Biparametric Versus Multiparametric MRI for VI-RADS Assessment: Reproducibility Relative to Routine mpMRI Reporting and Impact of Radiologist Experience in a Single-Center Study
Simple Summary
Abstract
1. Introduction
2. Methods
2.1. Study Design and Population
2.2. MRI Acquisition Protocol
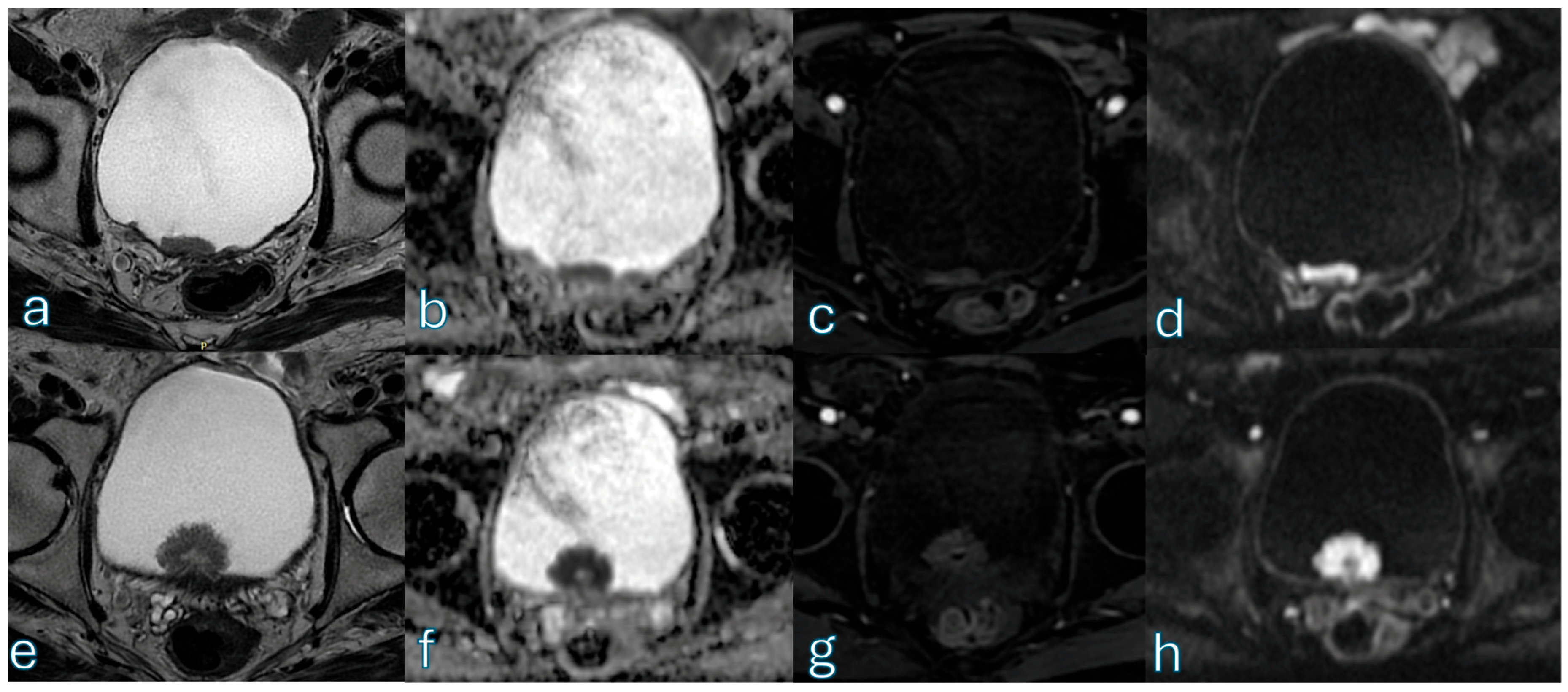
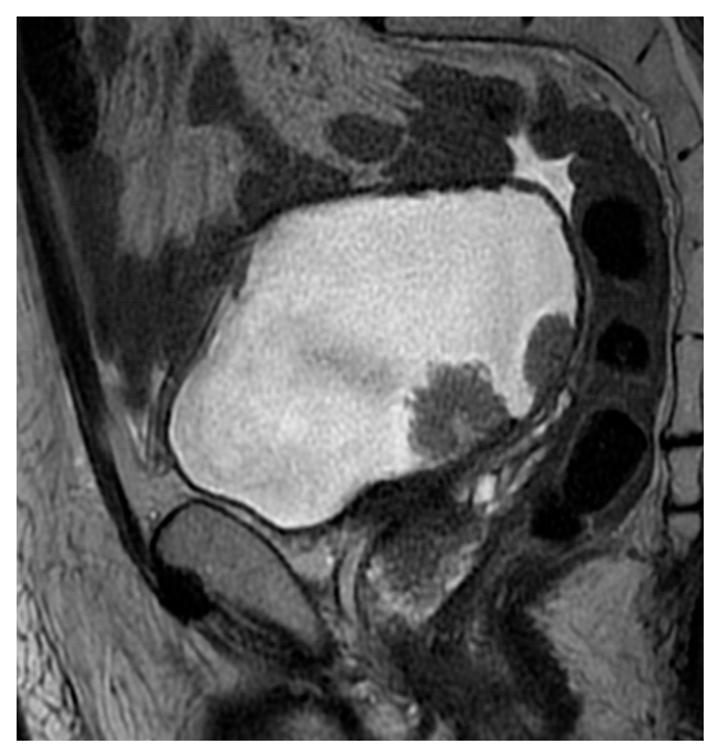
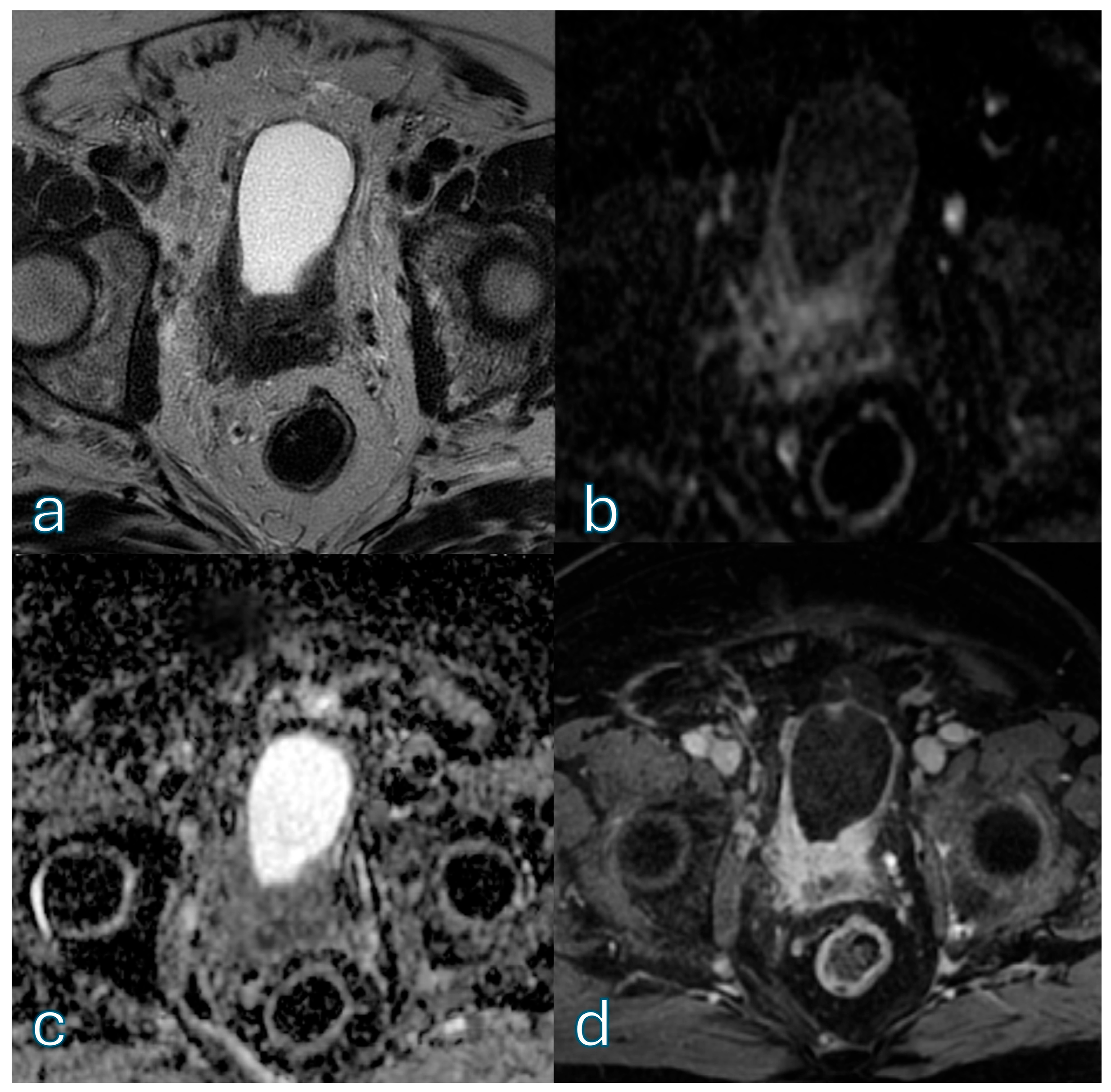
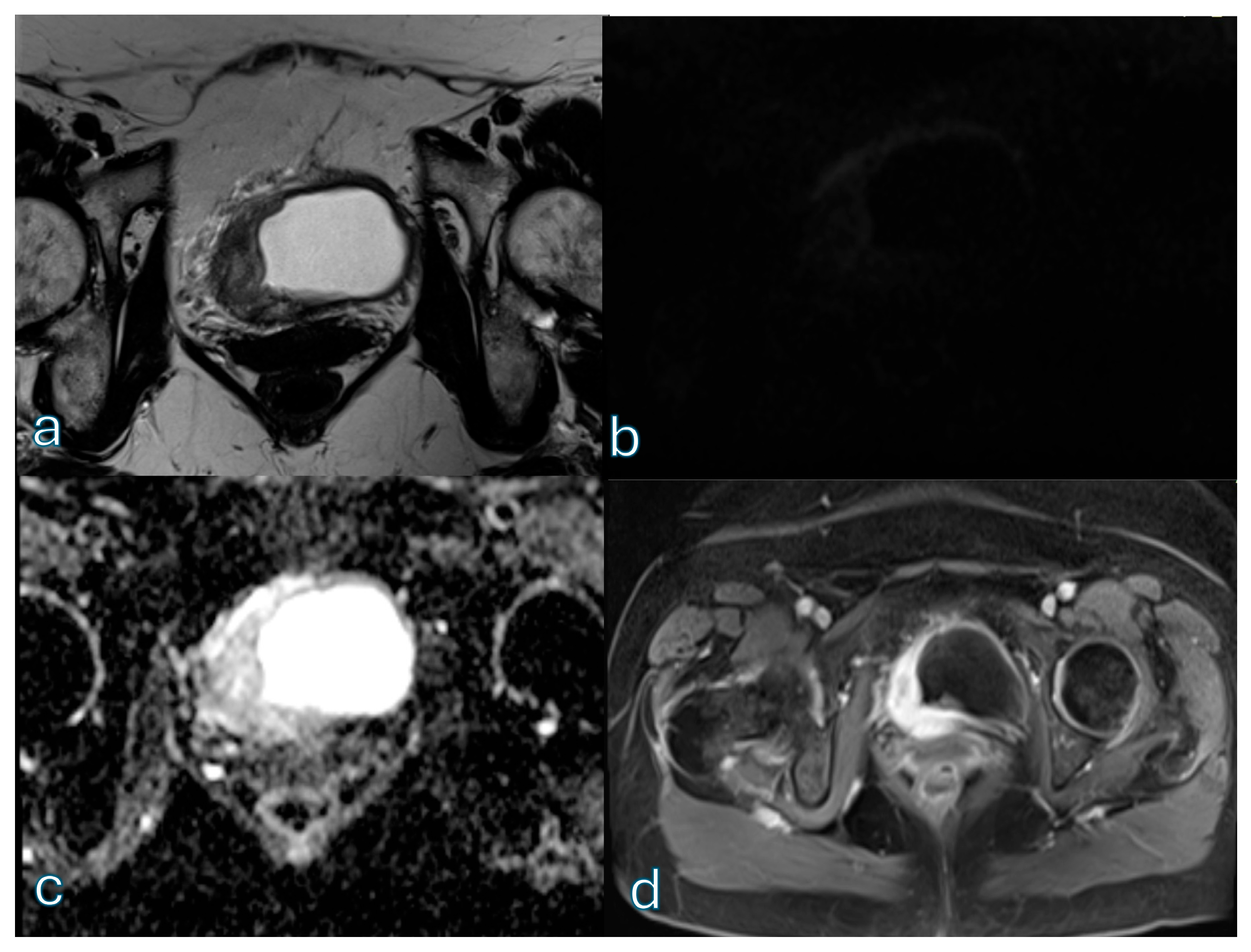
2.3. Image Interpretation
2.4. Reference Standard
2.5. Statistical Analysis
3. Results
3.1. Patients’ Characteristics
3.2. Distribution of Reference mpMRI VI-RADS Scores
3.3. bpMRI Performance: Expert Reader
3.4. bpMRI Performance: Non-Expert Reader
3.5. Agreement Analysis
3.6. ROC Analysis for High-Likelihood Muscle Invasion (VI-RADS ≥ 4)
3.7. Histopathological Correlation for Muscle-Invasive Disease
3.8. Post-TURBT Subgroup Analysis
4. Discussion
5. Conclusions
Author Contributions
Funding
Institutional Review Board Statement
Informed Consent Statement
Data Availability Statement
Conflicts of Interest
References
- Zhang, Y.; Rumgay, H.; Li, M.; Yu, H.; Pan, H.; Ni, J. The global landscape of bladder cancer incidence and mortality in 2020 and projections to 2040. J. Glob. Health 2023, 13, 04109. [Google Scholar] [CrossRef] [PubMed]
- Tortora, F.; Guastaferro, A.; Barbato, S.; Febbraio, F.; Cimmino, A. New Challenges in Bladder Cancer Diagnosis: How Biosensing Tools Can Lead to Population Screening Opportunities. Sensors 2024, 24, 7873. [Google Scholar] [CrossRef]
- Liu, F.; Han, L.; Liu, S.; Wang, C.; Wang, J.; Zhang, S.; Kong, S.; Han, X.; Wu, H.; Wu, F.; et al. Diseases burden and trends of bladder cancer attributable to behavioral and metabolic factors among global and Chinese population, 1990–2021: Results from the global burden of disease study 2021. J. Health Popul. Nutr. 2025, 44, 377. [Google Scholar] [CrossRef] [PubMed]
- Su, X.; Tao, Y.; Chen, F.; Han, X.; Xue, L. Trends in the global, regional, and national burden of bladder cancer from 1990 to 2021: An observational study from the global burden of disease study 2021. Sci. Rep. 2025, 15, 7655. [Google Scholar] [CrossRef]
- Richters, A.; Aben, K.K.H.; Kiemeney, L. The global burden of urinary bladder cancer: An update. World J. Urol. 2020, 38, 1895–1904. [Google Scholar] [CrossRef]
- Escobar, D.; Zahir, M.; Doshi, C.; Daneshmand, S. Management of clinical stage T3/T4 bladder cancer: A review. World J. Urol. 2025, 43, 583. [Google Scholar] [CrossRef]
- He, X.; Chen, Y.; Zhou, S.; Wang, G.; Hua, R.; Li, C.; Wang, Y.; Chen, X.; Ye, J. A Machine Learning Model Based on Multi-Phase Contrast-enhanced CT for the Preoperative Prediction of the Muscle-Invasive Status of Bladder Cancer. Curr. Med. Imaging 2025, 21, E15734056377754. [Google Scholar] [CrossRef]
- Shalata, A.T.; Alksas, A.; Shehata, M.; Khater, S.; Ezzat, O.; Ali, K.M.; Gondim, D.; Mahmoud, A.; El-Gendy, E.M.; Mohamed, M.A.; et al. Precise grading of non-muscle invasive bladder cancer with multi-scale pyramidal CNN. Sci. Rep. 2024, 14, 25131. [Google Scholar] [CrossRef]
- Ibraheem, N.; Abosheisha, M.; Alemam, A.; Abbas, M.; Abdelglil, M.; Tamanna, R.; Yasser Elnaggar, M.; Swealem, A.; Ismaiel, M. Integrated Magnetic Resonance Imaging in Muscle-Invasive Bladder Cancer: A Comprehensive Review. Cureus 2025, 17, e90077. [Google Scholar] [CrossRef]
- Barocas, D.A.; Globe, D.R.; Colayco, D.C.; Onyenwenyi, A.; Bruno, A.S.; Bramley, T.J.; Spear, R.J. Surveillance and treatment of non-muscle-invasive bladder cancer in the USA. Adv. Urol. 2012, 2012, 421709. [Google Scholar] [CrossRef] [PubMed]
- Damaj, N.; Naim, N.; Saad, A.; Kattan, C.; Kattan, J. Management of bladder cancer recurrence following the trimodality therapy. Front. Oncol. 2025, 15, 1672431. [Google Scholar] [CrossRef]
- Kufukihara, R.; Kikuchi, E.; Shigeta, K.; Ogihara, K.; Arita, Y.; Akita, H.; Suzuki, T.; Abe, T.; Mizuno, R.; Jinzaki, M.; et al. Diagnostic performance of the vesical imaging-reporting and data system for detecting muscle-invasive bladder cancer in real clinical settings: Comparison with diagnostic cystoscopy. Urol. Oncol. Semin. Orig. Investig. 2022, 40, 61.e61–61.e68. [Google Scholar] [CrossRef]
- van Koeverden, S.W.; van Hoogstraten, L.M.; de Rooij, M.; van der Leest, M.; Grutters, J.P.; BladParadigm Study Group; Kiemeney, L.A.; van der Heijden, A.G. Multiparametric MRI for local staging in patients with suspected muscle-invasive bladder cancer: Study protocol for a multicentre, non-inferiority randomised controlled trial (the BladParadigm study). BMJ Open 2025, 15, e100002. [Google Scholar] [CrossRef]
- Guldhammer, C.S.; Vásquez, J.L.; Kristensen, V.M.; Norus, T.; Nadler, N.; Jensen, J.B.; Azawi, N. Cystoscopy Accuracy in Detecting Bladder Tumors: A Prospective Video-Confirmed Study. Cancers 2024, 16, 160. [Google Scholar] [CrossRef] [PubMed]
- Shkolyar, E.; Zhou, S.R.; Carlson, C.J.; Chang, S.; Laurie, M.A.; Xing, L.; Bowden, A.K.; Liao, J.C. Optimizing cystoscopy and TURBT: Enhanced imaging and artificial intelligence. Nat. Rev. Urol. 2025, 22, 46–54. [Google Scholar] [CrossRef]
- Wang, W.; Wu, J.; Shen, Q.; Li, W.; Xue, K.; Yang, Y.; Qiu, J. Assessment of pathological grade and variants of bladder cancer with a continuous-time random-walk diffusion model. Front. Oncol. 2024, 14, 1431536. [Google Scholar] [CrossRef] [PubMed]
- Reginelli, A.; Patanè, V.; Urraro, F.; Russo, A.; De Chiara, M.; Clemente, A.; Atripaldi, U.; Balestrucci, G.; Buono, M.; D’Ippolito, E.; et al. Magnetic Resonance Imaging Evaluation of Bone Metastases Treated with Radiotherapy in Palliative Intent: A Multicenter Prospective Study on Clinical and Instrumental Evaluation Assessment Concordance (MARTE Study). Diagnostics 2023, 13, 2334. [Google Scholar] [CrossRef] [PubMed]
- Patanè, V.; Atripaldi, U.; Sansone, M.; Marinelli, L.; Del Tufo, S.; Arrichiello, G.; Ciardiello, D.; Selvaggi, F.; Martinelli, E.; Reginelli, A. MRI-based radiomics for preoperative T-staging of rectal cancer: A retrospective analysis. Int. J. Color. Dis. 2025, 40, 174. [Google Scholar] [CrossRef]
- Urraro, F.; Nardone, V.; Reginelli, A.; Varelli, C.; Angrisani, A.; Patanè, V.; D’Ambrosio, L.; Roccatagliata, P.; Russo, G.M.; Gallo, L.; et al. MRI Radiomics in Prostate Cancer: A Reliability Study. Front. Oncol. 2021, 11, 805137. [Google Scholar] [CrossRef]
- Dehghanpour, A.; Pecoraro, M.; Messina, E.; Laschena, L.; Borrelli, A.; Novelli, S.; Santini, D.; Simone, G.; Girometti, R.; Panebianco, V. Diagnostic accuracy and inter-reader agreement of the nacVI-RADS for bladder cancer treated with neoadjuvant chemotherapy: A prospective validation study. Eur. Radiol. 2025, 35, 4016–4026. [Google Scholar] [CrossRef]
- Pecoraro, M.; Cipollari, S.; Messina, E.; Laschena, L.; Dehghanpour, A.; Borrelli, A.; Del Giudice, F.; Muglia, V.F.; Vargas, H.A.; Panebianco, V. Multiparametric MRI for Bladder Cancer: A Practical Approach to the Clinical Application of VI-RADS. Radiology 2025, 314, e233459. [Google Scholar] [CrossRef]
- Woo, S.; Luk, L.; Muglia, V.F.; Briganti, A.; Efstathiou, J.; Galgano, S.J.; Redd, B.; de Rooij, M.; Takeuchi, M.; Witjes, J.A.; et al. VI-RADS quality score: Development and proposal of a scoring system by the American College of Radiology VI-RADS Steering Committee. Eur. Radiol. 2026, 36, 1093–1104. [Google Scholar] [CrossRef]
- Dehghanpour, A.; Davenport, M.S.; Muglia, V.F.; Nicola, R.; Shen, L.; Shinagare, A.B.; Vargas, H.A.; Panebianco, V. Vesical Imaging Reporting and Data System: Overcoming Barriers to Global Implementation-AJR Expert Panel Narrative Review. AJR Am. J. Roentgenol. 2025. [Google Scholar] [CrossRef]
- Panebianco, V.; Briganti, A.; Efstathiou, J.A.; Galgano, S.J.; Luk, L.; Muglia, V.F.; Redd, B.; de Rooij, M.; Takeuchi, M.; Woo, S.; et al. Multiparametric Magnetic Resonance Imaging and Vesical Imaging-Reporting and Data System (VI-RADS) for Bladder Cancer Diagnosis and Staging: A Guide for Clinicians from the American College of Radiology VI-RADS Steering Committee. Eur. Urol. 2025. [Google Scholar] [CrossRef]
- Messina, E.; Pisciotti, M.L.; Pecoraro, M.; Borrelli, A.; Del Giudice, F.; Panebianco, V. The use of MRI in urothelial carcinoma. Curr. Opin. Urol. 2022, 32, 536–544. [Google Scholar] [CrossRef]
- Messina, E.; Pecoraro, M.; Pisciotti, M.L.; Del Giudice, F.; Lucciola, S.; Bicchetti, M.; Laschena, L.; Roberto, M.; De Berardinis, E.; Franco, G.; et al. Seeing is Believing: State of the Art Imaging of Bladder Cancer. Semin. Radiat. Oncol. 2023, 33, 12–20. [Google Scholar] [CrossRef]
- Panebianco, V. VI-RADS for the diagnosis and management of urinary bladder cancer. Eur. Radiol. 2023, 33, 7209–7211. [Google Scholar] [CrossRef] [PubMed]
- Panebianco, V.; Briganti, A.; Boellaard, T.N.; Catto, J.; Comperat, E.; Efstathiou, J.; van der Heijden, A.G.; Giannarini, G.; Girometti, R.; Mertens, L.; et al. Clinical application of bladder MRI and the Vesical Imaging-Reporting and Data System. Nat. Rev. Urol. 2024, 21, 243–251. [Google Scholar] [CrossRef]
- Panebianco, V.; Briganti, A.; Efstathiou, J.; Galgano, S.; Luk, L.; Muglia, V.F.; Redd, B.; de Rooij, M.; Takeuchi, M.; Woo, S.; et al. The Role of Multiparametric Magnetic Resonance Imaging and the Vesical Imaging-Reporting and Data System (VI-RADS) in the Management of Patients with Bladder Cancer: Vision of the American College of Radiology VI-RADS Steering Committee. Eur. Urol. 2024, 86, 485–487. [Google Scholar] [CrossRef]
- Del Giudice, F.; Vestri, A.; Fegatelli, D.A.; Hüsch, T.; Belsey, J.; Nair, R.; Skinner, E.C.; Chung, B.I.; Pecoraro, M.; Sciarra, A.; et al. VI-RADS followed by Photodynamic Transurethral Resection of Non-Muscle-Invasive Bladder Cancer vs White-Light Conventional and Second-resection: The ‘CUT-less’ Randomised Trial Protocol. BJU Int. 2025, 135, 346–354. [Google Scholar] [CrossRef]
- Guljaš, S.; Dupan Krivdić, Z.; Drežnjak Madunić, M.; Šambić Penc, M.; Pavlović, O.; Krajina, V.; Pavoković, D.; Šmit Takač, P.; Štefančić, M.; Salha, T. Dynamic Contrast-Enhanced Study in the mpMRI of the Prostate—Unnecessary or Underutilised? A Narrative Review. Diagnostics 2023, 13, 3488. [Google Scholar] [CrossRef]
- Wu, X.H.; Que, Y.T.; Yang, X.Y.; Wen, Z.Q.; Ma, Y.R.; Zhang, Z.W.; Liu, Q.M.; Fan, W.J.; Ding, L.; Lang, Y.J.; et al. Discriminating Tumor Deposits From Metastatic Lymph Nodes in Rectal Cancer: A Pilot Study Utilizing Dynamic Contrast-Enhanced MRI. Korean J. Radiol. 2025, 26, 400. [Google Scholar] [CrossRef]
- Sushentsev, N.; Kaggie, J.D.; Buonincontri, G.; Schulte, R.F.; Graves, M.J.; Gnanapragasam, V.J.; Barrett, T. The effect of gadolinium-based contrast agent administration on magnetic resonance fingerprinting-based T1 relaxometry in patients with prostate cancer. Sci. Rep. 2020, 10, 20475. [Google Scholar] [CrossRef] [PubMed]
- Parillo, M.; Mallio, C.A.; Van der Molen, A.J.; Rovira, À.; Dekkers, I.A.; Karst, U.; Stroomberg, G.; Clement, O.; Gianolio, E.; Nederveen, A.J.; et al. The role of gadolinium-based contrast agents in magnetic resonance imaging structured reporting and data systems (RADS). Magma 2024, 37, 15–25. [Google Scholar] [CrossRef]
- Weinreb, J.C.; Rodby, R.A.; Yee, J.; Wang, C.L.; Fine, D.; McDonald, R.J.; Perazella, M.A.; Dillman, J.R.; Davenport, M.S. Use of Intravenous Gadolinium-Based Contrast Media in Patients With Kidney Disease: Consensus Statements from the American College of Radiology and the National Kidney Foundation. Kidney Med. 2021, 3, 142–150. [Google Scholar] [CrossRef]
- Starekova, J.; Pirasteh, A.; Reeder, S.B. Update on Gadolinium-Based Contrast Agent Safety, From the AJR Special Series on Contrast Media. Am. J. Roentgenol. 2023, 223, e2330036. [Google Scholar] [CrossRef]
- Schieda, N.; Blaichman, J.I.; Costa, A.F.; Glikstein, R.; Hurrell, C.; James, M.; Jabehdar Maralani, P.; Shabana, W.; Tang, A.; Tsampalieros, A.; et al. Gadolinium-Based Contrast Agents in Kidney Disease: A Comprehensive Review and Clinical Practice Guideline Issued by the Canadian Association of Radiologists. Can. J. Kidney Health Dis. 2018, 5, 2054358118778573. [Google Scholar] [CrossRef] [PubMed]
- Pickersgill, N.A.; Shiang, A.L.; Vetter, J.M.; Sheng, J.; Utt, K.L.; Jing, H.; Weimholt, R.C.; Song, S.K.; Ippolito, J.E.; Kim, E.H. Diagnostic accuracy of biparametric vs. multiparametric MRI for clinically significant prostate cancer. World J. Urol. 2025, 43, 577. [Google Scholar] [CrossRef] [PubMed]
- Ma, J.; Gu, X.; Zhang, Z.; Chen, J.; Liu, Y.; Qiu, Y.; Ai, G.; Jia, X.; Li, Z.; Xiang, B.; et al. Advancing Prostate Cancer Assessment: A Biparametric MRI (T2WI and DWI/ADC)-Based Radiomic Approach to Predict Tumor–Stroma Ratio. Diagnostics 2025, 15, 2722. [Google Scholar] [CrossRef]
- Bertelli, E.; Vizzi, M.; Marzi, C.; Pastacaldi, S.; Cinelli, A.; Legato, M.; Ruzga, R.; Bardazzi, F.; Valoriani, V.; Loverre, F.; et al. Biparametric vs. Multiparametric MRI in the Detection of Cancer in Transperineal Targeted-Biopsy-Proven Peripheral Prostate Cancer Lesions Classified as PI-RADS Score 3 or 3+1: The Added Value of ADC Quantification. Diagnostics 2024, 14, 1608. [Google Scholar] [CrossRef]
- Aslan, S.; Tasdemir, M.N.; Cakir, E.; Oguz, U.; Tok, B. Predicting variant histology in bladder cancer: The role of multiparametric MRI and vesical imaging-reporting and data system (VI-RADS). Abdom. Radiol. 2025, 50, 4700–4711. [Google Scholar] [CrossRef]
- Nesiu, A.; Novacescu, D.; Latcu, S.; Bardan, R.; Cumpanas, A.; Zara, F.; Buciu, V.; Caprariu, R.; Cut, T.G.; Stana, A.H. Diagnostic Performance and Interobserver Agreement of the Vesical Imaging–Reporting and Data System (VI-RADS) in Bladder Cancer Staging: A Systematic Review. Medicina 2025, 61, 469. [Google Scholar] [CrossRef]
- Nandi, D.; Kumar, S.K.; Hasan, A.; Kumar, V. Diagnostic accuracy of the Vesical Imaging Reporting and Data System for muscle-invasive bladder cancer and its role in reducing repeat transurethral resection of bladder tumor: A systematic review. Bladder 2025, 12, e21200065. [Google Scholar] [CrossRef]
- Arita, Y.; Kwee, T.C.; Woo, S.; Shigeta, K.; Ishii, R.; Okawara, N.; Edo, H.; Waseda, Y.; Vargas, H.A. Biparametric versus Multiparametric Magnetic Resonance Imaging for Assessing Muscle Invasion in Bladder Urothelial Carcinoma with Variant Histology Using the Vesical Imaging-Reporting and Data System. Eur. Urol. Focus 2024, 10, 131–138. [Google Scholar] [CrossRef]
- Noh, T.I.; Shim, J.S.; Kang, S.G.; Sung, D.J.; Cheon, J.; Sim, K.C.; Kang, S.H. Comparison between biparametric and multiparametric MRI in predicting muscle invasion by bladder cancer based on the VI-RADS. Sci. Rep. 2022, 12, 20689. [Google Scholar] [CrossRef]
- Tyagi, P.; Moon, C.-H.; Connell, M.; Ganguly, A.; Cho, K.J.; Tarin, T.; Dhir, R.; Sholosh, B.; Maranchie, J. Intravesical Contrast-Enhanced MRI: A Potential Tool for Bladder Cancer Surveillance and Staging. Curr. Oncol. 2023, 30, 4632–4647. [Google Scholar] [CrossRef] [PubMed]
- Akintelure, D.; Akintelure, S.; Al-Ibraheem, H.A. Emerging Role of Multiparametric MRI in the Staging of Bladder Cancer: Insights From the BladderPath Trial. Cureus 2025, 17, e88623. [Google Scholar] [CrossRef] [PubMed]
- Zhang, W.; Zhang, Z.; Xiao, W.; Wang, Y.; Ye, L.; Wei, Y.; Luo, M. Multiple directional DWI combined with T2WI in predicting muscle layer and Ki-67 correlation in bladder cancer in 3.0-T MRI. Cancer Med. 2023, 12, 10462–10472. [Google Scholar] [CrossRef]
- Ohta, T.; Okamoto, K.; Inai, H.; Takayama, T.; Uchida, K. Morphological changes in the muscle layer associated with invasion of bladder cancer. Clin. Radiol. 2025, 87, 106973. [Google Scholar] [CrossRef] [PubMed]
- Wang, H.J.; Pui, M.H.; Guo, Y.; Yang, D.; Pan, B.T.; Zhou, X.H. Diffusion-weighted MRI in bladder carcinoma: The differentiation between tumor recurrence and benign changes after resection. Abdom. Imaging 2014, 39, 135–141. [Google Scholar] [CrossRef]
- Napolitano, L.; Ippoliti, S.; Fletcher, P.; Caruso, M.; Cirillo, L.; Miano, R.; Finazzi Agrò, E.; La Rocca, R.; Fusco, F.; Arcaniolo, D.; et al. Diagnostic Protocol, Outcomes and Future Perspectives of the Vesical Imaging-Reporting and Data Systems (VI-RADS), a Narrative Review. Appl. Sci. 2023, 13, 7331. [Google Scholar] [CrossRef]
- Liu, P.; Cai, L.; Que, H.; Jiang, M.; Jiang, X.; Liang, B.; Wang, G.; Jiang, L.; Yang, X.; Lu, Q. Evaluating biparametric MRI for diagnosing muscle-invasive bladder cancer with variant urothelial histology: A multicenter study. Cancer Imaging 2025, 25, 15. [Google Scholar] [CrossRef] [PubMed]
- Ueno, Y.; Tamada, T.; Takeuchi, M.; Sofue, K.; Takahashi, S.; Kamishima, Y.; Urase, Y.; Kido, A.; Hinata, N.; Harada, K.; et al. VI-RADS: Multiinstitutional Multireader Diagnostic Accuracy and Interobserver Agreement Study. Am. J. Roentgenol. 2020, 216, 1257–1266. [Google Scholar] [CrossRef] [PubMed]
- da Silva, M.C.; Pecoraro, M.; Pisciotti, M.L.; Dehghanpour, A.; Forookhi, A.; Lucciola, S.; Bicchetti, M.; Messina, E.; Catalano, C.; Panebianco, V. The learning curve in bladder MRI using VI-RADS assessment score during an interactive dedicated training program. Eur. Radiol. 2022, 32, 7494–7503. [Google Scholar] [CrossRef] [PubMed]
- Del Giudice, F.; Flammia, R.S.; Pecoraro, M.; Moschini, M.; D’Andrea, D.; Messina, E.; Pisciotti, L.M.; De Berardinis, E.; Sciarra, A.; Panebianco, V. The accuracy of Vesical Imaging-Reporting and Data System (VI-RADS): An updated comprehensive multi-institutional, multi-readers systematic review and meta-analysis from diagnostic evidence into future clinical recommendations. World J. Urol. 2022, 40, 1617–1628. [Google Scholar] [CrossRef]
- Khwaja, S.A.; Caglic, I.; Shaida, N.; Colquhoun, A.J.; Turner, W.; Barrett, T. Evaluation of magnetic resonance imaging for bladder cancer detection following transurethral resection of bladder tumour (TURBT). Abdom. Radiol. 2024, 49, 2340–2348. [Google Scholar] [CrossRef]
- van der Heijden, A.G.; Bruins, H.M.; Carrion, A.; Cathomas, R.; Compérat, E.; Dimitropoulos, K.; Efstathiou, J.A.; Fietkau, R.; Kailavasan, M.; Lorch, A.; et al. European Association of Urology Guidelines on Muscle-invasive and Metastatic Bladder Cancer: Summary of the 2025 Guidelines. Eur. Urol. 2025, 87, 582–600. [Google Scholar] [CrossRef]
- Panebianco, V.; Narumi, Y.; Altun, E.; Bochner, B.H.; Efstathiou, J.A.; Hafeez, S.; Huddart, R.; Kennish, S.; Lerner, S.; Montironi, R.; et al. Multiparametric Magnetic Resonance Imaging for Bladder Cancer: Development of VI-RADS (Vesical Imaging-Reporting and Data System). Eur. Urol. 2018, 74, 294–306. [Google Scholar] [CrossRef]










| Variable | Value |
|---|---|
| Number of patients (n) | 65 |
| Number of lesions (n) | 69 |
| Male/Female (n) | 47/18 |
| Age (years, range) | 65–83 |
| Priot TURBT (n, %) | 9 (13.8%) |
| MRI period (month, year) | Jan 2024–Dec 2024 |
| mpMRI vs. bpMRI | Vi-Rads 2 | Vi-Rads 3 | Vi-Rads 4 | Vi-Rads 5 |
|---|---|---|---|---|
| Vi-Rads 2 (n) | 21 | 0 | 0 | 3 |
| Vi-Rads 3 (n) | 1 | 7 | 2 | 0 |
| Vi-Rads 4 (n) | 2 | 1 | 8 | 3 |
| Vi-Rads 5 (n) | 1 | 0 | 5 | 15 |
| mpMRI vs. bpMRI | Vi-Rads 2 | Vi-Rads 3 | Vi-Rads 4 | Vi-Rads 5 |
|---|---|---|---|---|
| Vi-Rads 2 (n) | 17 | 1 | 1 | 5 |
| Vi-Rads 3 (n) | 2 | 5 | 1 | 2 |
| Vi-Rads 4 (n) | 0 | 2 | 6 | 6 |
| Vi-Rads 5 (n) | 1 | 1 | 8 | 11 |
| Metric | Expert Reader | Non-Expert Reader |
|---|---|---|
| Weighted Cohen’s κ (quadratic) | 0.74 (0.56–0.89) | 0.58 (0.37–0.75) |
| AUC for Vi-Rads ≥ 4 | 0.87 (0.78–0.95) | 0.81 (0.69–0.91) |
| Overall Agreement (%) | 73.9% | 56.5% |
| Reader | Concordant | Overstaged | Understaged | Total |
|---|---|---|---|---|
| Expert | 8 | 1 | 0 | 9 |
| Non expert | 5 | 3 | 1 | 9 |
Disclaimer/Publisher’s Note: The statements, opinions and data contained in all publications are solely those of the individual author(s) and contributor(s) and not of MDPI and/or the editor(s). MDPI and/or the editor(s) disclaim responsibility for any injury to people or property resulting from any ideas, methods, instructions or products referred to in the content. |
© 2026 by the authors. Licensee MDPI, Basel, Switzerland. This article is an open access article distributed under the terms and conditions of the Creative Commons Attribution (CC BY) license.
Share and Cite
Urraro, F.; Giordano, N.; Patanè, V.; Brunese, M.C.; Rossi, C.; Cioffi, A.; Russo, A.; Varelli, C.; Cappabianca, F.; Reginelli, A. Biparametric Versus Multiparametric MRI for VI-RADS Assessment: Reproducibility Relative to Routine mpMRI Reporting and Impact of Radiologist Experience in a Single-Center Study. Cancers 2026, 18, 999. https://doi.org/10.3390/cancers18060999
Urraro F, Giordano N, Patanè V, Brunese MC, Rossi C, Cioffi A, Russo A, Varelli C, Cappabianca F, Reginelli A. Biparametric Versus Multiparametric MRI for VI-RADS Assessment: Reproducibility Relative to Routine mpMRI Reporting and Impact of Radiologist Experience in a Single-Center Study. Cancers. 2026; 18(6):999. https://doi.org/10.3390/cancers18060999
Chicago/Turabian StyleUrraro, Fabrizio, Nicoletta Giordano, Vittorio Patanè, Maria Chiara Brunese, Claudia Rossi, Antonio Cioffi, Anna Russo, Carlo Varelli, Fiammetta Cappabianca, and Alfonso Reginelli. 2026. "Biparametric Versus Multiparametric MRI for VI-RADS Assessment: Reproducibility Relative to Routine mpMRI Reporting and Impact of Radiologist Experience in a Single-Center Study" Cancers 18, no. 6: 999. https://doi.org/10.3390/cancers18060999
APA StyleUrraro, F., Giordano, N., Patanè, V., Brunese, M. C., Rossi, C., Cioffi, A., Russo, A., Varelli, C., Cappabianca, F., & Reginelli, A. (2026). Biparametric Versus Multiparametric MRI for VI-RADS Assessment: Reproducibility Relative to Routine mpMRI Reporting and Impact of Radiologist Experience in a Single-Center Study. Cancers, 18(6), 999. https://doi.org/10.3390/cancers18060999

