MTAP and p16 IHC as Markers for CDKN2A/B Loss in Meningiomas
Abstract
Simple Summary
Abstract
1. Introduction
2. Materials and Methods
Fluorescent In Situ Hybridization (FISH)
3. Results
3.1. Patient Cohort
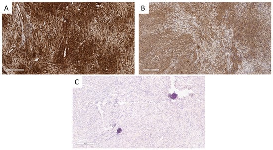
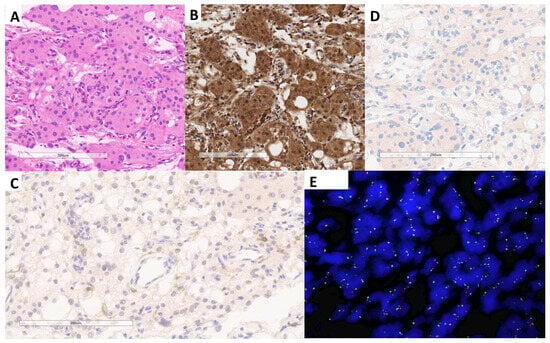
3.2. MTAP IHC
3.3. p16 IHC
3.4. CDKN2A FISH
4. Discussion
5. Conclusions
Supplementary Materials
Author Contributions
Funding
Institutional Review Board Statement
Informed Consent Statement
Data Availability Statement
Acknowledgments
Conflicts of Interest
References
- Ostrom, Q.T.; Cioffi, G.; Waite, K.; Kruchko, C.; Barnholtz-Sloan, J.S. CBTRUS statistical report: Primary brain and other central nervous system tumors diagnosed in the United States in 2014–2018. Neuro-oncology 2021, 23 (Suppl. S3), iii1–iii105. [Google Scholar] [CrossRef] [PubMed]
- Louis, D.N.; Perry, A.; Wesseling, P.; Brat, D.J.; Cree, I.A.; Figarella-Branger, D.; Hawkins, C.; Ng, H.K.; Pfister, S.M.; Reifenberger, G.; et al. The 2021 WHO classification of tumors of the central nervous system: A summary. Neuro-oncology 2021, 23, 1231–1251. [Google Scholar] [CrossRef]
- Carter, M.D.; Durham, A.B.; Miedema, J.R.; Harms, P.W.; Chan, M.P.; Patel, R.M.; Lowe, L.; Fullen, D.R.; Hristov, A.C.; Wang, M.; et al. Molecular testing of borderline cutaneous melanocytic lesions: SNP array is more sensitive and specific than FISH. Hum. Pathol. 2019, 86, 115–123. [Google Scholar] [CrossRef] [PubMed]
- Piepkorn, M. Melanoma genetics: An update with focus on the CDKN2A (p16)/ARF tumor suppressors. J. Am. Acad. Dermatol. 2000, 42, 705–726. [Google Scholar] [CrossRef]
- Serra, S.; Chetty, R. p16. J. Clin. Pathol. 2018, 71, 853–858. [Google Scholar] [CrossRef]
- Savarese, T.M.; Crabtree, G.W.; Parks, R.E., Jr. 5′-methylthioadenosine phosphorylase—I: Substrate activity of 5′-deoxyadenosine with the enzyme from Sarcoma 180 cells. Biochem. Pharmacol. 1981, 30, 189–199. [Google Scholar] [CrossRef]
- Patro, C.P.K.; Biswas, N.; Pingle, S.C.; Lin, F.; Anekoji, M.; Jones, L.D.; Kesari, S.; Wang, F.; Ashili, S. MTAP loss: A possible therapeutic approach for glioblastoma. J. Transl. Med. 2022, 20, 620. [Google Scholar] [CrossRef]
- Han, G.; Yang, G.; Hao, D.; Lu, Y.; Thein, K.; Simpson, B.S.; Chen, J.; Sun, R.; Alhalabi, O.; Wang, R.; et al. 9p21 loss confers a cold tumor immune microenvironment and primary resistance to immune checkpoint therapy. Nat. Commun. 2021, 12, 5606. [Google Scholar] [CrossRef]
- Porcel, J.M. Mesotelioma pleural. Med. Clínica 2022, 159, 240–247. [Google Scholar] [CrossRef]
- Illei, P.B.; Ladanyi, M.; Rusch, V.W.; Zakowski, M.F. The use of CDKN2A deletion as a diagnostic marker for malignant mesothelioma in body cavity effusions. Cancer Cytopathol. Interdiscip. Int. J. Am. Cancer Soc. 2003, 99, 51–56. [Google Scholar] [CrossRef]
- Sasaki, S.; Takeda, M.; Hirose, T.; Fujii, T.; Itami, H.; Uchiyama, T.; Morita, K.; Matsuda, R.; Yamada, S.; Nakagawa, I.; et al. Correlation of MTAP IHC with CDKN2A status assessed by fluorescence in situ hybridization and clinicopathological features in CNS WHO grade 2 and 3 meningiomas: A single center cohort study. J. Neuropathol. Exp. Neurol. 2022, 81, 117–126. [Google Scholar] [CrossRef] [PubMed]
- Wach, J.; Basaran, A.E.; Arlt, F.; Vychopen, M.; Seidel, C.; Barrantes-Freer, A.; Müller, W.; Gaunitz, F.; Güresir, E. CDKN2A/B deletions are strongly associated with meningioma progression: A meta-analysis of individual patient data. Acta Neuropathol. Commun. 2023, 11, 189. [Google Scholar] [CrossRef] [PubMed]
- Tang, V.; Lu, R.; Mirchia, K.; Van Ziffle, J.; Devine, P.; Lee, J.; Phillips, J.J.; Perry, A.; Raleigh, D.R.; Lucas, C.-H.G.; et al. Loss of p16 expression is a sensitive marker of CDKN2A homozygous deletion in malignant meningiomas. Acta Neuropathol. 2023, 145, 497–500. [Google Scholar] [CrossRef] [PubMed]
- Satomi, K.; Ohno, M.; Matsushita, Y.; Takahashi, M.; Miyakita, Y.; Narita, Y.; Ichimura, K.; Yoshida, A. Utility of methylthioadenosine phosphorylase immunohistochemical deficiency as a surrogate for CDKN2A homozygous deletion in the assessment of adult-type infiltrating astrocytoma. Mod. Pathol. 2021, 34, 688–700. [Google Scholar] [CrossRef]
- Lou, L.; Li, J.; Qin, M.; Tian, X.; Guo, W.; Li, Y. Correlation of MTAP immunohistochemical deficiency with CDKN2A homozygous deletion and clinicopathological features in pleomorphic xanthoastrocytoma. Brain Tumor Pathol. 2023, 40, 15–25. [Google Scholar] [CrossRef]
- Hida, T.; Hamasaki, M.; Matsumoto, S.; Sato, A.; Tsujimura, T.; Kawahara, K.; Iwasaki, A.; Okamoto, T.; Oda, Y.; Honda, H.; et al. Immunohistochemical detection of MTAP and BAP1 protein loss for mesothelioma diagnosis: Comparison with 9p21 FISH and BAP1 IHC. Lung Cancer 2017, 104, 98–105. [Google Scholar] [CrossRef]
- Beasley, M.B.; Galateau-Salle, F.; Dacic, S. Pleural mesothelioma classification update. Virchows Archiv. 2021, 478, 59–72. [Google Scholar] [CrossRef]
- Chapel, D.B.; Schulte, J.J.; Berg, K.; Churg, A.; Dacic, S.; Fitzpatrick, C.; Galateau-Salle, F.; Hiroshima, K.; Krausz, T.; Le Stang, N.; et al. MTAP IHC is an accurate and reproducible surrogate for CDKN2A fluorescence in situ hybridization in diagnosis of malignant pleural mesothelioma. Mod. Pathol. 2020, 33, 245–254. [Google Scholar] [CrossRef]
- Savola, S.; Nardi, F.; Scotlandi, K.; Picci, P.; Knuutila, S. Microdeletions in 9p21. 3 induce false negative results in CDKN2A FISH analysis of Ewing sarcoma. Cytogenet. Genome Res. 2007, 119, 21–26. [Google Scholar] [CrossRef]
- Ammendola, S.; Caldonazzi, N.; Simbolo, M.; Piredda, M.L.; Brunelli, M.; Poliani, P.L.; Pinna, G.; Sala, F.; Ghimenton, C.; Scarpa, A.; et al. H3K27me3 immunostaining is diagnostic and prognostic in diffuse gliomas with oligodendroglial or mixed oligoastrocytic morphology. Virchows Arch. 2021, 479, 987–996. [Google Scholar] [CrossRef]
- De Angelis, C.; Choi, S.; Talarico, R.; Goyal, M. Diagnosing and grading of brain tumors: Immunohistochemistry. In Methods of Cancer Diagnosis, Therapy and Prognosis, 1st ed.; Möller, M.B., Ed.; Springer: Berlin/Heidelberg, Germany, 2010; pp. 37–50. [Google Scholar] [CrossRef]
- Geyer, L.; Wolf, T.; Chenard, M.-P.; Cebula, H.; Schott, R.; Noel, G.; Guerin, E.; Pencreach, E.; Reita, D.; Entz-Werlé, N.; et al. p16 Immunohistochemical Expression as a Surrogate Assessment of CDKN2A Alteration in Gliomas Leading to Prognostic Significances. Cancers 2023, 15, 1512. [Google Scholar] [CrossRef]







| Total (n = 50) | MTAP Pos (n = 41) | MTAP Focal Pos (n = 1) | MTAP Neg (n = 1) | |
|---|---|---|---|---|
| Age at diagnosis (y) | 53 ± 14 | 53 ± 13 | 80 | 51 |
| Female | 32 (64%) | 26 (63%) | 1(100%) | 1(100%) |
| WHO grade | ||||
| Grade 1 | 26 | 22 (54%) | 0 | 0 |
| Grade 2 | 16 | 13 (32%) | 1(100%) | 0 |
| Grade 3 | 8 | 6 (15%) | 0 | 1 (100%) |
| Mean mitotic count (H&E) | 5.5 | 4.5 | 5 | 20 |
| Mean mitotic count (PHH3) | 7.5 | 7.2 | 6 | 36 |
| Ki67 average (%) | 9.8 | 9.3 | 6.5 | 31 |
| Ki67 maximum (%, mean) | 11.3 | 11.2 | 8.5 | - |
| CDKN2A HD | 1 | 41 (100%) | 1 (100%) | 1(100%) |
| Patient ID | Histologic Grade | MTAP (1:400) (Inst 1) | MTAP (1:200) (Inst 1) | MTAP (1:100) (Inst 1) | MTAP (1:1200) (Inst 2) | P16 (Inst 1) | P16 (Inst 2) | CDKN2A FISH |
|---|---|---|---|---|---|---|---|---|
| 1 | 1 | pos | pos | pos | faint pos | pos | pos | retained |
| 2 | 1 | neg | pos | pos | faint pos | pos | pos | retained |
| 3 | 1 | neg | pos | pos | faint pos | faint pos | neg | retained |
| 4 | 1 | neg | pos | pos | faint pos | faint pos | neg | retained |
| 5 | 1 | neg | pos | pos | faint pos | neg | neg | retained |
| 6 | 1 | pos | pos | pos | faint pos | pos | faint pos | retained |
| 7 | 1 | neg | pos | pos | faint pos | pos | pos | N/A |
| 8 | 1 | pos | pos | pos | faint pos | pos | pos | retained |
| 9 | 1 | pos | pos | pos | faint pos | pos | neg | retained |
| 10 | 1 | pos | pos | pos | faint pos | pos | pos | retained |
| 11 | 1 | pos | pos | pos | faint pos | pos | pos | retained |
| 12 | 1 | pos | pos | pos | faint pos | pos | pos | retained |
| 13 | 1 | N/A | N/A | pos | faint pos- | N/A | N/A | N/A |
| 14 | 1 | neg | pos | pos | faint pos | pos | pos | retained |
| 15 | 1 | neg | pos | pos | N/A | neg | neg | N/A |
| 16 | 1 | pos | pos | pos | faint pos | pos | faint pos | retained |
| 17 | 1 | pos | pos | pos | faint pos | faint pos | neg | retained |
| 18 | 1 | neg | pos | pos | faint pos | faint pos | neg | retained |
| 19 | 1 | neg | focal pos | pos | faint pos | faint pos | faint pos | retained |
| 20 | 1 | pos | pos | pos | faint pos | pos | pos | retained |
| 21 | 1 | pos | pos | pos | faint pos | faint pos | pos | retained |
| 22 | 1 | pos | pos | pos | faint pos | faint pos | faint pos | retained |
| 23 | 1 | neg | pos | pos | faint pos- | pos | pos | N/A |
| 24 | 1 | pos | pos | pos | faint pos | pos | pos | retained |
| 25 | 1 | pos | pos | pos | faint pos | pos | pos | retained |
| 26 | 1 | pos | pos | pos | pos | faint pos | faint pos | retained |
| 27 | 2 | pos | pos | pos | pos | neg | neg | retained |
| 28 | 2 | pos | pos | pos | pos | faint pos | pos | retained |
| 29 | 2 | N/A | N/A | pos | neg- | pos | pos | N/A |
| 30 | 2 | neg | focal pos | focal pos | neg | focal pos | focal pos | focal loss |
| 31 | 2 | pos | pos | pos | pos | faint pos | neg | retained |
| 32 | 2 | pos | pos | pos | faint pos | pos | pos | retained |
| 33 | 2 | pos | pos | pos | pos | faint pos | faint pos | retained |
| 34 | 2 | pos | pos | pos | pos | faint pos | neg | retained |
| 35 | 2 | N/A | N/A | pos | pos- | N/A | N/A | N/A |
| 36 | 2 | pos | pos | pos | pos | pos | faint pos | retained |
| 37 | 2 | pos | pos | pos | faint pos | pos | pos | retained |
| 38 | 2 | pos | pos | pos | pos | pos | pos | retained |
| 39 | 2 | neg | pos | pos | neg | faint pos | faint pos | retained |
| 40 | 2 | pos | pos | pos | pos | pos | pos | retained |
| 41 | 2 | pos | pos | pos | pos | faint pos | pos | retained |
| 42 | 2 | pos | pos | pos | pos | faint pos | faint pos | retained |
| 43 | 3 | pos | pos | pos | pos | pos | pos | retained |
| 44 | 3 | pos | pos | pos | neg | faint pos | faint pos | retained |
| 45 | 3 | pos | pos | pos | pos | pos | pos | retained |
| 46 | 3 | pos | pos | pos | pos | faint pos | neg | retained |
| 47 | 3 | neg | neg | neg | neg | faint pos | neg | loss |
| 48 | 3 | neg | pos | pos | pos | pos | pos | retained |
| 49 | 3 | pos | pos | pos | pos | pos | pos | retained |
| 50 | 3 | N/A | N/A | N/A | pos | N/A | N/A | N/A |
Disclaimer/Publisher’s Note: The statements, opinions and data contained in all publications are solely those of the individual author(s) and contributor(s) and not of MDPI and/or the editor(s). MDPI and/or the editor(s) disclaim responsibility for any injury to people or property resulting from any ideas, methods, instructions or products referred to in the content. |
© 2024 by the authors. Licensee MDPI, Basel, Switzerland. This article is an open access article distributed under the terms and conditions of the Creative Commons Attribution (CC BY) license (https://creativecommons.org/licenses/by/4.0/).
Share and Cite
Ozkizilkaya, H.I.; Vinocha, A.; Dono, A.; Ogunbona, O.B.; Toruner, G.A.; Aung, P.P.; Kamiya Matsuoka, C.; Esquenazi, Y.; DeMonte, F.; Ballester, L.Y. MTAP and p16 IHC as Markers for CDKN2A/B Loss in Meningiomas. Cancers 2024, 16, 3299. https://doi.org/10.3390/cancers16193299
Ozkizilkaya HI, Vinocha A, Dono A, Ogunbona OB, Toruner GA, Aung PP, Kamiya Matsuoka C, Esquenazi Y, DeMonte F, Ballester LY. MTAP and p16 IHC as Markers for CDKN2A/B Loss in Meningiomas. Cancers. 2024; 16(19):3299. https://doi.org/10.3390/cancers16193299
Chicago/Turabian StyleOzkizilkaya, Hanim I., Anjali Vinocha, Antonio Dono, Oluwaseun Basit Ogunbona, Gokce A. Toruner, Phyu P. Aung, Carlos Kamiya Matsuoka, Yoshua Esquenazi, Franco DeMonte, and Leomar Y. Ballester. 2024. "MTAP and p16 IHC as Markers for CDKN2A/B Loss in Meningiomas" Cancers 16, no. 19: 3299. https://doi.org/10.3390/cancers16193299
APA StyleOzkizilkaya, H. I., Vinocha, A., Dono, A., Ogunbona, O. B., Toruner, G. A., Aung, P. P., Kamiya Matsuoka, C., Esquenazi, Y., DeMonte, F., & Ballester, L. Y. (2024). MTAP and p16 IHC as Markers for CDKN2A/B Loss in Meningiomas. Cancers, 16(19), 3299. https://doi.org/10.3390/cancers16193299

