Laboratory Evaluation of Peripheral Blood Involvement in Mycosis Fungoides and Sézary Syndrome: Evolution of Flow Cytometry and Morphology Quantification and Interpretation
Simple Summary
Abstract
1. Introduction
2. Materials and Methods
2.1. Participants
2.2. Measures
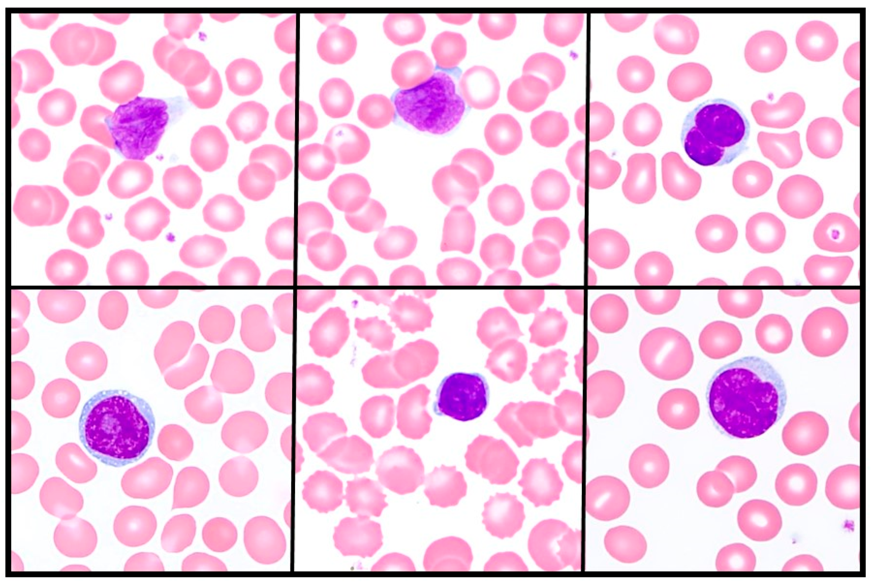
2.2.1. Morphology Review (Sézary Cell Count)
2.2.2. Flow Cytometric Analysis (Sézary Panel)
2.3. Statistical Analysis
3. Results
3.1. CTCL Patients and Ordering Practices for Peripheral Blood Evaluations Between 2012 and 2021
3.2. Morphology Evaluation of Sézary Cells
3.3. Evolution of Flow Cytometric Analysis in CTCL
3.4. Correlation of Quantitative Parameters and Qualitative Interpretations
3.5. Correlation Between Flow Cytometry and Morphology Reporting
3.6. Ongoing Optimization of the CTCL Flow Cytometry Panel
4. Discussion
5. Conclusions
Supplementary Materials
Author Contributions
Funding
Institutional Review Board Statement
Informed Consent Statement
Data Availability Statement
Acknowledgments
Conflicts of Interest
References
- Haematolymphoid Tumours: Who Classification of Tumours, 5th ed.; The WHO Classification of Tumours Editorial Board, Ed.; International Agency for Research on Cancer: Lyon, France, 2024.
- Alaggio, R.; Amador, C.; Anagnostopoulos, I.; Attygalle, A.D.; Araujo, I.B.D.O.; Berti, E.; Bhagat, G.; Borges, A.M.; Boyer, D.; Calaminici, M.; et al. The 5th Edition of the World Health Organization Classification of Haematolymphoid Tumours: Lymphoid Neoplasms. Leukemia 2022, 36, 1720–1748. [Google Scholar] [CrossRef] [PubMed]
- Larocca, C.; Kupper, T. Mycosis Fungoides and Sézary Syndrome: An Update. Hematol./Oncol. Clin. 2019, 33, 103–120. [Google Scholar] [CrossRef]
- Campbell, J.J.; Clark, R.A.; Watanabe, R.; Kupper, T.S. Sezary Syndrome and Mycosis Fungoides Arise from Distinct T-Cell Subsets: A Biologic Rationale for Their Distinct Clinical Behaviors. Blood 2010, 116, 767–771. [Google Scholar] [CrossRef]
- Pulitzer, M.P.; Horna, P.; Almeida, J. Sézary Syndrome and Mycosis Fungoides: An Overview, Including the Role of Immunophenotyping. Cytom. Part B Clin. Cytom. 2021, 100, 132–138. [Google Scholar] [CrossRef]
- Bunn, P.A., Jr.; Lamberg, S.I. Report of the Committee on Staging and Classification of Cutaneous T-Cell Lymphomas. Cancer Treat. Rep. 1979, 63, 725–728. [Google Scholar]
- Olsen, E.; Vonderheid, E.; Pimpinelli, N.; Willemze, R.; Kim, Y.; Knobler, R.; Zackheim, H.; Duvic, M.; Estrach, T.; Lamberg, S.; et al. Revisions to the Staging and Classification of Mycosis Fungoides and Sézary Syndrome: A Proposal of the International Society for Cutaneous Lymphomas (Iscl) and the Cutaneous Lymphoma Task Force of the European Organization of Research and Treatment of Cancer (Eortc). Blood 2007, 110, 1713–1722. [Google Scholar] [CrossRef] [PubMed]
- MD Anderson Cancer Center. Cancer Treatment Algorithms. Available online: https://www.mdanderson.org/for-physicians/clinical-tools-resources/clinical-practice-algorithms/cancer-treatment-algorithms.html (accessed on 7 November 2025).
- Agar, N.S.; Wedgeworth, E.; Crichton, S.; Mitchell, T.J.; Cox, M.; Ferreira, S.; Robson, A.; Calonje, E.; Stefanato, C.M.; Wain, E.M.; et al. Survival Outcomes and Prognostic Factors in Mycosis Fungoides/Sézary Syndrome: Validation of the Revised International Society for Cutaneous Lymphomas/European Organisation for Research and Treatment of Cancer Staging Proposal. J. Clin. Oncol. 2010, 28, 4730–4739. [Google Scholar] [CrossRef] [PubMed]
- Vermeer, M.H.; Nicolay, J.P.; Scarisbrick, J.J.; Zinzani, P.L. The Importance of Assessing Blood Tumour Burden in Cutaneous T-Cell Lymphoma. Br. J. Dermatol. 2021, 185, 19–25. [Google Scholar] [CrossRef]
- Olsen, E.A.; Whittaker, S.; Willemze, R.; Pinter-Brown, L.; Foss, F.; Geskin, L.; Schwartz, L.; Horwitz, S.; Guitart, J.; Zic, J.; et al. Primary Cutaneous Lymphoma: Recommendations for Clinical Trial Design and Staging Update from the ISCL, USCLC, and EORTC. Blood 2022, 140, 419–437. [Google Scholar] [CrossRef]
- Horna, P.; Wang, S.A.; Wolniak, K.L.; Psarra, K.; Almeida, J.; Illingworth, A.J.; Johansson, U.; Craig, F.E.; Torres, R. Flow Cytometric Evaluation of Peripheral Blood for Suspected Sézary Syndrome or Mycosis Fungoides: International Guidelines for Assay Characteristics. Cytom. Part B Clin. Cytom. 2021, 100, 142–155. [Google Scholar] [CrossRef]
- Vermeer, M.H.; Moins-Teisserenc, H.; Bagot, M.; Quaglino, P.; Whittaker, S. Flow Cytometry for the Assessment of Blood Tumour Burden in Cutaneous T-cell Lymphoma: Towards a Standardized Approach. Br. J. Dermatol. 2022, 187, 21–28. [Google Scholar] [CrossRef] [PubMed]
- Horna, P.; Shi, M.; Jevremovic, D.; Craig, F.E.; Comfere, N.I.; Olteanu, H. Utility of TRBC1 Expression in the Diagnosis of Peripheral Blood Involvement by Cutaneous T-Cell Lymphoma. J. Investig. Dermatol. 2021, 141, 821–829.e2. [Google Scholar] [CrossRef]
- Morice, W.G.; Katzmann, J.A.; Pittelkow, M.R.; el-Azhary, R.A.; Gibson, L.E.; Hanson, C.A. A Comparison of Morphologic Features, Flow Cytometry, Tcr-v β Analysis, and Tcr-Pcr in Qualitative and Quantitative Assessment of Peripheral Blood Involvement by Sézary Syndrome. Am. J. Clin. Pathol. 2006, 125, 364–374. [Google Scholar] [CrossRef]
- Oshtory, S.; Apisarnthanarax, N.; Gilliam, A.C.; Cooper, K.D.; Meyerson, H.J. Usefulness of Flow Cytometry in the Diagnosis of Mycosis Fungoides. J. Am. Acad. Dermatol. 2007, 57, 454–462. [Google Scholar] [CrossRef] [PubMed]
- Kelemen, K.; Guitart, J.; Kuzel, T.M.; Goolsby, C.L.; Peterson, L.C. The Usefulness of Cd26 in Flow Cytometric Analysis of Peripheral Blood in Sézary Syndrome. Am. J. Clin. Pathol. 2008, 129, 146–156. [Google Scholar] [CrossRef]
- Novelli, M.; Fierro, M.T.; Quaglino, P.; Comessatti, A.; Lisa, F.; Ponti, R.; Savoia, P.; Bernengo, M.G. Flow Cytometry Immunophenotyping in Mycosis Fungoides. J. Am. Acad. Dermatol. 2008, 59, 533–534. [Google Scholar] [CrossRef] [PubMed]
- Pierson, D.M.; Jones, D.; Muzzafar, T.; Kersh, M.J.; Challagundla, P.; Medeiros, L.J.; Jorgensen, J.L. Utility of CD26 in Flow Cytometric Immunophenotyping of T-cell Lymphomas in Tissue and Body Fluid Specimens. Cytom. Part B Clin. Cytom. 2008, 74B, 341–348. [Google Scholar] [CrossRef]
- Feng, B.; Jorgensen, J.L.; Jones, D.; Chen, S.S.; Hu, Y.; Medeiros, L.J.; Wang, S.A. Flow Cytometric Detection of Peripheral Blood Involvement by Mycosis Fungoides and Sézary Syndrome Using T-Cell Receptor Vβ Chain Antibodies and Its Application in Blood Staging. Mod. Pathol. 2010, 23, 284–295. [Google Scholar] [CrossRef]
- Hristov, A.C.; Vonderheid, E.C.; Borowitz, M.J. Simplified Flow Cytometric Assessment in Mycosis Fungoides and Sézary Syndrome. Am. J. Clin. Pathol. 2011, 136, 944–953. [Google Scholar] [CrossRef] [PubMed]
- Gibbs, J.; Ma, S.; Kim, A.; Seminario-Vidal, L.; Sokol, L.; Zhang, H.; Zhang, X.; Sagatys, E.; Chen, P.; Messina, J. Utility of Flow Cytometry and Gene Rearrangement Analysis in Tissue and Blood of Patients with Suspected Cutaneous T-cell Lymphoma. Oncol. Rep. 2020, 45, 349–358. [Google Scholar] [CrossRef]
- Lyapichev, K.A.; Bah, I.; Huen, A.; Duvic, M.; Routbort, M.J.; Wang, W.; Jorgensen, J.L.; Medeiros, L.J.; Vega, F.; Craig, F.E.; et al. Determination of Immunophenotypic Aberrancies Provides Better Assessment of Peripheral Blood Involvement by Mycosis Fungoides/Sézary Syndrome than Quantification of CD26− or CD7− CD4+ T-cells. Cytom. Part B Clin. Cytom. 2021, 100, 183–191. [Google Scholar] [CrossRef]
- Fei, F.; Brar, N.; Herring, M.B.; Menke, J.R.; Oak, J.; Fernandez-Pol, S. Quantification of the Median Fluorescence Intensity of CD3 and CD4 in Mycosis Fungoides/Sezary Syndrome versus Non-Neoplastic Control Cases in Peripheral Blood. J. Hematop. 2024, 17, 191–199. [Google Scholar] [CrossRef]
- Guitart, J. Sézary Syndrome and Mycosis Fungoides Flow Cytometric Evaluation: The Clinicians’ Perspective. Cytom. Part B Clin. Cytom. 2021, 100, 129–131. [Google Scholar] [CrossRef] [PubMed]
- Scarisbrick, J.J.; Hodak, E.; Bagot, M.; Stranzenbach, R.; Stadler, R.; Ortiz-Romero, P.L.; Papadavid, E.; Evison, F.; Knobler, R.; Quaglino, P.; et al. Blood Classification and Blood Response Criteria in Mycosis Fungoides and Sézary Syndrome Using Flow Cytometry: Recommendations from the EORTC Cutaneous Lymphoma Task Force. Eur. J. Cancer 2018, 93, 47–56. [Google Scholar] [CrossRef] [PubMed]
- Heller, D.S. Areas of Confusion in Pathologist-Clinician Communication as It Relates to Understanding the Vulvar Pathology Report. J. Low. Genit. Tract. Dis. 2017, 21, 327–328. [Google Scholar] [CrossRef] [PubMed]
- Sheikh, U.A.; Sufficool, K.E.; Buchanan, P.; Armbrecht, E.S.; Burkemper, N.M.; Vidal, C.I. Dermatopathologist Assessment of “Pathologist-to-dermatologist” Communication for Dermatopathology Services. J. Cutan. Pathol. 2020, 47, 328–338. [Google Scholar] [CrossRef]
- Chrisman, L.P.; Trimark, P.F.; Pang, Y.; Pease, D.R.; Martinez-Escala, M.E.; Nguyen, W.Q.; Fernandez, R.; Griffin, T.L.; Ayanruoh, L.; Hooper, M.J.; et al. Updated Cutaneous T-Cell Lymphoma TNMB Staging Criteria Fail to Identify Patients with Sézary Syndrome with Low Blood Burden. Blood 2024, 144, 914–917. [Google Scholar] [CrossRef]
- Horna, P.; Weybright, M.J.; Ferrari, M.; Jungherz, D.; Peng, Y.; Akbar, Z.; Tudor Ilca, F.; Otteson, G.E.; Seheult, J.N.; Ortmann, J.; et al. Dual T-Cell Constant β Chain (TRBC)1 and TRBC2 Staining for the Identification of T-Cell Neoplasms by Flow Cytometry. Blood Cancer J. 2024, 14, 34. [Google Scholar] [CrossRef]









| Characteristic | N = 514 |
|---|---|
| Gender | |
| Female | 243 (47.0%) |
| Male | 271 (53.0%) |
| Race | |
| American Indian or Alaska Native | 1 (0.2%) |
| Asian | 19 (3.7%) |
| Asian Indian | 1 (0.2%) |
| Black or African American | 74 (14.0%) |
| Filipino | 1 (0.2%) |
| Native Hawaiian or Other Pacific Islander | 1 (0.2%) |
| None of the above | 36 (7.0%) |
| Other Asian | 2 (0.4%) |
| Unknown | 69 (13.0%) |
| White | 310 (60.0%) |
| Multiracial | 7 (1.4%) |
| Ethnicity | |
| Hispanic | 31 (6.0%) |
| Not Hispanic | 404 (79.0%) |
| Unknown | 79 (15.0%) |
| Deceased | 49 (9.5%) |
| Transplant | 36 (7.0%) |
Disclaimer/Publisher’s Note: The statements, opinions and data contained in all publications are solely those of the individual author(s) and contributor(s) and not of MDPI and/or the editor(s). MDPI and/or the editor(s) disclaim responsibility for any injury to people or property resulting from any ideas, methods, instructions or products referred to in the content. |
© 2026 by the authors. Licensee MDPI, Basel, Switzerland. This article is an open access article distributed under the terms and conditions of the Creative Commons Attribution (CC BY) license.
Share and Cite
Fu, L.; Trimark, P.; Liu, Y.; Tariq, H.; Chen, Q.; Chen, Y.-H.; Gao, J.; Aqil, B.; Guitart, J.; Wolniak, K. Laboratory Evaluation of Peripheral Blood Involvement in Mycosis Fungoides and Sézary Syndrome: Evolution of Flow Cytometry and Morphology Quantification and Interpretation. Cancers 2026, 18, 434. https://doi.org/10.3390/cancers18030434
Fu L, Trimark P, Liu Y, Tariq H, Chen Q, Chen Y-H, Gao J, Aqil B, Guitart J, Wolniak K. Laboratory Evaluation of Peripheral Blood Involvement in Mycosis Fungoides and Sézary Syndrome: Evolution of Flow Cytometry and Morphology Quantification and Interpretation. Cancers. 2026; 18(3):434. https://doi.org/10.3390/cancers18030434
Chicago/Turabian StyleFu, Lucy, Payton Trimark, Yijie Liu, Hamza Tariq, Qing Chen, Yi-Hua Chen, Juehua Gao, Barina Aqil, Joan Guitart, and Kristy Wolniak. 2026. "Laboratory Evaluation of Peripheral Blood Involvement in Mycosis Fungoides and Sézary Syndrome: Evolution of Flow Cytometry and Morphology Quantification and Interpretation" Cancers 18, no. 3: 434. https://doi.org/10.3390/cancers18030434
APA StyleFu, L., Trimark, P., Liu, Y., Tariq, H., Chen, Q., Chen, Y.-H., Gao, J., Aqil, B., Guitart, J., & Wolniak, K. (2026). Laboratory Evaluation of Peripheral Blood Involvement in Mycosis Fungoides and Sézary Syndrome: Evolution of Flow Cytometry and Morphology Quantification and Interpretation. Cancers, 18(3), 434. https://doi.org/10.3390/cancers18030434

