A Disintegrin and Metalloprotease 12 Promotes Tumor Progression by Inhibiting Apoptosis in Human Colorectal Cancer
Abstract
Simple Summary
Abstract
1. Introduction
2. Results
2.1. Expression of ADAM12 in Human CRC Cells
2.2. Effect of ADAM12 on Proliferation of Human CRC Cells
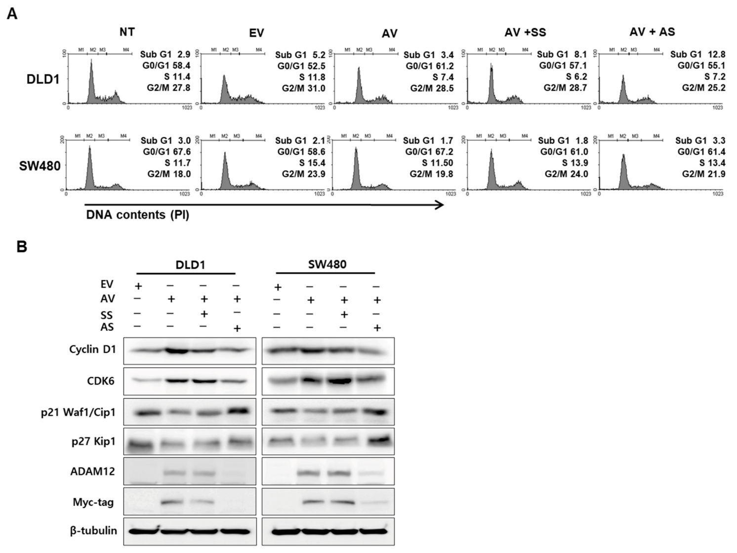
2.3. Effect of ADAM12 on Apoptosis and Cell Cycle Progression in Human CRC Cells
2.4. Effect of ADAM12 on Oncogenic Signaling Pathways in Human CRC Cells
2.5. Expression of ADAM12 in Human CRC Tissues
2.6. Association of ADAM12 with Clinicopathological Variables of Human CRC
2.7. Correlation between ADAM12 Protein Expression and Tumor Cell Survival in Human CRC
2.8. Effect of ADAM12 on Tumorigenesis of Human CRC Cells in In Vivo Mouse Xenograft Model
3. Discussion
4. Materials and Methods
4.1. Cell Culture
4.2. Gene Transfection
4.3. Cell Proliferation Assay
4.4. Plate Colony Formation Assay
4.5. Bromodeoxyuridine (BrdU) Cell Proliferation Assay
4.6. Reverse-Transcription PCR
4.7. Western Blotting
4.8. Flow Cytometry Determination of Apoptosis
4.9. Flow Cytometry Analysis of Cell Cycle Arrest
4.10. Patients and Tissue Samples
4.11. Immunohistochemistry (IHC)
4.12. Evaluation of ADAM12 Expression
4.13. Assessment of Apoptosis and Tumor Cell Proliferation
4.14. In Vivo Tumor Model Experiment
4.15. Statistical Analysis
5. Conclusions
Supplementary Materials
Author Contributions
Funding
Institutional Review Board Statement
Informed Consent Statement
Data Availability Statement
Conflicts of Interest
References
- Mattiuzzi, C.; Sanchis-Gomar, F.; Lippi, G. Concise update on colorectal cancer epidemiology. Ann. Transl. Med. 2019, 7, 609. [Google Scholar] [CrossRef] [PubMed]
- Ahmed, M. Colon Cancer: A Clinician’s Perspective in 2019. Gastroenterol. Res. 2020, 13, 1–10. [Google Scholar] [CrossRef] [PubMed]
- Bevan, R.; Rutter, M.D. Colorectal Cancer Screening—Who, How, and When? Clin. Endosc. 2018, 51, 37–49. [Google Scholar] [CrossRef] [PubMed]
- Jung, G.; Hernández-Illán, E.; Moreira, L.; Balaguer, F.; Goel, A. Epigenetics of colorectal cancer: Biomarker and therapeutic potential. Nat. Rev. Gastroenterol. Hepatol. 2020, 17, 111–130. [Google Scholar] [CrossRef]
- Oh, H.H.; Joo, Y.E. Novel biomarkers for the diagnosis and prognosis of colorectal cancer. Intest. Res. 2020, 18, 168–183. [Google Scholar] [CrossRef]
- Edwards, D.R.; Handsley, M.M.; Pennington, C.J. The ADAM metalloproteinases. Mol. Asp. Med. 2008, 29, 258–289. [Google Scholar] [CrossRef]
- Reiss, K.; Saftig, P. The "A disintegrin and Metalloprotease" (ADAM) family of sheddases: Physiological and cellular functions. Semin. Cell Dev. Biol. 2009, 20, 126–137. [Google Scholar] [CrossRef]
- Raeeszadeh-Sarmazdeh, M.; Do, L.D.; Hritz, B.G. Metalloproteinases and Their Inhibitors: Potential for the Development of New Therapeutics. Cells 2020, 9, 1313. [Google Scholar] [CrossRef]
- Herrera, C.; Escalante, T.; Rucavado, A.; Fox, J.W.; Gutiérrez, J.M. Metalloproteinases in disease: Identification of biomarkers of tissue damage through proteomics. Expert Rev. Proteom. 2018, 15, 967–982. [Google Scholar] [CrossRef]
- Zadka, L.; Kulus, M.J.; Piatek, K. ADAM protein family—its role in tumorigenesis, mechanisms of chemoresistance and potential as diagnostic and prognostic factors. Neoplasma 2018, 65, 823–839. [Google Scholar] [CrossRef]
- Nyren-Erickson, E.K.; Jones, J.M.; Srivastava, D.K.; Mallik, S. A disintegrin and metalloproteinase-12 (ADAM12): Function, roles in disease progression, and clinical implications. Biochim. Biophys. Acta 2013, 1830, 4445–4455. [Google Scholar] [CrossRef]
- Jacobsen, J.; Wewer, U.M. Targeting ADAM12 in human disease: Head, body or tail? Curr. Pharm. Des. 2009, 15, 2300–2310. [Google Scholar] [CrossRef]
- Kveiborg, M.; Fröhlich, C.; Albrechtsen, R.; Tischler, V.; Dietrich, N.; Holck, P.; Kronqvist, P.; Rank, F.; Mercurio, A.M.; Wewer, U.M. A role for ADAM12 in breast tumor progression and stromal cell apoptosis. Cancer Res. 2005, 65, 4754–4761. [Google Scholar] [CrossRef]
- Nariţa, D.; Anghel, A.; Seclaman, E.; Ilina, R.; Cireap, N.; Ursoniu, S. Molecular profiling of ADAM12 gene in breast cancers. Rom. J. Morphol. Embryol. = Rev. Roum. De Morphol. Embryol. 2010, 51, 669–676. [Google Scholar]
- Pories, S.E.; Zurakowski, D.; Roy, R.; Lamb, C.C.; Raza, S.; Exarhopoulos, A.; Scheib, R.G.; Schumer, S.; Lenahan, C.; Borges, V.; et al. Urinary metalloproteinases: Noninvasive biomarkers for breast cancer risk assessment. Cancer Epidemiol. Biomark. Prev. 2008, 17, 1034–1042. [Google Scholar] [CrossRef]
- Fröhlich, C.; Nehammer, C.; Albrechtsen, R.; Kronqvist, P.; Kveiborg, M.; Sehara-Fujisawa, A.; Mercurio, A.M.; Wewer, U.M. ADAM12 produced by tumor cells rather than stromal cells accelerates breast tumor progression. Mol. Cancer Res. 2011, 9, 1449–1461. [Google Scholar] [CrossRef]
- Roy, R.; Rodig, S.; Bielenberg, D.; Zurakowski, D.; Moses, M.A. ADAM12 transmembrane and secreted isoforms promote breast tumor growth: A distinct role for ADAM12-S protein in tumor metastasis. J. Biol. Chem. 2011, 286, 20758–20768. [Google Scholar] [CrossRef]
- Roy, R.; Wewer, U.M.; Zurakowski, D.; Pories, S.E.; Moses, M.A. ADAM 12 cleaves extracellular matrix proteins and correlates with cancer status and stage. J. Biol. Chem. 2004, 279, 51323–51330. [Google Scholar] [CrossRef]
- Shao, S.; Li, Z.; Gao, W.; Yu, G.; Liu, D.; Pan, F. ADAM-12 as a diagnostic marker for the proliferation, migration and invasion in patients with small cell lung cancer. PLoS ONE 2014, 9, e85936. [Google Scholar] [CrossRef]
- Fröhlich, C.; Albrechtsen, R.; Dyrskjøt, L.; Rudkjaer, L.; Ørntoft, T.F.; Wewer, U.M. Molecular profiling of ADAM12 in human bladder cancer. Clin. Cancer Res. 2006, 12, 7359–7368. [Google Scholar] [CrossRef]
- Peduto, L.; Reuter, V.E.; Sehara-Fujisawa, A.; Shaffer, D.R.; Scher, H.I.; Blobel, C.P. ADAM12 is highly expressed in carcinoma-associated stroma and is required for mouse prostate tumor progression. Oncogene 2006, 25, 5462–5466. [Google Scholar] [CrossRef]
- Le Pabic, H.; Bonnier, D.; Wewer, U.M.; Coutand, A.; Musso, O.; Baffet, G.; Clément, B.; Théret, N. ADAM12 in human liver cancers: TGF-beta-regulated expression in stellate cells is associated with matrix remodeling. Hepatology 2003, 37, 1056–1066. [Google Scholar] [CrossRef]
- Kodama, T.; Ikeda, E.; Okada, A.; Ohtsuka, T.; Shimoda, M.; Shiomi, T.; Yoshida, K.; Nakada, M.; Ohuchi, E.; Okada, Y. ADAM12 is selectively overexpressed in human glioblastomas and is associated with glioblastoma cell proliferation and shedding of heparin-binding epidermal growth factor. Am. J. Pathol. 2004, 165, 1743–1753. [Google Scholar] [CrossRef]
- Georges, S.; Chesneau, J.; Hervouet, S.; Taurelle, J.; Gouin, F.; Redini, F.; Padrines, M.; Heymann, D.; Fortun, Y.; Verrecchia, F. A Disintegrin and Metalloproteinase 12 produced by tumour cells accelerates osteosarcoma tumour progression and associated osteolysis. Eur. J. Cancer 2013, 49, 2253–2263. [Google Scholar] [CrossRef]
- Ruff, M.; Leyme, A.; Le Cann, F.; Bonnier, D.; Le Seyec, J.; Chesnel, F.; Fattet, L.; Rimokh, R.; Baffet, G.; Théret, N. The Disintegrin and Metalloprotease ADAM12 Is Associated with TGF-β-Induced Epithelial to Mesenchymal Transition. PLoS ONE 2015, 10, e0139179. [Google Scholar] [CrossRef]
- Mochizuki, S.; Ao, T.; Sugiura, T.; Yonemura, K.; Shiraishi, T.; Kajiwara, Y.; Okamoto, K.; Shinto, E.; Okada, Y.; Ueno, H. Expression and Function of a Disintegrin and Metalloproteinases in Cancer-Associated Fibroblasts of Colorectal Cancer. Digestion 2020, 101, 18–24. [Google Scholar] [CrossRef]
- Walkiewicz, K.; Nowakowska-Zajdel, E.; Strzelczyk, J.; Dzięgielewska-Gęsiak, S.; Muc-Wierzgoń, M. Serum levels of ADAM10, ADAM12, ADAM17 AND ADAM28 in colorectal cancer patients. J. Biol. Regul. Homeost. Agents 2017, 31, 929–934. [Google Scholar]
- Walkiewicz, K.; Nowakowska-Zajdel, E.; Kozieł, P.; Muc-Wierzgoń, M. The role of some ADAM-proteins and activation of the insulin growth factor-related pathway in colorectal cancer. Cent. Eur. J. Immunol. 2018, 43, 109–113. [Google Scholar] [CrossRef]
- Brábek, J.; Mierke, C.T.; Rösel, D.; Veselý, P.; Fabry, B. The role of the tissue microenvironment in the regulation of cancer cell motility and invasion. Cell Commun. Signal. 2010, 8, 22. [Google Scholar] [CrossRef]
- Brücher, B.L.; Jamall, I.S. Cell-cell communication in the tumor microenvironment, carcinogenesis, and anticancer treatment. Cell. Physiol. Biochem. 2014, 34, 213–243. [Google Scholar] [CrossRef]
- Pistritto, G.; Trisciuoglio, D.; Ceci, C.; Garufi, A.; D’Orazi, G. Apoptosis as anticancer mechanism: Function and dysfunction of its modulators and targeted therapeutic strategies. Aging 2016, 8, 603–619. [Google Scholar] [CrossRef] [PubMed]
- Diaz-Moralli, S.; Tarrado-Castellarnau, M.; Miranda, A.; Cascante, M. Targeting cell cycle regulation in cancer therapy. Pharmacol. Ther. 2013, 138, 255–271. [Google Scholar] [CrossRef] [PubMed]
- Narayanankutty, A. PI3K/Akt/mTOR Pathway as a Therapeutic Target for Colorectal Cancer: A Review of Preclinical and Clinical Evidence. Curr. Drug Targets 2019, 20, 1217–1226. [Google Scholar] [CrossRef] [PubMed]
- Kotelevets, L.; Scott, M.G.H.; Chastre, E. Targeting PTEN in Colorectal Cancers. Adv. Exp. Med. Biol. 2018, 1110, 55–73. [Google Scholar] [CrossRef] [PubMed]
- Roy, R.; Moses, M.A. ADAM12 induces estrogen-independence in breast cancer cells. Breast Cancer Res. Treat. 2012, 131, 731–741. [Google Scholar] [CrossRef] [PubMed]
- Wang, X.; Wang, Y.; Gu, J.; Zhou, D.; He, Z.; Wang, X.; Ferrone, S. ADAM12-L confers acquired 5-fluorouracil resistance in breast cancer cells. Sci. Rep. 2017, 7, 9687. [Google Scholar] [CrossRef] [PubMed]
- Ray, A.; Dhar, S.; Ray, B.K. Transforming growth factor-beta1-mediated activation of NF-κB contributes to enhanced ADAM-12 expression in mammary carcinoma cells. Mol. Cancer Res. 2010, 8, 1261–1270. [Google Scholar] [CrossRef]
- Oliveira, R.C.; Abrantes, A.M.; Tralhão, J.G.; Botelho, M.F. The role of mouse models in colorectal cancer research—The need and the importance of the orthotopic models. Anim. Model. Exp. Med. 2020, 3, 1–8. [Google Scholar] [CrossRef]







| Parameters | ADAM12 Expression | p-Value | ||
|---|---|---|---|---|
| Total | Negative | Positive | ||
| (n = 366) | (n = 201) | (n = 165) | ||
| Age (years) | 0.229 | |||
| <61.4 | 159 | 93 | 66 | |
| ≥61.4 | 207 | 108 | 99 | |
| Sex | 0.079 | |||
| Male | 220 | 129 | 91 | |
| Female | 146 | 72 | 74 | |
| Tumor size (cm) | 0.733 | |||
| <4.9 | 201 | 112 | 89 | |
| ≥4.9 | 165 | 89 | 76 | |
| Stage | <0.001 | |||
| I | 45 | 12 | 8 | |
| II | 143 | 89 | 54 | |
| III | 163 | 78 | 85 | |
| IV | 15 | 5 | 10 | |
| Lymphovascular invasion | 0.062 | |||
| Negative | 266 | 154 | 112 | |
| Positive | 100 | 47 | 53 | |
| Perineural invasion | 0.824 | |||
| Negative | 244 | 135 | 109 | |
| Positive | 122 | 66 | 56 | |
| Histologic type | 0.092 | |||
| WD | 127 | 66 | 61 | |
| MD | 191 | 103 | 88 | |
| PD | 30 | 17 | 13 | |
| Mucinous/Signet ring cell | 18 | 15 | 3 | |
| Depth of invasion (T) | 0.026 | |||
| T1 | 15 | 12 | 3 | |
| T2 | 47 | 30 | 17 | |
| T3 | 289 | 154 | 135 | |
| T4 | 15 | 5 | 10 | |
| Lymph node metastasis (N) | 0.003 | |||
| N0 | 191 | 119 | 72 | |
| N1-3 | 175 | 82 | 93 | |
| Distant metastasis (M) | <0.001 | |||
| M0 | 325 | 189 | 136 | |
| M1 | 41 | 12 | 29 | |
| Indices | Total (n = 366) | ADAM12 Expression | p-Value | |
|---|---|---|---|---|
| Negative (n = 201) | Positive (n = 165) | |||
| KI (mean ± SD) | 52.8 ± 15.1 | 51.1 ± 14.7 | 54.3 ± 15.6 | 0.504 |
| AI (mean ± SD) | 8.8 ± 5.6 | 11.3 ± 6.4 | 6.4 ± 3.7 | 0.009 |
Publisher’s Note: MDPI stays neutral with regard to jurisdictional claims in published maps and institutional affiliations. |
© 2021 by the authors. Licensee MDPI, Basel, Switzerland. This article is an open access article distributed under the terms and conditions of the Creative Commons Attribution (CC BY) license (https://creativecommons.org/licenses/by/4.0/).
Share and Cite
Park, Y.-L.; Park, S.-Y.; Oh, H.-H.; Chung, M.-W.; Hong, J.-Y.; Kim, K.-H.; Myung, D.-S.; Cho, S.-B.; Lee, W.-S.; Kim, H.-S.; et al. A Disintegrin and Metalloprotease 12 Promotes Tumor Progression by Inhibiting Apoptosis in Human Colorectal Cancer. Cancers 2021, 13, 1927. https://doi.org/10.3390/cancers13081927
Park Y-L, Park S-Y, Oh H-H, Chung M-W, Hong J-Y, Kim K-H, Myung D-S, Cho S-B, Lee W-S, Kim H-S, et al. A Disintegrin and Metalloprotease 12 Promotes Tumor Progression by Inhibiting Apoptosis in Human Colorectal Cancer. Cancers. 2021; 13(8):1927. https://doi.org/10.3390/cancers13081927
Chicago/Turabian StylePark, Young-Lan, Sun-Young Park, Hyung-Hoon Oh, Min-Woo Chung, Ji-Yun Hong, Ki-Hyun Kim, Dae-Seong Myung, Sung-Bum Cho, Wan-Sik Lee, Hyun-Soo Kim, and et al. 2021. "A Disintegrin and Metalloprotease 12 Promotes Tumor Progression by Inhibiting Apoptosis in Human Colorectal Cancer" Cancers 13, no. 8: 1927. https://doi.org/10.3390/cancers13081927
APA StylePark, Y.-L., Park, S.-Y., Oh, H.-H., Chung, M.-W., Hong, J.-Y., Kim, K.-H., Myung, D.-S., Cho, S.-B., Lee, W.-S., Kim, H.-S., & Joo, Y.-E. (2021). A Disintegrin and Metalloprotease 12 Promotes Tumor Progression by Inhibiting Apoptosis in Human Colorectal Cancer. Cancers, 13(8), 1927. https://doi.org/10.3390/cancers13081927

