Primary Hepatic Gastrinoma Causing Zollinger-Ellison Syndrome: A Rare and Challenging Diagnosis
Abstract
:1. Introduction
| Case No./Reference | Presentation | Localization | Follow-up | Recurrence | Persistance | ||||||
|---|---|---|---|---|---|---|---|---|---|---|---|
| Age | Clinical ZES | FSG | Pre-op | Intra-op | Immediate Post-op | Long-Term | |||||
| FSG | Provacative test | Length (months) | 5 Years | ||||||||
| #1/[10] | 44 | √ | √ | √ | IOUS Palp | √ | √ | 12 | x | x | x |
| #2/[9] | 46 | √ | √ | √ | IOUS Palp Bx | √ | x | 2 | x | x | x |
| #3/[7] | 27 | √ | √ | √ | Palp | √ | x | 42 | x | x | x |
| #4/[15] | 13 | √ | √ | √ | “Careful search” | √ | x | 24 | x | x | x |
| #5/[21] | 50 | √ | √ | √ | IOUS TI | √ | x | 18 | x | x | x |
| #6/[18] | 46 * | √ | √ | √ | IOUS | √ | √ | >96 | √ | x | x |
| #7/[18] | 46 * | √ | √ | √ | IOUS | √ | √ | >96 | √ | x | x |
| #8/[18] | 46 * | √ | √ | √ | IOUS | √ | √ | 72 | √ | √ | x |
| #9/[12] | 57 | √ | √ | √ | Palp | √ | √ | 6 | x | x | x |
| #10/[16] | 39 | √ | √ | √ | IOUS Whipple | √ | x | 12 | x | x | x |
| #11/[19] | 51 | √ | √ | √ | X | √ | x | 2 | x | x | x |
| #12/[20] | 50 | √ | √ | √ | IOUS SVS | √ | √ | 60 | √ | √ | x |
| #13/[8] | 13 | √ | √ | √ | Palp Bx | √ | x | 12 | x | √ | x |
| #14/[13] | 9 | √ | √ | √ | x | √ | x | 36 | x | - | √ |
| #15/[3] | 57 | √ | √ | x | Palp | √ | x | 14 | x | x | x |
| #16/[27] | 30 | √ | √ | √ | Palp | √ | x | 136 | √ | x | x |
| #17/[26] | 8 | √ | √ | √ | Palp | √ | x | 18 | x | x | x |
| #18/[24] | 83 | x | x | - | - | x | x | x | x | - | - |
| #19/[25] | 29 | √ | √ | √ | IOUS TI | √ | x | 36 | x | x | x |
| #20/[22] | 56 | √ | √ | √ | IOUS Palp | √ | x | 20 | x | x | x |
| #21/[11] | 9 | √ | √ | √ | x | √ | x | 6 | x | x | x |
| #22/[14] | 39 | √ | √ | √ | IOUS, Palp SVS | √ | √ | 240 | √ | √ | x |
| #23/[23] | 61 | √ | √ | x | Palp | √ | x | 1 | x | x | x |
| #24/[17] | 50 | √ | x | √ | Palp | √ | √ | 24 | x | x | x |
| #25/[6] | 49 | x | x | x | x | x | x | 69 | √ | x | x |
| #26/[4] | 23 | √ | √ | √ | Palp | √ | √ | 24 | x | x | x |
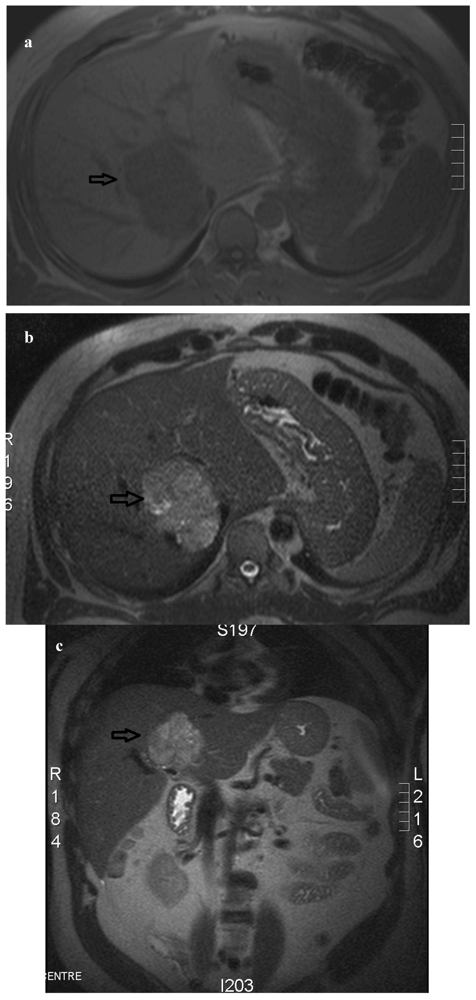
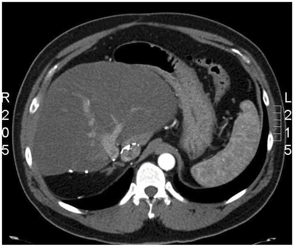
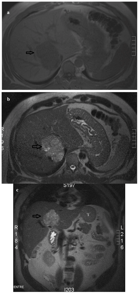
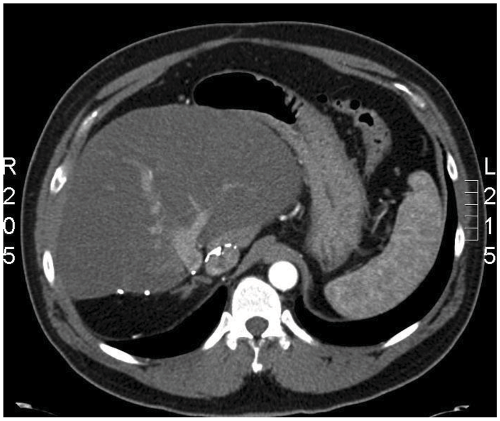
2. Case Report



3. Discussion
4. Conclusions
References
- Fendrich, V.; Langer, P.; Waldmann, J.; Bartsch, D.K.; Rothmund, M. Management of sporadic and multiple endocrine neoplasia type 1 gastrinomas. Br. J. Surg. 2007, 94, 1331–1341. [Google Scholar] [CrossRef]
- Zollinger, R.M.; Ellison, E.H. Primary peptic ulcerations of the jejunum associated with islet-cell tumors of the pancreas. Ann. Surg. 1955, 14, 709–723. [Google Scholar] [CrossRef]
- Smyrniotis, V.; Kehagias, D.; Kostopanagiotou, G.; Tripolitsioti, P.; Paphitis, A. Primary hepatic gastrinoma. Am. J. Gastroenterol. 1999, 94, 3380–3382. [Google Scholar]
- Thompson, N.W.; Vinik, A.I.; Eckhauser, F.E.; Strodel, W.E. Extrapancreatic gastrinomas. Surgery 1985, 98, 1113–1120. [Google Scholar]
- Norton, J.A.; Alexander, H.R.; Fraker, D.L.; Venzon, D.J.; Gibril, F.; Jensen, R.T. Possible primary lymph node gastrinoma: Occurrence, natural history, and predictive factor. A prospective study. Ann. Surg. 2003, 237, 650–659. [Google Scholar]
- Andreola, S.; Lombardi, L.; Audisio, R.A.; Mazzaferro, V.; Koukouras, D.; Doci, R.; Gennari, L.; Makowka, L.; Starzl, T.E.; van Theil, D.H. A clinicopathologic study of primary hepatic carcinoid tumors. Cancer 1990, 65, 1211–1218. [Google Scholar] [CrossRef]
- Chien, R.N.; Chen, T.C.; Chiu, C.T.; Tsai, S.L.; Jen, L.B.; Liaw, Y.F. Primary calcified gastrinoma of the liver. Dig. Dis. Sci. 2001, 46, 370–375. [Google Scholar] [CrossRef]
- Diaz, R.; Aparicio, J.; Pous, S.; Dolz, J.F.; Calderero, V. Primary hepatic gastrinoma. Dig. Dis. Sci. 2003, 48, 1665–1667. [Google Scholar] [CrossRef]
- Evans, J.T.; Nickles, S.; Hoffman, B.J. Primary hepatic gastrinoma: An unusual case of Zollinger-Ellison syndrome. Gastroenterol. Hepatol. 2010, 6, 53–56. [Google Scholar]
- Ishikawa, Y.; Yoshida, H.; Mamada, Y.; Taniai, N.; Mastsumoto, S.; Bando, K.; Misuguchi, Y.; Kakinuma, D.; Kanda, T.; Akimaru, K.; et al. Curative resection of primary hepatic gastrinoma. Hepatogastroenterology 2008, 55, 2224–2227. [Google Scholar]
- Kanakia, R.R.; Sawant, P.D.; Nanivadekar, S.A.; Vishwanath, N.; Rajagopalan, K.; Shroff, C.P. Primary gastrinoma of the liver. Indian Pediatr. 1994, 31, 1137–1140. [Google Scholar]
- Kehagias, D.; Moulopoulos, L.; Smirniotis, V.; Pafiti, A.; Ispanopoulos, S.; Vlahos, L. Imaging findings in primary carcinoid tumour of the liver with gastrin production. Br. J. Radiol. 1999, 72, 207–209. [Google Scholar]
- Krishnamurthy, S.C.; Dutta, V.; Pai, S.A.; Kane, S.V.; Jagannath, P.; Desouza, L.J.; Deshpande, R.; Desai, P.B. Primary carcinoid tumor of the liver: Report of four resected cases including one with gastrin production. J. Surg. Oncol. 1996, 62, 218–221. [Google Scholar] [CrossRef]
- Kuiper, P.; Biemond, I.; Verspaget, H.; Lamers, C. A case of recurrent gastrinoma in the liver with a review of “primary” hepatic gastrinomas. BMJ Case Rep. 2009, 1529–1539. [Google Scholar]
- Larriva-Sahd, J.; Angeles-Angeles, A.; Hernhdez-Pando, R.; Rondan, A.; Orozco Estevez, H.; Campuzano Fernández, M. Ultrastructural and immunocytochemical study of a primary gastrinoma of the liver. Ultrastruct. Pathol. 1992, 16, 667–672. [Google Scholar] [CrossRef]
- Lee, S.R.; Choi, M.C.; Ahn, K.J. A case of multiple endocrine neoplasia type 1 with primary liver gastrinoma. J. Korean Med. Sci. 2010, 25, 953–956. [Google Scholar] [CrossRef]
- Moriura, S.; Ikeda, S.; Hirai, M.; Naiki, K.; Fujioka, T.; Yokochi, K.; Gotou, S. Hepatic gastrinoma. Cancer 1993, 72, 1547–1550. [Google Scholar] [CrossRef]
- Norton, J.A.; Doherty, G.M.; Fraker, D.L.; Alexander, H.R.; Doppman, J.L.; Venzon, D.J.; Gibril, F.; Jensen, R.T. Surgical treatment of localized gastrinoma within the liver: A prospective study. Surgery 1998, 124, 1145–1152. [Google Scholar] [CrossRef]
- Rascarachi, G.; Sierra, M.; Hernando, M.; Diez, R.; Arias, L.; Jorqera, F.; Vivas, S.; Olcoz, J.L. Primary liver carcinoid tumour with a Zollinger Ellison syndrome—An unusual diagnosis: A case report. Cases J. 2009, 2, 6346. [Google Scholar]
- Shibata, C.; Naito, H.; Funayama, Y.; Fukushima, K.; Takahashi, K.; Unno, M.; Sasaki, I. Diagnosis and surgical treatment for primary liver gastrinoma: Report of a case. Dig. Dis. Sci. 2006, 51, 1122–1125. [Google Scholar] [CrossRef]
- Tiomny, E.; Brill, S.; Baratz, M.; Messer, G.; Greif, F.; Moshkowitz, M.; Gilat, T. Primary liver gastrinoma. J. Clin. Gastroenterol. 1997, 24, 188–191. [Google Scholar] [CrossRef]
- Tsalis, K.; Vrakas, G.; Vradelis, S.; Kartalis, G.; Dimoulas, A.; Pilavaki, M.; Papaemmanouil, S.; Micheli, A.; Lazarides, C. Primary hepatic gastrinoma: Report of a case and review of literature. World J. Gastrointest. Pathophysiol. 2011, 2, 26–30. [Google Scholar] [CrossRef]
- Wolfe, M.M.; Alexander, R.W.; McGuigan, J.E. Extrapancreatic, extraintestinal gastrinoma: Effective treatment by surgery. N. Engl. J. Med. 1982, 306, 1533–1536. [Google Scholar] [CrossRef]
- Yu-Ping, X.; Ji-Yao, Y. Primary neuroendocrine carcinoma of the liver. Ultrastruct. Pathol. 1986, 10, 331–336. [Google Scholar] [CrossRef]
- Delgado, D.; Delgado, B.; Sperber, A.M.; Fish, A. Sucessful surgical treatment of a primary liver gastrinoma during pregnancy: A case report. Am. J. Obstet. Gynecol. 2004, 191, 1716–1718. [Google Scholar] [CrossRef]
- Smith, A.L.; Auldist, A.W. Successful surgical resection of an hepatic gastrinoma in a child. J. Pediatr. Gastroenterol. Nutr. 1984, 3, 801–804. [Google Scholar] [CrossRef]
- Goletti, O.; Chiargi, M.; Buccianti, P.; Tortora, A.; Castagna, M.; Del Guerra, P.; Viacava, P.; Cavina, E. Resection of liver gastrinoma leading to persistent eugastrinemia. Eur. J. Surg. 1992, 58, 55–57. [Google Scholar]
- Berna, M.J.; Hoffmann, K.M.; Long, S.H.; Serrano, J.; Gibril, F.; Jensen, R.T. Serum gastrin in Zollinger-Ellison syndrome: II. Prospective study of gastrin provocative testing in 293 patients from the National Institutes of Health and comparison with 537 cases from the literature. Evaluation of diagnostic criteria, proposal of new criteria, and correlations with clinical and tumoral features. Medicine (Baltimore) 2006, 85, 331–364. [Google Scholar] [CrossRef]
- Alumets, J.; Sundler, F.; Falkmer, S.; Ljungberg, O.; Håkanson, R.; Mårtensson, H.; Nobin, A.; Lasson, A. Neurohormonal peptides in endocrine tumors of the pancreas, stomach, and upper small intestine: I. An immunhistochemical study of 27 cases. Ultrastruct. Pathol. 1983, 5, 55–72. [Google Scholar] [CrossRef]
- Norton, J.A.; Fraker, D.L.; Alexander, H.R.; Venzon, D.J.; Doppman, J.L.; Serrano, J.; Goebel, S.U.; Peghini, P.L.; Roy, P.K.; Gibril, F.; et al. Surgery to cure the Zollinger-Ellison syndrome. Ann. Surg. 2006, 244, 410–419. [Google Scholar]
- Norton, J.A. Intraoperative methods to stage and localize pancreatic and duodenal tumors. Ann. Oncol. 1999, 10, 182–184. [Google Scholar] [CrossRef]
- Proye, C.; Pattuo, F.; Carnaille, B.; Paris, J.-C.; d’Herbonez, M.; Marchandise, X. Intraoperative gastrin measurements during surgical management of patients with gastrinomas: Experience with 20 cases. World J. Surg. 1998, 22, 643–650. [Google Scholar] [CrossRef]
- Fishbeyn, V.A.; Norton, J.A.; Benya, R.V.; Pisegm, J.R.; Venzen, D.J.; Metz, D.C.; Jensen, R.T. Assessment and prediction of long-term cure in patients with the zollinger-ellison syndrome: The best approach. Ann. Int. Med. 1993, 119, 199–206. [Google Scholar]
© 2012 by the authors; licensee MDPI, Basel, Switzerland. This article is an open access article distributed under the terms and conditions of the Creative Commons Attribution license (http://creativecommons.org/licenses/by/3.0/).
Share and Cite
Harvey, A.; Pasieka, J.L.; Al-Bisher, H.; Dixon, E. Primary Hepatic Gastrinoma Causing Zollinger-Ellison Syndrome: A Rare and Challenging Diagnosis. Cancers 2012, 4, 130-140. https://doi.org/10.3390/cancers4010130
Harvey A, Pasieka JL, Al-Bisher H, Dixon E. Primary Hepatic Gastrinoma Causing Zollinger-Ellison Syndrome: A Rare and Challenging Diagnosis. Cancers. 2012; 4(1):130-140. https://doi.org/10.3390/cancers4010130
Chicago/Turabian StyleHarvey, Adrian, Janice L. Pasieka, Hassan Al-Bisher, and Elijah Dixon. 2012. "Primary Hepatic Gastrinoma Causing Zollinger-Ellison Syndrome: A Rare and Challenging Diagnosis" Cancers 4, no. 1: 130-140. https://doi.org/10.3390/cancers4010130
APA StyleHarvey, A., Pasieka, J. L., Al-Bisher, H., & Dixon, E. (2012). Primary Hepatic Gastrinoma Causing Zollinger-Ellison Syndrome: A Rare and Challenging Diagnosis. Cancers, 4(1), 130-140. https://doi.org/10.3390/cancers4010130
