From CT to Microscopy: Radiological–Histopathological Correlation for Understanding Abdominal Lymphomas
Simple Summary
Abstract
1. Introduction
2. Materials and Methods
2.1. Study Design and Patients
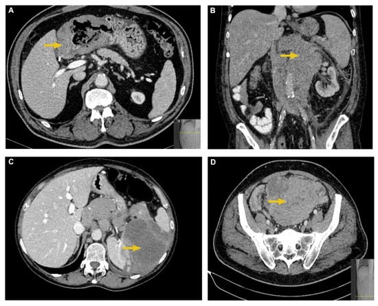
2.2. CT Imaging Analysis
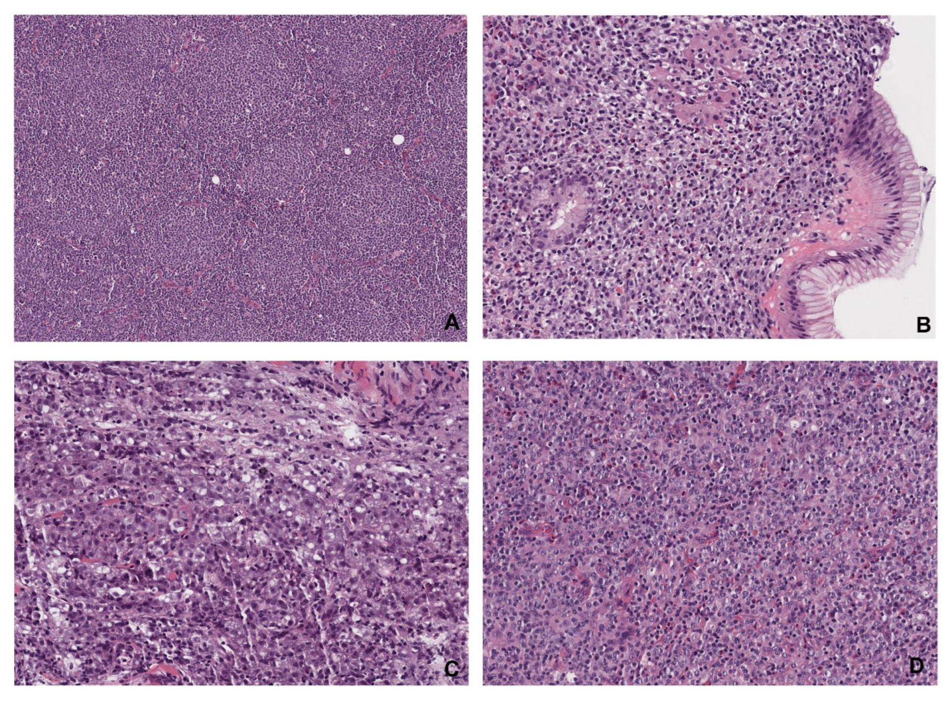
2.3. Histopathological Confirmation of Diagnosis
2.4. Statistical Analysis
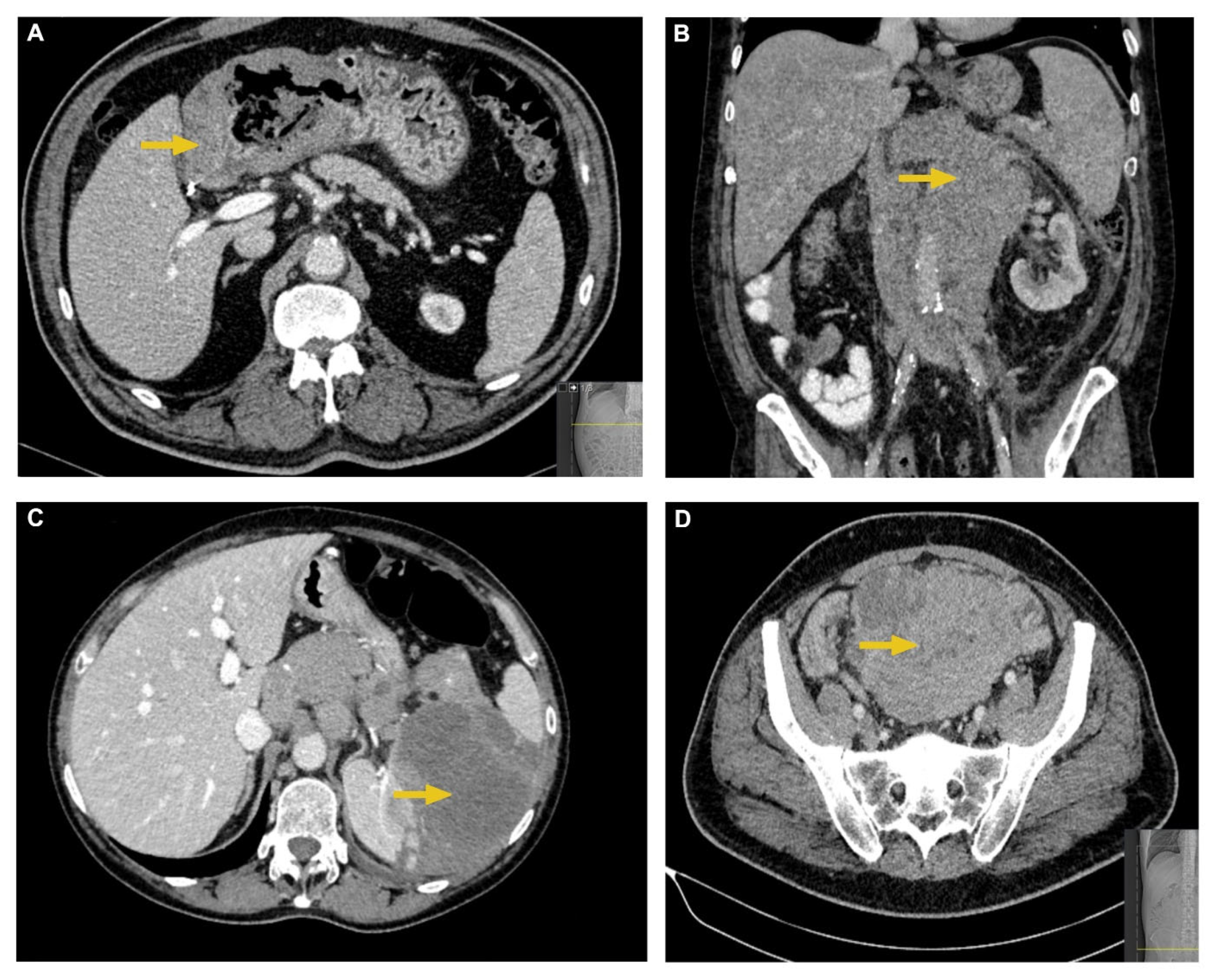
3. Results
4. Discussion
5. Conclusions
Author Contributions
Funding
Institutional Review Board Statement
Informed Consent Statement
Data Availability Statement
Conflicts of Interest
Abbreviations
| CT | computed tomography |
| NHL | non-Hodgkin lymphoma |
| GI | gastrointestinal |
| WHO | World Health Organization |
| FL | follicular lymphoma |
| CLL/SLL | chronic lymphocytic leukemia/small lymphocytic lymphoma |
| MZL | marginal zone lymphoma |
| DLBCL | diffuse large B-cell lymphoma |
| MCL | mantle cell lymphoma |
| PTCL | peripheral T-cell lymphoma |
| ALCL | anaplastic large cell lymphoma |
| MSCT | multislice computed tomography |
References
- Armitage, J.O.; Gascoyne, R.D.; Lunning, M.A.; Cavalli, F. Non-Hodgkin lymphoma. Lancet 2017, 390, 298–310. [Google Scholar] [CrossRef]
- Ansell, S.M. Non-Hodgkin Lymphoma: Diagnosis and Treatment. Mayo Clin. Proc. 2015, 90, 1152–1163. [Google Scholar] [CrossRef] [PubMed]
- Sapkota, S.; Shaikh, H. Non-Hodgkin Lymphoma. In StatPearls; StatPearls Publishing: Treasure Island, FL, USA, 2025. [Google Scholar]
- Thandra, K.C.; Barsouk, A.; Saginala, K.; Padala, S.A.; Barsouk, A.; Rawla, P. Epidemiology of Non-Hodgkin’s Lymphoma. Med. Sci. 2021, 9, 5. [Google Scholar] [CrossRef] [PubMed]
- Müller, A.M.S.; Ihorst, G.; Mertelsmann, R.; Engelhardt, M. Epidemiology of non-Hodgkin’s lymphoma (NHL): Trends, geographic distribution, and etiology. Ann. Hematol. 2005, 84, 1–12. [Google Scholar] [CrossRef] [PubMed]
- The WHO Classification of Tumours Editorial Board (Ed.) Haematolymphoid Tumours: Who Classification of Tumours, 5th ed.; International Agency for Research on Cancer: Lyon, France, 2024; 1p. [Google Scholar]
- Mugnaini, E.N.; Ghosh, N. Lymphoma. Prim. Care 2016, 43, 661–675. [Google Scholar] [CrossRef]
- Laurent, C.; Cook, J.R.; Yoshino, T.; Quintanilla-Martinez, L.; Jaffe, E.S. Follicular lymphoma and marginal zone lymphoma: How many diseases? Virchows Arch. Int. J. Pathol. 2023, 482, 149–162. [Google Scholar] [CrossRef]
- Rodriguez-Pinilla, S.M.; Dojcinov, S.; Dotlic, S.; Gibson, S.E.; Hartmann, S.; Klimkowska, M.; Sabattini, E.; Tousseyn, T.A.; de Jong, D.; Hsi, E.D. Aggressive B-cell non-Hodgkin lymphomas: A report of the lymphoma workshop of the 20th meeting of the European Association for Haematopathology. Virchows Arch. Int. J. Pathol. 2024, 484, 15–29. [Google Scholar] [CrossRef]
- Satishchandra, H.; Sridhar, A.S.; Pooja, B.P. Imaging of Burkitt’s lymphoma-abdominal manifestations. J. Cancer Res. Ther. 2013, 9, 128–130. [Google Scholar]
- Vose, J.M. Peripheral T-cell non-Hodgkin’s lymphoma. Hematol. Oncol. Clin. N. Am. 2008, 22, 997–1005. [Google Scholar] [CrossRef]
- Rizvi, M.A.; Evens, A.M.; Tallman, M.S.; Nelson, B.P.; Rosen, S.T. T-cell non-Hodgkin lymphoma. Blood 2006, 107, 1255–1264. [Google Scholar] [CrossRef]
- Anis, M.; Irshad, A. Imaging of abdominal lymphoma. Radiol. Clin. N. Am. 2008, 46, 265–285. [Google Scholar] [CrossRef]
- Kullendorff, C.M.; Arnbjörnsson, E.; Wiebe, T. Abdominal manifestations of non-Hodgkin’s lymphomas. Eur. J. Pediatr. Surg. 1991, 1, 21–23. [Google Scholar] [CrossRef]
- Evans, L.S.; Hancock, B.W. Non-Hodgkin lymphoma. Lancet 2003, 362, 139–146. [Google Scholar] [CrossRef] [PubMed]
- Lee, W.K.; Lau, E.W.F.; Duddalwar, V.A.; Stanley, A.J.; Ho, Y.Y. Abdominal manifestations of extranodal lymphoma: Spectrum of imaging findings. AJR Am. J. Roentgenol. 2008, 191, 198–206. [Google Scholar] [CrossRef] [PubMed]
- Vinnicombe, S.J.; Reznek, R.H. Computerised tomography in the staging of Hodgkin’s disease and non-Hodgkin’s lymphoma. Eur. J. Nucl. Med. Mol. Imaging 2003, 30 (Suppl. S1), S42–S55. [Google Scholar] [CrossRef] [PubMed]
- Bautista-Quach, M.A.; Ake, C.D.; Chen, M.; Wang, J. Gastrointestinal lymphomas: Morphology, immunophenotype and molecular features. J. Gastrointest. Oncol. 2012, 3, 209–225. [Google Scholar]
- Lewis, R.B.; Mehrotra, A.K.; Rodríguez, P.; Manning, M.A.; Levine, M.S. From the radiologic pathology archives: Gastrointestinal lymphoma: Radiologic and pathologic findings. Radiographics 2014, 34, 1934–1953. [Google Scholar] [CrossRef]
- Kim, J.E.; Park, S.H.; Shim, Y.S.; Yoon, S. Typical and Atypical Imaging Features of Malignant Lymphoma in the Abdomen and Mimicking Diseases. J. Korean Soc. Radiol. 2023, 84, 1266–1289. [Google Scholar] [CrossRef]
- Harris, A.C.; MacLean, K.A.; Grunau, G.L.; Chang, S.D.; Martin, N. Imaging Intra-abdominal Burkitt’s Lymphoma: From Discrete Bowel Wall Thickening to Diffuse Soft Tissue Infiltration. Can. Assoc. Radiol. J. 2017, 68, 286–292. [Google Scholar] [CrossRef]
- Bligh, M.P.; Borgaonkar, J.N.; Burrell, S.C.; MacDonald, D.A.; Manos, D. Spectrum of CT Findings in Thoracic Extranodal Non-Hodgkin Lymphoma. Radiographics 2017, 37, 439–461. [Google Scholar] [CrossRef]
- Manning, M.A.; Somwaru, A.S.; Mehrotra, A.K.; Levine, M.S. Gastrointestinal Lymphoma: Radiologic-Pathologic Correlation. Radiol. Clin. 2016, 54, 765–784. [Google Scholar] [CrossRef]
- Abramson, J.S.; Zelenetz, A.D. Recent advances in the treatment of non-Hodgkin’s lymphomas. J. Natl. Compr. Cancer Netw. JNCCN 2013, 11 (Suppl. S5), 671–675. [Google Scholar] [CrossRef]
- Kolve, M.E.; Fischbach, W.; Wilhelm, M. Primary gastric non-Hodgkin’s lymphoma: Requirements for diagnosis and staging. Gastrointest. Lymphoma Future Perspect. 2000, 156, 63–68. [Google Scholar]
- Alvarez-Lesmes, J.; Chapman, J.R.; Cassidy, D.; Zhou, Y.; Garcia-Buitrago, M.; Montgomery, E.A.; Lossos, I.S.; Sussman, D.; Poveda, J. Gastrointestinal Tract Lymphomas. Arch. Pathol. Lab. Med. 2021, 145, 1585–1596. [Google Scholar] [CrossRef] [PubMed]
- Manzella, A.; Borba-Filho, P.; D’Ippolito, G.; Farias, M. Abdominal manifestations of lymphoma: Spectrum of imaging features. ISRN Radiol. 2013, 2013, 483069. [Google Scholar] [CrossRef]
- Fajardo, L.; Ramin Gde, A.; Penachim, T.J.; Martins, D.L.; Cardia, P.P.; Prando, A. Abdominal manifestations of extranodal lymphoma: Pictorial essay. Radiol Bras. 2016, 49, 397–402. [Google Scholar] [CrossRef] [PubMed][Green Version]
- Psyrri, A.; Papageorgiou, S.; Economopoulos, T. Primary extranodal lymphomas of stomach: Clinical presentation, diagnostic pitfalls and management. Ann. Oncol. 2008, 19, 1992–1999. [Google Scholar] [CrossRef]
- Au, W.Y.; Ma, S.Y.; Chim, C.S.; Choy, C.; Loong, F.; Lie, A.K.W.; Lam, C.C.K.; Leung, A.Y.H.; Tse, E.; Yau, C.C.; et al. Clinicopathologic features and treatment outcome of mature T-cell and natural killer-cell lymphomas diagnosed according to the World Health Organization classification scheme: A single center experience of 10 years. Ann. Oncol. 2005, 16, 206–214. [Google Scholar] [CrossRef]
- Ribatti, D.; Nico, B.; Ranieri, G.; Specchia, G.; Vacca, A. The role of angiogenesis in human non-Hodgkin lymphomas. Neoplasia 2013, 15, 231–238. [Google Scholar] [CrossRef]









| Location | N (%) |
|---|---|
| Nodal | 49 (41.18%) |
| Extranodal—gastrointestinal tract | 39 (32.77%) |
| Extranodal—abdominopelvic organs | 18 (15.13%) |
| Extranodal—intra-abdominal and pelvic infiltrates/masses | 13 (10.92%) |
| Total (nodal and extranodal) | 119 (100%) |
| N (%) | Aggressive B NHL | Indolent B NHL | T-Cell |
|---|---|---|---|
| Nodal | 24 (48.98%) | 23 (46.94%) | 2 (4.08%) |
| Extranodal—gastrointestinal tract | 25 (64.10%) | 9 (23.08%) | 5 (12.82%) |
| Extranodal—abdominopelvic organs | 9 (50.00%) | 7 (38.89%) | 2 (11.11%) |
| Extranodal—intra-abdominal and pelvic infiltrates/masses | 10 (76.92%) | 3 (23.08%) | 0 (0.00%) |
| Total extranodal | 44 (62.85%) | 19 (27.14%) | 7 (17.50%) |
| Distant Lymph Node Metastases N (%) | Nodal | Extranodal— Gastrointestinal Tract | Extranodal— Abdominopelvic Organs | Extranodal— Intra-Abdominal and Pelvic Infiltrates/Masses |
| Positive | 47 (95.9) | 24 (61.5) | 12 (66.7) | 9 (69.2) |
| Negative | 2 (4.10) | 15 (38.5) | 6 (33.3) | 4 (30.8) |
| Parenchymal Metastases N (%) | Nodal | Extranodal— Gastrointestinal Tract | Extranodal— Abdominopelvic Organs | Extranodal— Intra-Abdominal and Pelvic Infiltrates/Masses |
| Positive | 8 (16) | 9 (23) | 10 (56) | 6 (46) |
| Negative | 41 (84) | 30 (77) | 8 (44) | 7 (54) |
| Local Propagation N (%) | Nodal | Extranodal— Gastrointestinal Tract | Extranodal— Abdominopelvic Organs | Extranodal— Intra-Abdominal and Pelvic Infiltrates/Masses |
| Positive | 47 (96) | 32 (82) | 14 (78) | 13 (100) |
| Negative | 2 (4) | 7 (18) | 4 (22) | 0 (0.00) |
| N (%) | Nodal | Extranodal— Gastrointestinal Tract | Extranodal— Abdominopelvic Organs | Extranodal— Intra-Abdominal and Pelvic Infiltrates/Masses |
|---|---|---|---|---|
| Infiltrates | 1 (1.75) | 1 (2.5) | 0 (0.00) | 6 (54.55) |
| Lymphadenopathy and conglomerates | 52 (91.23) | 0 (0.00) | 0 (0.00) | 0 (0.00) |
| Solid mass or masses | 4 (7.02) | 3 (7.5) | 11 (100) | 5 (45.45) |
| GI wall thickening | 0 (0.00) | 36 (90.00) | 0 (0.00) | 0 (0.00) |
| N (%) | Infiltrates | Lymphadenopathy and Conglomerates | Solid Mass or Masses | GI Wall Thickening | Total |
|---|---|---|---|---|---|
| Aggressive B NHL | 6 (75.00) | 22 (42.31) | 18 (78.26) | 22 (61.11) | 68 |
| Indolent B NHL | 2 (25.00) | 26 (50.00) | 5 (21.74) | 9 (25.00) | 42 |
| T-cell | 0 (0.00) | 4 (7.69) | 0 (0.00) | 5 (13.89) | 9 |
Disclaimer/Publisher’s Note: The statements, opinions and data contained in all publications are solely those of the individual author(s) and contributor(s) and not of MDPI and/or the editor(s). MDPI and/or the editor(s) disclaim responsibility for any injury to people or property resulting from any ideas, methods, instructions or products referred to in the content. |
© 2025 by the authors. Licensee MDPI, Basel, Switzerland. This article is an open access article distributed under the terms and conditions of the Creative Commons Attribution (CC BY) license (https://creativecommons.org/licenses/by/4.0/).
Share and Cite
Luetić, A.; Luetić, M.; Benzon, B.; Budimir Mršić, D. From CT to Microscopy: Radiological–Histopathological Correlation for Understanding Abdominal Lymphomas. Cancers 2025, 17, 3264. https://doi.org/10.3390/cancers17193264
Luetić A, Luetić M, Benzon B, Budimir Mršić D. From CT to Microscopy: Radiological–Histopathological Correlation for Understanding Abdominal Lymphomas. Cancers. 2025; 17(19):3264. https://doi.org/10.3390/cancers17193264
Chicago/Turabian StyleLuetić, Ante, Martina Luetić, Benjamin Benzon, and Danijela Budimir Mršić. 2025. "From CT to Microscopy: Radiological–Histopathological Correlation for Understanding Abdominal Lymphomas" Cancers 17, no. 19: 3264. https://doi.org/10.3390/cancers17193264
APA StyleLuetić, A., Luetić, M., Benzon, B., & Budimir Mršić, D. (2025). From CT to Microscopy: Radiological–Histopathological Correlation for Understanding Abdominal Lymphomas. Cancers, 17(19), 3264. https://doi.org/10.3390/cancers17193264

