Can High-Frequency Intraoral Ultrasound Predict Histological Risk Factors in Oral Squamous Cell Carcinoma? A Preliminary Experience
Abstract
Simple Summary
Abstract
1. Introduction
2. Materials and Methods
2.1. Patients
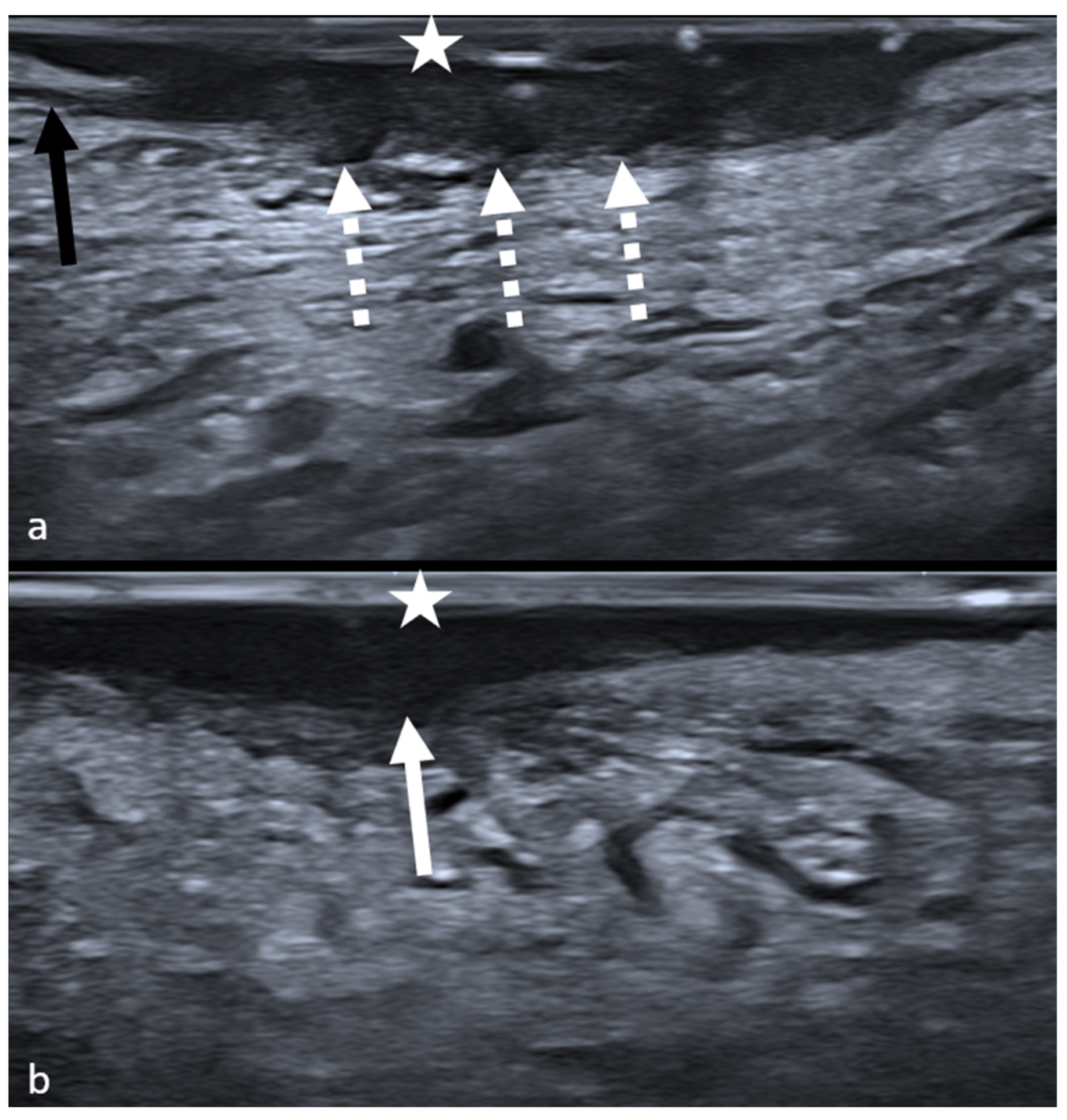
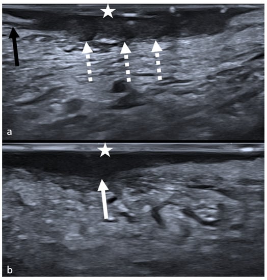
2.2. Intraoral Ultrasound and Image Examination
2.3. Statistics
3. Results
4. Discussion
5. Conclusions
Author Contributions
Funding
Institutional Review Board Statement
Informed Consent Statement
Data Availability Statement
Conflicts of Interest
References
- Henley, S.J.; Ward, E.M.; Scott, S.; Ma, J.; Anderson, R.N.; Firth, A.U.; Thomas, C.C.; Islami, F.; Weir, H.K.; Lewis, D.R.; et al. Annual Report to the Nation on the Status of Cancer, Part I: National Cancer Statistics. Cancer 2020, 126, 2225–2249. [Google Scholar] [CrossRef] [PubMed]
- Xu, B.; Salama, A.M.; Valero, C.; Yuan, A.; Khimraj, A.; Saliba, M.; Zanoni, D.K.; Ganly, I.; Patel, S.G.; Katabi, N.; et al. The Prognostic Role of Histologic Grade, Worst Pattern of Invasion, and Tumor Budding in Early Oral Tongue Squamous Cell Carcinoma: A Comparative Study. Virchows Arch. 2021, 479, 597–606. [Google Scholar] [CrossRef] [PubMed]
- Tsai, T.Y.; Iandelli, A.; Marchi, F.; Huang, Y.; Tai, S.F.; Hung, S.Y.; Kao, H.K.; Chang, K.P. The Prognostic Value of Lymph Node Burden in Oral Cavity Cancer: Systematic Review and Meta-Analysis. Laryngoscope 2022, 132, 88–95. [Google Scholar] [CrossRef]
- Balasubramanian, D.; Thankappan, K.; Battoo, A.J.; Rajapurkar, M.; Kuriakose, M.A.; Iyer, S. Isolated Skip Nodal Metastasis Is Rare in T1 and T2 Oral Tongue Squamous Cell Carcinoma. Otolaryngol.-Head Neck Surg. 2012, 147, 275–277. [Google Scholar] [CrossRef] [PubMed]
- Zanoni, D.K.; Montero, P.H.; Migliacci, J.C.; Shah, J.P.; Wong, R.J.; Ganly, I.; Patel, S.G. Survival Outcomes after Treatment of Cancer of the Oral Cavity (1985–2015). Oral Oncol. 2019, 90, 115–121. [Google Scholar] [CrossRef] [PubMed]
- Marur, S.; Forastiere, A.A. Head and Neck Squamous Cell Carcinoma: Update on Epidemiology, Diagnosis, and Treatment. Mayo Clin. Proc. 2016, 91, 386–396. [Google Scholar] [CrossRef] [PubMed]
- Riemann, M. Oral Squamous Cell Carcinoma of the Tongue: Prospective and Objective Speech Evaluation of Patients Undergoing Surgical Therapy. Head Neck 2014, 36, 1391. [Google Scholar] [CrossRef]
- Rogers, S.N.; Brown, J.S.; Woolgar, J.A.; Lowe, D.; Magennis, P.; Shaw, R.J.; Sutton, D.; Errington, D.; Vaughan, D. Survival Following Primary Surgery for Oral Cancer. Oral Oncol. 2009, 45, 201–211. [Google Scholar] [CrossRef]
- Brierley, J. TNM Classification of Malignant Tumours, 8th ed.; Wiley-Blackwell: Hoboken, NJ, USA, 2016; Volume 6, ISBN 9786021018187. [Google Scholar]
- Iandelli, A.; Marchi, F.; Chen, A.C.; Young, C.K.; Liao, C.T.; Tsao, C.K.; Kang, C.J.; Wang, H.M.; Chang, T.C.J.; Huang, S.F. Adequacy of Disease Control by Supraomohyoid Neck Dissection in CT1/T2 Tongue Cancer. J. Pers. Med. 2022, 12, 1535. [Google Scholar] [CrossRef]
- Shim, S.J.; Cha, J.; Koom, W.S.; Kim, G.E.; Lee, C.G.; Choi, E.C.; Keum, K.C. Clinical Outcomes for T1-2N0-1oral Tongue Cancer Patients Underwent Surgery with and without Postoperative Radiotherapy. Radiat. Oncol. 2010, 5, 43. [Google Scholar] [CrossRef]
- Ebrahimi, A.; Gil, Z.; Amit, M.; Yen, T.C.; Liao, C.T.; Chaturvedi, P.; Agarwal, J.P.; Kowalski, L.P.; Kreppel, M.; Cernea, C.R.; et al. Primary Tumor Staging for Oral Cancer and a Proposed Modification Incorporating Depth of Invasion: An International Multicenter Retrospective Study. JAMA Otolaryngol.-Head Neck Surg. 2014, 140, 1138–1148. [Google Scholar] [CrossRef] [PubMed]
- Erriu, M.; Pili, F.M.G.; Cadoni, S.; Garau, V. Diagnosis of Lingual Atrophic Conditions: Associations with Local and Systemic Factors. A Descriptive Review. Open Dent. J. 2016, 10, 619–635. [Google Scholar] [CrossRef] [PubMed]
- Marchi, F.; Filauro, M.; Iandelli, A.; Carobbio, A.L.C.; Mazzola, F.; Santori, G.; Parrinello, G.; Canevari, F.R.M.; Piazza, C.; Peretti, G. Magnetic Resonance vs. Intraoral Ultrasonography in the Preoperative Assessment of Oral Squamous Cell Carcinoma: A Systematic Review and Meta-Analysis. Front. Oncol. 2020, 9, 1571. [Google Scholar] [CrossRef] [PubMed]
- Filauro, M.; Missale, F.; Marchi, F.; Iandelli, A.; Carobbio, A.L.C.; Mazzola, F.; Parrinello, G.; Barabino, E.; Cittadini, G.; Farina, D.; et al. Intraoral Ultrasonography in the Assessment of DOI in Oral Cavity Squamous Cell Carcinoma: A Comparison with Magnetic Resonance and Histopathology. Eur. Arch. Oto-Rhino-Laryngol. 2021, 278, 2943–2952. [Google Scholar] [CrossRef]
- Lee, A.; Li, X.; Lee, N. Head and Neck Cancers. Princ. Pract. Part. Ther. 2022, 239–260. [Google Scholar] [CrossRef]
- Subramaniam, N.; Balasubramanian, D.; Murthy, S.; Kumar, N.; Vidhyadharan, S.; Vijayan, S.N.; Nambiar, A.; Thankappan, K.; Iyer, S. Predictors of Locoregional Control in Stage I/II Oral Squamous Cell Carcinoma Classified by AJCC 8th Edition. Eur. J. Surg. Oncol. 2019, 45, 2126–2130. [Google Scholar] [CrossRef]
- Balasubramanian, D.; Subramaniam, N.; Missale, F.; Marchi, F.; Dokhe, Y.; Vijayan, S.; Nambiar, A.; Mattavelli, D.; Calza, S.; Bresciani, L.; et al. Predictive Nomograms for Oral Tongue Squamous Cell Carcinoma Applying the American Joint Committee on Cancer/Union Internationale Contre Le Cancer 8th Edition Staging System. Head Neck 2021, 43, 1043–1055. [Google Scholar] [CrossRef]
- Helliwell, T.R.; Giles, T.E. Pathological Aspects of the Assessment of Head and Neck Cancers: United Kingdom National Multidisciplinary Guidelines. J. Laryngol. Otol. 2016, 130, S59–S65. [Google Scholar] [CrossRef][Green Version]
- Brandwein-Gensler, M. OSCC Histologic Risk Assessment, but Not Margin Status, Is Strongly Predictive of Local Disease-Free and Overall Survival. Am. J. Surg. Pathol. 2005, 29, 167–179. [Google Scholar] [CrossRef]
- Li, Y.; Bai, S.; Carroll, W.; Dayan, D.; Dort, J.C.; Heller, K.; Jour, G.; Lau, H.; Penner, C.; Prystowsky, M.; et al. Validation of the Risk Model: High-Risk Classification and Tumor Pattern of Invasion Predict Outcome for Patients with Low-Stage Oral Cavity Squamous Cell Carcinoma. Head Neck Pathol. 2013, 7, 211–223. [Google Scholar] [CrossRef]
- Liao, C.T.; Chang, J.T.C.; Wang, H.M.; Ng, S.H.; Hsueh, C.; Lee, L.Y.; Lin, C.H.; Chen, I.H.; Huang, S.F.; Cheng, A.J.; et al. Salvage Therapy in Relapsed Squamous Cell Carcinoma of the Oral Cavity: How and When? Cancer 2008, 112, 94–103. [Google Scholar] [CrossRef]
- Kowalski, L.P. Eugene Nicholas Myers’ Lecture on Head and Neck Cancer, 2020: The Surgeon as a Prognostic Factor in Head and Neck Cancer Patients Undergoing Surgery. Int. Arch. Otorhinolaryngol. 2023, 27, e536–e546. [Google Scholar] [CrossRef] [PubMed]
- Köhler, H.F.; Vartanian, J.G.; Pinto, C.A.L.; da Silva Rodrigues, I.F.P.; Kowalski, L.P. The Impact of Worst Pattern of Invasion on the Extension of Surgical Margins in Oral Squamous Cell Carcinoma. Head Neck 2022, 44, 691–697. [Google Scholar] [CrossRef] [PubMed]
- Montero, P.H.; Patel, S.G. Cancer of the Oral Cavity. Surg. Oncol. Clin. N. Am. 2015, 24, 491–508. [Google Scholar] [CrossRef] [PubMed]
- Shintani, S.; Yoshihama, Y.; Ueyama, Y.; Terakado, N.; Kamei, S.; Fijimoto, Y.; Hasegawa, Y.; Matsuura, H.; Matsumura, T. The Usefulness of Intraoral Ultrasonography in the Evaluation of Oral Cancer. Int. J. Oral Maxillofac. Surg. 2001, 30, 139–143. [Google Scholar] [CrossRef]
- Di Stasio, D.; Montella, M.; Romano, A.; Colella, G.; Serpico, R.; Lucchese, A. High-Definition Ultrasound Characterization of Squamous Carcinoma of the Tongue: A Descriptive Observational Study. Cancers 2022, 14, 564. [Google Scholar] [CrossRef] [PubMed]
- Caudell, J.J.; Gillison, M.L.; Maghami, E.; Spencer, S.; Pfister, D.G.; Adkins, D.; Birkeland, A.C.; Brizel, D.M.; Busse, P.M.; Cmelak, A.J. National Comprehensive Cancer Network. Head and Neck Cancers (Version 1.2022). J. Natl. Compr. Cancer Netw. 2022, 20, 224–234. [Google Scholar] [CrossRef]
- Massagué, J.; Ganesh, K. Metastasis-Initiating Cells and Ecosystems. Cancer Discov. 2021, 11, 971–994. [Google Scholar] [CrossRef]
- Sullivan, R.O.; Callanan, D.; Sheahan, P.; Feeley, L. Significance of Worst Pattern of Invasion 5 in Early- Stage Oral Cavity Squamous Cell Carcinoma. Head Neck Pathol. 2023, 1–15. [Google Scholar] [CrossRef]
- Yue, L.E.; Sharif, K.F.; Sims, J.R.; Sandler, M.L.; Baik, F.M.; Sobotka, S.; Everest, S.; Brandwein-Weber, M.; Khorsandi, A.S.; Likhterov, I.; et al. Oral Squamous Carcinoma: Aggressive Tumor Pattern of Invasion Predicts Direct Mandible Invasion. Head Neck 2020, 42, 3171–3178. [Google Scholar] [CrossRef]
- Jayakar, S.K.; Loudig, O.; Brandwein-Gensler, M.; Kim, R.S.; Ow, T.J.; Ustun, B.; Harris, T.M.; Prystowsky, M.B.; Childs, G.; Segall, J.E.; et al. Apolipoprotein E Promotes Invasion in Oral Squamous Cell Carcinoma. Am. J. Pathol. 2017, 187, 2259–2272. [Google Scholar] [CrossRef] [PubMed]
- Langley, R.R.; Fidler, I.J. The Seed and Soil Hypothesis Revisited-The Role of Tumor-Stroma Interactions in Metastasis to Different Organs. Int. J. Cancer 2011, 128, 2527–2535. [Google Scholar] [CrossRef] [PubMed]
- Parekh, D.; Kukreja, P.; Mallick, I.; Roy, P. Worst Pattern of Invasion-Type 4 (WPOI-4) and Lymphocyte Host Response Should Be Mandatory Reporting Criteria for Oral Cavity Squamous Cell Carcinoma: A Re-Look at the American Joint Committee of Cancer (AJCC) Minimum Dataset. Indian J Pathol Microbiol. 2020, 63, 527–533. [Google Scholar] [PubMed]
- Yasuda, M.; Chiodo, C.; Lilley, C.; Mehrotra, S.; Ananthanarayanan, V.; Ziegler, A.; Thorpe, E. Relationship Between Worst Pattern of Invasion and Extranodal Extension in Oral Tongue Squamous Cell Carcinomas. Head Neck Pathol. 2023, 17, 460–466. [Google Scholar] [CrossRef] [PubMed]
- Ebrahimi, A.; Gil, Z.; Amit, M.; Yen, T.C.; Liao, C.T.; Chaturvedi, P.; Agarwal, J.P.; Kowalski, L.P.; Köhler, H.F.; Kreppel, M.; et al. Depth of Invasion Alone as an Indication for Postoperative Radiotherapy in Small Oral Squamous Cell Carcinomas: An International Collaborative Study. Head Neck 2019, 41, 1935–1942. [Google Scholar] [CrossRef] [PubMed]
- Pu, Y.; Ding, L.; Wang, Y.; Wang, Y.; Chen, S.; Huang, X.; He, Z.; Ni, Y.; Hu, Q. Biopsy Pattern of Invasion Type to Determine the Surgical Approach in Early-Stage Oral Squamous Cell Carcinoma. Virchows Arch. 2021, 479, 109–119. [Google Scholar] [CrossRef]
- Dik, E.A.; Ipenburg, N.A.; Kessler, P.A.; van Es, R.J.J.; Willems, S.M. The Value of Histological Grading of Biopsy and Resection Specimens in Early Stage Oral Squamous Cell Carcinomas. J. Cranio-Maxillofac. Surg. 2018, 46, 1001–1006. [Google Scholar] [CrossRef]
- Dik, E.A.; Ipenburg, N.A.; Adriaansens, S.O.; Kessler, P.A.; Van Es, R.J.; Willems, S.M. Poor Correlation of Histologic Parameters between Biopsy and Resection Specimen in Early Stage Oral Squamous Cell Carcinoma. Am. J. Clin. Pathol. 2015, 144, 659–666. [Google Scholar] [CrossRef]
- Singh, A.; Singhavi, H.; Sathe, P.; Mair, M.; Qayyumi, B.; Shetty, R.; Bal, M.; Joshi, P.; Nair, S.; Chaturvedi, P. The Impact of Peritumoral Depapillation in Cancers of the Tongue. Oral Surg. Oral Med. Oral Pathol. Oral Radiol. 2020, 129, 369–376. [Google Scholar] [CrossRef]
- Iandelli, A.; Sampieri, C.; Marchi, F.; Pennacchi, A.; Carobbio, A.L.C.; Lovino Camerino, P.; Filauro, M.; Parrinello, G.; Peretti, G. The Role of Peritumoral Depapillation and Its Impact on Narrow-Band Imaging in Oral Tongue Squamous Cell Carcinoma. Cancers 2023, 15, 1169. [Google Scholar] [CrossRef]
- McQueen, A.S.; Bhatia, K.S. Head and Neck Ultrasound: Technical Advances, Novel Applications and the Role of Elastography. Clin. Radiol. 2018, 73, 81–93. [Google Scholar] [CrossRef] [PubMed]
- Furukawa, M.; Hashimoto, K.; Kitani, Y.; Yoshida, M. Point-of-Care Ultrasound in the Head and Neck Region. J. Med. Ultrason. 2022, 49, 593–600. [Google Scholar] [CrossRef]
- Yesuratnam, A.; Wiesenfeld, D.; Tsui, A.; Iseli, T.A.; Hoorn, S.V.; Ang, M.T.; Guiney, A.; Phal, P.M. Preoperative Evaluation of Oral Tongue Squamous Cell Carcinoma with Intraoral Ultrasound and Magnetic Resonance Imaging-Comparison with Histopathological Tumour Thickness and Accuracy in Guiding Patient Management. Int. J. Oral Maxillofac. Surg. 2014, 43, 787–794. [Google Scholar] [CrossRef] [PubMed]
- Moreno, K.F.; Cornelius, R.S.; Lucas, F.V.; Meinzen-Derr, J.; Patil, Y.J. Using 3 Tesla Magnetic Resonance Imaging in the Pre-Operative Evaluation of Tongue Carcinoma. J. Laryngol. Otol. 2017, 131, 793–800. [Google Scholar] [CrossRef] [PubMed]
- Goel, V.; Parihar, P.S.; Parihar, A.; Goel, A.K.; Waghwani, K.; Gupta, R.; Bhutekar, U. Accuracy of MRI in Prediction of Tumour Thickness and Nodal Stage in Oral Tongue and Gingivobuccal Cancer with Clinical Correlation and Staging. J. Clin. Diagn. Res. 2016, 10, TC01–TC05. [Google Scholar] [CrossRef]
- Chen, W.L.; Su, C.C.; Chen, C.M.; Lee, M.C.; Chen, H.C.; Chen, M.K. MRI-Derived Tumor Thickness: An Important Predictor of Outcome for T4a-Staged Tongue Carcinoma. Eur. Arch. Oto-Rhino-Laryngol. 2012, 269, 959–963. [Google Scholar] [CrossRef]
- Lodder, W.L.; Teertstra, H.J.; Tan, I.B.; Pameijer, F.A.; Smeele, L.E.; Van Velthuysen, M.L.F.; Van Den Brekel, M.W.M. Tumour Thickness in Oral Cancer Using an Intra-Oral Ultrasound Probe. Eur. Radiol. 2011, 21, 98–106. [Google Scholar] [CrossRef]
- Mark Taylor, S.; Drover, C.; MacEachern, R.; Bullock, M.; Hart, R.; Psooy, B.; Trites, J. Is Preoperative Ultrasonography Accurate in Measuring Tumor Thickness and Predicting the Incidence of Cervical Metastasis in Oral Cancer? Oral Oncol. 2010, 46, 38–41. [Google Scholar] [CrossRef]
- Kaneoya, A.; Hasegawa, S.; Tanaka, Y.; Omura, K. Quantitative Analysis of Invasive Front in Tongue Cancer Using Ultrasonography. J. Oral Maxillofac. Surg. 2009, 67, 40–46. [Google Scholar] [CrossRef]
- Baek, C.H.; Son, Y.I.; Jeong, H.S.; Chung, M.K.; Park, K.N.; Ko, Y.H.; Kim, H.J. Intraoral Sonography-Assisted Resection of T1-2 Tongue Cancer for Adequate Deep Resection. Otolaryngol.-Head Neck Surg. 2008, 139, 805–810. [Google Scholar] [CrossRef]
- Yamane, M.; Ishii, J.; Izumo, T.; Nagasawa, T.; Amagasa, T. Noninvasive Quantitative Assessment of Oral Tongue Cancer by Intraoral Ultrasonography. InterScience 2007, 29, 307–314. [Google Scholar] [CrossRef] [PubMed]
- Songra, A.K.; Ng, S.Y.; Farthing, P.; Hutchison, I.L.; Bradley, P.F. Observation of Tumour Thickness and Resection Margin at Surgical Excision of Primary Oral Squamous Cell Carcinoma—Assessment by Ultrasound. Int. J. Oral Maxillofac. Surg. 2006, 35, 324–331. [Google Scholar] [CrossRef] [PubMed]
- Caprioli, S.; Casaleggio, A.; Tagliafico, A.S.; Conforti, C.; Borda, F.; Fiannacca, M.; Filauro, M.; Iandelli, A.; Marchi, F.; Parrinello, G.; et al. High-Frequency Intraoral Ultrasound for Preoperative Assessment of Depth of Invasion for Early Tongue Squamous Cell Carcinoma: Radiological–Pathological Correlations. Int. J. Environ. Res. Public Health 2022, 19, 4900. [Google Scholar] [CrossRef] [PubMed]
- Rocchetti, F.; Tenore, G.; Montori, A.; Cassoni, A.; Cantisani, V.; Di Segni, M.; Di Gioia, C.R.T.; Carletti, R.; Valentini, V.; Polimeni, A.; et al. Preoperative Evaluation of Tumor Depth of Invasion in Oral Squamous Cell Carcinoma with Intraoral Ultrasonography: A Retrospective Study. Oral Surg. Oral Med. Oral Pathol. Oral Radiol. 2021, 131, 130–138. [Google Scholar] [CrossRef] [PubMed]
- Takamura, M.; Kobayashi, T.; Nikkuni, Y.; Katsura, K.; Yamazaki, M.; Maruyama, S.; Tanuma, J.; Hayashi, T. A Comparative Study between CT, MRI, and Intraoral US for the Evaluation of the Depth of Invasion in Early Stage (T1/T2) Tongue Squamous Cell Carcinoma. Oral Radiol. 2022, 38, 114–125. [Google Scholar] [CrossRef]
- Izzetti, R.; Nisi, M.; Gennai, S.; Oranges, T.; Crocetti, L.; Caramella, D.; Graziani, F. Evaluation of Depth of Invasion in Oral Squamous Cell Carcinoma with Ultra-High Frequency Ultrasound: A Preliminary Study. Appl. Sci. 2021, 11, 7647. [Google Scholar] [CrossRef]
- Tarabichi, O.; Bulbul, M.G.; Kanumuri, V.V.; Faquin, W.C.; Juliano, A.F.; Cunnane, M.E.; Varvares, M.A. Utility of Intraoral Ultrasound in Managing Oral Tongue Squamous Cell Carcinoma: Systematic Review. Laryngoscope 2019, 129, 662–670. [Google Scholar] [CrossRef]
- Voizard, B.; Khoury, M.; Saydy, N.; Nelson, K.; Cardin, G.B.; Létourneau-Guillon, L.; Filali-Mouhim, A.; Christopoulos, A. Preoperative Evaluation of Depth of Invasion in Oral Tongue Squamous Cell Carcinoma: A Systematic Review and Meta-Analysis. Oral Oncol. 2023, 136, 106273. [Google Scholar] [CrossRef]
- Chaturvedi, A.; Husain, N.; Misra, S.; Kumar, V.; Gupta, S.; Akhtar, N.; Lakshmanan, M.; Garg, S.; Arora, A.; Jain, K. Validation of the Brandwein Gensler Risk Model in Patients of Oral Cavity Squamous Cell Carcinoma in North India. Head Neck Pathol. 2020, 14, 616–622. [Google Scholar] [CrossRef]




| N | |
|---|---|
| Patients | 34 |
| Female | 21 (61.76%) |
| Average age (standard deviation) | 65 (17.15) |
| pT1 | 11 (32.35%) |
| pT2 | 11 (32.35%) |
| pT3 | 8 (23.53%) |
| pT4a | 4 (11.76%) |
| Lymph node(s) metastasis | 8 (23.52%) |
| Brandwein-Gensler score ≥ 3 | 16 (47.06%) |
Disclaimer/Publisher’s Note: The statements, opinions and data contained in all publications are solely those of the individual author(s) and contributor(s) and not of MDPI and/or the editor(s). MDPI and/or the editor(s) disclaim responsibility for any injury to people or property resulting from any ideas, methods, instructions or products referred to in the content. |
© 2023 by the authors. Licensee MDPI, Basel, Switzerland. This article is an open access article distributed under the terms and conditions of the Creative Commons Attribution (CC BY) license (https://creativecommons.org/licenses/by/4.0/).
Share and Cite
Caprioli, S.; Giordano, G.-G.; Pennacchi, A.; Campagnari, V.; Iandelli, A.; Parrinello, G.; Conforti, C.; Gili, R.; Giannini, E.; Marabotto, E.; et al. Can High-Frequency Intraoral Ultrasound Predict Histological Risk Factors in Oral Squamous Cell Carcinoma? A Preliminary Experience. Cancers 2023, 15, 4413. https://doi.org/10.3390/cancers15174413
Caprioli S, Giordano G-G, Pennacchi A, Campagnari V, Iandelli A, Parrinello G, Conforti C, Gili R, Giannini E, Marabotto E, et al. Can High-Frequency Intraoral Ultrasound Predict Histological Risk Factors in Oral Squamous Cell Carcinoma? A Preliminary Experience. Cancers. 2023; 15(17):4413. https://doi.org/10.3390/cancers15174413
Chicago/Turabian StyleCaprioli, Simone, Giorgio-Gregory Giordano, Alessia Pennacchi, Valentina Campagnari, Andrea Iandelli, Giampiero Parrinello, Cristina Conforti, Riccardo Gili, Edoardo Giannini, Elisa Marabotto, and et al. 2023. "Can High-Frequency Intraoral Ultrasound Predict Histological Risk Factors in Oral Squamous Cell Carcinoma? A Preliminary Experience" Cancers 15, no. 17: 4413. https://doi.org/10.3390/cancers15174413
APA StyleCaprioli, S., Giordano, G.-G., Pennacchi, A., Campagnari, V., Iandelli, A., Parrinello, G., Conforti, C., Gili, R., Giannini, E., Marabotto, E., Kayali, S., Bianchi, B., Peretti, G., Cittadini, G., & Marchi, F. (2023). Can High-Frequency Intraoral Ultrasound Predict Histological Risk Factors in Oral Squamous Cell Carcinoma? A Preliminary Experience. Cancers, 15(17), 4413. https://doi.org/10.3390/cancers15174413

