvae of the ascidian Ciona intestinalis. Dev. Biol. 2010, 337, 42–62. [Google Scholar] [CrossRef] [PubMed]
- Yuan, L.; Liu, J.G.; Zhao, J.; Brundell, E.; Daneholt, B.; Höög, C. The murine SCP3 gene is required for synaptonemal complex assembly, chromosome synapsis, and male fertility. Mol. Cell 2000, 5, 73–83. [Google Scholar] [CrossRef] [PubMed]
- Janke, C.; Bulinski, J.C. Post-translational regulation of the microtubule cytoskeleton: Mechanisms and functions. Nat. Rev. Mol. Cell Biol. 2011, 12, 773–786. [Google Scholar] [CrossRef] [PubMed]
- Piperno, G.; Fuller, M.T. Monoclonal antibodies specific for an acetylated form of alpha-tubulin recognize the antigen in cilia and flagella from a variety of organisms. J. Cell Biol. 1985, 101, 2085–2094. [Google Scholar] [CrossRef] [PubMed]
- Konno, A.; Shiba, K.; Cai, C.; Inaba, K. Branchial cilia and sperm flagella recruit distinct axonemal components. PLoS ONE 2015, 10, e0126005. [Google Scholar] [CrossRef]
- Kutomi, O.; Yamamoto, R.; Hirose, K.; Mizuno, K.; Nakagiri, Y.; Imai, H.; Noga, A.; Obbineni, J.M.; Zimmermann, N.; Nakajima, M.; et al. A dynein-associated photoreceptor protein prevents ciliary acclimation to blue light. Sci. Adv. 2021, 7, eabf3621. [Google Scholar] [CrossRef]
- Uribe, M.C.; Grier, H.J.; Mejía-Roa, V. Comparative testicular structure and spermatogenesis in bony fishes. Spermatogenesis 2015, 4, e983400. [Google Scholar] [CrossRef]
- Song, H.; Park, H.J.; Lee, W.Y.; Lee, K.H. Models and molecular markers of spermatogonial stem cells in vertebrates: To find models in nonmammals. Stem Cells Int. 2022, 2022, 4755514. [Google Scholar] [CrossRef]
- Demin, S.I.; Stefanova, V.N.; Granovitch, A.I.; Mikhailova, N.A. Spermatogenesis and lobular cyst type of testes organization in marine gastropod Littorina saxatilis (Olivi 1792). Cell Tissue Res. 2019, 376, 457–470. [Google Scholar] [CrossRef]
- Walker, C.W.; Harrington, L.M.; Lesser, M.P.; Fagerberg, W.R. Nutritive phagocyte incubation chambers provide a structural and nutritive microenvironment for germ cells of Strongylocentrotus droebachiensis, the green sea urchin. Biol. Bull. 2005, 209, 31–48. [Google Scholar] [CrossRef]
- Walker, C.W.; Lesser, M.P.; Unuma, T. Chapter 3. Sea urchin gametogenesis—Structural, functional and molecular/genomic biology. In Sea Urchins: Biology and Ecology; Developments in Aquaculture and Fisheries Science; Elsevier: Amsterdam, The Netherlands, 2013; Volume 38, pp. 25–38. [Google Scholar]
- LeDizet, M.; Piperno, G. Cytoplasmic microtubules containing acetylated alpha-tubulin in Chlamydomonas reinhardtii: Spatial arrangement and properties. J. Cell Biol. 1986, 103, 13–22. [Google Scholar] [CrossRef] [PubMed]
- Li, L.; Yang, X.J. Tubulin acetylation: Responsible enzymes, biological functions and human diseases. Cell. Mol. Life Sci. 2015, 72, 4237–4255. [Google Scholar] [CrossRef] [PubMed]
- Avidor-Reiss, T.; Leroux, M.R. Shared and distinct mechanisms of compartmentalized and cytosolic ciliogenesis. Curr. Biol. 2015, 25, R1143–R1150. [Google Scholar] [CrossRef] [PubMed]
- Fingerhut, J.M.; Yamashita, Y.M. mRNA localization mediates maturation of cytoplasmic cilia in Drosophila spermatogenesis. J. Cell Biol. 2020, 219, e202003084. [Google Scholar] [CrossRef]
- Riparbelli, M.G.; Persico, V.; Callaini, G. The microtubule cytoskeleton during the early Drosophila spermiogenesis. Cells 2020, 9, 2684. [Google Scholar] [CrossRef]








| Spermatogenic Cells | Sperm | ||||||||
|---|---|---|---|---|---|---|---|---|---|
| Spermatogenic Stage | Round Stage | Elongate Stage | |||||||
| RI | RII | RIII | RIV | EI | EII | EIII | |||
| Cell Morphology | Cell Size (μm) | 8.1~7.3 * | 6.9~6.1 | 5.8~4.0 | 3.9~2.1 | L: 3.44 ± 0.67 ** S: 2.68 ± 0.52 | L: 3.17 ± 0.64 S: 2.52 ± 0.55 | L: 3.19 ± 0.51 S: 1.78 ± 0.64 | L: 3.7 S: 0.7 |
| Cell Morphology | Nucleus Size (μm) | 3.2 ± 0.30 | 3.11 ± 0.47 | 2.92 ± 0.39 | 2.28 ± 0.52 | L: 2.22 ± 0.39 S: 1.81 ± 0.38 | L: 2.25 ± 0.45 S: 1.81 ± 0.3 | L: 2.65 ± 0.57 S: 1.31 ± 0.54 | L: 3.4 S: 0.6 |
| Nuclear Shape | Spherical Elliptical | Elliptical | Spherical Elliptical | Spherical Elliptical | Spherical Elliptical | Spherical Elliptical | Spherical Elliptical Rod-shaped | Rod-shaped | |
| Flagellar Length (μm) | – | – | – | – | 0~5.8 | 5.8~28.0 | 28.0~55 | 55 | |
| Immunohistochemical Staining | CiVH | ◯ *** | × | × | × | × | × | × | × |
| TD09 | × | ◯ | ◯ | ◯ | △ | × | × | × | |
| Ac-αTu | × | × | × | ◯ | ◯ | ◯ | ◯ | ◯ | |
| TD02 | × | × | × | × | × | × | ◯ | ◯ | |
| Corresponding Spermatogenic Stage | Spermatogonia | Spermatocyte | Spermatid | Sperm | |||||
Disclaimer/Publisher’s Note: The statements, opinions and data contained in all publications are solely those of the individual author(s) and contributor(s) and not of MDPI and/or the editor(s). MDPI and/or the editor(s) disclaim responsibility for any injury to people or property resulting from any ideas, methods, instructions or products referred to in the content. |
© 2024 by the authors. Licensee MDPI, Basel, Switzerland. This article is an open access article distributed under the terms and conditions of the Creative Commons Attribution (CC BY) license (https://creativecommons.org/licenses/by/4.0/).
Share and Cite
Sakurai, H.; Shiba, K.; Takamura, K.; Inaba, K. Immunohistochemical Characterization of Spermatogenesis in the Ascidian Ciona robusta. Cells 2024, 13, 1863. https://doi.org/10.3390/cells13221863
Sakurai H, Shiba K, Takamura K, Inaba K. Immunohistochemical Characterization of Spermatogenesis in the Ascidian Ciona robusta. Cells. 2024; 13(22):1863. https://doi.org/10.3390/cells13221863
Chicago/Turabian StyleSakurai, Haruka, Kogiku Shiba, Katsumi Takamura, and Kazuo Inaba. 2024. "Immunohistochemical Characterization of Spermatogenesis in the Ascidian Ciona robusta" Cells 13, no. 22: 1863. https://doi.org/10.3390/cells13221863
APA StyleSakurai, H., Shiba, K., Takamura, K., & Inaba, K. (2024). Immunohistochemical Characterization of Spermatogenesis in the Ascidian Ciona robusta. Cells, 13(22), 1863. https://doi.org/10.3390/cells13221863

