Inflammatory Pseudotumor of the Liver or Intrahepatic Cholangiocarcinoma, That’s the Question: A Review of the Literature
Abstract
Simple Summary
Abstract
1. Introduction
2. Materials and Methods
2.1. Patients
2.2. Literature Review
3. Results
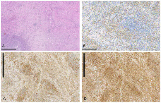
3.1. Cases Presentation
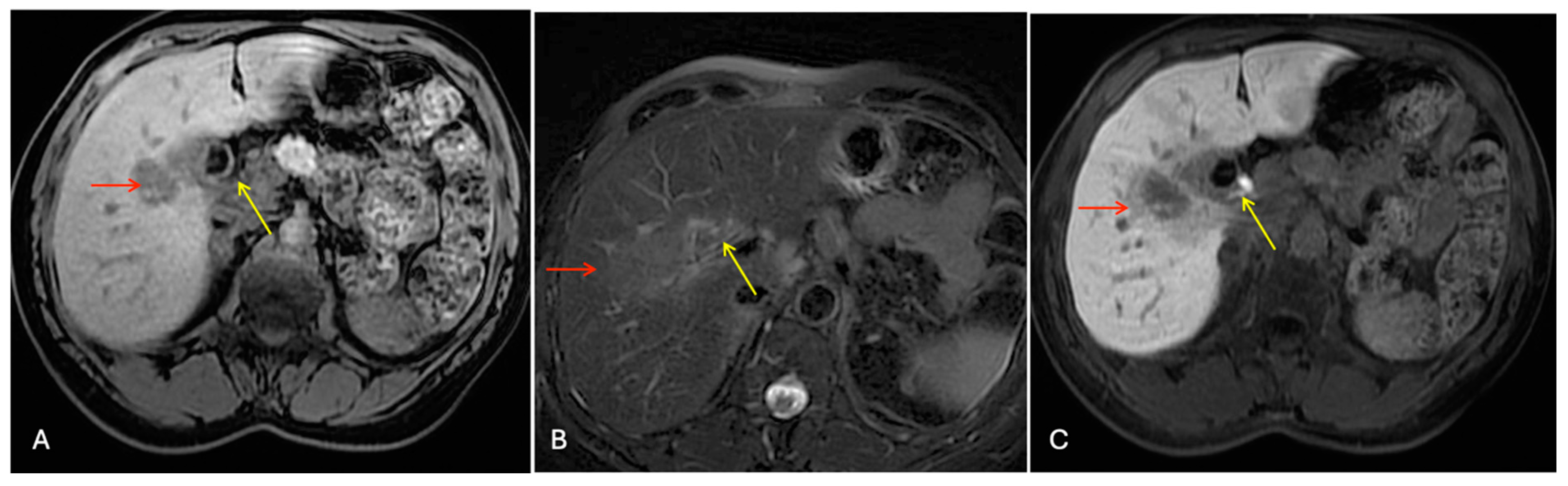
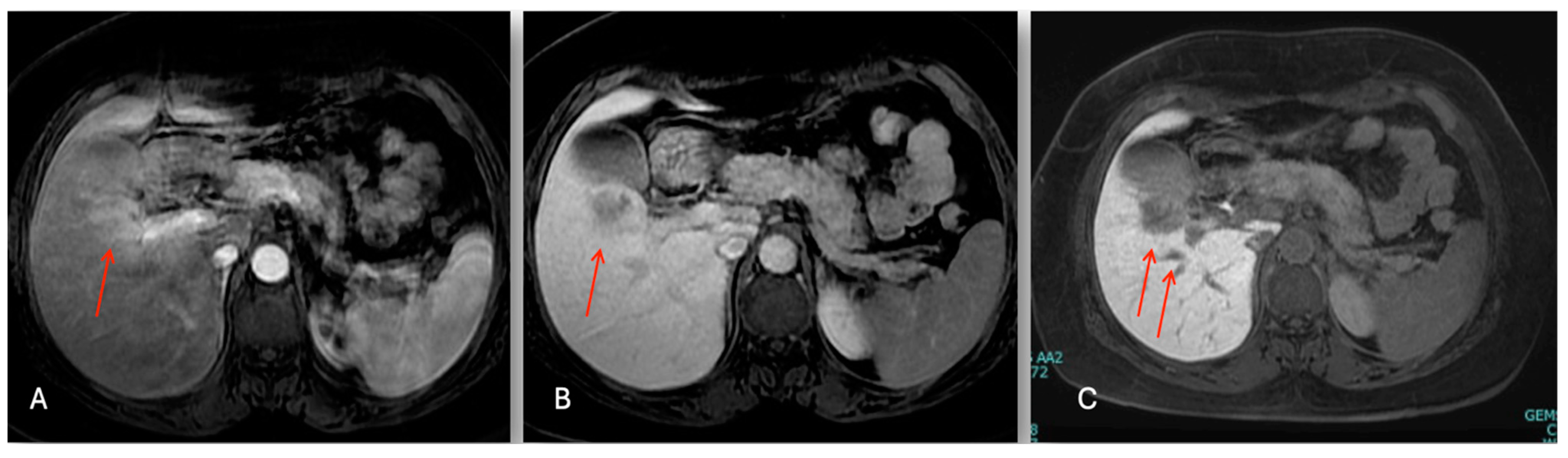
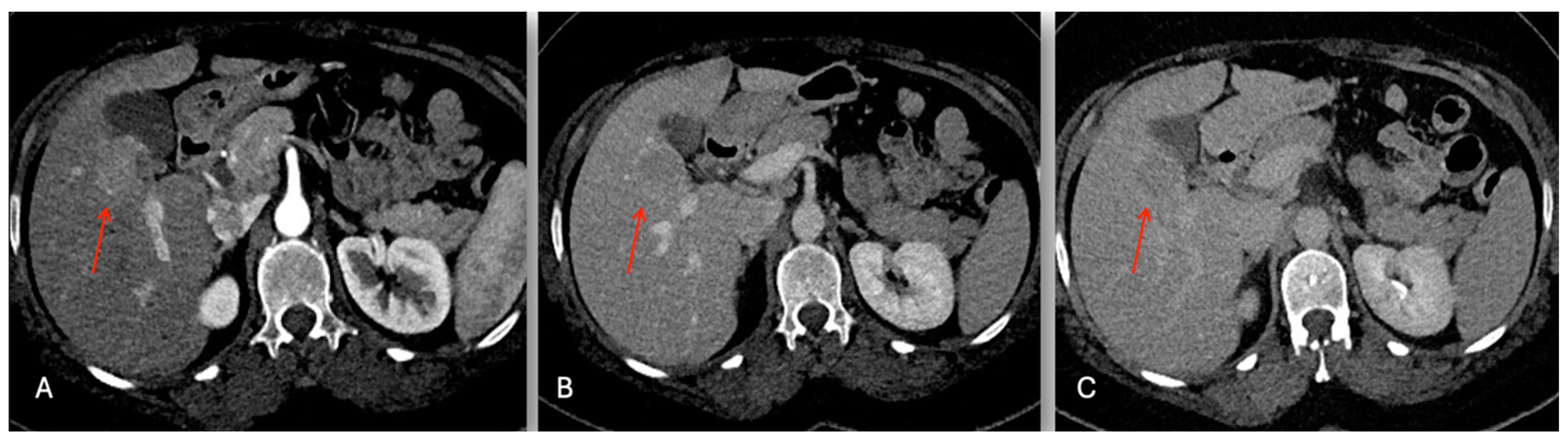
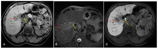
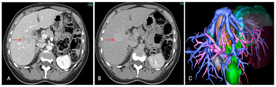
3.2. Imaging
3.2.1. Case 1
3.2.2. Case 2
3.3. Treatment
3.3.1. Case 1
3.3.2. Case 2
3.4. Literature Review
3.4.1. Patient’s Characteristics
3.4.2. Diagnosis
3.4.3. Treatment and Clinical Course
4. Discussion
5. Conclusions
Author Contributions
Funding
Data Availability Statement
Conflicts of Interest
References
- Pack, G.T.; Baker, H.W. Total right hepatic lobectomy: Report of a case. Ann. Surg. 1953, 138, 253–258. [Google Scholar] [CrossRef] [PubMed]
- Kitajima, K.; Shiba, H.; Nojiri, T.; Uwagawa, T.; Ishida, Y.; Ochiba, N.; Yanaga, K. Intrahepatic Cholangiocarcinoma mimicking hepatic inflammatory pseudotumor. J. Gastrointest. Surg. 2007, 11, 377–381. [Google Scholar] [CrossRef] [PubMed]
- Puri, Y.; Lytras, D.; Luong, T.V.; Fusai, G.K. Rare presentation of self-resolving multifocal inflammatory pseudotumour of liver World J Clin Cases. World J. Clin. Cases 2014, 2, 5–8. [Google Scholar] [CrossRef]
- Tang, L.; Lai, E.C.; Cong, W.M.; Li, A.J.; Fu, S.Y.; Pan, Z.Y.; Zhou, W.P.; Lau, W.Y.; Wu, M.C. Inflammatory myofibroblastic tumor of the liver: A cohort study. World J. Surg. 2010, 34, 309–313. [Google Scholar] [CrossRef] [PubMed]
- Umiker, W.O.; Iverson, L. Postinflammatory tumors of the lung: Report of four cases simulating xanthoma, fibroma, or plasma cell tumor. J. Thorac. Surg. 1954, 28, 55–63. [Google Scholar] [CrossRef]
- Ahn, K.S.; Kang, K.J.; Kim, J.H.; Lim, T.J.; Jung, H.R.; Kang, Y.N.; Kwon, J.H. Inflammatory pseudotumors mimicking intrahepatic cholangiocarcinoma of the liver; IgG4-positivity and its clinical significance. J. Hepatobiliary Pancreat. Sci. 2012, 19, 405–412. [Google Scholar] [CrossRef]
- Kim, S.R.; Kim, S.K.; Koma, Y.I.; Sasaki, M.; Asai, A.; Nishikawa, H. Hepatic Inflammatory Pseudotumor-Focusing on Its Heterogeneity. Diagnostics 2023, 13, 2857. [Google Scholar] [CrossRef]
- Umehara, H.; Okazaki, K.; Kawa, S.; Takahashi, H.; Goto, H.; Matsui, S.; Ishizaka, N.; Akamizu, T.; Sato, Y.; Kawano, M. Research Program for Intractable Disease by the Ministry of Health, Labor and Welfare (MHLW) Japan. The 2020 revised comprehensive diagnostic (RCD) criteria for IgG4-RD. Mod. Rheumatol. 2021, 31, 529–533. [Google Scholar] [CrossRef]
- Zhang, Y.; Lu, H.; Ji, H.; Li, Y. Inflammatory pseudotumor of the liver: A case report and literature review. Intractable Rare Dis. Res. 2015, 4, 155–158. [Google Scholar] [CrossRef]
- Page, M.J.; McKenzie, J.E.; Bossuyt, P.M.; Boutron, I.; Hoffmann, T.C.; Mulrow, C.D.; Shamseer, L.; Tetzlaff, J.M.; Akl, E.A.; Brennan, S.E.; et al. The PRISMA 2020 statement: An update guideline for reporting systematic reviews. BMJ 2021, 372, n71. [Google Scholar] [CrossRef]
- Oh, K.; Hwang, S.; Ahn, C.S.; Kim, K.H.; Moon, D.B.; Ha, T.Y.; Song, G.W.; Jung, D.H.; Hong, S.M. Clinicopathological features and post-resection outcomes of inflammatory pseudotumor of the liver. Ann. Hepatobiliary Pancreat. Surg. 2021, 25, 34–38. [Google Scholar] [CrossRef]
- Nigam, N.; Rajani, S.S.; Rastogi, A.; Patil, A.; Agrawal, N.; Sureka, B.; Arora, A.; Bihari, C. Inflammatory pseudotumors of the liver: Importance of a multimodal approach with the insistance of needle biopsy. J. Lab. Physicians 2019, 11, 361–368. [Google Scholar] [CrossRef]
- Patel, H.; Nanavati, S.; Ha, J.; Shah, A.; Baddoura, W. Spontaneous resolution of IgG4-related hepatic inflammatory pseudotumor mimicking malignancy. Case Rep. Gastroenterol. 2018, 12, 311–316. [Google Scholar] [CrossRef] [PubMed]
- Miyajima, S.; Okano, A.; Ohana, M. Immunoglobulin G4-related hepatic inflammatory pseudotumor invading the abdominal wall. Clin. J. Gastroenterol. 2017, 10, 57–62. [Google Scholar] [CrossRef]
- Al-Hussaini, H.; Azouz, H.; Abu-Zaid, A. Hepatic inflammatory pseudotumor presenting in an 8-year-old boy: A case report and review of literature. World J. Gastroenterol. 2015, 21, 8730–8738. [Google Scholar] [CrossRef] [PubMed]
- Horiguchi, S.; Ikeda, F.; Shiraha, H.; Yamamoto, N.; Sakakihara, I.; Noma, Y.; Tsutsumi, K.; Kato, H.; Hagihara, H.; Yasunaka, T.; et al. Diagnostic usefulness of precise examinations with intraductal ultrasonography, peroral cholangioscopy and laparoscopy of immunoglobulin G4-related sclerosing cholangitis. Dig. Endosc. 2012, 24, 370–373. [Google Scholar] [CrossRef]
- Ntinas, A.; Kardassis, D.; Miliaras, D.; Tsinoglou, K.; Dimitriades, A.; Vrochides, D. Inflammatory pseudotumor of the liver: A case report and review of the literature. J. Med. Case Rep. 2011, 5, 196. [Google Scholar] [CrossRef]
- Manolaki, N.; Vaos, G.; Zavras, N.; Sbokou, D.; Michael, C.; Syriopoulou, V. Inflammatory myofibroblastic tumor of the liver due to Mycobacterium tuberculosis in an immunocompetent girl. Pediatr. Surg. Int. 2009, 25, 451–454. [Google Scholar] [CrossRef] [PubMed]
- Tsou, Y.K.; Lin, C.J.; Liu, N.J.; Lin, C.C.; Lin, C.H.; Lin, S.M. Inflammatory pseudotumor of the liver: Report of eight cases, including three unusual cases, and a literature review. J. Gastroenterol. Hepatol. 2007, 22, 2143–2147. [Google Scholar] [CrossRef]
- Yamaguchi, J.; Sakamoto, Y.; Sano, T.; Shimada, K.; Kosuge, T. Spontaneous regression of inflammatory pseudotumor of the liver: Report of three cases. Surg. Today 2007, 37, 525–529. [Google Scholar] [CrossRef]
- Koea, J.B.; Broadhurst, G.W.; Rodgers, M.S.; McCall, J.L. Inflammatory pseudotumor of the liver: Demographics, diagnosis, and the case for nonoperative management. J. Am. Coll. Surg. 2003, 196, 226–235. [Google Scholar] [CrossRef] [PubMed]
- Sakai, M.; Ikeda, H.; Suzuki, N.; Takahashi, A.; Kuroiwa, M.; Hirato, J.; Hatakeyama Si Tsuchida, Y. Inflammatory pseudotumor of the liver: Case report and review of the literature. J. Pediatr. Surg. 2001, 36, 663–666. [Google Scholar] [CrossRef]
- Hsiao, C.C.; Long Chen, C.; Eng, H.L. Inflammatory pseudotumor of the liver in Kostmann’s disease. Pediatr. Surg. Int. 1999, 15, 266–269. [Google Scholar] [CrossRef]
- Passalides, A.; Keramidas, D.; Mavrides, G. Inflammatory pseudotumor of the liver in children. A case report and review of the literature. Eur. J. Pediatr. Surg. 1996, 6, 35–37. [Google Scholar] [CrossRef] [PubMed]
- Loke, K.L.; Chan, C.S.; Wijesinha, S.S. Case report: Inflammatory pseudotumour of liver—Review of clinical and radiological features. Clin. Radiol. 1994, 49, 575–577. [Google Scholar] [CrossRef] [PubMed]
- Broughan, T.A.; Fischer, W.L.; Tuthill, R.J. Vascular invasion by hepatic inflammatory pseudotumor. A clinicopathologic study. Cancer 1993, 71, 2934–2940. [Google Scholar] [CrossRef] [PubMed]
- Shek, T.W.; Ng, I.O.; Chan, K.W. Inflammatory pseudotumor of the liver. Report of four cases and review of the literature. Am. J. Surg. Pathol. 1993, 17, 231–238. [Google Scholar] [CrossRef]
- Hata, Y.; Sasaki, F.; Matuoka, S.; Hamada, H.; Taguchi, K.; Hasumi, T.; Manabe, K.; Uchino, J.; Nojima, T.; Hujioka, Y.; et al. Inflammatory pseudotumor of the liver in children: Report of cases and review of the literature. J. Pediatr. Surg. 1992, 27, 1549–1552. [Google Scholar] [CrossRef]
- Newbould, M.J.; Kelsey, A.; Lendon, M.; Gururangan, S. Inflammatory pseudotumor of the liver masquerading as a metastasis in a child treated for nephroblastoma. Med. Pediatr. Oncol. 1992, 20, 172–175. [Google Scholar] [CrossRef]
- Andreola, S.; Cattoretti, G.; Lombardi, L.; Audisio, R.A.; Regalia, E.; Bosch, J.P.; Mazzaferro, V.; Doci, R. Inflammatory pseudotumor of the liver: Report of two cases. Tumori 1990, 76, 517–523. [Google Scholar] [CrossRef]
- Horiuchi, R.; Uchida, T.; Kojima, T.; Shikata, T. Inflammatory pseudotumor of the liver: Clinicopathologic study and review of literature. Cancer 1990, 65, 1583–1590. [Google Scholar] [CrossRef] [PubMed]
- Standiford, S.B.; Sobel, H.; Dasmahapatra, K.S. Inflammatory pseudotumor of the liver. J. Surg. Oncol. 1989, 40, 283–287. [Google Scholar] [CrossRef] [PubMed]
- Levitt, M.D.; Rode, J.; Russell, R.C. Inflammatory pseudotumour of the liver. Aust. N. Z. J. Surg. 1988, 58, 743–745. [Google Scholar] [CrossRef]
- Kessler, E.; Turani, H.; Kayser, S.; Bar-Ziv, J.; Chaimoff, C. Inflammatory pseudotumor of the liver. Liver 1988, 8, 17–23. [Google Scholar] [CrossRef] [PubMed]
- Collina, G.; Baruzzi, G.; Eusebi, V. Inflammatory pseudotumor of the liver: Report of two cases. Tumori 1987, 73, 407–412. [Google Scholar] [CrossRef] [PubMed]
- Anthony, P.P.; Telesinghe, P.U. Inflammatory pseudotumour of the liver. J. Clin. Pathol. 1986, 39, 761–768. [Google Scholar] [CrossRef]
- Chen, K.T. Inflammatory pseudotumor of the liver. Hum. Pathol. 1984, 15, 694–696. [Google Scholar] [CrossRef]
- Someren, A. “Inflammatory pseudotumor” of liver with occlusive phlebitis: Report of a case in a child and review of the literature. Am. J. Clin. Pathol. 1978, 69, 176–181. [Google Scholar] [CrossRef]
- Maruno, M.; Imai, K.; Nakao, Y.; Kitano, Y.; Kaida, T.; Mima, K.; Hayashi, H.; Yamashita, Y.I.; Mikami, Y.; Baba, H. Multiple hepatic inflammatory pseudotumors with elevated alpha-fetoprotein and alpha-fetoprotein lectin 3 fraction with various PET accumulations: A case report. Surg. Case Rep. 2021, 7, 107. [Google Scholar] [CrossRef]
- Ishida, H.; Tatsuta, M.; Furukawa, H.; Ohta, H.; Hashimoto, K.; Hayashi, N.; Morimoto, O.; Ikeda, M.; Miya, A.; Masutani, S.; et al. Multiple infammatory pseudotumors mimicking liver metastasis from colon cancer: Report of a case. Surg. Today 2000, 30, 530–533. [Google Scholar] [CrossRef]
- Iguchi, H.; Yamazaki, H.; Tsunoda, H.; Takahashi, Y.; Yokomori, H. A case of infammatory pseudotumor of the liver mimicking hepatocellular carcinoma on EOB-MRI and PET. Case Rep. Med. 2013, 2013, 594254. [Google Scholar] [CrossRef] [PubMed]
- Chang, S.D.; Scali, E.P.; Abrahams, Z.; Tha, S.; Yoshida, E.M. Inflammatory pseudotumor of the liver: A rare case of recurrence following surgical resection. J. Radiol. Case Rep. 2014, 8, 23–30. [Google Scholar] [PubMed]
- Yan, F.H.; Zhou, K.R.; Jiang, Y.P.; Shi, W.B. Inflammatory pseudotumor of the liver: 13 cases of MRI findings. World J. Gastroenterol. 2001, 7, 422–424. [Google Scholar] [CrossRef]
- Pantiora, E.V.; Sakellaridis, E.P.; Kontis, E.A.; Fragulidis, G.P. Inflammatory Pseudotumor of the Liver Presented in a Patient with Cholelithiasis. Cureus 2018, 10, e3231. [Google Scholar] [CrossRef] [PubMed]








| No. | Authors | Year | Patients | Sex | Age (Years) | Clinical Features | Underline Disease | Size (mm) | Location | Solitary or Multiple | Biopsy | Treatment | Outcome | Follow-Up (Months) |
|---|---|---|---|---|---|---|---|---|---|---|---|---|---|---|
| 1 | Present cases | 2024 | 2 | F (2) | 57–59 (58) | AP (2) | CH (1) | 35–36 (35.5) | R (2) | Solitary (2) | Yes (2) | Corticosteroids (1) | Disappeared (1) | 18–20 (19) |
| 2 | Oh et al. [11] | 2021 | 7 | F (2) | 46–83 (60.5) | AP (2), NS (5) | 7–55 (23) | L (3) | Solitary (6) | Yes (2) | Surgical (1) Surgical (7) | Size reduced (1) Disappeared (7) | 26–123 (89) | |
| M (5) | R (4) | Multiple (1) | No (5) | |||||||||||
| 3 | Nigam et al. [12] | 2019 | 17 | F (6) | 2–62 (45) | FE (11), AP (7), WE (4), WL (5), | CH (4) | 24–115 (56.5) | L (6) | Solitary (14) | No (17) | Antibiotics (9) | Disappeared (15) | 2–40 (23) |
| M (11) | VO (4), JA (4), NS (1) | R (11) | Multiple (3) | Antibiotics + Antinfiammatory (2) | Expire (2) | |||||||||
| Surgical (6) | ||||||||||||||
| 4 | Patel et al. [13] | 2018 | 1 | M | 48 | AP, VO | 96 | R | Solitary | Yes | Observation | Disappeared | 12 | |
| 5 | Miyajima et al. [14] | 2017 | 1 | F | 50 | AP, VO | 60 | L | Solitary | Yes | Corticosteroids | Size reduced | 40 | |
| 6 | Al-Hussaini et al. [15] | 2015 | 1 | M | 8 | FE, WL | 80 | R | Solitary | Yes | Surgical | Disappeared | 4 | |
| 7 | Horiguchi et al. [16] | 2012 | 1 | M | 76 | NS | 15 | L | Multiple | Yes | Corticosteroids | Disappeared | 4 | |
| 8 | Ntinas et al. [17] | 2011 | 1 | M | 55 | AP, WL | 40 | R | Solitary | No | Surgical | Disappeared | 12 | |
| 9 | Manolaki et al. [18] | 2009 | 1 | F | 9 | FE, AP, WL | 35 | L | Solitary | Yes | Surgical | Disappeared | 36 | |
| 10 | Tsou et al. [19] | 2007 | 8 | F (4) | 28–78 (61.5) | FE (3), AP (5), WE (1), WL (3), JA | CH (2), | 25–150 (73.5) | L (5) | Solitary (6) | Yes (5) | Observation (1) | Disappeared (4) | 1–48 (14) |
| M (4) | (2), NS (2) | GC (1) | R (2) | Multiple (2) | No (3) | Antibiotics (2) | Size reduced (3) | |||||||
| Both (1) | Paracetamol (1) | Expire (1) | ||||||||||||
| Antibiotics—failed → Surgical (1) | ||||||||||||||
| Surgical (3) | ||||||||||||||
| 11 | Yamaguchi et al. [20] | 2007 | 2 | F (1) | 51–57 (54) | FE (1), AP (1), WL (1), NS (1) | 44–51 (47.5) | L (1) | Solitary (1) | No (2) | Observation (2) | Disappeared (2) | 2–12 (7) | |
| M (1) | R (1) | Multiple (1) | ||||||||||||
| 12 | Koea et al. [21] | 2003 | 2 | M (2) | 23–58 (40.5) | FE (1), AP (1), WL (1), NS (1) | 10–60 (35) | R (2) | Solitary (2) | Yes (2) | Observation (2) | Disappeared (1) | 3–24 (13.5) | |
| Expire (1) | ||||||||||||||
| 13 | Sakai et al. [22] | 2001 | 1 | F | 2 | FE | 55 | R | Solitary | Yes | Surgical | Disappeared | 18 | |
| 14 | Hsaio et al. [23] | 1999 | 1 | F | 2 | FE, AP | 55 | L | Solitary | Yes | Surgical | Disappeared | 8 | |
| 15 | Passalides et al. [24] | 1996 | 1 | F | 14 | FE, AP, WE | 90 | R | Solitary | No | Surgical | Disappeared | 24 | |
| 16 | Loke et al. [22] | 1994 | 1 | F | 2 | FE, AP | 55 | L | Solitary | No | Surgical | Disappeared | 3 | |
| 17 | Broughan et al. [22] | 1993 | 1 | M | 13 | FE, WE | 100 | R | Solitary | No | Surgical | Disappeared | 36 | |
| 18 | Shek et al. [25] | 1993 | 2 | F (2) | 31–35 (33) | FE (1), AP (2), WL (2) | 150–200 (175) | R (2) | Solitary (2) | No (2) | Surgical (2) | Disappeared (2) | 6–8 (7) | |
| 19 | Hata et al. [22] | 1992 | 2 | F (1) | 6–7 (6.5) | FE (2), AP (2), VO (2) | 40–90 (65) | L (1) | Solitary (2) | No (2) | Surgical (2) | Disappeared (2) | 72–192 (132) | |
| M (1) | R (1) | |||||||||||||
| 20 | Newbould et al. [25] | 1992 | 1 | M | 3 | NS | 20 | L | Solitary | No | Surgical | Disappeared | 14 | |
| 21 | Andreola et al. [25] | 1990 | 1 | F | 22 | AP | 130 | R (1) | Solitary | Yes | Surgical (1) | Disappeared | 40 | |
| 22 | Horiuchi et al. [26] | 1990 | 3 | M (3) | 37–63 (57) | FE (2), AP (3), JA (1) | CH (1) | 40–60 (50) | L (1) | Solitary (3) | No (3) | Observation (1) | Expire (3) | 2–18 (6) |
| R (2) | Antibiotics (1) | |||||||||||||
| Surgical (1) | ||||||||||||||
| 23 | Standiford et al. [25] | 1989 | 1 | M | 77 | FE, WE, WL | 70 | L | Solitary | Yes | Surgical | Disappeared | 18 | |
| 24 | Levitt et al. [25] | 1988 | 1 | F | 31 | WE, WL | 50 | R | Solitary | Yes | Surgical | Disappeared | 1 | |
| 25 | Kessler et al. [25] | 1988 | 1 | M | 17 | FE, AP | 80 | R | Solitary | No | Antibiotics—failed → Surgical | Disappeared | 6 | |
| 26 | Collina et al. [27] | 1987 | 2 | M (2) | 53–72 (62.5) | FE (2), WE (1) | 35–70 (52.5) | R (2) | Solitary (2) | No (2) | Surgical (2) | Disappeared (1) | 1–12 (6.5) | |
| Expire (1) | ||||||||||||||
| 27 | Anthony and Telesinghe | 1986 | 5 | F (1) | 10–61 (44) | FE (2), AP (3), VO (2), JA (2) | CH (2) | 20–90 (30) | R (2) | Solitary (2) | Yes (3) | Corticosteroids (1) | Disappeared (5) | 2–96 (48) |
| [28] | M (4) | Both (3) | Multiple (3) | No (2) | Antibiotics—failed → Surgical (1) | |||||||||
| Surgical (3) | ||||||||||||||
| 28 | Chen [28] | 1984 | 1 | M | 29 | FE, WL, VO | 60 | R | Solitary | Yes | Surgical | Disappeared | 8 | |
| 29 | Someren [28] | 1978 | 1 | M | 4 | FE, AP, WE, WL, VO | 80 | R | Solitary | Yes | Surgical | Disappeared | 6 | |
| 30 | Pack and Baker [1] | 1953 | 1 | M | 40 | FE, WE, WL | 25 | R | Solitary | Yes | Surgical | Disappeared | 1 |
| Symptoms | n (%) |
|---|---|
| Abdominal pain | 38 (53.5%) |
| Fever | 37 (52.1%) |
| Weight loss | 20 (28.1%) |
| Weakness | 12 (16.9%) |
| Vomiting | 12 (16.9%) |
| Jaundice | 9 (12.7%) |
| Treatment | ≤2000 n (%) | >2000 n (%) |
|---|---|---|
| Surgical | 23 (88.5%) | 22 (48.9%) |
| Conservative | 3 (11.5%) | 23 (51.1%) |
| Observation | 1 (3.8%) | 6 (13.3%) |
| Medical | 2 (7.7%) | 17 (37.7%) |
| Antibiotics | 1 (3.8%) | 11 (24.4%) |
| Antibioticand anti-inflammatory | - | 2 (4.4%) |
| Paracetamol | - | 1 (2.2%) |
| Corticosteroids | 1 (3.8%) | 3 (6.7%) |
| Total | 26 | 45 |
Disclaimer/Publisher’s Note: The statements, opinions and data contained in all publications are solely those of the individual author(s) and contributor(s) and not of MDPI and/or the editor(s). MDPI and/or the editor(s) disclaim responsibility for any injury to people or property resulting from any ideas, methods, instructions or products referred to in the content. |
© 2024 by the authors. Licensee MDPI, Basel, Switzerland. This article is an open access article distributed under the terms and conditions of the Creative Commons Attribution (CC BY) license (https://creativecommons.org/licenses/by/4.0/).
Share and Cite
Barabino, M.; Piccolo, G.; Tramacere, A.; Volponi, S.; Cigala, C.; Gianelli, U.; Codecà, C.; Patella, F.; Ghilardi, G.; Lecchi, F.; et al. Inflammatory Pseudotumor of the Liver or Intrahepatic Cholangiocarcinoma, That’s the Question: A Review of the Literature. Cancers 2024, 16, 2926. https://doi.org/10.3390/cancers16172926
Barabino M, Piccolo G, Tramacere A, Volponi S, Cigala C, Gianelli U, Codecà C, Patella F, Ghilardi G, Lecchi F, et al. Inflammatory Pseudotumor of the Liver or Intrahepatic Cholangiocarcinoma, That’s the Question: A Review of the Literature. Cancers. 2024; 16(17):2926. https://doi.org/10.3390/cancers16172926
Chicago/Turabian StyleBarabino, Matteo, Gaetano Piccolo, Andrea Tramacere, Stefano Volponi, Claudia Cigala, Umberto Gianelli, Carla Codecà, Francesca Patella, Giorgio Ghilardi, Francesca Lecchi, and et al. 2024. "Inflammatory Pseudotumor of the Liver or Intrahepatic Cholangiocarcinoma, That’s the Question: A Review of the Literature" Cancers 16, no. 17: 2926. https://doi.org/10.3390/cancers16172926
APA StyleBarabino, M., Piccolo, G., Tramacere, A., Volponi, S., Cigala, C., Gianelli, U., Codecà, C., Patella, F., Ghilardi, G., Lecchi, F., & Bianchi, P. P. (2024). Inflammatory Pseudotumor of the Liver or Intrahepatic Cholangiocarcinoma, That’s the Question: A Review of the Literature. Cancers, 16(17), 2926. https://doi.org/10.3390/cancers16172926

