Mitomycin-C for HPV-Positive and HPV-Negative Platinum-Refractory, Recurrent or Metastatic Head and Neck Squamous Cell Carcinoma: A Phase 2 Trial
Simple Summary
Abstract
1. Introduction
2. Materials and Methods
2.1. Patient Population
2.2. Procedures
2.3. Outcomes
2.4. Statistical Analyses
3. Results
3.1. Trial Profile
3.2. Patient and Tumor Characteristics
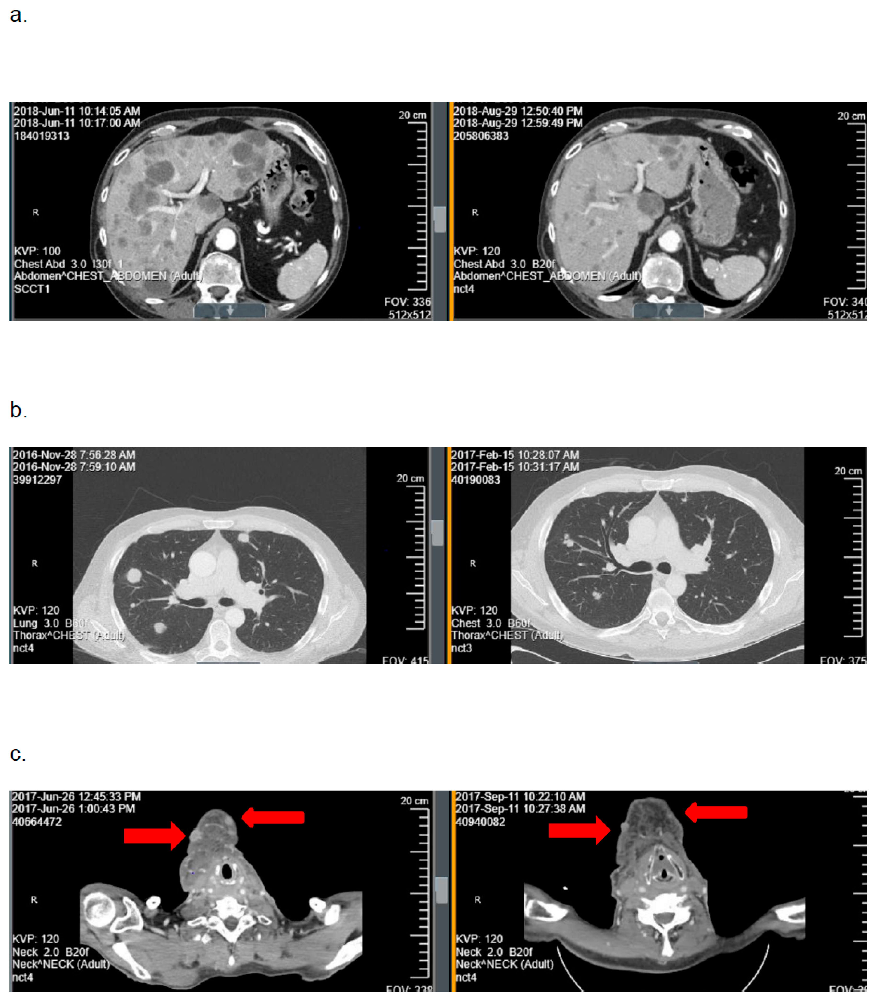
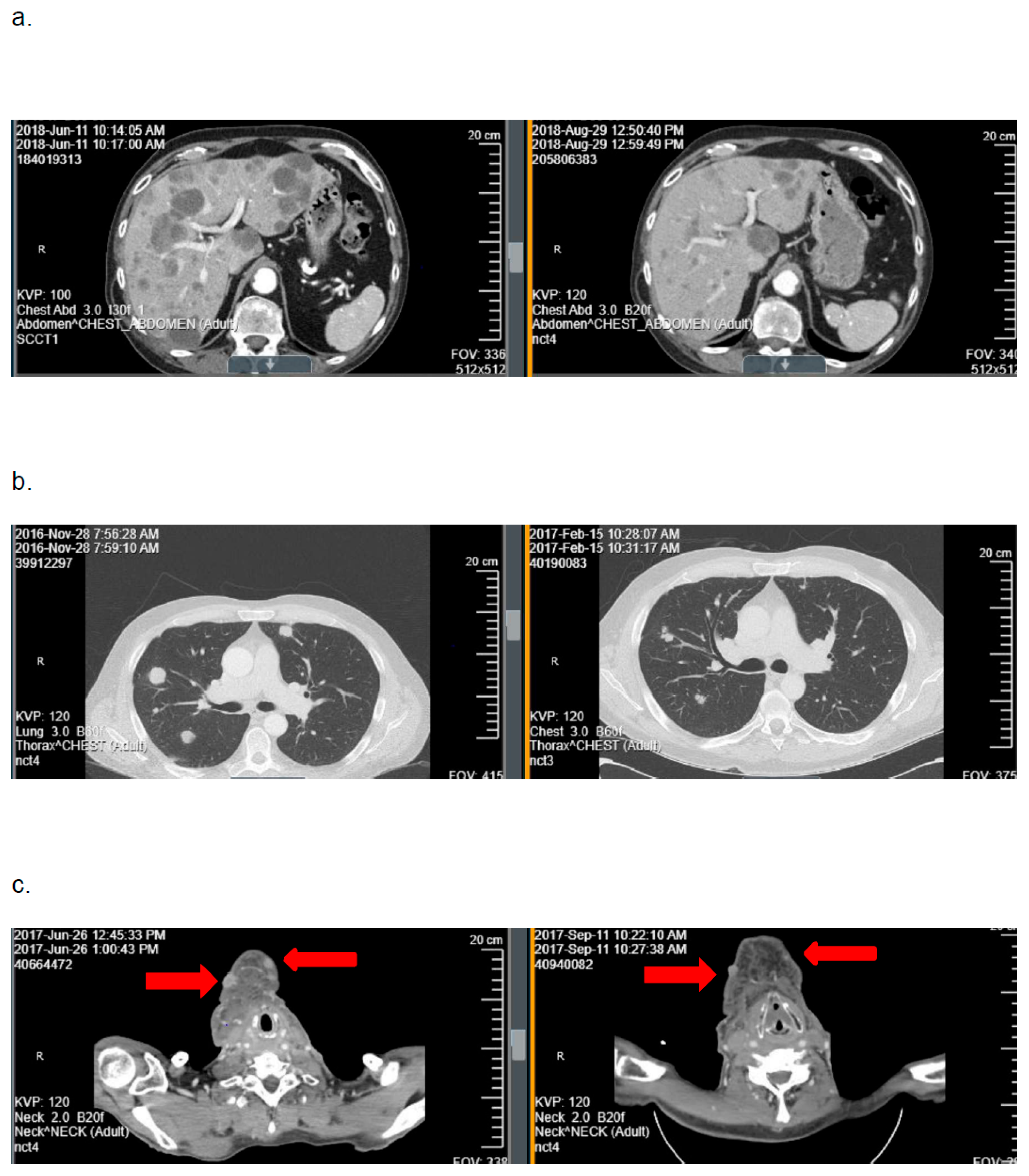
3.3. Objective Response Rate
3.4. TP53 Mutational Status and Tumor Response
3.5. Progression-Free Survival and Overall Survival
3.6. Treatment Delivery and Adverse Events
4. Discussion
5. Conclusions
Author Contributions
Funding
Institutional Review Board Statement
Informed Consent Statement
Data Availability Statement
Acknowledgments
Conflicts of Interest
Abbreviations
| 5-FU | 5-Flurouracil |
| AE | adverse event |
| ALT | alanine aminotransferase |
| ANC | absolute neutrophil count |
| AST | aspartate aminotransferase |
| CI | confidence interval |
| CR | complete response |
| CT | computerized tomography |
| dL | deciliter |
| DNA | deoxyribonucleic acid |
| DoR | duration of response |
| ECOG | Eastern Cooperative Oncology Group |
| HNSCC | head and neck squamous cell carcinoma |
| HPV | human papillomavirus |
| HUS | hemolytic uremic syndrome |
| IQR | interquartile range |
| IULN | institutional upper limit of normal |
| KM | Kaplan–Meier |
| m2 | meter squared |
| mcL | microliter |
| mg | milligram |
| min | minute |
| miRNA | micro ribonucleic acid |
| mL | milliliter |
| NCI-CTCAE | National Cancer Institute Common Toxicity Criteria for Adverse Events |
| NOS | not otherwise specified |
| OP | oropharynx |
| ORR | objective response rate |
| OS | overall survival |
| PARP | poly(ADP-ribose) polymerase |
| PD | progressive disease |
| PFS | progression-free survival |
| PR | partial response |
| RECIST | response evaluation criteria in solid tumors |
| RM | recurrent or metastatic |
| RNA | ribonucleic acid |
| SCC | squamous cell carcinoma |
| SD | stable disease |
| TP53 | tumor protein 53 |
References
- Global Burden of Disease Cancer Collaboration; Fitzmaurice, C.; Akinyemiju, T.F.; Al Lami, F.H.; Alam, T.; Alizadeh-Navaei, R.; Allen, C.; Alsharif, U.; Alvis-Guzman, N.; Amini, E.; et al. Global, regional, and national cancer incidence, mortality, years of life lost, years lived with disability, and disability-adjusted life-years for 29 cancer groups, 1990 to 2016: A systematic analysis for the global burden of disease study. JAMA Oncol. 2018, 4, 1553–1568. [Google Scholar] [CrossRef]
- Vermorken, J.B.; Mesia, R.; Rivera, F.; Remenar, E.; Kawecki, A.; Rottey, S.; Erfan, J.; Zabolotnyy, D.; Kienzer, H.-R.; Cupissol, D.; et al. Platinum-Based chemotherapy plus cetuximab in head and neck cancer. N. Engl. J. Med. 2008, 359, 1116–1127. [Google Scholar] [CrossRef]
- Cohen, E.E.W.; Soulieres, D.; Le Tourneau, C.; Dinis, J.; Licitra, L.; Ahn, M.J.; Soria, A.; Machiels, J.P.; Mach, N.; Mehra, R.; et al. Pembrolizumab versus methotrexate, docetaxel, or cetuximab for recurrent or metastatic head-and-neck squamous cell carcinoma (KEYNOTE-040): A randomised, open-label, phase 3 study. Lancet 2019, 393, 156–167. [Google Scholar] [CrossRef]
- Ferris, R.L.; Blumenschein, G.; Fayette, J.; Guigay, J.; Colevas, A.D.; Licitra, L.; Harrington, K.; Kasper, S.; Vokes, E.E.; Even, C.; et al. Nivolumab for recurrent squamous-cell carcinoma of the head and neck. N. Engl. J. Med. 2016, 375, 1856–1867. [Google Scholar] [CrossRef]
- Bauml, J.; Seiwert, T.Y.; Pfister, D.G.; Worden, F.; Liu, S.V.; Gilbert, J.; Saba, N.F.; Weiss, J.; Wirth, L.; Sukari, A.; et al. Pembrolizumab for platinum- and cetuximab- refractory head and neck cancer: Results from a single-arm, phase II study. J. Clin. Oncol. 2017, 35, 1542–1549. [Google Scholar] [CrossRef]
- Burtness, B.; Harrington, K.J.; Greil, R.; Soulieres, D.; Tahara, M.; de Castro, G., Jr.; Psyrri, A.; Baste, N.; Neupane, P.; Bratland, A.; et al. Pembrolizumab alone or with chemotherapy versus cetuximab with chemotherapy for recurrent or metastatic squamous cell carcinoma of the head and neck (KEYNOTE-048): A randomised, open-label, phase 3 study. Lancet 2019, 394, 1915–1928. [Google Scholar] [CrossRef]
- Hess, R.; Plaumann, B.; Schulze Lutum, A.; Haessler, C.; Heinz, B.; Fritsche, M.; Brandner, G. Nuclear accumulation of p53 in response to treatment with DNA-damaging agents. Toxicol. Lett. 1994, 72, 43–52. [Google Scholar] [CrossRef]
- Boamah, E.K.; White, D.E.; Talbott, K.E.; Arva, N.C.; Berman, D.; Tomasz, M.; Bargonetti, J. Mitomycin-DNA adducts induce p53-dependent and p53-independent cell death pathways. ACS Chem. Biol. 2007, 2, 399–407. [Google Scholar] [CrossRef]
- Abbas, T.; Olivier, M.; Lopez, J.; Houser, S.; Xiao, G.; Suresh Kumar, G.; Tomasz, M.; Bargonetti, J. Differential activation of p53 by the various adducts of mitomycin C. J. Biol. Chem. 2002, 277, 40513–40519. [Google Scholar] [CrossRef] [PubMed]
- Allen, C.T.; Lewis, J.S., Jr.; El-Mofty, S.K.; Haughey, B.H.; Nussenbaum, B. Human papillomavirus and oropharynx cancer: Biology, detection and clinical implications. Laryngoscope 2010, 120, 1756–1772. [Google Scholar] [CrossRef]
- The Cancer Genome Atlas Network. Comprehensive genomic characterization of head and neck squamous cell carcinomas. Nature 2015, 517, 576–582. [Google Scholar] [CrossRef] [PubMed]
- Butz, K.; Geisen, C.; Ullmann, A.; Spitkovsky, D.; Hoppe-Seyler, F. Cellular responses of HPV-positive cancer cells to genotoxic anti-cancer agents: Repression of E6/E7-oncogene expression and induction of apoptosis. Int. J. Cancer 1996, 68, 506–513. [Google Scholar] [CrossRef]
- Butz, K.; Whitaker, N.; Denk, C.; Ullmann, A.; Geisen, C.; Hoppe-Seyler, F. Induction of the p53-target gene GADD45 in HPV-positive cancer cells. Oncogene 1999, 18, 2381–2386. [Google Scholar] [CrossRef] [PubMed]
- Crooke, S.T.; Bradner, W.T. Mitomycin C: A review. Cancer Treat. Rev. 1976, 3, 121–139. [Google Scholar] [CrossRef]
- Bradner, W.T. Mitomycin C: A clinical update. Cancer Treat. Rev. 2001, 27, 35–50. [Google Scholar] [CrossRef] [PubMed]
- Graham, W.P., III; Ravdin, R.G.; Crichlow, R.W.; Eisman, S.H. Mitomycin C in the treatment of carcinoma of the head and neck. Plast. Reconstr. Surg. 1967, 40, 230–232. [Google Scholar] [CrossRef]
- Moore, G.E.; Bross, I.D.J.; Ausman, R.; Nadler, S.; Jones, R., Jr.; Slack, N.; Rimm, A.A. Effects of mitomycin C (NSC-26980) in 346 patients with advanced cancer. Cancer Chemother. Rep. 1968, 52, 675–684. [Google Scholar] [PubMed]
- Dobrowsky, W.; Naude, J. Continuous hyperfractionated accelerated radiotherapy with/without mitomycin C in head and neck cancers. Radiother. Oncol. 2000, 57, 119–124. [Google Scholar] [CrossRef]
- Haffty, B.G.; Son, Y.H.; Sasaki, C.T.; Papac, R.; Fischer, D.; Rockwell, S.; Sartorelli, A.; Fischer, J.J. Mitomycin C as an adjunct to postoperative radiation therapy in squamous cell carcinoma of the head and neck: Results from two randomized clinical trials. Int. J. Radiat. Oncol. Biol. Phys. 1993, 27, 241–250. [Google Scholar] [CrossRef]
- Gunderson, L.L.; Winter, K.A.; Ajani, J.A.; Pederson, E.; Moughan, J.; Benson, A.B., 3rd; Thomas, C.R., Jr.; Mayer, R.J.; Haddock, M.G.; Rich, T.A.; et al. Long-term update of US GI Intergroup RTOG 98-11 phase III trial for anal carcinoma: Survival, relapse and colostomy failure with concurrent chemoradiation involving fluorouracil/mitomycin versus fluorouracil/cisplatin. J. Clin. Oncol. 2012, 30, 4344–4351. [Google Scholar] [CrossRef]
- Reade, C.J.; Eiriksson, L.R.; Mackay, H. Systemic therapy in squamous cell carcinoma of the vulva: Current status and future directions. Gynecol. Oncol. 2014, 132, 780–789. [Google Scholar] [CrossRef]
- Eisenhauer, E.A.; Therasse, P.; Bogaerts, J.; Schwartz, L.H.; Sargent, D.; Ford, R.; Dancey, J.; Arbuck, S.; Gwyther, S.; Mooney, M.; et al. New response evaluation criteria in solid tumours: Revised RECIST guideline (version 1.1). Eur. J. Ca. 2009, 45, 228–247. [Google Scholar] [CrossRef]
- Scantlebury, J.B.; Luo, J.; Thorstad, W.L.; El-Mofty, S.K.; Lewis, J.S., Jr. Cyclin D1—A prognostic marker in oropharyngeal squamous cell carcinoma that is tightly associated with high-risk human papillomavirus status. Hum. Pathol. 2013, 44, 1672–1680. [Google Scholar] [CrossRef]
- Westbrook, T.C.; Hagemann, I.S.; Ley, J.; Chen, K.; Palka, K.; Liu, J.; Chen, L.; Oppelt, P.; Adkins, D. Prospective assessment of the clinical benefit of a tailored cancer gene set built on a next-generation sequencing platform in patients with recurrent or metastatic head and neck cancer. Med. Oncol. 2019, 37, 12. [Google Scholar] [CrossRef] [PubMed]
- Kaplan, E.L.; Meier, P. Nonparametric estimation from incomplete observations. J. Amer. Statist. Assn. 1958, 53, 457–481. [Google Scholar] [CrossRef]
- Singh, S.V.; Ajay, A.K.; Mohammad, N.; Malvi, P.; Chaube, B.; Meena, A.S.; Bhat, M.K. Proteasomal inhibition sensitizes cervical cancer cells to mitomycin C-induced bystander effect: The role of tumor microenvironment. Cell Death Dis. 2015, 6, e1934. [Google Scholar] [CrossRef]
- Gupta, S.; Panda, P.K.; Hashimoto, R.F.; Samal, S.K.; Mishra, S.; Verma, S.K.; Mishra, Y.K.; Ahuja, R. Dynamical modeling of miR-34a, miR-449a, and miR-16 reveals numerous DDR signaling pathways regulating senescence, autophagy, and apoptosis in HeLa cells. Sci. Rep. 2022, 12, 4911. [Google Scholar] [CrossRef]
- Ouyang, L.; Shi, Z.; Zhao, S.; Wang, F.-T.; Zhou, T.-T.; Liu, B.; Bao, J.-K. Programmed cell death pathways in cancer: A review of apoptosis, autophagy and programmed necrosis. Cell Prolif. 2012, 45, 487–498. [Google Scholar] [CrossRef] [PubMed]
- Gonzalez-Padilla, D.A.; Subiela, J.D.; Gonzalez-Diaz, A.; Hernandez-Arroyo, M.; Garcia-Rojo, E.; Aumatell, J.; Revilla, J.B.; Rodriguez-Antolin, A.; Guerrero-Ramos, F. Mitomycin C allergy after passive and device-assisted hyperthermia for non-muscle invasive bladder cancer treatment: A retrospective cohort from a high-volume center. Urol. Oncol. 2022, 40, 345.e19–345.e23. [Google Scholar] [CrossRef] [PubMed]
- Berghi, O.N.; Dumitru, M.; Vrinceanu, D.; Cergan, R.; Jeican, I.I.; Giurcaneanu, C.; Miron, A. Current approach to medico-legal aspects of allergic reactions. Rom. J. Leg. Med. 2021, 29, 328–331. [Google Scholar] [CrossRef]




| Characteristic | Cohort A: HPV-Positive (n = 34) | Cohort B: HPV-Negative (n = 13) |
|---|---|---|
| Age (years) Median | 61 | 61 |
| Range | 45–81 | 54–68 |
| Sex | ||
| Male | 33 | 8 |
| Female | 1 | 5 |
| ECOG Performance Status | ||
| 0 | 20 | 5 |
| 1 | 11 | 7 |
| 2–3 | 3 | 1 |
| Tobacco History | ||
| Yes | 25 | 12 |
| No | 9 | 1 |
| Primary Site | ||
| Oropharynx | 32 ^ | 0 |
| Larynx | 0 | 5 |
| Oral Cavity | 0 | 5 |
| Hypopharynx | 0 | 2 |
| Occult Primary/Upper Neck | 2 | 1 |
| Node | ||
| Site(s) of RM Disease | ||
| Local/Regional | 0 | 2 |
| Distant | 22 | 6 |
| Both | 12 | 5 |
| Prior Therapy for RM Disease | ||
| Platinum/5-FU/Cetuximab/Taxane ** | 23 | 13 |
| Platinum/PD-1 Inhibitor *** | 11 | 0 |
| Grade 1 | Grade 2 | Grade 3 | Grade 4 | Grade 5 | |
|---|---|---|---|---|---|
| Alkaline Phosphatase | 14 | 2 | 1 | ||
| Anorexia | 6 | 6 | |||
| Back Pain | 3 | 3 | |||
| Bilirubin | 3 | 2 | 2 | ||
| Cardiovascular: Carotid Artery | 1 a | ||||
| Chest Wall Pain | 1 | ||||
| Constipation | 5 | 3 | 1 | ||
| Cough | 9 | ||||
| Creatinine | 6 | 2 | |||
| Death NOS | 1 a | ||||
| Dehydration | 1 | 2 | |||
| Diarrhea | 7 | ||||
| Dysphagia | 10 | 5 | 3 | ||
| Dyspnea | 7 | 9 | 4 | ||
| Edema: Head and Neck | 1 | 1 | 1 | ||
| Edema: Limb | 5 | 1 | |||
| Fatigue | 10 | 17 | 2 | ||
| Headache | 1 | 1 | |||
| Hemoglobin | 24 | 17 | 4 | ||
| Hepatitis | 1 | ||||
| Hypercalcemia | 5 | 1 | 1 | ||
| Hyperglycemia | 4 | 1 | |||
| Hyperkalemia | 3 | 1 | |||
| Hypertension | 4 | 4 | 1 | ||
| Hypoalbuminemia | 15 | 11 | 1 | ||
| Hypocalcemia | 7 | 6 | |||
| Hypokalemia | 5 | 3 | |||
| Hyponatremia | 16 | 1 | 4 | ||
| Hypophosphatemia | 3 | 1 | |||
| Infection with Normal ANC | 6 | 4 | 2 a | ||
| Leukopenia | 5 | 2 | |||
| Lymphopenia | 1 | 17 | 22 | 2 a | |
| Muscle Weakness | 1 | 1 | 2 | ||
| Nausea | 8 | 3 | |||
| Neuropathy: Sensory | 4 | 4 | |||
| Neutropenia | 1 | 1 | 1 | ||
| Obstruction of Airway | 1 a | ||||
| Pericardial Effusion | 1 a | ||||
| Platelets | 13 | 6 | |||
| Pleural Effusion (Non-malignant) | 2 | ||||
| Pneumothorax | 1 | ||||
| Respiratory Failure | 1 a | 1 a | |||
| Restrictive Cardiomyopathy | 1 | ||||
| AST | 9 | 2 | 1 a | ||
| ALT | 4 | 1 | 1 | 1 a | |
| Thrombosis/Thrombus/Embolism | 2 | ||||
| Tumor Pain | 1 | 11 | 2 | ||
| Weight Loss | 4 | 1 | 2 | ||
| Xerostomia | 7 | 1 | 1 |
Disclaimer/Publisher’s Note: The statements, opinions and data contained in all publications are solely those of the individual author(s) and contributor(s) and not of MDPI and/or the editor(s). MDPI and/or the editor(s) disclaim responsibility for any injury to people or property resulting from any ideas, methods, instructions or products referred to in the content. |
© 2025 by the authors. Licensee MDPI, Basel, Switzerland. This article is an open access article distributed under the terms and conditions of the Creative Commons Attribution (CC BY) license (https://creativecommons.org/licenses/by/4.0/).
Share and Cite
Oppelt, P.; Ley, J.; Auberle, C.; Knapp, B.; Zaretsky, J.; Wan, F.; Adkins, D. Mitomycin-C for HPV-Positive and HPV-Negative Platinum-Refractory, Recurrent or Metastatic Head and Neck Squamous Cell Carcinoma: A Phase 2 Trial. Cancers 2025, 17, 3568. https://doi.org/10.3390/cancers17213568
Oppelt P, Ley J, Auberle C, Knapp B, Zaretsky J, Wan F, Adkins D. Mitomycin-C for HPV-Positive and HPV-Negative Platinum-Refractory, Recurrent or Metastatic Head and Neck Squamous Cell Carcinoma: A Phase 2 Trial. Cancers. 2025; 17(21):3568. https://doi.org/10.3390/cancers17213568
Chicago/Turabian StyleOppelt, Peter, Jessica Ley, Christine Auberle, Brendan Knapp, Jesse Zaretsky, Fei Wan, and Douglas Adkins. 2025. "Mitomycin-C for HPV-Positive and HPV-Negative Platinum-Refractory, Recurrent or Metastatic Head and Neck Squamous Cell Carcinoma: A Phase 2 Trial" Cancers 17, no. 21: 3568. https://doi.org/10.3390/cancers17213568
APA StyleOppelt, P., Ley, J., Auberle, C., Knapp, B., Zaretsky, J., Wan, F., & Adkins, D. (2025). Mitomycin-C for HPV-Positive and HPV-Negative Platinum-Refractory, Recurrent or Metastatic Head and Neck Squamous Cell Carcinoma: A Phase 2 Trial. Cancers, 17(21), 3568. https://doi.org/10.3390/cancers17213568

