Correlation between Antioxidant and Anti-Osteoporotic Activities of Shilajit Loaded into Chitosan Nanoparticles and Their Effects on Osteoporosis in Rats
Abstract
1. Introduction
2. Materials and Methods
2.1. Experimental Materials and Animals
2.1.1. Chemicals
2.1.2. Animals
2.1.3. Basal Diet
2.2. Nanochitosan (NCT) Preparation and Conjugation
2.2.1. Nanoconjugates Synthesis
2.2.2. Nanomaterials Characterization
2.3. Experimental Design
2.4. Blood Sampling and Biochemical Analysis
2.4.1. Sample Collection
2.4.2. Bone Sample Preparation
2.4.3. Lipid Peroxidation Estimation
2.4.4. SOD and TAC Measurement
2.4.5. Biochemical Parameter Determination
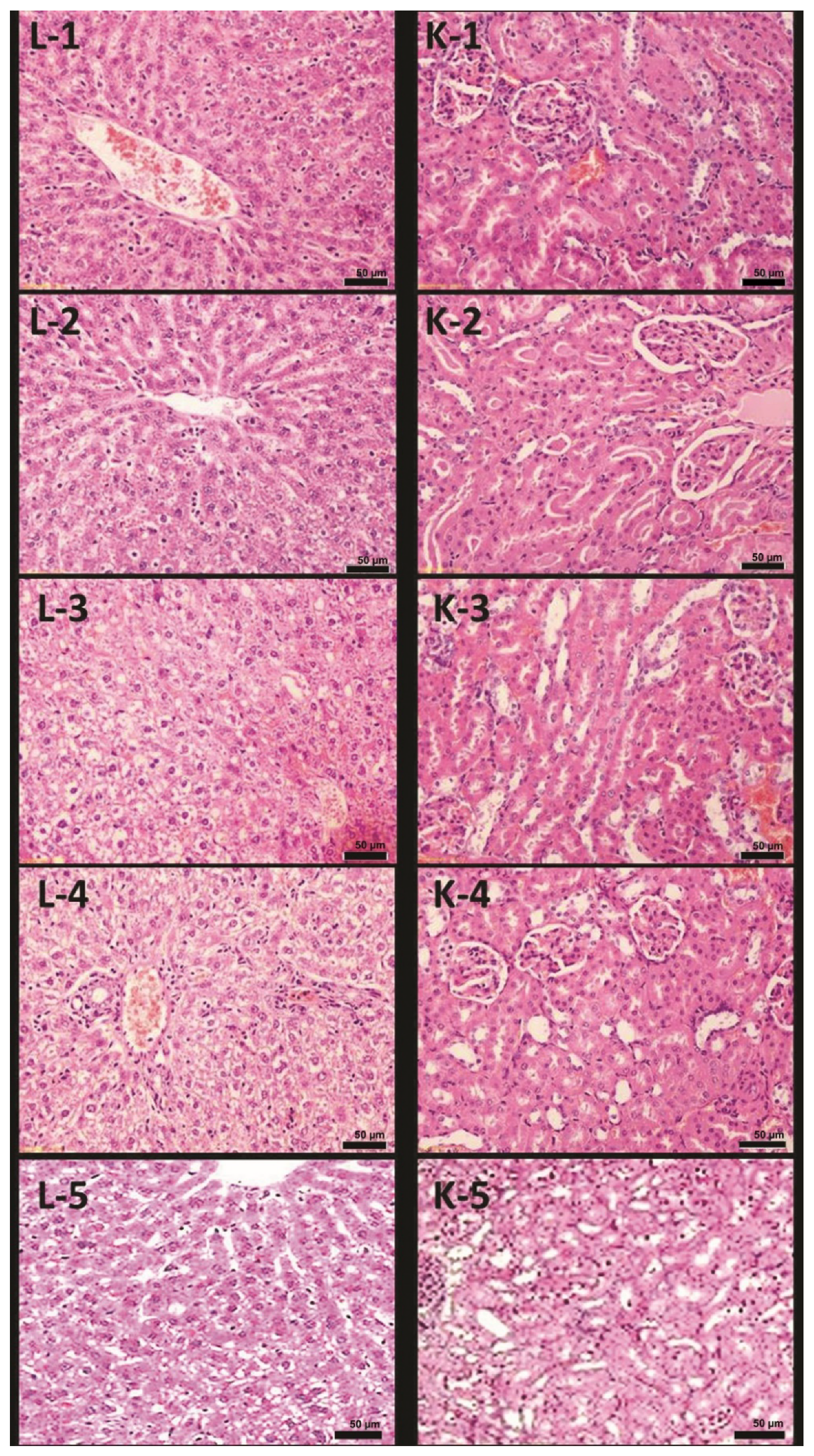
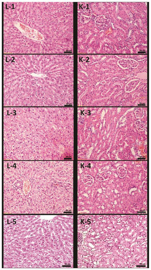
2.4.6. Histopathological Study
2.5. Statistical Methods
3. Results
3.1. Nanoconjugates Formation and Characterization
3.2. Serum Analysis
3.3. Oxidative Stress Indices and Bone Tissue Antioxidants
3.4. Histopathological Investigations
4. Discussion
5. Conclusions
Author Contributions
Funding
Institutional Review Board Statement
Informed Consent Statement
Data Availability Statement
Acknowledgments
Conflicts of Interest
References
- Bhattacharya, S.K.; Sen, A.P.; Ghosal, S. Effects of shilajit on biogenic free radicals. Phytother. Res. 1995, 9, 56–59. [Google Scholar] [CrossRef]
- AlShubaily, F.; Jambi, E. LC/MS Profiling of Shilajit Extract for Antimicrobial & Antifungal and Cytotoxic Activities. Int. Trans. J. Eng. Manag. Appl. Sci. Technol. 2022, 13, 1–13. [Google Scholar]
- Agarwal, S.P.; Khanna, R.; Karmarkar, R.; Anwer, M.K.; Khar, R.K. Shilajit: A review. Phytother. Res. Int. J. Devoted Pharmacol. Toxicol. Eval. Nat. Prod. Deriv. 2007, 21, 401–405. [Google Scholar] [CrossRef]
- Deo, Y.K.; Chaudary Arnand, K. Shilajeet for Obesity: A Probable Pharmacological Postulate. Int. J. Res. Ayuverda Pharm. 2015, 6, 69–72. [Google Scholar]
- Jambi, E.J.; Alshubaily, F.A. Shilajit potentiates the effect of chemotherapeutic drugs and mitigates metastasis induced liver and kidney damages in osteosarcoma rats. Saudi J. Biol. Sci. 2022, 29, 103393. [Google Scholar] [CrossRef]
- Watts, N.B. The Fracture Risk Assessment Tool (FRAX®): Applications in Clinical Practice. J. Women’s Health 2011, 20, 525–531. [Google Scholar] [CrossRef]
- Johnell, O.; Kanis, J.A. An estimate of the worldwide prevalence and disability associated with osteoporotic fractures. Osteoporos. Int. 2006, 17, 1726–1733. [Google Scholar] [CrossRef]
- Camacho, P.M.; Petak, S.M.; Binkley, N.; Clarke, B.L.; Harris, S.T.; Hurley, D.L.; Kleerekoper, M.; Lewiecki, E.M.; Miller, P.D.; Narula, H.S.; et al. American Association of Clinical Endocrinologists and American College of Endocrinology clinical practice guidelines for the diagnosis and treatment of postmenopausal osteoporosis—2016--Executive Summary. Endocr. Pract. 2016, 22, 1111–1118. [Google Scholar] [CrossRef]
- Cesur, M.G.; Ogrenim, G.; Gulle, K.; Sirin, F.B.; Akpolat, M.; Cesur, G. Does Shilajit have an Effect on New Bone Remodelling in the Rapid Maxillary Expansion Treatment? A Biochemical, Histopathological and Immunohistochemical study. SDÜ Tıp Fakültesi Derg. 2019, 26, 96–103. [Google Scholar]
- Ways, T.M.M.; Lau, W.M.; Khutoryanskiy, V.V. Chitosan and its derivatives for application in mucoadhesive drug delivery systems. Polymers 2018, 10, 267. [Google Scholar] [CrossRef]
- Sivanesan, I.; Gopal, J.; Muthu, M.; Shin, J.; Mari, S.; Oh, J. Green Synthesized Chitosan/Chitosan Nanoforms/Nanocomposites for Drug Delivery Applications. Polymers 2021, 13, 2256. [Google Scholar] [CrossRef]
- Quiñones, J.P.; Peniche, H.; Peniche, C. Chitosan Based Self-Assembled Nanoparticles in Drug Delivery. Polymers 2018, 10, 235. [Google Scholar] [CrossRef] [PubMed]
- Zhao, D.; Yu, S.; Sun, B.; Gao, S.; Guo, S.; Zhao, K. Biomedical Applications of Chitosan and Its Derivative Nanoparticles. Polymers 2018, 10, 462. [Google Scholar] [CrossRef] [PubMed]
- National Research Council (US) Committee for the Update of the Guide for the Care and Use of Laboratory Animals. Guide for the Care and Use of Laboratory Animals, 8th ed.; National Academies Press: Washington, DC, USA, 2011. [Google Scholar]
- Salem, M.F.; Tayel, A.A.; Alzuaibr, F.M.; Bakr, R.A. Innovative Approach for Controlling Black Rot of Persimmon Fruits by Means of Nanobiotechnology from Nanochitosan and Rosmarinic Acid-Mediated Selenium Nanoparticles. Polymers 2022, 14, 2116. [Google Scholar] [CrossRef]
- Buckley, L.; Humphrey, M.B. Glucocorticoid-induced osteoporosis. N. Engl. J. Med. 2018, 379, 2547–2556. [Google Scholar] [CrossRef]
- Stocks, J.; Dormandy, T.L. The Autoxidation of Human Red Cell Lipids Induced by Hydrogen Peroxide. Br. J. Haematol. 1971, 20, 95–111. [Google Scholar] [CrossRef]
- DeChatelet, L.R.; McCall, C.E.; McPhail, L.C.; Johnston, R.B. Superoxide Dismutase Activity in Leukocytes. J. Clin. Investig. 1974, 53, 1197–1201. [Google Scholar] [CrossRef]
- Ou, P.; Wolff, S.P. A discontinuous method for catalase determination at ‘near physiological’ concentrations of H2O2 and its application to the study of H2O2 fluxes within cells. J. Biochem. Biophys. Methods 1996, 31, 59–67. [Google Scholar] [CrossRef]
- Alishahi, A.; Mirvaghefi, A.; Tehrani, M.R.; Farahmand, H.; Shojaosadati, S.A.; Dorkoosh, F.A.; Elsabee, M.Z. Enhancement and Characterization of Chitosan Extraction from the Wastes of Shrimp Packaging Plants. J. Polym. Environ. 2011, 19, 776–783. [Google Scholar] [CrossRef]
- Alotaibi, M.A.; Tayel, A.A.; Zidan, N.S.; El Rabey, H.A. Bioactive coatings from nano-biopolymers/plant extract composites for complete protection from mycotoxigenic fungi in dates. J. Sci. Food Agric. 2019, 99, 4338–4343. [Google Scholar] [CrossRef] [PubMed]
- Hosseini, S.F.; Zandi, M.; Rezaei, M.; Farahmandghavi, F. Two-step method for encapsulation of oregano essential oil in chitosan nanoparticles: Preparation, characterization and in vitro release study. Carbohydr. Polym. 2013, 95, 50–56. [Google Scholar] [CrossRef] [PubMed]
- Shetta, A.; Kegere, J.; Mamdouh, W. Comparative study of encapsulated peppermint and green tea essential oils in chitosan nanoparticles: Encapsulation, thermal stability, in-vitro release, antioxidant and antibacterial activities. Int. J. Biol. Macromol. 2019, 126, 731–742. [Google Scholar] [CrossRef] [PubMed]
- Khanna, R.; Witt, M.; Anwer, M.K.; Agarwal, S.P.; Koch, B.P. Spectroscopic characterization of fulvic acids extracted from the rock exudate Shilajit. Org. Geochem. 2008, 39, 1719–1724. [Google Scholar] [CrossRef]
- Reddy, K.R.C. Analytical Substantiation of an Antidiabetic Ayurvedic Formulation Eladi Churna through Fourier Transmission Infrared. Asian J. Pharm. 2017, 11, 298–301. [Google Scholar]
- Hadi, S.; Ahmed, S.H.; Talib, N.; Hussein, H.A.; Al-Karkhi, I.H.T. Alcoholic Extract of Shilajit as Anti Protein Denaturation, Anti Blood Hemolysis, and Anti Microbial. Indian J. Forensic Med. Toxicol. 2020, 14, 392–396. [Google Scholar] [CrossRef]
- Khan, R.; Jain, P.; Zakir, F.; Aqil, M.; Alshehri, S.; Mirza, M.A.; Iqbal, Z. Quality and In Vivo Assessment of a Fulvic Acid Complex: A Validation Study. Sci. Pharm. 2022, 90, 33. [Google Scholar] [CrossRef]
- Lean, J.M.; Jagger, C.J.; Kirstein, B.; Fuller, K.; Chambers, T.J. Hydrogen Peroxide Is Essential for Estrogen-Deficiency Bone Loss and Osteoclast Formation. Endocrinology 2005, 146, 728–735. [Google Scholar] [CrossRef] [PubMed]
- Kim, J.H.; Kim, K.; Kim, I.; Seong, S.; Kim, N. NRROS negatively regulates osteoclast differentiation by inhibiting RANKL-mediated NF-κB and reactive oxygen species pathways. Mol. Cells 2015, 38, 904. [Google Scholar]
- Li, M.; Wan, P.; Wang, W.; Yang, K.; Zhang, Y.; Han, Y. Regulation of osteogenesis and osteoclastogenesis by zoledronic acid loaded on biodegradable magnesium-strontium alloy. Sci. Rep. 2019, 9, 933. [Google Scholar] [CrossRef]
- Lourenço, A.H.; Torres, A.L.; Vasconcelos, D.P.; Ribeiro-Machado, C.; Barbosa, J.N.; Barbosa, M.A.; Barrias, C.C.; Ribeiro, C.C. Osteogenic, anti-osteoclastogenic and immunomodulatory properties of a strontium-releasing hybrid scaffold for bone repair. Mater. Sci. Eng. C 2019, 99, 1289–1303. [Google Scholar] [CrossRef]
- Kankofer, M.; Radzki, R.P.; Bieńko, M.; Albera, E. Anti-oxidative/Oxidative Status of Rat Liver After Ovariectomy. J. Vet. Med. Ser. A 2007, 54, 225–229. [Google Scholar] [CrossRef]
- Kamal, S.M. Estradiol and/or Ibandronate Therapy Ameliorates Oxidative Status in Livers of Ovariectomized Rats. Br. J. Med. Med. Res. 2014, 4, 1844–1853. [Google Scholar] [CrossRef]
- Ghosal, S.; Baumik, S.; Chattopadhyay, S. Shilajit induced morphometric and functional changes in mouse peritoneal macrophages. Phytother. Res. 1995, 9, 194–198. [Google Scholar] [CrossRef]
- Ghosal, S. Free radicals, oxidative stress and antioxidant defense. Phytomedica 2000, 21, 1–8. [Google Scholar]
- Stevanovic, I.; Ninkovic, M.; Mancic, B.; Milivojevic, M.; Stojanovic, I.; Ilic, T.; Vujovic, M.; Djukic, M. Compensatory Neuroprotective Response of Thioredoxin Reductase against Oxidative-Nitrosative Stress Induced by Experimental Autoimmune Encephalomyelitis in Rats: Modulation by Theta Burst Stimulation. Molecules 2020, 25, 3922. [Google Scholar] [CrossRef]
- Jung, C.-R.; Schepetkin, I.A.; Woo, S.B.; Khlebnikov, A.; Kwon, B.S. Osteoblastic differentiation of mesenchymal stem cells by mumie extract. Drug Dev. Res. 2002, 57, 122–133. [Google Scholar] [CrossRef]
- Tripathi, Y.B.; Singh, V.P. Role of Tamra bhasma, an Ayurvedic preparation, in the management of lipid peroxidation in liver of albino rats. Indian J. Exp. Biol. 1996, 34, 66–70. [Google Scholar]
- Hikiji, H.; Shin, W.S.; Koizumi, T.; Takato, T.; Susami, T.; Koizumi, Y.; Okai-Matsuo, Y.; Toyo-Oka, T. Peroxynitrite production by TNF-α and IL-1β: Implication for suppression of osteoblastic differentiation. Am. J. Physiol. Metab. 2000, 278, E1031–E1037. [Google Scholar] [CrossRef]
- Gonzalez, M.J.; Seyfried, T.; Nicolson, G.L.; Barclay, B.J.; Matta, J.; Vasquez, A.; D’Agostino, D.; Olalde, J.; Duconge, J.; Hunninghake, R.; et al. Mitochondrial correction: A new therapeutic paradigm for cancer and degenerative diseases. J. Orthomol. Med. 2018, 33, 1–20. [Google Scholar]
- Otsuka, E.; Yamaguchi, A.; Hirose, S.; Hagiwara, H. Characterization of osteoblastic differentiation of stromal cell line ST2 that is induced by ascorbic acid. Am. J. Physiol. Content 1999, 277, C132–C138. [Google Scholar] [CrossRef]
- Swaminathan, R. Biochemical markers of bone turnover. Clin. Chim. Acta 2001, 313, 95–105. [Google Scholar] [CrossRef]
- Hairi, H.A.; Jamal, J.A.; Aladdin, N.A.; Husain, K.; Sofi, N.S.M.; Mohamed, N.; Mohamed, I.N.; Shuid, A.N. Demethylbelamcandaquinone B from Marantodes pumilum var. alata (Blume) Kuntze inhibits osteoclast differentiation in RAW264.7 cells. Asian Pac. J. Trop. Biomed. 2021, 11, 535. [Google Scholar] [CrossRef]
- Cappellen, D.; Luong-Nguyen, N.-H.; Bongiovanni, S.; Grenet, O.; Wanke, C.; Šuša, M. Transcriptional Program of Mouse Osteoclast Differentiation Governed by the Macrophage Colony-stimulating Factor and the Ligand for the Receptor Activator of NFκB. J. Biol. Chem. 2002, 277, 21971–21982. [Google Scholar] [CrossRef] [PubMed]
- Sawa, S.I.; Kamimura, D.; Jin, G.H.; Morikawa, H.; Kamon, H.; Nishihara, M.; Ishihara, K.; Murakami, M.; Hirano, T. Autoimmune arthritis associated with mutated interleukin (IL)-6 receptor gp130 is driven by STAT3/IL-7–dependent homeostatic proliferation of CD4+T cells. J. Exp. Med. 2006, 203, 1459–1470. [Google Scholar] [CrossRef] [PubMed]
- Hirota, K.; Yoshitomi, H.; Hashimoto, M.; Maeda, S.; Teradaira, S.; Sugimoto, N.; Yamaguchi, T.; Nomura, T.; Ito, H.; Nakamura, T.; et al. Preferential recruitment of CCR6-expressing Th17 cells to inflamed joints via CCL20 in rheumatoid arthritis and its animal model. J. Exp. Med. 2007, 204, 2803–2812. [Google Scholar] [CrossRef] [PubMed]
- Jayash, S.N.; Al-Namnam, N.M.; Shaghayegh, G. Osteoprotegerin (OPG) pathways in bone diseases and its application in therapeutic perspectives. Biointerface Res. Appl. Chem. 2020, 10, 5193–5200. [Google Scholar]
- El-Yamany, M.F.; Zaki, E.S.; Shaltout, S.A.; Saad, M.A. Bone marrow mononuclear cells boosts anti-cytogentical aberration effect of N-acetylcysteine and α-lipoic acid in rat’s liver and bone marrow: Implication of oxidative and inflammatory pathways. Toxicol. Mech. Methods 2021, 31, 437–449. [Google Scholar] [CrossRef]
- Qi, S.S.; Shao, M.L.; Ze, S.; Zheng, H.X. Salidroside from Rhodiola rosea L. attenuates diabetic nephropathy in STZ induced diabetic rats via anti-oxidative stress, anti-inflammation, and inhibiting TGF-β1/Smad pathway. J. Funct. Foods 2020, 77, 104329. [Google Scholar] [CrossRef]
- Hong, J.; Chang, A.; Zavvarian, M.-M.; Wang, J.; Liu, Y.; Fehlings, M.G. Level-Specific Differences in Systemic Expression of Pro- and Anti-Inflammatory Cytokines and Chemokines after Spinal Cord Injury. Int. J. Mol. Sci. 2018, 19, 2167. [Google Scholar] [CrossRef]
- Dragon-Durey, M.-A.; Chen, X.; Kirilovsky, A.; Ben Hamouda, N.; El Sissy, C.; Russick, J.; Charpentier, E.; Binois, Y.; Marliot, F.; Meylan, M.; et al. Differential association between inflammatory cytokines and multiorgan dysfunction in COVID-19 patients with obesity. PLoS ONE 2021, 16, e0252026. [Google Scholar] [CrossRef]
- Yamaguchi, S.; Sakurada, S.; Nagumo, M. Role of intracellular SOD in protecting human leukemic and cancer cells against superoxide and radiation. Free Radic. Biol. Med. 1994, 17, 389–395. [Google Scholar] [CrossRef]



| Groups * | Biochemical Parameters ** | ||||
|---|---|---|---|---|---|
| Ca mg/dL | P mmol/L | OC ng/mL | CT pg/mL | IL-6 ng/mL | |
| Group (1) | 9.81 ± 0.318 a | 6.00 ± 0.554 a | 5.30 ± 0.394 a | 4.96 ± 0.194 a | 6.41 ± 0.331 a |
| Group (2) | 7.93 ± 0.216 b | 3.61 ± 0.392 b | 9.60 ± 0.651 b | 2.01 ± 0.210 b | 21.13 ± 1.433 b |
| Group (3) | 8.10 ± 0.126 ab | 4.58 ± 0.213 ab | 7.45 ± 0.398 ab | 2.85 ± 0.149 ab | 12.28 ± 0.348 ab |
| Group (4) | 8.70 ± 0.236 ab | 5.30 ± 0.282 ab | 6.40 ± 0.328 ab | 3.86 ± 0.190 ab | 9.20 ± 0.316 ab |
| Group (5) | 9.52 ± 0.134 a | 5.82 ± 0.437 a | 5.95 ± 0.312 ab | 4.48 ± 0.196 ab | 7.92 ± 0.428 ab |
| Groups * | Biochemical Parameters ** | |||
|---|---|---|---|---|
| SOD (U/L) | TAC (mM/L) | MDA (nmol/mL) | H2O2 mM/L | |
| Group (1) | 307.83 ± 15.67 a | 2.48 ± 0.125 a | 2.53 ± 0.408 a | 1.33 ± 0.249 a |
| Group (2) | 137.33 ± 15.97 b | 0.7467 ± 0.092 b | 6.68 ± 0.318 b | 4.25 ± 0.278 b |
| Group (3) | 186.33 ± 6.77 ab | 1.10 ± 0.186 ab | 5.50 ± 0.334 ab | 3.30 ± 0.228 ab |
| Group (4) | 247.00 ± 7.69 ab | 2.05 ± 0.134 ab | 4.08 ± 0.331 ab | 2.44 ± 0.301 ab |
| Group (5) | 293.66 ± 12.61 b | 2.41 ± 0.131 b | 3.15 ± 0.411 ab | 1.53 ± 0.292 b |
| Ca | P | IL-6 | OC | CT | MDA | H2O2 | SOD | TAC | |
|---|---|---|---|---|---|---|---|---|---|
| Ca | 0.811 | 0.792 | 0.797 | 0.925 | 0.906 | 0.899 | 0.890 | 0.890 | |
| P | 0.811 | 0.906 | 0.851 | 0.902 | 0.916 | 0.914 | 0.900 | 0.909 | |
| IL-6 | 0.792 | 0.906 | 0.938 | 0.917 | 0.913 | 0.924 | 0.910 | 0.886 | |
| OC | 0.797 | 0.851 | 0.938 | 0.936 | 0.909 | 0.917 | 0.931 | 0.906 | |
| CT | 0.925 | 0.902 | 0.917 | 0.936 | 0.966 | 0.964 | 0.970 | 0.954 | |
| MDA | 0.906 | 0.916 | 0.913 | 0.909 | 0.966 | 0.951 | 0.959 | 0.947 | |
| H2O2 | 0.899 | 0.914 | 0.924 | 0.917 | 0.964 | 0.951 | 0.958 | 0.931 | |
| SOD | 0.890 | 0.900 | 0.910 | 0.931 | 0.970 | 0.959 | 0.958 | 0.961 | |
| TAC | 0.890 | 0.909 | 0.886 | 0.906 | 0.954 | 0.947 | 0.931 | 0.961 |
Publisher’s Note: MDPI stays neutral with regard to jurisdictional claims in published maps and institutional affiliations. |
© 2022 by the authors. Licensee MDPI, Basel, Switzerland. This article is an open access article distributed under the terms and conditions of the Creative Commons Attribution (CC BY) license (https://creativecommons.org/licenses/by/4.0/).
Share and Cite
Alshubaily, F.A.; Jambi, E.J. Correlation between Antioxidant and Anti-Osteoporotic Activities of Shilajit Loaded into Chitosan Nanoparticles and Their Effects on Osteoporosis in Rats. Polymers 2022, 14, 3972. https://doi.org/10.3390/polym14193972
Alshubaily FA, Jambi EJ. Correlation between Antioxidant and Anti-Osteoporotic Activities of Shilajit Loaded into Chitosan Nanoparticles and Their Effects on Osteoporosis in Rats. Polymers. 2022; 14(19):3972. https://doi.org/10.3390/polym14193972
Chicago/Turabian StyleAlshubaily, Fawzia A., and Ebtihaj J. Jambi. 2022. "Correlation between Antioxidant and Anti-Osteoporotic Activities of Shilajit Loaded into Chitosan Nanoparticles and Their Effects on Osteoporosis in Rats" Polymers 14, no. 19: 3972. https://doi.org/10.3390/polym14193972
APA StyleAlshubaily, F. A., & Jambi, E. J. (2022). Correlation between Antioxidant and Anti-Osteoporotic Activities of Shilajit Loaded into Chitosan Nanoparticles and Their Effects on Osteoporosis in Rats. Polymers, 14(19), 3972. https://doi.org/10.3390/polym14193972

