Identification and Characterization of Root-Knot Nematodes Infecting Polygonatum sibiricum and Peucedanum praeruptorum in China
Abstract
1. Introduction
2. Materials and Methods
2.1. Root-Knot Nematode Isolation and Morphological Characteristics
2.2. DNA Extraction and Molecular Identification
2.3. Pathogenicity Analysis
3. Results
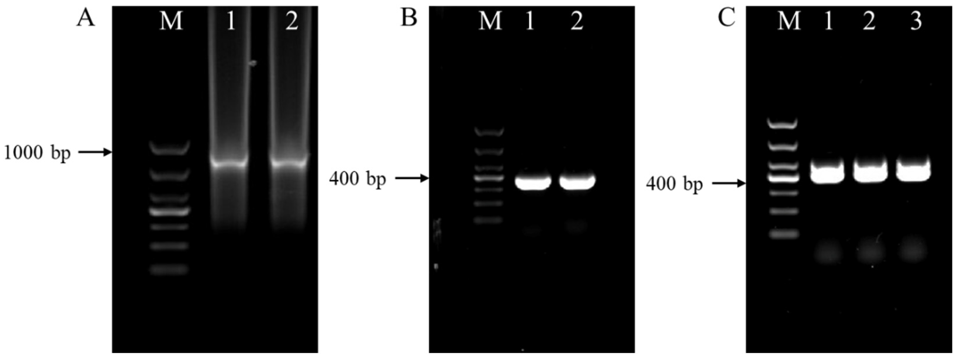
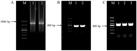
3.1. Isolation and Identification of Root-Knot Nematode Species Infecting P. sibiricum and P. praeruptorum
3.2. Pathogenicity Analysis
4. Discussion and Conclusions
Author Contributions
Funding
Data Availability Statement
Conflicts of Interest
References
- Fu, R.; Chen, C.; Wang, J.; Lu, D.; Gong, X. First Report of Epicoccum sorghinum Causing Leaf Spot on Paris polyphylla in China. Plant Dis. 2019, 103, 1426. [Google Scholar] [CrossRef]
- Liu, D.; Zhao, Q.; Cui, X.; Chen, R.; Li, X.; Qiu, B.; Ge, F. A Transcriptome Analysis Uncovers Panax notoginseng Resistance to Fusarium solani Induced by Methyl Jasmonate. Genes Genom. 2019, 41, 1383–1396. [Google Scholar] [CrossRef] [PubMed]
- Wang, Z.; Song, X.; Anane, R.F.; Chen, Z.; Li, S.; Wen, G.; Cai, H.; Zhao, M. First Report of Lily Virus X Infecting Paris polyphylla Var. yunnanensis in Yunnnan, China. Plant Dis. 2023, 108, 537. [Google Scholar]
- Li, W.; Li, H.; Liu, Y.; Ni, C.; Xu, X.; Xu, Z. First Report of Northern Root-Knot Nematode Meloidogyne hapla on Codonopsis pilosula in China. Plant Dis. 2020, 104, 2295. [Google Scholar] [CrossRef]
- Wu, W.; Xu, S.; Gao, Z.; Zhu, S.; Zhu, Y.; Wang, Y.; He, X. Pathogen Identification of Gentiana macrophylla Root-Knot Nematode Disease in Yulong, China. J. Nematol. 2021, 53, e2021-56. [Google Scholar] [CrossRef]
- Wu, W.; Ye, K.; Zhou, S.; Guo, L.; Zhu, S.; Zhu, Y.; Wang, Y.; He, X. Characterization of a Root-Knot Nematode Infecting Aconitum carmichaelii in Southwest China. Plant Dis. 2023, 107, 272–275. [Google Scholar] [CrossRef] [PubMed]
- Hunt, D.J.; Handoo, Z.A. Taxonomy, Identification and Principal Species. In Root-Knot Nematodes; CABI: Wallingford, UK, 2009; pp. 55–97. [Google Scholar]
- Anwar, S.; McKenry, M. Incidence and Population Density of Plant-Parasitic Nematodes Infecting Vegetable Crops and Associated Yield Losses in Punjab, Pakistan. Pak. J. Zool. 2012, 44, 327–333. [Google Scholar]
- Jones, J.T.; Haegeman, A.; Danchin, E.G.J.; Gaur, H.S.; Helder, J.; Jones, M.G.K.; Kikuchi, T.; Manzanilla-López, R.; Palomares-Rius, J.E.; Wesemael, W.M.L.; et al. Top 10 Plant-parasitic Nematodes in Molecular Plant Pathology. Mol. Plant Pathol. 2013, 14, 946–961. [Google Scholar] [CrossRef] [PubMed]
- Long, H.; Sun, Y.; Chen, Y.; Pei, Y.; Feng, T.; Che, H. Occurrence of Root-Knot Nematode (Meloidogyne spp.) on Peppers in Hainan, China, and M. enterolobii and M. incognita Resistance of Common Cultivars. Plant Dis. 2023, 107, 3148–3154. [Google Scholar] [CrossRef] [PubMed]
- Barker, K.R.; Koenning, S.R. Developing Sustainable Systems for Nematode Management. Annu. Rev. Phytopathol. 1998, 36, 165–205. [Google Scholar] [CrossRef] [PubMed]
- Philbrick, A.N.; Adhikari, T.B.; Louws, F.J.; Gorny, A.M. Meloidogyne enterolobii, a Major Threat to Tomato Production: Current Status and Future Prospects for Its Management. Front. Plant Sci. 2020, 11, 606395. [Google Scholar] [CrossRef] [PubMed]
- Hartman, K.M.; Sasser, J. Identification of Meloidogyne Species on the Basis of Differential Host Test and Perineal-Pattern Morphology. Adv. Treatise Meloidogyne 1985, 2, 69–77. [Google Scholar]
- Eisenback, J.; Hirschmann, H.; Sasser, J.; Triantaphyllou, A. A Guide to the Four Most Common Species of Root-Knot Nematodes (Meloidogyne spp.), with a Pictorial Key; State University, Depto. of Plant Pathology: Washington, DC, USA, 1981. [Google Scholar]
- Baidoo, R.; Joseph, S.; Mengistu, T.M.; Brito, J.A.; McSorley, R.; Stamps, R.H.; Crow, W.T. Mitochondrial Haplotype-Based Identification of Root-Knot Nematodes (Meloidogyne spp.) on Cut Foliage Crops in Florida. J. Nematol. 2016, 48, 193–202. [Google Scholar] [CrossRef] [PubMed]
- Blok, V.C.; Powers, T.O. Biochemical and Molecular Identification. In Root-Knot Nematodes; CABI: Wallingford, UK, 2009; pp. 98–118. [Google Scholar]
- Zhang, P.; Shao, H.; You, C.; Feng, Y.; Xie, Z. Characterization of Root-Knot Nematodes Infecting Mulberry in Southern China. J. Nematol. 2020, 52, 1–8. [Google Scholar] [CrossRef] [PubMed]
- Adam, M.A.M.; Phillips, M.S.; Blok, V.C. Molecular Diagnostic Key for Identification of Single Juveniles of Seven Common and Economically Important Species of Root-knot Nematode (Meloidogyne spp.). Plant Pathol. 2007, 56, 190–197. [Google Scholar] [CrossRef]
- Liu, D.; Tang, W.; Han, C.; Nie, S. Advances in Polygonatum sibiricum Polysaccharides: Extraction, Purification, Structure, Biosynthesis, and Bioactivity. Front. Nutr. 2022, 9, 1074671. [Google Scholar] [CrossRef] [PubMed]
- Kim, J.-H.; Doh, E.-J.; Lee, G. Chemotaxonomic Classification of Peucedanum japonicum and Its Chemical Correlation with Peucedanum praeruptorum, Angelica decursiva, and Saposhnikovia divaricata by Liquid Chromatography Combined with Chemometrics. Molecules 2022, 27, 1675. [Google Scholar] [CrossRef] [PubMed]
- Yang, Y.; Liu, P.; Dong, H.; Zhang, W.; Hu, X. Pathogen identification of Eupatorium adenophorum root-knot nematode disease in Yunnan Province. J. Plant Prot. 2020, 47, 657–665. [Google Scholar]
- Xie, H. Taxonomy of Plant Nematodes, 2nd ed.; Higher Education Press (HEP): Beijing, China, 2005; Available online: https://academic.hep.com.cn/skld/CN/book/978-7-04-017701-5-00 (accessed on 7 March 2024).
- Williams, B.D.; Schrank, B.; Huynh, C.; Shownkeen, R.; Waterston, R.H. A Genetic Mapping System in Caenorhabditis elegans Based on Polymorphic Sequence-Tagged Sites. Genetics 1992, 131, 609–624. [Google Scholar] [CrossRef] [PubMed]
- Cui, X.; Wang, S.; Cao, H.; Guo, H.; Li, Y.; Xu, F.; Zheng, M.; Xi, X.; Han, C. A Review: The Bioactivities and Pharmacological Applications of Polygonatum sibiricum Polysaccharides. Molecules 2018, 23, 1170. [Google Scholar] [CrossRef] [PubMed]
- Zhang, H.; Mu, X.; Liang, Z.; Geng, X. Pilot study of obstruction effect of continuous cropping on Aconitum carmichael. Acta Bot. Boreali-Occident. Sin. 2007, 27, 2112–2115. [Google Scholar]
- Abad, P.; Favery, B.; Rosso, M.-N.; Castagnone-Sereno, P. Root-Knot Nematode Parasitism and Host Response: Molecular Basis of a Sophisticated Interaction. Mol. Plant Pathol. 2003, 4, 217–224. [Google Scholar] [CrossRef] [PubMed]




| Primer | Primer Sequence (5′–3′) | Species | Fragment | Reference | 
|---|---|---|---|---|
| MiF | GTGAGGATTCAGCTCCCCAG | Meloidogyne incognita | 999 bp | Adam et al., 2007 [18] | 
| MiR | ACGAGGAACATACTTCTCCGTCC | |||
| Far | TCGGCGATAGAGGTAAATGAC | Meloidogyne arenaria | 420 bp | Adam et al., 2007 [18] | 
| Rar | TCGGCGATAGACACTACAAACT | |||
| JMV1 | GGATGGCGTGCTTTCAAC | Meloidogyne hapla | 440 bp | Adam et al., 2007 [18] | 
| JMVhapla | AAAAATCCCCTCGAAAAATCCACC | 
| Character | Mean ± SD (μm) | Range (μm) | ||||
|---|---|---|---|---|---|---|
| Sample | P. sibiricum | P. praeruptorum | P. sibiricum | P. praeruptorum | ||
| Population | Population I | Population II | Population III | Population I | Population II | Population III | 
| n | 20 | 20 | 20 | 20 | 20 | 20 | 
| Body length | 713.28 ± 74.49 | 616.44 ± 79.22 | 592.46 ± 50.4 | 543.52–827.38 | 486.16–735.25 | 513.67–667.29 | 
| Body width | 605.75 ± 78.92 | 448.32 ± 58.62 | 395.36 ± 26.97 | 465.67–719.74 | 333.1–535.38 | 360.22–432.2 | 
| Stylet length | 13.49 ± 2.45 | 14.18 ± 1.96 | 11.35 ± 2.45 | 10.02–17.03 | 11.33–17.47 | 7.7–15 | 
| DGO | 3.5 ± 0.51 | 3.41 ± 0.65 | 3.62 ± 0.57 | 2.76–4.34 | 2.16–4.5 | 2.79–4.43 | 
| MBW | 25.18 ± 2.4 | 27.85 ± 0.93 | 26.78 ± 5.43 | 20.47–28.79 | 25.91–28.97 | 19.93–33.63 | 
| Character | Mean ± SD (μm) | Range (μm) | ||||
|---|---|---|---|---|---|---|
| Sample | P. sibiricum | P. praeruptorum | P. sibiricum | P. praeruptorum | ||
| Population | Population I | Population II | Population III | Population I | Population II | Population III | 
| n | 20 | 20 | 20 | 20 | 20 | 20 | 
| Body length | 410.49 ± 17.2 | 402.52 ± 16.3 | 361.32 ± 19.7 | 377.34–429.03 | 366.03–424.77 | 327.38–396.72 | 
| Body width | 15.44 ± 0.8 | 15.08 ± 1.8 | 13.93 ± 1.01 | 14.44–17.24 | 11.88–17.67 | 12.26–15.68 | 
| Stylet length | 13.4 ± 0.3 | 13.76 ± 1.14 | 13.3 ± 0.68 | 12.82–13.78 | 11.29–15.11 | 12.39–14.74 | 
| DGO | 2.9 ± 2.1 | 2.97 ± 0.15 | 2.24 ± 0.33 | 0.84–5.51 | 2.74–3.26 | 1.74–2.74 | 
| Hyaline tail length | 12.78 ± 0.69 | 12.9 ± 1.5 | 15.97 ± 1.1 | 11.35–13.79 | 10.63–16.56 | 13.18–17.75 | 
| Disclaimer/Publisher’s Note: The statements, opinions and data contained in all publications are solely those of the individual author(s) and contributor(s) and not of MDPI and/or the editor(s). MDPI and/or the editor(s) disclaim responsibility for any injury to people or property resulting from any ideas, methods, instructions or products referred to in the content. | 
© 2024 by the authors. Licensee MDPI, Basel, Switzerland. This article is an open access article distributed under the terms and conditions of the Creative Commons Attribution (CC BY) license (https://creativecommons.org/licenses/by/4.0/).
Share and Cite
Wang, X.; Wang, J.; Duan, S.; Yan, X.; Wang, Y.; He, X.; Wu, W. Identification and Characterization of Root-Knot Nematodes Infecting Polygonatum sibiricum and Peucedanum praeruptorum in China. Agronomy 2024, 14, 782. https://doi.org/10.3390/agronomy14040782
Wang X, Wang J, Duan S, Yan X, Wang Y, He X, Wu W. Identification and Characterization of Root-Knot Nematodes Infecting Polygonatum sibiricum and Peucedanum praeruptorum in China. Agronomy. 2024; 14(4):782. https://doi.org/10.3390/agronomy14040782
Chicago/Turabian StyleWang, Xuelan, Jingjing Wang, Shanquan Duan, Xirui Yan, Yang Wang, Xiahong He, and Wentao Wu. 2024. "Identification and Characterization of Root-Knot Nematodes Infecting Polygonatum sibiricum and Peucedanum praeruptorum in China" Agronomy 14, no. 4: 782. https://doi.org/10.3390/agronomy14040782
APA StyleWang, X., Wang, J., Duan, S., Yan, X., Wang, Y., He, X., & Wu, W. (2024). Identification and Characterization of Root-Knot Nematodes Infecting Polygonatum sibiricum and Peucedanum praeruptorum in China. Agronomy, 14(4), 782. https://doi.org/10.3390/agronomy14040782
 
        

 
       