Expression Profiles of GILZ and Annexin A1 in Human Oral Candidiasis and Lichen Planus
Abstract
1. Introduction
2. Materials and Methods
Statistics
3. Results
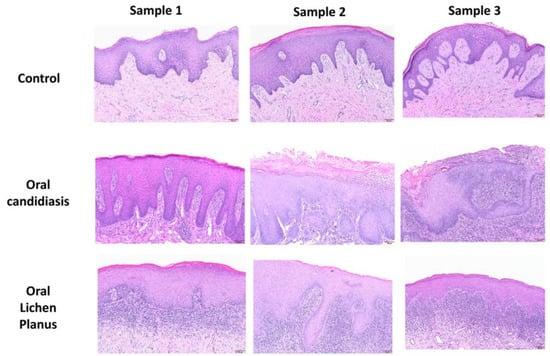
3.1. Histopathological Assessment
3.1.1. Control Specimens
3.1.2. Oral Candidiasis (OC)
3.1.3. Oral Lichen Planus (OLP)
3.2. GILZ Immunohistochemistry
3.2.1. Control Specimens
3.2.2. Oral Candidiasis
3.2.3. Oral Lichen Planus
3.3. Annexin A1 Immunohistochemistry
3.3.1. Control Specimens
3.3.2. Oral Candidiasis
3.3.3. Oral Lichen Planus
3.3.4. Semi-Quantitative Analysis
4. Discussion
Author Contributions
Funding
Institutional Review Board Statement
Informed Consent Statement
Data Availability Statement
Acknowledgments
Conflicts of Interest
Abbreviations
| DSS | Dextran sulfate sodium |
| GILZ | Glucocorticoid-induced leucine zipper |
| H&E | Hematoxylin–eosin |
| IBS | Inflammatory bowel disease |
| LPS | Lipopolysaccharide |
| OLP | Oral lichen planus |
| OC | Oral candidiasis |
| PAS | Periodic acid–Schiff |
| siRNA | Small interfering ribonucleic acid |
| TAT | Transactivator of transcription |
| Th | T helper |
References
- Cain, D.W.; Cidlowski, J. Immune regulation by glucocorticoids. Nat. Rev. Immunol. 2017, 17, 233–247. [Google Scholar] [CrossRef] [PubMed]
- Mozaffari, M.S. Role of GILZ in the Kidney and the Cardiovascular System: Relevance to Cardiorenal Complications of COVID-19. J. Pharmacol. Exp. Ther. 2020, 375, 398–405. [Google Scholar] [CrossRef]
- Cannarile, L.; Delfino, D.V.; Adorisio, S.; Riccardi, C.; Ayroldi, E. Implicating the Role of GILZ in Glucocorticoid Modulation of T-Cell Activation. Front. Immunol. 2019, 10, 1823. [Google Scholar] [CrossRef] [PubMed]
- Mozaffari, M.S.; Abdelsayed, R. Expression Profiles of GILZ and SGK-1 in Potentially Malignant and Malignant Human Oral Lesions. Front. Oral Health 2021, 2, 675288. [Google Scholar] [CrossRef]
- Mozaffari, M.S. Therapeutic Potential of Annexin A1 Modulation in Kidney and Cardiovascular Disorders. Cells 2021, 10, 3420. [Google Scholar] [CrossRef]
- Sheikh, M.H.; Solito, E. Annexin A1: Uncovering the Many Talents of an Old Protein. Int. J. Mol. Sci. 2018, 19, 1045. [Google Scholar] [CrossRef] [PubMed]
- Perretti, M.; D’Acquisto, F. Annexin A1 and glucocorticoids as effectors of the resolution of inflammation. Nat. Rev. Immunol. 2009, 9, 62–70. [Google Scholar] [CrossRef] [PubMed]
- Alrashdan, M.S.; Cirillo, N.; McCullough, M. Oral lichen planus: A literature review and update. Arch. Dermatol. Res. 2016, 308, 539–551. [Google Scholar] [CrossRef]
- Warnakulasuriya, S.; Kujan, O.; Aguirre-Urizar, J.M.; Bagan, J.V.; González-Moles, M.Á.; Kerr, A.R.; Lodi, G.; Mello, F.W.; Monteiro, L.; Ogden, G.R.; et al. Oral potentially malignant disorders: A consensus report from an international seminar on nomenclature and classification, convened by the WHO Collaborating Centre for Oral Cancer. Oral Dis. 2020, 27, 1862–1880. [Google Scholar] [CrossRef]
- González-Moles, M.Á.; Ruiz-Ávila, I.; González-Ruiz, L.; Ayén, Á.; Gil-Montoya, J.A.; Ramos-García, P. Malignant transformation risk of oral lichen planus: A systematic review and comprehensive meta-analysis. Oral Oncol. 2019, 96, 121–130. [Google Scholar] [CrossRef]
- da Silva, E.L.; de Lima, T.B.; Rados, P.V.; Visioli, F. Efficacy of topical non-steroidal immunomodulators in the treatment of oral lichen planus: A systematic review and meta-analysis. Clin. Oral Investig. 2021, 25, 5149–5169. [Google Scholar] [CrossRef] [PubMed]
- Bennardo, F.; Liborio, F.; Barone, S.; Antonelli, A.; Buffone, C.; Fortunato, L.; Giudice, A. Efficacy of platelet-rich fibrin compared with triamcinolone acetonide as injective therapy in the treatment of symptomatic oral lichen planus: A pilot study. Clin. Oral Investig. 2021, 25, 3747–3755. [Google Scholar] [CrossRef] [PubMed]
- Hellstein, J.W.; Marek, C.L. Candidiasis: Red and White Manifestations in the Oral Cavity. Head Neck Pathol. 2019, 13, 25–32. [Google Scholar] [CrossRef] [PubMed]
- Cirillo, N.; Hassona, Y.; Pignatelli, M.; Gasparoto, T.; Morgan, D.; Prime, S. Characterization of a Novel Oral Glucocorticoid System and Its Possible Role in Disease. J. Dent. Res. 2012, 91, 97–103. [Google Scholar] [CrossRef]
- Cirillo, N. Role of tissue-specific steroid metabolism in oral disease: Is there any clinical implication? Oral Dis. 2018, 24, 224–227. [Google Scholar] [CrossRef]
- Crowe, A.R.; Yue, W. Semi-quantitative Determination of Protein Expression Using Immunohistochemistry Staining and Analysis: An Integrated Protocol. Bio-Protocol 2019, 9, e3465. [Google Scholar] [CrossRef]
- Zhang, X.-H.; Lu, X.; Long, X.-B.; You, X.-J.; Gao, Q.-X.; Cui, Y.-H.; Liu, Z. Chronic rhinosinusitis with and without nasal polyps is associated with decreased expression of glucocorticoid-induced leucine zipper. Clin. Exp. Allergy 2009, 39, 647–654. [Google Scholar] [CrossRef]
- Fernández-Bertolín, L.; Mullol, J.; Fuentes, M.; Roca-Ferrer, J.; Alobid, I.; Picado, C.; Pujols, L. Effect of Lipopolysaccharide on Glucocorticoid Receptor Function in Control Nasal Mucosa Fibroblasts and in Fibroblasts from Patients with Chronic Rhinosinusitis with Nasal Polyps and Asthma. PLoS ONE 2015, 10, e0125443. [Google Scholar] [CrossRef]
- Wilson, S.M.; Shen, P.; Rider, C.F.; Traves, S.L.; Proud, D.; Newton, R.; Giembycz, M.A. Selective Prostacyclin Receptor Agonism Augments Glucocorticoid-Induced Gene Expression in Human Bronchial Epithelial Cells. J. Immunol. 2009, 183, 6788–6799. [Google Scholar] [CrossRef]
- Gomez, M.; Raju, S.V.; Viswanathan, A.; Painter, R.G.; Bonvillain, R.; Byrne, P.; Nguyen, D.H.; Bagby, G.J.; Kolls, J.K.; Nelson, S.; et al. Ethanol Upregulates Glucocorticoid-Induced Leucine Zipper Expression and Modulates Cellular Inflammatory Responses in Lung Epithelial Cells. J. Immunol. 2010, 184, 5715–5722. [Google Scholar] [CrossRef]
- Johnson, S.L.; Gopal, R.; Enriquez, A.; Monroy, F.P. Role of glucocorticoids and Toxoplasma gondii infection on murine intestinal epithelial cells. Parasitol. Int. 2014, 63, 687–694. [Google Scholar] [CrossRef] [PubMed]
- Gentili, M.; Hidalgo-Garcia, L.; Vezza, T.; Ricci, E.; Migliorati, G.; Rodriguez-Nogales, A.; Riccardi, C.; Galvez, J.; Ronchetti, S. A re-combinant glucocorticoid-induced leucine zipper protein ameliorates symptoms of dextran sulfate sodium-induced colitis by improving intestinal permeability. FASEB J. 2021, 35, e21950. [Google Scholar] [CrossRef] [PubMed]
- Ribeiro, S.B.; Araújo, A.; Júnior, R.F.D.A.; Brito, G.; Leitão, R.C.; Barbosa, M.M.; Garcia, V.B.; Medeiros, A.C.; De Medeiros, C.A.C.X. Protective effect of dexamethasone on 5-FU-induced oral mucositis in hamsters. PLoS ONE 2017, 12, e0186511. [Google Scholar] [CrossRef] [PubMed]
- Rodrigo, J.P.; García-Pedrero, J.M.; González, M.V.; Fernández, M.P.; Suárez, C.; Herrero, A. Expression of Annexin A1 in Normal and Chronically Inflamed Nasal Mucosa. Arch. Otolaryngol. Head Neck Surg. 2004, 130, 211–215. [Google Scholar] [CrossRef] [PubMed][Green Version]
- Rodrigo Tapia, J.P.; García Pedrero, J.M.; Pena Alonso, E.; Fernández, M.P.; Morgan, R.O.; Suárez Nieto, C.; Herrero Zapatero, A. Ex-presión de las anexinas Al y A2 en la mucosa del tracto aerodigestivo superior [Expression of annexins Al and A2 in the mucosa of the upper airdigestive tract]. Acta Otorrinolaringol. Esp. 2004, 55, 310–314. [Google Scholar] [CrossRef]
- Wang, L.-M.; Li, W.-H.; Xu, Y.-C.; Wei, Q.; Zhao, H.; Jiang, X.-F. Annexin 1-Derived Peptide Ac2-26 Inhibits Eosinophil Recruitment in vivo via Decreasing Prostaglandin D2. Int. Arch. Allergy Immunol. 2011, 154, 137–148. [Google Scholar] [CrossRef]
- Jorge, Y.C.; Mataruco, M.M.; Araújo, L.P.; Rossi, A.F.T.; De Oliveira, J.G.; Valsechi, M.C.; Caetano, A.; Miyazaki, K.; Fazzio, C.S.D.J.; Thomé, J.A.; et al. Expression of Annexin-A1 and Galectin-1 Anti-Inflammatory Proteins and mRNA in Chronic Gastritis and Gastric Cancer. Mediat. Inflamm. 2013, 2013, 152860. [Google Scholar] [CrossRef]
- Martin, G.R.; Perretti, M.; Flower, R.J.; Wallace, J.L. Annexin-1 modulates repair of gastric mucosal injury. Am. J. Physiol. Liver Physiol. 2008, 294, G764–G769. [Google Scholar] [CrossRef]
- Sena, A.; Grishina, I.; Thai, A.; Goulart, L.; Macal, M.; Fenton, A.; Li, J.; Prindiville, T.; Oliani, S.M.; Dandekar, S.; et al. Dysregulation of Anti-Inflammatory Annexin A1 Expression in Progressive Crohns Disease. PLoS ONE 2013, 8, e76969. [Google Scholar]
- Ouyang, N.; Zhu, C.; Zhou, D.; Nie, T.; Go, M.F.; Richards, R.J.; Rigas, B. MC-12, an Annexin A1-Based Peptide, Is Effective in the Treatment of Experimental Colitis. PLoS ONE 2012, 7, e41585. [Google Scholar] [CrossRef]
- Vong, L.; Ferraz, J.G.P.; Dufton, N.; Panaccione, R.; Beck, P.L.; Sherman, P.; Perretti, M.; Wallace, J.L. Up-Regulation of Annexin-A1 and Lipoxin A4 in Individuals with Ulcerative Colitis May Promote Mucosal Homeostasis. PLoS ONE 2012, 7, e39244. [Google Scholar] [CrossRef] [PubMed]
- Coméra, C.; Brousset, P.; Moré, J.; Vergnolle, N.; Buéno, L. Inflammatory neutrophils secrete annexin 1 during experimentally in-duced colitis in rats. Dig. Dis. Sci. 1999, 44, 1448–1457. [Google Scholar] [CrossRef] [PubMed]
- Laukötter, M.; Babbin, B.; Nava, P.; Koch, S.; Lee, W.; Flower, R.; Perretti, M.; Parkos, C.; Nusrat, A. Annexin A1 Regulates Intestinal Mucosal Injury, Inflammation, and Repair. J. Immunol. 2008, 181, 5035–5044. [Google Scholar]
- Leoni, G.; Alam, A.; Neumann, P.-A.; Lambeth, J.D.; Cheng, G.; McCoy, J.; Hilgarth, R.S.; Kundu, K.; Murthy, N.; Kusters, D.; et al. Annexin A1, formyl peptide receptor, and NOX1 orchestrate epithelial repair. J. Clin. Investig. 2012, 123, 443–454. [Google Scholar] [CrossRef] [PubMed]
- Bensalem, N.; Ventura, A.P.; Vallée, B.; Lipecka, J.; Tondelier, D.; Davezac, N.; Dos Santos, A.; Perretti, M.; Fajac, A.; Sermet-Gaudelus, I.; et al. Down-regulation of the Anti-inflammatory Protein Annexin A1 in Cystic Fibrosis Knock-out Mice and Patients. Mol. Cell. Proteom. 2005, 4, 1591–1601. [Google Scholar] [CrossRef] [PubMed]
- Lin, C.-Y.; Jeng, Y.-M.; Chou, H.-Y.; Hsu, H.-C.; Yuan, R.-H.; Chiang, C.-P.; Kuo, M.Y.-P. Nuclear localization of annexin A1 is a prognostic factor in oral squamous cell carcinoma. J. Surg. Oncol. 2008, 97, 544–550. [Google Scholar] [CrossRef]
- Nomura, H.; Uzawa, K.; Yamano, Y.; Fushimi, K.; Nakashima, D.; Kouzu, Y.; Kasamatsu, A.; Ogawara, K.; Shiiba, M.; Bukawa, H.; et al. Down-regulation of plasma membranous Annexin A1 protein expression in premalignant and malignant le-sions of the oral cavity: Correlation with epithelial differentiation. J. Cancer Res. Clin. Oncol. 2009, 135, 943–949. [Google Scholar] [CrossRef]
- Rodrigo, J.P.; Garcia-Pedrero, J.M.; Fernandez, M.P.; Morgan, R.O.; Suárez, C.; Herrero, A. Annexin A1 Expression in Nasopharyngeal Carcinoma Correlates with Squamous Differentiation. Am. J. Rhinol. 2005, 19, 483–487. [Google Scholar] [CrossRef]
- Álvarez-Teijeiro, S.; Menéndez, S.T.; Villaronga, M.Á.; Pena-Alonso, E.; Rodrigo, J.P.; Morgan, R.O.; Granda-Díaz, R.; Salom, C.; Fernandez, M.P.; García-Pedrero, J.M. Annexin A1 down-regulation in head and neck squamous cell carcinoma is mediated via transcrip-tional control with direct involvement of miR-196a/b. Sci. Rep. 2017, 7, 6790. [Google Scholar] [CrossRef]
- Ganesan, T.; Sinniah, A.; Ibrahim, Z.A.; Chik, Z.; Alshawsh, M.A. Annexin A1: A Bane or a Boon in Cancer? A Systematic Review. Molecules 2020, 25, 3700. [Google Scholar] [CrossRef]
- Barbosa, C.M.V.; Fock, R.A.; Hastreiter, A.A.; Reutelingsperger, C.; Perretti, M.; Paredes-Gamero, E.J.; Farsky, S.H.P. Extracellular an-nexin-A1 promotes myeloid/granulocytic differentiation of hematopoietic stem/progenitor cells via the Ca2+/MAPK signalling transduction pathway. Cell Death Discov. 2019, 5, 135. [Google Scholar] [CrossRef] [PubMed]
- D’Acquisto, F.; Merghani, A.; Lecona, E.; Rosignoli, G.; Raza, K.; Buckley, C.D.; Flower, R.J.; Perretti, M. Annexin-1 modulates T-cell activation and differentiation. Blood 2007, 109, 1095–1102. [Google Scholar] [CrossRef] [PubMed]
- Bizzarro, V.; Petrella, A.; Parente, L. Annexin A1: Novel roles in skeletal muscle biology. J. Cell. Physiol. 2012, 227, 3007–3015. [Google Scholar] [CrossRef] [PubMed]
- Lilly, E.A.; Yano, J.; Fidel, P.L., Jr. Annexin-A1 identified as the oral epithelial cell anti-Candida effector moiety. Mol. Oral Microbiol. 2010, 25, 293–304. [Google Scholar] [CrossRef][Green Version]
- Fidel, P.L., Jr. Candida-host interactions in HIV disease: Implications for oropharyngeal candidiasis. Adv. Dent. Res. 2011, 23, 45–49. [Google Scholar] [CrossRef]






| Age (Years) | Sex | Ethnicity | Anatomical Site | Clinical Impression/Diagnosis | |
|---|---|---|---|---|---|
| Control | |||||
| Patient 1 | 33 | Male | Unknown | Maxillary ridge | Fibroma |
| Patient 2 | 21 | Male | Unknown | Lower lip | Fibroma |
| Patient 3 | 76 | Male | Unknown | Lower lip | Fibroma; mucocele |
| Patient 4 | 69 | Female | Caucasian | Tongue | Fibroma |
| Patient 5 | 54 | Male | Caucasian | Buccal mucosa | Papilloma |
| Oral Candidiasis | |||||
| Patient 1 | 56 | Male | African-American | Buccal mucosa | Candidiasis; leukoplakia |
| Patient 2 | 37 | Male | Caucasian | Buccal mucosa | Leukoplakia; lichen planus |
| Patient 3 | 36 | Male | African-American | Tongue | Candidiasis |
| Patient 4 | 79 | Female | Caucasian | Tongue | Hyperkeratosis; dysplasia; squamous cell carcinoma |
| Patient 5 | 66 | Male | African-American | Buccal mucosa | Leukoplakia |
| Patient 6 | 82 | Male | Caucasian | Buccal mucosa | Papilloma |
| Patient 7 | 61 | Female | Unknown | Retromolar pad | Candidiasis; dysplasia |
| Patient 8 | 61 | Female | Unknown | Palate | Candidiasis |
| Patient 9 | 44 | Female | African-American | Tongue | Lichenoid mucositis; lichen planus |
| Patient 10 | 74 | Male | Caucasian | Tongue | Ulcer; dysplasia |
| Oral Lichen Planus | |||||
| Patient 1 | 59 | Female | Caucasian | Buccal mucosa | Lichen planus |
| Patient 2 | 69 | Male | Caucasian | Buccal mucosa | Lichen planus |
| Patient 3 | 32 | Male | Unknown | Tongue | Keratosis |
| Patient 4 | 32 | Male | Caucasian | Buccal mucosa | Traumatic keratosis |
| Patient 5 | 55 | Female | Unknown | Buccal mucosa | Lichen planus |
| Patient 6 | 67 | Female | Caucasian | Hard/soft palate | Lichen planus |
| Patient 7 | 39 | Male | Caucasian | Maxillary gingiva | Lichen planus |
| Patient 8 | 39 | Female | Caucasian | Buccal mucosa | Lichen planus |
| Patient 9 | 58 | Female | Caucasian | Buccal mucosa | Lichen planus |
| Patient 10 | 71 | Female | Caucasian | Maxillary gingiva | Lichen planus |
Publisher’s Note: MDPI stays neutral with regard to jurisdictional claims in published maps and institutional affiliations. |
© 2022 by the authors. Licensee MDPI, Basel, Switzerland. This article is an open access article distributed under the terms and conditions of the Creative Commons Attribution (CC BY) license (https://creativecommons.org/licenses/by/4.0/).
Share and Cite
Mozaffari, M.S.; Abdelsayed, R. Expression Profiles of GILZ and Annexin A1 in Human Oral Candidiasis and Lichen Planus. Cells 2022, 11, 1470. https://doi.org/10.3390/cells11091470
Mozaffari MS, Abdelsayed R. Expression Profiles of GILZ and Annexin A1 in Human Oral Candidiasis and Lichen Planus. Cells. 2022; 11(9):1470. https://doi.org/10.3390/cells11091470
Chicago/Turabian StyleMozaffari, Mahmood S., and Rafik Abdelsayed. 2022. "Expression Profiles of GILZ and Annexin A1 in Human Oral Candidiasis and Lichen Planus" Cells 11, no. 9: 1470. https://doi.org/10.3390/cells11091470
APA StyleMozaffari, M. S., & Abdelsayed, R. (2022). Expression Profiles of GILZ and Annexin A1 in Human Oral Candidiasis and Lichen Planus. Cells, 11(9), 1470. https://doi.org/10.3390/cells11091470

