Pushing the Limits of Surgical Resection in Colorectal Liver Metastasis: How Far Can We Go?
Abstract
Simple Summary
Abstract
1. Introduction
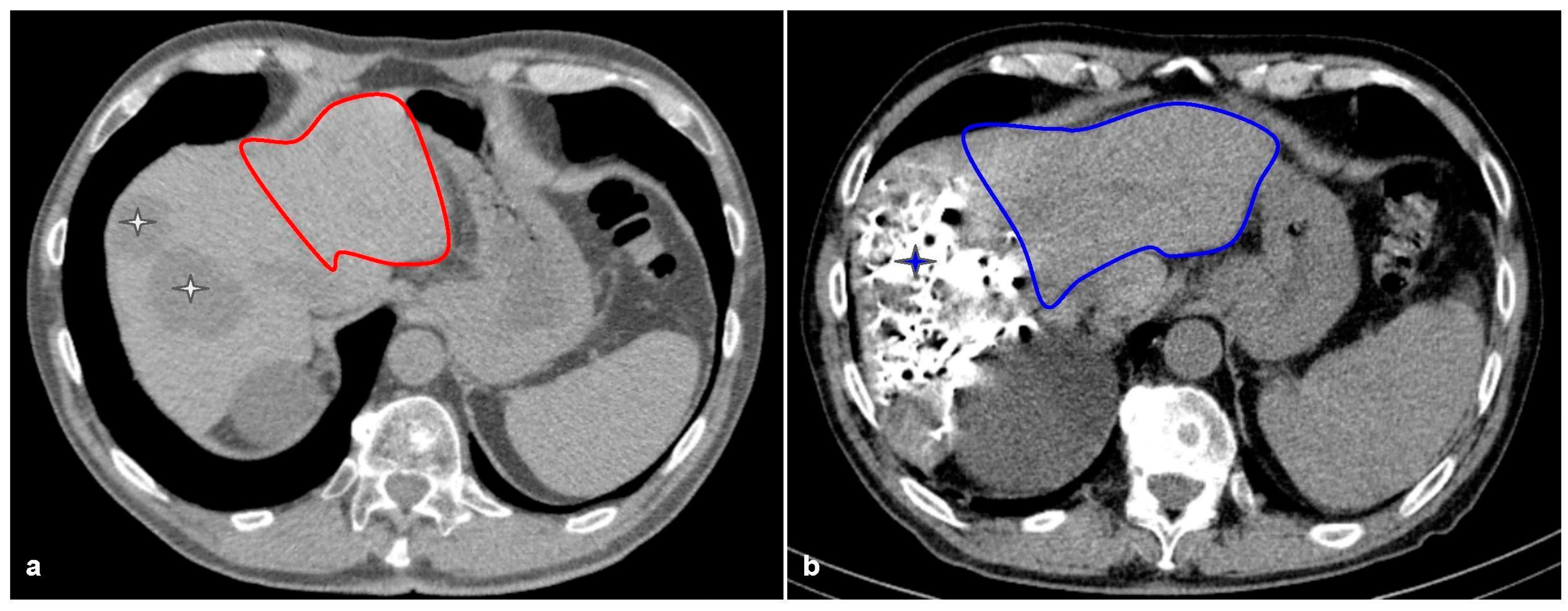
2. Calculating the Future Liver Remnant and Making It Grow: From Volumetrics to Portal Vein Embolization
3. Two-Staged Hepatectomy (TSH), Associating Liver Partition with Portal Vein Ligation for Staged Hepatectomy (ALPPS), and Mini-ALPPS: A Way around Extensive Bilobar CRLM
4. How Much Margin Do We Actually Need? Vascular R1 (R1vasc), PSS and IOUS
5. Synchronous CRLM: Two Birds with One Stone?
6. Minimally Invasive Liver Surgery (MILS) and Its Place in CRLM Surgery
7. Vascular Resections, Ex-Vivo and In-Situ Resections
8. Transplantation for CRLM: Can We Justify the Effort?
9. Conclusions
Author Contributions
Funding
Conflicts of Interest
References
- Cancer Today. Available online: http://gco.iarc.fr/today/home (accessed on 17 October 2022).
- de Jong, M.C.; Pulitano, C.; Ribero, D.; Strub, J.; Mentha, G.; Schulick, R.D.; Choti, M.A.; Aldrighetti, L.; Capussotti, L.; Pawlik, T.M. Rates and patterns of recurrence following curative intent surgery for colorectal liver metastasis: An international multi-institutional analysis of 1669 patients. Ann. Surg. 2009, 250, 440–448. [Google Scholar] [CrossRef]
- Prades, J.; Borras, J.M. Shifting sands: Adapting the multidisciplinary team model to technological and organizational innovations in cancer care. Future Oncol. 2014, 10, 1995–1998. [Google Scholar] [CrossRef]
- Abbas, S.; Lam, V.; Hollands, M. Ten-year survival after liver resection for colorectal metastases: Systematic review and meta-analysis. ISRN Oncol. 2011, 2011, 763245. [Google Scholar] [CrossRef]
- Choti, M.A.; Sitzmann, J.V.; Tiburi, M.F.; Sumetchotimetha, W.; Rangsin, R.; Schulick, R.D.; Lillemoe, K.D.; Yeo, C.J.; Cameron, J.L. Trends in long-term survival following liver resection for hepatic colorectal metastases. Ann. Surg. 2002, 235, 759–766. [Google Scholar] [CrossRef]
- Nordlinger, B.; Sorbye, H.; Glimelius, B.; Poston, G.J.; Schlag, P.M.; Rougier, P.; Bechstein, W.O.; Primrose, J.N.; Walpole, E.T.; Finch-Jones, M.; et al. Perioperative chemotherapy with FOLFOX4 and surgery versus surgery alone for resectable liver metastases from colorectal cancer (EORTC Intergroup trial 40983): A randomised controlled trial. Lancet 2008, 371, 1007–1016. [Google Scholar] [CrossRef]
- Primrose, J.; Falk, S.; Finch-Jones, M.; Valle, J.; O’Reilly, D.; Siriwardena, A.; Hornbuckle, J.; Peterson, M.; Rees, M.; Iveson, T.; et al. Systemic chemotherapy with or without cetuximab in patients with resectable colorectal liver metastasis: The New EPOC randomised controlled trial. Lancet Oncol. 2014, 15, 601–611. [Google Scholar] [CrossRef]
- Cervantes, A.; Adam, R.; Roselló, S.; Arnold, D.; Normanno, N.; Taïeb, J.; Seligmann, J.; De Baere, T.; Osterlund, P.; Yoshino, T.; et al. Metastatic colorectal cancer: ESMO Clinical Practice Guideline for diagnosis, treatment and follow-up. Ann. Oncol. 2023, 34, 10–32. [Google Scholar] [CrossRef]
- Fortner, J.G.; Silva, J.S.; Golbey, R.B.; Cox, E.B.; Maclean, B.J. Multivariate analysis of a personal series of 247 consecutive patients with liver metastases from colorectal cancer. I. Treatment by hepatic resection. Ann. Surg. 1984, 199, 306–316. [Google Scholar] [CrossRef]
- Foster, J.H.; Berman, M.M. Solid liver tumors. Major Probl. Clin. Surg. 1977, 22, 1–342. [Google Scholar]
- Adson, M.A.; van Heerden, J.A.; Adson, M.H.; Wagner, J.S.; Ilstrup, D.M. Resection of hepatic metastases from colorectal cancer. Arch. Surg. 1984, 119, 647–651. [Google Scholar] [CrossRef]
- Rous, P.; Larimore, L.D. The relation of the portal blood to liver maintenance. Exp. Biol. Med. 1920, 17, 65–66. [Google Scholar] [CrossRef]
- Belghiti, J.; Noun, R.; Malafosse, R.; Jagot, P.; Sauvanet, A.; Pierangeli, F.; Marty, J.; Farges, O. Continuous versus intermittent portal triad clamping for liver resection: A controlled study. Ann. Surg. 1999, 229, 369–375. [Google Scholar] [CrossRef] [PubMed]
- Azoulay, D.; Castaing, D.; Krissat, J.; Smail, A.; Hargreaves, G.M.; Lemoine, A.; Emile, J.F.; Bismuth, H. Percutaneous portal vein embolization increases the feasibility and safety of major liver resection for hepatocellular carcinoma in injured liver. Ann. Surg. 2000, 232, 665–672. [Google Scholar] [CrossRef]
- Shindoh, J.; Tzeng, C.-W.D.; Aloia, T.A.; Curley, S.A.; Zimmitti, G.; Wei, S.H.; Huang, S.Y.; Mahvash, A.; Gupta, S.; Wallace, M.J.; et al. Optimal future liver remnant in patients treated with extensive preoperative chemotherapy for colorectal liver metastases. Ann. Surg. Oncol. 2013, 20, 2493–2500. [Google Scholar] [CrossRef] [PubMed]
- Kubota, K.; Makuuchi, M.; Kusaka, K.; Kobayashi, T.; Miki, K.; Hasegawa, K.; Harihara, Y.; Takayam, T.A. Measurement of liver volume and hepatic functional reserve as a guide to decision-making in resectional surgery for hepatic tumors. Hepatology 1997, 26, 1176–1181. [Google Scholar] [PubMed]
- Vauthey, J.N.; Chaoui, A.; Do, K.A.; Bilimoria, M.M.; Fenstermacher, M.J.; Charnsangavej, C.; Hicks, M.; Alsfasser, G.; Lauwers, G.; Hawkins, I.F.; et al. Standardized measurement of the future liver remnant prior to extended liver resection: Methodology and clinical associations. Surgery 2000, 127, 512–519. [Google Scholar] [CrossRef] [PubMed]
- Erdogan, D.; Heijnen, B.H.M.; Bennink, R.J.; Kok, M.; Dinant, S.; Straatsburg, I.H.; Gouma, D.J.; Van Gulik, T.M. Preoperative assessment of liver function: A comparison of 99mTc-Mebrofenin scintigraphy with indocyanine green clearance test. Liver Int. 2004, 24, 117–123. [Google Scholar] [CrossRef]
- de Graaf, W.; van Lienden, K.P.; Dinant, S.; Roelofs, J.J.T.H.; Busch, O.R.C.; Gouma, D.J.; Bennink, R.J.; van Gulik, T.M. Assessment of future remnant liver function using hepatobiliary scintigraphy in patients undergoing major liver resection. J. Gastrointest. Surg. 2010, 14, 369–378. [Google Scholar] [CrossRef]
- de Graaf, W.; Bennink, R.J.; Veteläinen, R.; van Gulik, T.M. Nuclear imaging techniques for the assessment of hepatic function in liver surgery and transplantation. J. Nucl. Med. 2010, 51, 742–752. [Google Scholar] [CrossRef]
- de Graaf, W.; Veteläinen, R.L.; de Bruin, K.; van Vliet, A.K.; van Gulik, T.M.; Bennink, R.J. 99mTc-GSA scintigraphy with SPECT for assessment of hepatic function and functional volume during liver regeneration in a rat model of partial hepatectomy. J. Nucl. Med. 2008, 49, 122–128. [Google Scholar] [CrossRef]
- Takayasu, K.; Muramatsu, Y.; Shima, Y.; Moriyama, N.; Yamada, T.; Makuuchi, M. Hepatic lobar atrophy following obstruction of the ipsilateral portal vein from hilar cholangiocarcinoma. Radiology 1986, 160, 389–393. [Google Scholar] [CrossRef]
- Makuuchi, M.; Thai, B.L.; Takayasu, K.; Takayama, T.; Kosuge, T.; Gunvén, P.; Yamazaki, S.; Hasegawa, H.; Ozaki, H. Preoperative portal embolization to increase safety of major hepatectomy for hilar bile duct carcinoma: A preliminary report. Surgery 1990, 107, 521–527. [Google Scholar]
- Azoulay, D.; Castaing, D.; Smail, A.; Adam, R.; Cailliez, V.; Laurent, A.; Lemoine, A.; Bismuth, H. Resection of nonresectable liver metastases from colorectal cancer after percutaneous portal vein embolization. Ann. Surg. 2000, 231, 480–486. [Google Scholar] [CrossRef] [PubMed]
- van Lienden, K.P.; van den Esschert, J.W.; de Graaf, W.; Bipat, S.; Lameris, J.S.; van Gulik, T.M.; van Delden, O.M. Portal vein embolization before liver resection: A systematic review. Cardiovasc. Interv. Radiol. 2013, 36, 25–34. [Google Scholar] [CrossRef] [PubMed]
- Elias, D.; De Baere, T.; Roche, A.; Mducreux Leclere, J.; Lasser, P. During liver regeneration following right portal embolization the growth rate of liver metastases is more rapid than that of the liver parenchyma. Br. J. Surg. 1999, 86, 784–788. [Google Scholar] [CrossRef] [PubMed]
- Kokudo, N. Proliferative activity of intrahepatic colorectal metastases after preoperative hemihepatic portal vein embolization. Hepatology 2001, 34, 267–272. [Google Scholar] [CrossRef]
- Togo, S.; Nagano, Y.; Masui, H.; Tanaka, K.; Miura, Y.; Morioka, D.; Endo, I.; Sekido, H.; Ike, H.; Shimada, H. Two-stage hepatectomy for multiple bilobular liver metastases from colorectal cancer. Hepatogastroenterology 2005, 52, 913–919. [Google Scholar]
- Shimada, H.; Tanaka, K.; Masui, H.; Nagano, Y.; Matsuo, K.; Kijima, M.; Ichikawa, Y.; Ike, H.; Ooki, S.; Togo, S. Results of surgical treatment for multiple (> or =5 nodules) bi-lobar hepatic metastases from colorectal cancer. Langenbecks Arch. Surg. 2004, 389, 114–121. [Google Scholar] [CrossRef]
- Adam, R.; Laurent, A.; Azoulay, D.; Castaing, D.; Bismuth, H. Two-stage hepatectomy: A planned strategy to treat irresectable liver tumors. Ann. Surg. 2000, 232, 777–785. [Google Scholar] [CrossRef]
- Tsai, S.; Marques, H.P.; de Jong, M.C.; Mira, P.; Ribeiro, V.; Choti, M.A.; Schulick, R.D.; Barroso, E.; Pawlik, T.M. Two-stage strategy for patients with extensive bilateral colorectal liver metastases. Hpb 2010, 12, 262–269. [Google Scholar] [CrossRef]
- Moris, D.; Ronnekleiv-Kelly, S.; Kostakis, I.D.; Tsilimigras, D.I.; Beal, E.W.; Papalampros, A.; Dimitroulis, D.; Felekouras, E.; Pawlik, T.M. Operative Results and Oncologic Outcomes of Associating Liver Partition and Portal Vein Ligation for Staged Hepatectomy (ALPPS) Versus Two-Stage Hepatectomy (TSH) in Patients with Unresectable Colorectal Liver Metastases: A Systematic Review and Meta-Analysis. World J. Surg. 2018, 42, 806–815. [Google Scholar] [PubMed]
- Schnitzbauer, A.A.; Lang, S.A.; Goessmann, H.; Nadalin, S.; Baumgart, J.; Farkas, S.A.; Fichtner-Feigl, S.; Lorf, T.; Goralcyk, A.; Hörbelt, R.; et al. Right portal vein ligation combined with in situ splitting induces rapid left lateral liver lobe hypertrophy enabling 2-staged extended right hepatic resection in small-for-size settings. Ann. Surg. 2012, 255, 405–414. [Google Scholar] [CrossRef] [PubMed]
- de Santibañes, E.; Clavien, P.-A. Playing Play-Doh to prevent postoperative liver failure: The “ALPPS” approach. Ann. Surg. 2012, 255, 415–417. [Google Scholar] [CrossRef] [PubMed]
- Schadde, E.; Malagó, M.; Hernandez-Alejandro, R.; Li, J.; Abdalla, E.; Ardiles, V.; Lurje, G.; Vyas, S.; Machado, M.A.; de Santibañes, E. Monosegment ALPPS hepatectomy: Extending resectability by rapid hypertrophy. Surgery 2015, 157, 676–689. [Google Scholar] [CrossRef] [PubMed]
- Pineda-Solís, K.; Paskar, D.; Tun-Abraham, M.; Hernandez-Alejandro, R. Expanding the limits of resectability: Associating liver partition and portal vein ligation for staged hepatectomy (ALPPS) using monosegment 6, facilitated by an inferior right hepatic vein. J. Surg. Oncol. 2017, 115, 959–962. [Google Scholar] [CrossRef]
- Schadde, E.; Malago, M.; Hernandez-Alejandro, R.; Li, J.; Abdalla, E.; Ardiles, V.; Lurje, G.; Vyas, S.; Machado, M.A.; De Santibanes, E. ALPPS monosegment resections allow a further extension of the limitations of resectability in colorectal liver metastases. Hpb 2016, 18, e702. [Google Scholar] [CrossRef]
- Serenari, M.; Collaud, C.; Alvarez, F.A.; de Santibañes, M.; Giunta, D.; Pekolj, J.; Ardiles, V.; De Santibañes, E. Interstage Assessment of Remnant Liver Function in ALPPS Using Hepatobiliary Scintigraphy: Prediction of Posthepatectomy Liver Failure and Introduction of the HIBA Index. Ann. Surg. 2018, 267, 1141–1147. [Google Scholar] [CrossRef]
- Schlegel, A.; Lesurtel, M.; Melloul, E.; Limani, P.; Tschuor, C.; Graf, R.; Humar, B.; Clavien, P.A. ALPPS: From human to mice highlighting accelerated and novel mechanisms of liver regeneration. Ann. Surg. 2014, 260, 839–846; discussion 846–847. [Google Scholar] [CrossRef]
- Nadalin, S.; Capobianco, I.; Li, J.; Girotti, P.; Königsrainer, I.; Königsrainer, A. Indications and limits for associating liver partition and portal vein ligation for staged hepatectomy (ALPPS). Lessons Learned from 15 cases at a single centre. Z Gastroenterol. 2014, 52, 35–42. [Google Scholar] [CrossRef]
- Knoefel, W.T.; Gabor, I.; Rehders, A.; Alexander, A.; Krausch, M.; Schulte am Esch, J.; Fürst, G.; Topp, S.A. In situ liver transection with portal vein ligation for rapid growth of the future liver remnant in two-stage liver resection. Br. J. Surg. 2013, 100, 388–394. [Google Scholar] [CrossRef]
- Schadde, E.; Hernandez-Alejandro, R.; Lang, H.; de Santibaňes, E.; Clavien, P.-A. ALPPS Offers a Better Chance of Complete Resection in Patients with Primarily Unresectable Liver Tumors. Results of a Multicentre Analysis: Reply. World J. Surg. 2015, 38, 1850–1851. [Google Scholar] [CrossRef] [PubMed]
- Schadde, E.; Ardiles, V.; Robles-Campos, R.; Malago, M.; Machado, M.; Hernandez-Alejandro, R.; Soubrane, O.; Schnitzbauer, A.A.; Raptis, D.; Tschuor, C.; et al. Early survival and safety of ALPPS: First report of the International ALPPS Registry. Ann. Surg. 2014, 260, 829–836; discussion 836–838. [Google Scholar] [CrossRef] [PubMed]
- Matsuo, K.; Murakami, T.; Kawaguchi, D.; Hiroshima, Y.; Koda, K.; Yamazaki, K.; Ishida, Y.; Tanaka, K. Histologic features after surgery associating liver partition and portal vein ligation for staged hepatectomy versus those after hepatectomy with portal vein embolization. Surgery 2016, 159, 1289–1298. [Google Scholar] [CrossRef] [PubMed]
- Truant, S.; Scatton, O.; Dokmak, S.; Regimbeau, J.-M.; Lucidi, V.; Laurent, A.; Gauzolino, R.; Castro Benitez, C.; Pequignot, A.; Donckier, V.; et al. Associating liver partition and portal vein ligation for staged hepatectomy (ALPPS): Impact of the inter-stages course on morbi-mortality and implications for management. Eur. J. Surg. Oncol. 2015, 41, 674–682. [Google Scholar] [CrossRef]
- Oldhafer, K.J.; Stavrou, G.A.; van Gulik, T.M.; Core Group. ALPPS—Where Do We Stand, Where Do We Go?: Eight Recommendations From the First International Expert Meeting. Ann. Surg. 2016, 263, 839–841. [Google Scholar] [CrossRef]
- Robles, R.; Parrilla, P.; López-Conesa, A.; Brusadin, R.; de la Peña, J.; Fuster, M.; García-López, J.A.; Hernández, E. Tourniquet modification of the associating liver partition and portal ligation for staged hepatectomy procedure. Br. J. Surg. 2014, 101, 1129–1134; discussion 1134. [Google Scholar] [CrossRef]
- Cillo, U.; Gringeri, E.; Feltracco, P.; Bassi, D.; D’Amico, F.E.; Polacco, M.; Boetto, R. Totally Laparoscopic Microwave Ablation and Portal Vein Ligation for Staged Hepatectomy: A New Minimally Invasive Two-Stage Hepatectomy. Ann. Surg. Oncol. 2015, 22, 2787–2788. [Google Scholar] [CrossRef]
- Petrowsky, H.; Györi, G.; de Oliveira, M.; Lesurtel, M.; Clavien, P.-A. Is partial-ALPPS safer than ALPPS? A single-center experience. Ann. Surg. 2015, 261, e90–e92. [Google Scholar] [CrossRef]
- de Santibañes, E.; Alvarez, F.A.; Ardiles, V.; Pekolj, J.; de Santibañes, M. Inverting the ALPPS paradigm by minimizing first stage impact: The Mini-ALPPS technique. Langenbecks Arch. Surg. 2016, 401, 557–563. [Google Scholar] [CrossRef]
- Linecker, M.; Björnsson, B.; Stavrou, G.A.; Oldhafer, K.J.; Lurje, G.; Neumann, U.; Adam, R.; Pruvot, F.-R.; Topp, S.A.; Liet, J.; et al. Risk Adjustment in ALPPS Is Associated With a Dramatic Decrease in Early Mortality and Morbidity. Ann. Surg. 2017, 266, 779–786. [Google Scholar] [CrossRef]
- Rössler, F.; Sapisochin, G.; Song, G.; Lin, Y.-H.; Simpson, M.A.; Hasegawa, K.; Laurenzi, A.; Sánchez Cabús, S.; Inostroza Nunez, M.; Gatti, A.; et al. Defining Benchmarks for Major Liver Surgery: A multicenter Analysis of 5202 Living Liver Donors. Ann. Surg. 2016, 264, 492–500. [Google Scholar] [CrossRef]
- Raptis, D.A.; Linecker, M.; Kambakamba, P.; Tschuor, C.; Müller, P.C.; Hadjittofi, C.; Stavrou, G.A.; Fard-Aghaie, M.H.; Tun-Abraham, M.; Ardiles, V.; et al. Defining Benchmark Outcomes for ALPPS. Ann. Surg. 2019, 270, 835–841. [Google Scholar] [CrossRef]
- Linecker, M.; Stavrou, G.A.; Oldhafer, K.J.; Jenner, R.M.; Seifert, B.; Lurje, G.; Bednarsch, J.; Neumann, U.; Capobianco, I.; Nadalin, S.; et al. The ALPPS Risk Score: Avoiding Futile Use of ALPPS. Ann. Surg. 2016, 264, 763–771. [Google Scholar] [CrossRef] [PubMed]
- Sandström, P.; Røsok, B.I.; Sparrelid, E.; Larsen, P.N.; Larsson, A.L.; Lindell, G.; Schultz, N.A.; Bjørnbeth, B.A.; Isaksson, B.; Rizell, M.; et al. ALPPS Improves Resectability Compared With Conventional Two-stage Hepatectomy in Patients With Advanced Colorectal Liver Metastasis: Results From a Scandinavian Multicenter Randomized Controlled Trial (LIGRO Trial). Ann. Surg. 2018, 267, 833–840. [Google Scholar] [CrossRef]
- Kokudo, N.; Miki, Y.; Sugai, S.; Yanagisawa, A.; Kato, Y.; Sakamoto, Y.; Yamamoto, J.; Yamaguchi, T.; Muto, T.; Makuuchi, M. Genetic and histological assessment of surgical margins in resected liver metastases from colorectal carcinoma: Minimum surgical margins for successful resection. Arch. Surg. 2002, 137, 833–840. [Google Scholar] [CrossRef] [PubMed]
- Yamamoto, J.; Sugihara, K.; Kosuge, T.; Takayama, T.; Shimada, K.; Yamasaki, S.; Sakamoto, M.; Hirohashi, S. Pathologic support for limited hepatectomy in the treatment of liver metastases from colorectal cancer. Ann. Surg. 1995, 221, 74–78. [Google Scholar] [CrossRef]
- Cady, B.; Jenkins, R.L.; Steele, G.D., Jr.; Lewis, W.D.; Stone, M.D.; McDermott, W.V.; Jessup, J.M.; Bothe, A.; Lalor, P.; Lovett, E.J.; et al. Surgical margin in hepatic resection for colorectal metastasis: A critical and improvable determinant of outcome. Ann. Surg. 1998, 227, 566–571. [Google Scholar] [CrossRef] [PubMed]
- de Haas, R.J.; Wicherts, D.A.; Flores, E.; Azoulay, D.; Castaing, D.; Adam, R. R1 resection by necessity for colorectal liver metastases: Is it still a contraindication to surgery? Ann Surg. 2008, 248, 626–637. [Google Scholar] [CrossRef] [PubMed]
- Torzilli, G.; Montorsi, M.; Donadon, M.; Palmisano, A.; Del Fabbro, D.; Gambetti, A.; Olivari, N.; Makuuchi, M. “Radical but conservative” is the main goal for ultrasonography-guided liver resection: Prospective validation of this approach. J. Am. Coll. Surg. 2005, 201, 517–528. [Google Scholar] [CrossRef]
- Torzilli, G.; Montorsi, M.; Del Fabbro, D.; Palmisano, A.; Donadon, M.; Makuuchi, M. Ultrasonographically guided surgical approach to liver tumours involving the hepatic veins close to the caval confluence. Br. J. Surg. 2006, 93, 1238–1246. [Google Scholar] [CrossRef]
- Donadon, M.; Terrone, A.; Procopio, F.; Cimino, M.; Palmisano, A.; Viganò, L.; Del Fabbro, D.; Di Tommaso, L.; Torzilli, G. Is R1 vascular hepatectomy for hepatocellular carcinoma oncologically adequate? Analysis of 327 consecutive patients. Surgery 2019, 165, 897–904. [Google Scholar] [CrossRef] [PubMed]
- Viganò, L.; Procopio, F.; Cimino, M.M.; Donadon, M.; Gatti, A.; Costa, G.; Del Fabbro, D.; Torzilli, G. Is Tumor Detachment from Vascular Structures Equivalent to R0 Resection in Surgery for Colorectal Liver Metastases? An Observational Cohort. Ann. Surg. Oncol. 2016, 23, 1352–1360. [Google Scholar] [CrossRef] [PubMed]
- Kokudo, N.; Tada, K.; Seki, M.; Ohta, H.; Azekura, K.; Ueno, M.; Matsubara, T.; Takahashi, T.; Nakajima, T.; Muto, T. Anatomical major resection versus non-anatomical limited resection for liver metastases from colorectal carcinoma. Am. J. Surg. 2001, 181, 153–159. [Google Scholar] [CrossRef] [PubMed]
- Lalmahomed, Z.S.; Ayez, N.; van der Pool, A.E.; Verheij, J.; IJzermans, J.N.M.; Verhoef, C. Anatomical versus nonanatomical resection of colorectal liver metastases: Is there a differencein surgical and oncological outcome? World J. Surg. 2011, 35, 656–661. [Google Scholar] [CrossRef]
- Tanaka, K.; Shimada, H.; Matsumoto, C.; Matsuo, K.; Takeda, K.; Nagano, Y.; Togo, S. Impact of the degree of liverresection on survival for patients with multiple liver metastases from color-ectal cancer. World J. Surg. 2008, 32, 2057–2069. [Google Scholar] [CrossRef]
- Gold, J.S.; Are, C.; Kornprat, P.; Jarnagin, W.R.; Gönen, M.; Fong, Y.; DeMatteo, R.P.; Blumgart, L.H.; D’Angelica, M. Increased use of parenchymal-sparingsurgery for bilateral liver metastases from colorectal cancer is associated withimproved mortality without change in oncologic outcome: Trends in treatmentover time in 440 patients. Ann Surg. 2008, 247, 109–117. [Google Scholar] [CrossRef] [PubMed]
- Mise, Y.; Aloia, T.A.; Brudvik, K.W.; Schwarz, L.; Vauthey, J.-N.; Conrad, C. Parenchymal-sparing Hepatectomy in Colorectal Liver Metastasis Improves Salvageability and Survival. Ann. Surg. 2016, 263, 146–152. [Google Scholar] [CrossRef]
- Deng, G.; Li, H.; Jia, G.Q.; Fang, D.; Tang, Y.Y.; Xie, J.; Chen, K.F.; Chen, Z.Y. Parenchymal-sparing versus extended hepatectomy for colorectal liver metastases: A systematic review and meta-analysis. Cancer Med. 2019, 8, 6165–6175. [Google Scholar] [CrossRef]
- Ferlay, J.; Colombet, M.; Soerjomataram, I.; Dyba, T.; Randi, G.; Bettio, M.; Gavin, A.; Visser, O.; Bray, F. Cancer incidence and mortality patterns in Europe: Estimates for 40 countries and 25 major cancers in 2018. Eur. J. Cancer 2018, 103, 356–387. [Google Scholar] [CrossRef]
- Bray, F.; Ferlay, J.; Soerjomataram, I.; Siegel, R.L.; Torre, L.A.; Jemal, A. Global cancer statistics 2018: GLOBOCAN estimates of incidence and mortality worldwide for 36 cancers in 185 countries. CA A Cancer J. Clin. 2018, 68, 394–424. [Google Scholar] [CrossRef]
- Faivre, J.; Rat, P.; Arveux, P. Epidemiology of liver metastases from colorectal cancer. Treat. Hepatic Metastases Color. Cancer 1992, 5, 3–8. [Google Scholar] [CrossRef]
- Manfredi, S.; Lepage, C.; Hatem, C.; Coatmeur, O.; Faivre, J.; Bouvier, A.-M. Epidemiology and management of liver metastases from colorectal cancer. Ann. Surg. 2006, 244, 254–259. [Google Scholar] [CrossRef]
- Sturesson, C.; Valdimarsson, V.T.; Blomstrand, E.; Eriksson, S.; Nilsson, J.H.; Syk, I.; Lindell, G. Liver-first strategy for synchronous colorectal liver metastases—An intention-to-treat analysis. Hpb 2017, 19, 52–58. [Google Scholar] [CrossRef] [PubMed]
- Frühling, P.; Strömberg, C.; Isaksson, B.; Urdzik, J. A comparison of the simultaneous, liver-first, and colorectal-first strategies for surgical treatment of synchronous colorectal liver metastases at two major liver-surgery institutions in Sweden. Hpb 2023, 25, 26–36. [Google Scholar] [CrossRef]
- Slesser, A.A.P.; Chand, M.; Goldin, R.; Brown, G.; Tekkis, P.P.; Mudan, S. Outcomes of simultaneous resections for patients with synchronous colorectal liver metastases. Eur. J. Surg. Oncol. 2013, 39, 1384–1393. [Google Scholar] [CrossRef]
- Abelson, J.S.; Michelassi, F.; Sun, T.; Mao, J.; Milsom, J.; Samstein, B.; Sedrakyan, A.; Yeo, H.L. Simultaneous Resection for Synchronous Colorectal Liver Metastasis: The New Standard of Care? J. Gastrointest. Surg. 2017, 21, 975–982. [Google Scholar] [CrossRef]
- Burog, A.B.; Maranon, G.J.G.; Carino, M.M.P.; Siozon, O.K.; Siozon, M.V. Comparison of Simultaneous Resection and Delayed Resection for Resectable Synchronous Colorectal Liver Metastasis: A Meta-Analysis. J. Am. Coll. Surg. 2018, 277, S170. [Google Scholar] [CrossRef]
- Slesser, A.A.P.; Simillis, C.; Goldin, R.; Brown, G.; Mudan, S.; Tekkis, P.P. A meta-analysis comparing simultaneous versus delayed resections in patients with synchronous colorectal liver metastases. Surg. Oncol. 2013, 22, 36–47. [Google Scholar] [CrossRef] [PubMed]
- Boudjema, K.; Locher, C.; Sabbagh, C.; Ortega-Deballon, P.; Heyd, B.; Bachellier, P.; Métairie, S.; Paye, F.; Bourlier, P.; Adam, R.; et al. Simultaneous Versus Delayed Resection for Initially Resectable Synchronous Colorectal Cancer Liver Metastases: A Prospective, Open-label, Randomized, Controlled Trial. Ann. Surg. 2021, 273, 49–56. [Google Scholar] [CrossRef]
- Adam, R.; de Gramont, A.; Figueras, J.; Kokudo, N.; Kunstlinger, F.; Loyer, E.; Poston, G.; Rougier, P.; Rubbia-Brandt, L.; Sobrero, A.; et al. Managing synchronous liver metastases from colorectal cancer: A multidisciplinary international consensus. Cancer Treat Rev. 2015, 41, 729–741. [Google Scholar] [CrossRef]
- Koffron, A.; Geller, D.; Gamblin, T.C.; Abecassis, M. Laparoscopic liver surgery: Shifting the management of liver tumors. Hepatology 2006, 44, 1694–1700. [Google Scholar] [CrossRef] [PubMed]
- Gagner, M.; Rogula, T.; Selzer, D. Laparoscopic liver resection: Benefits and controversies. Surg. Clin. North Am. 2004, 84, 451–462. [Google Scholar] [CrossRef] [PubMed]
- Wakabayashi, G.; Cherqui, D.; Geller, D.A.; Buell, J.F.; Kaneko, J.; Han, H.S.; Asbun, H.; O’Rourke, N.; Tanabe, M.; Koffron, A.J.; et al. Recommendations for laparoscopic liver resection: A report from the second international consensus conference held in Morioka. Ann. Surg. 2015, 261, 619–629. [Google Scholar] [CrossRef]
- Nguyen, K.T.; Laurent, A.; Dagher, I.; Geller, D.A.; Steel, J.; Thomas, M.T.; Marvin, M.; Kadiyala, V.; Ravindra, K.; Alejandro, M.; et al. Minimally invasive liver resection for metastatic colorectal cancer: A multi-institutional, international report of safety, feasibility, and early outcomes. Ann. Surg. 2009, 50, 842–848. [Google Scholar] [CrossRef] [PubMed]
- Feroci, F.; Baraghini, M.; Lenzi, E.; Garzi, A.; Vannucchi, A.; Cantafio, S.; Scatizzi, M. Laparoscopic surgery improves postoperative outcomes in high-risk patients with colorectal cancer. Surg. Endosc. 2013, 27, 1130–1137. [Google Scholar] [CrossRef] [PubMed]
- Guerron, A.D.; Aliyev, S.; Agcaoglu, O.; Aksoy, E.; Taskin, H.E.; Aucejo, F.; Miller, C.; Fung, J.; Berber, E. Laparoscopic versus open resection of colorectal liver metastasis. Surg. Endosc. 2013, 27, 1138–1143. [Google Scholar] [CrossRef]
- Mala, T.; Edwin, B.; Gladhaug, I.; Fosse, E.; Søreide, O.; Bergan, A.; Mathisen, O. A comparative study of the short-term outcome following open and laparoscopic liver resection of colorectal metastases. Surg. Endosc. 2002, 16, 1059–1063. [Google Scholar] [CrossRef]
- Anne Doughtie, C.; Egger, M.E.; Cannon, R.M.; Martin, R.C.G.; McMasters, K.M.; Scoggins, C.R. Laparoscopic hepatectomy is a safe and effective approach for resecting large colorectal liver metastases. Am. Surg. 2013, 79, 566–571. [Google Scholar] [CrossRef]
- De’Angelis, N.; Eshkenazy, R.; Brunetti, F.; Valente, R.; Costa, M.; Disabato, M.; Salloum, C.; Compagnon, P.; Laurent, A.; Azoulay, D. Laparoscopic versus open resection for colorectal liver metastases: A single-center study with propensity score analysis. J. Laparoendosc. Adv. Surg. Tech. A 2015, 25, 12–20. [Google Scholar] [CrossRef] [PubMed]
- Fretland, A.A.; Vegar Johansen, D.; Gudrun Maria Waaler, B.; Airazat, K.M.; Ronny, K.; Morten Wang, F.; John, H.; Tor Inge, T.; Andreas, A.; Barkhatov, L.; et al. Laparoscopic Versus Open Resection for Colorectal Liver Metastases: The OSLO-COMET Randomized Controlled Trial. Ann. Surg. 2018, 267, 199–207. [Google Scholar] [CrossRef]
- Aghayan, D.L.; Kazaryan, A.M.; Dagenborg, V.J.; Røsok, B.I.; Fagerland, M.W.; Waaler Bjørnelv, G.M.; Kristiansen, R.; Flatmark, K.; Fretland, Å.A.; Edwin, B.; et al. Long-Term Oncologic Outcomes After Laparoscopic Versus Open Resection for Colorectal Liver Metastases: A Randomized Trial. Ann. Intern. Med. 2021, 174, 175–182. [Google Scholar] [CrossRef]
- Robles-Campos, R.; Lopez-Lopez, V.; Brusadin, R.; Lopez-Conesa, A.; Gil-Vazquez, P.J.; Navarro-Barrios, A.; Parrilla, P. Open versus minimally invasive liver surgery for colorectal liver metastases (LapOpHuva): A prospective randomized controlled trial. Surg. Endosc. 2019, 33, 3926–3936. [Google Scholar] [CrossRef]
- Ozair, A.; Collings, A.; Adams, A.M.; Dirks, R.; Kushner, B.S.; Sucandy, I.; Morrell, D.; Abou-Setta, A.M.; Vreeland, T.; Whiteside, J.; et al. Minimally invasive versus open hepatectomy for the resection of colorectal liver metastases: A systematic review and meta-analysis. Surg. Endosc. 2022, 36, 7915–7937. [Google Scholar] [CrossRef] [PubMed]
- Chua, D.; Syn, N.; Koh, Y.X.; Goh, B.K.P. Learning curves in minimally invasive hepatectomy: Systematic review and metaregression analysis. Br. J. Surg. 2021, 108, 351–358. [Google Scholar] [CrossRef] [PubMed]
- Goh, B.K.P.; Han, H.S.; Chen, K.H.; Chua, D.W.; Chan, C.Y.; Cipriani, F.; Aghayan, D.L.; Fretland, A.A.; Sijberden, J.; D’Silva, M.; et al. Defining Global Benchmarks for Laparoscopic Liver Resections: An International Multicenter Study. Ann. Surg. 2022, 49, e32–e33. [Google Scholar] [CrossRef] [PubMed]
- Azoulay, D.; Eshkenazy, R.; Andreani, P.; Castaing, D.; Adam, R.; Ichai, P.; Naili, S.; Vinet, E.; Saliba, F.; Lemoine, A.; et al. In situ hypothermic perfusion of the liver versus standard total vascular exclusion for complex liver resection. Ann. Surg. 2005, 241, 277–285. [Google Scholar] [CrossRef] [PubMed]
- Huguet, C.; Gavelli, A.; Bona, S. Hepatic resection with ischemia of the liver exceeding one hour. J. Am. Coll. Surg. 1994, 178, 454–458. [Google Scholar]
- Anastasia, L.F. One Hour Hepatic Ischemia Without Serious Damage. JAMA J. Am. Med. Assoc. 1967, 201, 1051. [Google Scholar] [CrossRef]
- Huguet, C.; Gavelli, A.; Harb, J.; Roger-Clément, R.; De Millo, D.; Lasserre, M.; Mc Navarra, M.T. Is ischemia of the liver, lasting longer than an hour, a severity factor in hepatectomies? Apropos of 19 cases. Chirurgie 1991, 117, 351–356. [Google Scholar]
- Hannoun, L.; Delrivière, L.; Gibbs, P.; Borie, D.; Vaillant, J.C.; Delva, E. Major extended hepatic resections in diseased livers using hypothermic protection: Preliminary results from the first 12 patients treated with this new technique. J. Am. Coll. Surg. 1996, 183, 597–605. [Google Scholar]
- Liu, C.L.; Fan, S.T.; Lo, C.M.; Tung-Ping Poon, R.; Wong, J. Anterior approach for major right hepatic resection for large hepatocellular carcinoma. Ann. Surg. 2000, 232, 25–31. [Google Scholar] [CrossRef] [PubMed]
- Tang, J.-X.; Li, J.-J.; Weng, R.-H.; Liang, Z.-M.; Jiang, N. Anterior vs. conventional approach right hepatic resection for large hepatocellular carcinoma: A systematic review and meta-analysis. World J. Gastroenterol. 2017, 23, 7917–7929. [Google Scholar] [CrossRef] [PubMed]
- Braunwarth, E.; Kröpfl, V.; Primavesi, F.; Cardini, B.; Oberhuber, R.; Maglione, M.; Margreiter, C.; Schneeberger, S.; Öfner, D.; Stättner, S. Major vascular resection and reconstruction combined with liver resection for primary and metastatic hepatic tumors. Hpb 2018, 20, S415. [Google Scholar] [CrossRef]
- Tomimaru, Y.; Eguchi, H.; Wada, H.; Doki, Y.; Mori, M.; Nagano, H. Surgical Outcomes of Liver Resection Combined with Inferior Vena Cava Resection and Reconstruction with Artificial Vascular Graft. Dig. Surg. 2019, 36, 502–508. [Google Scholar] [CrossRef] [PubMed]
- Azoulay, D.; Pascal, G.; Salloum, C.; Adam, R.; Castaing, D.; Tranecol, N. Vascular reconstruction combined with liver resection for malignant tumours. Br. J. Surg. 2013, 100, 1764–1775. [Google Scholar] [CrossRef]
- Hashimoto, T.; Kokudo, N.; Aoki, T.; Natori, T.; Arita, J.; Sano, K.; Imamura, H.; Sugawara, Y.; Makuuchi, M. Reconstruction of middle hepatic vein using a rotating left hepatic vein flap. J. Am. Coll. Surg. 2004, 199, 656–660. [Google Scholar] [CrossRef]
- Yang, S.; Han, D.; Wang, L.; Gong, L.; Xiang, C. Reconstruction of the middle hepatic vein using a vein graft from the resected portion of the liver. Surg. Case Rep. 2020, 6, 277. [Google Scholar] [CrossRef] [PubMed]
- Coco, D.; Leanza, S. Hepatic Vein and Inferior Vena Cava Reconstruction during Hepatic Surgery Resection for Cancer. J. Ren. Hepatic Disord. 2021, 5, 14–16. [Google Scholar] [CrossRef]
- Hoti, E.; Salloum, C.; Azoulay, D. Hepatic resection with in situ hypothermic perfusion is superior to other resection techniques. Dig. Surg. 2011, 28, 94–99. [Google Scholar] [CrossRef]
- Fortner, J.G.; Shiu, M.H.; Kinne, D.W.; Kim, D.K.; Castro, E.B.; Watson, R.C.; Howland, W.S.; Beattie, E.J., Jr. Major hepatic resection using vascular isolation and hypothermic perfusion. Ann. Surg. 1974, 180, 644–652. [Google Scholar] [CrossRef]
- Pichlmayr, R.; Bretschneider, H.J.; Kirchner, E.; Ringe, B.; Lamesch, P.; Gubernatis, G.; Hauss, J.; Niehaus, K.J.; Kaukemüller, J. Ex situ operation on the liver. A new possibility in liver surgery. Langenbecks Arch. Chir. 1988, 373, 122–126. [Google Scholar] [CrossRef] [PubMed]
- Azoulay, D.; Lim, C.; Salloum, C.; Andreani, P.; Maggi, U.; Bartelmaos, T.; Castaing, D.; Pascal, G.; Fesuy, F. Complex Liver Resection Using Standard Total Vascular Exclusion, Venovenous Bypass, and In Situ Hypothermic Portal Perfusion: An Audit of 77 Consecutive Cases. Ann. Surg. 2015, 262, 93–104. [Google Scholar] [CrossRef] [PubMed]
- Oldhafer, K.J.; Lang, H.; Schlitt, H.J.; Hauss, J.; Raab, R.; Klempnauer, J.; Pichlmayr, R. Long-term experience after ex situ liver surgery. Surgery 2000, 127, 520–527. [Google Scholar] [CrossRef] [PubMed]
- Freeman, R.B.; Gish, R.G.; Harper, A.; Davis, G.L.; Vierling, J.; Lieblein, L.; Klintmalm, G.; Blazek, J.; Hunter, R.; Punch, J. Model for end-stage liver disease (MELD) exception guidelines: Results and recommendations from the MELD exception study group and conference (MESSAGE) for the approval of patients who need liver transplantation with diseases not considered by the standard MELD formula. Liver Transplant. 2006, 12, S128–S136. [Google Scholar] [CrossRef]
- Mühlbacher, F.; Huk, I.; Steininger, R.; Gnant, M.; Götzinger, P.; Wamser, P.; Banhegyi, C.; Piza, F. Is orthotopic liver transplantation a feasible treatment for secondary cancer of the liver? Transplant. Proc. 1991, 23, 1567–1568. [Google Scholar]
- Penn, I. Hepatic transplantation for primary and metastatic cancers of the liver. Surgery 1991, 110, 726–734; discussion 734–735. [Google Scholar]
- Hagness, M.; Foss, A.; Line, P.-D.; Scholz, T.; Jørgensen, P.F.; Fosby, B.; Boberg, K.M.; Mathisen, O.; Gladhaug, I.P.; Skatvedt Egge, T.; et al. Liver transplantation for nonresectable liver metastases from colorectal cancer. Ann. Surg. 2013, 257, 800–806. [Google Scholar] [CrossRef]
- Dueland, S.; Syversveen, T.; Solheim, J.M.; Solberg, S.; Grut, H.; Bjørnbeth, B.A.; Hagness, M.; Line, P.-D. Survival Following Liver Transplantation for Patients With Nonresectable Liver-only Colorectal Metastases. Ann. Surg. 2020, 271, 212–218. [Google Scholar] [CrossRef]
- Bonney, G.K.; Chew, C.A.; Lodge, P.; Hubbard, J.; Halazun, K.J.; Trunecka, P.; Muiesan, P.; Mirza, D.F.; Isaac, J.; Laing, R.W.; et al. Liver transplantation for non-resectable colorectal liver metastases: The International Hepato-Pancreato-Biliary Association consensus guidelines. Lancet Gastroenterol. Hepatol. 2021, 6, 933–946. [Google Scholar] [CrossRef]
- Dueland, S.; Guren, T.K.; Hagness, M.; Glimelius, B.; Line, P.-D.; Pfeiffer, P.; Foss, A.; Tveit, K.M. Chemotherapy or liver transplantation for nonresectable liver metastases from colorectal cancer? Ann. Surg. 2015, 261, 956–960. [Google Scholar] [CrossRef]
- Line, P.-D.; Hagness, M.; Berstad, A.E.; Foss, A.; Dueland, S. A Novel Concept for Partial Liver Transplantation in Nonresectable Colorectal Liver Metastases: The RAPID Concept. Ann. Surg. 2015, 262, e5–e9. [Google Scholar] [CrossRef] [PubMed]








Disclaimer/Publisher’s Note: The statements, opinions and data contained in all publications are solely those of the individual author(s) and contributor(s) and not of MDPI and/or the editor(s). MDPI and/or the editor(s) disclaim responsibility for any injury to people or property resulting from any ideas, methods, instructions or products referred to in the content. |
© 2023 by the authors. Licensee MDPI, Basel, Switzerland. This article is an open access article distributed under the terms and conditions of the Creative Commons Attribution (CC BY) license (https://creativecommons.org/licenses/by/4.0/).
Share and Cite
Calderon Novoa, F.; Ardiles, V.; de Santibañes, E.; Pekolj, J.; Goransky, J.; Mazza, O.; Sánchez Claria, R.; de Santibañes, M. Pushing the Limits of Surgical Resection in Colorectal Liver Metastasis: How Far Can We Go? Cancers 2023, 15, 2113. https://doi.org/10.3390/cancers15072113
Calderon Novoa F, Ardiles V, de Santibañes E, Pekolj J, Goransky J, Mazza O, Sánchez Claria R, de Santibañes M. Pushing the Limits of Surgical Resection in Colorectal Liver Metastasis: How Far Can We Go? Cancers. 2023; 15(7):2113. https://doi.org/10.3390/cancers15072113
Chicago/Turabian StyleCalderon Novoa, Francisco, Victoria Ardiles, Eduardo de Santibañes, Juan Pekolj, Jeremias Goransky, Oscar Mazza, Rodrigo Sánchez Claria, and Martín de Santibañes. 2023. "Pushing the Limits of Surgical Resection in Colorectal Liver Metastasis: How Far Can We Go?" Cancers 15, no. 7: 2113. https://doi.org/10.3390/cancers15072113
APA StyleCalderon Novoa, F., Ardiles, V., de Santibañes, E., Pekolj, J., Goransky, J., Mazza, O., Sánchez Claria, R., & de Santibañes, M. (2023). Pushing the Limits of Surgical Resection in Colorectal Liver Metastasis: How Far Can We Go? Cancers, 15(7), 2113. https://doi.org/10.3390/cancers15072113

