Comparative Study of the Role of Interepithelial Mucosal Mast Cells in the Context of Intestinal Adenoma-Carcinoma Progression
Abstract
Simple Summary
Abstract
1. Introduction
2. Materials and Methods
2.1. Archival Mouse Tissue Cohorts
Genetically Engineered Mouse Models
2.2. Human Patients
2.3. Histology, Immunohistochemistry, and Slide Digitalization
2.4. Histological Grading of Intestinal Neoplastic Lesions
2.5. Descriptive Semiquantitative Score of Mast Cell Infiltration
2.5.1. Semiquantitative Score for Murine Tissue
2.5.2. Semiquantitative Score for Human Tissue
2.6. Computer Assisted Analysis of Tumor Cell Proliferation (Ki-67)
2.7. Statistical Analyses
3. Results
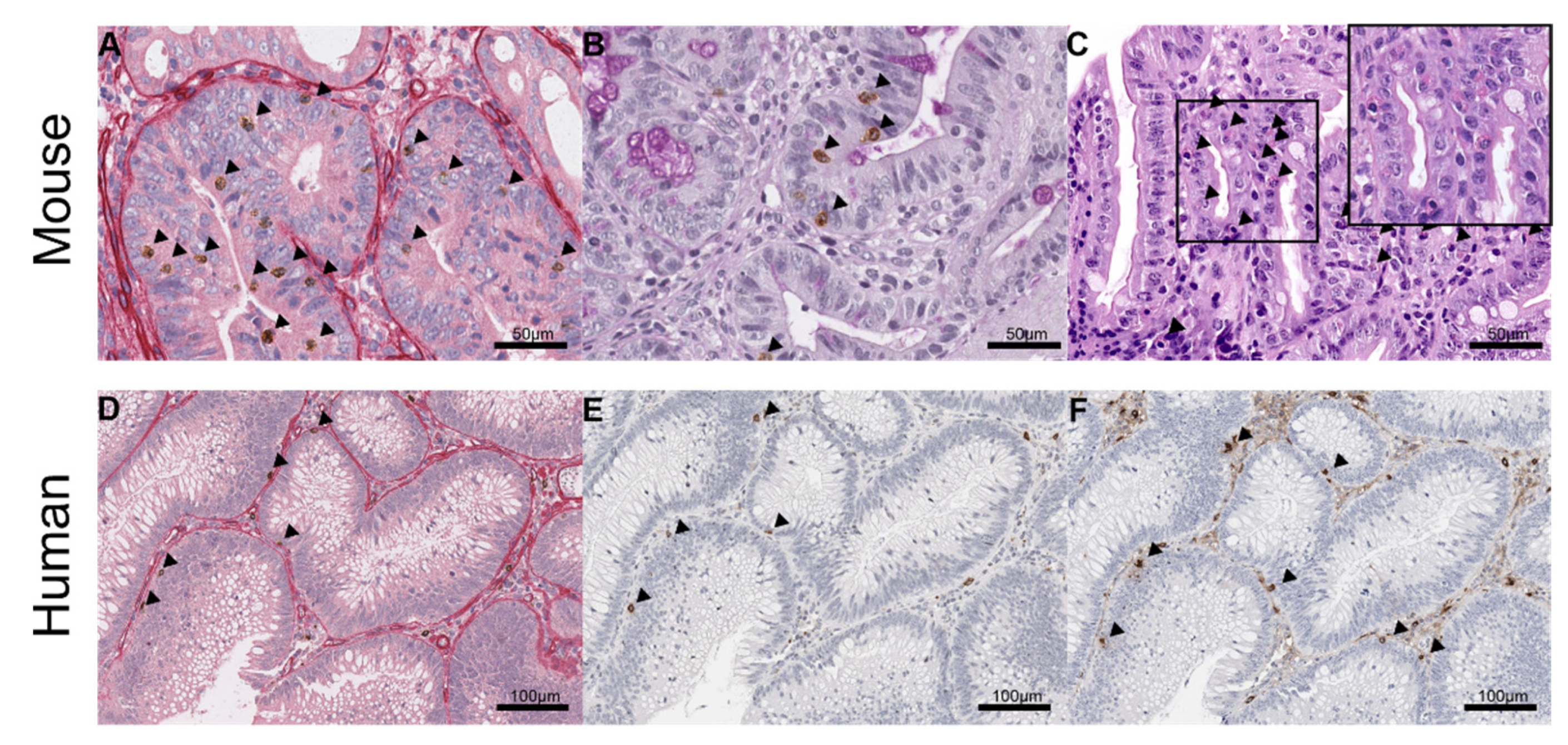
3.1. Comparative Histopathological Description and Characterization of Intestinal Mucosal Mast Cells
3.2. Human
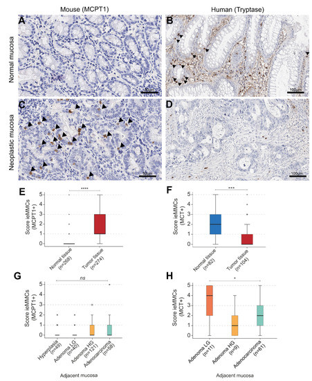
3.2.1. Interepithelial and Stromal Mast Cell Scores in Human Precursor Lesions, Adenocarcinomas, and Adjacent Normal Intestinal Mucosa
3.2.2. General Comparison of ieMMC Scores in Normal Mucosa vs. (Pre-)Neoplastic Human Tissue
3.3. Mouse
3.3.1. Interepithelial and Lamina Proprial Mucosal Mast Cell Scores in Murine Precursor Lesions, Adenocarcinomas, and Adjacent Intestinal Mucosa
3.3.2. General Comparison of ieMMC Scores in Normal Mucosa vs. (Pre-)Neoplastic Murine Tissue
3.3.3. Comparison of ieMMC Scores in Different Intestinal Carcinogenesis GEMMs and Intestinal Localizations
3.3.4. Tumor Proliferation and First Functional Investigations of Murine Intestinal ieMMCs
3.4. Comparison of ieMMCs in the Adenoma-Carcinoma Sequence of Mice and Humans
4. Discussion
5. Conclusions
Supplementary Materials
Author Contributions
Funding
Institutional Review Board Statement
Informed Consent Statement
Data Availability Statement
Acknowledgments
Conflicts of Interest
References
- Sung, H.; Ferlay, J.; Siegel, R.L.; Laversanne, M.; Soerjomataram, I.; Jemal, A.; Bray, F. Global Cancer Statistics 2020: GLOBOCAN Estimates of Incidence and Mortality Worldwide for 36 Cancers in 185 Countries. CA Cancer J. Clin. 2021, 71, 209–249. [Google Scholar] [CrossRef] [PubMed]
- Varricchi, G.; Galdiero, M.R.; Loffredo, S.; Marone, G.; Iannone, R.; Marone, G.; Granata, F. Are Mast Cells MASTers in Cancer? Front. Immunol. 2017, 8, 424. [Google Scholar] [CrossRef] [PubMed]
- Wu, X.; Zou, Y.; He, X.; Yuan, R.; Chen, Y.; Lan, N.; Lian, L.; Wang, F.; Fan, X.; Zeng, Y.; et al. Tumor-infiltrating mast cells in colorectal cancer as a poor prognostic factor. Int. J. Surg. Pathol. 2013, 21, 111–120. [Google Scholar] [CrossRef] [PubMed]
- Yodavudh, S.; Tangjitgamol, S.; Puangsa-art, S. Prognostic significance of microvessel density and mast cell density for the survival of Thai patients with primary colorectal cancer. J. Med. Assoc. Thai. 2008, 91, 723–732. [Google Scholar]
- Gulubova, M.; Vlaykova, T. Prognostic significance of mast cell number and microvascular density for the survival of patients with primary colorectal cancer. J. Gastroenterol. Hepatol. 2009, 24, 1265–1275. [Google Scholar] [CrossRef]
- Ammendola, M.; Sacco, R.; Sammarco, G.; Donato, G.; Montemurro, S.; Ruggieri, E.; Patruno, R.; Marech, I.; Cariello, M.; Vacca, A.; et al. Correlation between serum tryptase, mast cells positive to tryptase and microvascular density in colo-rectal cancer patients: Possible biological-clinical significance. PLoS ONE 2014, 9, e99512. [Google Scholar] [CrossRef]
- Mehdawi, L.; Osman, J.; Topi, G.; Sjolander, A. High tumor mast cell density is associated with longer survival of colon cancer patients. Acta Oncol. 2016, 55, 1434–1442. [Google Scholar] [CrossRef]
- Tan, S.Y.; Fan, Y.; Luo, H.S.; Shen, Z.X.; Guo, Y.; Zhao, L.J. Prognostic significance of cell infiltrations of immunosurveillance in colorectal cancer. World J. Gastroenterol. 2005, 11, 1210–1214. [Google Scholar] [CrossRef]
- Malfettone, A.; Silvestris, N.; Saponaro, C.; Ranieri, G.; Russo, A.; Caruso, S.; Popescu, O.; Simone, G.; Paradiso, A.; Mangia, A. High density of tryptase-positive mast cells in human colorectal cancer: A poor prognostic factor related to protease-activated receptor 2 expression. J. Cell Mol. Med. 2013, 17, 1025–1037. [Google Scholar] [CrossRef]
- Yu, Y.; Blokhuis, B.R.; Garssen, J.; Redegeld, F.A. A Transcriptomic Insight into the Impact of Colon Cancer Cells on Mast Cells. Int. J. Mol. Sci. 2019, 20, 1689. [Google Scholar] [CrossRef]
- Wang, S.; Li, L.; Shi, R.; Liu, X.; Zhang, J.; Zou, Z.; Hao, Z.; Tao, A. Mast Cell Targeted Chimeric Toxin Can Be Developed as an Adjunctive Therapy in Colon Cancer Treatment. Toxins 2016, 8, 71. [Google Scholar] [CrossRef]
- Segura-Villalobos, D.; Ramírez-Moreno, I.G.; Martínez-Aguilar, M.; Ibarra-Sánchez, A.; Muñoz-Bello, J.O.; Anaya-Rubio, I.; Padilla, A.; Macías-Silva, M.; Lizano, M.; González-Espinosa, C. Mast Cell-Tumor Interactions: Molecular Mechanisms of Recruitment, Intratumoral Communication and Potential Therapeutic Targets for Tumor Growth. Cells 2022, 11, 349. [Google Scholar] [CrossRef]
- Marech, I.; Ammendola, M.; Gadaleta, C.; Zizzo, N.; Oakley, C.; Gadaleta, C.D.; Ranieri, G. Possible biological and translational significance of mast cells density in colorectal cancer. World J. Gastroenterol. 2014, 20, 8910–8920. [Google Scholar] [CrossRef]
- Enerbäck, L. Mast cells in rat gastrointestinal mucosa. 2. Dye-binding and metachromatic properties. Acta Pathol. Microbiol. Scand. 1966, 66, 303–312. [Google Scholar] [CrossRef]
- Enerbäck, L. Mast cells in rat gastrointestinal mucosa. 1. Effects of fixation. Acta Pathol. Microbiol. Scand. 1966, 66, 289–302. [Google Scholar] [CrossRef]
- Huntley, J.F. Mast cells and basophils: A review of their heterogeneity and function. J. Comp. Pathol. 1992, 107, 349–372. [Google Scholar] [CrossRef]
- Vogel, P.; Janke, L.; Gravano, D.M.; Lu, M.; Sawant, D.V.; Bush, D.; Shuyu, E.; Vignali, D.A.A.; Pillai, A.; Rehg, J.E. Globule Leukocytes and Other Mast Cells in the Mouse Intestine. Vet. Pathol. 2018, 55, 76–97. [Google Scholar] [CrossRef]
- Ahn, J.Y.; Lee, K.H.; Choi, C.H.; Kim, J.W.; Lee, H.W.; Kim, J.W.; Kim, M.K.; Kwon, G.Y.; Han, S.; Kim, S.E.; et al. Colonic mucosal immune activity in irritable bowel syndrome: Comparison with healthy controls and patients with ulcerative colitis. Dig. Dis. Sci. 2014, 59, 1001–1011. [Google Scholar] [CrossRef]
- Heijmans, J.; Buller, N.V.; Muncan, V.; van den Brink, G.R. Role of mast cells in colorectal cancer development, the jury is still out. Biochim. Biophys. Acta 2012, 1822, 9–13. [Google Scholar] [CrossRef][Green Version]
- Toner, P.G.; Ferguson, A. Intraepithelial cells in the human intestinal mucosa. J. Ultrastruct. Res. 1971, 34, 329–344. [Google Scholar] [CrossRef]
- Acikalin, M.F.; Oner, U.; Topçu, I.; Yaşar, B.; Kiper, H.; Colak, E. Tumour angiogenesis and mast cell density in the prognostic assessment of colorectal carcinomas. Dig. Liver Dis. 2005, 37, 162–169. [Google Scholar] [CrossRef]
- Alves, I.S.; Coser, P.H.; Loureiro, G.J.; Nogueira da Gama, L.P.; Ribeiro Fda, S.; Bautz, W.G.; Coburn, K.L.; Pacheco Mda, S.; da Gama de Souza, L.N. Fibrosis and Mast Cells in Colorectal Lesions: Significance in Adenoma-Colorectal Cancer Sequence and Association with Diet. J. Gastrointest. Cancer 2016, 47, 278–286. [Google Scholar] [CrossRef]
- Mao, Y.; Feng, Q.; Zheng, P.; Yang, L.; Zhu, D.; Chang, W.; Ji, M.; He, G.; Xu, J. Low tumor infiltrating mast cell density confers prognostic benefit and reflects immunoactivation in colorectal cancer. Int. J. Cancer 2018, 143, 2271–2280. [Google Scholar] [CrossRef]
- Flores de Los Rios, P.A.; Soto Domínguez, A.; Arellano-Pérez Vertti, R.D.; Castelán Maldonado, E.E.; Velázquez Gauna, S.E.; Morán Martínez, J.; Salas Treviño, D.; García Garza, R. Differential expression of mast cell granules in samples of metastatic and non-metastatic colorectal cancer in patients. Acta Histochem. 2020, 122, 151618. [Google Scholar] [CrossRef]
- Xia, Q.; Ding, Y.; Wu, X.J.; Peng, R.Q.; Zhou, Q.; Zeng, J.; Hou, J.H.; Zhang, X.; Zeng, Y.X.; Zhang, X.S.; et al. Mast Cells in Adjacent Normal Colon Mucosa rather than Those in Invasive Margin are Related to Progression of Colon Cancer. Chin. J. Cancer Res. 2011, 23, 276–282. [Google Scholar] [CrossRef] [PubMed][Green Version]
- Fearon, E.R.; Vogelstein, B. A genetic model for colorectal tumorigenesis. Cell 1990, 61, 759–767. [Google Scholar] [CrossRef]
- Vogelstein, B.; Fearon, E.R.; Hamilton, S.R.; Kern, S.E.; Preisinger, A.C.; Leppert, M.; Nakamura, Y.; White, R.; Smits, A.M.; Bos, J.L. Genetic alterations during colorectal-tumor development. N. Engl. J. Med. 1988, 319, 525–532. [Google Scholar] [CrossRef] [PubMed]
- Fearon, E.R. Molecular genetics of colorectal cancer. Annu. Rev. Pathol. 2011, 6, 479–507. [Google Scholar] [CrossRef]
- Boivin, G.P.; Washington, K.; Yang, K.; Ward, J.M.; Pretlow, T.P.; Russell, R.; Besselsen, D.G.; Godfrey, V.L.; Doetschman, T.; Dove, W.F.; et al. Pathology of mouse models of intestinal cancer: Consensus report and recommendations. Gastroenterology 2003, 124, 762–777. [Google Scholar] [CrossRef]
- Washington, M.K.; Powell, A.E.; Sullivan, R.; Sundberg, J.P.; Wright, N.; Coffey, R.J.; Dove, W.F. Pathology of rodent models of intestinal cancer: Progress report and recommendations. Gastroenterology 2013, 144, 705–717. [Google Scholar] [CrossRef]
- Jackstadt, R.; Sansom, O.J. Mouse models of intestinal cancer. J. Pathol. 2016, 238, 141–151. [Google Scholar] [CrossRef]
- Leslie, A.; Carey, F.A.; Pratt, N.R.; Steele, R.J. The colorectal adenoma-carcinoma sequence. Br. J. Surg. 2002, 89, 845–860. [Google Scholar] [CrossRef]
- Rad, R.; Cadinanos, J.; Rad, L.; Varela, I.; Strong, A.; Kriegl, L.; Constantino-Casas, F.; Eser, S.; Hieber, M.; Seidler, B.; et al. A genetic progression model of Braf(V600E)-induced intestinal tumorigenesis reveals targets for therapeutic intervention. Cancer Cell 2013, 24, 15–29. [Google Scholar] [CrossRef]
- Betzler, A.M.; Kochall, S.; Blickensdörfer, L.; Garcia, S.A.; Thepkaysone, M.L.; Nanduri, L.K.; Muders, M.H.; Weitz, J.; Reissfelder, C.; Schölch, S. A Genetically Engineered Mouse Model of Sporadic Colorectal Cancer. J. Vis. Exp. 2017, 125, e55952. [Google Scholar] [CrossRef]
- Betzler, A.M.; Nanduri, L.K.; Hissa, B.; Blickensdörfer, L.; Muders, M.H.; Roy, J.; Jesinghaus, M.; Steiger, K.; Weichert, W.; Kloor, M.; et al. Differential Effects of Trp53 Alterations in Murine Colorectal Cancer. Cancers 2021, 13, 808. [Google Scholar] [CrossRef]
- Bennecke, M.; Kriegl, L.; Bajbouj, M.; Retzlaff, K.; Robine, S.; Jung, A.; Arkan, M.C.; Kirchner, T.; Greten, F.R. Ink4a/Arf and oncogene-induced senescence prevent tumor progression during alternative colorectal tumorigenesis. Cancer Cell 2010, 18, 135–146. [Google Scholar] [CrossRef]
- Cheung, A.F.; Carter, A.M.; Kostova, K.K.; Woodruff, J.F.; Crowley, D.; Bronson, R.T.; Haigis, K.M.; Jacks, T. Complete deletion of Apc results in severe polyposis in mice. Oncogene 2010, 29, 1857–1864. [Google Scholar] [CrossRef]
- Harada, N.; Tamai, Y.; Ishikawa, T.; Sauer, B.; Takaku, K.; Oshima, M.; Taketo, M.M. Intestinal polyposis in mice with a dominant stable mutation of the beta-catenin gene. EMBO J. 1999, 18, 5931–5942. [Google Scholar] [CrossRef]
- Leo, V.I.; Tan, S.H.; Bergmann, H.; Cheah, P.Y.; Chew, M.H.; Lim, K.H.; Ruland, J.; Reilly, P.T. CARD9 Promotes Sex-Biased Colon Tumors in the APCmin Mouse Model. Cancer Immunol. Res. 2015, 3, 721–726. [Google Scholar] [CrossRef]
- Parang, B.; Barrett, C.W.; Williams, C.S. AOM/DSS Model of Colitis-Associated Cancer. Methods Mol. Biol. 2016, 1422, 297–307. [Google Scholar] [CrossRef]
- Madison, B.B.; Dunbar, L.; Qiao, X.T.; Braunstein, K.; Braunstein, E.; Gumucio, D.L. Cis elements of the villin gene control expression in restricted domains of the vertical (crypt) and horizontal (duodenum, cecum) axes of the intestine. J. Biol. Chem. 2002, 277, 33275–33283. [Google Scholar] [CrossRef]
- Dalton, D.K.; Pitts-Meek, S.; Keshav, S.; Figari, I.S.; Bradley, A.; Stewart, T.A. Multiple defects of immune cell function in mice with disrupted interferon-gamma genes. Science 1993, 259, 1739–1742. [Google Scholar] [CrossRef]
- Pejler, G.; Rönnberg, E.; Waern, I.; Wernersson, S. Mast cell proteases: Multifaceted regulators of inflammatory disease. Blood 2010, 115, 4981–4990. [Google Scholar] [CrossRef]
- Pejler, G.; Abrink, M.; Ringvall, M.; Wernersson, S. Mast cell proteases. Adv. Immunol. 2007, 95, 167–255. [Google Scholar] [PubMed]
- Nolte, T.; Brander-Weber, P.; Dangler, C.; Deschl, U.; Elwell, M.R.; Greaves, P.; Hailey, R.; Leach, M.W.; Pandiri, A.R.; Rogers, A.; et al. Nonproliferative and Proliferative Lesions ofthe Gastrointestinal Tract, Pancreas andSalivary Glands of the Rat and Mouse. J. Toxicol. Pathol. 2016, 29, 1S–125S. [Google Scholar] [CrossRef]
- Nagtegaal, I.; Arends, M.; Odze, R. Tumours of the Colon and Rectum: WHO classification of tumours of the colon and rectum, TNM staging of carcinomas of the colon and rectum and the Introduction. In World Health Organization Classification of Tumours of the Digestive System; IARC Press: Lyon, France, 2019; pp. 157–187. [Google Scholar]
- Meyerholz, D.K.; Beck, A.P. Fundamental Concepts for Semiquantitative Tissue Scoring in Translational Research. ILAR J. 2018, 59, 13–17. [Google Scholar] [CrossRef] [PubMed]
- Welle, M. Development, significance, and heterogeneity of mast cells with particular regard to the mast cell-specific proteases chymase and tryptase. J. Leukoc. Biol. 1997, 61, 233–245. [Google Scholar] [CrossRef]
- Bankhead, P.; Loughrey, M.B.; Fernández, J.A.; Dombrowski, Y.; McArt, D.G.; Dunne, P.D.; McQuaid, S.; Gray, R.T.; Murray, L.J.; Coleman, H.G.; et al. QuPath: Open source software for digital pathology image analysis. Sci. Rep. 2017, 7, 16878. [Google Scholar] [CrossRef] [PubMed]
- Breiman, L. Random Forests. Mach. Learn. 2001, 45, 5–32. [Google Scholar] [CrossRef]
- Steiger, K.; Ballke, S.; Yen, H.Y.; Seelbach, O.; Alkhamas, A.; Boxberg, M.; Schwamborn, K.; Knolle, P.A.; Weichert, W.; Mogler, C. Histopathological research laboratories in translational research: Conception and integration into the infrastructure of pathological institutes. Pathologe 2019, 40, 172–178. [Google Scholar] [CrossRef] [PubMed]
- Schiltz, P.M.; Lieber, J.; Giorno, R.C.; Claman, H.N. Mast cell immunohistochemistry: Non-immunological immunostaining mediated by non-specific F(ab’)2-mast cell secretory granule interaction. Histochem. J. 1993, 25, 642–647. [Google Scholar] [CrossRef]
- Salomonsson, M.; Malinovschi, A.; Kalm-Stephens, P.; Dahlin, J.S.; Janson, C.; Alving, K.; Hallgren, J. Circulating mast cell progenitors correlate with reduced lung function in allergic asthma. Clin. Exp. Allergy 2019, 49, 874–882. [Google Scholar] [CrossRef]
- Menzies-Gow, A.; Ying, S.; Phipps, S.; Kay, A.B. Interactions between eotaxin, histamine and mast cells in early microvascular events associated with eosinophil recruitment to the site of allergic skin reactions in humans. Clin. Exp. Allergy 2004, 34, 1276–1282. [Google Scholar] [CrossRef]
- Elsaiey, A.; Mahmoud, H.S.; Jensen, C.T.; Klimkowski, S.; Taher, A.; Chaudhry, H.; Morani, A.C.; Wong, V.K.; Salem, U.I.; Palmquist, S.M.; et al. Mastocytosis-A Review of Disease Spectrum with Imaging Correlation. Cancers 2021, 13, 5102. [Google Scholar] [CrossRef]
- Schwartz, L.B. Mast cells: Function and contents. Curr. Opin. Immunol. 1994, 6, 91–97. [Google Scholar] [CrossRef]
- Weidner, N.; Austen, K.F. Heterogeneity of mast cells at multiple body sites. Fluorescent determination of avidin binding and immunofluorescent determination of chymase, tryptase, and carboxypeptidase content. Pathol. Res. Pract. 1993, 189, 156–162. [Google Scholar] [CrossRef]
- Enerbäck, L. Mucosal mast cells in the rat and in man. Int. Arch. Allergy Appl. Immunol. 1987, 82, 249–255. [Google Scholar] [CrossRef]
- Gounaris, E.; Erdman, S.E.; Restaino, C.; Gurish, M.F.; Friend, D.S.; Gounari, F.; Lee, D.M.; Zhang, G.; Glickman, J.N.; Shin, K.; et al. Mast cells are an essential hematopoietic component for polyp development. Proc. Natl. Acad. Sci. USA 2007, 104, 19977–19982. [Google Scholar] [CrossRef]
- Bischoff, S.C.; Wedemeyer, J.; Herrmann, A.; Meier, P.N.; Trautwein, C.; Cetin, Y.; Maschek, H.; Stolte, M.; Gebel, M.; Manns, M.P. Quantitative assessment of intestinal eosinophils and mast cells in inflammatory bowel disease. Histopathology 1996, 28, 1–13. [Google Scholar] [CrossRef]
- Takanami, I.; Takeuchi, K.; Naruke, M. Mast cell density is associated with angiogenesis and poor prognosis in pulmonary adenocarcinoma. Cancer 2000, 88, 2686–2692. [Google Scholar] [CrossRef]
- Johansson, A.; Rudolfsson, S.; Hammarsten, P.; Halin, S.; Pietras, K.; Jones, J.; Stattin, P.; Egevad, L.; Granfors, T.; Wikström, P.; et al. Mast cells are novel independent prognostic markers in prostate cancer and represent a target for therapy. Am. J. Pathol. 2010, 177, 1031–1041. [Google Scholar] [CrossRef] [PubMed]
- Kessler, D.A.; Langer, R.S.; Pless, N.A.; Folkman, J. Mast cells and tumor angiogenesis. Int. J. Cancer 1976, 18, 703–709. [Google Scholar] [CrossRef] [PubMed]
- Sinnamon, M.J.; Carter, K.J.; Sims, L.P.; Lafleur, B.; Fingleton, B.; Matrisian, L.M. A protective role of mast cells in intestinal tumorigenesis. Carcinogenesis 2008, 29, 880–886. [Google Scholar] [CrossRef] [PubMed]
- Ammendola, M.; Patruno, R.; Sacco, R.; Marech, I.; Sammarco, G.; Zuccala, V.; Luposella, M.; Zizzo, N.; Gadaleta, C.; Porcelli, M.; et al. Mast cells positive to tryptase and tumour-associated macrophages correlate with angiogenesis in locally advanced colorectal cancer patients undergone to surgery. Expert Opin. Ther. Targets 2016, 20, 533–540. [Google Scholar] [CrossRef]
- Yu, Y.; Blokhuis, B.R.J.; Diks, M.A.P.; Keshavarzian, A.; Garssen, J.; Redegeld, F.A. Functional Inhibitory Siglec-6 Is Upregulated in Human Colorectal Cancer-Associated Mast Cells. Front. Immunol. 2018, 9, 2138. [Google Scholar] [CrossRef]
- Sammarco, G.; Gallo, G.; Vescio, G.; Picciariello, A.; De Paola, G.; Trompetto, M.; Currò, G.; Ammendola, M. Mast Cells, microRNAs and Others: The Role of Translational Research on Colorectal Cancer in the Forthcoming Era of Precision Medicine. J. Clin. Med. 2020, 9, 2852. [Google Scholar] [CrossRef]
- Komi, D.E.A.; Redegeld, F.A. Role of Mast Cells in Shaping the Tumor Microenvironment. Clin. Rev. Allergy Immunol. 2019, 58, 313–325. [Google Scholar] [CrossRef]
- Wroblewski, M.; Bauer, R.; Cubas Córdova, M.; Udonta, F.; Ben-Batalla, I.; Legler, K.; Hauser, C.; Egberts, J.; Janning, M.; Velthaus, J.; et al. Mast cells decrease efficacy of anti-angiogenic therapy by secreting matrix-degrading granzyme B. Nat. Commun. 2017, 8, 269. [Google Scholar] [CrossRef]
- Ammendola, M.; Sacco, R.; Sammarco, G.; Luposella, M.; Patruno, R.; Gadaleta, C.D.; Sarro, G.D.; Ranieri, G. Mast Cell-Targeted Strategies in Cancer Therapy. Transfus. Med. Hemother. 2016, 43, 109–113. [Google Scholar] [CrossRef]
- Saadalla, A.; Lima, M.M.; Tsai, F.; Osman, A.; Singh, M.P.; Linden, D.R.; Dennis, K.L.; Haeryfar, S.M.M.; Gurish, M.F.; Gounari, F.; et al. Cell Intrinsic Deregulated ß-Catenin Signaling Promotes Expansion of Bone Marrow Derived Connective Tissue Type Mast Cells, Systemic Inflammation, and Colon Cancer. Front. Immunol. 2019, 10, 2777. [Google Scholar] [CrossRef]
- Newlands, G.F.; Gibson, S.; Knox, D.P.; Grencis, R.; Wakelin, D.; Miller, H.R. Characterization and mast cell origin of a chymotrypsin-like proteinase isolated from intestines of mice infected with Trichinella spiralis. Immunology 1987, 62, 629–634. [Google Scholar]
- Scudamore, C.L.; McMillan, L.; Thornton, E.M.; Wright, S.H.; Newlands, G.F.; Miller, H.R. Mast cell heterogeneity in the gastrointestinal tract: Variable expression of mouse mast cell protease-1 (mMCP-1) in intraepithelial mucosal mast cells in nematode-infected and normal BALB/c mice. Am. J. Pathol. 1997, 150, 1661–1672. [Google Scholar]
- de Souza Junior, D.A.; Santana, A.C.; da Silva, E.Z.; Oliver, C.; Jamur, M.C. The Role of Mast Cell Specific Chymases and Tryptases in Tumor Angiogenesis. BioMed Res. Int. 2015, 2015, 142359. [Google Scholar] [CrossRef]
- Dougherty, R.H.; Sidhu, S.S.; Raman, K.; Solon, M.; Solberg, O.D.; Caughey, G.H.; Woodruff, P.G.; Fahy, J.V. Accumulation of intraepithelial mast cells with a unique protease phenotype in T(H)2-high asthma. J. Allergy Clin. Immunol. 2010, 125, 1046–1053. [Google Scholar] [CrossRef]
- Lai, Y.; Altemeier, W.A.; Vandree, J.; Piliponsky, A.M.; Johnson, B.; Appel, C.L.; Frevert, C.W.; Hyde, D.M.; Ziegler, S.F.; Smith, D.E.; et al. Increased density of intraepithelial mast cells in patients with exercise-induced bronchoconstriction regulated through epithelially derived thymic stromal lymphopoietin and IL-33. J Allergy Clin. Immunol. 2014, 133, 1448–1455. [Google Scholar] [CrossRef]
- Saadalla, A.M.; Osman, A.; Gurish, M.F.; Dennis, K.L.; Blatner, N.R.; Pezeshki, A.; McNagny, K.M.; Cheroutre, H.; Gounari, F.; Khazaie, K. Mast cells promote small bowel cancer in a tumor stage-specific and cytokine-dependent manner. Proc. Natl. Acad. Sci. USA 2018, 115, 1588–1592. [Google Scholar] [CrossRef]
- Barsouk, A.; Rawla, P.; Barsouk, A.; Thandra, K.C. Epidemiology of Cancers of the Small Intestine: Trends, Risk Factors, and Prevention. Med. Sci. 2019, 7, 46. [Google Scholar] [CrossRef]
- Yamaguchi, T.; Nishijima, M.; Tashiro, K.; Kawabata, K. Wnt-β-Catenin Signaling Promotes the Maturation of Mast Cells. BioMed Res. Int. 2016, 2016, 2048987. [Google Scholar] [CrossRef]
- Zhang, X.; Gaspard, J.P.; Chung, D.C. Regulation of vascular endothelial growth factor by the Wnt and K-ras pathways in colonic neoplasia. Cancer Res. 2001, 61, 6050–6054. [Google Scholar]
- Hlubek, F.; Brabletz, T.; Budczies, J.; Pfeiffer, S.; Jung, A.; Kirchner, T. Heterogeneous expression of Wnt/beta-catenin target genes within colorectal cancer. Int. J. Cancer 2007, 121, 1941–1948. [Google Scholar] [CrossRef]
- Gruber, B.L.; Marchese, M.J.; Kew, R. Angiogenic factors stimulate mast-cell migration. Blood 1995, 86, 2488–2493. [Google Scholar] [CrossRef]
- Grimbaldeston, M.A.; Chen, C.C.; Piliponsky, A.M.; Tsai, M.; Tam, S.Y.; Galli, S.J. Mast cell-deficient W-sash c-kit mutant Kit W-sh/W-sh mice as a model for investigating mast cell biology in vivo. Am. J. Pathol. 2005, 167, 835–848. [Google Scholar] [CrossRef]
- Sasaki, H.; Imanishi, M.; Fujikura, D.; Sugiyama, M.; Tanimoto, K.; Mochiji, Y.; Takahashi, Y.; Hiura, K.; Watanabe, M.; Kashimoto, T.; et al. New inducible mast cell-deficient mouse model (Mcpt5/Cma1(DTR)). Biochem. Biophys. Res. Commun. 2021, 551, 127–132. [Google Scholar] [CrossRef]
- Feyerabend, T.B.; Weiser, A.; Tietz, A.; Stassen, M.; Harris, N.; Kopf, M.; Radermacher, P.; Möller, P.; Benoist, C.; Mathis, D.; et al. Cre-mediated cell ablation contests mast cell contribution in models of antibody- and T cell-mediated autoimmunity. Immunity 2011, 35, 832–844. [Google Scholar] [CrossRef]
- Heger, K.; Seidler, B.; Vahl, J.C.; Schwartz, C.; Kober, M.; Klein, S.; Voehringer, D.; Saur, D.; Schmidt-Supprian, M. CreER(T2) expression from within the c-Kit gene locus allows efficient inducible gene targeting in and ablation of mast cells. Eur. J. Immunol. 2014, 44, 296–306. [Google Scholar] [CrossRef]








| Score | Description |
|---|---|
| 0 | No positive ieMMCs in the evaluated area |
| 1 | Positive staining of single ieMMCs (≤5/hpf 1) per hotspot 2 |
| 2 | Positive staining of few diffuse ieMMCs (≤10/hpf) per hotspot |
| 3 | Positive staining of some diffuse ieMMCs (≤20/hpf) per hotspot |
| 4 | Positive staining of many diffusely distributed or possibly clustered ieMMCs (≤30/hpf) per hotspot |
| 5 | Positive staining of many ieMMCs (>30/hpf) and dense clustering per hotspot |
| Score | Description |
|---|---|
| 0 | No positive ieMMCs in ten × 20 fields 1 |
| 1 | Single positive (≤5) ieMMCs in ten × 20 fields |
| 2 | Few positive (≤10) ieMMCs in ten × 20 fields |
| 3 | Moderate number of positive (≤20) ieMMCs in ten × 20 fields |
| 4 | Many (≤30) ieMMCs in ten × 20 fields |
| 5 | Dense (>30) ieMMCs in ten × 20 fields |
| Marker | ieMMC 1 (Mouse) | lpMMC 2 (Mouse) | ieMMC (Human) | ITSMC 3 (Human) |
|---|---|---|---|---|
| MCPT1 (mMCP-1) 4 | + | - | - | - |
| Anti-human MC-Chymase | n/a 6 | n/a | + | + |
| Anti-human MC-Tryptase | n/a | n/a | + | + |
| TPSAB1 (mMCP-6) 5 | + | + | + | + |
| Histamine | - | - | - | + |
| Granzyme B | + | + | n/a | n/a |
| CD117 (c-kit) | n/a | n/a | + | + |
| (A) | ||||
| Lesion | n | ieMMC Tumor Count (mean ± SD 1) MCT 2 | ieMMC Score (median ± IQR 3) MCT 2 | |
| Low-grade adenoma | 17 | 14.35 ± 11.784 | 3 ± 2 | |
| High-grade adenoma | 12 | 4.17 ± 3.040 | 1 ± 1 | |
| Adenocarcinoma | 75 | 0.47 ± 1.605 | 0 ± 0 | |
| p (KWT 4) | 104 | < 0.0001 | ||
| Lesion | n | ieMMC tumor count (mean ± SD) MCC4 | ieMMC score (median ± IQR) MCC 4 | |
| Low-grade adenoma | 17 | 4 ± 4.287 | 1 ± 1 | |
| High-grade adenoma | 12 | 1.25 ± 2.137 | 0 ± 1 | |
| Adenocarcinoma | 75 | 0.16 ± 0.698 | 0 ± 0 | |
| p (KWT) | 104 | < 0.0001 | ||
| Lesion | n | ieMMC tumor count (mean ± SD) CD117 | ieMMC score (median ± IQR) CD117 | |
| Low-grade adenoma | 17 | 3.29 ± 9.841 | 0 ± 1 | |
| High-grade adenoma | 12 | 0.67 ± 1.371 | 0 ± 1 | |
| Adenocarcinoma | 22 | 0.05 ± 0.213 | 0 ± 0 | |
| p (KWT) | 51 | 0.019 | ||
| (B) | ||||
| Lesion | n | ieMMC score 5 (median ± IQR) MCPT1 6 | n | ieMMC score (median ± IQR) MCPT6 7 |
| Hyperplasia | 52 | 2 ± 3 | 42 | 1 ± 2 |
| Low-grade adenoma | 40 | 1 ± 2 | 34 | 1 ± 2 |
| High-grade adenoma | 122 | 2 ± 2.25 | 115 | 1 ± 2 |
| Adenocarcinoma | 60 | 1 ± 2 | 57 | 0 ± 1 |
| p (KWT) | 274 | < 0.001 | 248 | < 0.001 |
| Lesion | n | ieMMC score (median ± IQR) granzyme B | n | ieMMC score (median ± IQR) MCPT1 (adjacent mucosa) |
| Hyperplasia | 52 | 2 ± 3 | 49 | 0 ± 0 |
| Low-grade adenoma | 40 | 2 ± 2.75 | 40 | 0 ± 0 |
| High-grade adenoma | 121 | 2 ± 3 | 121 | 0 ± 1 |
| Adenocarcinoma | 58 | 1 ± 2 | 58 | 0 ± 1 |
| p (KWT) | 271 | < 0.001 | 268 | 0.69 |
Publisher’s Note: MDPI stays neutral with regard to jurisdictional claims in published maps and institutional affiliations. |
© 2022 by the authors. Licensee MDPI, Basel, Switzerland. This article is an open access article distributed under the terms and conditions of the Creative Commons Attribution (CC BY) license (https://creativecommons.org/licenses/by/4.0/).
Share and Cite
Groll, T.; Silva, M.; Sarker, R.S.J.; Tschurtschenthaler, M.; Schnalzger, T.; Mogler, C.; Denk, D.; Schölch, S.; Schraml, B.U.; Ruland, J.; et al. Comparative Study of the Role of Interepithelial Mucosal Mast Cells in the Context of Intestinal Adenoma-Carcinoma Progression. Cancers 2022, 14, 2248. https://doi.org/10.3390/cancers14092248
Groll T, Silva M, Sarker RSJ, Tschurtschenthaler M, Schnalzger T, Mogler C, Denk D, Schölch S, Schraml BU, Ruland J, et al. Comparative Study of the Role of Interepithelial Mucosal Mast Cells in the Context of Intestinal Adenoma-Carcinoma Progression. Cancers. 2022; 14(9):2248. https://doi.org/10.3390/cancers14092248
Chicago/Turabian StyleGroll, Tanja, Miguel Silva, Rim Sabrina Jahan Sarker, Markus Tschurtschenthaler, Theresa Schnalzger, Carolin Mogler, Daniela Denk, Sebastian Schölch, Barbara U. Schraml, Jürgen Ruland, and et al. 2022. "Comparative Study of the Role of Interepithelial Mucosal Mast Cells in the Context of Intestinal Adenoma-Carcinoma Progression" Cancers 14, no. 9: 2248. https://doi.org/10.3390/cancers14092248
APA StyleGroll, T., Silva, M., Sarker, R. S. J., Tschurtschenthaler, M., Schnalzger, T., Mogler, C., Denk, D., Schölch, S., Schraml, B. U., Ruland, J., Rad, R., Saur, D., Weichert, W., Jesinghaus, M., Matiasek, K., & Steiger, K. (2022). Comparative Study of the Role of Interepithelial Mucosal Mast Cells in the Context of Intestinal Adenoma-Carcinoma Progression. Cancers, 14(9), 2248. https://doi.org/10.3390/cancers14092248

