Pulmonary Nodule and Mass: Superiority of MRI of Diffusion-Weighted Imaging and T2-Weighted Imaging to FDG-PET/CT
Abstract
Simple Summary
Abstract
1. Introduction
2. Materials and Methods
2.1. Eligibility
2.2. Patients
2.3. FDG-PET/CT
2.4. MR Imaging
2.5. PET and MRI Analysis
2.6. Statistical Analysis
3. Results
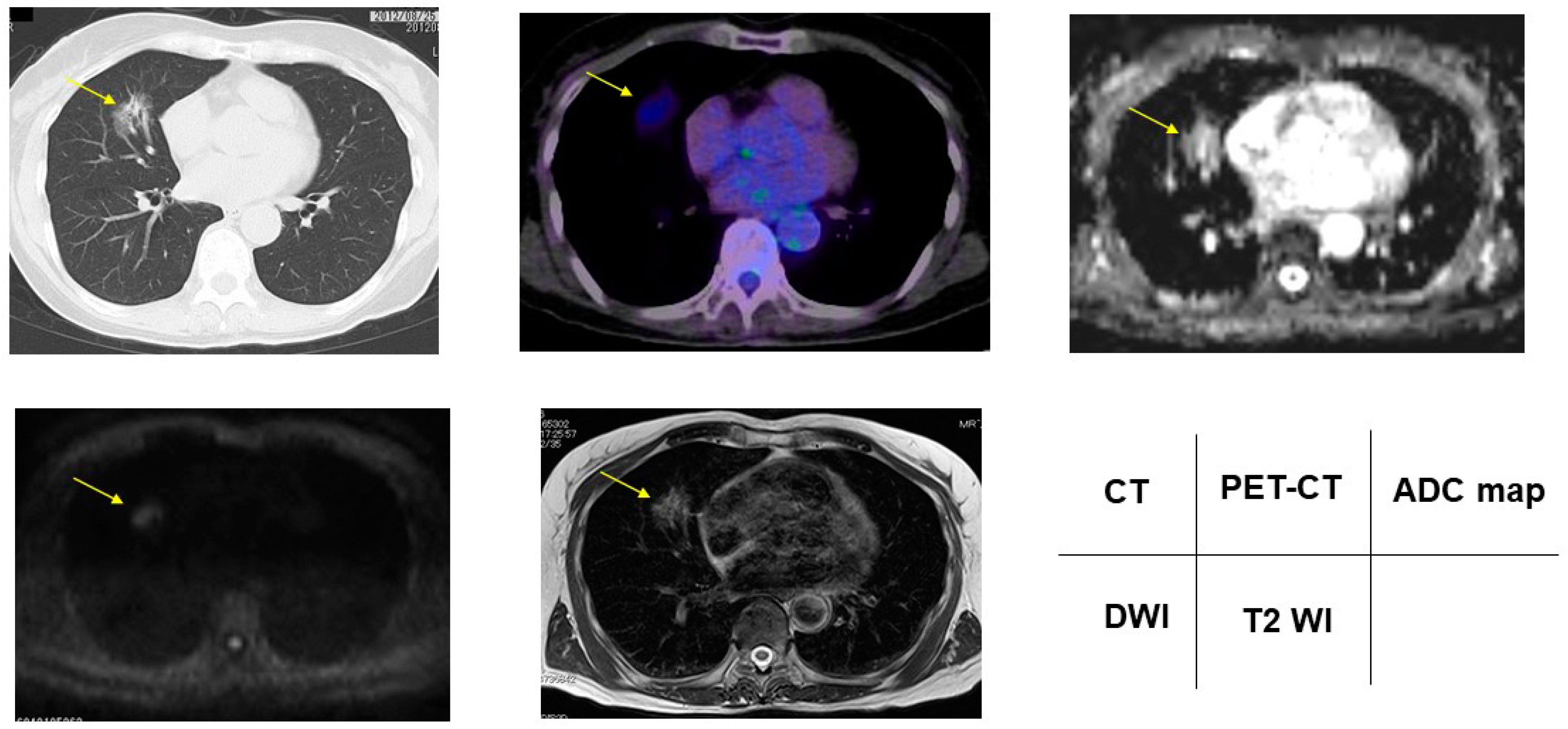
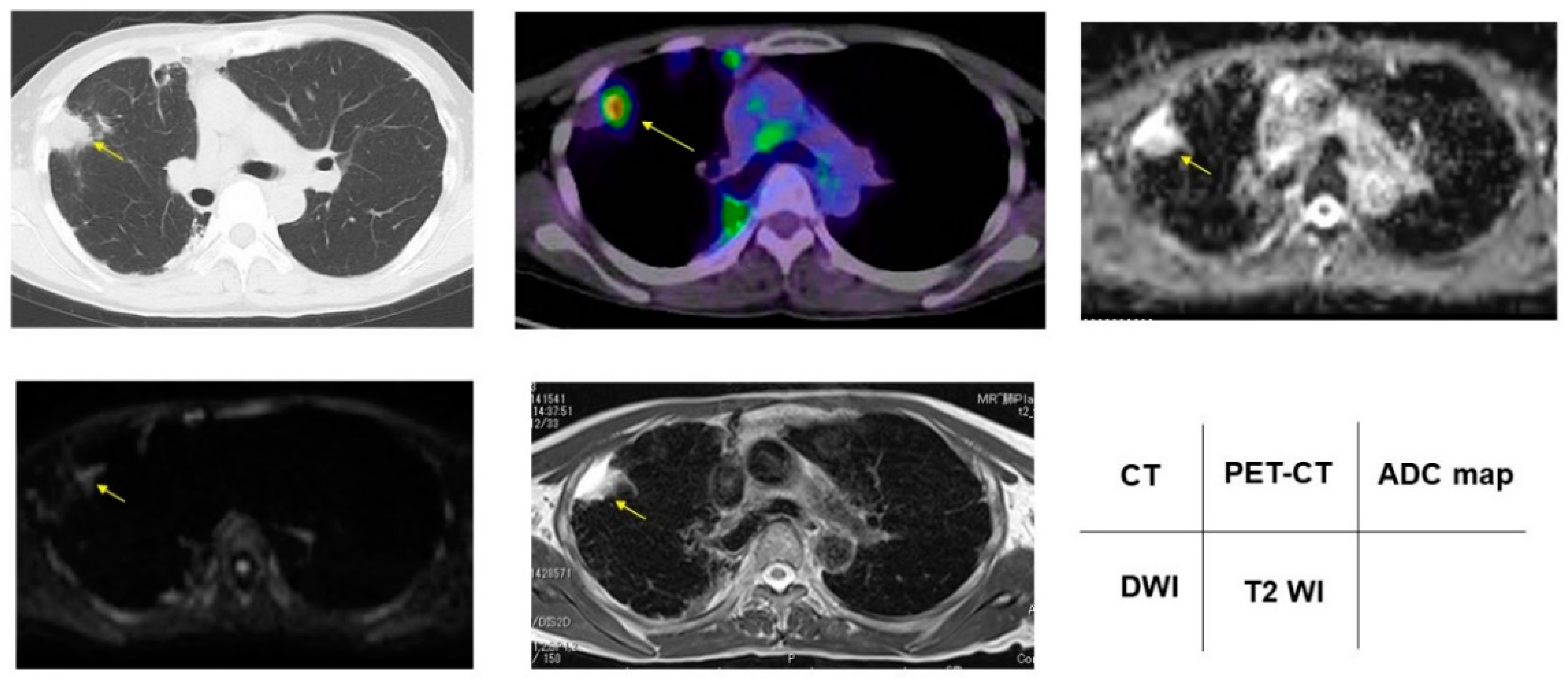
3.1. Radiological Characteristics Based on DDSs of DWI
3.2. Radiologic Presentations of CT, FDG-PET/CT, DDS of DWI, ADC Map and T2WI in PNMs
3.3. ROC Analysis and Diagnostic Performance of SUVmax, ADC and T2 CR
3.4. Comparison of Diagnostic Performance of SUVmax, ADC and T2 CR
4. Discussion
5. Conclusions
Author Contributions
Funding
Institutional Review Board Statement
Informed Consent Statement
Data Availability Statement
Acknowledgments
Conflicts of Interest
References
- Lowe, V.J.; Fletcher, J.W.; Gobar, L.; Lawson, M.; Kirchner, P.; Valk, P.; Karis, J.; Hubner, K.; Delbeke, D.; Heiberg, E.V.; et al. Prospective investigation of positron emission tomography in lung nodules. J. Clin. Oncol. 1998, 16, 1075–1084. [Google Scholar] [CrossRef]
- Could, M.K.; Maclean, C.C.; Kuschner, W.G.; Rydzak, C.E.; Owens, D.K. Accuracy of positron emission tomography for diagnosis of pulmonary nodules and mass lesions. A meta-analysis. JAMA 2001, 285, 914–924. [Google Scholar]
- Niyonkuru, A.; Chen, X.; Bakari, K.H.; Wimalarathne, D.N.; Bouhari, A.; Arnous, M.M.R.; Lan, X. Evaluation of the diagnostic efficacy of (18) F-Fluorine-2-Deoxy-D-Glucose PET/CT for lung cancer and pulmonary tuberculosis in a Tuberculosis-endemic Country. Cancer Med. 2020, 9, 931–942. [Google Scholar] [CrossRef]
- Higashi, K.; Ueda, Y.; Seki, H.; Yuasa, K.; Oguchi, M.; Noguchi, T.; Taniguchi, M.; Tonami, H.; Okimura, T.; Yamamoto, I. Fluorine-18-FDG PET imaging is negative in bronchioloalveolar lung carcinoma. J. Nucl. Med. 1998, 39, 1016–1020. [Google Scholar] [PubMed]
- Cheran, S.K.; Nielsen, N.D.; Patz, E.F. False-negative findings for primary lung tumors on FDG positron emission tomography. Staging and prognostic implications. Am. J. Roentgenol. 2004, 182, 1129–1132. [Google Scholar] [CrossRef]
- Satoh, Y.; Ichikawa, T.; Motosugi, U.; Kimura, K.; Sou, H.; Sano, K.; Araki, T. Diagnosis of peritoneal disseminatiom. Comparison of 18F-DDG PET/CT, diffusion-weighted MRI, and contrast-enhanced MDCT. Am. J. Roentgenol. 2011, 196, 447–453. [Google Scholar] [CrossRef] [PubMed]
- Goo, J.M.; Im, J.G.; Do, K.H.; Yeo, J.S.; Seo, J.B.; Kim, H.Y.; Chung, J.K. Pulmonary tuberculoma evaluated by means of FDG PET. Findings in 10 cases. Radiology 2000, 216, 117–121. [Google Scholar] [CrossRef]
- Nomori, H.; Watanabe, K.; Ohtsuka, T.; Naruke, T.; Suemasu, K.; Uno, K. Evaluation of F-18 fluorodeoxyglucose (FDG) PET scanning for pulmonary nodules less than 3 cm in diameter, with special reference to the CT images. Lung Cancer 2004, 45, 19–27. [Google Scholar] [CrossRef]
- Tang, W.; Wu, N.; Yang, H.O.; Huang, Y.; Liu, L.; Li, M. The presurgical T staging of non-small cell lung cancer: Efficacy comparison of 64-MDCT and 3.0 T MRI. Cancer Imaging 2015, 15, 14. [Google Scholar] [CrossRef]
- Le Bihan, D.; Breton, E.; Lallemand, D.; Aubin, M.L.; Vignaud, J.; Laval-Jeantet, M. Separation of diffusion and perfusion in intravoxel incoherent motion MR imaging. Radiology 1988, 168, 497–505. [Google Scholar] [CrossRef] [PubMed]
- Tien, R.D.; Felsberg, G.J.; Friedman, H.; Brown, M.; MacFall, J. MR imaging of high-grade cerebral gliomas. Value of diffusion-weighted echoplanar plus sequences. Am. J. Roentgenol. 1994, 162, 671–677. [Google Scholar] [CrossRef]
- Sorensen, A.G.; Buonanno, F.S.; Gonzalez, R.G.; Schwamm, L.H.; Lev, M.H.; Huang-Hellinger, F.R.; Reese, T.G.; Weisskoff, R.M.; Davis, T.L.; Suwanwela, N.; et al. Hyperacute stroke. Evaluation with combined multisection diffusion-weighted and hemodynamically weighted echo-planar MR imaging. Radiology 1996, 199, 391–401. [Google Scholar] [CrossRef] [PubMed]
- Szafer, A.; Zhong, J.; Gore, J.C. Theoretical model for water diffusion in tissues. Magn. Reson. Med. 1995, 33, 697–712. [Google Scholar] [CrossRef] [PubMed]
- Takahara, T.; Imai, Y.; Yamashita, T.; Yasuda, S.; Nasu, S.; Van Cauteren, M. Diffusion weighted whole body imaging with background body signal suppression (DWIBS). Technical improvement using free breathing, STIR and high resolution 3D display. Radiat. Med. 2004, 22, 275–282. [Google Scholar]
- Uto, T.; Takehara, Y.; Nakamura, Y.; Naito, T.; Hashimoto, D.; Inui, N.; Suda, T.; Nakamura, H.; Chida, K. Higher sensitivity and specificity for diffusion-weighted imaging of malignant lung lesions without apparent diffusion coefficient quantification. Radiology 2009, 252, 247–254. [Google Scholar] [CrossRef] [PubMed]
- Mori, T.; Nomori, H.; Ikeda, K.; Kawanaka, K.; Shiraishi, S.; Katahira, K.; Yamashita, Y. Diffusion-weighted magnetic resonance imaging for diagnosing malignant pulmonary nodules/masses. Comparison with positron emission tomography. J. Thorac. Oncol. 2008, 3, 358–364. [Google Scholar] [CrossRef]
- Ohba, Y.; Nomori, H.; Mori, T.; Ikeda, K.; Shibata, H.; Kobayashi, H.; Shiraishi, S.; Katahira, K. Is diffusion-weighted magnetic resonance imaging superior to positron emission tomography with fludeoxyglucose F 18 in imaging non-small cell lung cancer? J. Thorac. Cardiovasc. Surg. 2009, 138, 439–445. [Google Scholar] [CrossRef][Green Version]
- Usuda, K.; Zhao, X.T.; Sagawa, M.; Matoba, M.; Kuginuki, Y.; Taniguchi, M.; Ueda, Y.; Sakuma, T. Diffusion-weighted imaging is superior to PET in the detection and nodal assessment of lung cancers. Ann. Thorac. Surg. 2011, 91, 1689–1695. [Google Scholar] [CrossRef]
- Wu, L.-M.; Xu, J.-R.; Hua, J.; Gu, H.-Y.; Chen, J.; Haacke, E.; Hu, J. Can diffusion-weighted imaging be used as a reliable sequence in the detection of malignant pulmonary nodules and masses? Magn. Reson. Imaging 2013, 31, 235–246. [Google Scholar] [CrossRef]
- Yamamura, J.; Salomon, G.; Buchert, R.; Hohenstein, A.; Graessner, J.; Huland, H.; Graefen, M.; Adam, G.; Wedegaertner, U. Magnetic resonance imaging of prostate cancer. Diffusion-weighted imaging in comparison with sextant biopsy. J. Comput. Assist. Tomogr. 2011, 35, 223–228. [Google Scholar] [CrossRef]
- Fornasa, F.; Pinali, L.; Gasparini, A.; Toniolli, E.; Montemezzi, S. Diffusion-weighted magnetic resonance imaging in focal breast lesions. Analysis of 78 cases with pathological correlation. Radiol. Med. 2011, 116, 264–275. [Google Scholar] [CrossRef]
- Koike, N.; Cho, A.; Nasu, K.; Seto, K.; Nagaya, S.; Ohshima, Y.; Ohkohchi, N. Role of diffusion-weighted magnetic resonance imaging in the differential diagnosis of focal hepatic lesions. World J. Gastroenterol. 2009, 15, 5805–5812. [Google Scholar] [CrossRef]
- Li, B.; Li, Q.; Chen, C.; Guan, Y.; Liu, S.A. systematic review and meta-analysis of the accuracy of diffusion-weighted MRI in the detection of malignant pulmonary nodules and masses. Acad. Radiol. 2014, 21, 21–29. [Google Scholar] [CrossRef] [PubMed]
- Shen, G.; Jia, Z.; Deng, H. Apparent diffusion coefficient values of diffusion-weighted imaging for distinguishing focal pulmonary lesions and characterizing the subtype of lung cancer: A meta-analysis. Eur. Radiol. 2016, 26, 556–566. [Google Scholar] [CrossRef] [PubMed]
- Usuda, K.; Iwai, S.; Yamagata, A.; Iijima1, Y.; Motono, N.; Matoba, M.; Doai, M.; Hirata, K.; Uramoto, H. Combination assessment of diffusion-weighted imaging and T2-weighted imaging is acceptable for the differential diagnosis of lung cancer from benign pulmonary nodules and masses. Cancers 2021, 13, 1551. [Google Scholar] [CrossRef] [PubMed]
- Yuen, S.; Uematsu, T.; Kasami, M.; Tanaka, K.; Kimura, K.; Sanuki, J.; Uchida, Y.; Furukawa, H. Breast carcinomas with strong high-signal intensity on T2-weighted MR images: Pathological characteristics and differential diagnosis. J. Magn. Reson. Imaging 2007, 25, 502–510. [Google Scholar] [CrossRef]
- Uematsu, T. Focal breast edema associated with malignancy on T2-weighted images of breast MRI: Peritumoral edema, prepectoral edema, and subcutaneous edema. Breast Cancer 2015, 22, 66–70. [Google Scholar] [PubMed]
- Goldstraw, P.; Chansky, K.; Crowley, J.; Rami-Porta, R.; Asamura, H.; Eberhardt, W.E.; Nicholson, A.G.; Groome, P.; Mitchell, A.; Bolejack, V. The IASLC lung cancer staging project: Proposals for revision of the TNM stage groupings in the forthcoming (eighth) edition of the TNM classification for lung cancer. J. Thorac. Oncol. 2016, 11, 39–51. [Google Scholar] [CrossRef] [PubMed]
- Usuda, K.; Iwai, S.; Yamagata, A.; Iijima, Y.; Motono, N.; Matoba, M.; Doai, M.; Yamada, S.; Ueda, Y.; Hirata, K.; et al. Differentiation between suture recurrence and suture granuloma after pulmonary resection for lung cancer by diffusion-weighted magnetic resonance imaging or FDG-PET/CT. Transl. Oncol. 2021, 14, 100992. [Google Scholar] [CrossRef]
- Hahn, S.Y.; Ko, E.S.; Han, B.K.; Lim, Y.; Gu, S.; Ko, E.Y. Analysis of factors influencing the degree of detectability on diffusion-weighted MRI and diffusion background signals in patients with invasive breast cancer. Medicine 2016, 95, e4086. [Google Scholar] [CrossRef]
- Koyama, H.; Ohno, Y.; Kono, A.; Takenaka, D.; Maniwa, Y.; Nishimura, Y.; Ohbayashi, C.; Sugimura, K. Quantitative and qualitative assessment of non-contrast-enhanced pulmonary MR imaging for management of pulmonary nodules in 161 subjects. Eur. Radiol. 2008, 18, 2120–2131. [Google Scholar] [CrossRef]
- Usuda, K.; Iwai, S.; Yamagata, A.; Iijima, Y.; Motono, N.; Matoba, M.; Doai, M.; Hirata, K.; Uramoto, H. Novel Insights of T2-weighted imaging: Significance for Discriminating Lung Cancer from Benign Pulmonary Nodules and Masses. Cancers 2021, 13, 3713. [Google Scholar] [CrossRef]
- Song, I.; Kim, S.H.; Lee, S.J.; Choi, J.Y.; Kim, M.J.; Rhim, H. Value of diffusion-weighted imaging in the detection of viable tumour after neoadjuvant chemoradiation therapy in patients with locally advanced rectal cancer: Comparison with T2 weighted and PET/CT imaging. Br. J. Radiol. 2012, 85, 577–586. [Google Scholar] [CrossRef]
- Wu, L.-M.; Xu, J.-R.; Gu, H.-Y.; Hua, J.; Chen, J.; Zhang, W.; Haacke, E.M.; Hu, J. Preoperative mediastinal and hilar nodal staging with diffusion-weighted magnetic resonance imaging and fluorodeoxyglucose positron emission tomography/computed tomography in patients with non-small-cell lung cancer: Which is better? J. Surg. Res. 2012, 178, 304–314. [Google Scholar] [CrossRef] [PubMed]
- Nomori, H.; Mori, T.; Ikeda, K.; Kawanaka, K.; Shiraishi, S.; Katahira, K.; Yamashita, Y. Diffusion-weighted magnetic resonance imaging can be used in place of positron emission tomography for N staging of non-small cell lung cancer with fewer false-positive results. J. Thorac. Cardiovasc. Surg. 2008, 135, 816–822. [Google Scholar] [CrossRef] [PubMed]
- Usuda, K.; Sagawa, M.; Motono, N.; Ueno, M.; Tanaka, M.; Machida, Y.; Maeda, S.; Matoba, M.; Kuginuki, Y.; Taniguchi, M.; et al. Diagnostic performance of diffusion weighted imaging of malignant and benign pulmonary nodules and masses: Comparison with positron emission tomography. Asian Pac. J. Cancer Prev. 2014, 15, 4629–4635. [Google Scholar] [CrossRef]
- Hochhegger, B.; Marchiori, E.; Sedlaczek, O.; Irion, K.; Pheussel, C.P.; Ley, S.; Ley-Zaporozhan, J.; Soares Souza, A., Jr.; Kauczor, H.U. MRI in lung cancer: A pictorial essay. Br. Radiol. 2011, 84, 661–668. [Google Scholar] [CrossRef]
- Qi, L.-P.; Chen, K.-N.; Zhou, X.J.; Tang, L.; Liu, Y.-L.; Li, X.-T.; Wang, J.; Sun, Y.-S. Conventional MRI to detect the differences between mass-like tuberculosis and lung cancer. J. Thorac. Dis. 2018, 10, 5673–5684. [Google Scholar] [CrossRef]
- Ohno, Y.; Koyama, H.; Dinkel, J.; Hintze, C. Lung cancer. In MRI of the Lung; Kauczor, H.U., Ed.; Springer: Berlin/Heidelberg, Germany, 2009; pp. 179–216. [Google Scholar]
- Ohno, Y.; Adachi, S.; Motoyama, A.; Kusumoto, M.; Hatabu, H.; Sugimura, K.; Kono, M. Multiphase ECG triggered 3D contrastenhanced MR angiography: Utility for evaluation of hilar and mediastinal invasion of bronchogenic carcinoma. J. Magn. Reson. Imaging 2001, 13, 215–224. [Google Scholar] [CrossRef]
- Travis, W.D.; Garg, K.; Franklin, W.A.; Wistuba, I.I.; Sabloff, B.S.; Noguchi, M.; Kakinuma, R.; Zakowski, M.F.; Ginsberg, M.S.; Padera, R.F.; et al. Evolving concepts in the pathology and computed tomography imaging of lung adenocarcinoma and bronchioloalveolar carcinoma. J. Clin. Oncol. 2005, 23, 3279–3287. [Google Scholar] [CrossRef]
- Chun, E.J.; Lee, H.J.; Kang, W.J.; Kim, K.G.; Goo, J.M.; Park, C.M.; Lee, C.H. Differentiation between malignancy and inflammation in pulmonary ground-glass nodules: The feasibility of integrated 18F-FDG PET/CT. Lung Cancer 2009, 65, 180–186. [Google Scholar] [CrossRef]
- Read, W.L.; Page, N.C.; Tierney, R.M.; Piccirillo, J.F.; Govindan, R. The epidemiology of bronchioloalveolar carcinoma over the past two decades: Analysis of the SEER database. Lung Cancer 2004, 45, 137–142. [Google Scholar] [CrossRef]
- Tsushima, Y.; Tateishi, U.; Uno, H.; Takeuchi, M.; Terauchi, T.; Goya, T.; Kim, E.E. Diagnostic performance of PET/CT in differentiation of malignant and benign non-solid solitary pulmonary nodules. Ann. Nucl. Med. 2008, 22, 571–577. [Google Scholar] [CrossRef]
- Swensen, S.J.; Viggiano, R.W.; Midthun, D.E.; Muller, N.L.; Sherrick, A.; Yamashita, K.; Naidich, D.P.; Patz, E.F.; Hartman, T.E.; Muhm, J.R.; et al. Lung nodule enhancement at CT: Multicenter study. Radiology 2000, 214, 73–80. [Google Scholar] [CrossRef]
- Cronin, P.; Dwamena, B.A.; Kelly, A.M.; Carlos, R.C. Solitary pulmonary nodules: Meta-analytic comparison of cross sectional imaging modalities for diagnosis of malignancy. Radiology 2008, 246, 772–782. [Google Scholar] [CrossRef]
- Jia, Y.; Gong, W.; Zhang, Z.; Tu, G.; Li, J.; Xiong, F.; Hou, H.; Zhang, Y.; Wu, M.; Zhang, L. Comparing the diagnostic value of 18F-FDG-PET/CT versus CT for differentiating benign and malignant solitary pulmonary nodules: A meta-analysis. J. Thorac. Dis. 2019, 11, 2082–2098. [Google Scholar] [CrossRef]
- Schiebler, M.L. Can solitary pulmonary nodules be accurately characterized with diffusion-weighted MRI? Radiology. 2019, 290, 535–536. [Google Scholar] [CrossRef] [PubMed]
- Usuda, K.; Sagawa, M.; Maeda, S.; Motono, N.; Tanaka, M.; Machida, Y.; Matoba, M.; Watanabe, N.; Tonami, H.; Ueda, Y.; et al. Diagnostic performance of whole-body diffusion-weighted imaging compared to PET-CT plus brain MRI in staging clinically resectable lung cancer. Asian Pac. J. Cancer Prev. 2016, 17, 2775–2780. [Google Scholar] [CrossRef]
- Balbo-Mussetto, A.; Saviolo, C.; Fornari, A.; Gottardi, D.; Petracchini, M.; Macera, A.; Lario, C.V.; Gallo, T.; Tarella, C.; Cirillo, S. Whole body MRI with qualitative and quantitative analysis of DWI for assessment of bone marrow involvement in lymphoma. Radiol. Med. 2017, 122, 623–632. [Google Scholar] [CrossRef] [PubMed]
- Balbo-Mussetto, A.; Cirillo, S.; Bruna, R.; Gueli, A.; Saviolo, C.; Petracchini, M.; Fornari, A.; Lario, C.V.; Gottardi, D.; De Crescenzo, A.; et al. Whole-body MRI with diffusion-weighted imaging: A valuable alternative to contrast-enhanced CT for initial staging of aggressive lymphoma. Clin. Radiol. 2016, 71, 271–279. [Google Scholar] [CrossRef] [PubMed]
- Caruso, D.; Polici, M.; Zerunian, M.; Pucciarelli, F.; Guido, G.; Polidori, T.; Landolfi, F.; Nicolai, M.; Lucertini, E.; Tarallo, M.; et al. Radiomics in Oncology, Part 2: Thoracic, Genito-Urinary, Breast, Neurological, Hematologic and Musculoskeletal Applications. Cancers 2021, 13, 2681. [Google Scholar] [CrossRef] [PubMed]
- Usuda, K.; Iwai, S.; Yamagata, A.; Iijima, Y.; Motono, N.; Matoba, M.; Doai, M.; Hirata, K.; Uramoto, H. Whole-lesion Apparent Diffusion Coefficient Histogram analysis: Significance for Discriminating Lung Cancer from Pulmonary Abscess and Mycobacterial Infection. Cancers 2021, 13, 2720. [Google Scholar] [CrossRef] [PubMed]
- Kwee, T.C.; Takahara, T.; Ochiai, R.; Koh, D.-M.; Ohno, Y.; Nakanishi, K.; Niwa, T.; Chenevert, T.L.; Luijten, P.R.; Alavi, A. Complementary roles of whole-body diffusion-weighted MRI and 18F-FDG PET. The state of the art and potential application. J. Nucl. Med. 2010, 51, 1549–1558. [Google Scholar] [CrossRef] [PubMed]
- Desprechins, B.; Stadnik, T.; Koerts, G.; Shabana, W.; Breucq, C.; Osteaux, M. Use of diffusion-weighted MR imaging in differential diagnosis between intracerebral necrotic tumors and cerebral abscesses. Am. J. Neuroradiol. 1999, 20, 1252–1257. [Google Scholar] [PubMed]
- Ebisu, T.; Tanaka, C.; Umeda, M.; Kitamura, M.; Naruse, S.; Higuchi, T.; Ueda, S.; Sato, H. Discrimination of brain abscess from necrotic or cystic tumors by diffusion-weighted echo planar imaging. Magn. Reson. Imaging 1996, 14, 1113–1116. [Google Scholar] [CrossRef]
- Feuerlein, S.; Pauls, S.; Juchems, M.S.; Stuber, T.; Hoffmann, M.H.; Brambs, H.J.; Ernst, A.S. Pitfalls in abdominal diffusion-weighted imaging. How predictive is restricted water diffusion for malignancy. Am. J. Roentgenol. 2009, 193, 1070–1076. [Google Scholar] [CrossRef] [PubMed]
- Nasu, K.; Kuroki, Y.; Minami, M. Diffusion-weighted imaging findings of mucinous carcinoma arising in the anorectal region. Comparison of apparent diffusion coefficient with that of tubular adenocarcinoma. Jpn. J. Radiol. 2012, 30, 120–127. [Google Scholar] [CrossRef]












| Diagnosis | No. of Patients | ||
|---|---|---|---|
| Lung cancer | 278 | ||
| adenocarcinoma | 192 | ||
| squamous cell ca. | 64 | ||
| LCNEC | 5 | ||
| Large cell ca. | 3 | ||
| Adenosquamous ca. | 4 | ||
| Carcinoid | 2 | ||
| Small cell ca. | 7 | ||
| Carcinosarcoma | 1 | ||
| Inflammatory benignity | 39 | ||
| Mycobacterial disease | 13 (Tbc 5, NTM 8) | ||
| Pneumonia | 12 | ||
| Pulmonary abscess | 7 | ||
| Pulmonary scar | 3 | ||
| Organized pneumonia | 2 | ||
| Other | 2 | ||
| Non-inflammatory benignity | 11 | ||
| Hamartoma | 5 | ||
| Pulmonary sequestration | 2 | ||
| Other | 4 | ||
| Total No. of patients | 328 | ||
| Sequence | Echo Time (TE) (ms) | Repetition Time (TR) (ms) | Slice Thickness (mm) | Field of View (FOV) (mm) | Matrix Size |
|---|---|---|---|---|---|
| T1 turbo-spin echo (TSE) | 5.4 | 600–1000 | 6 mm | 320 × 198 | 320 × 198 |
| T1 gradient recalled echo (GRE) | 4.78 | 6.54 | 3.5 mm | 380 × 240 | 256 × 151 |
| T2 turbo-spin echo (TSE) | 74 | 4400–6000 | 6 mm | 350 × 240 | 320 × 198 |
| DWI SPAIR with respiratory triggered fat suppression | 65 | 3000–4500 | 6 mm | 350 | 128 × 128 |
| Degree of DDS | DDS1 | DDS2 | DDS3 | DDS4 | DDS5 | No. of Total Cases |
|---|---|---|---|---|---|---|
| Lung cancer | 4 (1.4%) | 14 (5.0%) | 19 (6.8%) | 32 (11.5%) | 209 (75.2%) | 278 (100%) |
| BPNM | 0 | 14 (28.0%) | 7 (14.0%) | 7 (13.5%) | 22 (44.0%) | 50 (100%) |
| No. of total cases | 4 | 28 | 26 | 39 | 231 | 328 |
| Variable | Lung Cancer | BPNM | p-Value | ||||||
|---|---|---|---|---|---|---|---|---|---|
| Mean | Standard Deviation | Minimum | Maximum | Mean | Standard Deviation | Minimum | Maximum | ||
| SUVmax | 7.89 | 6.73 | 0 | 32 | 4.11 | 3.9 | 0 | 15 | p < 0.0001 |
| ADC | 1.24 | 0.29 | 0.646 | 2.355 | 1.67 | 0.59 | 0.556 | 3.13 | p < 0.0001 |
| T2 CR | 2.05 | 0.53 | 0.703 | 4.707 | 2.73 | 1.04 | 0.877 | 7.019 | p < 0.0001 |
| Variable | TP | FN | TN | FP | Sensitivity | Specificity | Accuracy |
|---|---|---|---|---|---|---|---|
| SUVmax | 183 | 95 | 31 | 19 | 0.658 (183/278) * | 0.62 (31/50) * | 0.652 (214/328) * |
| ADC | 233 | 45 | 32 | 18 | 0.838 (233/278) ** | 0.64 (32/50) ** | 0.808 (265/328) ** |
| T2 CR | 242 | 36 | 32 | 18 | 0.871 (242/278) *** | 0.64 (32/50) *** | 0.835 (274/328) *** |
| * vs. ** p = 0.0089 | * vs. ** N.S. | * vs. ** p = 0.0365 | |||||
| * vs. *** p = 0.0176 | * vs. *** N.S. | * vs. *** p < 0.001 |
Publisher’s Note: MDPI stays neutral with regard to jurisdictional claims in published maps and institutional affiliations. |
© 2021 by the authors. Licensee MDPI, Basel, Switzerland. This article is an open access article distributed under the terms and conditions of the Creative Commons Attribution (CC BY) license (https://creativecommons.org/licenses/by/4.0/).
Share and Cite
Usuda, K.; Ishikawa, M.; Iwai, S.; Yamagata, A.; Iijima, Y.; Motono, N.; Matoba, M.; Doai, M.; Hirata, K.; Uramoto, H. Pulmonary Nodule and Mass: Superiority of MRI of Diffusion-Weighted Imaging and T2-Weighted Imaging to FDG-PET/CT. Cancers 2021, 13, 5166. https://doi.org/10.3390/cancers13205166
Usuda K, Ishikawa M, Iwai S, Yamagata A, Iijima Y, Motono N, Matoba M, Doai M, Hirata K, Uramoto H. Pulmonary Nodule and Mass: Superiority of MRI of Diffusion-Weighted Imaging and T2-Weighted Imaging to FDG-PET/CT. Cancers. 2021; 13(20):5166. https://doi.org/10.3390/cancers13205166
Chicago/Turabian StyleUsuda, Katsuo, Masahito Ishikawa, Shun Iwai, Aika Yamagata, Yoshihito Iijima, Nozomu Motono, Munetaka Matoba, Mariko Doai, Keiya Hirata, and Hidetaka Uramoto. 2021. "Pulmonary Nodule and Mass: Superiority of MRI of Diffusion-Weighted Imaging and T2-Weighted Imaging to FDG-PET/CT" Cancers 13, no. 20: 5166. https://doi.org/10.3390/cancers13205166
APA StyleUsuda, K., Ishikawa, M., Iwai, S., Yamagata, A., Iijima, Y., Motono, N., Matoba, M., Doai, M., Hirata, K., & Uramoto, H. (2021). Pulmonary Nodule and Mass: Superiority of MRI of Diffusion-Weighted Imaging and T2-Weighted Imaging to FDG-PET/CT. Cancers, 13(20), 5166. https://doi.org/10.3390/cancers13205166

