Penile Squamous Cell Carcinomas in Sub-Saharan Africa and Europe: Differential Etiopathogenesis
Abstract
Simple Summary
Abstract
1. Introduction
2. Methods
2.1. Case Selection
2.2. Histological Review
2.3. Tissue Preparation, Nucleic-Acid Isolation and HPV-DNA Detection
2.4. p16 IHC
2.5. Criteria for Classifying a Tumor as HPV-Associated or HPV-Independent
2.6. p53 IHC
2.7. Statistical Analysis
3. Results
3.1. General Features
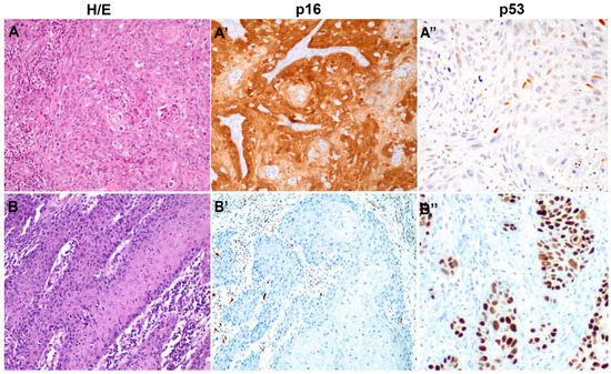
3.2. Association with HPV
3.3. Histological Subtypes
3.4. p53 IHC Results
4. Discussion
5. Conclusions
Author Contributions
Funding
Institutional Review Board Statement
Informed Consent Statement
Data Availability Statement
Acknowledgments
Conflicts of Interest
References
- Bray, F.; Ferlay, J.; Soerjomataram, I.; Siegel, R.L.; Torre, L.A.; Jemal, A. Global cancer statistics 2018: GLOBOCAN estimates of incidence and mortality worldwide for 36 cancers in 185 countries. CA Cancer J. Clin. 2018, 68, 394–424. [Google Scholar] [CrossRef] [PubMed]
- Barnholtz-Sloan, J.S.; Maldonado, J.L.; Pow-sang, J.; Guiliano, A.R. Incidence trends in primary malignant penile cancer. Urol. Oncol. 2007, 25, 361–367. [Google Scholar] [CrossRef] [PubMed]
- Daling, J.R.; Madeleine, M.M.; Johnson, L.G.; Schwartz, S.M.; Shera, K.A.; Wurscher, M.A.; Carter, J.J.; Porter, P.L.; Galloway, D.A.; McDougall, J.K.; et al. Penile cancer: Importance of circumcision, human papillomavirus and smoking in in situ and invasive disease. Int. J. Cancer 2005, 116, 606–616. [Google Scholar] [CrossRef] [PubMed]
- Moch, H.; Cubilla, A.L.; Humphrey, P.A.; Reuter, V.E.; Ulbright, T.M. The 2016 WHO Classification of Tumours of the Urinary System and Male Genital Organs-Part A: Renal, Penile, and Testicular Tumours. Eur. Urol. 2016, 70, 93–105. [Google Scholar] [CrossRef] [PubMed]
- Cubilla, A.L.; Velazquez, E.F.; Amin, M.B.; Epstein, J.; Berney, D.M.; Corbishley, C.M. Members of the ISUP Penile Tumor Panel The World Health Organisation 2016 classification of penile carcinomas: A review and update from the International Society of Urological Pathology expert-driven recommendations. Histopathology 2018, 72, 893–904. [Google Scholar] [CrossRef] [PubMed]
- Moch, H.; Amin, M.B.; Berney, D.M.; Compérat, E.M.; Gill, A.J.; Hartmann, A.; Menon, S.; Raspollini, M.R.; Rubin, M.A.; Srigley, J.R.; et al. The 2022 World Health Organization Classification of Tumours of the Urinary System and Male Genital Organs—Part A: Renal, Penile, and Testicular Tumours. Eur. Urol. 2022, 82, 458–468. [Google Scholar] [CrossRef]
- Chaux, A.; Pfannl, R.; Lloveras, B.; Alejo, M.; Clavero, O.; Lezcano, C.; Muñoz, N.; de Sanjosé, S.; Bosch, X.; Hernández-Pérez, M.; et al. Distinctive association of p16INK4a overexpression with penile intraepithelial neoplasia depicting warty and/or basaloid features: A study of 141 cases evaluating a new nomenclature. Am. J. Surg. Pathol. 2010, 34, 385–392. [Google Scholar] [CrossRef]
- Darragh, T.M.; Colgan, T.J.; Thomas Cox, J.; Heller, D.S.; Henry, M.R.; Luff, R.D.; McCalmont, T.; Nayar, R.; Palefsky, J.M.; Stoler, M.H.; et al. The Lower Anogenital Squamous Terminology Standardization project for HPV-associated lesions: Background and consensus recommendations from the College of American Pathologists and the American Society for Colposcopy and Cervical Pathology. Int. J. Gynecol. Pathol. 2013, 32, 76–115. [Google Scholar] [CrossRef]
- Chaux, A.; Velazquez, E.F.; Amin, A.; Soskin, A.; Pfannl, R.; Rodríguez, I.M.; Barreto, J.E.; Lezcano, C.; Ayala, G.; Netto, G.J.; et al. Distribution and characterization of subtypes of penile intraepithelial neoplasia and their association with invasive carcinomas: A pathological study of 139 lesions in 121 patients. Hum. Pathol. 2012, 43, 1020–1027. [Google Scholar] [CrossRef]
- Chaux, A.; Pfannl, R.; Rodríguez, I.M.; Barreto, J.E.; Velazquez, E.F.; Lezcano, C.; Piris, A.; Netto, G.J.; Cubilla, A.L. Distinctive immunohistochemical profile of penile intraepithelial lesions: A study of 74 cases. Am. J. Surg. Pathol. 2011, 35, 553–562. [Google Scholar] [CrossRef]
- Canete-Portillo, S.; Velazquez, E.F.; Kristiansen, G.; Egevad, L.; Grignon, D.; Chaux, A.; Cubilla, A.L. Report From the International Society of Urological Pathology (ISUP) Consultation Conference on Molecular Pathology of Urogenital Cancers V: Recommendations on the Use of Immunohistochemical and Molecular Biomarkers in Penile Cancer. Am. J. Surg. Pathol. 2020, 44, E80–E86. [Google Scholar] [CrossRef] [PubMed]
- Fu, L.; Tian, T.; Yao, K.; Chen, X.-F.; Luo, G.; Gao, Y.; Lin, Y.-F.; Wang, B.; Sun, Y.; Zheng, W.; et al. Global Pattern and Trends in Penile Cancer Incidence: Population-Based Study. JMIR Public Health Surveill. 2022, 8, e34874. [Google Scholar] [CrossRef] [PubMed]
- Alemany, L.; Cubilla, A.; Halec, G.; Kasamatsu, E.; Quirós, B.; Masferrer, E.; Tous, S.; Lloveras, B.; Hernández-Suarez, G.; Lonsdale, R.; et al. Role of Human Papillomavirus in Penile Carcinomas Worldwide. Eur. Urol. 2016, 69, 953–961. [Google Scholar] [CrossRef] [PubMed]
- Dwyer-Lindgren, L.; Cork, M.A.; Sligar, A.; Steuben, K.M.; Wilson, K.F.; Provost, N.R.; Mayala, B.K.; VanderHeide, J.D.; Collison, M.L.; Hall, J.B.; et al. Mapping HIV prevalence in sub-Saharan Africa between 2000 and 2017. Nature 2019, 570, 189–193. [Google Scholar] [CrossRef] [PubMed]
- Looker, K.J.; Rönn, M.M.; Brock, P.M.; Brisson, M.; Drolet, M.; Mayaud, P.; Boily, M.C. Evidence of synergistic relationships between HIV and Human Papillomavirus (HPV): Systematic reviews and meta-analyses of longitudinal studies of HPV acquisition and clearance by HIV status, and of HIV acquisition by HPV status. J. Int. AIDS Soc. 2018, 21, e25110. [Google Scholar] [CrossRef]
- Nakagawa, F.; Phillips, A.N.; Lundgren, J.D. Update on HIV in Western Europe. Curr. HIV/AIDS Rep. 2014, 11, 177–185. [Google Scholar] [CrossRef]
- Rakislova, N.; Alemany, L.; Clavero, O.; Saco, A.; Torné, A.; Del Pino, M.; Munmany, M.; Rodrigo-calvo, M.T.; Guerrero, J.; Marimon, L.; et al. P53 immunohistochemical patterns in HPV-independent squamous cell carcinomas of the vulva and the associated skin lesions: A study of 779 cases. Int. J. Mol. Sci. 2020, 21, 8091. [Google Scholar] [CrossRef]
- Tessier-Cloutier, B.; Kortekaas, K.E.; Thompson, E.; Pors, J.; Chen, J.; Ho, J.; Prentice, L.M.; McConechy, M.K.; Chow, C.; Proctor, L.; et al. Major p53 immunohistochemical patterns in in situ and invasive squamous cell carcinomas of the vulva and correlation with TP53 mutation status. Mod. Pathol. 2020, 33, 1595–1605. [Google Scholar] [CrossRef]
- Ferrándiz-Pulido, C.; Masferrer, E.; De Torres, I.; Lloveras, B.; Hernandez-Losa, J.; Mojal, S.; Salvador, C.; Morote, J.; Ramon, Y.; Cajal, S.; et al. Identification and genotyping of human papillomavirus in a Spanish cohort of penile squamous cell carcinomas: Correlation with pathologic subtypes, p16(INK4a) expression, and prognosis. J. Am. Acad. Dermatol. 2013, 68, 73–82. [Google Scholar] [CrossRef]
- Kirrander, P.; Sherif, A.; Friedrich, B.; Lambe, M.; Hakansson, U. Swedish National Penile Cancer Register: Incidence, tumour characteristics, management and survival. BJU Int. 2016, 117, 287–292. [Google Scholar] [CrossRef]
- Bandini, M.; Ahmed, M.; Basile, G.; Watkin, N.; Master, V.; Zhu, Y.; Prakash, G.; Rodriguez, A.; Ssebakumba, M.K.; Leni, R.; et al. A global approach to improving penile cancer care. Nat. Rev. Urol. 2022, 19, 231–239. [Google Scholar] [CrossRef] [PubMed]
- Buonaguro, F.M.; Tornesello, M.L.; Salatiello, I.; Okong, P.; Buonaguro, L.; Beth-Giraldo, E.; Biryahwaho, B.; Sempala, S.D.K.; Giraldo, G. The uganda study on HPV variants and genital cancers. J. Clin. Virol. 2000, 19, 31–41. [Google Scholar] [CrossRef]
- Maueia, C.; Murahwa, A.; Manjate, A.; Andersson, S.; Sacarlal, J.; Kenga, D.; Mussá, T.; Williamson, A.L. Identification of the Human Papillomavirus Genotypes, According to the Human Immunodeficiency Virus Status in a Cohort of Women from Maputo, Mozambique. Viruses 2021, 14, 24. [Google Scholar] [CrossRef] [PubMed]
- Rakislova, N.; Manzotti, C.; Saude, O. Differential etiopathogenic features of vulvar squamous cell carcinomas in sub-Saharan Africa and Europe. Int. J. Cancer 2022. online ahead of print. [Google Scholar] [CrossRef] [PubMed]
- González, R.; Munguambe, K.; Aponte, J.J.; Bavo, C.; Nhalungo, D.; Macete, E.; Alonso, P.L.; Menéndez, C.; Naniche, D. High HIV prevalence in a southern semi-rural area of Mozambique: A community-based survey. HIV Med. 2012, 13, 581–588. [Google Scholar] [CrossRef]
- Lorenzoni, C.; Vilajeliu, A.; Carrilho, C.; Ismail, M.R.; Castillo, P.; Augusto, O.; García-Basteiro, A.L.; Sidat, M.; de Sanjosé, S.; Menéndez, C.; et al. Trends in cancer incidence in Maputo, Mozambique, 1991–2008. PLoS ONE 2015, 10, e0130469. [Google Scholar] [CrossRef]
- Frisch, M.; Biggar, R.J.; Goedert, J.J. Human papillomavirus-associated cancers in patients with human immunodeficiency virus infection and acquired immunodeficiency syndrome. J. Natl. Cancer Inst. 2000, 92, 1500–1510. [Google Scholar] [CrossRef]
- Known and Probable Human Carcinogens. Available online: https://www.cancer.org/healthy/cancer-causes/general-info/known-and-probable-human-carcinogens.html (accessed on 20 July 2022).
- Stelzle, D.; Tanaka, L.F.; Lee, K.K.; Ibrahim Khalil, A.; Baussano, I.; Shah, A.S.V.; McAllister, D.A.; Gottlieb, S.L.; Klug, S.J.; Winkler, A.S.; et al. Estimates of the global burden of cervical cancer associated with HIV. Lancet Glob. Health 2021, 9, e161–e169. [Google Scholar] [CrossRef]
- Ordi, J.; Alejo, M.; Fusté, V.; Lloveras, B.; Del Pino, M.; Alonso, I.; Torné, A. HPV-negative vulvar intraepithelial neoplasia (VIN) with basaloid histologic pattern: An unrecognized variant of simplex (differentiated) VIN. Am. J. Surg. Pathol. 2009, 33, 1659–1665. [Google Scholar] [CrossRef]
- Rakislova, N.; Clavero, O.; Alemany, L.; Saco, A.; Quirós, B.; Lloveras, B.; Alejo, M.; Pawlita, M.; Quint, W.; del Pino, M.; et al. Histological characteristics of HPV-associated and -independent squamous cell carcinomas of the vulva: A study of 1594 cases. Int. J. Cancer 2017, 141, 2517–2527. [Google Scholar] [CrossRef]
- WHO. Classification of Tumours of Female Reproductive Organs. Fourth Edition—WHO—OMS. Available online: https://apps.who.int/bookorders/anglais/detart1.jsp?codlan=1&codcol=70&codcch=4006 (accessed on 29 December 2019).
- EI-Naggar, A.K.; Chan, J.K.C.; Grandis, J.R.; Takata, T.S.P. WHO Classification of Head and Neck Tumours; WHO: Geneva, Switzerland, 2017; ISBN 978-92-832-2438-9. [Google Scholar]
- Wang, B.; Gu, W.; Wan, F.; Wei, Y.; Xiao, W.; Lu, X.; Zhang, G.; Zhou, J.; Wang, Q.; Ding, X.; et al. Prognosis of the 8th TNM Staging System for Penile Cancer and Refinement of Prognostication by Incorporating High Risk Human Papillomavirus Status. J. Urol. 2020, 203, 562–569. [Google Scholar] [CrossRef] [PubMed]
- Sand, F.L.; Rasmussen, C.L.; Frederiksen, M.H.; Andersen, K.K.; Kjaer, S.K. Prognostic Significance of HPV and p16 Status in Men Diagnosed with Penile Cancer: A Systematic Review and Meta-analysis. Cancer Epidemiol. Biomark. Prev. 2018, 27, 1123–1132. [Google Scholar] [CrossRef] [PubMed]
- Wilson, M.L.; Fleming, K.A.; Kuti, M.A.; Looi, L.M.; Lago, N.; Ru, K. Access to pathology and laboratory medicine services: A crucial gap. Lancet 2018, 391, 1927–1938. [Google Scholar] [CrossRef]
- McDaniel, A.S.; Hovelson, D.H.; Cani, A.K.; Liu, C.-J.; Zhai, Y.; Zhang, Y.; Weizer, A.Z.; Mehra, R.; Feng, F.Y.; Alva, A.S.; et al. Genomic Profiling of Penile Squamous Cell Carcinoma Reveals New Opportunities for Targeted Therapy. Cancer Res. 2015, 75, 5219–5227. [Google Scholar] [CrossRef]
- Feber, A.; Worth, D.C.; Chakravarthy, A.; de Winter, P.; Shah, K.; Arya, M.; Saqib, M.; Nigam, R.; Malone, P.R.; Tan, W.S.; et al. CSN1 Somatic Mutations in Penile Squamous Cell Carcinoma. Cancer Res. 2016, 76, 4720–4727. [Google Scholar] [CrossRef]
- Wang, Y.; Wang, K.; Chen, Y.; Zhou, J.; Liang, Y.; Yang, X.; Li, X.; Cao, Y.; Wang, D.; Luo, L.; et al. Mutational landscape of penile squamous cell carcinoma in a Chinese population. Int. J. Cancer 2019, 145, 1280–1289. [Google Scholar] [CrossRef]

| Case | Age | HIV Status | Histological Variant | p16 IHC | HPV-DNA Detection and Type | p53 IHC |
|---|---|---|---|---|---|---|
| HPV-associated carcinomas | ||||||
| M2 | 40 | NA | Warty/basaloid | + | 70 | Normal |
| M3 | 40 | + | Usual type | + | 45, 51, 70 | Normal |
| M5 | 98 | NA | Warty/basaloid | + | 16 | Normal |
| M7 | 44 | NA | Basaloid | + | 16 | Normal |
| M8 | 38 | NA | Warty/basaloid | + | 18, 39 | Normal |
| M10 | 62 | − | Warty | + | 16 | Normal |
| M11 | 38 | NA | Warty/basaloid | + | 16 | Normal |
| M12 | 39 | NA | Warty/basaloid | + | 16 | Normal |
| M14 | 51 | NA | Warty | + | 18, 31, 44, 6 | Normal |
| M15 | 41 | NA | Warty/basaloid | + | 16 | Normal |
| M16 | 34 | NA | Warty/basaloid | + | 16 | Normal |
| M17 | 30 | NA | Basaloid | + | 16 | Normal |
| M18 | 39 | NA | Warty/basaloid | + | 16 | Normal |
| M20 | 43 | + | Basaloid | + | 16 | Abnormal |
| M22 | 66 | NA | Basaloid | + | 68 | Normal |
| M23 | 45 | + | Warty/basaloid | + | 16, 68 | Normal |
| M24 | 51 | + | Basaloid | + | 16 | Normal |
| M25 | 43 | + | Warty | + | 16 | Normal |
| M27 | 68 | + | Basaloid | + | 16, 52, 82, 11 | Normal |
| M28 | 52 | − | Basaloid | + | 16 | Normal |
| M6 | 56 | NA | Warty | + | Negative | Normal |
| M26 | 59 | NA | Basaloid | + | Negative | Normal |
| M1 | 68 | NA | Warty/basaloid | − | 16, 11 | Abnormal |
| M9 | 51 | NA | Usual type | − | X | Normal |
| M13 | 53 | NA | Basaloid | − | 18, 31, 52 | Normal |
| HPV-independent carcinomas | ||||||
| M4 | 65 | NA | Warty | − | Negative | Abnormal |
| M19 | 74 | NA | Warty | − | Negative | Abnormal |
| M21 | 38 | NA | Usual type | − | Negative | Abnormal |
| Case | Age | HIV Status | Histological Variant | p16 | HPV-DNA Detection and Type | p53 |
|---|---|---|---|---|---|---|
| HPV-associated carcinomas | ||||||
| S3 | 51 | − | Basaloid | + | 16 | Abnormal |
| S9 | 61 | − | Warty | + | 16 | Normal |
| S14 | 58 | − | Basaloid | + | 16 | Normal |
| S21 | 52 | − | Usual type | + | 16, 18 | Normal |
| S22 | 81 | − | Lymphoepithelioma-like | + | 16 | Normal |
| S38 | 45 | + | Warty-basaloid | + | 16 | Normal |
| S45 | 67 | − | Warty | + | 6 | Normal |
| S46 | 87 | − | Warty-basaloid | + | 16 | Normal |
| S51 | 59 | − | Basaloid | + | 16 | Normal |
| S12 | 60 | − | Warty | + | − | Abnormal |
| S29 | 94 | − | Basaloid | + | − | Normal |
| S30 | 63 | − | Basaloid | + | − | Normal |
| S31 | 64 | − | Basaloid | + | − | Normal |
| S13 | 60 | − | Usual type | − | 16 | Abnormal |
| S49 | 76 | − | Basaloid | − | X | Normal |
| HPV-independent carcinomas | ||||||
| S1 | 62 | − | Verrucous | − | − | Normal |
| S2 | 65 | − | Usual type | − | − | Normal |
| S4 | 59 | − | Usual type | − | − | Abnormal |
| S5 | 53 | − | Usual type | − | − | Abnormal |
| S6 | 53 | − | Usual type | − | − | Abnormal |
| S7 | 78 | − | Usual type | − | − | Abnormal |
| S8 | 54 | − | Usual type | − | − | Abnormal |
| S10 | 81 | − | Usual type | − | − | Abnormal |
| S11 | 83 | − | Usual type | − | − | Normal |
| S15 | 74 | − | Basaloid | − | − | Abnormal |
| S16 | 70 | − | Usual type | − | − | Abnormal |
| S17 | 81 | − | Usual type | − | − | Abnormal |
| S18 | 85 | − | Warty-basaloid | − | − | Normal |
| S19 | 63 | − | Usual type | − | − | Normal |
| S20 | 59 | − | Usual type | − | − | Abnormal |
| S23 | 80 | − | Usual type | − | − | Normal |
| S24 | 72 | − | Basaloid | − | − | Abnormal |
| S25 | 74 | − | Usual type | − | − | Normal |
| S26 | 73 | − | Usual type | − | − | Normal |
| S27 | 77 | − | Usual type | − | − | Abnormal |
| S28 | 65 | − | Usual type | − | − | Abnormal |
| S32 | 85 | − | Verrucous | − | − | Normal |
| S33 | 79 | − | Usual type | − | − | Abnormal |
| S34 | 75 | − | Usual type | − | − | Normal |
| S35 | 86 | − | Usual type | − | − | Abnormal |
| S36 | 70 | − | Verrucous (cuniculatum) | − | − | Normal |
| S37 | 56 | − | Usual type | − | − | Abnormal |
| S39 | 59 | − | Usual type | − | − | Abnormal |
| S40 | 40 | − | Usual type | − | − | Abnormal |
| S41 | 83 | − | Verrucous | − | − | Normal |
| S42 | 75 | − | Usual type | − | − | Abnormal |
| S43 | 44 | − | Usual type | − | − | Abnormal |
| S44 | 67 | − | Warty-basaloid | − | − | Abnormal |
| S47 | 96 | − | Usual type | − | − | Normal |
| S48 | 85 | − | Usual type | − | − | Normal |
| S50 | 89 | − | Usual type | − | − | Normal |
Publisher’s Note: MDPI stays neutral with regard to jurisdictional claims in published maps and institutional affiliations. |
© 2022 by the authors. Licensee MDPI, Basel, Switzerland. This article is an open access article distributed under the terms and conditions of the Creative Commons Attribution (CC BY) license (https://creativecommons.org/licenses/by/4.0/).
Share and Cite
Manzotti, C.; Chulo, L.; López del Campo, R.; Trias, I.; del Pino, M.; Saúde, O.; Basílio, I.; Tchamo, N.; Lovane, L.; Lorenzoni, C.; et al. Penile Squamous Cell Carcinomas in Sub-Saharan Africa and Europe: Differential Etiopathogenesis. Cancers 2022, 14, 5284. https://doi.org/10.3390/cancers14215284
Manzotti C, Chulo L, López del Campo R, Trias I, del Pino M, Saúde O, Basílio I, Tchamo N, Lovane L, Lorenzoni C, et al. Penile Squamous Cell Carcinomas in Sub-Saharan Africa and Europe: Differential Etiopathogenesis. Cancers. 2022; 14(21):5284. https://doi.org/10.3390/cancers14215284
Chicago/Turabian StyleManzotti, Carolina, Laurina Chulo, Ricardo López del Campo, Isabel Trias, Marta del Pino, Ofélia Saúde, Iracema Basílio, Nelson Tchamo, Lucilia Lovane, Cesaltina Lorenzoni, and et al. 2022. "Penile Squamous Cell Carcinomas in Sub-Saharan Africa and Europe: Differential Etiopathogenesis" Cancers 14, no. 21: 5284. https://doi.org/10.3390/cancers14215284
APA StyleManzotti, C., Chulo, L., López del Campo, R., Trias, I., del Pino, M., Saúde, O., Basílio, I., Tchamo, N., Lovane, L., Lorenzoni, C., Fernandes, F., Saco, A., Rodrigo-Calvo, M. T., Marimon, L., Ismail, M. R., Carrilho, C., Ribera-Cortada, I., Ordi, J., & Rakislova, N. (2022). Penile Squamous Cell Carcinomas in Sub-Saharan Africa and Europe: Differential Etiopathogenesis. Cancers, 14(21), 5284. https://doi.org/10.3390/cancers14215284

