Analysis of the Mouse Hepatic Peroxisome Proteome—Identification of Novel Protein Constituents Using a Semi-Quantitative SWATH-MS Approach
Abstract
1. Introduction
2. Materials and Methods
2.1. Purification of Peroxisomes
2.2. Immunoblotting
2.3. Sample Preparation for MS Using Gel-Electrophoresis and in-Gel Digestion
2.4. SWATH-MS Analysis
2.5. Exploratory Data Analysis
2.6. Colocalization Experiments Using Overexpression of Myc-Tagged Versions of Candidate Proteins and/or Immunolocalisation of Endogenous Proteins
2.7. Immunofluorescence Analysis
3. Results
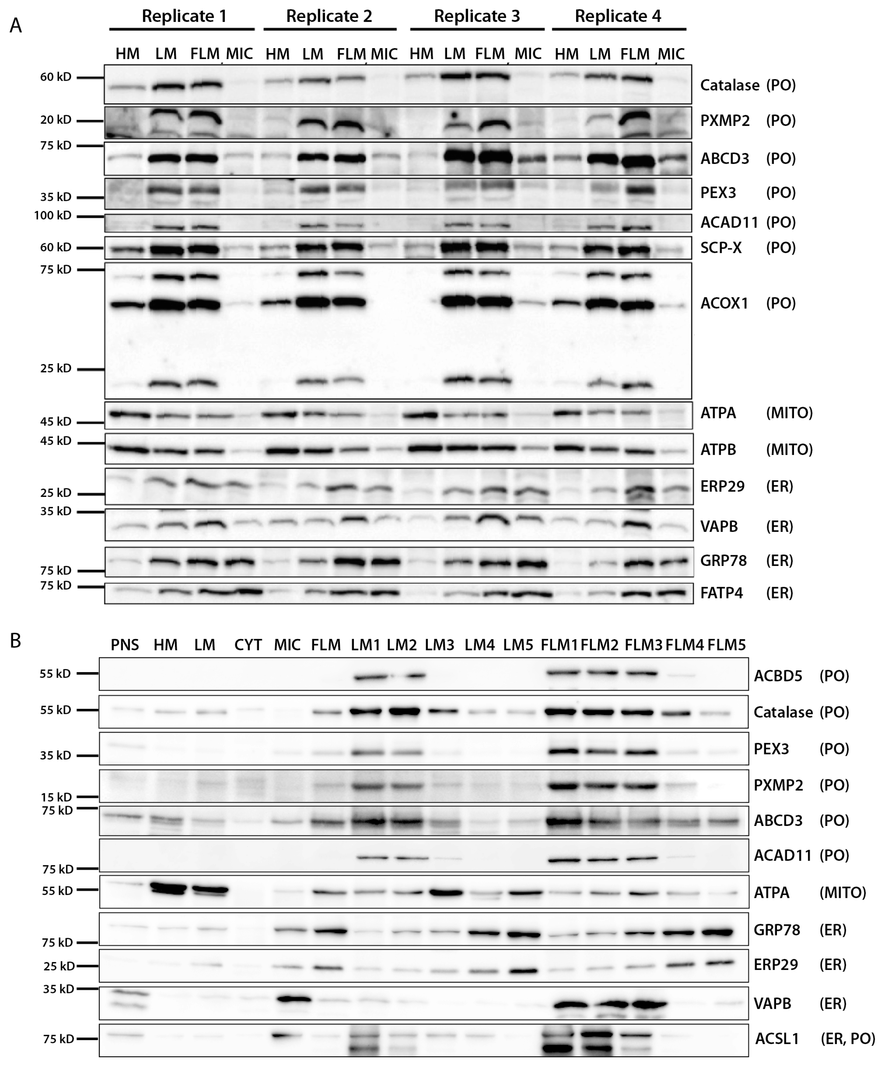
3.1. Mouse Liver Peroxisomes Can Be Isolated in Comparable Quality from Different Prefractions
3.2. SWATH MS Analysis of Purified Peroxisomes from LM and FLM Prefractions Result in a Highly Similar Enrichment of a Subset of Proteins
3.3. Overexpression of Selected Candidates Suggests That the Fractions of Purified Peroxisomes Contain Intrinsic Peroxisomal Proteins and Proteins Associated via Co-Purified Membrane Contacts
3.4. OCIAD1 Localizes to Peroxisomes and Mitochondria and Modulates the Morphology of Both Subcellular Compartments
4. Discussion
Supplementary Materials
Author Contributions
Funding
Institutional Review Board Statement
Informed Consent Statement
Data Availability Statement
Acknowledgments
Conflicts of Interest
References
- Wanders, R.J.A.; Baes, M.; Ribeiro, D.; Ferdinandusse, S.; Waterham, H.R. The physiological functions of human peroxisomes. Physiol. Rev. 2023, 103, 957–1024. [Google Scholar] [CrossRef]
- Silva, B.S.; DiGiovanni, L.; Kumar, R.; Carmichael, R.E.; Kim, P.K.; Schrader, M. Maintaining social contacts: The physiological relevance of organelle interactions. Biochim. Biophys. Acta BBA—Mol. Cell Res. 2020, 1867, 118800. [Google Scholar] [CrossRef] [PubMed]
- Yifrach, E.; Fischer, S.; Oeljeklaus, S.; Schuldiner, M.; Zalckvar, E.; Warscheid, B. Defining the Mammalian Peroxisomal Proteome. In Proteomics of Peroxisomes; Subcellular Biochemistry; Springer: Singapore, 2018; Volume 89, pp. 47–66. [Google Scholar] [CrossRef]
- Drissi, R.; Dubois, M.; Boisvert, F. Proteomics methods for subcellular proteome analysis. FEBS J. 2013, 280, 5626–5634. [Google Scholar] [CrossRef]
- Leighton, F.; Poole, B.; Beaufay, H.; Baudhuin, P.; Coffey, J.W.; Fowler, S.; De Duve, C. The Large-Scale Separation of Peroxisomes, Mitochondria, and Lysosomes from the Livers of Rats Injected with Triton WR-1339. Improved isolation procedures, automated analysis, biochemical and morphological properties of fractions. J. Cell Biol. 1968, 37, 482–513. [Google Scholar] [CrossRef]
- Völkl, A.; Fahimi, H.D. Isolation and characterization of peroxisomes from the liver of normal untreated rats. JBIC J. Biol. Inorg. Chem. 1985, 149, 257–265. [Google Scholar] [CrossRef] [PubMed]
- Islinger, M.; Luöers, G.H.; Li, K.W.; Loos, M.; Voölkl, A. Rat Liver Peroxisomes after Fibrate Treatment. A survey using quantitative mass spectrometry. J. Biol. Chem. 2007, 282, 23055–23069. [Google Scholar] [CrossRef]
- Islinger, M.; Li, K.W.; Loos, M.; Liebler, S.; Angermüller, S.; Eckerskorn, C.; Weber, G.; Abdolzade, A.; Völkl, A. Peroxisomes from the Heavy Mitochondrial Fraction: Isolation by Zonal Free Flow Electrophoresis and Quantitative Mass Spectrometrical Characterization. J. Proteome Res. 2010, 9, 113–124. [Google Scholar] [CrossRef] [PubMed]
- Gillet, L.C.; Navarro, P.; Tate, S.; Röst, H.; Selevsek, N.; Reiter, L.; Bonner, R.; Aebersold, R. Targeted Data Extraction of the MS/MS Spectra Generated by Data-independent Acquisition: A New Concept for Consistent and Accurate Proteome Analysis. Mol. Cell. Proteom. 2012, 11, O111.016717. [Google Scholar] [CrossRef]
- Ludwig, C.; Gillet, L.; Rosenberger, G.; Amon, S.; Collins, B.C.; Aebersold, R. Data-independent acquisition-based SWATH-MS for quantitative proteomics: A tutorial. Mol. Syst. Biol. 2018, 14, e8126. [Google Scholar] [CrossRef]
- Lundberg, E.; Borner, G.H.H. Spatial proteomics: A powerful discovery tool for cell biology. Nat. Rev. Mol. Cell Biol. 2019, 20, 285–302. [Google Scholar] [CrossRef] [PubMed]
- Manner, A.; Islinger, M. Isolation of Mammalian Peroxisomes by Density Gradient Centrifugation. In Peroxisomes; Methods in Molecular Biology; Humana: New York, NY, USA, 2023; Volume 2643, pp. 1–12. [Google Scholar] [CrossRef]
- Kyhse-Andersen, J. Electroblotting of multiple gels: A simple apparatus without buffer tank for rapid transfer of proteins from polyacrylamide to nitrocellulose. J. Biochem. Biophys. Methods 1984, 10, 203–209. [Google Scholar] [CrossRef]
- Collins, B.C.; Hunter, C.L.; Liu, Y.; Schilling, B.; Rosenberger, G.; Bader, S.L.; Chan, D.W.; Gibson, B.W.; Gingras, A.-C.; Held, J.M.; et al. Multi-laboratory assessment of reproducibility, qualitative and quantitative performance of SWATH-mass spectrometry. Nat. Commun. 2017, 8, 291. [Google Scholar] [CrossRef]
- McKinney, W. Data structures for statistical computing in python. In Proceedings of the 9th Python in Science Conference 2010, Austin, TX, USA, 28 June–3 July 2010; Volume 445, pp. 51–56. [Google Scholar]
- Harris, C.R.; Millman, K.J.; van der Walt, S.J.; Gommers, R.; Virtanen, P.; Cournapeau, D.; Wieser, E.; Taylor, J.; Berg, S.; Smith, N.J.; et al. Array programming with NumPy. Nature 2020, 585, 357–362. [Google Scholar] [CrossRef] [PubMed]
- Pedregosa, F.; Varoquaux, G.; Gramfort, A.; Michel, V.; Thirion, B.; Grisel, O.; Blondel, M.; Prettenhofer, P.; Weiss, R.; Dubourg, V.; et al. Scikit-learn: Machine Learning in Python. J. Mach. Learn. Res. 2011, 12, 2825–2830. [Google Scholar]
- Darwisch, W.; von Spangenberg, M.; Lehmann, J.; Singin, Ö.; Deubert, G.; Kühl, S.; Roos, J.; Horstmann, H.; Körber, C.; Hoppe, S.; et al. Cerebellar and hepatic alterations in ACBD5-deficient mice are associated with unexpected, distinct alterations in cellular lipid homeostasis. Commun. Biol. 2020, 3, 713. [Google Scholar] [CrossRef]
- Islinger, M.; Lüers, G.H.; Zischka, H.; Ueffing, M.; Völkl, A. Insights into the membrane proteome of rat liver peroxisomes: Microsomal glutathione-S-transferase is shared by both subcellular compartments. Proteomics 2006, 6, 804–816. [Google Scholar] [CrossRef] [PubMed]
- Watkins, P.A.; Ellis, J.M. Peroxisomal acyl-CoA synthetases. Biochim. Biophys. Acta BBA—Mol. Basis Dis. 2012, 1822, 1411–1420. [Google Scholar] [CrossRef]
- Costello, J.L.; Castro, I.G.; Hacker, C.; Schrader, T.A.; Metz, J.; Zeuschner, D.; Azadi, A.S.; Godinho, L.F.; Costina, V.; Findeisen, P.; et al. ACBD5 and VAPB mediate membrane associations between peroxisomes and the ER. J. Cell Biol. 2017, 216, 331–342. [Google Scholar] [CrossRef]
- Hua, R.; Cheng, D.; Coyaud, É.; Freeman, S.; Di Pietro, E.; Wang, Y.; Vissa, A.; Yip, C.M.; Fairn, G.D.; Braverman, N.; et al. VAPs and ACBD5 tether peroxisomes to the ER for peroxisome maintenance and lipid homeostasis. J. Cell Biol. 2017, 216, 367–377. [Google Scholar] [CrossRef]
- Gronemeyer, T.; Wiese, S.; Grinhagens, S.; Schollenberger, L.; Satyagraha, A.; Huber, L.A.; Meyer, H.E.; Warscheid, B.; Just, W.W. Localization of Rab proteins to peroxisomes: A proteomics and immunofluorescence study. FEBS Lett. 2013, 587, 328–338. [Google Scholar] [CrossRef]
- Wang, X.; Chen, X.-W. Cargo Receptor-Mediated ER Export in Lipoprotein Secretion and Lipid Homeostasis. Cold Spring Harb. Perspect. Biol. 2023, 15, a041260. [Google Scholar] [CrossRef]
- Ilacqua, N.; Anastasia, I.; Raimondi, A.; Lemieux, P.; Vallim, T.Q.d.A.; Toth, K.; Koonin, E.V.; Pellegrini, L. A three-organelle complex made by wrappER contacts with peroxisomes and mitochondria responds to liver lipid flux changes. J. Cell Sci. 2022, 135, jcs259091. [Google Scholar] [CrossRef] [PubMed]
- Vergarajauregui, S.; Martina, J.A.; Puertollano, R. Identification of the Penta-EF-hand Protein ALG-2 as a Ca2+-dependent Interactor of Mucolipin-1. J. Biol. Chem. 2009, 284, 36357–36366. [Google Scholar] [CrossRef] [PubMed]
- Ma, J.; Zhang, X.; Feng, Y.; Zhang, H.; Wang, X.; Zheng, Y.; Qiao, W.; Liu, X. Structural and Functional Study of Apoptosis-linked Gene-2·Heme-binding Protein 2 Interactions in HIV-1 Production. J. Biol. Chem. 2016, 291, 26670–26685. [Google Scholar] [CrossRef] [PubMed]
- McGourty, C.A.; Akopian, D.; Walsh, C.; Gorur, A.; Werner, A.; Schekman, R.; Bautista, D.; Rape, M. Regulation of the CUL3 Ubiquitin Ligase by a Calcium-Dependent Co-adaptor. Cell 2016, 167, 525–538.e14. [Google Scholar] [CrossRef]
- Kanadome, T.; Shibata, H.; Kuwata, K.; Takahara, T.; Maki, M. The calcium-binding protein ALG-2 promotes endoplasmic reticulum exit site localization and polymerization of Trk-fused gene (TFG) protein. FEBS J. 2016, 284, 56–76. [Google Scholar] [CrossRef]
- Le Vasseur, M.; Friedman, J.; Jost, M.; Xu, J.; Yamada, J.; Kampmann, M.; Horlbeck, M.A.; Salemi, M.R.; Phinney, B.S.; Weissman, J.S.; et al. Genome-wide CRISPRi screening identifies OCIAD1 as a prohibitin client and regulatory determinant of mitochondrial Complex III assembly in human cells. eLife 2021, 10, e67624. [Google Scholar] [CrossRef]
- Antonicka, H.; Lin, Z.-Y.; Janer, A.; Aaltonen, M.J.; Weraarpachai, W.; Gingras, A.-C.; Shoubridge, E.A. A High-Density Human Mitochondrial Proximity Interaction Network. Cell Metab. 2020, 32, 479–497.e9. [Google Scholar] [CrossRef]
- Ray, A.; Kamat, K.; Inamdar, M.S. A Conserved Role for Asrij/OCIAD1 in Progenitor Differentiation and Lineage Specification Through Functional Interaction with the Regulators of Mitochondrial Dynamics. Front. Cell Dev. Biol. 2021, 9, 643444. [Google Scholar] [CrossRef]
- Carmichael, R.E.; Islinger, M.; Schrader, M. Fission Impossible (?)—New Insights into Disorders of Peroxisome Dynamics. Cells 2022, 11, 1922. [Google Scholar] [CrossRef]
- Sugiura, A.; Mattie, S.; Prudent, J.; McBride, H.M. Newly born peroxisomes are a hybrid of mitochondrial and ER-derived pre-peroxisomes. Nature 2017, 542, 251–254. [Google Scholar] [CrossRef] [PubMed]
- Kikuchi, M.; Hatano, N.; Yokota, S.; Shimozawa, N.; Imanaka, T.; Taniguchi, H. Proteomic Analysis of Rat Liver Peroxisome: Presence of Peroxisome-Specific Isozyme of Lon Protease. J. Biol. Chem. 2004, 279, 421–428. [Google Scholar] [CrossRef] [PubMed]
- Mi, J.; Kirchner, E.; Cristobal, S. Quantitative proteomic comparison of mouse peroxisomes from liver and kidney. Proteomics 2007, 7, 1916–1928. [Google Scholar] [CrossRef] [PubMed]
- Wiese, S.; Gronemeyer, T.; Ofman, R.; Kunze, M.; Grou, C.P.; Almeida, J.A.; Eisenacher, M.; Stephan, C.; Hayen, H.; Schollenberger, L.; et al. Proteomics Characterization of Mouse Kidney Peroxisomes by Tandem Mass Spectrometry and Protein Correlation Profiling. Mol. Cell. Proteom. 2007, 6, 2045–2057. [Google Scholar] [CrossRef] [PubMed]
- Gronemeyer, T.; Wiese, S.; Ofman, R.; Bunse, C.; Pawlas, M.; Hayen, H.; Eisenacher, M.; Stephan, C.; Meyer, H.E.; Waterham, H.R.; et al. The Proteome of Human Liver Peroxisomes: Identification of Five New Peroxisomal Constituents by a Label-Free Quantitative Proteomics Survey. PLoS ONE 2013, 8, e57395. [Google Scholar] [CrossRef]
- Crook, O.M.; Smith, T.; Elzek, M.; Lilley, K.S. Moving Profiling Spatial Proteomics Beyond Discrete Classification. Proteomics 2020, 20, e1900392. [Google Scholar] [CrossRef] [PubMed]
- Shai, N.; Schuldiner, M.; Zalckvar, E. No peroxisome is an island—Peroxisome contact sites. Biochim. Biophys. Acta BBA—Mol. Cell Res. 2016, 1863, 1061–1069. [Google Scholar] [CrossRef]
- Foster, L.J.; de Hoog, C.L.; Zhang, Y.; Zhang, Y.; Xie, X.; Mootha, V.K.; Mann, M. A Mammalian Organelle Map by Protein Correlation Profiling. Cell 2006, 125, 187–199. [Google Scholar] [CrossRef]
- Jadot, M.; Boonen, M.; Thirion, J.; Wang, N.; Xing, J.; Zhao, C.; Tannous, A.; Qian, M.; Zheng, H.; Everett, J.K.; et al. Accounting for Protein Subcellular Localization: A Compartmental Map of the Rat Liver Proteome. Mol. Cell. Proteom. 2017, 16, 194–212. [Google Scholar] [CrossRef]
- Xiao, H.; Palhan, V.; Yang, Y.; Roeder, R.G. TIP30 has an intrinsic kinase activity required for up-regulation of a subset of apoptotic genes. EMBO J. 2000, 19, 956–963. [Google Scholar] [CrossRef]
- El Omari, K.; Bird, L.E.; Nichols, C.E.; Ren, J.; Stammers, D.K. Crystal Structure of CC3 (TIP30): Implications for its role as a tumor suppressor. J. Biol. Chem. 2005, 280, 18229–18236. [Google Scholar] [CrossRef] [PubMed]
- Zhang, C.; Li, A.; Gao, S.; Zhang, X.; Xiao, H. The TIP30 Protein Complex, Arachidonic Acid and Coenzyme A Are Required for Vesicle Membrane Fusion. PLoS ONE 2011, 6, e21233. [Google Scholar] [CrossRef] [PubMed]
- Liao, B.M.; Raddatz, K.; Zhong, L.; Parker, B.L.; Raftery, M.J.; Schmitz-Peiffer, C. Proteomic analysis of livers from fat-fed mice deficient in either PKCδ or PKCε identifies Htatip2 as a regulator of lipid metabolism. Proteomics 2014, 14, 2578–2587. [Google Scholar] [CrossRef] [PubMed]
- Hattori, K.; Adachi, H.; Matsuzawa, A.; Yamamoto, K.; Tsujimoto, M.; Aoki, J.; Hattori, M.; Arai, H.; Inoue, K. cDNA Cloning and Expression of Intracellular Platelet-activating Factor (PAF) Acetylhydrolase II. Its homology with plasma PAF acetylhydrolase. J. Biol. Chem. 1996, 271, 33032–33038. [Google Scholar] [CrossRef] [PubMed]
- Dong, L.; Li, Y.; Wu, H. Platelet activating-factor acetylhydrolase II: A member of phospholipase A2 family that hydrolyzes oxidized phospholipids. Chem. Phys. Lipids 2021, 239, 105103. [Google Scholar] [CrossRef] [PubMed]
- Wanders, R.J.A.; Waterham, H.R.; Ferdinandusse, S. Peroxisomes and Their Central Role in Metabolic Interaction Networks in Humans. In Proteomics of Peroxisomes; Subcellular Biochemistry; Springer: Singapore, 2018; Volume 89, pp. 345–365. [Google Scholar] [CrossRef]
- Wang, X.; Wang, H.; Xu, B.; Huang, D.; Nie, C.; Pu, L.; Zajac, G.J.; Yan, H.; Zhao, J.; Shi, F.; et al. Receptor-Mediated ER Export of Lipoproteins Controls Lipid Homeostasis in Mice and Humans. Cell Metab. 2021, 33, 350–366.e7. [Google Scholar] [CrossRef] [PubMed]
- Yamasaki, A.; Tani, K.; Yamamoto, A.; Kitamura, N.; Komada, M. The Ca2+-binding Protein ALG-2 Is Recruited to Endoplasmic Reticulum Exit Sites by Sec31A and Stabilizes the Localization of Sec31A. Mol. Biol. Cell 2006, 17, 4876–4887. [Google Scholar] [CrossRef]
- Shibata, H.; Suzuki, H.; Yoshida, H.; Maki, M. ALG-2 directly binds Sec31A and localizes at endoplasmic reticulum exit sites in a Ca2+-dependent manner. Biochem. Biophys. Res. Commun. 2007, 353, 756–763. [Google Scholar] [CrossRef]
- Shibata, H. Adaptor functions of the Ca2+-binding protein ALG-2 in protein transport from the endoplasmic reticulum. Biosci. Biotechnol. Biochem. 2019, 83, 20–32. [Google Scholar] [CrossRef]
- Enkler, L.; Szentgyörgyi, V.; Pennauer, M.; Prescianotto-Baschong, C.; Riezman, I.; Wiesyk, A.; Avraham, R.E.; Spiess, M.; Zalckvar, E.; Kucharczyk, R.; et al. Arf1 coordinates fatty acid metabolism and mitochondrial homeostasis. Nat. Cell. Biol. 2023, 25, 1157–1172. [Google Scholar] [CrossRef]
- Maki, M.; Takahara, T.; Shibata, H. Multifaceted Roles of ALG-2 in Ca2+-Regulated Membrane Trafficking. Int. J. Mol. Sci. 2016, 17, 1401. [Google Scholar] [CrossRef]
- Mukhopadhyay, A.; Das, D.; Inamdar, M.S. Embryonic stem cell and tissue-specific expression of a novel conserved gene, asrij. Dev. Dyn. 2003, 227, 578–586. [Google Scholar] [CrossRef]
- Shetty, D.K.; Kalamkar, K.P.; Inamdar, M.S. OCIAD1 Controls Electron Transport Chain Complex I Activity to Regulate Energy Metabolism in Human Pluripotent Stem Cells. Stem Cell Rep. 2018, 11, 128–141. [Google Scholar] [CrossRef]
- Seo, B.J.; Yoon, S.H.; Do, J.T. Mitochondrial Dynamics in Stem Cells and Differentiation. Int. J. Mol. Sci. 2018, 19, 3893. [Google Scholar] [CrossRef]
- Praveen, W.; Sinha, S.; Batabyal, R.; Kamat, K.; Inamdar, M.S. The OCIAD protein family: Comparative developmental biology and stem cell application. Int. J. Dev. Biol. 2020, 64, 213–225. [Google Scholar] [CrossRef]







Disclaimer/Publisher’s Note: The statements, opinions and data contained in all publications are solely those of the individual author(s) and contributor(s) and not of MDPI and/or the editor(s). MDPI and/or the editor(s) disclaim responsibility for any injury to people or property resulting from any ideas, methods, instructions or products referred to in the content. |
© 2024 by the authors. Licensee MDPI, Basel, Switzerland. This article is an open access article distributed under the terms and conditions of the Creative Commons Attribution (CC BY) license (https://creativecommons.org/licenses/by/4.0/).
Share and Cite
Singin, Ö.; Astapenka, A.; Costina, V.; Kühl, S.; Bonekamp, N.; Drews, O.; Islinger, M. Analysis of the Mouse Hepatic Peroxisome Proteome—Identification of Novel Protein Constituents Using a Semi-Quantitative SWATH-MS Approach. Cells 2024, 13, 176. https://doi.org/10.3390/cells13020176
Singin Ö, Astapenka A, Costina V, Kühl S, Bonekamp N, Drews O, Islinger M. Analysis of the Mouse Hepatic Peroxisome Proteome—Identification of Novel Protein Constituents Using a Semi-Quantitative SWATH-MS Approach. Cells. 2024; 13(2):176. https://doi.org/10.3390/cells13020176
Chicago/Turabian StyleSingin, Öznur, Artur Astapenka, Victor Costina, Sandra Kühl, Nina Bonekamp, Oliver Drews, and Markus Islinger. 2024. "Analysis of the Mouse Hepatic Peroxisome Proteome—Identification of Novel Protein Constituents Using a Semi-Quantitative SWATH-MS Approach" Cells 13, no. 2: 176. https://doi.org/10.3390/cells13020176
APA StyleSingin, Ö., Astapenka, A., Costina, V., Kühl, S., Bonekamp, N., Drews, O., & Islinger, M. (2024). Analysis of the Mouse Hepatic Peroxisome Proteome—Identification of Novel Protein Constituents Using a Semi-Quantitative SWATH-MS Approach. Cells, 13(2), 176. https://doi.org/10.3390/cells13020176

