Prognostic Value of Apoptosis-Inducing Factor (AIF) in Germ Cell Tumors
Abstract
Simple Summary
Abstract
1. Introduction
2. Materials and Methods
2.1. Patients
2.2. Diagnosis and Tissue Samples
2.3. Cell Lines
2.4. Western Blot
2.5. Gene Expression Analysis
2.6. Xenograft Model
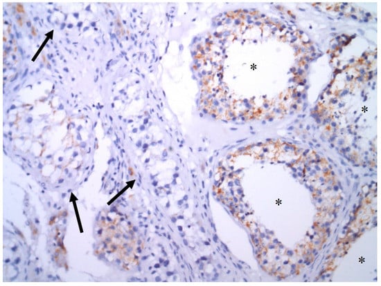
2.7. Immunohistochemistry
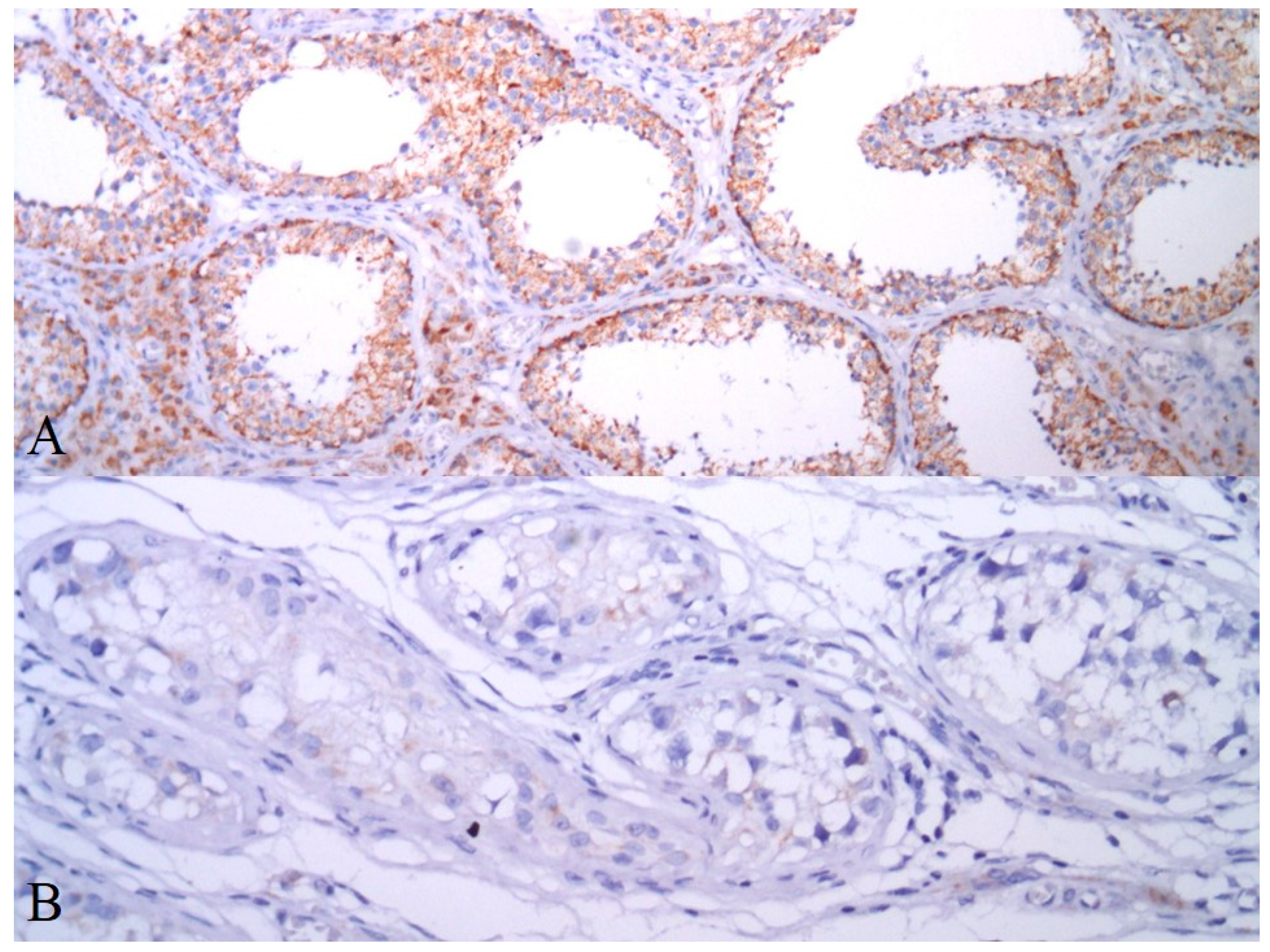
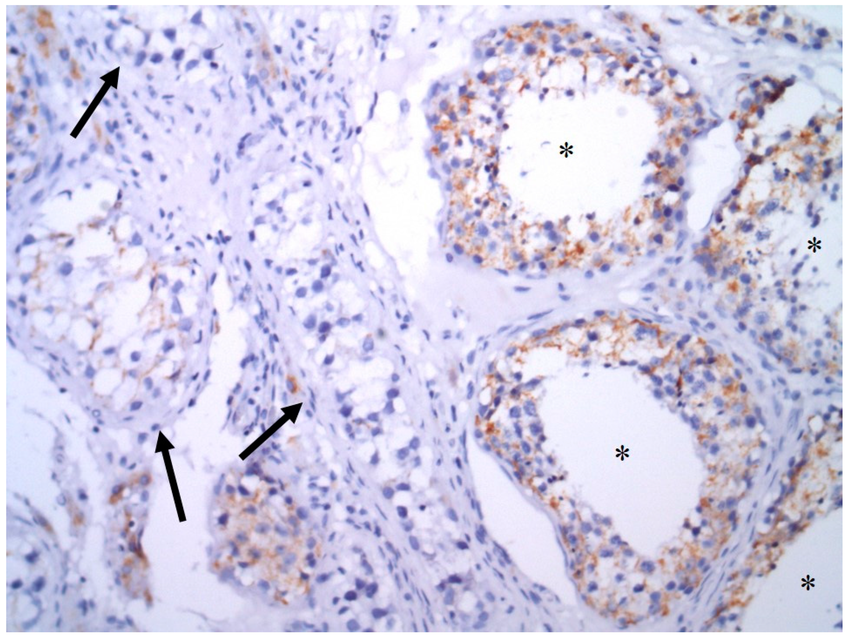
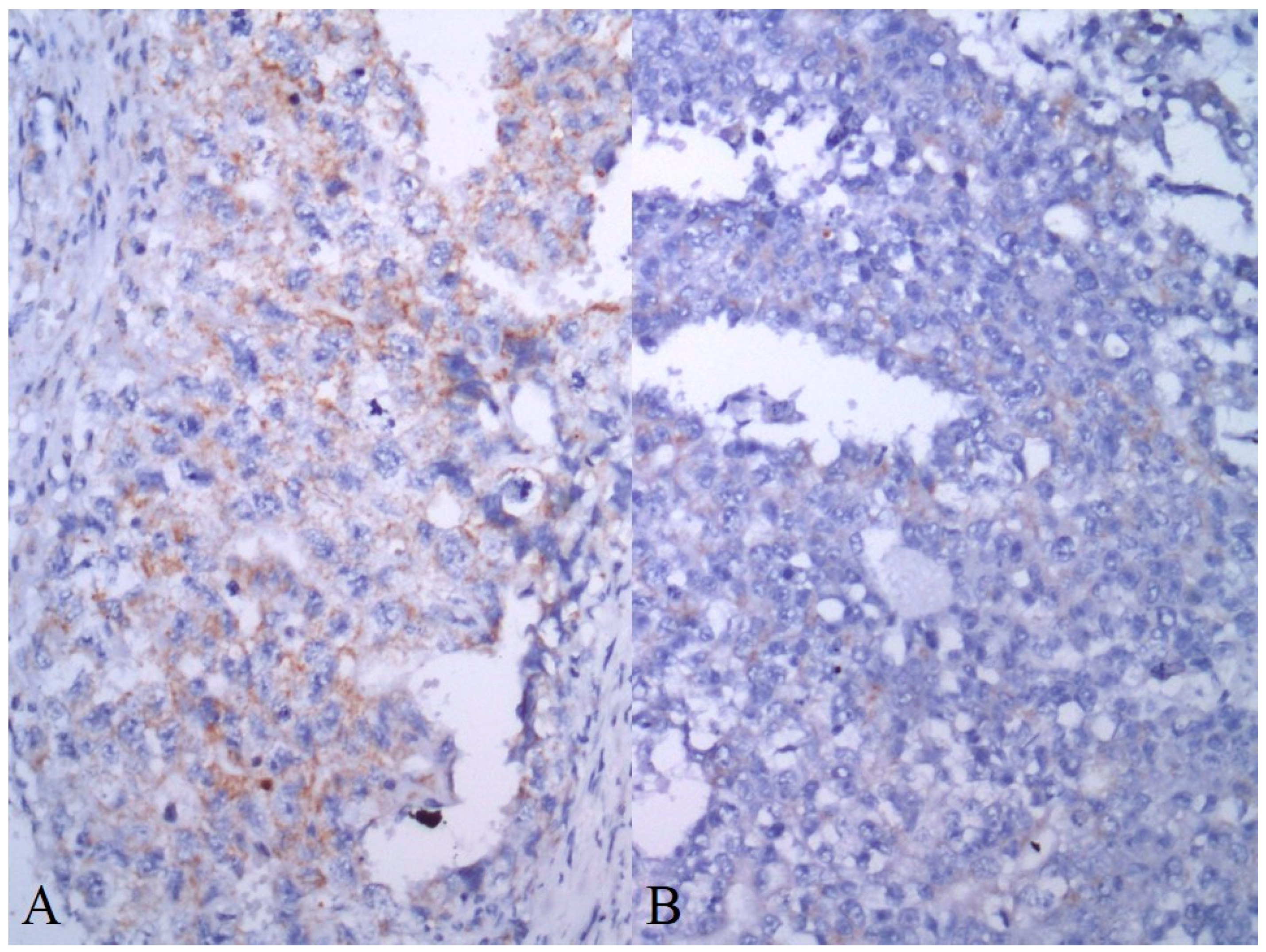
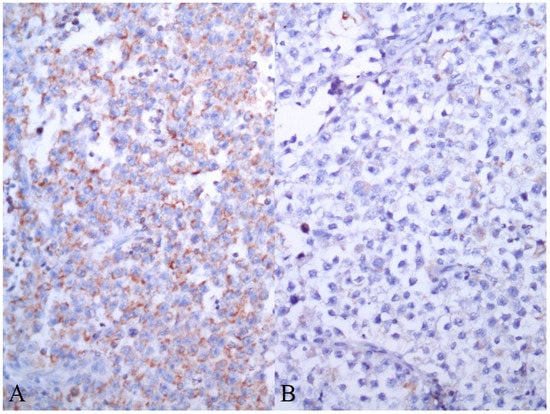
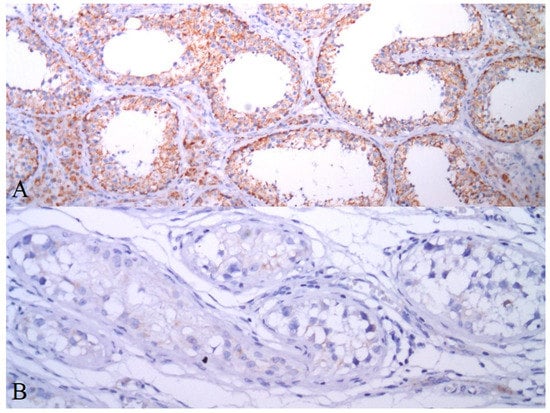
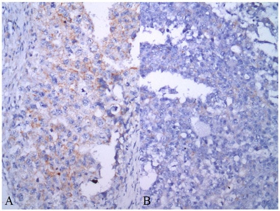
2.8. Immunohistochemical Stain Scoring
2.9. Statistics
3. Results
3.1. AIF Expression Analysis in Germ Cell Cancer Cell Lines
3.2. AIF Expression in GCTs
3.3. Association between Various Patient/Tumor Characteristics and AIF Expression in GCTs
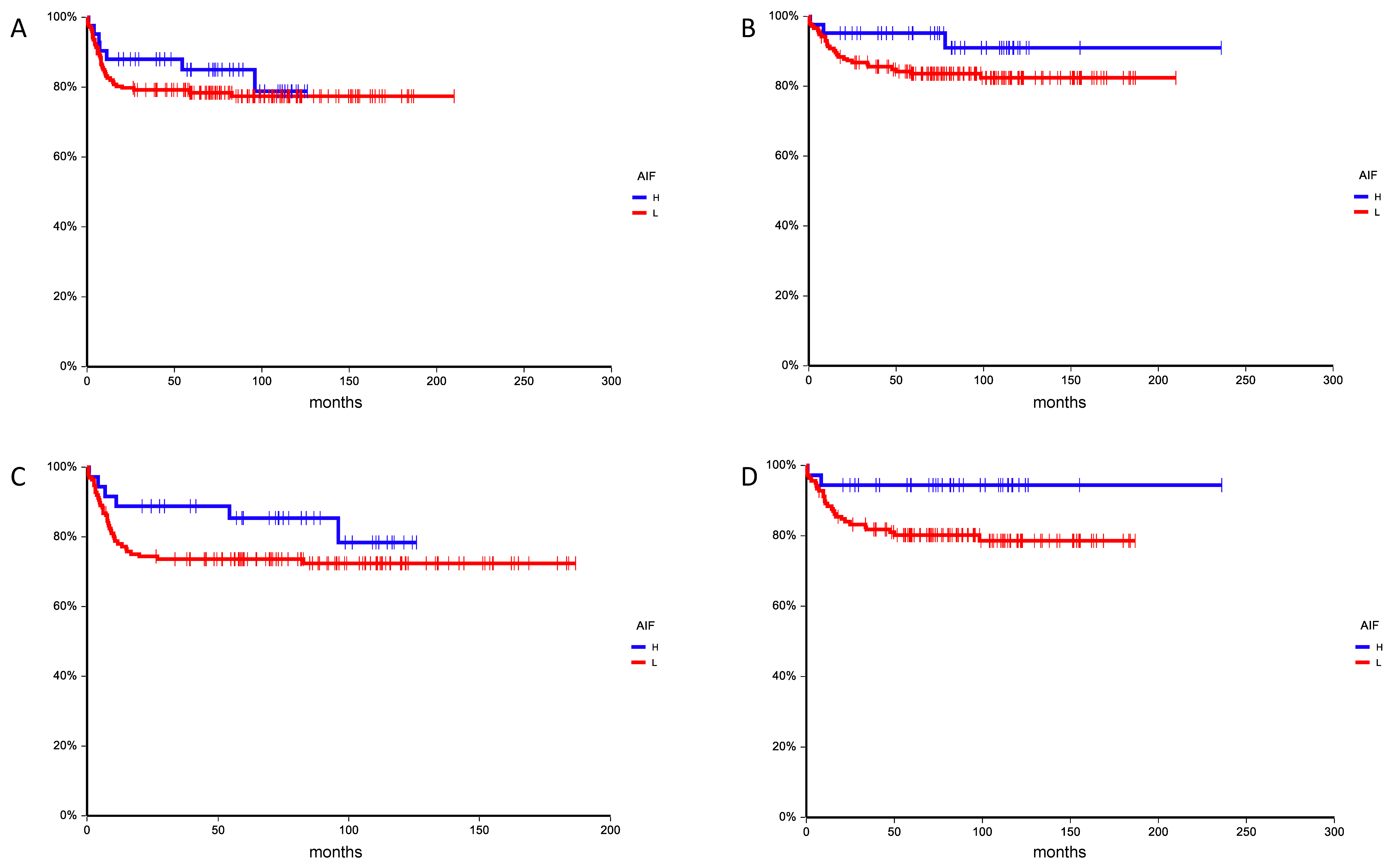
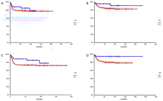
3.4. Prognostic Value of AIF in Testicular Germ Cell Tumors
4. Discussion
5. Conclusions
Supplementary Materials
Author Contributions
Funding
Institutional Review Board Statement
Informed Consent Statement
Data Availability Statement
Acknowledgments
Conflicts of Interest
References
- Park, J.S.; Kim, J.; Elghiaty, A.; Ham, W.S. Recent global trends in testicular cancer incidence and mortality. Medicine (Baltimore) 2018, 97, e12390. [Google Scholar] [CrossRef]
- Siegel, R.L.; Miller, K.D.; Jemal, A. Cancer statistics, 2019. CA Cancer J. Clin. 2019, 69, 7–34. [Google Scholar] [CrossRef]
- Moch, H.; Cubilla, A.L.; Humphrey, P.A.; Reuter, V.E.; Ulbright, T.M. The 2016 WHO Classification of Tumours of the Urinary System and Male Genital Organs-Part A: Renal, Penile, and Testicular Tumours. Eur. Urol. 2016, 70, 93–105. [Google Scholar] [CrossRef] [PubMed]
- Reuter, V.E. Origins and molecular biology of testicular germ cell tumors. Mod. Pathol. 2005, 18 (Suppl. 2), S51–S60. [Google Scholar] [CrossRef]
- Oosterhuis, J.W.; Looijenga, L.H.J. Human germ cell tumours from a developmental perspective. Nat. Rev. Cancer 2019, 19, 522–537. [Google Scholar] [CrossRef]
- International Germ Cell Cancer Collaborative Group. International Germ Cell Consensus Classification: A prognostic factor-based staging system for metastatic germ cell cancers. J. Clin. Oncol. 1997, 15, 594–603. [Google Scholar] [CrossRef]
- Albers, P.; Albrecht, W.; Algaba, F.; Bokemeyer, C.; Cohn-Cedermark, G.; Fizazi, K.; Horwich, A.; Laguna, M.P.; Nicolai, N.; Oldenburg, J.; et al. Guidelines on Testicular Cancer: 2015 Update. Eur. Urol. 2015, 68, 1054–1068. [Google Scholar] [CrossRef]
- Einhorn, L.H. Treatment of testicular cancer: A new and improved model. J. Clin. Oncol. 1990, 8, 1777–1781. [Google Scholar] [CrossRef]
- Mardiak, J.; Salek, T.; Sycova-Mila, Z.; Obertova, J.; Reckova, M.; Mego, M.; Hlavata, Z.; Brozmanova, K.; Risnyovzska, Z.; Svetlovska, D.; et al. Paclitaxel, bleomycin, etoposide, and cisplatin (T-BEP) as initial treatment in patients with poor-prognosis germ cell tumors (GCT): A phase II study. Neoplasma 2007, 54, 240–245. [Google Scholar]
- Motzer, R.J.; Geller, N.L.; Tan, C.C.; Herr, H.; Morse, M.; Fair, W.; Sheinfeld, J.; Sogani, P.; Russo, P.; Bosl, G.J. Salvage chemotherapy for patients with germ cell tumors. The Memorial Sloan-Kettering Cancer Center experience (1979–1989). Cancer 1991, 67, 1305–1310. [Google Scholar] [CrossRef]
- Necchi, A.; Nicolai, N.; Mariani, L.; Lo Vullo, S.; Giannatempo, P.; Raggi, D.; Fare, E.; Piva, L.; Biasoni, D.; Catanzaro, M.; et al. Combination of paclitaxel, cisplatin, and gemcitabine (TPG) for multiple relapses or platinum-resistant germ cell tumors: Long-term outcomes. Clin. Genitourin. Cancer 2014, 12, 63–69.e61. [Google Scholar] [CrossRef]
- De Giorgi, U.; Rosti, G.; Aieta, M.; Testore, F.; Burattini, L.; Fornarini, G.; Naglieri, E.; Lo Re, G.; Zumaglini, F.; Marangolo, M. Phase II study of oxaliplatin and gemcitabine salvage chemotherapy in patients with cisplatin-refractory nonseminomatous germ cell tumor. Eur. Urol. 2006, 50, 1032–1038. [Google Scholar] [CrossRef]
- Ouyang, L.; Shi, Z.; Zhao, S.; Wang, F.T.; Zhou, T.T.; Liu, B.; Bao, J.K. Programmed cell death pathways in cancer: A review of apoptosis, autophagy and programmed necrosis. Cell Prolif. 2012, 45, 487–498. [Google Scholar] [CrossRef]
- Langlois, N.E.; Eremin, O.; Heys, S.D. Apoptosis and prognosis in cancer: Rationale and relevance. J. R. Coll. Surg. Edinb. 2000, 45, 211–219. [Google Scholar] [PubMed]
- Townson, J.L.; Naumov, G.N.; Chambers, A.F. The role of apoptosis in tumor progression and metastasis. Curr. Mol. Med. 2003, 3, 631–642. [Google Scholar] [CrossRef]
- Cavallo, F.; Feldman, D.R.; Barchi, M. Revisiting DNA damage repair, p53-mediated apoptosis and cisplatin sensitivity in germ cell tumors. Int. J. Dev. Biol. 2013, 57, 273–280. [Google Scholar] [CrossRef] [PubMed]
- Mandoky, L.; Szende, B.; Geczi, L.; Bodrogi, I.; Kasler, M.; Bak, M. Apoptosis regulation and spontaneous apoptosis index of testicular germ cell tumors are associated with differentiation and resistance to systemic treatment. Anticancer Res. 2008, 28, 1641–1649. [Google Scholar] [PubMed]
- Natarajan, S.K.; Becker, D.F. Role of apoptosis-inducing factor, proline dehydrogenase, and NADPH oxidase in apoptosis and oxidative stress. Cell Health Cytoskelet. 2012, 2012, 11–27. [Google Scholar] [CrossRef]
- Sevrioukova, I.F. Apoptosis-inducing factor: Structure, function, and redox regulation. Antioxid. Redox. Signal. 2011, 14, 2545–2579. [Google Scholar] [CrossRef]
- Seth, R.; Yang, C.; Kaushal, V.; Shah, S.V.; Kaushal, G.P. p53-dependent caspase-2 activation in mitochondrial release of apoptosis-inducing factor and its role in renal tubular epithelial cell injury. J. Biol. Chem. 2005, 280, 31230–31239. [Google Scholar] [CrossRef] [PubMed]
- Urbano, A.; Lakshmanan, U.; Choo, P.H.; Kwan, J.C.; Ng, P.Y.; Guo, K.; Dhakshinamoorthy, S.; Porter, A. AIF suppresses chemical stress-induced apoptosis and maintains the transformed state of tumor cells. EMBO J. 2005, 24, 2815–2826. [Google Scholar] [CrossRef] [PubMed]
- Lewis, E.M.; Wilkinson, A.S.; Jackson, J.S.; Mehra, R.; Varambally, S.; Chinnaiyan, A.M.; Wilkinson, J.C. The enzymatic activity of apoptosis-inducing factor supports energy metabolism benefiting the growth and invasiveness of advanced prostate cancer cells. J. Biol. Chem. 2012, 287, 43862–43875. [Google Scholar] [CrossRef] [PubMed]
- Krasnik, V.; Furdova, A.; Svetlosakova, Z.; Kobzova, D.; Gergisakova, H.; Feketeova, L.; Svetlosak, M.; Barta, A.; Babal, P. Prognostic value of apoptosis inducing factor in uveal melanoma. Neoplasma 2017, 64, 262–268. [Google Scholar] [CrossRef]
- Lee, J.W.; Jeong, E.G.; Soung, Y.H.; Kim, S.Y.; Nam, S.W.; Kim, S.H.; Lee, J.Y.; Yoo, N.J.; Lee, S.H. Immunohistochemical analysis of apoptosis-inducing factor (AIF) expression in gastric carcinomas. Pathol. Res. Pract. 2006, 202, 497–501. [Google Scholar] [CrossRef] [PubMed]
- Jeong, E.G.; Lee, J.W.; Soung, Y.H.; Nam, S.W.; Kim, S.H.; Lee, J.Y.; Yoo, N.J.; Lee, S.H. Immunohistochemical and mutational analysis of apoptosis-inducing factor (AIF) in colorectal carcinomas. APMIS 2006, 114, 867–873. [Google Scholar] [CrossRef]
- Skyrlas, A.; Hantschke, M.; Passa, V.; Gaitanis, G.; Malamou-Mitsi, V.; Bassukas, I.D. Expression of apoptosis-inducing factor (AIF) in keratoacanthomas and squamous cell carcinomas of the skin. Exp. Dermatol. 2011, 20, 674–676. [Google Scholar] [CrossRef]
- Scott, A.J.; Wilkinson, A.S.; Wilkinson, J.C. Basal metabolic state governs AIF-dependent growth support in pancreatic cancer cells. BMC Cancer 2016, 16, 286. [Google Scholar] [CrossRef] [PubMed]
- Admoni-Elisha, L.; Nakdimon, I.; Shteinfer, A.; Prezma, T.; Arif, T.; Arbel, N.; Melkov, A.; Zelichov, O.; Levi, I.; Shoshan-Barmatz, V. Novel Biomarker Proteins in Chronic Lymphocytic Leukemia: Impact on Diagnosis, Prognosis and Treatment. PLoS ONE 2016, 11, e0148500. [Google Scholar] [CrossRef]
- Troutaud, D.; Petit, B.; Bellanger, C.; Marin, B.; Gourin-Chaury, M.P.; Petit, D.; Olivrie, A.; Feuillard, J.; Jauberteau, M.O.; Bordessoule, D. Prognostic significance of BAD and AIF apoptotic pathways in diffuse large B-cell lymphoma. Clin Lymphoma Myeloma. Leuk. 2010, 10, 118–124. [Google Scholar] [CrossRef] [PubMed]
- Xu, S.; Wu, H.; Nie, H.; Yue, L.; Jiang, H.; Xiao, S.; Li, Y. AIF downregulation and its interaction with STK3 in renal cell carcinoma. PLoS ONE 2014, 9, e100824. [Google Scholar] [CrossRef] [PubMed]
- Hajji, N.; Wallenborg, K.; Vlachos, P.; Nyman, U.; Hermanson, O.; Joseph, B. Combinatorial action of the HDAC inhibitor trichostatin A and etoposide induces caspase-mediated AIF-dependent apoptotic cell death in non-small cell lung carcinoma cells. Oncogene 2008, 27, 3134–3144. [Google Scholar] [CrossRef] [PubMed]
- Chiang, Y.Y.; Chow, K.C.; Lin, T.Y.; Chiang, I.P.; Fang, H.Y. Hepatocyte growth factor and HER2/neu downregulate expression of apoptosis-inducing factor in non-small cell lung cancer. Oncol. Rep. 2014, 31, 597–604. [Google Scholar] [CrossRef] [PubMed]
- Mego, M.; Cierna, Z.; Svetlovska, D.; Macak, D.; Machalekova, K.; Miskovska, V.; Chovanec, M.; Usakova, V.; Obertova, J.; Babal, P.; et al. PARP expression in germ cell tumours. J. Clin. Pathol. 2013, 66, 607–612. [Google Scholar] [CrossRef] [PubMed]
- Cobanoglu, B.; Ceyran, A.B.; Simsek, M.; Senol, S. Immunohistochemical analysis of Bax and AIF in colorectal tumors. Int. J. Clin. Exp. Med. 2015, 8, 16071–16076. [Google Scholar] [PubMed]
- Li, S.; Wan, M.; Cao, X.; Ren, Y. Expression of AIF and HtrA2/Omi in small lymphocytic lymphoma and diffuse large B-cell lymphoma. Arch. Pathol. Lab. Med. 2011, 135, 903–908. [Google Scholar] [CrossRef]
- Gutekunst, M.; Oren, M.; Weilbacher, A.; Dengler, M.A.; Markwardt, C.; Thomale, J.; Aulitzky, W.E.; van der Kuip, H. p53 hypersensitivity is the predominant mechanism of the unique responsiveness of testicular germ cell tumor (TGCT) cells to cisplatin. PLoS ONE 2011, 6, e19198. [Google Scholar] [CrossRef] [PubMed]
- Stambolsky, P.; Weisz, L.; Shats, I.; Klein, Y.; Goldfinger, N.; Oren, M.; Rotter, V. Regulation of AIF expression by p53. Cell Death Differ. 2006, 13, 2140–2149. [Google Scholar] [CrossRef] [PubMed]









| Variable | N | % |
|---|---|---|
| All | 216 | 100.0 |
| Histology | ||
| Seminoma | 41 | 19.0 |
| Nonseminoma | 175 | 81.0 |
| Primary tumor | ||
| Gonadal | 208 | 96.3 |
| Retroperitoneal | 6 | 2.8 |
| Mediastinal | 2 | 0.9 |
| IGCCCG risk group | ||
| Good prognosis | 163 | 75.5 |
| Intermediate prognosis | 24 | 11.1 |
| Poor prognosis | 29 | 13.4 |
| Sites of metastases | ||
| Retroperitoneum | 154 | 71.3 |
| Mediastinum | 22 | 10.2 |
| Lungs | 50 | 23.1 |
| Liver | 12 | 5.6 |
| Brain | 1 | 0.5 |
| Visceral nonpulmonary metastases | 15 | 6.9 |
| Number of metastatic sites | ||
| 0 | 55 | 25.5 |
| 1 | 94 | 43.5 |
| 2 | 30 | 13.9 |
| ≥3 | 37 | 17.1 |
| Median | Range | |
| Patient age | 30 | 17–67 |
| Pretreatment level of tumor markers | ||
| AFP (mIU/mL) | 7 | 0–60,570 |
| HCG (IU/mL) | 4 | 0–929,000 |
| LDH (mkat/l) | 6 | 2–89 |
| Histologic Subtype | Number of Samples (N) | Mean QS | SEM | Median | p-Value a | Low QS b | High QS c | p-Value a | ||
|---|---|---|---|---|---|---|---|---|---|---|
| N | % | N | % | |||||||
| Normal testis | 64 | 12.77 | 0.65 | 13.5 | NA | 14 | 21.9 | 50 | 78.1 | NA |
| Germ cell tumors | 216 | 4.80 | 0.31 | 4.0 | <0.0001 | 174 | 80.6 | 42 | 19.4 | <0.0001 |
| Seminoma | 70 | 3.94 | 0.55 | 2.1 | <0.0001 | 57 | 81.4 | 13 | 18.6 | <0.0001 |
| Embryonal carcinoma | 128 | 5.17 | 0.40 | 4.0 | <0.0001 | 102 | 79.7 | 26 | 20.3 | <0.0001 |
| Yolk sac tumor | 26 | 4.73 | 0.83 | 4.0 | <0.0001 | 23 | 88.5 | 3 | 11.5 | <0.0001 |
| Choriocarcinoma | 12 | 0.17 | 0.17 | 0.0 | <0.0001 | 12 | 100.0 | 0 | 0.0 | <0.0001 |
| Teratoma (epT) | 21 | 1.62 | 0.65 | 0.0 | <0.0001 | 21 | 100.0 | 0 | 0.0 | <0.0001 |
| Teratoma (mesT) | 32 | 0.47 | 0.38 | 0.1 | <0.0001 | 31 | 96.9 | 1 | 3.1 | <0.0001 |
| GCNIS | 62 | 5.66 | 0.67 | 3.0 | <0.0001 | 50 | 80.6 | 12 | 19.4 | <0.0001 |
| AIF Expression | ||||||||||
|---|---|---|---|---|---|---|---|---|---|---|
| Variable | Number of Patients (N) | Mean QS | SEM | Median | p Value a | Low QS b | High QS c | p Value a | ||
| N | % | N | % | |||||||
| All | 216 | 4,80 | 0,31 | 4.0 | NA | 174 | 80.6 | 42 | 19,4 | NA |
| Histology | ||||||||||
| Seminoma | 41 | 3.63 | 0.72 | 2.0 | 0.04 | 34 | 82.9 | 7 | 17.1 | 0.83 |
| Nonseminoma | 175 | 5.07 | 0.35 | 4.0 | 140 | 80.0 | 35 | 20.0 | ||
| Tumor primary | ||||||||||
| TGCT | 208 | 4.83 | 0.32 | 4.0 | 0.40 | 167 | 80.3 | 41 | 19.7 | 1.00 |
| EGCT | 8 | 3.88 | 1.63 | 1.0 | 7 | 87.5 | 1 | 12.5 | ||
| IGCCCG risk group | ||||||||||
| Good prognosis | 163 | 5.01 | 0.36 | 4.0 | 0.07 | 129 | 79.1 | 34 | 20.9 | 0.12 |
| Intermediate prognosis | 24 | 5.50 | 0.94 | 4.0 | 18 | 75.0 | 6 | 25.0 | ||
| Poor prognosis | 29 | 3.03 | 0.85 | 2.0 | 27 | 93.1 | 2 | 6.9 | ||
| Number of metastatic sites | ||||||||||
| 0 | 55 | 4.85 | 0.62 | 4.0 | 0.45 | 47 | 85.5 | 8 | 14.5 | 0.24 |
| 1–2 | 130 | 5.04 | 0.40 | 4.0 | 100 | 76.9 | 30 | 23.1 | ||
| ≥3 | 31 | 3.80 | 0.84 | 3.0 | 27 | 90.0 | 4 | 13.3 | ||
| Retroperitoneal LN metastasis | ||||||||||
| Present | 154 | 4.86 | 0.37 | 4.0 | 0.94 | 120 | 77.9 | 34 | 22.1 | 0.13 |
| Absent | 62 | 4.63 | 0.59 | 4.0 | 54 | 87.1 | 8 | 12.9 | ||
| Mediastinal LN metastases | ||||||||||
| Present | 22 | 3.68 | 0.33 | 4.0 | 0.13 | 18 | 81.8 | 4 | 18.2 | 1.00 |
| Absent | 193 | 4.95 | 0.98 | 1.0 | 155 | 80.3 | 38 | 19.7 | ||
| Lung metastases | ||||||||||
| Present | 50 | 4.92 | 0.65 | 4.0 | 0.91 | 40 | 80.0 | 10 | 20.0 | 1.00 |
| Absent | 165 | 4.79 | 0.36 | 4.0 | 133 | 80.6 | 32 | 19.4 | ||
| Liver metastases | ||||||||||
| Present | 12 | 3.08 | 1.33 | 3.5 | 0.28 | 12 | 100.0 | 0 | 0.0 | 0.13 |
| Absent | 203 | 4.92 | 0.32 | 4.0 | 161 | 79.3 | 42 | 20.7 | ||
| Non-pulmonary visceral metastases | ||||||||||
| Present | 15 | 2.93 | 1.19 | 3.0 | 0.17 | 15 | 100.0 | 0 | 0.0 | 0.05 |
| Absent | 200 | 4.96 | 0.32 | 4.0 | 158 | 79.0 | 42 | 21.0 | ||
| Stage | ||||||||||
| 0 | 81 | 4.68 | 0.51 | 4.0 | 0.38 | 66 | 81.5 | 15 | 18.5 | 0.50 |
| I | 83 | 5.42 | 0.51 | 4.0 | 63 | 75.9 | 20 | 24.1 | ||
| II | 30 | 4.53 | 0.84 | 3.0 | 25 | 83.3 | 5 | 16.7 | ||
| III | 19 | 3.58 | 1.06 | 0.0 | 17 | 89.5 | 2 | 10.5 | ||
Publisher’s Note: MDPI stays neutral with regard to jurisdictional claims in published maps and institutional affiliations. |
© 2021 by the authors. Licensee MDPI, Basel, Switzerland. This article is an open access article distributed under the terms and conditions of the Creative Commons Attribution (CC BY) license (http://creativecommons.org/licenses/by/4.0/).
Share and Cite
Letkovska, K.; Babal, P.; Cierna, Z.; Schmidtova, S.; Liskova, V.; Kalavska, K.; Miskovska, V.; Horak, S.; Rejlekova, K.; Chovanec, M.; et al. Prognostic Value of Apoptosis-Inducing Factor (AIF) in Germ Cell Tumors. Cancers 2021, 13, 776. https://doi.org/10.3390/cancers13040776
Letkovska K, Babal P, Cierna Z, Schmidtova S, Liskova V, Kalavska K, Miskovska V, Horak S, Rejlekova K, Chovanec M, et al. Prognostic Value of Apoptosis-Inducing Factor (AIF) in Germ Cell Tumors. Cancers. 2021; 13(4):776. https://doi.org/10.3390/cancers13040776
Chicago/Turabian StyleLetkovska, Katarina, Pavel Babal, Zuzana Cierna, Silvia Schmidtova, Veronika Liskova, Katarína Kalavska, Vera Miskovska, Samuel Horak, Katarina Rejlekova, Michal Chovanec, and et al. 2021. "Prognostic Value of Apoptosis-Inducing Factor (AIF) in Germ Cell Tumors" Cancers 13, no. 4: 776. https://doi.org/10.3390/cancers13040776
APA StyleLetkovska, K., Babal, P., Cierna, Z., Schmidtova, S., Liskova, V., Kalavska, K., Miskovska, V., Horak, S., Rejlekova, K., Chovanec, M., Mardiak, J., Janega, P., & Mego, M. (2021). Prognostic Value of Apoptosis-Inducing Factor (AIF) in Germ Cell Tumors. Cancers, 13(4), 776. https://doi.org/10.3390/cancers13040776

