Ultrasound in Skin Cancer: Why, How, and When to Use It?
Abstract
Simple Summary
Abstract
1. Introduction
1.1. Ultrasound Protocol
1.2. Ultrasound Patterns of Skin Cancer
1.3. Keratinocytic Tumors (Non-Melanoma)
1.3.1. Basal Cell Carcinoma (BCC)
Primary BCC Tumor
Post Operative Recurrence or Remnant BCC
1.3.2. Squamous Cell Carcinoma (SCC)
Primary SCC Tumor
1.4. Bowen Disease
1.5. Post-Operative Recurrence or Remnant SCC
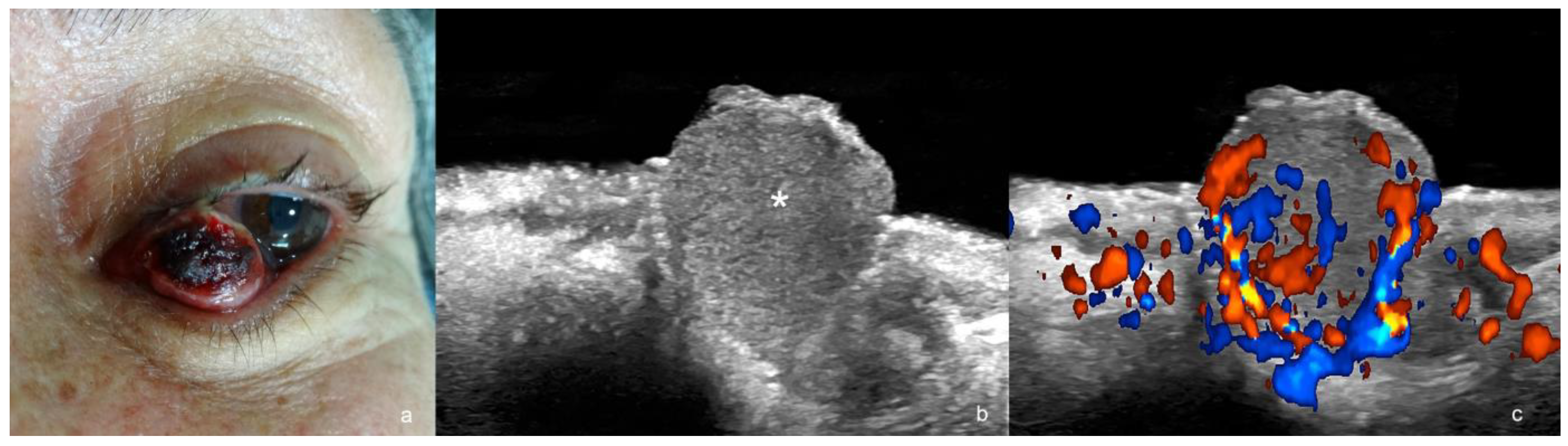
2. Melanoma
2.1. Primary Tumor
2.2. Locoregional Metastases
3. Dermatofibrosarcoma Protuberans (DFSP)
4. Merkel Cell Tumor
5. Liposarcoma
6. Angiosarcoma
7. Lymphomas
8. Cutaneous Metastases
9. Conclusions
Funding
Conflicts of Interest
References
- Gruber, P.; Zito, P.M. Skin Cancer. In StatPearls; StatPearls Publishing: Treasure Island, FL, USA, 2024. [Google Scholar]
- Kato, J.; Horimoto, K.; Sato, S.; Minowa, T.; Uhara, H. Dermoscopy of Melanoma and Non-melanoma Skin Cancers. Front. Med. 2019, 6, 180. [Google Scholar] [CrossRef] [PubMed]
- Atak, M.F.; Farabi, B.; Navarrete-Dechent, C.; Rubinstein, G.; Rajadhyaksha, M.; Jain, M. Confocal Microscopy for Diagnosis and Management of Cutaneous Malignancies: Clinical Impacts and Innovation. Diagnostics 2023, 13, 854. [Google Scholar] [CrossRef]
- Basra, M.; Shapiro, L.; Patel, H.; Payne, C.; Brazen, B.; Biglione, A. Exploring the Utilization of Imaging Modalities in the Diagnosis of Basal Cell Carcinoma: A Scoping Review. Cureus 2024, 16, e56047. [Google Scholar] [CrossRef] [PubMed]
- Almuhanna, N.; Wortsman, X.; Wohlmuth-Wieser, I.; Kinoshita-Ise, M.; Alhusayen, R. Overview of Ultrasound Imaging Applications in Dermatology. J. Cutan. Med. Surg. 2021, 25, 521–529. [Google Scholar] [CrossRef] [PubMed]
- Wortsman, X. Top Advances in Dermatologic Ultrasound. J. Ultrasound Med. 2023, 42, 521–545. [Google Scholar] [CrossRef]
- Wortsman, X. Top applications of dermatologic ultrasonography that can modify management. Ultrasonography 2023, 42, 183–202. [Google Scholar] [CrossRef] [PubMed]
- Wortsman, X.; Carreño, L.; Ferreira-Wortsman, C.; Poniachik, R.; Pizarro, K.; Morales, C.; Calderon, P.; Castro, A. Ultrasound Characteristics of the Hair Follicles and Tracts, Sebaceous Glands, Montgomery Glands, Apocrine Glands, and Arrector Pili Muscles. J. Ultrasound Med. 2019, 38, 1995–2004. [Google Scholar] [CrossRef] [PubMed]
- Alfageme, F.; Wortsman, X.; Catalano, O.; Roustan, G.; Crisan, M.; Crisan, D.; Gaitini, D.E.; Cerezo, E.; Badea, R. European Federation of Societies for Ultrasound in Medicine and Biology (EFSUMB) Position Statement on Dermatologic Ultrasound. Ultraschall der Med. Eur. J. Ultrasound 2021, 42, 39–47. [Google Scholar] [CrossRef]
- Wortsman, X.; Alfageme, F.; Roustan, G.; Arias-Santiago, S.; Martorell, A.; Catalano, O.; di Santolo, M.S.; Zarchi, K.; Bouer, M.; Gonzalez, C.; et al. Guidelines for Performing Dermatologic Ultrasound Examinations by the DERMUS Group. J. Ultrasound Med. 2016, 35, 577–580. [Google Scholar] [CrossRef]
- Wortsman, X.; Pizarro, K.; Corredoira, Y.; Carreño, L.; Morales, C. Essential Concepts on Ultrasonography of Skin Cancer. In Textbook of Dermatologic Ultrasound; Wortsman, X., Ed.; Springer International Publishing: Cham, Switzerland, 2022; pp. 185–211. [Google Scholar]
- Catalano, O.; Corvino, A. Ultrasound of Skin Cancer: What We Need to Know. Semin. Ultrasound CT MRI 2024, 45, 216–232. [Google Scholar] [CrossRef]
- Catalano, O.; Roldán, F.A.; Varelli, C.; Bard, R.; Corvino, A.; Wortsman, X. Skin cancer: Findings and role of high-resolution ultrasound. J. Ultrasound 2019, 22, 423–431. [Google Scholar] [CrossRef] [PubMed]
- Wortsman, X. Ultrasound of Skin Cancer. In Atlas of Dermatologic Ultrasound; Wortsman, X., Ed.; Springer International Publishing: Cham, Switzerland, 2018; pp. 115–145. [Google Scholar]
- Wortsman, X.; Carreño, L.; Morales, C. Skin Cancer: The Primary Tumors. In Dermatologic Ultrasound with Clinical and Histologic Correlations; Wortsman, X., Ed.; Springer: New York, NY, USA, 2013; pp. 249–282. [Google Scholar]
- Lacerda, P.; Lange, E.; Luna, N.; Miot, H.; Nogueira, V.; Abbade, L. Recurrence rate of basal cell carcinoma among different micrographic surgery techniques: Systematic review with meta-analysis. J. Eur. Acad. Dermatol. Venereol. 2022, 36, 1178–1190. [Google Scholar] [CrossRef] [PubMed]
- Catalano, O.; Crisan, D.; Díaz, C.P.G.; Cavallieri, F.; Varelli, C.; Wortsman, X. Ultrasound Assessment of Skin Tumors Local Recurrence. J. Ultrasound Med. 2023, 42, 2439–2446. [Google Scholar] [CrossRef] [PubMed]
- Gonzalez, C.; Wortsman, X. How to Start on Dermatologic Ultrasound: Basic Anatomical Concepts, Guidelines, Technical Considerations, and Best Tips. Semin. Ultrasound CT MRI 2024, 45, 180–191. [Google Scholar] [CrossRef] [PubMed]
- Wortsman, X.; Wortsman, J. Clinical usefulness of variable-frequency ultrasound in localized lesions of the skin. J. Am. Acad. Dermatol. 2010, 62, 247–256. [Google Scholar] [CrossRef] [PubMed]
- Wortsman, X. Sonography of facial cutaneous basal cell carcinoma: A first-line imaging technique. J. Ultrasound Med. 2013, 32, 567–572. [Google Scholar] [CrossRef] [PubMed]
- Catalano, O.; Siani, A. Cutaneous melanoma: Role of ultrasound in the assessment of locoregional spread. Curr. Probl. Diagn. Radiol. 2010, 39, 30–36. [Google Scholar] [CrossRef]
- Vega, N.; Wortsman, X.; Navarrete, N.; Sazunic, I. Color Doppler Ultrasound Supports Early Diagnosis of Mixed High and Low Risk of Recurrence Subtypes in the Same Basal Cell Carcinoma Lesion. Dermatol. Surg. 2018, 44, 741–743. [Google Scholar] [CrossRef]
- Barcaui, E.d.O.; Carvalho, A.C.P.; Valiante, P.M.; Piñeiro-Maceira, J.; Barcaui, C.B. High-frequency (22-MHz) ultrasound for assessing the depth of basal cell carcinoma invasion. Ski. Res. Technol. 2021, 27, 676–681. [Google Scholar] [CrossRef]
- Bobadilla, F. Pre-surgical high resolution ultrasound of facial basal cell carcinoma: Correlation with histology. Cancer Imaging 2008, 8, 163–172. [Google Scholar] [CrossRef] [PubMed]
- Chen, Z.; Yan, J.; Zhu, A.; Wang, L.; Wang, Q.; Li, L.; Guo, L.; Li, X.; Xu, H. High-frequency ultrasound for differentiation between high-risk basal cell carcinoma and cutaneous squamous cell carcinoma. Ski. Res. Technol. 2022, 28, 410–418. [Google Scholar] [CrossRef] [PubMed]
- Hernández-Ibáñez, C.; Blazquez-Sánchez, N.; Aguilar-Bernier, M.; Fúnez-Liébana, R.; Rivas-Ruiz, F.; de Troya-Martín, M. Usefulness of High-Frequency Ultrasound in the Classification of Histologic Subtypes of Primary Basal Cell Carcinoma. Actas Dermo-Sifiliogr. 2017, 108, 42–51. [Google Scholar] [CrossRef] [PubMed]
- Khan, R.; Ahmed, A.; Khachemoune, A. Ultrasound features of high-risk basal cell carcinoma: A systematic review. Arch. Dermatol. Res. 2024, 316, 210. [Google Scholar] [CrossRef] [PubMed]
- Khlebnikova, A.; Molochkov, V.; Selezneva, E.; Belova, L.; Bezugly, A.; Sedova, T.; Molochkov, A. Basal cell carcinoma invasion depth determined with 30 and 75 MHz high-frequency ultrasound and histopathology—A comparative study. Med. Ultrason. 2020, 1, 31–38. [Google Scholar] [CrossRef] [PubMed]
- Laverde-Saad, A.; Simard, A.; Nassim, D.; Jfri, A.; Alajmi, A.; O’brien, E.; Wortsman, X. Performance of Ultrasound for Identifying Morphological Characteristics and Thickness of Cutaneous Basal Cell Carcinoma: A Systematic Review. Dermatology 2022, 238, 692–710. [Google Scholar] [CrossRef] [PubMed]
- Siskou, S.; Pasquali, P.; Trakatelli, M. High Frequency Ultrasound of Basal Cell Carcinomas: Ultrasonographic Features and Histological Subtypes, a Retrospective Study of 100 Tumors. J. Clin. Med. 2023, 12, 3893. [Google Scholar] [CrossRef] [PubMed]
- Chauvel-Picard, J.; Tognetti, L.; Cinotti, E.; Habougit, C.; Suppa, M.; Lenoir, C.; Rubegni, P.; Del Marmol, V.; Berot, V.; Gleizal, A.; et al. Role of ultra-high-frequency ultrasound in the diagnosis and management of basal cell carcinoma: Pilot study based on 117 cases. Clin. Exp. Dermatol. 2023, 48, 468–475. [Google Scholar] [CrossRef] [PubMed]
- Wortsman, X.; Vergara, P.; Castro, A.; Saavedra, D.; Bobadilla, F.; Sazunic, I.; Zemelman, V.; Wortsman, J. Ultrasound as predictor of histologic subtypes linked to recurrence in basal cell carcinoma of the skin. J. Eur. Acad. Dermatol. Venereol. 2015, 29, 702–707. [Google Scholar] [CrossRef]
- Crisan, M.; Crisan, D.; Sannino, G.; Lupsor, M.; Badea, R.; Amzica, F. Ultrasonographic staging of cutaneous malignant tumors: An ultrasonographic depth index. Arch. Dermatol. Res. 2013, 305, 305–313. [Google Scholar] [CrossRef]
- Crisan, D.; Wortsman, X.; Catalano, O.; Badea, R.; Kastler, S.; Badea, A.; Manea, A.; Scharffetter-Kochanek, K.; Strilciuc, S.; Crisan, M.; et al. Pre-operative high-frequency ultrasound: A reliable management tool in auricular and nasal non-melanoma skin cancer. J. Der Dtsch. Dermatol. Ges. 2024, 22, 357–365. [Google Scholar] [CrossRef]
- Millán, I.V.; Canedo, I.F.; López-Cozar, P.G.; Liébana, R.F.; Martín, M.D.T. Presurgical delimitation with tape skin markers and ex vivo ultrasound study of in transit melanoma metastases. Int. J. Dermatol. 2024. early view. [Google Scholar] [CrossRef]
- Pasquali, P.; Freites-Martinez, A.; Fortuño-Mar, A. Ex vivo high-frequency ultrasound: A novel proposal for management of surgical margins in patients with non-melanoma skin cancer. J. Am. Acad. Dermatol. 2016, 74, 1278–1280. [Google Scholar] [CrossRef] [PubMed]
- Vilas-Sueiro, A.; Alfageme, F.; Salgüero, I.; Heras, C.D.L.; Roustan, G. Ex Vivo High-Frequency Ultrasound for Assessment of Basal Cell Carcinoma. J. Ultrasound Med. 2019, 38, 529–531. [Google Scholar] [CrossRef] [PubMed]
- García-Foncillas, J.; Tejera-Vaquerizo, A.; Sanmartín, O.; Rojo, F.; Mestre, J.; Martín, S.; Azinovic, I.; Mesía, R. Update on Management Recommendations for Advanced Cutaneous Squamous Cell Carcinoma. Cancers 2022, 14, 629. [Google Scholar] [CrossRef] [PubMed]
- MacFarlane, D.; Shah, K.; Wysong, A.; Wortsman, X.; Humphreys, T.R. The role of imaging in the management of patients with nonmelanoma skin cancer: Diagnostic modalities and applications. J. Am. Acad. Dermatol. 2017, 76, 579–588. [Google Scholar] [CrossRef] [PubMed]
- Liu, Z.F.; Chew, C.Y.; Honavar, S.; Maxwell, A.; Sylivris, A.; Sheridan, A. Seeing beyond skin deep: High-resolution ultrasound in dermatology—A comprehensive review and future prospects. J. Eur. Acad. Dermatol. Venereol. 2024, 38, 1305–1313. [Google Scholar] [CrossRef] [PubMed]
- Ruiz, E.S.; Karia, P.S.; Morgan, F.C.; Schmults, C.D. The positive impact of radiologic imaging on high-stage cutaneous squamous cell carcinoma management. J. Am. Acad. Dermatol. 2017, 76, 217–225. [Google Scholar] [CrossRef]
- Zhu, A.-Q.; Wang, L.-F.; Li, X.-L.; Wang, Q.; Li, M.-X.; Ma, Y.-Y.; Xiang, L.-H.; Guo, L.-H.; Xu, H.-X. High-frequency ultrasound in the diagnosis of the spectrum of cutaneous squamous cell carcinoma: Noninvasively distinguishing actinic keratosis, Bowen’s Disease, and invasive squamous cell carcinoma. Ski. Res. Technol. 2021, 27, 831–840. [Google Scholar] [CrossRef]
- Tokez, S.; Koekelkoren, F.H.J.; de Jong, R.J.B.; Grünhagen, D.J.; Mooyaart, A.L.; Nijsten, T.; van der Lugt, A.; Wakkee, M. Assessment of the Diagnostic Accuracy of Baseline Clinical Examination and Ultrasonographic Imaging for the Detection of Lymph Node Metastasis in Patients with High-risk Cutaneous Squamous Cell Carcinoma of the Head and Neck. JAMA Dermatol. 2022, 158, 151–159. [Google Scholar] [CrossRef]
- Li, M.; Wang, Q.; Li, X.; Zhao, C.; Zhu, R.; Chen, J.; Li, L.; Guo, L.; Xu, H. Imaging findings of Bowen’s disease: A comparison between ultrasound biomicroscopy and conventional high-frequency ultrasound. Ski. Res. Technol. 2020, 26, 654–663. [Google Scholar] [CrossRef]
- Crişan, D.; Badea, A.F.; Crişan, M.; Rastian, I.; Solovastru, L.G.; Badea, R. Integrative analysis of cutaneous skin tumours using ultrasonogaphic criteria. Preliminary results. Med. Ultrason. 2014, 16, 285–290. [Google Scholar] [CrossRef] [PubMed]
- Machet, L.; Belot, V.; Naouri, M.; Boka, M.; Mourtada, Y.; Giraudeau, B.; Laure, B.; Perrinaud, A.; Machet, M.-C.; Vaillant, L. Preoperative Measurement of Thickness of Cutaneous Melanoma Using High-Resolution 20 MHz Ultrasound Imaging: A Monocenter Prospective Study and Systematic Review of the Literature. Ultrasound Med. Biol. 2009, 35, 1411–1420. [Google Scholar] [CrossRef] [PubMed]
- Nazarian, L.N.; Alexander, A.A.; Kurtz, A.B.; Capuzzi, D.M.; Rawool, N.M.; Gilbert, K.R.; Mastrangelo, M.J. Superficial melanoma metastases: Appearances on gray-scale and color Doppler sonography. Am. J. Roentgenol. 1998, 170, 459–463. [Google Scholar] [CrossRef] [PubMed]
- Pilat, P.; Borzęcki, A.; Jazienicki, M.; Gerkowicz, A.; Szubstarski, F.; Krasowska, D. Evaluation of the clinical usefulness of high-frequency ultrasonography in pre-operative evaluation of cutaneous melanoma—A prospective study. Adv. Dermatol. Allergol. 2020, 37, 207–213. [Google Scholar] [CrossRef] [PubMed]
- Reginelli, A.; Belfiore, M.P.; Russo, A.; Turriziani, F.; Moscarella, E.; Troiani, T.; Brancaccio, G.; Ronchi, A.; Giunta, E.; Sica, A.; et al. A Preliminary Study for Quantitative Assessment with HFUS (High- Frequency Ultrasound) of Nodular Skin Melanoma Breslow Thickness in Adults Before Surgery: Interdisciplinary Team Experience. Curr. Radiopharm. 2020, 13, 48–55. [Google Scholar] [CrossRef]
- Sellyn, G.E.; Lopez, A.A.; Ghosh, S.; Topf, M.C.; Chen, H.; Tkaczyk, E.; Powers, J.G. High-frequency ultrasound accuracy in preoperative cutaneous melanoma assessment: A meta-analysis. J. Eur. Acad. Dermatol. Venereol. 2024; early view. [Google Scholar] [CrossRef]
- Blum, A.; Schlagenhauff, B.; Stroebel, W.; Breuninger, H.; Rassner, G.; Garbe, C. Ultrasound examination of regional lymph nodes significantly improves early detection of locoregional metastases during the follow-up of patients with cutaneous melanoma: Results of a prospective study of 1288 patients. Cancer 2000, 88, 2534–2539. [Google Scholar] [CrossRef]
- Blum, A.; Schmid-Wendtner, M.-H.; Mauss-Kiefer, V.; Eberle, J.Y.; Kuchelmeister, C.; Dill-Müller, D. Ultrasound Mapping of Lymph Node and Subcutaneous Metastases in Patients with Cutaneous Melanoma: Results of a Prospective Multicenter Study. Dermatology 2006, 212, 47–52. [Google Scholar] [CrossRef] [PubMed]
- Catalano, O. Critical analysis of the ultrasonographic criteria for diagnosing lymph node metastasis in patients with cutaneous melanoma: A systematic review. J. Ultrasound Med. 2011, 30, 547–560. [Google Scholar] [CrossRef]
- Nijhuis, A.; Chung, D.; London, K.; Uren, R.; Thompson, J.; Nieweg, O. Ultrasound Examination of the Lymphatic Drainage Area and Regional Lymph Nodes in Melanoma Patients with In-Transit Metastases. Ann. Surg. Oncol. 2021, 28, 1625–1631. [Google Scholar] [CrossRef]
- Solivetti, F.M.; Desiderio, F.; Guerrisi, A.; Bonadies, A.; Maini, C.L.; Di Filippo, S.; D’orazi, V.; Sperduti, I.; Di Carlo, A. HF ultrasound vs PET-CT and telethermography in the diagnosis of In-transit metastases from melanoma: A prospective study and review of the literature. J. Exp. Clin. Cancer Res. 2014, 33, 96. [Google Scholar] [CrossRef]
- Voit, C.; Van Akkooi, A.C.; Schäfer-Hesterberg, G.; Schoengen, A.; Kowalczyk, K.; Roewert, J.C.; Sterry, W.; Eggermont, A.M. Ultrasound Morphology Criteria Predict Metastatic Disease of the Sentinel Nodes in Patients with Melanoma. J. Clin. Oncol. 2010, 28, 847–852. [Google Scholar] [CrossRef] [PubMed]
- Long, N.M.; Smith, C.S. Causes and imaging features of false positives and false negatives on 18F-PET/CT in oncologic imaging. Insights Into Imaging 2011, 2, 679–698. [Google Scholar] [CrossRef] [PubMed]
- Workman, R.B.; Coleman, R.E. (Eds.) Fundamentals of PET and PET/CT Imaging. In PET/CT: Essentials for Clinical Practice; Springer: New York, NY, USA, 2006; pp. 1–22. [Google Scholar]
- Feng, A.; Qian, Y.; Wu, Y. A case report of remote cutaneous metastasis from male breast carcinoma. Int. J. Dermatol. 2007, 46, 738–739. [Google Scholar] [CrossRef]
- Wortsman, X. Imaging of Hypodermal Fat Necrosis. In Skin Necrosis; Téot, L., Meaume, S., Akita, S., Ennis, W.J., del Marmol, V., Eds.; Springer: Vienna, Austria, 2015; pp. 25–31. [Google Scholar]
- Corvino, A.; Catalano, F.; Campanile, A.C.; Cocco, G.; Pizzi, A.D.; Corvino, F.; Varelli, C.; Catalano, O. Interventional Ultrasound in Dermatology: A Pictorial Overview Focusing on Cutaneous Melanoma Patients. J. Ultrasound Med. 2022, 41, 3137–3144. [Google Scholar] [CrossRef] [PubMed]
- Corvino, A.; Corvino, F.; Catalano, O.; Sandomenico, F.; Petrillo, A. The Tail and the String Sign: New Sonographic Features of Subcutaneous Melanoma Metastasis. Ultrasound Med. Biol. 2017, 43, 370–374. [Google Scholar] [CrossRef] [PubMed]
- Catalano, O.; Voit, C.; Sandomenico, F.; Mandato, Y.; Petrillo, M.; Franco, R.; Botti, G.; Caracò, C.; Mozzillo, N.; D’Errico, A.G. Previously Reported Sonographic Appearances of Regional Melanoma Metastases Are Not Likely Due to Necrosis. J. Ultrasound Med. 2011, 30, 1041–1049. [Google Scholar] [CrossRef]
- Marone, U.; Catalano, O.; Caracò, C.; Anniciello, A.M.; Sandomenico, F.; Di Monta, G.; Di Cecilia, M.L.; Mori, S.; Botti, G.; Petrillo, A.; et al. Can High-Resolution Ultrasound Avoid the Sentinel Lymph-node Biopsy Procedure in the Staging Process of Patients with Stage I–II Cutaneous Melanoma? Ultraschall Med. Eur. J. Ultrasound 2012, 33, E179–E185. [Google Scholar] [CrossRef]
- Voit, C.A.; Gooskens, S.L.; Siegel, P.; Schaefer, G.; Schoengen, A.; Röwert, J.; van Akkooi, A.C.; Eggermont, A.M. Ultrasound-guided fine needle aspiration cytology as an addendum to sentinel lymph node biopsy can perfect the staging strategy in melanoma patients. Eur. J. Cancer 2014, 50, 2280–2288. [Google Scholar] [CrossRef] [PubMed]
- Díaz, C.G.; Perez, M.O.; Isaac, N.G.; Aguirre, I.H. Dermatofibrosarcoma Protuberans: A Series of 14 Patients in Whom High-Resolution Ultrasound Was the Key to Diagnosis. Actas Dermo-Sifiliogr. 2024, 115, 312–315. [Google Scholar] [CrossRef]
- Zou, M.-H.; Huang, Q.; Yang, T.; Jiang, Y.; Zhang, L.-J.; Xie, Y.; Zheng, R.-Q. Role of ultrasound in the diagnosis of primary and recurrent dermatofibrosarcoma protuberans. BMC Cancer 2021, 21, 909. [Google Scholar] [CrossRef]
- Bandera, A.I.R.; Bonilla, G.M.; Rodríguez, M.F.; Merino, M.J.B.; Laguna, R.d.L. Jellyfish-like sonographic pattern can help recognition of dermatofibrosarcoma protuberans. Report of 3 new cases and review of the literature. Australas. J. Dermatol. 2019, 60, E148–E150. [Google Scholar] [CrossRef]
- Shin, Y.R.; Kim, J.Y.; Sung, M.S.; Jung, J.H. Sonographic Findings of Dermatofibrosarcoma Protuberans with Pathologic Correlation. J. Ultrasound Med. 2008, 27, 269–274. [Google Scholar] [CrossRef] [PubMed]
- Catalano, O.; Roldán, F.A.; di Santolo, M.S.; Solivetti, F.M.; Wortsman, X. Color Doppler Sonography of Merkel Cell Carcinoma. J. Ultrasound Med. 2018, 37, 285–292. [Google Scholar] [CrossRef] [PubMed]
- Hernández-Aragüés, I.; Vázquez-Osorio, I.; Alfageme, F.; Ciudad-Blanco, C.; Casas-Férnandez, L.; Rodríguez-Blanco, M.; Suárez-Fernández, R. Skin ultrasound features of Merkel cell carcinoma. J. Eur. Acad. Dermatol. Venereol. 2017, 31, e315–e318. [Google Scholar] [CrossRef] [PubMed]
- Matsunobu, T.; Maekawa, A.; Inaba, Y.; Makihara, K.; Hisaoka, M.; Iwamoto, Y. Myxoid liposarcoma in an 11-year-old patient. Int. Cancer Conf. J. 2023, 12, 233–240. [Google Scholar] [CrossRef] [PubMed]
- Shimamori, N.; Kishino, T.; Morii, T.; Okabe, N.; Motohashi, M.; Matsushima, S.; Yamasaki, S.; Ohtsuka, K.; Shibahara, J.; Ichimura, S.; et al. Sonographic Appearances of Liposarcoma: Correlations with Pathologic Subtypes. Ultrasound Med. Biol. 2019, 45, 2568–2574. [Google Scholar] [CrossRef]
- Tran, T.-L.; Tsai, I.; Choi, H.W. Solitary Metastasis to the Breast from Thigh Myxoid Liposarcoma. Cureus 2023, 15, e45559. [Google Scholar] [CrossRef]
- Oranges, T.; Janowska, A.; Vitali, S.; Loggini, B.; Izzetti, R.; Romanelli, M.; Dini, V. Dermatoscopic and ultra-high frequency ultrasound evaluation in cutaneous postradiation angiosarcoma. J. Eur. Acad. Dermatol. Venereol. 2020, 34, E741–E743. [Google Scholar] [CrossRef]
- Tourlaki, A.; Nazzaro, G.; Wei, Y.; Buffon, S.; Mattioli, M.A.; Marzano, A.V.; Brambilla, L. Clinical, Dermoscopic, Ultrasonographic, and Histopathologic Correlations in Kaposi’s Sarcoma Lesions and Their Differential Diagnoses: A Single-Center Prospective Study. J. Clin. Med. 2022, 12, 278. [Google Scholar] [CrossRef]
- Russo, A.; Patanè, V.; Gagliardi, F.; Urraro, F.; Ronchi, A.; Vitiello, P.; Sica, A.; Argenziano, G.; Nardone, V.; Reginelli, A. Preliminary Experience in Ultra-High Frequency Ultrasound Assessment of Cutaneous Primary Lymphomas: An Innovative Classification. Cancers 2024, 16, 2456. [Google Scholar] [CrossRef]
- Taleb, E.; Yélamos, O.; Ardigo, M.; Christensen, R.E.; Geller, S. Non-invasive Skin Imaging in Cutaneous Lymphomas. Am. J. Clin. Dermatol. 2024, 25, 79–89. [Google Scholar] [CrossRef] [PubMed]
- Mandava, A.; Koppula, V.; Wortsman, X.; Catalano, O.; Alfageme, F. The clinical value of imaging in primary cutaneous lymphomas: Role of high resolution ultrasound and PET-CT. Br. J. Radiol. 2019, 92, 20180904. [Google Scholar] [CrossRef] [PubMed]
- da Costa, R.E.A.R.; dos Reis, C.A.; Moura, R.d.D.; Araújo, A.L.N.; de Oliveira, F.T.R.; Vieira, S.C. Cutaneous metastasis of occult breast cancer: A case report. Pan Afr. Med. J. 2021, 40, 23. [Google Scholar] [CrossRef] [PubMed]
- Pontinen, T.; Melin, A.; Varadi, G.; Khanmoradi, K.; Chewaproug, D.; Kung, S.C.; Zaki, R.; Ortiz, J. Cutaneous metastasis of pancreatic adenocarcinoma after kidney transplant: A case report and review of the literature. Exp. Clin. Transplant. Off. J. Middle East Soc. Organ Transplant. 2010, 8, 273–276. [Google Scholar]
- Jilani, G.; Mohamed, D.; Wadia, H.; Ramzi, K.; Meriem, J.; Houssem, L.; Samir, G.; Nawfel, B.R. Cutaneous metastasis of renal cell carcinoma through percutaneous fine needle aspiration biopsy: Case report. Dermatol. Online J. 2010, 16, 10. [Google Scholar] [CrossRef]
- Yang, S.; Liu, X.-L.; Guo, X.-L.; Song, B.; Li, S.-Z.; Sun, X.-F.; Feng, Y. Solitary metastasis to the skin and colon from gastric cancer after curative gastrectomy and chemotherapy: A case report. Medicine 2020, 99, e21532. [Google Scholar] [CrossRef] [PubMed]












| Type of Skin Cancer | Common Grayscale Ultrasonographic Signs | Vascularity on Color Doppler |
|---|---|---|
| Basal Cell Carcinoma | hypoechoic, hyperechoic spots, oval, round, elongated, rosary-bead shape, variants with anechoic spaces, irregular borders | low degree |
| Squamous Cell Carcinoma | hypoechoic, crumpled, wavy or irregular epidermis, convex, concave flat, bulging or fusiform shape, irregular borders | intermediate degree |
| Melanoma | hypoechoic, fusiform, flat or nodular, irregular or ill-defined borders | high degree |
| Dermatofibrosarcoma Protuberans | heterogeneous, hypoechoic on the surface and/or intermediate parts, and hyperechoic at the bottom with pseudopods or jellyfish-like, tentacle, or claw signs | intermediate degree |
| Merkel Cell Tumor | hypoechoic, nodule, pseudonodule, exophytic, ill-defined borders | high degree |
| Liposarcoma | hypoechoic, heterogeneous, myxoid variant with anechoic spaces, more than 5 cm | intermediate degree |
| Angiosarcoma | hypoechoic or heterogeneous, ill-defined borders; Kaposi may present a nodular shape | high degree |
| Lymphomas | hypoechoic or heterogeneous nodules and pseudonodules and ill-defined focal areas | low to intermediate degree |
| Cutaneous Metastases | hypoechoic with lobulated and irregular borders, single or multiple, increased echogenicity of the hypodermis in the periphery | intermediate to high degree |
Disclaimer/Publisher’s Note: The statements, opinions and data contained in all publications are solely those of the individual author(s) and contributor(s) and not of MDPI and/or the editor(s). MDPI and/or the editor(s) disclaim responsibility for any injury to people or property resulting from any ideas, methods, instructions or products referred to in the content. |
© 2024 by the author. Licensee MDPI, Basel, Switzerland. This article is an open access article distributed under the terms and conditions of the Creative Commons Attribution (CC BY) license (https://creativecommons.org/licenses/by/4.0/).
Share and Cite
Wortsman, X. Ultrasound in Skin Cancer: Why, How, and When to Use It? Cancers 2024, 16, 3301. https://doi.org/10.3390/cancers16193301
Wortsman X. Ultrasound in Skin Cancer: Why, How, and When to Use It? Cancers. 2024; 16(19):3301. https://doi.org/10.3390/cancers16193301
Chicago/Turabian StyleWortsman, Ximena. 2024. "Ultrasound in Skin Cancer: Why, How, and When to Use It?" Cancers 16, no. 19: 3301. https://doi.org/10.3390/cancers16193301
APA StyleWortsman, X. (2024). Ultrasound in Skin Cancer: Why, How, and When to Use It? Cancers, 16(19), 3301. https://doi.org/10.3390/cancers16193301

