Establishing F1A-CreERT2 Mice to Trace Fgf1 Expression in Adult Mouse Cardiomyocytes
Abstract
1. Introduction
2. Materials and Methods
2.1. Generation of F1A-CreERT2 Transgenic Mice
2.2. Crossing of F1A-CreERT2 and ROSA26 Mice for Tracing the Activity of F1A-Promoter by LacZ Staining Assay
2.3. One-Step PCR Genotyping, Genomic DNA Extraction and Polymerase Chain Reaction
2.4. RNA Preparation, Reverse Transcription and Quantitative Polymerase Chain Reaction
2.5. Animal Perfusion and Tissue Process
2.6. LacZ Staining and Immunohistochemistry
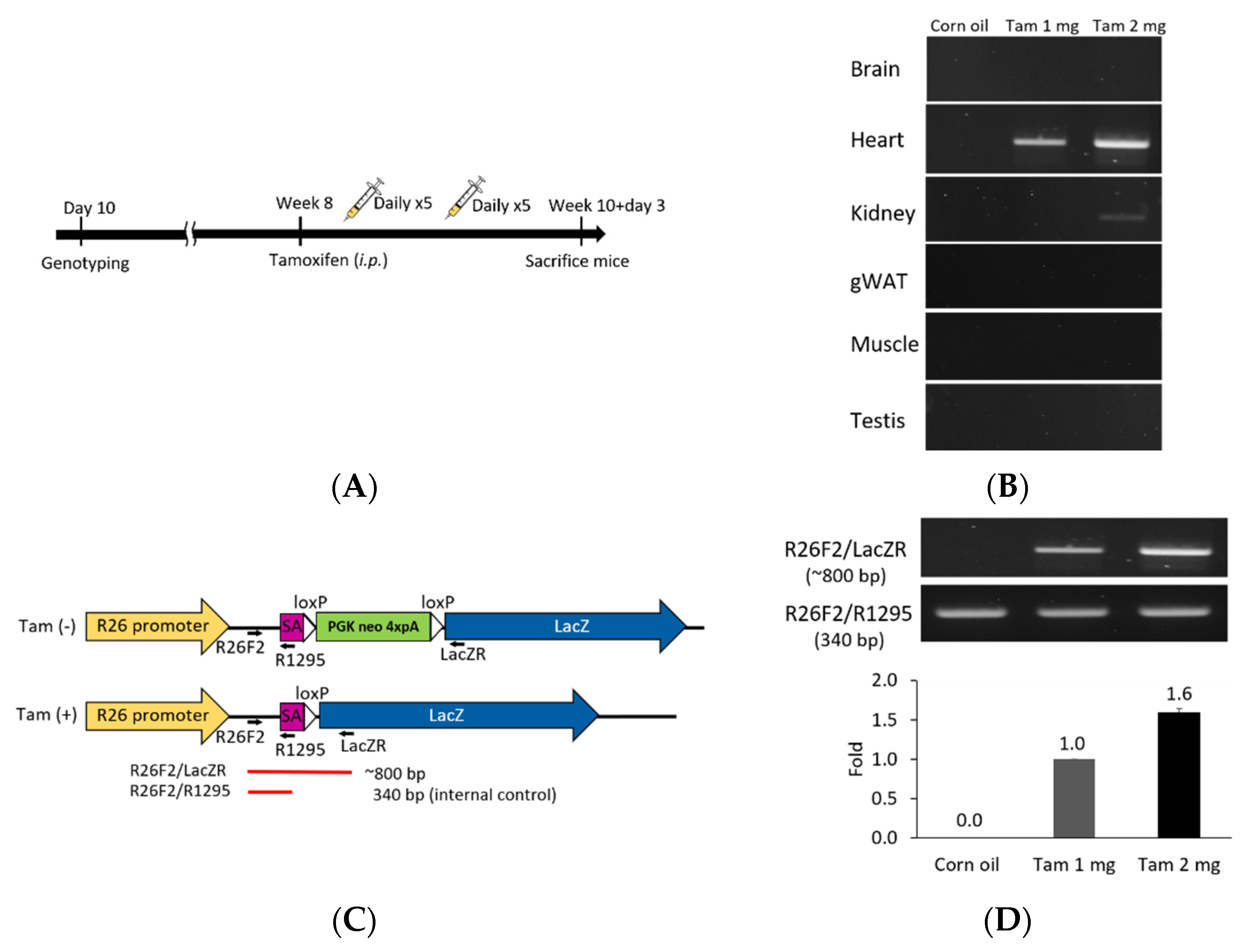
2.7. Tamoxifen Preparation and Administration
2.8. Statistical Analysis
3. Results
3.1. Expression Levels of CreERT2 mRNA of F1A-CreERT2 Mice Showed Similar Pattern with Endogenous Fgf1A mRNA
3.2. Tamoxifen-Activated Cre-loxP Recombination of Genomic DNA Is Tissue-Specific and Dose-Dependent
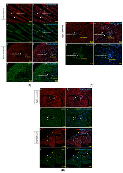
3.3. F1A-CreERT2 Mice Could Be Used to Trace and Label the Specific Cell Type Activated in the Heart after Tamoxifen Treatment
3.4. The Specific Cell Types Labeled in the Heart with F1A Promoter-Driven RFP Expression in F1A-CreERT2 Mice
4. Discussion
5. Conclusions
Supplementary Materials
Author Contributions
Funding
Institutional Review Board Statement
Informed Consent Statement
Data Availability Statement
Acknowledgments
Conflicts of Interest
References
- Feil, R.; Wagner, J.; Metzger, D.; Chambon, P. Regulation of Cre Recombinase Activity by Mutated Estrogen Receptor Ligand-Binding Domains. Biochem. Biophys. Res. Commun. 1997, 237, 752–757. [Google Scholar] [CrossRef]
- Indra, A.K.; Warot, X.; Brocard, J.; Bornert, J.M.; Xiao, J.H.; Chambon, P.; Metzger, D. Temporally-controlled site-specific mutagenesis in the basal layer of the epidermis: Comparison of the recombinase activity of the tamoxifen-inducible Cre-ER(T) and Cre-ER(T2) recombinases. Nucleic Acids Res. 1999, 27, 4324–4327. [Google Scholar] [CrossRef] [PubMed]
- Kimura, W.; Xiao, F.; Canseco, D.C.; Muralidhar, S.; Thet, S.; Zhang, H.M.; Abderrahman, Y.; Chen, R.; Garcia, J.A.; Shelton, J.M.; et al. Hypoxia fate mapping identifies cycling cardiomyocytes in the adult heart. Nat. Cell Biol. 2015, 523, 226–230. [Google Scholar] [CrossRef] [PubMed]
- Cuervo, H.; Pereira, B.; Nadeem, T.; Lin, M.; Lee, F.; Kitajewski, J.; Lin, C.S. PDGFRbeta-P2A-CreERT2 mice: A genetic tool to target pericytes in angiogenesis. Angiogenesis 2017, 20, 655–662. [Google Scholar] [CrossRef]
- Raju, R.; Palapetta, S.M.; Sandhya, V.K.; Sahu, A.; Alipoor, A.; Balakrishnan, L.; Advani, J.; George, B.; Kini, K.R.; Geetha, N.P.; et al. A Network Map of FGF-1/FGFR Signaling System. J. Signal Transduct. 2014, 2014, 962962. [Google Scholar] [CrossRef]
- Myers, R.L.; Payson, R.A.; Chotani, M.; Deaven, L.L.; Chiu, I.M. Gene structure and differential expression of acidic fibroblast growth factor mRNA: Identification and distribution of four different transcripts. Oncogene 1993, 8, 341–349. [Google Scholar]
- Chiu, I.-M.; Touhalisky, K.; Baran, C. Multiple controlling mechanisms of FGF1 gene expression through multiple tissue-specific promoters. Prog. Nucleic Acid Res. Mol. Biol. 2001, 70, 155–174. [Google Scholar] [CrossRef]
- Alam, K.Y.; Frostholm, A.; Hackshaw, K.V.; Evans, J.E.; Rotter, A.; Chiu, I.-M. Characterization of the 1B Promoter of Fibroblast Growth Factor 1 and Its Expression in the Adult and Developing Mouse Brain. J. Biol. Chem. 1996, 271, 30263–30271. [Google Scholar] [CrossRef] [PubMed]
- Madiai, F.; Hackshaw, K.V.; Chiu, I.M. Characterization of the entire transcription unit of the mouse fibroblast growth factor 1 (FGF-1) gene. Tissue-specific expression of the FGF-1.A mRNA. J. Biol. Chem. 1999, 274, 11937–11944. [Google Scholar] [CrossRef]
- Madiai, F.; Hackshaw, K. Expression of the mouse FGF-1 and FGF-1.A mRNAs during embryonic development and in the aging heart. Res. Commun. Mol. Pathol. Pharmacol. 2002, 112, 139–144. [Google Scholar]
- Bryckaert, M.; Guillonneau, X.; Hecquet, C.; Perani, P.; Courtois, Y.; Mascarelli, F. Regulation of proliferation-survival decisions is controlled by FGF1 secretion in retinal pigmented epithelial cells. Oncogene 2000, 19, 4917–4929. [Google Scholar] [CrossRef][Green Version]
- Matsuyama, D.; Kawahara, K. Proliferation of neonatal cardiomyocytes by connexin43 knockdown via synergistic inactivation of p38 MAPK and increased expression of FGF1. Basic Res. Cardiol. 2009, 104, 631–642. [Google Scholar] [CrossRef]
- Hsu, Y.C.; Kao, C.Y.; Chung, Y.F.; Lee, D.C.; Liu, J.W.; Chiu, I.M. Activation of Aurora A kinase through the FGF1/FGFR signaling axis sustains the stem cell characteristics of glioblastoma cells. Exp. Cell Res. 2016, 344, 153–166. [Google Scholar] [CrossRef]
- Hsu, Y.-C.; Lee, D.-C.; Chen, S.-L.; Liao, W.-C.; Lin, J.-W.; Chiu, W.-T.; Chiu, I.-M. Brain-specific 1B promoter of FGF1 gene facilitates the isolation of neural stem/progenitor cells with self-renewal and multipotent capacities. Dev. Dyn. 2009, 238, 302–314. [Google Scholar] [CrossRef]
- Lee, D.-C.; Hsu, Y.-C.; Chung, Y.-F.; Hsiao, C.-Y.; Chen, S.-L.; Chen, M.-S.; Lin, H.-K.; Chiu, I.-M. Isolation of neural stem/progenitor cells by using EGF/FGF1 and FGF1B promoter-driven green fluorescence from embryonic and adult mouse brains. Mol. Cell. Neurosci. 2009, 41, 348–363. [Google Scholar] [CrossRef]
- Uchida, S.; Teubner, B.J.; Hevi, C.; Hara, K.; Kobayashi, A.; Dave, R.M.; Shintaku, T.; Jaikhan, P.; Yamagata, H.; Suzuki, T.; et al. CRTC1 Nuclear Translocation Following Learning Modulates Memory Strength via Exchange of Chromatin Remodeling Complexes on the Fgf1 Gene. Cell Rep. 2017, 18, 352–366. [Google Scholar] [CrossRef] [PubMed]
- Meng, T.; Cao, Q.; Lei, P.; Bush, A.I.; Xiang, Q.; Su, Z.; He, X.; Rogers, J.T.; Chiu, I.M.; Zhang, Q.; et al. Tat-haFGF14-154 Upregulates ADAM10 to Attenuate the Alzheimer Phenotype of APP/PS1 Mice through the PI3K-CREB-IRE1alpha/XBP1 Pathway. Mol. Ther. Nucleic Acids 2017, 7, 439–452. [Google Scholar] [CrossRef] [PubMed]
- Jonker, J.W.; Suh, J.M.; Atkins, A.R.; Ahmadian, M.; Li, P.; Whyte, J.; He, M.; Juguilon, H.; Yin, Y.Q.; Phillips, C.T.; et al. A PPARgamma-FGF1 axis is required for adaptive adipose remodelling and metabolic homeostasis. Nature 2012, 485, 391–394. [Google Scholar] [CrossRef] [PubMed]
- Engel, F.B.; Hsieh, P.C.; Lee, R.T.; Keating, M.T. FGF1/p38 MAP kinase inhibitor therapy induces cardiomyocyte mitosis, reduces scarring, and rescues function after myocardial infarction. Proc. Natl. Acad. Sci. USA 2006, 103, 15546–15551. [Google Scholar] [CrossRef] [PubMed]
- Lin, H.-Y.; Lee, D.-C.; Wang, H.-D.; Chi, Y.-H.; Chiu, I.-M. Activation of FGF1B Promoter and FGF1 Are Involved in Cardiogenesis Through the Signaling of PKC, but Not MAPK. Stem. Cells Dev. 2015, 24, 2853–2863. [Google Scholar] [CrossRef] [PubMed]
- Novoyatleva, T.; Sajjad, A.; Pogoryelov, D.; Patra, C.; Schermuly, R.T.; Engel, F.B. FGF1-mediated cardiomyocyte cell cycle reentry depends on the interaction of FGFR-1 and Fn14. FASEB J. 2014, 28, 2492–2503. [Google Scholar] [CrossRef]
- Zhang, C.; Zhang, L.; Chen, S.; Feng, B.; Lu, X.; Bai, Y.; Liang, G.; Tan, Y.; Shao, M.; Skibba, M.; et al. The Prevention of Diabetic Cardiomyopathy by Non-Mitogenic Acidic Fibroblast Growth Factor Is Probably Mediated by the Suppression of Oxidative Stress and Damage. PLoS ONE 2013, 8, e82287. [Google Scholar] [CrossRef]
- Zhao, Y.Z.; Zhang, M.; Wong, H.L.; Tian, X.Q.; Zheng, L.; Yu, X.C.; Tian, F.R.; Mao, K.L.; Fan, Z.L.; Chen, P.P. Prevent diabetic cardiomyopathy in diabetic rats by combined therapy of aFGF-loaded nanoparticles and ultrasound-targeted microbubble destruction technique. J. Control. Release 2016, 223, 11–21. [Google Scholar] [CrossRef] [PubMed]
- Formiga, F.; Pelacho, B.; Garbayo, E.; Imbuluzqueta, I.; Díaz-Herráez, P.; Abizanda, G.; Gavira, J.J.; Simón-Yarza, T.; Albiasu, E.; Tamayo, E.; et al. Controlled delivery of fibroblast growth factor-1 and neuregulin-1 from biodegradable microparticles promotes cardiac repair in a rat myocardial infarction model through activation of endogenous regeneration. J. Control. Release 2014, 173, 132–139. [Google Scholar] [CrossRef] [PubMed]
- Bochkov, Y.A.; Palmenberg, A.C. Translational efficiency of EMCV IRES in bicistronic vectors is dependent upon IRES sequence and gene location. Biotechniques 2006, 41, 283–292. [Google Scholar] [CrossRef]
- Soriano, P. Generalized lacZ expression with the ROSA26 Cre reporter strain. Nat. Genet. 1999, 21, 70–71. [Google Scholar] [CrossRef] [PubMed]
- Nakagawa, A.; Von Alt, K.; Lillemoe, K.D.; Castillo, C.F.-D.; Warshaw, A.L.; Liss, A.S. A method for fixing and paraffin embedding tissue to retain the natural fluorescence of reporter proteins. Biotechniques 2015, 59, 153–155. [Google Scholar] [CrossRef]
- Martineau, Y.; Le Bec, C.; Monbrun, L.; Allo, V.; Chiu, I.-M.; Danos, O.; Moine, H.; Prats, H.; Prats, A.-C. Internal Ribosome Entry Site Structural Motifs Conserved among Mammalian Fibroblast Growth Factor 1 Alternatively Spliced mRNAs. Mol. Cell. Biol. 2004, 24, 7622–7635. [Google Scholar] [CrossRef]
- Scarlett, J.M.; Rojas, J.M.; Matsen, M.E.; Kaiyala, K.J.; Stefanovski, D.; Bergman, R.N.; Nguyen, H.T.; Dorfman, M.D.; Lantier, L.; Wasserman, D.H.; et al. Central injection of fibroblast growth factor 1 induces sustained remission of diabetic hyperglycemia in rodents. Nat. Med. 2016, 22, 800–806. [Google Scholar] [CrossRef]
- Mori, S.; Tran, V.; Nishikawa, K.; Kaneda, T.; Hamada, Y.; Kawaguchi, N.; Fujita, M.; Takada, Y.K.; Matsuura, N.; Zhao, M.; et al. A Dominant-Negative FGF1 Mutant (the R50E Mutant) Suppresses Tumorigenesis and Angiogenesis. PLoS ONE 2013, 8, e57927. [Google Scholar] [CrossRef]
- Ding, I.; Liu, W.; Sun, J.; Paoni, S.F.; Hernady, E.; Fenton, B.M.; Okunieff, P. FGF1 and VEGF Mediated Angiogenesis in KHT Tumor-Bearing Mice. Adv. Exp. Med. Biol. 2003, 530, 603–609. [Google Scholar] [CrossRef] [PubMed]
- Suh, J.M.; Jonker, J.; Ahmadian, M.; Goetz, R.; Lackey, D.; Osborn, O.; Huang, Z.; Liu, W.; Yoshihara, E.; Van Dijk, T.H.; et al. Endocrinization of FGF1 produces a neomorphic and potent insulin sensitizer. Nat. Cell Biol. 2014, 513, 436–439. [Google Scholar] [CrossRef] [PubMed]
- Wang, S.; Yang, Q.; Yu, S.; Pan, R.; Jiang, D.; Liu, Y.; Hu, H.; Sun, W.; Hong, X.; Xue, H.; et al. Fibroblast growth factor 1 levels are elevated in newly diagnosed type 2 diabetes compared to normal glucose tolerance controls. Endocr. J. 2016, 63, 359–365. [Google Scholar] [CrossRef]
- Chen, S.-Y.; Wang, F.; Yan, X.-Y.; Zhou, Q.; Ling, Q.; Ling, J.-X.; Rong, Y.-Z.; Li, Y.-G. Autologous transplantation of EPCs encoding FGF1 gene promotes neovascularization in a porcine model of chronic myocardial ischemia. Int. J. Cardiol. 2009, 135, 223–232. [Google Scholar] [CrossRef] [PubMed]









| Animal No. | LA | LV | IVS | RA | RV | Blood Vessels |
|---|---|---|---|---|---|---|
| #15 | / | + | + | / | + | / |
| #16 | + | + | / | / | + | / |
| #29 | / | + | + | + | + | Neg. |
| #30 | / | + | / | / | + | Neg. |
| #36 | / | + | / | / | + | / |
| #39 | + | + | + | / | + | Neg. |
| #42 | + | + | + | + | + | Neg. |
| #54 | + | + | + | + | + | Neg. |
| A | ||||
|---|---|---|---|---|
| RA | AV Groove | RV | LV | |
| LacZ (+) | cTnT(+) cardiomyocytes Vimentin(−) FGF1(+) | cTnT(+) cardiomyocytes Vimentin(−) FGF1(+) | cTnT(+) cardiomyocytes Vimentin(−) FGF1(+) | cTnT(+) cardiomyocytes Vimentin(−) FGF1(+) |
| RFP (+) | cTnT(+) cardiomyocytes Vimentin(+) fibroblasts FGF1(+) | NA | cTnT(+) cardiomyocytes Vimentin(+) fibroblasts Vimentin(+) endothelial cells FGF1(+) | cTnT(+) cardiomyocytes FGF1(+) |
| B | ||||
| Markers | Cardiomyocytes | Fibroblasts | Endothelial Cells | |
| LacZ | + | ND | ND | |
| RFP | + | + | + | |
| FGF1 | + | + | + | |
Publisher’s Note: MDPI stays neutral with regard to jurisdictional claims in published maps and institutional affiliations. |
© 2021 by the authors. Licensee MDPI, Basel, Switzerland. This article is an open access article distributed under the terms and conditions of the Creative Commons Attribution (CC BY) license (https://creativecommons.org/licenses/by/4.0/).
Share and Cite
Hsu, Y.-C.; Chung, Y.-F.; Chen, M.-S.; Wang, C.-K.; Jiang, S.-T.; Chiu, I.-M. Establishing F1A-CreERT2 Mice to Trace Fgf1 Expression in Adult Mouse Cardiomyocytes. Cells 2022, 11, 121. https://doi.org/10.3390/cells11010121
Hsu Y-C, Chung Y-F, Chen M-S, Wang C-K, Jiang S-T, Chiu I-M. Establishing F1A-CreERT2 Mice to Trace Fgf1 Expression in Adult Mouse Cardiomyocytes. Cells. 2022; 11(1):121. https://doi.org/10.3390/cells11010121
Chicago/Turabian StyleHsu, Yi-Chao, Yu-Fen Chung, Mei-Shu Chen, Chi-Kuang Wang, Si-Tse Jiang, and Ing-Ming Chiu. 2022. "Establishing F1A-CreERT2 Mice to Trace Fgf1 Expression in Adult Mouse Cardiomyocytes" Cells 11, no. 1: 121. https://doi.org/10.3390/cells11010121
APA StyleHsu, Y.-C., Chung, Y.-F., Chen, M.-S., Wang, C.-K., Jiang, S.-T., & Chiu, I.-M. (2022). Establishing F1A-CreERT2 Mice to Trace Fgf1 Expression in Adult Mouse Cardiomyocytes. Cells, 11(1), 121. https://doi.org/10.3390/cells11010121

