Error in Figure
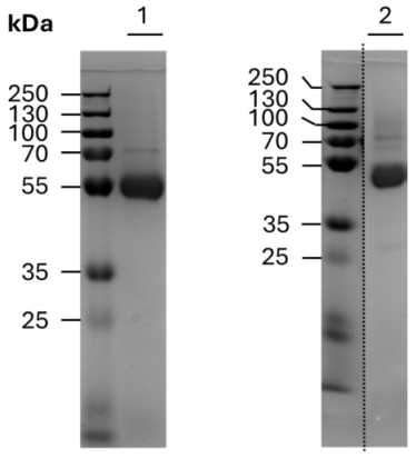
In the original publication [1], there was a mistake in Figure 2C, as published. It was noticed that an unsuitable image was inadvertently implemented for a Coomassie-stained SDS-PAGE gel demonstrating the purity of the recombinant antibody lots. The corrected Figure 2C appears below and depicts the purity of the recombinant antibody lots used for the experiments. The authors state that the scientific conclusions are unaffected. This correction was approved by the Academic Editor. The original publication has also been updated.

Supplementary Materials
Uncroppped PAGE gels corresponding to corrected Figure 2C are included as Figure S5 in the Supplementary Material.
Reference
- Jugel, W.; Tietze, S.; Daeg, J.; Appelhans, D.; Broghammer, F.; Aigner, A.; Karimov, M.; Schackert, G.; Temme, A. Targeted Transposition of Minicircle DNA Using Single-Chain Antibody Conjugated Cyclodextrin-Modified Poly (Propylene Imine) Nanocarriers. Cancers 2022, 14, 1925. [Google Scholar] [CrossRef] [PubMed]
Disclaimer/Publisher’s Note: The statements, opinions and data contained in all publications are solely those of the individual author(s) and contributor(s) and not of MDPI and/or the editor(s). MDPI and/or the editor(s) disclaim responsibility for any injury to people or property resulting from any ideas, methods, instructions or products referred to in the content. |
© 2026 by the authors. Licensee MDPI, Basel, Switzerland. This article is an open access article distributed under the terms and conditions of the Creative Commons Attribution (CC BY) license.