The Role of Endoscopic Ultrasonography in the Diagnosis and Staging of Pancreatic Cancer
Abstract
Simple Summary
Abstract
1. Background
2. Introduction
3. Risk Factors
4. Screening
5. Diagnosis
6. EUS-Guided Tissue Acquisition
6.1. Indication
6.2. Method for Tissue Acquisition
6.3. Techniques during Tissue Acquisition
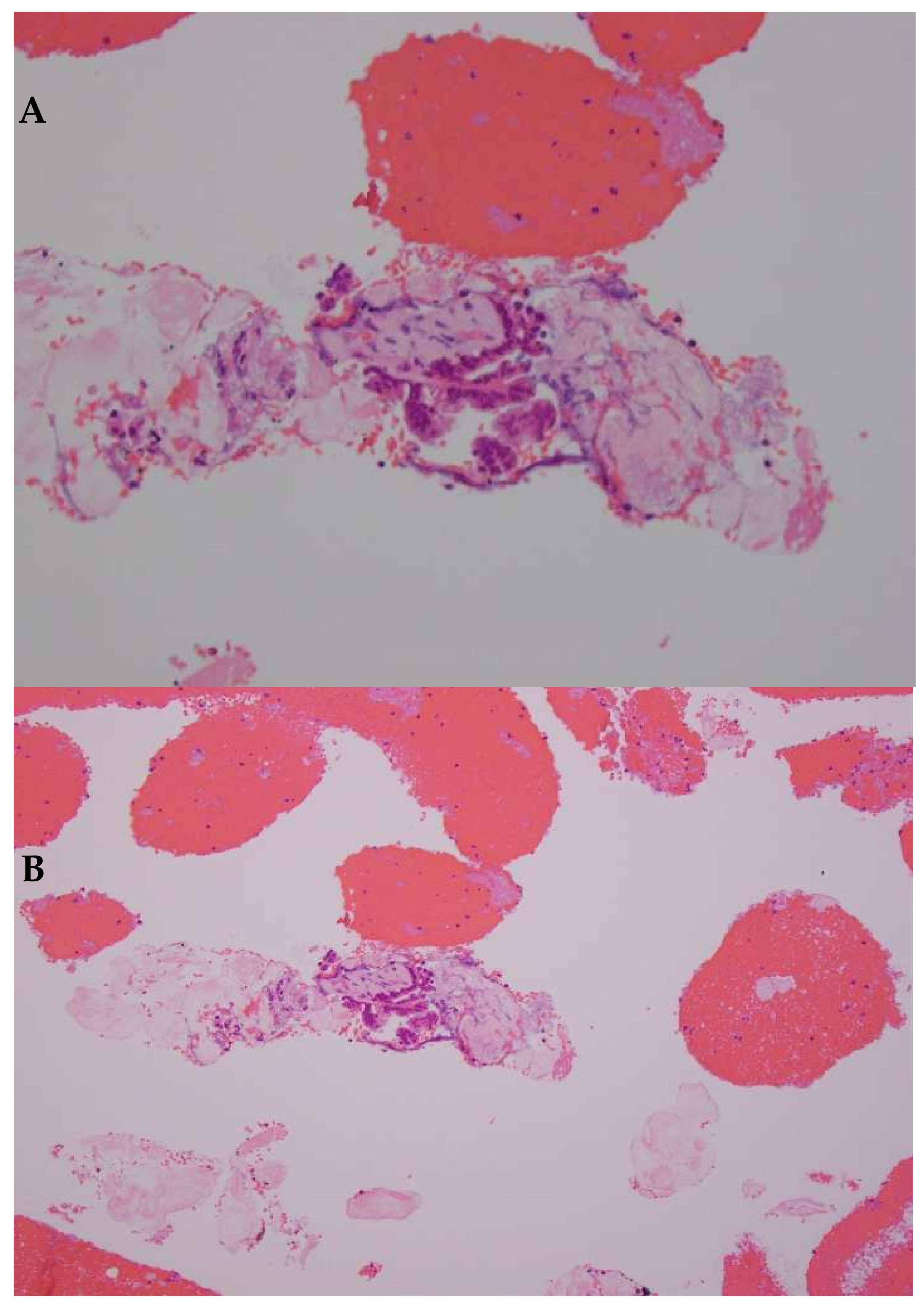
6.4. Onsite Pathologic Evaluation Methods
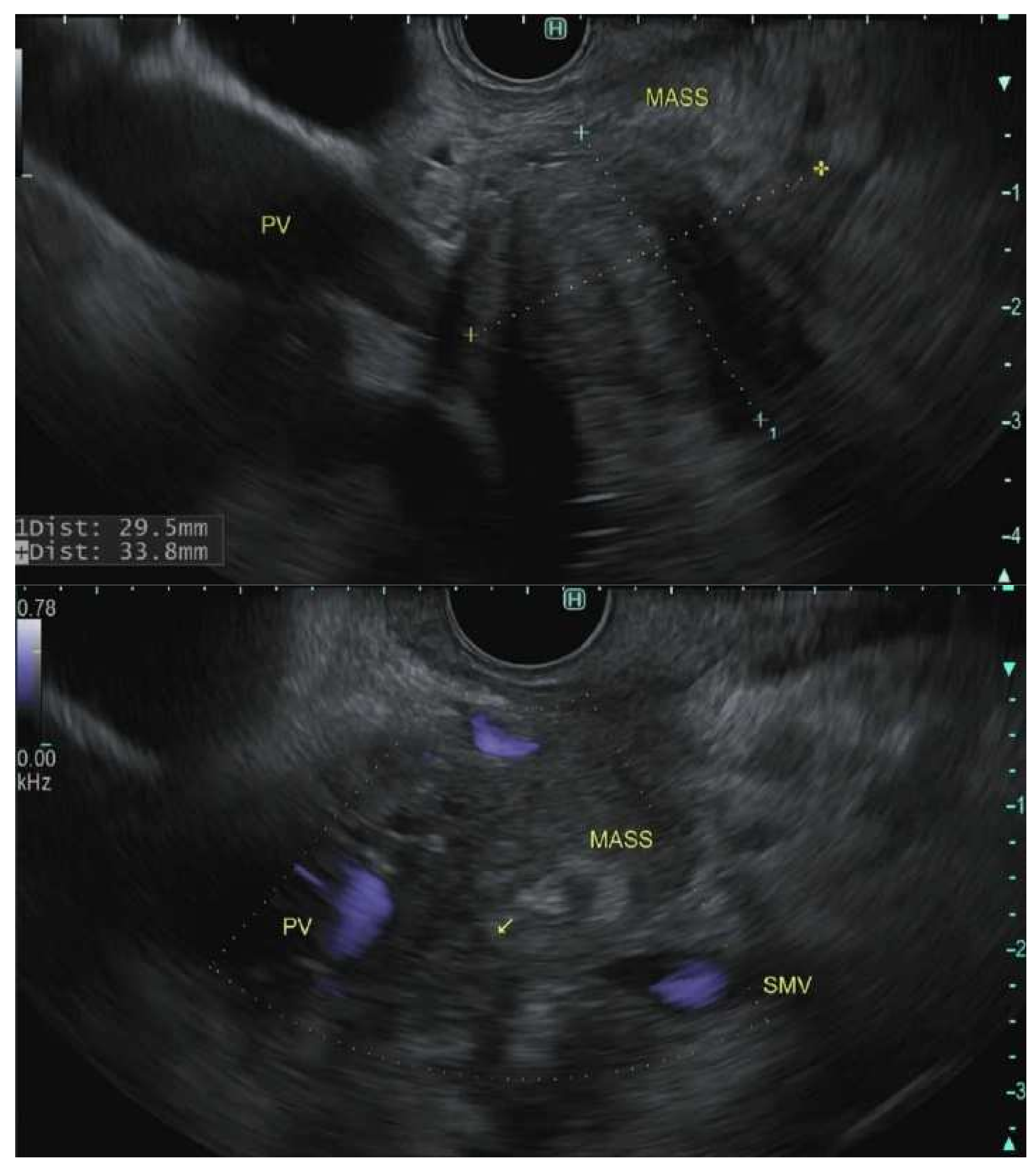
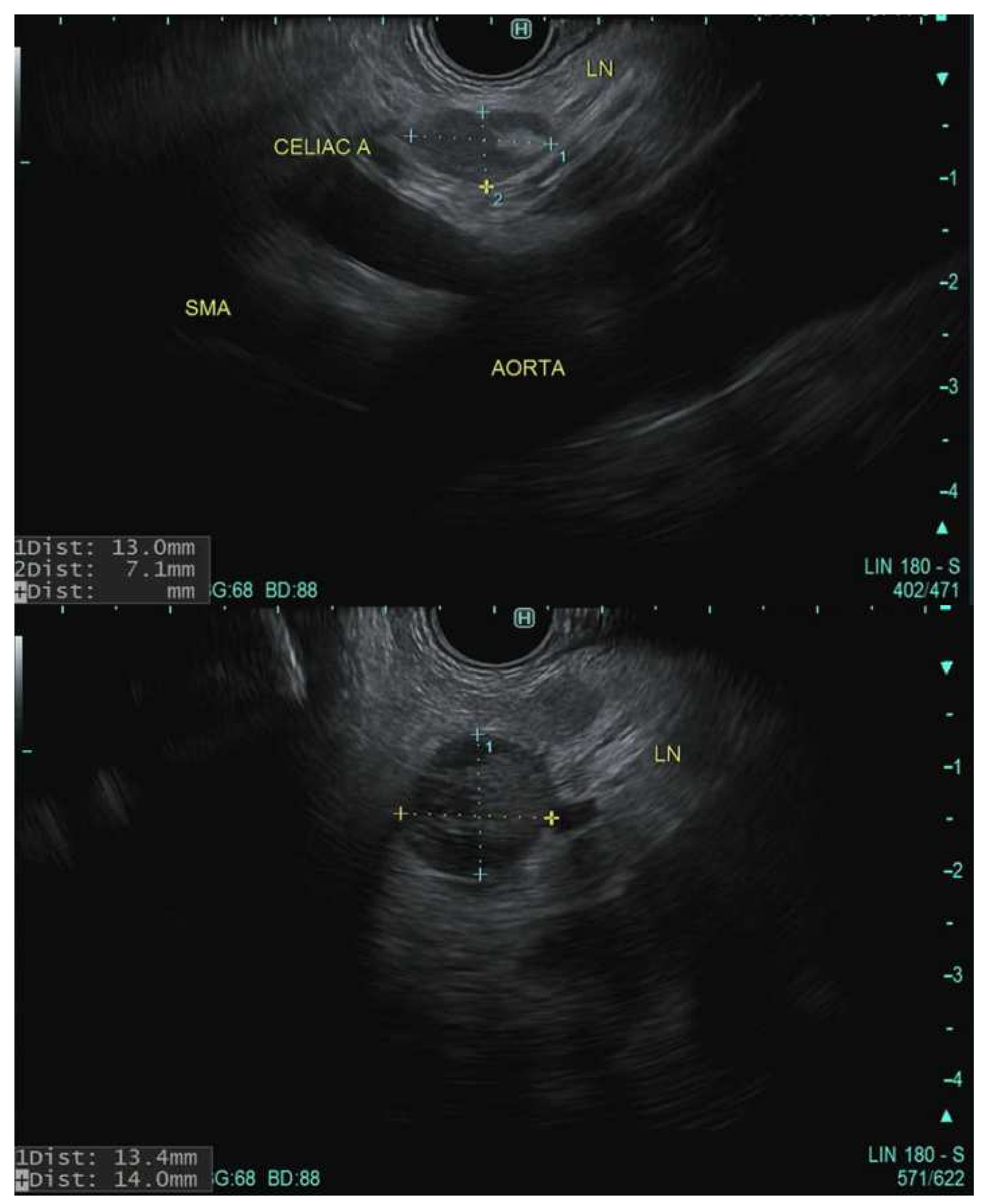
7. Staging
- An interface between the primary tumor and superior mesenteric vein portal vein (SMV-PV) measuring 180° or greater of the circumference of the vein wall, and/or
- Short segment occlusion of the SMV-PV with normal vein above and below the level of obstruction that is amenable to resection and venous reconstruction, and/or
- Short segment interface (of any degree) between tumor and hepatic artery with normal artery proximal and distal to the interface that is amenable to resection and arterial reconstruction, and/or
- An interface between the tumor and superior mesenteric artery (SMA) or celiac trunk measuring less than 180° of the circumference of the artery wall.
- Solid tumor contact with SMA or celiac artery (CA) > 180°.
- Pancreatic body/tail contact with the CA and aortic involvement.
- Unreconstructible SMV/PV due to tumor involvement or occlusion.
8. Role of Neoadjuvant Therapy
9. Conclusions and Future Direction
Author Contributions
Funding
Conflicts of Interest
References
- Siegel, R.L.; Miller, K.D.; Fuchs, H.E.; Jemal, A. Cancer Statistics, 2021. CA Cancer J. Clin. 2021, 71, 7–33. [Google Scholar] [CrossRef] [PubMed]
- Feldmann, G.; Beaty, R.; Hruban, R.H.; Maitra, A. Molecular Genetics of Pancreatic Intraepithelial Neoplasia. J. Hepato-Biliary-Pancreat. Surg. 2007, 14, 224–232. [Google Scholar] [CrossRef] [PubMed]
- Pourshams, A.; Sepanlou, S.G.; Ikuta, K.S.; Bisignano, C.; Safiri, S.; Roshandel, G.; Sharif, M.; Khatibian, M.; Fitzmaurice, C.; Nixon, M.R.; et al. The Global, Regional, and National Burden of Pancreatic Cancer and Its Attributable Risk Factors in 195 Countries and Territories, 1990–2017: A Systematic Analysis for the Global Burden of Disease Study 2017. Lancet Gastroenterol. Hepatol. 2019, 4, 934–947. [Google Scholar] [CrossRef]
- Jemal, A.; Bray, F.; Center, M.M.; Ferlay, J.; Ward, E.; Forman, D. Global Cancer Statistics. CA Cancer J. Clin. 2011, 61, 69–90. [Google Scholar] [CrossRef] [PubMed]
- Khalaf, N.; El-Serag, H.B.; Abrams, H.R.; Thrift, A.P. Burden of Pancreatic Cancer: From Epidemiology to Practice. Clin. Gastroenterol. Hepatol. Off. Clin. Pract. J. Am. Gastroenterol. Assoc. 2021, 19, 876–884. [Google Scholar] [CrossRef]
- Ryan, D.P.; Hong, T.S.; Bardeesy, N. Pancreatic Adenocarcinoma. N. Engl. J. Med. 2014, 371, 1039–1049. [Google Scholar] [CrossRef]
- Kleeff, J.; Korc, M.; Apte, M.; la Vecchia, C.; Johnson, C.D.; Biankin, A.V.; Neale, R.E.; Tempero, M.; Tuveson, D.A.; Hruban, R.H.; et al. Pancreatic Cancer. Nat. Rev. Dis. Primers 2016, 2, 16022. [Google Scholar] [CrossRef]
- Blackford, A.L.; Canto, M.I.; Klein, A.P.; Hruban, R.H.; Goggins, M. Recent Trends in the Incidence and Survival of Stage 1A Pancreatic Cancer: A Surveillance, Epidemiology, and End Results Analysis. J. Natl. Cancer Inst. 2020, 112, 1162–1169. [Google Scholar] [CrossRef]
- Owens, D.K.; Davidson, K.W.; Krist, A.H.; Barry, M.J.; Cabana, M.; Caughey, A.B. Screening for Pancreatic Cancer: US Preventive Services Task Force Reaffirmation Recommendation Statement. JAMA 2019, 322, 438–444. [Google Scholar] [CrossRef]
- Terhune, P.G.; Phifer, D.M.; Tosteson, T.D.; Longnecker, D.S. K-Ras Mutation in Focal Proliferative Lesions of Human Pancreas. Cancer Epidemiol. Prev. Biomark. 1998, 7, 515–521. [Google Scholar]
- Hruban, R.H.; Maitra, A.; Goggins, M. Update on Pancreatic Intraepithelial Neoplasia. Int. J. Clin. Exp. Pathol. 2008, 1, 306. [Google Scholar] [PubMed]
- Hruban, R.H.; Adsay, N.V.; Albores-Saavedra, J.; Compton, C.; Garrett, E.S.; Goodman, S.N.; Kern, S.E.; Klimstra, D.S.; Klöppel, G.; Longnecker, D.S.; et al. Pancreatic Intraepithelial Neoplasia: A New Nomenclature and Classification System for Pancreatic Duct Lesions. Am. J. Surg. Pathol. 2001, 25, 579–586. [Google Scholar] [CrossRef] [PubMed]
- Hruban, R.H.; Takaori, K.; Klimstra, D.S.; Adsay, N.V.; Albores-Saavedra, J.; Biankin, A.; Biankin, S.A.; Compton, C.; Fukushima, N.; Furukawa, T.; et al. An Illustrated Consensus on the Classification of Pancreatic Intraepithelial Neoplasia and Intraductal Papillary Mucinous Neoplasms. Am. J. Surg. Pathol. 2004, 28, 977–987. [Google Scholar] [CrossRef] [PubMed]
- Basturk, O.; Hong, S.-M.; Wood, L.D.; Adsay, N.V.; Albores-Saavedra, J.; Biankin, A.v.; Brosensm, L.A.; Fukushima, N.; Goggins, M.; Hruban, R.H.; et al. A revised classification system and recommendations from the baltimore consensus meeting for neoplastic precursor lesions in the pancreas. Am. J. Surg. Pathol. 2015, 39, 1730. [Google Scholar] [CrossRef] [PubMed]
- Nagtegaal, I.D.; Odze, R.D.; Klimstra, D.; Paradis, V.; Rugge, M.; Schirmacher, P.; Washington, K.M.; Carneiro, F.; Cree, I.A. The 2019 WHO Classification of Tumours of the Digestive System. Histopathology 2020, 76, 182. [Google Scholar] [CrossRef] [PubMed]
- Brune, K.; Abe, T.; Canto, M.; O’Malley, L.; Klein, A.P.; Maitra, A.; Adsay, N.V.; Fishman, E.K.; Cameron, J.L.; Yeo, C.J.; et al. Multifocal Neoplastic Precursor Lesions Associated with Lobular Atrophy of the Pancreas in Patients Having a Strong Family History of Pancreatic Cancer. Am. J. Surg. Pathol. 2006, 30, 1067–1076. [Google Scholar]
- Shi, C.; Klein, A.P.; Goggins, M.; Maitra, A.; Canto, M.; Ali, S.; Schulick, R.; Palmisano, E.; Hruban, R.H. Increased Prevalence of Precursor Lesions in Familial Pancreatic Cancer Patients. Clin. Cancer Res. Off. J. Am. Assoc. Cancer Res. 2009, 15, 7737. [Google Scholar] [CrossRef]
- Modolell, I.; Guarner, L.; Malagelada, J.R. Vagaries of Clinical Presentation of Pancreatic and Biliary Tract Cancer. Ann. Oncol. 1999, 10 (Suppl. 4), S82–S84. [Google Scholar] [CrossRef]
- Porta, M.; Fabregat, X.; Malats, N.; Guarner, L.; Carrato, A.; de Miguel, A.; Ruiz, L.; Jariod, M.; Costafreda, S.; Coll, S.; et al. Exocrine Pancreatic Cancer: Symptoms at Presentation and Their Relation to Tumour Site and Stage. Clin. Transl. Oncol. Off. Publ. Fed. Span. Oncol. Soc. Natl. Cancer Inst. Mex. 2005, 7, 189–197. [Google Scholar] [CrossRef]
- Bakkevold, K.E.; Arnesjø, B.; Kambestad, B. Carcinoma of the Pancreas and Papilla of Vater: Presenting Symptoms, Signs, and Diagnosis Related to Stage and Tumour Site. A Prospective Multicentre Trial in 472 Patients. Norwegian Pancreatic Cancer Trial. Scand. J. Gastroenterol. 1992, 27, 317–325. [Google Scholar] [CrossRef]
- Kalser, M.H.; Barkin, J.; Macintyre, J.M. Pancreatic Cancer. Assessment of Prognosis by Clinical Presentation. Cancer 1985, 56, 397–402. [Google Scholar] [CrossRef]
- Zakharova, O.P.; Karmazanovsky, G.G.; Egorov, V.I. Pancreatic Adenocarcinoma: Outstanding Problems. World J. Gastrointest. Surg. 2012, 4, 104. [Google Scholar] [CrossRef] [PubMed]
- Canto, M.I. Screening and Surveillance Approaches in Familial Pancreatic Cancer. Gastrointest. Endosc. Clin. N. Am. 2008, 18, 535–553. [Google Scholar] [CrossRef] [PubMed]
- Al-Hawary, M.M.; Francis, I.R.; Chari, S.T.; Fishman, E.K.; Hough, D.M.; Lu, D.S.; Macari, M.; Megibow, A.J.; Miller, F.H.; Mortele, K.J.; et al. Pancreatic Ductal Adenocarcinoma Radiology Reporting Template: Consensus Statement of the Society of Abdominal Radiology and the American Pancreatic Association1. Gastroenterology 2014, 146, 291–304.e1. [Google Scholar] [CrossRef] [PubMed]
- Lami, G.; Biagini, M.R.; Galli, A. Endoscopic Ultrasonography for Surveillance of Individuals at High Risk for Pancreatic Cancer. World J. Gastrointest. Endosc. 2014, 6, 272. [Google Scholar] [CrossRef] [PubMed]
- Mitra, A.; D’Souza, A.; Goel, M.; Shrikhande, S.v. Surgery for Pancreatic and Periampullary Carcinoma. Indian J. Surg. 2015, 77, 371. [Google Scholar] [CrossRef]
- Wang, X.-Y.; Yang, F.; Jin, C.; Fu, D.-L. Utility of PET/CT in Diagnosis, Staging, Assessment of Resectability and Metabolic Response of Pancreatic Cancer. World J. Gastroenterol. WJG 2014, 20, 15580. [Google Scholar] [CrossRef]
- Kauhanen, S.P.; Komar, G.; Seppänen, M.P.; Dean, K.I.; Minn, H.R.; Kajander, S.A.; Rinta-Kiikka, I.; Alanen, K.; Borra, R.J.; Puolakkainen, P.A.; et al. A Prospective Diagnostic Accuracy Study of 18F-Fluorodeoxyglucose Positron Emission Tomography/Computed Tomography, Multidetector Row Computed Tomography, and Magnetic Resonance Imaging in Primary Diagnosis and Staging of Pancreatic Cancer. Ann. Surg. 2009, 250, 957–963. [Google Scholar] [CrossRef]
- Wakabayashi, H.; Nishiyama, Y.; Otani, T.; Sano, T.; Yachida, S.; Okano, K.; Izuishi, K.; Suzuki, Y. Role of 18F-Fluorodeoxyglucose Positron Emission Tomography Imaging in Surgery for Pancreatic Cancer. World J. Gastroenterol. WJG 2008, 14, 64. [Google Scholar] [CrossRef]
- Pancreas Cancer and Smoking, Beverage Consumption, and Past Medical History—PubMed. Available online: https://pubmed.ncbi.nlm.nih.gov/3455742/ (accessed on 9 October 2021).
- Tobacco, Alcohol, and Coffee and Cancer of the Pancreas. A Population-Based, Case-Control Study in Quebec, Canada—PubMed. Available online: https://pubmed.ncbi.nlm.nih.gov/2015568/ (accessed on 9 October 2021).
- Bosetti, C.; Lucenteforte, E.; Silverman, D.T.; Petersen, G.; Bracci, P.M.; Ji, B.T.; Negri, E.; Li, D.; Risch, H.A.; Olson, S.H.; et al. Cigarette Smoking and Pancreatic Cancer: An Analysis from the International Pancreatic Cancer Case-Control Consortium (Panc4). Ann. Oncol. 2012, 23, 1880. [Google Scholar] [CrossRef]
- Duell, E.J.; Holly, E.A.; Bracci, P.M.; Liu, M.; Wiencke, J.K.; Kelsey, K.T. A Population-Based, Case–Control Study of Polymorphisms in Carcinogen-Metabolizing Genes, Smoking, and Pancreatic Adenocarcinoma Risk. JNCI: J. Natl. Cancer Inst. 2002, 94, 297–306. [Google Scholar] [CrossRef] [PubMed]
- Michaud, D.S.; Vrieling, A.; Jiao, L.; Mendelsohn, J.B.; Steplowski, E.; Lynch, S.M.; Wactawski-Wende, J.; Arslan, A.A.; Bueno-De-Mesquita, H.B.; Fuchs, C.S.; et al. Alcohol Intake and Pancreatic Cancer: A Pooled Analysis from the Pancreatic Cancer Cohort Consortium (PanScan). Cancer Causes Control. 2010, 21, 1213–1225. [Google Scholar] [CrossRef] [PubMed]
- Lucenteforte, E.; la Vecchia, C.; Silverman, D.; Petersen, G.M.; Bracci, P.M.; Ji, B.T.; Bosetti, C.; Li, D.; Gallinger, S.; Miller, A.B.; et al. Alcohol Consumption and Pancreatic Cancer: A Pooled Analysis in the International Pancreatic Cancer Case–Control Consortium (PanC4). Ann. Oncol. 2012, 23, 374. [Google Scholar] [CrossRef] [PubMed]
- Carreras-Torres, R.; Johansson, M.; Gaborieau, V.; Haycock, P.C.; Wade, K.H.; Relton, C.L.; Martin, R.M.; Smith, G.D.; Brennan, P. The Role of Obesity, Type 2 Diabetes, and Metabolic Factors in Pancreatic Cancer: A Mendelian Randomization Study. JNCI J. Natl. Cancer Inst. 2017, 109, djx012. [Google Scholar] [CrossRef]
- Michaud, D.S.; Giovannucci, E.; Willett, W.C.; Colditz, G.A.; Stampfer, M.J.; Fuchs, C.S. Physical Activity, Obesity, Height, and the Risk of Pancreatic Cancer. JAMA 2001, 286, 921–929. [Google Scholar] [CrossRef]
- Arslan, A.A.; Helzlsouer, K.J.; Kooperberg, C.; Shu, X.-O.; Steplowski, E.; Bueno-de-Mesquita, H.B.; Fuchs, C.S.; Gross, M.D.; Jacobs, E.J.; LaCroix, A.Z.; et al. Anthropometric Measures, Body Mass Index and Pancreatic Cancer: A Pooled Analysis from the Pancreatic Cancer Cohort Consortium (PanScan). Arch. Intern. Med. 2010, 170, 791. [Google Scholar] [CrossRef]
- Liao, W.-C.; Tu, Y.-K.; Wu, M.-S.; Lin, J.-T.; Wang, H.-P.; Chien, K.-L. Blood Glucose Concentration and Risk of Pancreatic Cancer: Systematic Review and Dose-Response Meta-Analysis. BMJ 2015, 349, g7371. [Google Scholar] [CrossRef]
- Gapstur, S.M.; Gann, P.H.; Lowe, W.; Liu, K.; Colangelo, L.; Dyer, A. Abnormal Glucose Metabolism and Pancreatic Cancer Mortality. JAMA 2000, 283, 2552–2558. [Google Scholar] [CrossRef]
- Stolzenberg-Solomon, R.Z.; Graubard, B.I.; Chari, S.; Limburg, P.; Taylor, P.R.; Virtamo, J.; Albanes, D. Insulin, Glucose, Insulin Resistance, and Pancreatic Cancer in Male Smokers. JAMA 2005, 294, 2872–2878. [Google Scholar] [CrossRef]
- Michaud, D.S.; Liu, S.; Giovannucci, E.; Willett, W.C.; Colditz, G.A.; Fuchs, C.S. Dietary Sugar, Glycemic Load, and Pancreatic Cancer Risk in a Prospective Study. JNCI J. Natl. Cancer Inst. 2002, 94, 1293–1300. [Google Scholar] [CrossRef]
- Wolpin, B.M.; Bao, Y.; Qian, Z.R.; Wu, C.; Kraft, P.; Ogino, S.; Stampfer, M.J.; Sato, K.; Ma, J.; Buring, J.E.; et al. Hyperglycemia, Insulin Resistance, Impaired Pancreatic β-Cell Function, and Risk of Pancreatic Cancer. JNCI J. Natl. Cancer Inst. 2013, 105, 1027–1035. [Google Scholar] [CrossRef] [PubMed]
- Vernucci, E.; Abrego, J.; Gunda, V.; Shukla, S.K.; Dasgupta, A.; Rai, V.; Chaika, N.; Buettner, K.; Illies, A.; Yu, F.; et al. Metabolic Alterations in Pancreatic Cancer Progression. Cancers 2019, 12, 2. [Google Scholar] [CrossRef] [PubMed]
- Alpertunga, I.; Sadiq, R.; Pandya, D.; Lo, T.; Dulgher, M.; Evans, S.; Bennett, B.; Rennert, N.; Frank, R.C. Glycemic Control as an Early Prognostic Marker in Advanced Pancreatic Cancer. Front. Oncol. 2021, 11, 571855. [Google Scholar] [CrossRef] [PubMed]
- Pelaez-Luna, M.; Takahashi, N.; Fletcher, J.G.; Chari, S.T. Resectability of Presymptomatic Pancreatic Cancer and Its Relationship to Onset of Diabetes: A Retrospective Review of CT Scans and Fasting Glucose Values Prior to Diagnosis. Am. J. Gastroenterol. 2007, 102, 2157–2163. [Google Scholar] [CrossRef] [PubMed]
- Hu, Y.; Zhang, X.; Ma, Y.; Yuan, C.; Wang, M.; Wu, K.; Tabung, F.K.; Tobias, D.; Hu, F.B.; Giovannucci, E.; et al. Incident Type 2 Diabetes Duration and Cancer Risk: A Prospective Study in Two US Cohorts. JNCI J. Natl. Cancer Inst. 2021, 113, 381–389. [Google Scholar] [CrossRef]
- Hank, T.; Sandini, M.; Qadan, M.; Weniger, M.; Ciprani, D.; Li, A.; Ferrone, C.R.; Warshaw, A.L.; Lillemoe, K.D.; Castillo, C.F. Diabetes Mellitus Is Associated with Unfavorable Pathologic Features, Increased Postoperative Mortality, and Worse Long-Term Survival in Resected Pancreatic Cancer. Pancreatol. Off. J. Int. Assoc. Pancreatol. (IAP) 2020, 20, 125–131. [Google Scholar] [CrossRef]
- Lowenfels, A.B.; Maisonneuve, P.; Cavallini, G.; Ammann, R.W.; Lankisch, P.G.; Andersen, J.R.; Dimagno, E.P.; Andren-Sandberg, A.; Domellof, L.; Group the IPS. Pancreatitis and the Risk of Pancreatic Cancer. N. Engl. J. Med. 2010, 328, 1433–1437. [Google Scholar] [CrossRef]
- Ekbom, A.; McLaughlin, J.K.; Karlsson, B.-M.; Nyrén, O.; Gridley, G.; Adami, H.-O.; Fraumeni, J.F. Pancreatitis and Pancreatic Cancer: A Population-Based Study. JNCI J. Natl. Cancer Inst. 1994, 86, 625–627. [Google Scholar] [CrossRef]
- Duell, E.J.; Lucenteforte, E.; Olson, S.H.; Bracci, P.M.; Li, D.; Risch, H.A.; Silverman, D.T.; Ji, B.T.; Gallinger, S.; Holly, E.A.; et al. Pancreatitis and Pancreatic Cancer Risk: A Pooled Analysis in the International Pancreatic Cancer Case-Control Consortium (PanC4). Ann. Oncol. 2012, 23, 2964. [Google Scholar] [CrossRef]
- Bang, U.C.; Benfield, T.; Hyldstrup, L.; Bendtsen, F.; Jensen, J.B. Mortality, Cancer, and Comorbidities Associated With Chronic Pancreatitis: A Danish Nationwide Matched-Cohort Study. Gastroenterology 2014, 146, 989–994.e1. [Google Scholar] [CrossRef]
- Pergolini, I.; Sahora, K.; Ferrone, C.R.; Morales-Oyarvide, V.; Wolpin, B.M.; Mucci, L.A.; Sahani, D.S.; Warshaw, A.L.; Lillemoe, K.D.; Fernández-del Castillo, C.; et al. Long-Term Risk of Pancreatic Malignancy in Patients With Branch Duct Intraductal Papillary Mucinous Neoplasm in a Referral Center. Gastroenterology 2017, 153, 1284–1294.e1. [Google Scholar] [CrossRef] [PubMed]
- Tanaka, M. Controversies in the Management of Pancreatic IPMN. Nat. Rev. Gastroenterol. Hepatol. 2011, 8, 56–60. [Google Scholar] [CrossRef] [PubMed]
- Familial Pancreatic Cancer—PubMed. Available online: https://pubmed.ncbi.nlm.nih.gov/11561603/ (accessed on 9 October 2021).
- Shi, C.; Hruban, R.H.; Klein, A.P. Familial Pancreatic Cancer. Cancer J. (Sudbury Mass.) 2001, 7, 266–273. [Google Scholar] [CrossRef] [PubMed]
- Clores, M.J.; Thosani, A.; Buscaglia, J.M. Multidisciplinary Diagnostic and Therapeutic Approaches to Pancreatic Cystic Lesions. J. Multidiscip. Healthc. 2014, 7, 81. [Google Scholar] [CrossRef] [PubMed][Green Version]
- Law, J.K.; Hruban, R.H.; Lennon, A.M. Management of Pancreatic Cysts: A Multidisciplinary Approach. Curr. Opin. Gastroenterol. 2013, 29, 509–516. [Google Scholar] [CrossRef] [PubMed]
- Giardiello, F.M.; Brensinger, J.D.; Tersmette, A.C.; Goodman, S.N.; Petersen, G.M.; Booker, S.V.; Cruz–Correa, M.; Offerhaus, J.A. Very high risk of cancer in familial Peutz–Jeghers syndrome. Gastroenterology 2000, 119, 1447–1453. [Google Scholar] [CrossRef]
- Olson, S.H.; Kurtz, R.C. Epidemiology of pancreatic cancer and the role of family history. J. Surg. Oncol. 2012, 107, 1–7. [Google Scholar] [CrossRef]
- Kastrinos, F. Risk of Pancreatic Cancer in Families With Lynch Syndrome. JAMA 2009, 302, 1790–1795. [Google Scholar] [CrossRef]
- Thompson, D.; Easton, D.F. The Breast Cancer Linkage Consortium. Cancer Incidence in BRCA1 Mutation Carriers. J. Natl. Cancer Inst. 2002, 94, 1358–1365. [Google Scholar] [CrossRef]
- Consortium, T.B.C.L. Cancer Risks in BRCA2 Mutation Carriers. J. Natl. Cancer Inst. 1999, 91, 1310–1316. [Google Scholar] [CrossRef]
- Grant, R.C.; Selander, I.; Connor, A.A.; Selvarajah, S.; Borgida, A.; Briollais, L.; Petersen, G.M.; Lerner-Ellis, J.; Holter, S.; Gallinger, S. Prevalence of Germline Mutations in Cancer Predisposition Genes in Patients With Pancreatic Cancer. Gastroenterology 2015, 148, 556–564. [Google Scholar] [CrossRef] [PubMed]
- Zhen, D.B.; Rabe, K.G.; Gallinger, S.; Syngal, S.; Schwartz, A.G.; Goggins, M.G.; Hruban, R.H.; Cote, M.L.; McWilliams, R.R.; Roberts, N.J.; et al. BRCA1, BRCA2, PALB2, and CDKN2A mutations in familial pancreatic cancer: A PACGENE study. Genet. Med. 2014, 17, 569–577. [Google Scholar] [CrossRef] [PubMed]
- Exomic Sequencing Identifies PALB2 as a Pancreatic Cancer Susceptibility Gene. Available online: https://www.ncbi.nlm.nih.gov/pmc/articles/PMC2684332/ (accessed on 9 October 2021).
- Lynch, H.T.; Fusaro, R.M.; Lynch, J.F.; Brand, R. Pancreatic cancer and the FAMMM syndrome. Fam. Cancer 2007, 7, 103–112. [Google Scholar] [CrossRef] [PubMed]
- Roberts, N.J.; Jiao, Y.; Yu, J.; Kopelovich, L.; Petersen, G.M.; Bondy, M.L.; Gallinger, S.; Schwartz, A.G.; Syngal, S.; Cote, M.L.; et al. ATMMutations in Patients with Hereditary Pancreatic Cancer. Cancer Discov. 2011, 2, 41–46. [Google Scholar] [CrossRef]
- Ruijs, M.W.G.; Verhoef, S.; Rookus, M.A.; Pruntel, R.; van der Hout, A.H.; Hogervorst, F.B.L.; Kluijt, I.; Sijmons, R.H.; Aalfs, C.M.; Wagner, A.; et al. TP53 germline mutation testing in 180 families suspected of Li-Fraumeni syndrome: Mutation detection rate and relative frequency of cancers in different familial phenotypes. J. Med Genet. 2010, 47, 421–428. [Google Scholar] [CrossRef]
- Lowenfels, A.B.; Maisonneuve, P.; DiMagno, E.P.; Elitsur, Y.; Gates, L.K., Jr.; Perrault, J.; Whitcomb, D.C.; International Hereditary Pancreatitis Study Group. Hereditary Pancreatitis and the Risk of Pancreatic Cancer. J. Natl. Cancer Inst. 1997, 89, 442–446. [Google Scholar] [CrossRef]
- Rebours, V.; Boutron-Ruault, M.-C.; Schnee, M.; Férec, C.; Maire, F.; Hammel, P.; Ruszniewski, P.; Lévy, P. Risk of Pancreatic Adenocarcinoma in Patients With Hereditary Pancreatitis: A National Exhaustive Series. Am. J. Gastroenterol. 2008, 103, 111–119. [Google Scholar] [CrossRef]
- Rebours, V.; Lévy, P.; Ruszniewski, P. An overview of hereditary pancreatitis. Dig. Liver Dis. 2012, 44, 8–15. [Google Scholar] [CrossRef]
- Klein, A.P.; Brune, K.A.; Petersen, G.M.; Goggins, M.; Tersmette, A.C.; Offerhaus, G.J.A.; Griffin, C.; Cameron, J.L.; Yeo, C.J.; Kern, S.; et al. Prospective Risk of Pancreatic Cancer in Familial Pancreatic Cancer Kindreds. Cancer Res. 2004, 64, 2634–2638. [Google Scholar] [CrossRef]
- Goggins, M.; Overbeek, K.A.; Brand, R.; Syngal, S.; Del Chiaro, M.; Bartsch, D.K.; Bassi, C.; Carrato, A.; Farrell, J.; Fishman, E.K.; et al. Management of patients with increased risk for familial pancreatic cancer: Updated recommendations from the International Cancer of the Pancreas Screening (CAPS) Consortium. Gut 2020, 69, 7–17. [Google Scholar] [CrossRef]
- Syngal, S.; Brand, R.E.; Church, J.M.; Giardiello, F.M.; Hampel, H.L.; Burt, R.W. ACG Clinical Guideline: Genetic Testing and Management of Hereditary Gastrointestinal Cancer Syndromes. Am. J. Gastroenterol. 2015, 110, 223–262. [Google Scholar] [CrossRef] [PubMed]
- Aslanian, H.R.; Lee, J.H.; Canto, M.I. AGA Clinical Practice Update on Pancreas Cancer Screening in High-Risk Individuals: Expert Review. Gastroenterology 2020, 159, 358–362. [Google Scholar] [CrossRef] [PubMed]
- Overbeek, K.A.; Levink, I.J.M.; Koopmann, B.D.M.; Harinck, F.; Konings, I.C.A.W.; Ausems, M.G.E.M.; Wagner, A.; Fockens, P.; van Eijck, C.H.; Koerkamp, B.G.; et al. Long-term yield of pancreatic cancer surveillance in high-risk individuals. Gut 2021, 0, 1–9. [Google Scholar] [CrossRef] [PubMed]
- Harinck, F.; Konings, I.C.A.W.; Kluijt, I.; Poley, J.W.; Van Hooft, J.E.; Van Dullemen, H.M.; Nio, C.Y.; Krak, N.C.; Hermans, J.J.; Aalfs, C.M.; et al. A multicentre comparative prospective blinded analysis of EUS and MRI for screening of pancreatic cancer in high-risk individuals. Gut 2016, 65, 1505–1513. [Google Scholar] [CrossRef]
- Groot, V.P.; Mosier, S.; Javed, A.A.; Teinor, J.A.; Gemenetzis, G.; Ding, D.; Haley, L.M.; Yu, J.; Burkhart, R.A.; Hasanain, A.; et al. Circulating Tumor DNA as a Clinical Test in Resected Pancreatic Cancer. Clin. Cancer Res. 2019, 25, 4973–4984. [Google Scholar] [CrossRef]
- Sharma, A.; Chari, S.T. Pancreatic Cancer and Diabetes Mellitus. Curr. Treat. Options Gastroenterol. 2018, 16, 466–478. [Google Scholar] [CrossRef]
- Khorana, A.A.; Fine, R.L. Pancreatic cancer and thromboembolic disease. Lancet Oncol. 2004, 5, 655–663. [Google Scholar] [CrossRef]
- Soriano, A.; Castells, A.; Ayuso, C.; Ayuso, J.R.; De Caralt, M.T.; Ginès, M.À.; Real, M.I.; Gilabert, R.; Quintó, L.; Trilla, A.; et al. Preoperative Staging and Tumor Resectability Assessment of Pancreatic Cancer: Prospective Study Comparing Endoscopic Ultrasonography, Helical Computed Tomography, Magnetic Resonance Imaging, and Angiography. Am. J. Gastroenterol. 2004, 99, 492–501. [Google Scholar] [CrossRef]
- Karlson, B.-M.; Ekbom, A.; Lindgren, P.G.; Källskog, V.; Rastad, J. Abdominal US for Diagnosis of Pancreatic Tumor: Prospective Cohort Analysis. Radiol. 1999, 213, 107–111. [Google Scholar] [CrossRef]
- Maringhini, A.; Ciambra, M.; Raimondo, M.; Baccelliere, P.; Grasso, R.; Dardanoni, G.; Lanzarone, F.; Cottone, M.; Sciarrino, E.; Pagliaro, L. Clinical Presentation and Ultrasonography in the Diagnosis of Pancreatic Cancer. Pancreas 1993, 8, 146–150. [Google Scholar] [CrossRef]
- Xu, M.-M.; Sethi, A. Imaging of the Pancreas. Gastroenterol. Clin. N. Am. 2016, 45, 101–116. [Google Scholar] [CrossRef] [PubMed]
- Toft, J.; Hadden, W.J.; Laurence, J.M.; Lam, V.; Yuen, L.; Janssen, A.; Pleass, H. Imaging modalities in the diagnosis of pancreatic adenocarcinoma: A systematic review and meta-analysis of sensitivity, specificity and diagnostic accuracy. Eur. J. Radiol. 2017, 92, 17–23. [Google Scholar] [CrossRef] [PubMed]
- Treadwell, J.R.; Mitchell, M.D.; Eatmon, K.; Jue, J.; Zafar, H.; Teitelbaum, U.; Schoelles, K. Imaging Tests for the Diagnosis and Staging of Pancreatic Adenocarcinoma. Comparative Effectiveness Review No. 141 (Prepared by the ECRI Institute-Penn Medicine Evidence-Based Practive Center under Contract No. 290-2012-00011-I). Available online: www.effectivehealthcare.ahrq.gov/reports/final.cfm (accessed on 6 November 2019).
- Bipat, S.; Phoa, S.S.K.S.; Van Delden, O.M.; Bossuyt, P.M.M.; Gouma, D.J.; Laméris, J.S.; Stoker, J. Ultrasonography, Computed Tomography and Magnetic Resonance Imaging for Diagnosis and Determining Resectability of Pancreatic Adenocarcinoma. J. Comput. Assist. Tomogr. 2005, 29, 438–445. [Google Scholar] [CrossRef] [PubMed]
- Rösch, T.; Braig, C.; Gain, T.; Feuerbach, S.; Siewert, J.R.; Schusdziarra, V.; Classen, M. Staging of pancreatic and ampullary carcinoma by endoscopic ultrasonography. Gastroenterology 1992, 102, 188–199. [Google Scholar] [CrossRef]
- Freeny, P.C.; Marks, W.M.; Ryan, J.A.; Traverso, L.W. Pancreatic ductal adenocarcinoma: Diagnosis and staging with dynamic CT. Radiol. 1988, 166, 125–133. [Google Scholar] [CrossRef]
- Fuhrman, G.M.; Charnsangavej, C.; Abbruzzese, J.L.; Cleary, K.R.; Martin, R.G.; Fenoglio, C.J.; Evans, D.B. Thin-section contrast-enhanced computed tomography accurately predicts the resectability of malignant pancreatic neoplasms. Am. J. Surg. 1994, 167, 104–113. [Google Scholar] [CrossRef]
- Müller, M.F.; Meyenberger, C.; Bertschinger, P.; Schaer, R.; Marincek, B. Pancreatic tumors: Evaluation with endoscopic US, CT, and MR imaging. Radiology 1994, 190, 745–751. [Google Scholar] [CrossRef]
- Zeman, R.K.; Cooper, C.; Zeiberg, A.S.; Kladakis, A.; Silverman, P.M.; Marshall, J.L.; Evans, S.R.; Stahl, T.; Buras, R.; Nauta, R.J.; et al. TNM staging of pancreatic carcinoma using helical CT. Am. J. Roentgenol. 1997, 169, 459–464. [Google Scholar] [CrossRef]
- Palazzo, L.; Roseau, G.; Gayet, B.; Vilgrain, V.; Belghiti, J.; Fékété, F.; Paolaggi, J.-A. Endoscopic Ultrasonography in the Diagnosis and Staging of Pancreatic Adenocarcinoma. Laryngo-Rhino-Otologie 1993, 25, 143–150. [Google Scholar] [CrossRef]
- Midwinter, M.; Beveridge, C.J.; Wilsdon, J.B.; Bennett, M.K.; Baudouin, C.J.; Charnley, R.M. Correlation between spiral computed tomography, endoscopic ultrasonography and findings at operation in pancreatic and ampullary tumours. Br. J. Surg. 2003, 86, 189–193. [Google Scholar] [CrossRef]
- Megibow, A.; Zhou, X.H.; Rotterdam, H.; Francis, I.R.; Zerhouni, E.A.; Balfe, D.M.; Weinreb, J.C.; Aisen, A.; Kuhlman, J.; Heiken, J.P. Pancreatic adenocarcinoma: CT versus MR imaging in the evaluation of resectability—Report of the Radiology Diagnostic Oncology Group. Radiology 1995, 195, 327–332. [Google Scholar] [CrossRef] [PubMed]
- Saisho, H.; Yamaguchi, T. Diagnostic Imaging for Pancreatic Cancer. Pancreas 2004, 28, 273–278. [Google Scholar] [CrossRef] [PubMed]
- Roche, C.J.; Hughes, M.L.; Garvey, C.J.; Campbell, F.; White, D.A.; Jones, L.; Neoptolemos, J. CT and Pathologic Assessment of Prospective Nodal Staging in Patients with Ductal Adenocarcinoma of the Head of the Pancreas. Am. J. Roentgenol. 2003, 180, 475–480. [Google Scholar] [CrossRef] [PubMed]
- Chen, F.-M.; Ni, J.-M.; Zhang, Z.-Y.; Zhang, L.; Li, B.; Jiang, C.-J. Presurgical Evaluation of Pancreatic Cancer: A Comprehensive Imaging Comparison of CT Versus MRI. Am. J. Roentgenol. 2016, 206, 526–535. [Google Scholar] [CrossRef] [PubMed]
- Jeon, S.K.; Lee, J.M.; Joo, I.; Lee, N.H.; Ahn, S.J.; Woo, H.; Lee, M.S.; Jang, J.-Y.; Han, J.K. Magnetic resonance with diffusion-weighted imaging improves assessment of focal liver lesions in patients with potentially resectable pancreatic cancer on CT. Eur. Radiol. 2018, 28, 3484–3493. [Google Scholar] [CrossRef]
- Raman, S.P.; Horton, K.M.; Fishman, E. Multimodality Imaging of Pancreatic Cancer—Computed Tomography, Magnetic Resonance Imaging, and Positron Emission Tomography. Cancer J. 2012, 18, 511–522. [Google Scholar] [CrossRef]
- Choi, S.-Y.; Kim, Y.K.; Min, J.H.; Cha, D.I.; Lee, W.J.; Jeong, W.K. The value of gadoxetic acid-enhanced MRI for differentiation between hepatic microabscesses and metastases in patients with periampullary cancer. Eur. Radiol. 2017, 151, 487–4393. [Google Scholar] [CrossRef]
- Motosugi, U.; Ichikawa, T.; Morisaka, H.; Sou, H.; Muhi, A.; Kimura, K.; Sano, K.; Araki, T. Detection of Pancreatic Carcinoma and Liver Metastases with Gadoxetic Acid–enhanced MR Imaging: Comparison with Contrast-enhanced Multi–Detector Row CT. Radiology 2011, 260, 446–453. [Google Scholar] [CrossRef]
- Tempero, M.A.; Malafa, M.P.; Al-Hawary, M.; Behrman, S.W.; Benson, A.B.; Cardin, D.B.; Chiorean, E.G.; Chung, V.; Czito, B.; Del Chiaro, M.; et al. Pancreatic Adenocarcinoma, Version 2.2021, NCCN Clinical Practice Guidelines in Oncology. J. Natl. Compr. Cancer Netw. 2021, 19, 439–457. [Google Scholar] [CrossRef]
- Tempero, M.A.; Arnoletti, J.P.; Behrman, S.W.; Ben-Josef, E.; Benson, A.B.; Casper, E.S.; Cohen, S.J.; Czito, B.; Ellenhorn, J.D.I.; Hawkins, W.G.; et al. Pancreatic Adenocarcinoma, Version 2.2012. J. Natl. Compr. Cancer Netw. 2012, 10, 703–713. [Google Scholar] [CrossRef]
- Ghaneh, P.; Hanson, R.; Titman, A.; Lancaster, G.; Plumpton, C.; Lloyd-Williams, H.; Yeo, S.T.; Edwards, R.T.; Johnson, C.; Abu Hilal, M.; et al. PET-PANC: Multicentre prospective diagnostic accuracy and health economic analysis study of the impact of combined modality 18fluorine-2-fluoro-2-deoxy-d-glucose positron emission tomography with computed tomography scanning in the diagnosis and management of pancreatic cancer. Health Technol. Assess. 2018, 22, 1–114. [Google Scholar] [CrossRef] [PubMed]
- DeWitt, J.; Devereaux, B.M.; Lehman, G.A.; Sherman, S.; Imperiale, T.F. Comparison of Endoscopic Ultrasound and Computed Tomography for the Preoperative Evaluation of Pancreatic Cancer: A Systematic Review. Clin. Gastroenterol. Hepatol. 2006, 4, 717–725. [Google Scholar] [CrossRef] [PubMed]
- Rösch, T.; Lorenz, R.; Braig, C.; Feuerbach, S.; Siewert, J.R.; Schusdziarra, V.; Classen, M. Endoscopic ultrasound in pancreatic tumor diagnosis. Gastrointest. Endosc. 1991, 37, 347–352. [Google Scholar] [CrossRef]
- Kamata, K.; Kitano, M.; Kudo, M.; Sakamoto, H.; Kadosaka, K.; Miyata, T.; Imai, H.; Maekawa, K.; Chikugo, T.; Kumano, M.; et al. Value of EUS in early detection of pancreatic ductal adenocarcinomas in patients with intraductal papillary mucinous neoplasms. Laryngo-Rhino-Otologie 2013, 46, 22–29. [Google Scholar] [CrossRef]
- Kitano, M.; Kudo, M.; Yamao, K.; Takagi, T.; Sakamoto, H.; Komaki, T.; Kamata, K.; Imai, H.; Chiba, Y.; Okada, M.; et al. Characterization of Small Solid Tumors in the Pancreas: The Value of Contrast-Enhanced Harmonic Endoscopic Ultrasonography. Am. J. Gastroenterol. 2012, 107, 303–310. [Google Scholar] [CrossRef]
- Yamaguchi, K.; Okusaka, T.; Shimizu, K.; Furuse, J.; Ito, Y.; Hanada, K.; Shimosegawa, T.; Okazaki, K. Clinical Practice Guidelines for Pancreatic Cancer 2016 From the Japan Pancreas Society: A Synopsis. Pancreas 2017, 46, 595–604. [Google Scholar] [CrossRef]
- Kitano, M.; Kudo, M.; Maekawa, K.; Suetomi, Y.; Sakamoto, H.; Fukuta, N.; Nakaoka, R.; Kawasaki, T. Dynamic imaging of pancreatic diseases by contrast enhanced coded phase inversion harmonic ultrasonography. Gut 2004, 53, 854–859. [Google Scholar] [CrossRef]
- Agarwal, B.; Abu-Hamda, E.; Molke, K.L.; Correa, A.M.; Ho, L. Endoscopic Ultrasound-Guided Fine Needle Aspiration and Multidetector Spiral CT in the Diagnosis of Pancreatic Cancer. Am. J. Gastroenterol. 2004, 99, 844–850. [Google Scholar] [CrossRef]
- Gincul, R.; Palazzo, M.; Pujol, B.; Tubach, F.; Palazzo, L.; Lefort, C.; Fumex, F.; Lombard, A.; Ribeiro, D.; Fabre, M.; et al. Contrast-harmonic endoscopic ultrasound for the diagnosis of pancreatic adenocarcinoma: A prospective multicenter trial. Laryngo-Rhino-Otologie 2014, 46, 373–379. [Google Scholar] [CrossRef]
- Dietrich, C.F.; Sahai, A.V.; D’Onofrio, M.; Will, U.; Arcidiacono, P.G.; Petrone, M.C.; Hocke, M.; Braden, B.; Burmester, E.; Möller, K.; et al. Differential diagnosis of small solid pancreatic lesions. Gastrointest. Endosc. 2016, 84, 933–940. [Google Scholar] [CrossRef]
- Gong, T.-T.; Hu, D.-M.; Zhu, Q. Contrast-enhanced EUS for differential diagnosis of pancreatic mass lesions: A meta-analysis. Gastrointest. Endosc. 2012, 76, 301–309. [Google Scholar] [CrossRef] [PubMed]
- Li, Y.; Jin, H.; Liao, D.; Qian, B.; Zhang, Y.; Xu, M.; Han, S. Contrast-enhanced harmonic endoscopic ultrasonography for the differential diagnosis of pancreatic masses: A systematic review and meta-analysis. Mol. Clin. Oncol. 2019, 11, 425–433. [Google Scholar] [CrossRef] [PubMed]
- Seicean, A.; Badea, R.; Moldovan-Pop, A.; Vultur, S.; Botan, E.C.; Zaharie, T.; Saftoiu, A.; Mocan, T.; Iancu, C.; Graur, F.; et al. Harmonic Contrast-Enhanced Endoscopic Ultrasonography for the Guidance of Fine-Needle Aspiration in Solid Pancreatic Masses. Ultraschall der Med. Eur. J. Ultrasound 2015, 38, 174–182. [Google Scholar] [CrossRef] [PubMed]
- Sugimoto, M.; Takagi, T.; Hikichi, T.; Suzuki, R.; Watanabe, K.; Nakamura, J.; Kikuchi, H.; Konno, N.; Waragai, Y.; Watanabe, H.; et al. Conventional versus contrast-enhanced harmonic endoscopic ultrasonography-guided fine-needle aspiration for diagnosis of solid pancreatic lesions: A prospective randomized trial. Pancreatol. Off. J. Int. Assoc. Pancreatol. (IAP) 2015, 15, 538–541. [Google Scholar] [CrossRef]
- Cho, I.R.; Jeong, S.-H.; Kang, H.; Kim, E.J.; Kim, Y.S.; Cho, J.H. Comparison of contrast-enhanced versus conventional EUS-guided FNA/fine-needle biopsy in diagnosis of solid pancreatic lesions: A randomized controlled trial. Gastrointest. Endosc. 2021, 94, 303–310. [Google Scholar] [CrossRef]
- Eloubeidi, M.A.; Decker, G.A.; Chandrasekhara, V.; Chathadi, K.V.; Early, D.S.; Evans, J.A.; Fanelli, R.D.; Fisher, D.A.; Foley, K.; Hwang, J.H.; et al. The role of endoscopy in the evaluation and management of patients with solid pancreatic neoplasia. Gastrointest. Endosc. 2016, 83, 17–28. [Google Scholar] [CrossRef]
- Arya, N.; Wyse, J.M.; Jayaraman, S.; Ball, C.G.; Lam, E.; Paquin, S.C.; Lightfoot, P.; Sahai, A.V. A proposal for the ideal algorithm for the diagnosis, staging, and treatment of pancreas masses suspicious for pancreatic adenocarcinoma: Results of a working group of the Canadian Society for Endoscopic Ultrasound. Endosc. Ultrasound 2020, 9, 154–161. [Google Scholar]
- Okusaka, T.; Nakamura, M.; Yoshida, M.; Kitano, M.; Uesaka, K.; Ito, Y.; Furuse, J.; Hanada, K.; Okazaki, K. Clinical Practice Guidelines for Pancreatic Cancer 2019 From the Japan Pancreas Society. Pancreas 2020, 49, 326–335. [Google Scholar] [CrossRef]
- Wolfgang, C.L.; Herman, J.M.; Laheru, D.A.; Klein, A.P.; Erdek, M.A.; Fishman, E.K.; Hruban, R.H. Recent progress in pancreatic cancer. CA Cancer J. Clin. 2013, 63, 318–348. [Google Scholar] [CrossRef]
- Ducreux, M.; Cuhna, A.S.; Caramella, C.; Hollebecque, A.; Burtin, P.; Goéré, D.; Seufferlein, T.; Haustermans, K.; Van Laethem, J.L.; Conroy, T.; et al. Cancer of the pancreas: ESMO Clinical Practice Guidelines for diagnosis, treatment and follow-up. Ann. Oncol. 2015, 26 (Suppl. S5), v56–v68. [Google Scholar] [CrossRef]
- Thompson, J.S.; Murayama, K.M.; Edney, J.A.; Rikkers, L.F. Pancreaticoduodenectomy for suspected but unproven malignancy. Am. J. Surg. 1994, 168, 571–575. [Google Scholar] [CrossRef]
- Smith, C.D.; Behrns, K.E.; Van Heerden, J.A.; Sarr, M.G. Radical pancreatoduodenectomy for misdiagnosed pancreatic mass. Br. J. Surg. 2005, 81, 585–589. [Google Scholar] [CrossRef] [PubMed]
- Abraham, S.C.; Wilentz, R.E.; Yeo, C.J.; Sohn, T.A.; Cameron, J.L.; Boitnott, J.K.; Hruban, R.H. Pancreaticoduodenectomy (Whipple Resections) in Patients Without Malignancy. Am. J. Surg. Pathol. 2003, 27, 110–120. [Google Scholar] [CrossRef] [PubMed]
- Brugge, W.; DeWitt, J.; Klapman, J.; Ashfaq, R.; Shidham, V.; Chhieng, D.; Kwon, R.; Baloch, Z.; Zarka, M.; Staerkel, G. Techniques for cytologic sampling of pancreatic and bile duct lesions: The Papanicolaou Society of Cytopathology Guidelines. Cytojournal 2014, 11, 9. [Google Scholar] [CrossRef] [PubMed]
- Eloubeidi, M.A.; Chen, V.K.; Eltoum, I.A.; Jhala, D.; Chhieng, D.C.; Jhala, N.; Vickers, S.M.; Wilcox, M.C. Endoscopic Ultrasound–Guided Fine Needle Aspiration Biopsy of Patients With Suspected Pancreatic Cancer: Diagnostic Accuracy and Acute and 30-Day Complications. Am. J. Gastroenterol. 2003, 98, 2663–2668. [Google Scholar] [CrossRef]
- Hébert-Magee, S.; Bae, S.; Varadarajulu, S.; Ramesh, J.; Frost, A.R.; Eloubeidi, M.A.; Eltoum, I.A. The presence of a cytopathologist increases the diagnostic accuracy of endoscopic ultrasound-guided fine needle aspiration cytology for pancreatic adenocarcinoma: A meta-analysis. Cytopathol. Off. J. Br. Soc. Clin. Cytol. 2013, 24, 159–171. [Google Scholar] [CrossRef]
- Hewitt, M.J.; McPhail, M.J.; Possamai, L.; Dhar, A.; Vlavianos, P.; Monahan, K.J. EUS-guided FNA for diagnosis of solid pancreatic neoplasms: A meta-analysis. Gastrointest. Endosc. 2012, 75, 319–331. [Google Scholar] [CrossRef]
- Puli, S.R.; Bechtold, M.L.; Buxbaum, J.L.; Eloubeidi, M.A. How Good Is Endoscopic Ultrasound–Guided Fine-Needle Aspiration in Diagnosing the Correct Etiology for a Solid Pancreatic Mass? Pancreas 2013, 42, 20–26. [Google Scholar] [CrossRef]
- Chen, J.; Yang, R.; Lu, Y.; Xia, Y.; Zhou, H. Diagnostic accuracy of endoscopic ultrasound-guided fine-needle aspiration for solid pancreatic lesion: A systematic review. J. Cancer Res. Clin. Oncol. 2012, 138, 1433–1441. [Google Scholar] [CrossRef]
- Banafea, O.; Mghanga, F.P.; Zhao, J.; Zhao, R.; Zhu, L. Endoscopic ultrasonography with fine-needle aspiration for histological diagnosis of solid pancreatic masses: A meta-analysis of diagnostic accuracy studies. BMC Gastroenterol. 2016, 16, 1–11. [Google Scholar] [CrossRef]
- Madhoun, M.F.; Wani, S.B.; Rastogi, A.; Early, D.; Gaddam, S.; Tierney, W.M.; Maple, J.T. The diagnostic accuracy of 22-gauge and 25-gauge needles in endoscopic ultrasound-guided fine needle aspiration of solid pancreatic lesions: A meta-analysis. Laryngo-Rhino-Otologie 2013, 45, 86–92. [Google Scholar] [CrossRef]
- Facciorusso, A.; Stasi, E.; Di Maso, M.; Serviddio, G.; Hussein, M.S.A.; Muscatiello, N. Endoscopic ultrasound-guided fine needle aspiration of pancreatic lesions with 22 versus 25 Gauge needles: A meta-analysis. United Eur. Gastroenterol. J. 2017, 5, 846–853. [Google Scholar] [CrossRef] [PubMed]
- Xu, M.-M.; Jia, H.-Y.; Yan, L.-L.; Li, S.-S.; Zheng, Y. Comparison of two different size needles in endoscopic ultrasound-guided fine-needle aspiration for diagnosing solid pancreatic lesions. Medicine 2017, 96, e5802. [Google Scholar] [CrossRef] [PubMed]
- Affolter, K.E.; Schmidt, R.L.; Matynia, A.P.; Adler, D.; Factor, R.E. Needle Size Has Only a Limited Effect on Outcomes in EUS-Guided Fine Needle Aspiration: A Systematic Review and Meta-Analysis. Am. J. Dig. Dis. 2013, 58, 1026–1034. [Google Scholar] [CrossRef]
- Renelus, B.D.; Jamorabo, D.S.; Boston, I.; Briggs, W.M.; Poneros, J.M. Endoscopic Ultrasound-Guided Fine Needle Biopsy Needles Provide Higher Diagnostic Yield Compared to Endoscopic Ultrasound-Guided Fine Needle Aspiration Needles When Sampling Solid Pancreatic Lesions: A Meta-Analysis. Clin. Endosc. 2021, 54, 261–268. [Google Scholar] [CrossRef]
- Aadam, A.A.; Wani, S.; Amick, A.; Shah, J.N.; Bhat, Y.M.; Hamerski, C.M.; Klapman, J.B.; Muthusamy, V.R.; Watson, R.R.; Rademaker, A.W.; et al. A randomized controlled cross-over trial and cost analysis comparing endoscopic ultrasound fine needle aspiration and fine needle biopsy. Endosc. Int. Open 2016, 4, E497–E505. [Google Scholar] [CrossRef]
- Nakai, Y.; Isayama, H.; Chang, K.J.; Yamamoto, N.; Mizuno, S.; Mohri, D.; Kogure, H.; Matsubara, S.; Tada, M.; Koike, K. A pilot study of EUS-guided through-the-needle forceps biopsy (with video). Gastrointest. Endosc. 2016, 84, 158–162. [Google Scholar] [CrossRef] [PubMed]
- Samarasena, J.B.; Nakai, Y.; Shinoura, S.; Lee, J.G.; Chang, K.J. EUS-guided, through-the-needle forceps biopsy: A novel tissue acquisition technique. Gastrointest. Endosc. 2014, 81, 225–226. [Google Scholar] [CrossRef]
- Saxena, P.; El Zein, M.; Stevens, T.; Abdelgelil, A.; Besharati, S.; Messallam, A.; Kumbhari, V.; Azola, A.; Brainard, J.; Shin, E.J.; et al. Stylet slow-pull versus standard suction for endoscopic ultrasound-guided fine-needle aspiration of solid pancreatic lesions: A multicenter randomized trial. Laryngo-Rhino-Otologie 2018, 50, 497–504. [Google Scholar] [CrossRef]
- Tarantino, I.; Di Mitri, R.; Fabbri, C.; Pagano, N.; Barresi, L.; Granata, A.; Liotta, R.; Mocciaro, F.; Maimone, A.; Baccarini, P.; et al. Is diagnostic accuracy of fine needle aspiration on solid pancreatic lesions aspiration-related? A multicentre randomised trial. Dig. Liver Dis. 2014, 46, 523–526. [Google Scholar] [CrossRef]
- Lee, J.K.; Choi, J.H.; Lee, K.H.; Kim, K.M.; Shin, J.U.; Lee, J.K.; Lee, K.T.; Jang, K.-T. A prospective, comparative trial to optimize sampling techniques in EUS-guided FNA of solid pancreatic masses. Gastrointest. Endosc. 2013, 77, 745–751. [Google Scholar] [CrossRef] [PubMed]
- Attam, R.; Arain, M.A.; Bloechl, S.J.; Trikudanathan, G.; Munigala, S.; Bakman, Y.; Singh, M.; Wallace, T.; Henderson, J.B.; Catalano, M.F.; et al. “Wet suction technique (WEST)”: A novel way to enhance the quality of EUS-FNA aspirate. Results of a prospective, single-blind, randomized, controlled trial using a 22-gauge needle for EUS-FNA of solid lesions. Gastrointest. Endosc. 2015, 81, 1401–1407. [Google Scholar] [CrossRef] [PubMed]
- Sato, J.; Ishiwatari, H.; Sasaki, K.; Fujie, S.; Kaneko, J.; Satoh, T.; Matsubayashi, H.; Kishida, Y.; Yoshida, M.; Ito, S.; et al. Benefit of high negative pressure during endoscopic ultrasound-guided fine-needle aspiration with standard 22-gauge needles for pancreatic lesions: A retrospective comparative study. Scand. J. Gastroenterol. 2019, 54, 108–113. [Google Scholar] [CrossRef] [PubMed]
- Paik, W.H.; Choi, J.H.; Park, Y.; Lee, J.B.; Park, D.H. Optimal Techniques for EUS-Guided Fine-Needle Aspiration of Pancreatic Solid Masses at Facilities without On-Site Cytopathology: Results from Two Prospective Randomised Trials. J. Clin. Med. 2021, 10, 4662. [Google Scholar] [CrossRef]
- Bang, J.Y.; Magee, S.H.; Ramesh, J.; Trevino, J.M.; Varadarajulu, S. Randomized trial comparing fanning with standard technique for endoscopic ultrasound-guided fine-needle aspiration of solid pancreatic mass lesions. Laryngo-Rhino-Otologie 2013, 45, 445–450. [Google Scholar] [CrossRef]
- Tournoy, K.G.; Praet, M.M.; Van Maele, G.; Van Meerbeeck, J.P. Esophageal Endoscopic Ultrasound With Fine-Needle Aspiration With an On-site Cytopathologist. Chest 2005, 128, 3004–3009. [Google Scholar] [CrossRef]
- Klapman, J.B.; Logrono, R.; Dye, C.E.; Waxman, I. Clinical Impact of on-Site Cytopathology Interpretation on Endoscopic Ultrasound-Guided Fine Needle Aspiration. Am. J. Gastroenterol. 2003, 98, 1289–1294. [Google Scholar] [CrossRef]
- Matynia, A.P.; Schmidt, R.L.; Barraza, G.; Layfield, L.J.; Siddiqui, A.A.; Adler, D.G. Impact of rapid on-site evaluation on the adequacy of endoscopic-ultrasound guided fine-needle aspiration of solid pancreatic lesions: A systematic review and meta-analysis. J. Gastroenterol. Hepatol. 2013, 29, 697–705. [Google Scholar] [CrossRef]
- Lee, L.S.; Nieto, J.; Watson, R.R.; Hwang, A.L.; Muthusamy, V.R.; Walter, L.; Jajoo, K.; Ryou, M.K.; Saltzman, J.R.; Saunders, M.D.; et al. Randomized non-inferiority trial comparing diagnostic yield of cytopathologist-guided versus seven passes for endoscopic ultrasound-guided fine-needle aspiration of pancreatic masses. Dig. Endosc. 2016, 28, 469–475. [Google Scholar] [CrossRef]
- Kong, F.; Zhu, J.; Kong, X.; Sun, T.; Deng, X.; Du, Y.; Li, Z. Rapid On-Site Evaluation Does Not Improve Endoscopic Ultrasound-Guided Fine Needle Aspiration Adequacy in Pancreatic Masses: A Meta-Analysis and Systematic Review. PLoS ONE 2016, 11, e0163056. [Google Scholar] [CrossRef]
- Crinò, S.F.; Di Mitri, R.; Nguyen, N.Q.; Tarantino, I.; de Nucci, G.; Deprez, P.H.; Carrara, S.; Kitano, M.; Shami, V.M.; Fernández-Esparrach, G.; et al. Endoscopic Ultrasound–guided Fine-needle Biopsy With or Without Rapid On-site Evaluation for Diagnosis of Solid Pancreatic Lesions: A Randomized Controlled Non-Inferiority Trial. Gastroenterology 2021, 161, 899–909. [Google Scholar] [CrossRef] [PubMed]
- Chen, Y.-I.; Chatterjee, A.; Berger, R.; Kanber, Y.; Wyse, J.M.; Lam, E.; Gan, S.I.; Auger, M.; Kenshil, S.; Telford, J.; et al. Endoscopic ultrasound (EUS)-guided fine needle biopsy alone vs. EUS-guided fine needle aspiration with rapid onsite evaluation in pancreatic lesions: A multicenter randomized trial. Laryngo-Rhino-Otologie 2021, 54, 4–12. [Google Scholar] [CrossRef] [PubMed]
- Ki, E.-L.L.; Lemaistre, A.-I.; Fumex, F.; Gincul, R.; Lefort, C.; Lepilliez, V.; Pujol, B.; Napoléon, B. Macroscopic onsite evaluation using endoscopic ultrasound fine needle biopsy as an alternative to rapid onsite evaluation. Endosc. Int. Open 2019, 7, E189–E194. [Google Scholar] [CrossRef]
- Khurana, K.K.; Graber, B.; Wang, D.; Roy, A. Telecytopathology for On-Site Adequacy Evaluation Decreases the Nondiagnostic Rate in Endoscopic Ultrasound-Guided Fine-Needle Aspiration of Pancreatic Lesions. Telemed. e-Health 2014, 20, 822–827. [Google Scholar] [CrossRef] [PubMed]
- Inoue, H.; Ogo, K.; Tabuchi, M.; Yamane, N.; Oka, H.; Oka, H. An automatic visual inspection method based on supervised machine learning for rapid on-site evaluation in EUS-FNA. In 2014 Proceedings of the SICE Annual Conference (SICE), Sapporo, Japan, 9–12 September 2014; pp. 1114–1119. [Google Scholar]
- Chun, Y.S.; Pawlik, T.M.; Vauthey, J.N. 8th Edition of the AJCC Cancer Staging Manual: Pancreas and Hepatobiliary Cancers. Ann. Surg. Oncol. 2018, 25, 845–847. [Google Scholar] [CrossRef]
- Saka, B.; Balci, S.; Basturk, O.; Bagci, P.; Postlewait, L.M.; Maithel, S.; Knight, J.; El-Rayes, B.; Kooby, D.; Sarmiento, J.; et al. Pancreatic Ductal Adenocarcinoma is Spread to the Peripancreatic Soft Tissue in the Majority of Resected Cases, Rendering the AJCC T-Stage Protocol (7th Edition) Inapplicable and Insignificant: A Size-Based Staging System (pT1: ≤2, pT2: >2–≤4, pT3: >4 cm) is More Valid and Clinically Relevant. Ann. Surg. Oncol. 2016, 23, 2010–2018. [Google Scholar] [CrossRef]
- Allen, P.J.; Kuk, D.; Castillo, C.F.-D.; Basturk, O.; Wolfgang, C.L.; Cameron, J.L.; Lillemoe, K.D.; Ferrone, C.R.; Morales-Oyarvide, V.; He, J.; et al. Multi-institutional Validation Study of the American Joint Commission on Cancer (8th Edition) Changes for T and N Staging in Patients With Pancreatic Adenocarcinoma. Ann. Surg. 2017, 265, 185–191. [Google Scholar] [CrossRef]
- Kim, H. Does Neoadjuvant Chemoradiation Downstage Locally Advanced Pancreatic Cancer? J. Gastrointest. Surg. 2002, 6, 763–769. [Google Scholar] [CrossRef]
- Callery, M.P.; Chang, K.J.; Fishman, E.K.; Talamonti, M.S.; Traverso, L.W.; Linehan, D.C. Pretreatment Assessment of Resectable and Borderline Resectable Pancreatic Cancer: Expert Consensus Statement. Ann. Surg. Oncol. 2009, 16, 1727–1733. [Google Scholar] [CrossRef]
- Loyer, E.M.; David, C.L.; Dubrow, R.A.; Evans, D.B.; Charnsangavej, C. Vascular involvement in pancreatic adenocarcinoma:reassessment by thin-section CT. Gastrointest. Radiol. 1996, 21, 202–206. [Google Scholar] [CrossRef] [PubMed]
- Katz, M.H.G.; Marsh, R.; Herman, J.M.; Shi, Q.; Collison, E.; Venook, A.P.; Kindler, H.L.; Alberts, S.R.; Philip, P.; Lowy, A.M.; et al. Borderline Resectable Pancreatic Cancer: Need for Standardization and Methods for Optimal Clinical Trial Design. Ann. Surg. Oncol. 2013, 20, 2787–2795. [Google Scholar] [CrossRef] [PubMed]
- Yang, R.; Lu, M.; Qian, X.; Chen, J.; Li, L.; Wang, J.; Zhang, Y. Diagnostic accuracy of EUS and CT of vascular invasion in pancreatic cancer: A systematic review. J. Cancer Res. Clin. Oncol. 2014, 140, 2077–2086. [Google Scholar] [CrossRef] [PubMed]
- Nawaz, H.; Fan, C.Y.; Kloke, J.; Khalid, A.; McGrath, K.; Landsittel, D.; Papachristou, G.I. Performance characteristics of endoscopic ultrasound in the staging of pancreatic cancer: A meta-analysis. JOP J. Pancreas 2013, 14, 484–497. [Google Scholar] [CrossRef]
- Li, A.E.; Li, B.T.; Ng, B.H.K.; McCormack, S.; Vedelago, J.; Clarke, S.; Pavlakis, N.; Samra, J. Diagnostic Accuracy of Imaging Modalities in the Evaluation of Vascular Invasion in Pancreatic Adenocarcinoma: A Meta-Analysis. World J. Oncol. 2013, 4, 74–82. [Google Scholar] [CrossRef]
- Sugiyama, M.; Hagi, H.; Atomi, Y.; Saito, M. Diagnosis of portal venous invasion by pancreatobiliary carcinoma: Value of endoscopic ultrasonography. Gastrointest. Radiol. 1997, 22, 434–438. [Google Scholar] [CrossRef]
- Rösch, T.; Dittler, H.-J.; Strobel, K.; Meining, A.; Schusdziarra, V.; Lorenz, R.; Allescher, H.-D.; Kassem, A.M.; Gerhardt, P.; Siewert, J.-R.; et al. Endoscopic ultrasound criteria for vascular invasion in the staging of cancer of the head of the pancreas: A blind reevaluation of videotapes. Gastrointest. Endosc. 2000, 52, 469–477. [Google Scholar] [CrossRef]
- Rosch, T.; Dittler, H.J.; Lorenz, R.; Braig, C.; Gain, T.; Feuerbach, S.; Höfler, H.; Siewert, J.R.; Classen, M. Endosonographisches Staging des Pankreaskarzinoms. DMW Dtsch. Med. Wochenschr. 1992, 117, 563–569. [Google Scholar] [CrossRef]
- Glazer, E.S.; Rashid, O.M.; Klapman, J.B.; Harris, C.L.; Hodul, P.J.; Pimiento, J.M.; Malafa, M.P. Endoscopic ultrasonography complements computed tomography in predicting portal or superior mesenteric vein resection in patients with borderline resectable pancreatic carcinoma. Pancreatol. Off. J. Int. Assoc. Pancreatol. (IAP) 2017, 17, 130–134. [Google Scholar] [CrossRef]
- EBSCOhost|16075766|Endoscopic Ultrasound-Guided Fine Needle Aspiration of Pleural and As-Citic Fluid. Available online: https://web.p.ebscohost.com/abstract?direct=true&profile=ehost&scope=site&authtype=crawler&jrnl=00029270&AN=16075766&h=tblKVb0JP1I1tNtwi%2fpMCHYhuvVCih1cjt2j5ddR%2btAtx%2bTmFMKCnh%2b374g49DW97YGbM1hZ0M8MUlbuyJ12JQ%3d%3d&crl=c&resultNs=AdminWebAuth&resultLocal=ErrCrlNotAuth&crlhashurl=login.aspx%3fdirect%3dtrue%26profile%3dehost%26scope%3dsite%26authtype%3dcrawler%26jrnl%3d00029270%26AN%3d16075766 (accessed on 7 January 2022).
- Nguyen, P.T.; Chang, K.J. EUS in the detection of ascites and EUS-guided paracentesis. Gastrointest. Endosc. 2001, 54, 336–339. [Google Scholar] [CrossRef]
- DeWitt, J.; LeBlanc, J.; McHenry, L.; Ciaccia, D.; Imperiale, T.; Chappo, J.; Cramer, H.; McGreevy, K.; Chriswell, M.; Sherman, S. Endoscopic ultrasound-guided fine needle aspiration cytology of solid liver lesions: A large single-center experience. Am. J. Gastroenterol. 2003, 98, 1976–1981. [Google Scholar] [CrossRef] [PubMed]
- Merkow, R.P.; Bilimoria, K.Y.; Tomlinson, J.S.; Paruch, J.L.; Fleming, J.B.; Talamonti, M.S.; Ko, C.Y.; Bentrem, D.J. Postoperative Complications Reduce Adjuvant Chemotherapy Use in Resectable Pancreatic Cancer. Ann. Surg. 2014, 260, 372–377. [Google Scholar] [CrossRef] [PubMed]
- Barenboim, A.; Lahat, G.; Geva, R.; Nachmany, I.; Nakache, R.; Goykhman, Y.; Brazowski, E.; Rosen, G.; Isakov, O.; Wolf, I.; et al. Neoadjuvant FOLFIRINOX for locally advanced and borderline resectable pancreatic cancer: An intention to treat analysis. Eur. J. Surg. Oncol. (EJSO) 2018, 44, 1619–1623. [Google Scholar] [CrossRef] [PubMed]
- Quiros, R.M.; Brown, K.M.; Hoffman, J.P. Neoadjuvant Therapy in Pancreatic Cancer. Cancer Investig. 2009, 25, 267–273. [Google Scholar] [CrossRef] [PubMed]
- Gupta, N.; Yelamanchi, R. Pancreatic adenocarcinoma: A review of recent paradigms and advances in epidemiology, clinical diagnosis and management. World J. Gastroenterol. 2021, 27, 3158–3181. [Google Scholar] [CrossRef] [PubMed]
- Furuse, J.; Shibahara, J.; Sugiyama, M. Development of chemotherapy and significance of conversion surgery after chemotherapy in unresectable pancreatic cancer. J. Hepato-Biliary-Pancreat. Sci. 2018, 25, 261–268. [Google Scholar] [CrossRef]
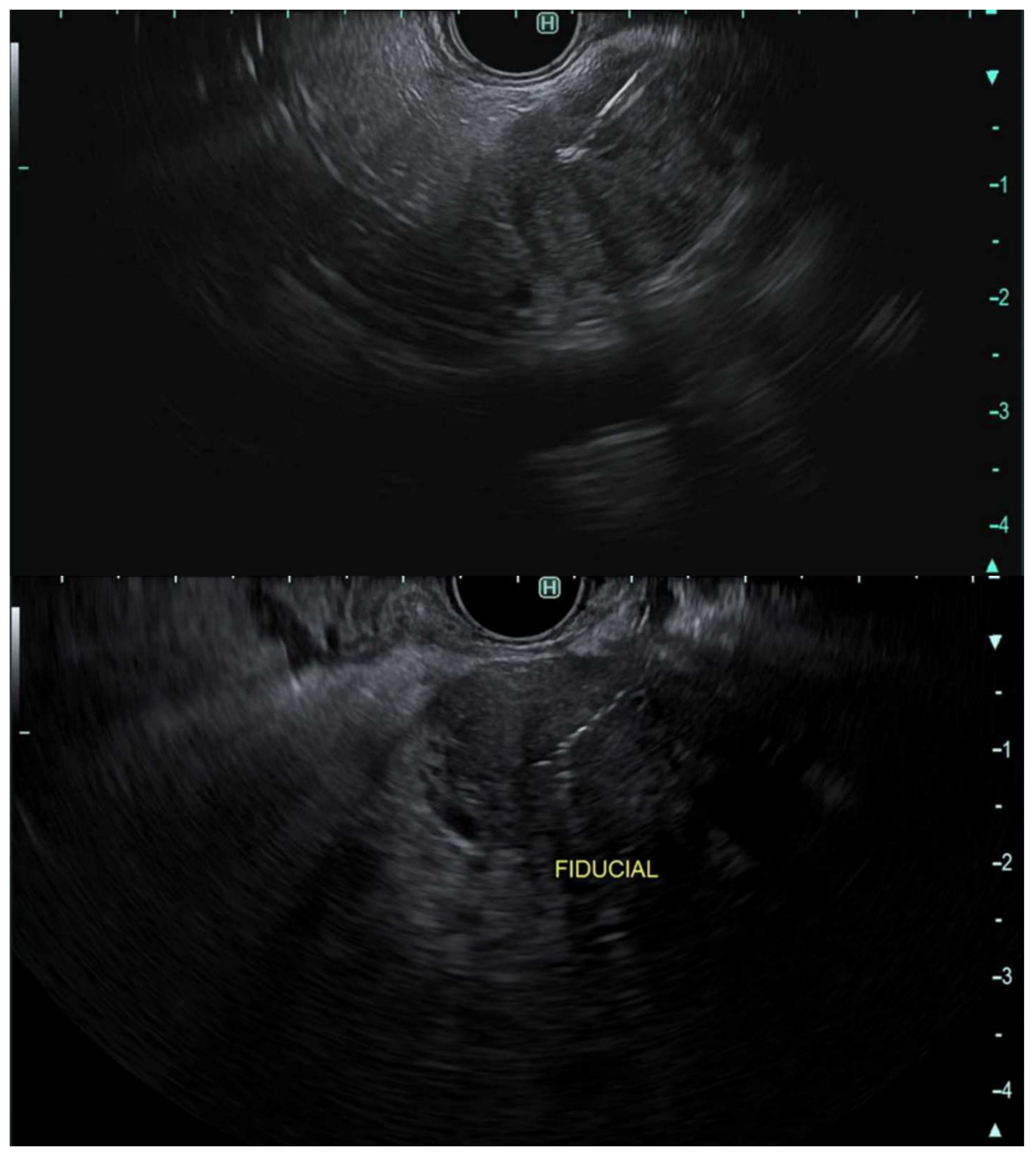
- Dhadham, G.C.; Hoffe, S.; Harris, C.L.; Klapman, J.B. Endoscopic ultrasound-guided fiducial marker placement for image-guided radiation therapy without fluoroscopy: Safety and technical feasibility. Endosc. Int. Open 2016, 4, E378–E382. [Google Scholar] [CrossRef]
- Coronel, E.; Singh, B.S.; Cazacu, I.M.; Moningi, S.; Romero, L.; Taniguchi, C.; Herman, J.M.; Bhutani, M.S. EUS-guided placement of fiducial markers for the treatment of pancreatic cancer. VideoGIE 2019, 4, 403–406. [Google Scholar] [CrossRef]
- Lim, K.-H.; Chung, E.; Khan, A.; Cao, D.; Linehan, D.; Ben-Josef, E.; Wang-Gillam, A. Neoadjuvant Therapy of Pancreatic Cancer: The Emerging Paradigm? Oncologist 2012, 17, 192–200. [Google Scholar] [CrossRef]
- Araujo, R.L.C.; Gaujoux, S.; Huguet, F.; Gonen, M.; D’Angelica, M.I.; DeMatteo, R.P.; Fong, Y.; Kingham, T.P.; Jarnagin, W.R.; Goodman, K.A.; et al. Does pre-operative chemoradiation for initially unresectable or borderline resectable pancreatic adenocarcinoma increase post-operative morbidity? A case-matched analysis. HPB 2013, 15, 574–580. [Google Scholar] [CrossRef]
- Mornex, F.; Girard, N.; Delpero, J.; Partensky, C. Radiochemotherapy in the Management of Pancreatic Cancer—Part I: Neoadjuvant Treatment. Semin. Radiat. Oncol. 2005, 15, 226–234. [Google Scholar] [CrossRef] [PubMed]
- White, R.R.; Hurwitz, H.I.; Morse, M.A.; Lee, C.; Anscher, M.; Paulson, E.K.; Gottfried, M.R.; Baillie, J.; Branch, M.S.; Jowell, P.S.; et al. Neoadjuvant Chemoradiation for Localized Adenocarcinoma of the Pancreas. Ann. Surg. Oncol. 2001, 8, 758–765. [Google Scholar] [CrossRef] [PubMed]
- Varadhachary, G.R.; Tamm, E.P.; Abbruzzese, J.L.; Xiong, H.Q.; Crane, C.H.; Wang, H.; Lee, J.E.; Pisters, P.W.T.; Evans, D.B.; Wolff, R.A. Borderline Resectable Pancreatic Cancer: Definitions, Management, and Role of Preoperative Therapy. Ann. Surg. Oncol. 2006, 13, 1035–1046. [Google Scholar] [CrossRef] [PubMed]
- Reni, M. Neoadjuvant treatment for resectable pancreatic cancer: Time for phase III testing? World J. Gastroenterol. 2010, 16, 4883–4887. [Google Scholar] [CrossRef] [PubMed]
- Tajima, H.; Ohta, T.; Kitagawa, H.; Okamoto, K.; Sakai, S.; Makino, I.; Kinoshita, J.; Furukawa, H.; Nakamura, K.; Hayashi, H.; et al. Pilot study of neoadjuvant chemotherapy with gemcitabine and oral S-1 for resectable pancreatic cancer. Exp. Ther. Med. 2012, 3, 787–792. [Google Scholar] [CrossRef]
- O’Reilly, E.M.; Perelshteyn, A.; Jarnagin, W.R.; Schattner, M.; Gerdes, H.; Capanu, M.; Tang, L.H.; LaValle, J.; Winston, C.; DeMatteo, R.P.; et al. A Single-Arm, Nonrandomized Phase II Trial of Neoadjuvant Gemcitabine and Oxaliplatin in Patients With Resectable Pancreas Adenocarcinoma. Ann. Surg. 2014, 260, 142–148. [Google Scholar] [CrossRef]
- Turrini, O.; Viret, F.; Moureau-Zabotto, L.; Guiramand, J.; Moutardier, V.; Lelong, B.; De Chaisemartin, C.; Giovannini, M.; Delpero, J.R. Neoadjuvant 5 Fluorouracil-Cisplatin Chemoradiation Effect on Survival in Patients with Resectable Pancreatic Head Adenocarcinoma: A Ten-Year Single Institution Experience. Oncology 2009, 76, 413–419. [Google Scholar] [CrossRef]
- Golcher, H.; Brunner, T.B.; Witzigmann, H.; Marti, L.F.; Bechstein, W.; Bruns, C.; Jungnickel, H.; Schreiber, S.; Grabenbauer, G.G.; Meyer, T.; et al. Neoadjuvant chemoradiation therapy with gemcitabine/cisplatin and surgery versus immediate surgery in resectable pancreatic cancer. Strahlenther. Onkol. 2015, 191, 7–16. [Google Scholar] [CrossRef]
- Okano, K.; Suto, H.; Oshima, M.; Maeda, E.; Yamamoto, N.; Kakinoki, K.; Kamada, H.; Masaki, T.; Takahashi, S.; Shibata, T.; et al. A Prospective Phase II Trial of Neoadjuvant S-1 with Concurrent Hypofractionated Radiotherapy in Patients with Resectable and Borderline Resectable Pancreatic Ductal Adenocarcinoma. Ann. Surg. Oncol. 2017, 24, 2777–2784. [Google Scholar] [CrossRef]









| Cancer Predisposition Syndrome | Gene Involved | The Relative Risk of Pancreatic Cancer |
|---|---|---|
| Peutz Jeghers syndrome | STK11 | 132 [59,60] |
| Lynch syndrome | Mismatch repair genes (MLH1, MSH2, MSH6) | 8.6 [61] |
| HBOC * | BRCA1 | 2.26 [62] |
| HBOC * | BRCA2 | 3.5–6.6 [63,64] |
| HBOC * | PALB2 | Unknown [64,65,66] |
| FAMMM ** | CKDN2A | 13–22 [67] |
| Ataxia telangiectasia | ATM | Unknown [68] |
| Li Fraumeni | TP53 | 7 [69] |
| Hereditary pancreatitis | PRSS1, SPINKI | 50–82 [70,71,72] |
| EUS-FNA Needles | |||
|---|---|---|---|
| Needle | Manufacturer | Caliber | Photo |
| ExpectTM | Boston Scientific | 19G, 22G, 25G | a a ![]() |
| ExpectTM Flex | 19G | ||
| ExpectTM SlimLine (SL) | 19G, 22G, 25G | ||
| ExpectTM SlimLine Flex | 19G | ||
| ClearViewTM Round | ConMed | 19G, 22G, 25G | b![]() |
| ClearViewTM Round w/sheath stabilizer | 22G, 25G | ||
| ClearViewTM Extended bevel | 22G | ||
| ClearViewTM Extended bevel w/sheath stabilizer | 22G | ||
| BeaconTM FNA needle | Medtronic | 19G, 22G, 25G | c![]() |
| BeaconTM EUS delivery system with FNA needle | 19G, 22G, 25G | ||
| EchoTip® Ultra | Cook Medical | 19G, 22G, 25G | d![]() |
| EchoTip® Ultra Coil sheath | 22G | ||
| EchoTip® Ultra HD access | 19G | d![]() | |
| EZ Shot 2 | Olympus | 19G, 22G, 25G | |
| EZ Shot 2 with side hole | 22G | e![]() | |
| EZ Shot 3 Plus with and without side hole | 19G, 22G | e![]() | |
| EUS-FNB Needles | |||
| Needle | Manufacturer | Caliber | Photo |
| AcquireTM | Boston Scientific | 22G, 25G | a![]() |
| SharkCoreTM FNB needle | Medtronic | 19G, 22G, 25G | c![]() |
| SharkCoreTM FNB biopsy system with needle | 22G, 25G | ||
| BeaconTM EUS delivery system with SharkCoreTM LG FNB needle | 19G | ||
| EchoTip ProCore® Ultra HD | Cook Medical | 19G, 20G, 22G, 25G | d![]() |
Publisher’s Note: MDPI stays neutral with regard to jurisdictional claims in published maps and institutional affiliations. |
© 2022 by the authors. Licensee MDPI, Basel, Switzerland. This article is an open access article distributed under the terms and conditions of the Creative Commons Attribution (CC BY) license (https://creativecommons.org/licenses/by/4.0/).
Share and Cite
Zakaria, A.; Al-Share, B.; Klapman, J.B.; Dam, A. The Role of Endoscopic Ultrasonography in the Diagnosis and Staging of Pancreatic Cancer. Cancers 2022, 14, 1373. https://doi.org/10.3390/cancers14061373
Zakaria A, Al-Share B, Klapman JB, Dam A. The Role of Endoscopic Ultrasonography in the Diagnosis and Staging of Pancreatic Cancer. Cancers. 2022; 14(6):1373. https://doi.org/10.3390/cancers14061373
Chicago/Turabian StyleZakaria, Ali, Bayan Al-Share, Jason B. Klapman, and Aamir Dam. 2022. "The Role of Endoscopic Ultrasonography in the Diagnosis and Staging of Pancreatic Cancer" Cancers 14, no. 6: 1373. https://doi.org/10.3390/cancers14061373
APA StyleZakaria, A., Al-Share, B., Klapman, J. B., & Dam, A. (2022). The Role of Endoscopic Ultrasonography in the Diagnosis and Staging of Pancreatic Cancer. Cancers, 14(6), 1373. https://doi.org/10.3390/cancers14061373












