Next Article in Journal
Compressive Behavior of Concrete Confined with GFRP Tubes and Steel Spirals
Next Article in Special Issue
A Novel Melt-Dispersion Technique for Simplistic Preparation of Chlorpromazine-Loaded Polycaprolactone Nanocapsules
Previous Article in Journal
Modeling the Influence of Diffusion-Controlled Reactions and Residual Termination and Deactivation on the Rate and Control of Bulk ATRP at High Conversions
Previous Article in Special Issue
Synthesis of Mannosylated Polyethylenimine and Its Potential Application as Cell-Targeting Non-Viral Vector for Gene Therapy
 
 
Font Type:
Arial Georgia Verdana
Font Size:
Aa Aa Aa
Line Spacing:
Column Width:
Background:
Article

Addition of Zinc Improves the Physical Stability of Insulin in the Primary Emulsification Step of the Poly(lactide-co-glycolide) Microsphere Preparation Process

by
Chandrasekar Manoharan
1,2 and
Jagdish Singh
1,*
1
Department of Pharmaceutical Sciences, College of Pharmacy, Nursing, and Allied Sciences, North Dakota State University, Dept# 2665, Sudro Hall, PO Box 6050, Fargo, ND 58108-6050, USA
2
Isis Pharmaceuticals, Inc., 2855 Gazelle Court, Carlsbad, CA 92010, USA
*
Author to whom correspondence should be addressed.
Polymers 2015, 7(5), 836-850; https://doi.org/10.3390/polym7050836
Submission received: 14 November 2014 / Revised: 21 April 2015 / Accepted: 21 April 2015 / Published: 28 April 2015
(This article belongs to the Special Issue Polymers and Polymeric Nanoparticles for Therapy and Imaging)

Abstract

:
In this study, the effect of zinc on insulin stability during the primary emulsification step of poly(lactide-co-glycolide) microspheres preparation by the water-in-oil-in-water (w/o/w) double emulsion solvent evaporation technique was evaluated. Insulin was emulsified at homogenization speeds of 5000 and 10,000 rpm. Insulin was extracted from the primary w/o emulsion by a method previously reported from our laboratory and analyzed by comprehensive analytical techniques. The differential scanning calorimetry thermograms of insulin with zinc showed a single peak around 83 °C with calorimetric enthalpy values similar to native insulin. Sodium dodecyl sulfate-polyacrylamide gel electrophoresis (SDS-PAGE) of extracted insulin showed a single intense band around 6 kDa, demonstrating the preservation of primary structure. High performance liquid chromatography (HPLC) analysis revealed that no degradation products were formed during the homogenization process. Insulin aggregates residing at the w/o interfaces were found to be of non-covalent nature. In addition, observation of a single characteristic peak for insulin at m/z 5808 in the matrix-assisted laser desorption/ionization time-of-flight (MALDI-TOF) mass spectrum confirmed the absence of insulin degradation products and covalent dimers. Presence of zinc preserved the secondary structure of insulin as indicated by circular dichroism. In conclusion, these results show that with the addition of zinc, insulin stability can be improved during the primary emulsification step.

Graphical Abstract

1. Introduction

The water-in-oil-in-water (w/o/w) double emulsion solvent evaporation technique has been commonly employed for the encapsulation of a wide range of proteins into poly (lactic-co-glycolic acid) (PLGA) microspheres [1]. This technique allows proteins to be encapsulated as an aqueous solution and does not require elevated temperatures or phase separation inducing agents [1,2]. However, the formation of primary w/o emulsion using this method has been identified as the major step for protein inactivation and aggregation [3,4]. The w/o interface formed during emulsification leads to adsorption of proteins at the interface, which results in subsequent protein unfolding and aggregation [5]. Although the formation of w/o interface is primarily responsible for protein denaturation and aggregation, the shear applied for the emulsification step, i.e., sonication or homogenization, can additionally contribute to protein denaturation and aggregation. Sonication produces a very large interface between the aqueous and organic phases and can introduce free radicals [6]. Increased homogenization speed reduces the size of the emulsion droplets, which increases surface area between the aqueous and organic phases [7]. In addition, emulsification by the homogenizer also generates turbulent flow resulting in diffusion of native protein molecules to the interface [8]. Therefore, maintaining the native conformation of the protein during encapsulation is highly important, because the alternative leads to the encapsulation of aggregates which are highly immunogenic.
The behaviors of various proteins including insulin at the w/o interfaces, and the protective effect of various stabilizing excipients such as surfactants and polyols have been evaluated and reported [9,10,11,12]. The stabilizing effect of these excipients are due to the competition with the proteins for the w/o interfaces and therefore protein-interface interactions are reduced. Sah and Bahl [13] demonstrated that the selection of an optimal concentration of buffer species can also help protein molecules to better withstand interfacial destabilization. Attempts have also been made to stabilize insulin at the w/o interface [10,14]. For example, two surfactants, sodium dodecyl sulfate (SDS) and dodecyl maltoside (DDM) were evaluated for stabilization of insulin at the methylene chloride-water interface [10]. SDS significantly reduced insulin aggregation up to 1 h and in contrast DDM essentially failed to stabilize insulin at the methylene chloride–water interface. In addition, a recent study reported that a cationic polyelectrolyte, poly(ethylene glycol)-b-poly(l-histidine) diblock copolymer (PEG-polyHis), reduced insulin aggregation at the water–methylene chloride interface and improved the stability of insulin [14]. Increased insulin stability at the interface was attributed to the formation of PEG-polyHis complex, which prevented direct exposure of insulin to the interfaces.
The studies stated above have focused on the protective effect of additives on insulin at w/o interfaces; however, their experimental set up did not simulate the exact microencapsulation conditions. In previous studies, mild agitation speeds were used to observe insulin aggregation, which do not represent actual microsphere manufacturing conditions. Homogenization speeds of 5000–10,000 rpm are used in practice to form the primary w/o emulsion. As mentioned above, increased homogenization speeds can have a significant impact on insulin stability. This study is aimed at investigating the effect of zinc on insulin stability during the primary emulsification step, using actual homogenization speeds typical of microsphere preparation. The term stability in this study refers to insulin’s physical stability including unfolding, non-native aggregation, and adsorption to surfaces. In a solution with a pH of 7.0, zinc-free insulin may be present as monomers, dimers, or hexamers depending upon on the concentration. In the presence of zinc ions, three dimers associate to form a hexamer in which two zinc ions form a coordination bond with the imidazole group of B10 histidine residues, one from each dimer [15]. Insulin hexamers formed in the presence of zinc exhibit greater stability than insulin dimers and monomers. Our hypothesis is that the addition of zinc to insulin should facilitate the formation of hexamers that contain hydrophobic groups buried within the hexamer, preventing adsorption and exposure of hydrophobic surfaces to w/o interfaces, which consequently will increase insulin stability during the primary emulsification step. Since the stability of hexamers is increased upon addition of excess zinc, a molar ratio of 5:6 (zinc:insulin) was chosen such that 5 molecules of zinc were available for each insulin hexamer [16,17]. In this study, the primary w/o emulsion was formed by the homogenization method with the presence of PLGA in the organic phase. Homogenization speeds of 5000 and 10,000 rpm were chosen to represent speeds that are commonly used. After the formation of the primary w/o emulsion, insulin was recovered from the emulsion using the protein recovery method developed in our laboratory with slight modifications [11]. Differential scanning calorimetry (DSC) was utilized to evaluate the conformational stability of insulin. Secondary structural changes were analyzed using far-UV circular dichroism (CD). The chemical integrity of insulin was assessed using high performance liquid chromatography (HPLC) and matrix-assisted laser desorption/ionization time-of-flight mass spectrometry (MALDI-TOF MS). Sodium dodecyl sulfate-polyacrylamide gel electrophoresis (SDS-PAGE) and size exclusion chromatography (SE-HPLC) were used to analyze insulin aggregates.

2. Experimental Section

2.1. Materials

PLGA with lactic/glycolic acid of 50:50 molar ratio and inherent viscosity of 0.17 dL/g was purchased from Birmingham Polymers., Inc. (Birmingham, AL, USA). Human recombinant insulin (Incelligent SG®, Norcross, GA, USA) with a zinc content of 0.4% was purchased from Celliance Corporation (Norcross, GA, USA). Polyethylene glycol 400 (PEG 400), zinc acetate, α-cyanno-4-hydroxycinnamic acid, trifluoroacetic acid (TFA), acetonitrile, and dimethylene chloride were obtained from Sigma (St. Louis, MO, USA). Micro biocinchoninic acid (BCA) protein assay kit was purchased from Pierce Inc. (Rockford, IL, USA). SDS-PAGE molecular weight standards were from New England BioLabs, Inc. (Ipswich, MA, USA).

2.2. Preparation of w/o Emulsions and De-Emulsification

About 5 mg of insulin was suspended in phosphate buffer (100 µL, pH 7.4, 10 mM), and emulsified with 2 mL of methylene chloride containing 100 mg of PLGA. The emulsification was carried out at a homogenization speed of 5000 rpm for 1 min using a homogenizer (Silverson, model L4RT, East Longmeadow, MA, USA). To study the effect of higher homogenization speed, the procedure described above was followed with a homogenization speed of 10,000 rpm. After emulsification, the emulsion was transferred into 10 mL centrifuge tubes, and insulin was extracted from the emulsion by a method developed in our laboratory [11]. Briefly, 1 mL of PEG 400 was added to the emulsion followed by the addition of 3 mL of phosphate buffer. The emulsion was then centrifuged at 3000g for 20 min to accelerate phase separation. The supernatant aqueous phase containing insulin was collected and subjected to DSC, CD, HPLC, MALDI-TOF MS, SDS-PAGE, and SE-HPLC analysis. To evaluate the effect of zinc, zinc acetate was added to the insulin aqueous solution before emulsification. Zinc acetate was added to insulin in a molar ratio of 5:6 (zinc:insulin). Twenty microliters of zinc acetate dissolved in 10 mM HCl was added to insulin suspended in 100 μL of phosphate buffer. The addition of zinc acetate does not affect the pH. Buffer insoluble aggregates located at the w/o interface were carefully collected using a 10 µL pipette and were also subjected to stability analysis. For the preparation of w/o emulsions without PLGA, insulin suspension in phosphate buffer was emulsified with methylene chloride alone. For the extraction of insulin, 3 mL of phosphate buffer alone was used.

2.3. Protein Concentration Determination

The insulin content in the supernatant aqueous phase was determined by the Micro BCA protein assay [18]. Appropriate standard curves were constructed with samples of known concentration. The amount of insulin recovered after de-emulsification was expressed as the percentage of protein extracted into the aqueous phase following centrifugation. For DSC, CD, and HPLC experiments, various samples were normalized for concentration based on the determined insulin content in the extracted supernatant.

2.4. DSC

DSC measurements were performed using an ultrasensitive VP-DSC differential scanning microcalorimeter (Microcal, Northampton, MA, USA). Thermograms were collected at a scan rate of 1 °C/min and DSC scans were run from 25 to 95 °C. Before loading into the sample and reference cells, all the samples and reference buffer (phosphate buffer, pH 7.4, 10 mM) were degassed by stirring under vacuum. Origin® software was used for analyzing the obtained thermograms. All the thermograms were subtracted for baseline and normalized for concentration before analysis. A non-2-state model, which applied the Levenberg/Marquardt non-linear least-square method was used to fit the transition curve. The thermodynamic parameters, midpoint transition temperature (Tm) and calorimetric enthalpy (ΔH) were employed to assess the conformational stability of insulin. The ΔH was determined by integrating the area under the corresponding transition peak.

2.5. CD Spectroscopy

The secondary structural changes after emulsification were analyzed by CD spectroscopy. CD spectra were obtained using a Jasco J-815 CD Spectrometer (Tokyo, Japan). Samples were scanned in the far UV region using a quartz cell with a 0.1 cm optical path. For each sample, the CD spectrum represents an average of eight scans. Spectra manager® version 2 software was used for spectra analysis. All sample spectrums were corrected for buffer baseline and normalized for concentration.

2.6. SDS-PAGE

A non-reducing SDS-PAGE was performed using Bio-Rad Mini-Protean III (Hercules, CA, USA) electrophoresis system. Insulin samples extracted from the primary emulsion and precipitates collected from the w/o interfaces were mixed with equal volumes of SDS sample buffer and loaded into the wells. Electrophoresis was performed on 12% polyacrylamide gels at a constant current of 120 V for 90 min. Following electrophoresis, the gels were stained with Coomassie blue and destained with distilled water for 4 h.

2.7. HPLC Analysis

The extent of chemical degradation following the primary emulsification step was assessed by HPLC. An Agilent 1200 series HPLC system was employed for the analysis. Chromatographic separation was performed using a reversed-phase Zorbax SB-C18, 4.6 × 100 mm and 3.5 µm (Agilent, Santa Clara, CA, USA) chromatographic column. Mobile phase A and B were 0.1% TFA in water and 0.1% TFA in acetonitrile, respectively. A linear gradient of 25% to 50% B over 20 min was used. With a flow rate of 1.0 mL/min and an injection volume of 20 µL, all the samples were analyzed at room temperature. The analytes were detected at 280 nm. The limit of detection (LOD) and limit of quantification (LOQ) of the method were 0.11 μg/mL and 0.32 μg/mL, respectively. For SE-HPLC experiments an Ultrahydrogel™ 120 (7.8 × 300 mm) column (Waters, Milford, MA, USA) was used. The mobile phase was phosphate buffer (10 mM, pH 6.0) with a flow rate of 0.6 mL/min followed by UV detection at 280 nm. The LOD and LOQ of the method were 0.33 mg/mL and 0.97 mg/mL, respectively.

2.8. MALDI-TOF MS

The MS experiments were carried out on a Bruker ultraflex II time-of-flight mass spectrometer (Bruker Daltonics Inc., Billercia, MA, USA). α-cyano-4-hydroxycinnamic acid matrix was used for sample analysis. A standard matrix solution was prepared at a concentration of 10 mg/mL in acetonitrile/water/TFA (50:50:0.1, by vol.). Insulin samples were mixed with the matrix solution in Eppendorf tubes and vortexed for 1 min. About 2 µL of these mixtures were applied on the stainless steel sample plate, air-dried, and the spectra were recorded in positive reflectron mode. FlexAnalysis® software was used for analyzing the spectra.

2.9. Statistical Analysis

Insulin recovery experiments were preformed in quadruplicate and all other experiments were performed in triplicate. Statistical comparisons were conducted using the student’s t-test. For the tests employed, the level of significance (p) was set at 0.05.

3. Results and Discussion

3.1. Protein Recovery from Emulsions

Table 1 summarizes the percent recovery of insulin in the supernatant aqueous phase after the homogenization step. Insulin recovery was significantly (p < 0.05) affected by homogenization speed and methylene chloride with and without PLGA. In the presence of PLGA in methylene chloride, about 65% initial content of insulin was recovered after homogenization at 5000 rpm and decreased to 60% when the homogenization speed was increased to 10,000 rpm. This data suggests that the increased homogenization speed enhanced the amount of aggregates formed at the interfaces resulting in less soluble insulin in the supernatant. It has been suggested that emulsification by the homogenizer not only increases the total surface area of the organic solvent/water interface that serves as a hydrophobic adsorbent, but also generates turbulent flow for the diffusion of native protein molecules to the interface [8]. It can be assumed here that increasing the homogenization speed from 5000 to 10,000 rpm further reduces the emulsion droplet size, increases the surface area, and diffusion of native protein to the interface leading to increased aggregation. A single extraction step was found to extract all the soluble insulin and subsequent extractions performed did not show any significant extraction of insulin from the interfaces. A 100% recovery would only be possible with a solvent having a high partition coefficient given there are no major interactions between insulin and methylene chloride. However, no solvent has been found or reported to recover proteins completely from the primary emulsion or interfaces.
Table 1. Insulin recovered (%) from the primary emulsion with and without poly(lactic-co-glycolic acid) (PLGA) in methylene chloride (n = 4).
Table 1. Insulin recovered (%) from the primary emulsion with and without poly(lactic-co-glycolic acid) (PLGA) in methylene chloride (n = 4).
SampleHomogenization Speed (rpm)With PLGA (% ± SD)Without PLGA (% ± SD)
Insulin5,00065.1 ± 2.171.4 ± 1.4
Insulin10,00060.4 ± 1.768.2 ± 1.9
Insulin + Zn2+5,00070.3 ± 0.874.2 ± 0.3
Insulin + Zn2+10,00067.5 ± 1.170.6 ± 1.7
Recovery values increased significantly (p < 0.05) in the absence of water-insoluble PLGA in methylene chloride. Presence of PLGA in methylene chloride enhances the aggregation rate of insulin, which is attributed to the adsorption of insulin to the hydrophobic PLGA surfaces and a decrease in the o/w interfacial tension as compared to methylene chloride without PLGA [10]. With the addition of zinc, significantly (p < 0.05) improved recovery values were observed at both homogenization speeds, irrespective of the presence of PLGA in methylene chloride. Under all the experimental conditions, a fraction of water-insoluble insulin precipitates resided at water–methylene chloride interfaces. Since the formed aggregates are water insoluble, low recovery values were observed.
The interfaces formed with water–methylene chloride are due to steep concentration gradients of the solvents and in our case methylene chloride is high in concentration making the interfaces highly hydrophobic. The interfaces formed are said to be hydrophobic because: (a) Methylene chloride is a highly non-polar/hydrophobic solvent and (b) The volume of methylene chloride far surpasses the volume of water used in the primary emulsification step (i.e., 2 mL vs. 0.1 mL). With this being said, the stability of a protein at w/o interfaces can be determined by placing an aqueous solution of the protein in an organic phase without any polymer [4,5,19]. Nonetheless, the presence of a polymer in the organic phase cannot be neglected when studying issues confronted during microsphere preparation. Breaking emulsions in the presence of a polymer becomes difficult due to the high viscosity of the emulsion. In addition, polymers such as PLGA tend to precipitate out once the aqueous buffer is added in excess into the emulsion, and the encapsulated protein may precipitate together with the polymer [11]. To overcome these obstacles, extraction of protein using PEG 400 will completely break the emulsion; thereby more protein encapsulated in the emulsion droplets is released. This extraction method allows us to study the behavior of insulin and other proteins at the w/o interface in the presence of polymer in the organic phase.

3.2. Conformational Stability of Insulin

Figure 1 shows the DSC thermogram of native insulin as obtained from the supplier in 10 mM phosphate buffer (pH 7.4). Two distinct endothermic transition peaks were observed with Tm’s at 72.1 and 84.8 °C. Based on previously published reports, the first and second transition peaks represent dimer and hexamer denaturation, respectively [20]. Insulin recovered in the aqueous phase after emulsifying with methylene chloride in the presence of PLGA at 5000 and 10,000 rpm also showed two transition peaks, but with decreased magnitudes. To assess the retention of insulin native conformation, ΔH was used since it provides valuable information on protein conformation [21]. A decreased ΔH was observed for the extracted insulin when compared to native insulin (Table 2), indicating a partially denatured conformation. This decreased conformational stability can be due to the adsorption of insulin at the interfaces and to the hydrophobic PLGA surfaces. With the addition of zinc to insulin at a molar ratio of 5:6, a single endothermic transition at 83 °C for hexamer denaturation was observed (Figure 2) which was in well accorded with the previously reported data [20]. Similar transition peaks for insulin emulsified with the addition of zinc at different homogenization speeds was observed and their ΔH values were close to that of hexameric insulin indicating the preservation of conformational structure. The strategy of stabilizing insulin during emulsification by converting insulin monomers to hexamers prevents contacts between the protein and the water–organic solvent interface and protein unfolding. This strategy is supported by previous reports that the hexamer conformational stability prevents denaturation at hydrophobic surfaces [22,23,24].
Figure 1. Differential scanning calorimetry (DSC) thermograms of 0.6 mM insulin in phosphate buffer (pH 7.4, 10 mM) and insulin extracted after homogenization. Full line, native insulin solution; dashed line, insulin extracted after homogenization at 5000 rpm; and dotted line, insulin extracted after homogenization at 10,000 rpm.
Figure 1. Differential scanning calorimetry (DSC) thermograms of 0.6 mM insulin in phosphate buffer (pH 7.4, 10 mM) and insulin extracted after homogenization. Full line, native insulin solution; dashed line, insulin extracted after homogenization at 5000 rpm; and dotted line, insulin extracted after homogenization at 10,000 rpm.
Polymers 07 00836 g001
Table 2. Thermal parameters of recovered insulin after emulsification with methylene chloride in the presence of PLGA (n = 3).
Table 2. Thermal parameters of recovered insulin after emulsification with methylene chloride in the presence of PLGA (n = 3).
SampleHomogenization Speed (rpm)Tm1 (°C ± SD)Tm2 (°C ± SD)ΔHtot (Kcal/mol ± SD)
Insulin control72.1 ± 0.184.8 ± 0.3248 ± 3.2
Insulin5,00069.9 ± 0.484.2 ± 0.1189 ± 0.9
Insulin10,00072.7 ± 0.285.0 ± 0.2172 ± 2.8
Insulin + Zn2+83.2 ± 0.4193 ± 1.8
Insulin + Zn2+5,00082.9 ± 0.1182 ± 0.6
Insulin + Zn2+10,00083.1 ± 0.2177 ± 2.1
Figure 2. DSC thermograms of 0.6 mM insulin with 0.3 mM zinc acetate in phosphate buffer (pH 7.4, 10 mM) and insulin extracted after homogenization. Full line, native insulin solution with zinc; dotted line, insulin extracted after homogenization at 5000 rpm; and dashed line, insulin extracted after homogenization at 10,000 rpm.
Figure 2. DSC thermograms of 0.6 mM insulin with 0.3 mM zinc acetate in phosphate buffer (pH 7.4, 10 mM) and insulin extracted after homogenization. Full line, native insulin solution with zinc; dotted line, insulin extracted after homogenization at 5000 rpm; and dashed line, insulin extracted after homogenization at 10,000 rpm.
Polymers 07 00836 g002
Irrespective of the presence of zinc, emulsions formed at a homogenization speed of 10,000 rpm showed significantly (p < 0.05) decreased ΔH values. The Tm and ΔH values for insulin in the absence of PLGA during emulsification are compiled in Table 3. The Tm values were found to remain close to the native insulin. Significantly (p < 0.05) increased ΔH values were observed for insulin homogenized in the absence of PLGA when compared to insulin homogenized in the presence of PLGA. The use of PEG 400 to break the emulsion and extract insulin can affect the Tm values. As reported previously, the Tm values for lysozyme were found to decrease due to the addition of PEG 400 [11]. However, a marked decrease in the Tm for insulin due to the addition of PEG 400 was not noticed in this study.
Table 3. Thermal parameters of recovered insulin after emulsification with methylene chloride in the absence of PLGA (n = 3)
Table 3. Thermal parameters of recovered insulin after emulsification with methylene chloride in the absence of PLGA (n = 3)
SampleHomogenization Speed (rpm)Tm1 (°C ± SD)Tm2 (°C ± SD)ΔHtot (Cal/mol ± SD)
Insulin control71.5 ± 0.482.6 ± 0.8245 ± 4.0
Insulin5,00070.3 ± 0.583.1 ± 1.2201 ± 2.7
Insulin10,00071.2 ± 0.782.8 ± 0.5183 ± 1.9
Insulin + Zn2+83.8 ± 0.8187 ± 0.2
Insulin + Zn2+5,00081.4 ± 0.8182 ± 1.7
Insulin + Zn2+10,00082.6 ± 1.5176 ± 2.3

3.3. Stability of Insulin

One of the major concerns for the encapsulation of proteins into biodegradable microspheres prepared by the w/o/w technique is the denaturation of proteins during the fabrication process. Addition of the aqueous protein solution to the organic polymer solution followed by shear stress makes the organic solvent molecules diffuse into the aqueous phase. The organic solvent can bind to the protein directly by hydrophobic interaction or alter the ionic strength inside the aqueous medium, fostering the destabilization of protein molecules [25]. It was previously shown that the destabilizing effect of the organic solvents depends mainly on how the protein is incorporated (aqueous or solid form) and the organic solvent chosen for the dissolution of the polymer [26].
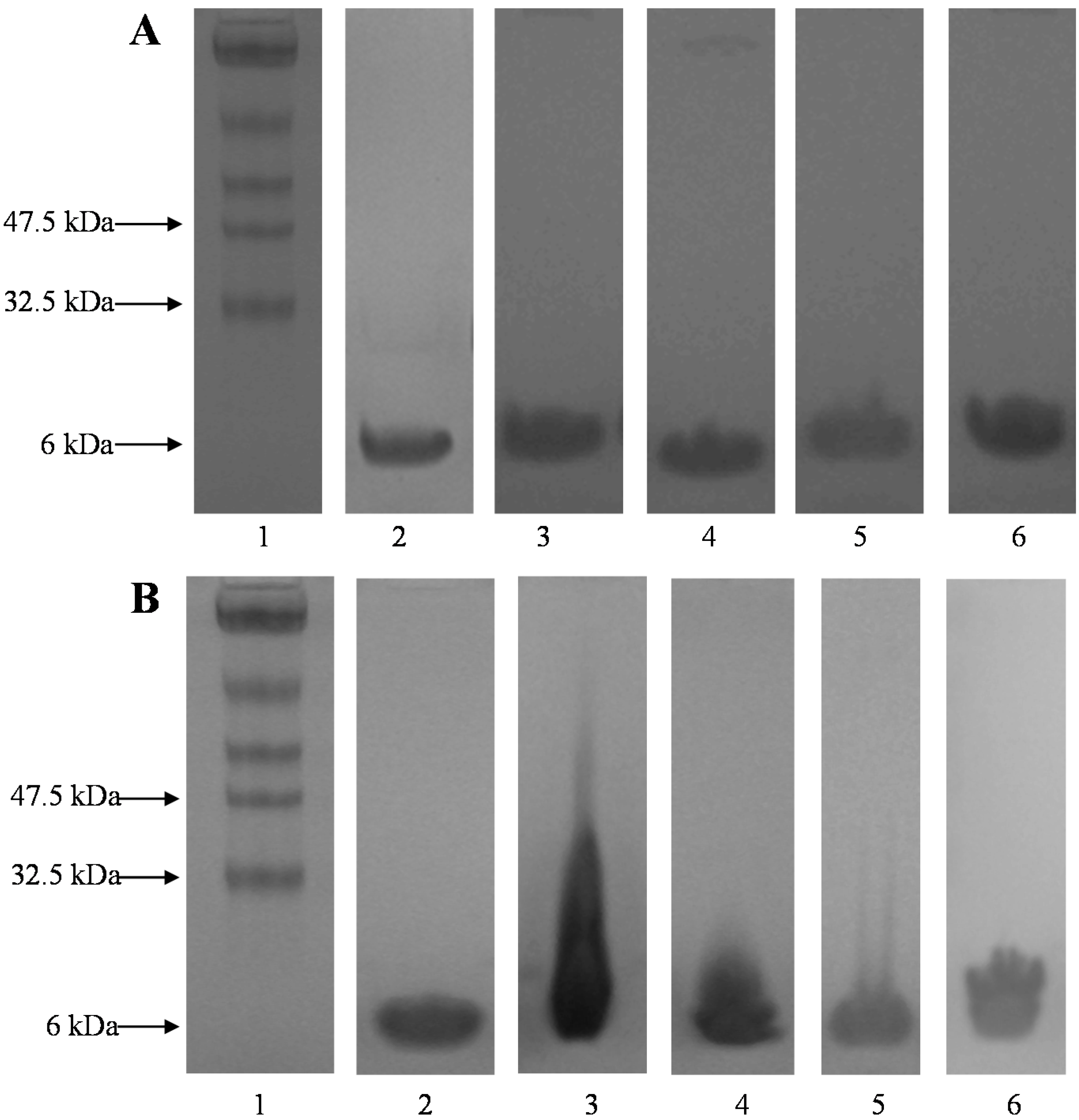
The primary structure of the extracted insulin was assessed by SDS-PAGE. Figure 3A,B show the SDS-PAGE gel patterns of insulin extracted into the aqueous phase and insulin obtained from w/o interfaces after various emulsification conditions, respectively. All the experiments were carried out in the presence of PLGA in methylene chloride. Analysis of the supernatant aqueous phase containing insulin under all the emulsifications conditions showed a single intense band around 6 kDa, suggesting the preservation of primary structure (Figure 3A). After the de-emulsification and extraction step, water insoluble white protein precipitates were observed at the w/o interfaces. The precipitates were carefully collected and analyzed to observe the nature of aggregation taking place at the interfaces. Native insulin showed a single intense band at 6 kDa and insulin obtained from the interfaces also showed a main band around 6 kDa (Figure 3B). However, the bands were not precise and they appeared as a smear. This clearly shows that the precipitates formed at the interfaces are insoluble insulin aggregates and not un-dissolved insulin. In addition, if there is any un-dissolved insulin, it should be dissolved during the extraction process carried out with 3 mL of phosphate buffer and 1 mL of PEG 400 leaving no insulin precipitates at the interfaces. The obtained precipitates dissolved completely when treated with 0.5% SDS containing aqueous solution, suggesting that the water-insoluble precipitates were aggregates of non-covalent nature. To further confirm the non-covalent nature of these aggregates, the precipitates dissolved in 0.5% SDS containing aqueous solution was subjected to SE-HPLC. In the SE-HPLC chromatograms, insulin extracted after homogenization at the highest speed (10,000 rpm) showed a single peak for monomeric insulin similar to native insulin (Figure 4). Absence of peaks for higher molecular weight aggregates (i.e., covalent dimers) confirmed the non-covalent nature of aggregation occurring between insulin molecules at the w/o interfaces.
Figure 3. (A) Sodium dodecyl sulfate-polyacrylamide gel electrophoresis (SDS-PAGE) of insulin extracted into the aqueous phase; and (B) SDS-PAGE of insulin obtained from the interfaces after various emulsification conditions. Lane 1: standard protein markers, lane 2: native insulin, lane 3: insulin obtained after homogenization at 5000 rpm, lane 4: insulin obtained after homogenization at 10,000 rpm, lane 5: insulin with zinc after homogenization at 5000 rpm, and lane 6: insulin with zinc after homogenization at 10,000 rpm.
Figure 3. (A) Sodium dodecyl sulfate-polyacrylamide gel electrophoresis (SDS-PAGE) of insulin extracted into the aqueous phase; and (B) SDS-PAGE of insulin obtained from the interfaces after various emulsification conditions. Lane 1: standard protein markers, lane 2: native insulin, lane 3: insulin obtained after homogenization at 5000 rpm, lane 4: insulin obtained after homogenization at 10,000 rpm, lane 5: insulin with zinc after homogenization at 5000 rpm, and lane 6: insulin with zinc after homogenization at 10,000 rpm.
Polymers 07 00836 g003
The extent of insulin degradation during the primary emulsification step that was carried out at 10,000 rpm in the presence of PLGA in methylene chloride was assessed by HPLC and MALDI-TOF MS. Comparison of chromatograms of insulin recovered in the supernatant aqueous phase with the chromatogram of native insulin indicated that insulin did not degrade after homogenization irrespective of the presence of zinc (Figure 5). All the chromatograms showed an insulin monomer peak at a retention time around 11 min. No additional peaks were observed which provided evidence that insulin did not degrade into products of different chemical nature such as the A21 desamido-insulin. Similar results were obtained from MALDI-TOF MS experiments. Analysis of the extracted insulin by MALDI-TOF MS is shown in Figure 6. In the mass spectrum of native insulin, a high intensity peak at m/z 5808 corresponds to the [M + H]+ ion, and a low intensity peak at m/z 2918 corresponds to the [M + H]2+ ion. The spectra of insulin and insulin with added zinc extracted after homogenization at 10,000 rpm showed peaks identical to native insulin.
Figure 4. Size exclusion high performance liquid chromatography (SE-HPLC) chromatograms of (A) native insulin; (B) insulin precipitates obtained after homogenization at 10,000 rpm; and (C) insulin precipitates with added zinc after homogenization at 10,000 rpm. The precipitates were dissolved in 0.5% sodium dodecyl sulfate (SDS) aqueous solution prior to analysis.
Figure 4. Size exclusion high performance liquid chromatography (SE-HPLC) chromatograms of (A) native insulin; (B) insulin precipitates obtained after homogenization at 10,000 rpm; and (C) insulin precipitates with added zinc after homogenization at 10,000 rpm. The precipitates were dissolved in 0.5% sodium dodecyl sulfate (SDS) aqueous solution prior to analysis.
Polymers 07 00836 g004
Figure 5. High performance liquid chromatography (HPLC) chromatograms of (A) native insulin; (B) insulin extracted after homogenization at 10,000 rpm; and (C) insulin with zinc extracted after homogenization at 10,000 rpm.
Figure 5. High performance liquid chromatography (HPLC) chromatograms of (A) native insulin; (B) insulin extracted after homogenization at 10,000 rpm; and (C) insulin with zinc extracted after homogenization at 10,000 rpm.
Polymers 07 00836 g005
Figure 6. Matrix-assisted laser desorption/ionization time-of-flight (MALDI-TOF) mass spectrum of (A) native insulin; (B) insulin extracted after homogenization at 10,000 rpm; and (C) insulin with zinc extracted after homogenization at 10,000 rpm.
Figure 6. Matrix-assisted laser desorption/ionization time-of-flight (MALDI-TOF) mass spectrum of (A) native insulin; (B) insulin extracted after homogenization at 10,000 rpm; and (C) insulin with zinc extracted after homogenization at 10,000 rpm.
Polymers 07 00836 g006
Figure 7 shows the far UV-CD spectrum of native insulin and insulin extracted after homogenization at 10,000 rpm with PLGA in methylene chloride. Native insulin showed two minima for α-helix at 208 and 223 nm. The spectrum of insulin homogenized at 10,000 rpm was found to be different from the native insulin spectrum. The spectrum showed characteristic α-helix minima peak at 208 and 223 with decreased magnitude indicating a partial loss in the secondary structure. With the addition of zinc at 10,000 rpm homogenization speed, insulin spectrum resembled closely to that of native insulin demonstrating the structural stabilizing effect of zinc.
Figure 7. Far UV-circular dichroism (CD) of insulin extracted in the aqueous phase. Solid line: native insulin, dotted line: insulin extracted after homogenization at 10,000 rpm, and dashed line: insulin with zinc extracted after homogenization at 10,000 rpm.
Figure 7. Far UV-circular dichroism (CD) of insulin extracted in the aqueous phase. Solid line: native insulin, dotted line: insulin extracted after homogenization at 10,000 rpm, and dashed line: insulin with zinc extracted after homogenization at 10,000 rpm.
Polymers 07 00836 g007
The exposure of insulin to water-methylene chloride interfaces, hydrophobic PLGA surfaces, and the homogenization step did not provoke the formation of covalent insulin aggregates or other degradation products as assessed by SDS-PAGE, MALDI-TOF MS, HPLC, and SE-HPLC. No significant (p > 0.05) difference in results was seen for insulin homogenized at 5000 (data not shown) and 10,000 rpm. Two possible reasons can be attributed to this increased stability of insulin. First, insulin used in this study was not strictly zinc-free. Before the addition of extra zinc to insulin, the zinc content was about 0.4% which when calculated accounts for nearly two molecules of zinc for six molecules of insulin. At this zinc concentration, more than 75% of insulin exists in the hexameric state [27] and the hexamer becomes the dominant species. In our case, the hexamers may have occupied the w/o interfaces and prevented the exposure of hydrophobic surfaces to the interfaces which leads to protein aggregation and denaturation. With the addition of zinc to insulin at a molar ratio of 5:6, all the insulin molecules are expected to exist in the form of hexamers and hence a greater stabilizing effect is noticed. In the absence of zinc, monomer population prevails and exposure to w/o interfaces leads to unfolding of the monomers and subsequent aggregation. It has been reported that the aggregation rate of monomeric insulin is proportional to insulin concentration [28,29]. Second, irrespective of the homogenization speed, the duration of homogenization was 1 min for all the experiments. The reduced homogenization time decreased the residing time for the protein molecules at the w/o interface. Kwon et al. [10] showed that aggregation of zinc-free insulin took place within 3 min in the presence of only methylene chloride and within ~1.5 min in the presence of 200 mg/mL PLGA in methylene chloride. In this study, it is obvious that the reduced homogenization time did not allow any degradation or aggregation to take place during the emulsification step by decreasing the residing time for the protein molecules at the w/o interface. Insulin aggregates formed at the interfaces were of non-covalent nature and the results are consistent with previous reports [10]. No interactions between insulin and PEG were observed. Finally, evaluation of the therapeutic activity of insulin encapsulated in PLGA microspheres with zinc is critical. In a different study, insulin encapsulated into PLGA microspheres with a zinc salt was evaluated in rat models by measuring the blood glucose levels. Insulin released from the microspheres suppressed glucose levels significantly for about two weeks (data not shown) demonstrating that the therapeutic activity of insulin was preserved during the emulsification process.

4. Conclusions

This study has demonstrated the protective effect of zinc on insulin stability in the primary emulsification step of the microsphere preparation process. By utilizing the novel protein recovery method developed in our laboratory, insulin was successfully extracted and examined by a combination of several analytical techniques. The presence of PLGA in the organic solvent phase and the homogenization speeds were found to affect insulin stability. Addition of zinc improved the conformational stability of insulin at two different homogenization speeds. During the primary emulsification step, no chemical degradation of insulin was observed and the aggregates formed were of non-covalent nature. Although the primary emulsification step is identified as the major step for protein denaturation and aggregation, with the addition of zinc, improved stability for insulin was achieved at different homogenization speeds.

Acknowledgments

We would like to acknowledge the financial support from Fraternal Order of Eagles Diabetes fund.

Author Contributions

Chandrasekar Manoharan performed the experimental work, Jagdish Singh directed and supervised the research.

Conflicts of Interest

The authors declare no conflict of interest.

References

  1. Sinha, V.R.; Trehan, A. Biodegradable microspheres for protein delivery. J. Control. Release 2003, 90, 261–280. [Google Scholar] [CrossRef] [PubMed]
  2. Freitas, S.; Merkle, H.P.; Gander, B. Microencapsulation by solvent extraction/evaporation: Reviewing the state of the art of microsphere preparation process technology. J. Control. Release 2005, 102, 313–332. [Google Scholar] [CrossRef] [PubMed]
  3. Morlock, M.; Koll, H.; Winter, G.; Kissel, T. Microencapsulation of RH-erythropoietin using biodegradable poly(d,l-lactide-co-glycolide): Protein stability and the effects of stabilizing excipients. Eur. J. Pharm. Biopharm. 1997, 43, 29–36. [Google Scholar] [CrossRef]
  4. Sah, H. Protein behavior at the water/methylene chloride interface. J. Pharm. Sci. 1999, 88, 1320–1325. [Google Scholar] [CrossRef] [PubMed]
  5. Sah, H. Stabilization of proteins against methylene chloride water interface induced denaturation and aggregation. J. Control. Release 1999, 58, 143–151. [Google Scholar] [CrossRef] [PubMed]
  6. Krishnamurthy, R.; Lumpkin, J.A.; Sridhar, R. Inactivation of lysozyme by sonication under conditions relevant to microencapsulation. Int. J. Pharm. 2000, 205, 23–34. [Google Scholar] [CrossRef] [PubMed]
  7. Dhankhar, P. Homogenization fundamentals. IOSR J. Eng. 2014, 4, 1–8. [Google Scholar] [CrossRef]
  8. Sah, H. Protein instability toward organic solvent/water emulsification: Implications for protein microencapsulation into microspheres. PDA J. Pharm. Sci. Technol. 1999, 53, 3–10. [Google Scholar] [PubMed]
  9. Van de Weert, M.; Hennink, W.E.; Jiskoot, W. Protein instability in poly(lactic-co-glycolic acid) microparticles. Pharm. Res. 2000, 17, 1159–1167. [Google Scholar]
  10. Kwon, Y.M.; Baudys, M.; Knutson, K.; Kim, S.W. In situ study of insulin aggregation induced by water–organic solvent interface. Pharm. Res. 2001, 18, 1754–1759. [Google Scholar] [CrossRef] [PubMed]
  11. Kang, F.; Jiang, G.; Hinderliter, A.; DeLuca, P.P.; Singh, J. Lysozyme stability in primary emulsion for PLGA microsphere preparation: Effect of recovery methods and stabilizing excipients. Pharm. Res. 2002, 19, 629–633. [Google Scholar] [CrossRef] [PubMed]
  12. Pérez, C.; Griebenow, K. Effect of salts on lysozyme stability at the water–oil interface and upon encapsulation in poly(lactic-co-glycolic) acid microspheres. Biotechnol. Bioeng. 2003, 82, 825–832. [Google Scholar] [CrossRef] [PubMed]
  13. Sah, H.; Bahl, Y. Effects of aqueous phase composition upon protein destabilization at water/organic solvent interface. J. Control. Release 2005, 106, 51–61. [Google Scholar] [CrossRef] [PubMed]
  14. Taluja, A.; Bae, Y.H. Role of a novel excipient poly(ethylene glycol)-b-poly(l-histidine) in retention of physical stability of insulin at aqueous/organic interface. Mol. Pharm. 2007, 4, 561–570. [Google Scholar] [CrossRef] [PubMed]
  15. Kaarsholm, N.C.; Ko, H.C.; Dunn, M.F. Comparison of solution structural flexibility and zinc binding domains for insulin, proinsulin, and miniproinsulin. Biochemistry 1989, 28, 4427–4435. [Google Scholar] [CrossRef] [PubMed]
  16. Huus, K.; Havelund, S.; Olsen, H.B.; van de Weert, M.; Frokjaer, S. Chemical and thermal stability of insulin: Effects of zinc and ligand binding to the insulin zinc-hexamer. Pharm. Res. 2006, 23, 2611–2620. [Google Scholar] [CrossRef] [PubMed]
  17. Smith, G.D.; Swenson, D.C.; Dodson, E.J.; Dodson, G.G.; Reynolds, C.D. Structural stability in the 4-zinc human insulin hexamer. Proc. Natl. Acad. Sci. USA 1984, 81, 7093–7097. [Google Scholar] [CrossRef] [PubMed]
  18. Smith, P.K.; Krohn, R.I.; Hermanson, G.T.; Mallia, A.K.; Gartner, F.H.; Provenzano, M.D.; Fujimoto, E.K.; Goeke, N.M.; Olson, B.J.; Klenk, D.C. Measurement of protein using bicinchoninic acid. Anal. Biochem. 1985, 150, 76–85. [Google Scholar] [CrossRef] [PubMed]
  19. Van de Weert, M.; Hoechstetter, J.; Hennink, W.E.; Crommelin, D.J. The effect of a water/organic solvent interface on the structural stability of lysozyme. J. Control. Release 2000, 68, 351–359. [Google Scholar] [CrossRef] [PubMed]
  20. Huus, K.; Havelund, S.; Olsen, H.B.; van de Weert, M.; Frokjaer, S. Thermal dissociation and unfolding of insulin. Biochemistry 2005, 44, 11171–11177. [Google Scholar] [CrossRef] [PubMed]
  21. Anraku, M.; Yamasaki, K.; Maruyama, T.; Kragh-Hansen, U.; Otagiri, M. Effect of oxidative stress on the structure and function of human serum albumin. Pharm. Res. 2001, 18, 632–639. [Google Scholar] [CrossRef] [PubMed]
  22. Brange, J.; Havelund, S.; Hommel, E.; Sørensen, E.; Kühl, C. Neutral insulin solutions physically stabilized by addition of Zn2+. Diabet. Med. 1986, 3, 532–536. [Google Scholar] [CrossRef] [PubMed]
  23. Derewenda, U.; Derewenda, Z.; Dodson, G.G.; Hubbard, R.E.; Korber, F. Molecular structure of insulin: The insulin monomer and its assembly. Br. Med. Bull. 1989, 45, 4–18. [Google Scholar] [PubMed]
  24. Derewenda, U.; Derewenda, Z.; Dodson, E.J.; Dodson, G.G.; Reynolds, C.D.; Smith, G.D.; Sparks, C.; Swenson, D. Phenol stabilizes more helix in a new symmetrical zinc insulin hexamer. Nature 1989, 338, 594–596. [Google Scholar] [CrossRef] [PubMed]
  25. Krishnamurthy, R.; Lumpkin, J.A. Stability of proteins during manufacture and release from biodegradable polymers. Biol. Pharm. 1998, 11, 32–36. [Google Scholar]
  26. Cleland, J.L.; Jones, A.J. Stable formulations of recombinant human growth hormone and interferon-gamma for microencapsulation in biodegradable microspheres. Pharm. Res. 1996, 13, 1464–1475. [Google Scholar] [CrossRef] [PubMed]
  27. Brange, J.; Skelbaek-Pedersen, B.; Langkjaer, L.; Damgaard, U.; Ege, H.; Havelund, S.; Heding, L.G.; Jorgensen, K.H.; Lykkeberg, J.; Markussen, J.; et al. Galenics of Insulin: The Physico-Chemical and Pharmaceutical Aspects of Insulin and Insulin Preparations; Springer-Verlag: Berlin, Germany, 1987. [Google Scholar]
  28. Brange, J. Stability of Insulin; Kluwer Academic Publishers: Boston, MA, USA, 1994. [Google Scholar]
  29. Brange, J.; Andersen, L.; Laursen, E.D.; Meyn, G.; Rasmussen, E. Toward understanding insulin fibrillation. J. Pharm. Sci. 1997, 86, 517–525. [Google Scholar] [CrossRef] [PubMed]

Share and Cite

MDPI and ACS Style

Manoharan, C.; Singh, J. Addition of Zinc Improves the Physical Stability of Insulin in the Primary Emulsification Step of the Poly(lactide-co-glycolide) Microsphere Preparation Process. Polymers 2015, 7, 836-850. https://doi.org/10.3390/polym7050836

AMA Style

Manoharan C, Singh J. Addition of Zinc Improves the Physical Stability of Insulin in the Primary Emulsification Step of the Poly(lactide-co-glycolide) Microsphere Preparation Process. Polymers. 2015; 7(5):836-850. https://doi.org/10.3390/polym7050836

Chicago/Turabian Style

Manoharan, Chandrasekar, and Jagdish Singh. 2015. "Addition of Zinc Improves the Physical Stability of Insulin in the Primary Emulsification Step of the Poly(lactide-co-glycolide) Microsphere Preparation Process" Polymers 7, no. 5: 836-850. https://doi.org/10.3390/polym7050836

APA Style

Manoharan, C., & Singh, J. (2015). Addition of Zinc Improves the Physical Stability of Insulin in the Primary Emulsification Step of the Poly(lactide-co-glycolide) Microsphere Preparation Process. Polymers, 7(5), 836-850. https://doi.org/10.3390/polym7050836

Article Metrics

Back to TopTop