Factors Influencing Residual Glandular Breast Tissue after Risk-Reducing Mastectomy in Genetically Predisposed Individuals Detected by MRI Mammography
Abstract
Simple Summary
Abstract
1. Introduction
2. Materials and Methods
- Age of the patient at the time of surgery;
- Analyzed breast side;
- RRBM or RRCM;
- Follow-up period;
- Premature end of the follow-up period;
- Date of birth;
- Date of surgery;
- Surgeon;
- Surgical method;
- Follow-up operations;
- Previous operations;
- Mutation type.
2.1. Study Cohort
2.2. MRI Acquisition
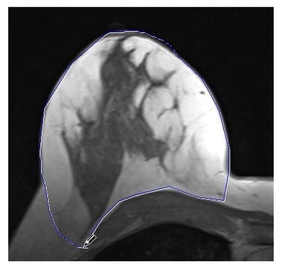
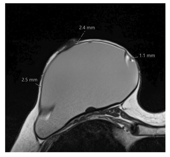
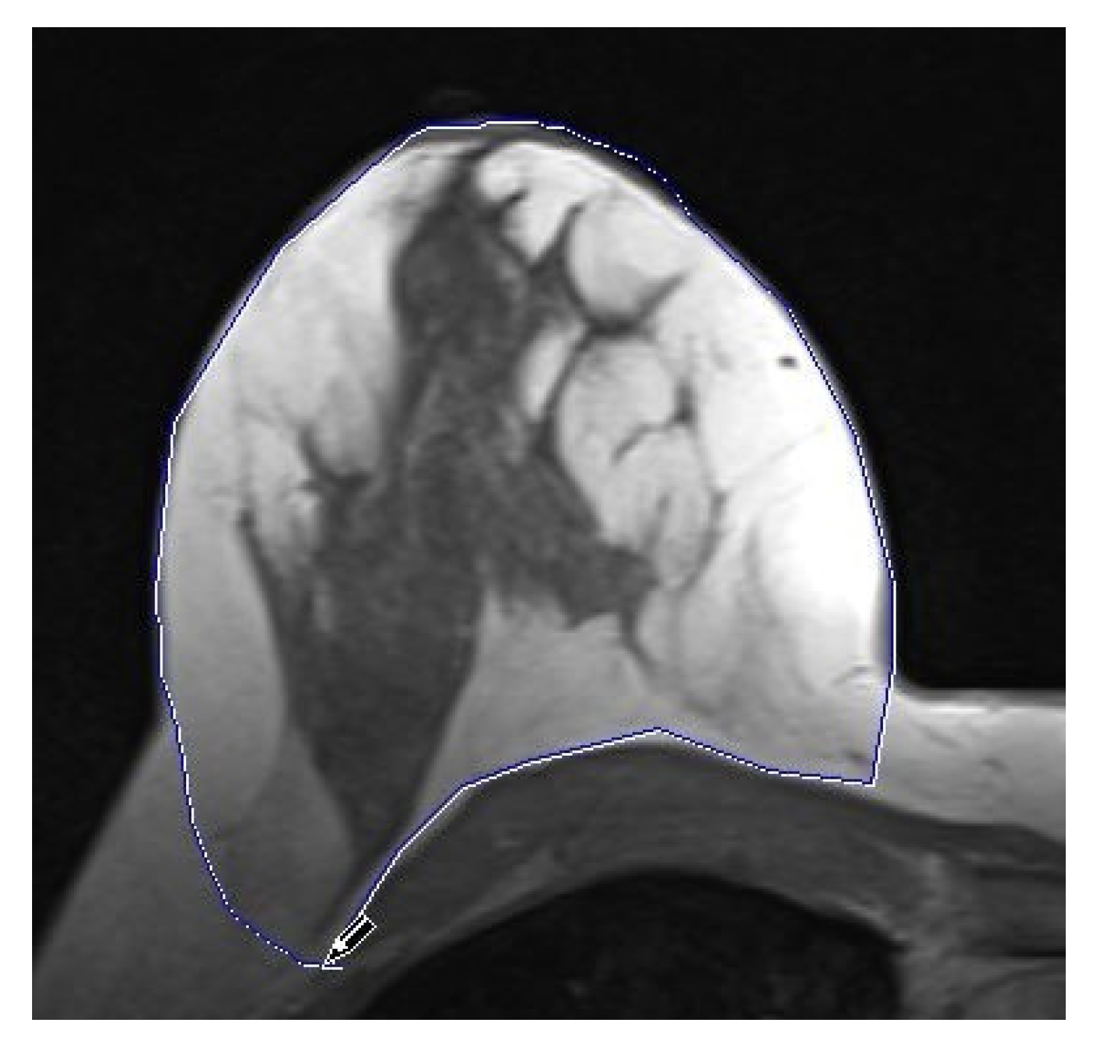
2.3. MRI Data Analysis
- Breast density;
- Preoperative breast volume;
- Postoperative breast volume;
- Skin flap thickness at 2, 3, 4, 6, 8, 9, 10, and 12 o’clock as well as retromamillary area;
- Any possible breast compression at each measurement point;
- Residual glandular tissue in retromamillary area;
- Residual glandular tissue at other location;
- Volume of the residual glandular tissue.
2.4. Statistical Analysis
2.4.1. Descriptive Statistics
2.4.2. Inductive Statistics
3. Results
3.1. Univariate Regressions
3.2. Multivariate Regressions
4. Discussion
4.1. Amount of Residual Glandular Tissue
4.2. Frequency of Residual Glandular Tissue
4.3. Influence Factor Skin Flap Thickness
4.4. Influence Factor Surgeon Experience
4.5. Influence Factor Surgical Method
4.6. Influence Factor Breast Density
4.7. Influence Factor Breast Volume
4.8. Variables with No Effect on Residual Glandular Tissue
5. Conclusions
Author Contributions
Funding
Institutional Review Board Statement
Informed Consent Statement
Data Availability Statement
Acknowledgments
Conflicts of Interest
References
- Bray, F.; Ferlay, J.; Soerjomataram, I.; Siegel, R.L.; Torre, L.A.; Jemal, A. Global Cancer Statistics 2018: GLOBOCAN Estimates of Incidence and Mortality Worldwide for 36 Cancers in 185 Countries. CA Cancer J. Clin. 2018, 68, 394–424. [Google Scholar] [CrossRef] [PubMed]
- Gemeinsame Publikation des Zentrums für Krebsregisterdaten und der Gesellschaft der Epidemiologischen Krebsregister in Deutschland E.V. Krebs in Deutschland Für 2017/2018. Available online: https://www.krebsdaten.de/Krebs/DE/Content/Publikationen/Krebs_in_Deutschland/kid_2021/krebs_in_deutschland_2021.pdf;jsessionid=E51CE3592B5D45248285FC96B526356A.internet072?__blob=publicationFile (accessed on 5 December 2022).
- US Preventive Services Task Force; Owens, D.K.; Davidson, K.W.; Krist, A.H.; Barry, M.J.; Cabana, M.; Caughey, A.B.; Doubeni, C.A.; Epling, J.W.; Kubik, M.; et al. Risk Assessment, Genetic Counseling, and Genetic Testing for BRCA-Related Cancer: US Preventive Services Task Force Recommendation Statement. JAMA 2019, 322, 652. [Google Scholar] [CrossRef] [PubMed]
- Easton, D.F.; Pharoah, P.D.P.; Antoniou, A.C.; Tischkowitz, M.; Tavtigian, S.V.; Nathanson, K.L.; Devilee, P.; Meindl, A.; Couch, F.J.; Southey, M.; et al. Gene-Panel Sequencing and the Prediction of Breast-Cancer Risk. N. Engl. J. Med. 2015, 372, 2243–2257. [Google Scholar] [CrossRef] [PubMed]
- Kast, K.; Rhiem, K.; Wappenschmidt, B.; Hahnen, E.; Hauke, J.; Bluemcke, B.; Zarghooni, V.; Herold, N.; Ditsch, N.; Kiechle, M.; et al. Prevalence of BRCA1/2 Germline Mutations in 21 401 Families with Breast and Ovarian Cancer. J. Med. Genet. 2016, 53, 465–471. [Google Scholar] [CrossRef]
- Easton, D.F. Familial Risks of Breast Cancer. Breast Cancer Res. 2002, 4, 179. [Google Scholar] [CrossRef]
- Mavaddat, N.; Rebbeck, T.R.; Lakhani, S.R.; Easton, D.F.; Antoniou, A.C. Incorporating Tumour Pathology Information into Breast Cancer Risk Prediction Algorithms. Breast Cancer Res. 2010, 12, R28. [Google Scholar] [CrossRef]
- Li, X.; You, R.; Wang, X.; Liu, C.; Xu, Z.; Zhou, J.; Yu, B.; Xu, T.; Cai, H.; Zou, Q. Effectiveness of Prophylactic Surgeries in BRCA1 or BRCA2 Mutation Carriers: A Meta-Analysis and Systematic Review. Clin. Cancer Res. 2016, 22, 3971–3981. [Google Scholar] [CrossRef]
- Domchek, S.M. Association of Risk-Reducing Surgery in BRCA1 or BRCA2 Mutation Carriers with Cancer Risk and Mortality. JAMA 2010, 304, 967. [Google Scholar] [CrossRef]
- De Felice, F.; Marchetti, C.; Musella, A.; Palaia, I.; Perniola, G.; Musio, D.; Muzii, L.; Tombolini, V.; Panici, P.B. Bilateral Risk-Reduction Mastectomy in BRCA1 and BRCA2 Mutation Carriers: A Meta-Analysis. Ann. Surg. Oncol. 2015, 22, 2876–2880. [Google Scholar] [CrossRef]
- Papassotiropoulos, B.; Güth, U.; Chiesa, F.; Rageth, C.; Amann, E.; Baege, A.; Elfgen, C.; Varga, Z.; Moskovszky, L.; Endhardt, K.; et al. Prospective Evaluation of Residual Breast Tissue After Skin- or Nipple-Sparing Mastectomy: Results of the SKINI-Trial. Ann. Surg. Oncol. 2019, 26, 1254–1262. [Google Scholar] [CrossRef]
- Zippel, D.; Tsehmaister-Abitbol, V.; Rundstein, A.; Shalmon, A.; Zbar, A.; Nardini, G.; Novikov, I.; Sklair-Levy, M. Magnetic Resonance Imaging (MRI) Evaluation of Residual Breast Tissue Following Mastectomy and Reconstruction with Silicone Implants. Clin. Imaging 2015, 39, 408–411. [Google Scholar] [CrossRef] [PubMed]
- Heemskerk-Gerritsen, B.A.M.; Brekelmans, C.T.M.; Menke-Pluymers, M.B.E.; van Geel, A.N.; Tilanus-Linthorst, M.M.A.; Bartels, C.C.M.; Tan, M.; Meijers-Heijboer, H.E.J.; Klijn, J.G.M.; Seynaeve, C. Prophylactic Mastectomy in BRCA1/2 Mutation Carriers and Women at Risk of Hereditary Breast Cancer: Long-Term Experiences at the Rotterdam Family Cancer Clinic. Ann. Surg. Oncol. 2007, 14, 3335–3344. [Google Scholar] [CrossRef] [PubMed]
- Kaas, R.; Verhoef, S.; Wesseling, J.; Rookus, M.A.; Oldenburg, H.S.A.; Peeters, M.-J.V.; Rutgers, E.J.T. Prophylactic Mastectomy in BRCA1 and BRCA2 Mutation Carriers: Very Low Risk for Subsequent Breast Cancer. Ann. Surg. 2010, 251, 488–492. [Google Scholar] [CrossRef] [PubMed]
- World Medical Association. World Medical Association Declaration of Helsinki: Ethical Principles for Medical Research Involving Human Subjects. JAMA 2013, 310, 2191. [Google Scholar] [CrossRef]
- Mann, R.M.; Cho, N.; Moy, L. Breast MRI: State of the Art. Radiology 2019, 292, 520–536. [Google Scholar] [CrossRef] [PubMed]
- Breast Imaging Working Group of the German Radiological Society. Updated Recommendations for MRI of the Breast. Fortschr. Röntgenstr. 2014, 186, 482–483. [Google Scholar] [CrossRef]
- Kuchenbaecker, K.B.; Hopper, J.L.; Barnes, D.R.; Phillips, K.-A.; Mooij, T.M.; Roos-Blom, M.-J.; Jervis, S.; van Leeuwen, F.E.; Milne, R.L.; Andrieu, N.; et al. Risks of Breast, Ovarian, and Contralateral Breast Cancer for BRCA1 and BRCA2 Mutation Carriers. JAMA 2017, 317, 2402. [Google Scholar] [CrossRef]
- Kashyap, D.; Pal, D.; Sharma, R.; Garg, V.K.; Goel, N.; Koundal, D.; Zaguia, A.; Koundal, S.; Belay, A. Global Increase in Breast Cancer Incidence: Risk Factors and Preventive Measures. BioMed Res. Int. 2022, 2022, 9605439. [Google Scholar] [CrossRef]
- Ball, S.; Arevalo, M.; Juarez, E.; Payne, J.D.; Jones, C. Breast Cancer Chemoprevention: An Update on Current Practice and Opportunities for Primary Care Physicians. Prev. Med. 2019, 129, 105834. [Google Scholar] [CrossRef]
- Thorat, M.A.; Balasubramanian, R. Breast Cancer Prevention in High-Risk Women. Best Pract. Res. Clin. Obstet. Gynaecol. 2020, 65, 18–31. [Google Scholar] [CrossRef]
- Baltzer, H.L.; Alonzo-Proulx, O.; Mainprize, J.G.; Yaffe, M.J.; Metcalfe, K.A.; Narod, S.A.; Warner, E.; Semple, J.L. MRI Volumetric Analysis of Breast Fibroglandular Tissue to Assess Risk of the Spared Nipple in BRCA1 and BRCA2 Mutation Carriers. Ann. Surg. Oncol. 2014, 21, 1583–1588. [Google Scholar] [CrossRef] [PubMed]
- Grinstein, O.; Krug, B.; Hellmic, M.; Siedek, F.; Malter, W.; Burke, C.; Schmutzler, R.; Maintz, D.; Rhiem, K. Residual Glandular Tissue (RGT) in BRCA1/2 Germline Mutation Carriers with Unilateral and Bilateral Prophylactic Mastectomies. Surg. Oncol. 2019, 29, 126–133. [Google Scholar] [CrossRef] [PubMed]
- Dreadin, J.; Sarode, V.; Saint-Cyr, M.; Hynan, L.S.; Rao, R. Risk of Residual Breast Tissue after Skin-Sparing Mastectomy: Risk of Residual Breast Tissue After Skin-Sparing Mastectomy. Breast J. 2012, 18, 248–252. [Google Scholar] [CrossRef] [PubMed]
- Griepsma, M.; de Roy van Zuidewijn, D.B.W.; Grond, A.J.K.; Siesling, S.; Groen, H.; de Bock, G.H. Residual Breast Tissue after Mastectomy: How Often and Where Is It Located? Ann. Surg. Oncol. 2014, 21, 1260–1266. [Google Scholar] [CrossRef] [PubMed]
- Giannotti, D.G.; Hanna, S.A.; Cerri, G.G.; Bevilacqua, J.L.B. Analysis of Skin Flap Thickness and Residual Breast Tissue After Mastectomy. Int. J. Radiat. Oncol. Biol. Phys. 2018, 102, 82–91. [Google Scholar] [CrossRef] [PubMed]
- Rocco, N.; Montagna, G.; Criscitiello, C.; Nava, M.B.; Privitera, F.; Taher, W.; Gloria, A.; Catanuto, G. Nipple Sparing Mastectomy as a Risk-Reducing Procedure for BRCA-Mutated Patients. Genes 2021, 12, 253. [Google Scholar] [CrossRef]
- Kaidar-Person, O.; Boersma, L.J.; Poortmans, P.; Sklair-Levy, M.; Offersen, B.V.; Cardoso, M.-J.; de Ruysscher, D. Residual Glandular Breast Tissue After Mastectomy: A Systematic Review. Ann. Surg. Oncol. 2020, 27, 2288–2296. [Google Scholar] [CrossRef]
- Woitek, R.; Pfeiler, G.; Farr, A.; Kapetas, P.; Furtner, J.; Bernathova, M.; Schöpf, V.; Clauser, P.; Marino, M.A.; Pinker, K.; et al. MRI-Based Quantification of Residual Fibroglandular Tissue of the Breast after Conservative Mastectomies. Eur. J. Radiol. 2018, 104, 1–7. [Google Scholar] [CrossRef]






| Numbers of patients | 81 |
| Numbers of breasts | 117 |
| Age at time of surgery (mean) | 40.12 years |
| Follow up (mean) | 63 months |
| Mutation types | |
| BRCA 1 mutation carriers | 49 |
| BRCA 2 mutation carriers | 24 |
| Carriers of other or unknown mutation types | 9 |
| Breast volume (mean) | |
| preoperative | 857 mL |
| postoperative | 427 mL |
| Residual glandular tissue | |
| Detection frequency | 50 |
| Amount (mean), when detected | 1.58 mL |
| Parameter | Magnetom Sola | Magnetom Avanto |
|---|---|---|
| TR (ms) | 3670 | 5800 |
| TE (ms) | 73 | 101 |
| fov (Pixel) | 340 × 340 | 340 × 340 |
| voxel (mm3) | 0.7 × 0.7 × 2 | 0.8 × 0.7 × 2.5 |
| slice thickness (mm) | 3 | 4 |
| slice gap (mm) | 3.3 | 5 |
| number of slices | 58 | 33 |
| coils | mammary dual coil | mammary dual coil |
| (Breast 18 Tim coil) | (CP Brust Array) | |
| contrast agent | Clariscan | Prohance |
| dose of contrast agent (mmol/kgKG) | 0.1 | 0.1 |
| time resolution (s) | 58 | 58 |
| Mean | SD | Min. | 5th | 50th | 95th | Max. | |
|---|---|---|---|---|---|---|---|
| Age | 40.12 | 8.74 | 21.00 | 26.00 | 40.00 | 54.00 | 61.00 |
| Follow-Up | 61.30 | 39.67 | 12.00 | 21.00 | 52.00 | 157.00 | 180.00 |
| Surgeon | 1.78 | 1.44 | 0.00 | 6.00 | |||
| Surgical experience | 16.32 | 12.65 | 1.00 | 1.00 | 14.00 | 40.00 | 44.00 |
| RRBM or RRCM | 0.56 | 0.50 | 0.00 | 1.00 | |||
| Surgical technique | 1.85 | 1.33 | 1.00 | 5.00 | |||
| Gene mutation | 1.49 * | 0.82 | 0.00 | 6.00 | |||
| Preop. breast vol. | 856.86 | 455.84 | 112.00 | 231.80 | 798.00 | 1691.20 | 2127 |
| Postop. breast vol. | 426.71 | 218.84 | 69.00 | 125.00 | 417.00 | 790.00 | 1078 |
| Breast density | 2.82 | 0.87 | 1.00 | 1.00 | 3.00 | 4.00 | 4.00 |
| Skin flap 2 h | 11.24 | 6.90 | 1.00 | 2.80 | 10.00 | 23.20 | 36 |
| Skin flap 3 h | 8.32 | 5.39 | 1.00 | 2.00 | 7.00 | 17.40 | 26 |
| Skin flap 4 h | 8.98 | 6.11 | 1.00 | 1.80 | 8.00 | 20.20 | 29 |
| Skin flap 6 h | 6.53 | 5.29 | 1.00 | 2.00 | 4.00 | 17.20 | 24 |
| Skin flap 8 h | 9.51 | 7.18 | 1.00 | 2.00 | 7.00 | 23.40 | 31 |
| Skin flap 9 h | 8.61 | 5.68 | 11.00 | 2.00 | 7.84 | 20.00 | 25 |
| Skin flap 10 h | 11.54 | 6.34 | 1.00 | 3.00 | 10.00 | 24.00 | 30 |
| Skin flap 12 h | 12.62 | 8.37 | 2.00 | 2.64 | 11.00 | 27.00 | 40 |
| Skin flap retromamillary | 7.43 | 6.01 | 1.00 | 2.00 | 5.00 | 19.60 | 34 |
| Skin flap max. | 17.19 | 7.72 | 3.00 | 7.00 | 16.00 | 30.20 | 40 |
| Skin flap median | 10.30 | 5.45 | 2.00 | 3.00 | 9.00 | 21.10 | 25.00 |
| Skin flap min. | 3.97 | 3.03 | 1.00 | 1.00 | 3.00 | 9.40 | 17.00 |
| Skin flap mean | 17.70 | 8.88 | 4.83 | 6.13 | 16.00 | 33.37 | 45.83 |
| Skin flap mean without min./max. | 6.05 | 3.09 | 1.71 | 2.07 | 5.43 | 11.50 | 15.85 |
| Residual glandular tissue amount | 0.65 | 1.01 | 0.00 | 0.00 | 1.20 | 2.62 | 5.50 |
| 1 | 2 | 3 | 4 | 5 | 6 | 7 | 8 | 9 | 10 | 11 | 12 | |
|---|---|---|---|---|---|---|---|---|---|---|---|---|
| Intercept | 0.2230 | 0.2029 | 0.3319 * | 0.3279 | 0.2948 * | 0.3097 * | 0.2164 | 0.2111 | 0.2179 | 0.2123 | 0.2855 * | 0.3049 * |
| (0.2258) | (0.2600) | (0.1993) | (0.2282) | (0.1497) | (0.1710) | (0.2055) | (0.2362) | (0.2022) | (0.2321) | (0.1589) | (0.1803) | |
| Breast compression | 0.4140 | 0.2290 | −0.0474 | 0.2862 | 0.2687 | 0.1094 | ||||||
| (0.6334) | (0.5228) | (0.5676) | (0.6060) | (0.5852) | (0.4159) | |||||||
| Skin Flap max. | 0.0248 ** | 0.0268 ** | ||||||||||
| (0.0120) | (0.0131) | |||||||||||
| Skin Flap max.: Compression | −0.0394 | |||||||||||
| (0.0445) | ||||||||||||
| Skin flap median | 0.0308 * | 0.0333 * | ||||||||||
| (0.0171) | (0.0187) | |||||||||||
| Skin flap median: Compression | −0.0462 | |||||||||||
| (0.0579) | ||||||||||||
| Skin flap min. | 0.0892 *** | 0.0876 *** | ||||||||||
| (0.0300) | (0.0317) | |||||||||||
| Skin flap min.: Compression | 0.0001 | |||||||||||
| (0.2241) | ||||||||||||
| Skin flap mean | 0.0244 ** | 0.0254 ** | ||||||||||
| (0.0104) | (0.0113) | |||||||||||
| Skin flap mean: Compression | −0.0286 | |||||||||||
| (0.0429) | ||||||||||||
| Skin flap mean ex min./max. | 0.0714 ** | 0.0744 ** | ||||||||||
| (0.0298) | (0.0324) | |||||||||||
| Skin flap mean ex min./max.: Compression | −0.0796 | |||||||||||
| (0.1200) | ||||||||||||
| Skin flap retromamillary | 0.0625 *** | 0.0652 *** | ||||||||||
| (0.0164) | (0.0175) | |||||||||||
| Skin flap retromamillary: Compression | −0.0564 | |||||||||||
| (0.0584) | ||||||||||||
| R2 | 0.0359 | 0.0439 | 0.0274 | 0.0354 | 0.0714 | 0.0717 | 0.0460 | 0.0506 | 0.0475 | 0.0521 | 0.1300 | 0.1445 |
| Adj. R2 | 0.0275 | 0.0185 | 0.0189 | 0.0098 | 0.0634 | 0.0471 | 0.0377 | 0.0253 | 0.0392 | 0.0269 | 0.1211 | 0.1175 |
| N | 117 | 117 | 117 | 117 | 117 | 117 | 117 | 117 | 117 | 117 | 99 | 99 |
| 1 | 2 | 3 | 4 | 5 | 6 | 7 | 8 | 9 | |
|---|---|---|---|---|---|---|---|---|---|
| Intercept | 7.3553 ** | 16.7016 *** | 35.1283 *** | 16.8605 *** | 3.2237 *** | 5.9272 *** | 27.0457 *** | 15.6313 *** | 22.7507 *** |
| −37,021 | −10,390 | −22,151 | −12,077 | (0.9751) | −12,531 | −20,650 | −13,805 | −11,900 | |
| Age | 0.2650 *** | ||||||||
| (0.0925) | |||||||||
| RRBM o. RRCM | 26,334 | ||||||||
| −16,753 | |||||||||
| Breast density | −6.2014 *** | ||||||||
| (0.7512) | |||||||||
| Breast side | 15,858 | ||||||||
| −16,458 | |||||||||
| Postop. breast volume | 0.0340 *** | ||||||||
| (0.0020) | |||||||||
| Preop. breast volume | 0.0137 *** | ||||||||
| (0.0013) | |||||||||
| ln(surgeon experience) | −3.7548 *** | ||||||||
| (0.7741) | |||||||||
| Surgical method Inframammary fold incision NSM | 1.1606 * | ||||||||
| (0.6222) | |||||||||
| Surgeon experience | −0.3045 *** | ||||||||
| (0.0565) | |||||||||
| R2 | 0.0666 | 0.0210 | 0.3762 | 0.0080 | 0.7081 | 0.4982 | 0.1698 | 0.0294 | 0.2015 |
| Adj. R2 | 0.0585 | 0.0125 | 0.3707 | −0.0006 | 0.7056 | 0.4938 | 0.1626 | 0.0209 | 0.1945 |
| N | 117 | 117 | 115 | 117 | 117 | 115 | 117 | 117 | 117 |
| 1 | 2 | 3 | 4 | 5 | 6 | 7 | 8 | 9 | 10 | |
|---|---|---|---|---|---|---|---|---|---|---|
| Intercept | 1.2756 *** | −0.8475 | 1.4773 *** | −0.6011 | 1.6765 *** | −0.4200 | 1.6708 *** | −0.4183 | 1.0220 * | −0.7400 |
| (0.4321) | (0.8042) | (0.4804) | (0.8057) | (0.5175) | (0.8493) | (0.5337) | (0.8533) | (0.5335) | (0.7827) | |
| Age | −0.0254 ** | −0.0139 | −0.0256 ** | −0.0133 | −0.0264 ** | −0.0141 | −0.0263 ** | −0.0142 | −0.0300 *** | −0.0196 * |
| (0.0112) | (0.0121) | (0.0112) | (0.0119) | (0.0113) | (0.0120) | (0.0114) | (0.0121) | (0.0108) | (0.0111) | |
| RRBM o. RRCM | 0.0905 | 0.0172 | 0.0936 | 0.0159 | 0.0601 | −0.0045 | 0.0600 | −0.0048 | 0.2166 | 0.1614 |
| (0.1936) | (0.1971) | (0.1937) | (0.1948) | (0.1963) | (0.1976) | (0.1973) | (0.1985) | (0.1910) | (0.1848) | |
| Breast density | 0.4012 *** | 0.4335 *** | 0.4234 *** | 0.4268 *** | 0.3649 *** | |||||
| (0.1381) | (0.1376) | (0.1387) | (0.1411) | (0.1296) | ||||||
| Breast side | −0.0620 | −0.0715 | −0.0535 | −0.0484 | −0.0720 | −0.0618 | −0.0724 | −0.0604 | −0.0367 | −0.0030 |
| (0.1783) | (0.1796) | (0.1786) | (0.1780) | (0.1795) | (0.1795) | (0.1805) | (0.1805) | (0.1707) | (0.1654) | |
| Preop. breast volume | −0.0009 *** | −0.0008 *** | −0.0008 *** | −0.0008 *** | −0.0002 | |||||
| (0.0003) | (0.0003) | (0.0003) | (0.0003) | (0.0003) | ||||||
| Breast compression | −0.2598 | −0.1743 | −0.2344 | −0.2559 | −0.4893 | −0.6163 | ||||
| (0.2516) | (0.2527) | (0.5979) | (0.5978) | (0.5689) | (0.5517) | |||||
| Skin flap mean | 0.0640 *** | 0.0537 *** | 0.0574 *** | 0.0460 *** | 0.0536 *** | 0.0428 *** | 0.0537 *** | 0.0425 *** | 0.0393 ** | 0.0493 *** |
| (0.0144) | (0.0129) | (0.0160) | (0.0134) | (0.0164) | (0.0142) | (0.0166) | (0.0144) | (0.0162) | (0.0132) | |
| Skin flap mean: Compression | −0.0020 | 0.0063 | 0.0121 | 0.0271 | ||||||
| (0.0416) | (0.0419) | (0.0395) | (0.0385) | |||||||
| Inframammary fold incision-NSM | 0.8279 *** | 0.8553 *** | ||||||||
| (0.2227) | (0.1826) | |||||||||
| Surgeon experience | −0.0074 | −0.0142 * | −0.0092 | −0.0154 * | −0.0092 | −0.0155 * | −0.0136 * | −0.0169 ** | ||
| (0.0077) | (0.0076) | (0.0079) | (0.0078) | (0.0079) | (0.0079) | (0.0076) | (0.0072) | |||
| R2 | 0.1715 | 0.1582 | 0.1785 | 0.1848 | 0.1866 | 0.1884 | 0.1867 | 0.1886 | 0.2813 | 0.3289 |
| Adj. R2 | 0.1335 | 0.1196 | 0.1329 | 0.1395 | 0.1334 | 0.1353 | 0.1253 | 0.1274 | 0.2197 | 0.2714 |
| N | 115 | 115 | 115 | 115 | 115 | 115 | 115 | 115 | 115 | 115 |
Disclaimer/Publisher’s Note: The statements, opinions and data contained in all publications are solely those of the individual author(s) and contributor(s) and not of MDPI and/or the editor(s). MDPI and/or the editor(s) disclaim responsibility for any injury to people or property resulting from any ideas, methods, instructions or products referred to in the content. |
© 2023 by the authors. Licensee MDPI, Basel, Switzerland. This article is an open access article distributed under the terms and conditions of the Creative Commons Attribution (CC BY) license (https://creativecommons.org/licenses/by/4.0/).
Share and Cite
Dietzel, F.; Kolberg, L.; Vesper, A.S.; Hoffmann, J.; Nestle-Krämling, C.; Zwiefel, K.; Friebe, V.; Sawicki, L.M.; Bruckmann, N.M.; Jannusch, K.; et al. Factors Influencing Residual Glandular Breast Tissue after Risk-Reducing Mastectomy in Genetically Predisposed Individuals Detected by MRI Mammography. Cancers 2023, 15, 829. https://doi.org/10.3390/cancers15030829
Dietzel F, Kolberg L, Vesper AS, Hoffmann J, Nestle-Krämling C, Zwiefel K, Friebe V, Sawicki LM, Bruckmann NM, Jannusch K, et al. Factors Influencing Residual Glandular Breast Tissue after Risk-Reducing Mastectomy in Genetically Predisposed Individuals Detected by MRI Mammography. Cancers. 2023; 15(3):829. https://doi.org/10.3390/cancers15030829
Chicago/Turabian StyleDietzel, Frederic, Leoni Kolberg, Anne Sophie Vesper, Jürgen Hoffmann, Carolin Nestle-Krämling, Karin Zwiefel, Verena Friebe, Lino M. Sawicki, Nils Martin Bruckmann, Kai Jannusch, and et al. 2023. "Factors Influencing Residual Glandular Breast Tissue after Risk-Reducing Mastectomy in Genetically Predisposed Individuals Detected by MRI Mammography" Cancers 15, no. 3: 829. https://doi.org/10.3390/cancers15030829
APA StyleDietzel, F., Kolberg, L., Vesper, A. S., Hoffmann, J., Nestle-Krämling, C., Zwiefel, K., Friebe, V., Sawicki, L. M., Bruckmann, N. M., Jannusch, K., Morawitz, J., Antoch, G., Fehm, T. N., Kirchner, J., & Mohrmann, S. (2023). Factors Influencing Residual Glandular Breast Tissue after Risk-Reducing Mastectomy in Genetically Predisposed Individuals Detected by MRI Mammography. Cancers, 15(3), 829. https://doi.org/10.3390/cancers15030829

