A Novel Nodule Edge Sharpness Radiomic Biomarker Improves Performance of Lung-RADS for Distinguishing Adenocarcinomas from Granulomas on Non-Contrast CT Scans
Abstract
Simple Summary
Abstract
1. Introduction
2. Materials and Methods
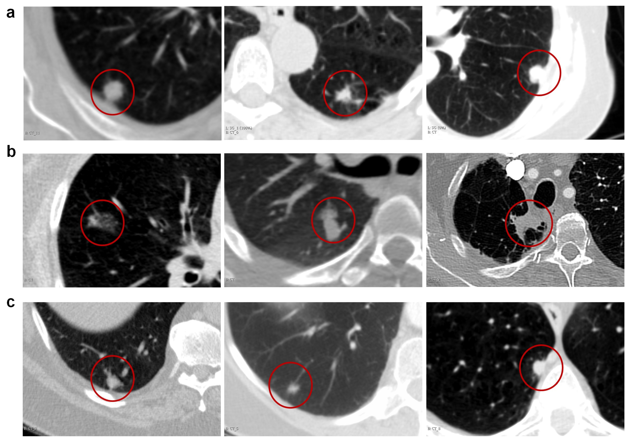
3. Results
4. Discussion
5. Conclusions
Author Contributions
Funding
Institutional Review Board Statement
Informed Consent Statement
Data Availability Statement
Conflicts of Interest
Appendix A
Appendix A.1. Extracted Features
| Shape Features | Description |
|---|---|
| Size | Including Width, Height, Depth of bounding box |
| Area | from 2D slices of each nodule |
| Perimeter | from 2D slices of each nodule |
| Eccentricity | foci of the ellipse and to major axis length |
| Extend | ratio of pixels in the region to pixels in the total bounding box |
| Compactness | ratio of the perimeter squared to the product of 4π and area |
| Radial distance | distances from center of each slice to contour points |
| Roughness | perimeter of slices divided by convex perimeter |
| Elongation | from major and minor axis |
| Convexity | from convex hull |
| Equivalent Diameter | Diameter of circle with same area of slices |
| Sphericity | 3D compactness |
| Feature Category | Descriptor | Intuitive Description |
|---|---|---|
| Haralick features (Repeated occurrence of grey level configuration in the texture represented via the grey-level co-occurrence matrix (GLCM), which varies rapidly with distance in fine textures and slowly in large textures) | Inverse Difference Moment (IDM) | IDM is a reflection of the presence or absence of uniformity, and hence is a measure of local regions of homogeneity High IDM: Higher presence of locally uniform windows in GLCM Low IDM: Higher presence of locally heterogeneous windows in GLCM |
| Correlation | Quantifies the linear patterns in an image based on the distance parameter. | |
| Sum Entropy | Measure of GLCM relationship to distribution of intensity with respect to entropy. Entropy is the measure of disorder. | |
| Sum Variance | Measure of GLCM relationship to distribution of intensity with respect to variance. High sum variance: greater standard deviation of sum average. Low sum variance: low standard deviation of sum average | |
| Laws features | E5, L5, S5, R5 (combination in both X and Y directions) | E-Edges L-Level S-Spots R-Ripples |
| Gabor | Quantifies response to a given Gabor filter at a specific frequency and orientation | These filters comprise of various scales and orientations to locally characterize intensity variations |
Appendix A.2. Statistical Analysis between Patient and CT Specific Parameters with Histopathologic Diagnosis of the Nodule
| Parameters | St | Sv | ||||
|---|---|---|---|---|---|---|
| Adenocarcinoma | Granuloma | p-Value | Adenocarcinoma | Granuloma | p-Value | |
| Total Population | 145 | 145 | ||||
| Subpopulation | 73 | 72 | 73 | 72 | ||
| Nodule Size (mm) | 0.42 | 0.011 | ||||
| Mean | 13.33 | 11.15 | 11.91 | 12.19 | ||
| Std Deviation | 6.65 | 4.45 | 4.36 | 6.48 | ||
| Gender | 0.31 | 0.50 | ||||
| Male | 27 | 33 | 31 | 35 | ||
| Female | 46 | 39 | 42 | 37 | ||
| Age (in years) | <0.01 | <0.01 | ||||
| Mean | 73.87 | 62.85 | 72.08 | 61.31 | ||
| Std Deviation | 10.34 | 14.2 | 10.7 | 12.54 | ||
| Smoking Status | <0.01 | 0.05 | ||||
| Yes | 53 | 17 | 43 | 25 | ||
| No | 2 | 20 | 8 | 13 | ||
| Not available | 18 | 35 | 22 | 34 | ||
| Ethnicity | 0.82 | 0.68 | ||||
| Caucasian | 41 | 38 | 43 | 51 | ||
| African American | 12 | 12 | 13 | 19 | ||
| Not available | 20 | 22 | 17 | 2 | ||
Appendix A.3. Association of the Nodule Location and Diagnostic Class

| Nodule Position vs. Nodule Class | 2D | 3D | ||||||
|---|---|---|---|---|---|---|---|---|
| Training Set | Validation Set | Training Set | Validation Set | |||||
| p-value | Left lung 0.05 | Right lung 0.92 | Left lung 0.49 | Right lung 0.64 | Left lung 0.06 | Right lung 0.38 | Left lung 0.75 | Right lung 0.015 |
Appendix A.4. Deep Learning Performance across the Training Runs

Appendix A.5. The Accuracy of the Radiomic Models
| Dataset/Model | MNIS | MIntra-Tex | MPeri-Tex | Mshape | MAll |
|---|---|---|---|---|---|
| St | 0.73 ± 0.04 | 0.79 ± 0.03 | 0.78 ± 0.05 | 0.63 ± 0.03 | 0.82 ± 0.05 |
| Sv | 0.65 | 0.68 | 0.65 | 0.61 | 0.71 |
| Siv | 0.80 | 0.42 | 0.85 | 0.66 | 0.73 |
References
- Mukhopadhyay, S.; Gal, A.A. Granulomatous lung disease: An approach to the differential diagnosis. Arch. Pathol. Lab. Med. 2010, 134, 667–690. [Google Scholar] [CrossRef] [PubMed]
- Subramanian, J.; Govindan, R. Lung Cancer in Never Smokers: A Review. JCO 2007, 25, 561–570. [Google Scholar] [CrossRef] [PubMed]
- Starnes, S.L.; Reed, M.F.; Meyer, C.A.; Shipley, R.T.; Jazieh, A.-R.; Pina, E.M.; Redmond, K.; Huffman, L.C.; Pandalai, P.; Howington, J.A. Can lung cancer screening by computed tomography be effective in areas with endemic histoplasmosis? J. Thorac. Cardiovasc. Surg. 2011, 141, 688–693. [Google Scholar] [CrossRef] [PubMed][Green Version]
- Ambrosini, V.; Nicolini, S.; Caroli, P.; Nanni, C.; Massaro, A.; Marzola, M.C.; Rubello, D.; Fanti, S. PET/CT imaging in different types of lung cancer: An overview. Eur. J. Radiol. 2012, 81, 988–1001. [Google Scholar] [CrossRef] [PubMed]
- Martin, M.D.; Kanne, J.P.; Broderick, L.S.; Kazerooni, E.A.; Meyer, C.A. Lung-RADS: Pushing the Limits. Radiographics 2017, 37, 1975–1993. [Google Scholar] [CrossRef] [PubMed]
- Kaminetzky, M.; Milch, H.S.; Shmukler, A.; Kessler, A.; Peng, R.; Mardakhaev, E.; Bellin, E.Y.; Levsky, J.M.; Haramati, L.B. Effectiveness of Lung-RADS in Reducing False-Positive Results in a Diverse, Underserved, Urban Lung Cancer Screening Cohort. J. Am. Coll. Radiol. 2019, 16, 419–426. [Google Scholar] [CrossRef] [PubMed]
- Carter, B.W.; Lichtenberger, J.P.; Wu, C.C.; Munden, R.F. Screening for Lung Cancer: Lexicon for Communicating With Health Care Providers. Am. J. Roentgenol. 2018, 210, 473–479. [Google Scholar] [CrossRef]
- Fraioli, F.; Serra, G.; Passariello, R. CAD (computed-aided detection) and CADx (computer aided diagnosis) systems in identifying and characterising lung nodules on chest CT: Overview of research, developments and new prospects. Radiol. Med. 2010, 115, 385–4020. [Google Scholar] [CrossRef]
- Parmar, C.; Grossmann, P.; Bussink, J.; Lambin, P.; Aerts, H.J.W.L. Machine Learning methods for Quantitative Radiomic Biomarkers. Sci. Rep. 2015, 5, 13087. [Google Scholar] [CrossRef]
- Thawani, R.; McLane, M.; Beig, N.; Ghose, S.; Prasanna, P.; Velcheti, V.; Madabhushi, A. Radiomics and radiogenomics in lung cancer: A review for the clinician. Lung Cancer 2018, 115, 34–41. [Google Scholar] [CrossRef]
- Chen, C.-H.; Chang, C.-K.; Tu, C.-Y.; Liao, W.-C.; Wu, B.-R.; Chou, K.-T.; Chiou, Y.-R.; Yang, S.-N.; Zhang, G.; Huang, T.-C. Radiomic features analysis in computed tomography images of lung nodule classification. PLoS ONE 2018, 13, e0192002. [Google Scholar] [CrossRef] [PubMed]
- Hawkins, S.; Wang, H.; Liu, Y.; Garcia, A.; Stringfield, O.; Krewer, H.; Li, Q.; Cherezov, D.; Gatenby, R.A.; Balagurunathan, Y.; et al. Predicting Malignant Nodules from Screening CT Scans. J. Thorac. Oncol. 2016, 11, 2120–2128. [Google Scholar] [CrossRef]
- Gillies, R.J.; Kinahan, P.E.; Hricak, H. Radiomics: Images Are More than Pictures, They Are Data. Radiolology 2015, 278, 563–577. [Google Scholar] [CrossRef]
- Alilou, M.; Beig, N.; Orooji, M.; Rajiah, P.; Velcheti, V.; Rakshit, S.; Reddy, N.; Yang, M.; Jacono, F.; Gilkeson, R.C.; et al. An integrated segmentation and shape-based classification scheme for distinguishing adenocarcinomas from granulomas on lung CT. Med. Phys. 2017, 44, 3556–3569. [Google Scholar] [CrossRef] [PubMed]
- Shah, S.K.; McNitt-Gray, M.F.; Rogers, S.R.; Goldin, J.G.; Suh, R.D.; Sayre, J.W.; Petkovska, I.; Kim, H.J.; Aberle, D.R. Computer-aided Diagnosis of the Solitary Pulmonary Nodule. Acad. Radiol. 2005, 12, 570–575. [Google Scholar] [CrossRef] [PubMed]
- Ganeshan, B.; Panayiotou, E.; Burnand, K.; Dizdarevic, S.; Miles, K. Tumour heterogeneity in non-small cell lung carcinoma assessed by CT texture analysis: A potential marker of survival. Eur. Radiol. 2012, 22, 796–802. [Google Scholar] [CrossRef] [PubMed]
- Ravanelli, M.; Farina, D.; Morassi, M.; Roca, E.; Cavalleri, G.; Tassi, G.; Maroldi, R. Texture analysis of advanced non-small cell lung cancer (NSCLC) on contrast-enhanced computed tomography: Prediction of the response to the first-line chemotherapy. Eur. Radiol. 2013, 23, 3450–3455. [Google Scholar] [CrossRef]
- Dennie, C.; Thornhill, R.; Sethi-Virmani, V.; Souza, C.A.; Bayanati, H.; Gupta, A.; Maziak, D. Role of quantitative computed tomography texture analysis in the differentiation of primary lung cancer and granulomatous nodules. Quant. Imaging Med. Surg. 2016, 6, 6–15. [Google Scholar] [CrossRef] [PubMed]
- Pelletier, M.P.; Edwardes, M.D.D.; Michel, R.P.; Halwani, F.; Morin, J.E. Prognostic markers in resectable non-small cell lung cancer: A multivariate analysis. Can. J. Surg. 2001, 44, 180–188. [Google Scholar] [PubMed]
- Beig, N.; Khorrami, M.; Alilou, M.; Prasanna, P.; Braman, N.; Orooji, M.; Rakshit, S.; Bera, K.; Rajiah, P.; Ginsberg, J.; et al. Perinodular and Intranodular Radiomic Features on Lung CT Images Distinguish Adenocarcinomas from Granulomas. Radiology 2019, 290, 783–792. [Google Scholar] [CrossRef] [PubMed]
- LeCun, Y.; Bengio, Y.; Hinton, G. Deep learning. Nature 2015, 521, 436–444. [Google Scholar] [CrossRef] [PubMed]
- Ciompi, F.; Chung, K.; Van Riel, S.J.; Setio, A.A.A.; Gerke, P.K.; Jacobs, C.; Scholten, E.T.; Schaefer-Prokop, C.; Wille, M.M.W.; Marchianò, A.; et al. Towards automatic pulmonary nodule management in lung cancer screening with deep learning. Sci. Rep. 2017, 7, 46479. [Google Scholar] [CrossRef]
- Shen, W.; Zhou, M.; Yang, F.; Yang, C.; Tian, J. Multi-scale Convolutional Neural Networks for Lung Nodule Classification. Inf. Process. Med. Imaging 2015, 24, 588–599. [Google Scholar] [PubMed]
- Setio, A.A.A.; Ciompi, F.; Litjens, G.; Gerke, P.; Jacobs, C.; Van Riel, S.J.; Wille, M.M.W.; Naqibullah, M.; Sanchez, C.I.; Van Ginneken, B. Pulmonary Nodule Detection in CT Images: False Positive Reduction Using Multi-View Convolutional Networks. IEEE Trans. Med. Imaging 2016, 35, 1160–1169. [Google Scholar] [CrossRef]
- Teramoto, A.; Fujita, H.; Yamamuro, O.; Tamaki, T. Automated detection of pulmonary nodules in PET/CT images: Ensemble false-positive reduction using a convolutional neural network technique. Med. Phys. 2016, 43, 2821–2827. [Google Scholar] [CrossRef] [PubMed]
- Setio, A.A.A.; Traverso, A.; de Bel, T.; Berens, M.S.; Bogaard, C.V.D.; Cerello, P.; Chen, H.; Dou, Q.; Fantacci, M.E.; Geurts, B.; et al. Validation, comparison, and combination of algorithms for automatic detection of pulmonary nodules in computed tomography images: The LUNA16 challenge. Med. Image Anal. 2017, 42, 1–13. [Google Scholar] [CrossRef] [PubMed]
- Sim, Y.; Chung, M.J.; Kotter, E.; Yune, S.; Kim, M.; Do, S.; Han, K.; Kim, H.; Yang, S.; Lee, D.-J.; et al. Deep Convolutional Neural Network–based Software Improves Radiologist Detection of Malignant Lung Nodules on Chest Radiographs. Radiolology 2020, 294, 199–209. [Google Scholar] [CrossRef]
- Ardila, D.; Kiraly, A.P.; Bharadwaj, S.; Choi, B.; Reicher, J.J.; Peng, L.; Tse, D.; Etemadi, M.; Ye, W.; Corrado, G.; et al. End-to-end lung cancer screening with three-dimensional deep learning on low-dose chest computed tomography. Nat. Med. 2019, 25, 954–961. [Google Scholar] [CrossRef] [PubMed]
- Brambilla, E.; Le Teuff, G.; Marguet, S.; Lantuejoul, S.; Dunant, A.; Graziano, S.; Pirker, R.; Douillard, J.-Y.; Le Chevalier, T.; Filipits, M.; et al. Prognostic Effect of Tumor Lymphocytic Infiltration in Resectable Non–Small-Cell Lung Cancer. J. Clin. Oncol. 2016, 34, 1223–1230. [Google Scholar] [CrossRef] [PubMed]
- Prasanna, P.; Tiwari, P.; Madabhushi, A. Co-occurrence of Local Anisotropic Gradient Orientations (CoLlAGe): A new radiomics descriptor. Sci. Rep. 2016, 6, 37241. [Google Scholar] [CrossRef] [PubMed]
- Orooji, M.; Alilou, M.; Rakshit, S.; Beig, N.G.; Khorrami, M.; Rajiah, P.; Thawani, R.; Ginsberg, J.; Donatelli, C.; Yang, M.; et al. Combination of computer extracted shape and texture features enables discrimination of granulomas from adenocarcinoma on chest computed tomography. J. Med. Imaging 2018, 5, 024501. [Google Scholar] [CrossRef] [PubMed]
- Alilou, M.; Orooji, M.; Beig, N.; Prasanna, P.; Rajiah, P.; Donatelli, C.; Velcheti, V.; Rakshit, S.; Yang, M.; Jacono, F.; et al. Quantitative vessel tortuosity: A potential CT imaging biomarker for distinguishing lung granulomas from adenocarcinomas. Sci. Rep. 2018, 8, 15290. [Google Scholar] [CrossRef] [PubMed]
- Fedorov, A.; Beichel, R.; Kalpathy-Cramer, J.; Finet, J.; Fillion-Robin, J.-C.; Pujol, S.; Bauer, C.; Jennings, M.; Fennessy, F.; Sonka, M.; et al. 3D Slicer as an image computing platform for the Quantitative Imaging Network. Magn. Reson. Imaging 2012, 30, 1323–1341. [Google Scholar] [CrossRef] [PubMed]
- Van Timmeren, J.E.; Leijenaar, R.T.; van Elmpt, W.; Wang, J.; Zhang, Z.; Dekker, A.; Lambin, P. Test–Retest Data for Radiomics Feature Stability Analysis: Generalizable or Study-Specific? Tomography 2016, 2, 361–365. [Google Scholar] [CrossRef]
- Armato, S.G.; Meyer, C.R.; McNitt-Gray, M.F.; McLennan, G.; Reeves, A.P.; Croft, B.Y.; Clarke, L.P. The Reference Image Database to Evaluate Response to Therapy in Lung Cancer (RIDER) Project: A Resource for the Development of Change-Analysis Software. Clin. Pharmacol. Ther. 2008, 84, 448–456. [Google Scholar] [CrossRef] [PubMed]
- Cortes, C.; Vapnik, V. Support-vector networks. Mach. Learn. 1995, 20, 273–297. [Google Scholar] [CrossRef]
- Haralick, R.M.; Shanmugam, K.; Dinstein, I. Textural Features for Image Classification. IEEE Trans. Syst. Man Cybern. 1973, SMC-3, 610–621. [Google Scholar] [CrossRef]
- Kamarainen, J.-K. Gabor features in image analysis. In Proceedings of the 2012 3rd International Conference on Image Processing Theory, Tools and Applications (IPTA), Istanbul, Turkey, 15–18 October 2012. [Google Scholar] [CrossRef]
- Laws, K.I. Textured Image Segmentation; IPI Report 940; University of Southern California: California, LA, USA, 1980. [Google Scholar]
- LeCun, Y.; Bottou, L.; Bengio, Y.; Haffner, P. Gradient-based learning applied to document recognition. Proc. IEEE 1998, 86, 2278–2324. [Google Scholar] [CrossRef]
- Das, A.; Agrawal, H.; Zitnick, L.; Parikh, D.; Batra, D. Human Attention in Visual Question Answering: Do Humans and Deep Networks Look at the Same Regions? Comput. Vis. Image Underst. 2017, 163, 90–100. [Google Scholar] [CrossRef]
- The National Lung Screening Trial Research Team. Reduced Lung-Cancer Mortality with Low-Dose Computed Tomographic Screening. N. Engl. J. Med. 2011, 365, 395–409. [Google Scholar] [CrossRef] [PubMed]
- Singh, S.; Pinsky, P.; Fineberg, N.S.; Gierada, D.S.; Garg, K.; Sun, Y.; Nath, P.H. Evaluation of Reader Variability in the Interpretation of Follow-up CT Scans at Lung Cancer Screening. Radiology 2011, 259, 263–270. [Google Scholar] [CrossRef]
- Leijenaar, R.T.H.; Carvalho, S.; Velazquez, E.R.; Van Elmpt, W.J.C.; Parmar, C.; Hoekstra, O.S.; Hoekstra, C.J.; Boellaard, R.; Dekker, A.L.A.J.; Gillies, R.J.; et al. Stability of FDG-PET Radiomics features: An integrated analysis of test-retest and inter-observer variability. Acta Oncol. 2013, 52, 1391–1397. [Google Scholar] [CrossRef]
- Clark, A.G.; Vignjevic, D.M. Modes of cancer cell invasion and the role of the microenvironment. Curr. Opin. Cell Biol. 2015, 36, 13–22. [Google Scholar] [CrossRef] [PubMed]
- Shah, K.K.; Pritt, B.S.; Alexander, M.P. Histopathologic review of granulomatous inflammation. J. Clin. Tuberc. Other Mycobact. Dis. 2017, 7, 1–12. [Google Scholar] [CrossRef] [PubMed]
- Shin, H.J.; Park, J.Y.; Shin, K.C.; Kim, H.H.; Cha, J.H.; Chae, E.Y.; Choi, W.J. Characterization of tumor and adjacent peritumoral stroma in patients with breast cancer using high-resolution diffusion-weighted imaging: Correlation with pathologic biomarkers. Eur. J. Radiol. 2016, 85, 1004–1011. [Google Scholar] [CrossRef] [PubMed]
- Coroller, T.P.; Grossmann, P.; Hou, Y.; Velazquez, E.R.; Leijenaar, R.T.; Hermann, G.; Lambin, P.; Haibe-Kains, B.; Mak, R.H.; Aerts, H.J. CT-based radiomic signature predicts distant metastasis in lung adenocarcinoma. Radiother. Oncol. 2015, 114, 345–350. [Google Scholar] [CrossRef]
- Zhao, B.; Tan, Y.; Tsai, W.-Y.; Qi, J.; Xie, C.; Lu, L.; Schwartz, L.H. Reproducibility of radiomics for deciphering tumor phenotype with imaging. Sci. Rep. 2016, 6, 23428. [Google Scholar] [CrossRef] [PubMed]
- Shen, C.; Liu, Z.; Guan, M.; Song, J.; Lian, Y.; Wang, S.; Tang, Z.; Dong, D.; Kong, L.; Wang, M.; et al. 2D and 3D CT Radiomics Features Prognostic Performance Comparison in Non-Small Cell Lung Cancer. Transl. Oncol. 2017, 10, 886–894. [Google Scholar] [CrossRef] [PubMed]
- Kumar, D.; Wong, A.; Clausi, D.A. Lung Nodule Classification Using Deep Features in CT Images. In Proceedings of the 2015 12th Conference on Computer and Robot Vision, Halifax, NS, Canada, 3–5 June 2015; pp. 133–138. [Google Scholar] [CrossRef]
- Van Riel, S.J.; Jacobs, C.; Scholten, E.T.; Wittenberg, R.; Wille, M.M.W.; De Hoop, B.; Sprengers, R.; Mets, O.M.; Geurts, B.; Prokop, M.; et al. Observer variability for Lung-RADS categorisation of lung cancer screening CTs: Impact on patient management. Eur. Radiol. 2019, 29, 924–931. [Google Scholar] [CrossRef] [PubMed]
- Li, Q.; Balagurunathan, Y.; Liu, Y.; Qi, J.; Schabath, M.; Ye, Z.; Gillies, R.J. Comparison Between Radiological Semantic Features and Lung-RADS in Predicting Malignancy of Screen-Detected Lung Nodules in the National Lung Screening Trial. Clin. Lung Cancer 2018, 19, 148–156.e3. [Google Scholar] [CrossRef]
- Kibria, R.; Bari, K.; Ali, S.A.; Barde, C.J. “Ohio River Valley Fever” Presenting as Isolated Granulomatous Hepatitis: A Case Report. South. Med. J. 2009, 102, 656–658. [Google Scholar] [CrossRef] [PubMed]
- Deppen, S.A.; Blume, J.D.; Kensinger, C.D.; Morgan, A.M.; Aldrich, M.C.; Massion, P.P.; Walker, R.C.; McPheeters, M.L.; Putnam, J.B.; Grogan, E.L. Accuracy of FDG-PET to Diagnose Lung Cancer in Areas with Infectious Lung Disease. JAMA 2014, 312, 1227–1236. [Google Scholar] [CrossRef] [PubMed]










| Dataset | MNIS | MIntra-Tex | MPeri-Tex | MShape | MAll |
|---|---|---|---|---|---|
| St | 0.83 ± 0.04 | 0.84 ± 0.04 | 0.82 ± 0.05 | 0.65 ± 0.05 | 0.91 ± 0.03 |
| Sv | 0.77 | 0.73 | 0.71 | 0.64 | 0.80 |
| Siv | 0.71 | 0.62 | 0.63 | 0.66 | 0.70 |
| Suspicious Cases | MNIS Benignity | Downgraded Cases | Downgrade Ratio | TP | FP | NIS_Benefit |
|---|---|---|---|---|---|---|
| 135 | 0.58 | 62 | 46% | 46 | 16 | 0.74 |
| 135 | 0.68 | 60 | 44% | 45 | 15 | 0.75 |
| 135 | 0.88 | 51 | 38% | 39 | 12 | 0.76 |
| 135 | 0.98 | 36 | 27% | 30 | 6 | 0.83 |
Publisher’s Note: MDPI stays neutral with regard to jurisdictional claims in published maps and institutional affiliations. |
© 2021 by the authors. Licensee MDPI, Basel, Switzerland. This article is an open access article distributed under the terms and conditions of the Creative Commons Attribution (CC BY) license (https://creativecommons.org/licenses/by/4.0/).
Share and Cite
Alilou, M.; Prasanna, P.; Bera, K.; Gupta, A.; Rajiah, P.; Yang, M.; Jacono, F.; Velcheti, V.; Gilkeson, R.; Linden, P.; et al. A Novel Nodule Edge Sharpness Radiomic Biomarker Improves Performance of Lung-RADS for Distinguishing Adenocarcinomas from Granulomas on Non-Contrast CT Scans. Cancers 2021, 13, 2781. https://doi.org/10.3390/cancers13112781
Alilou M, Prasanna P, Bera K, Gupta A, Rajiah P, Yang M, Jacono F, Velcheti V, Gilkeson R, Linden P, et al. A Novel Nodule Edge Sharpness Radiomic Biomarker Improves Performance of Lung-RADS for Distinguishing Adenocarcinomas from Granulomas on Non-Contrast CT Scans. Cancers. 2021; 13(11):2781. https://doi.org/10.3390/cancers13112781
Chicago/Turabian StyleAlilou, Mehdi, Prateek Prasanna, Kaustav Bera, Amit Gupta, Prabhakar Rajiah, Michael Yang, Frank Jacono, Vamsidhar Velcheti, Robert Gilkeson, Philip Linden, and et al. 2021. "A Novel Nodule Edge Sharpness Radiomic Biomarker Improves Performance of Lung-RADS for Distinguishing Adenocarcinomas from Granulomas on Non-Contrast CT Scans" Cancers 13, no. 11: 2781. https://doi.org/10.3390/cancers13112781
APA StyleAlilou, M., Prasanna, P., Bera, K., Gupta, A., Rajiah, P., Yang, M., Jacono, F., Velcheti, V., Gilkeson, R., Linden, P., & Madabhushi, A. (2021). A Novel Nodule Edge Sharpness Radiomic Biomarker Improves Performance of Lung-RADS for Distinguishing Adenocarcinomas from Granulomas on Non-Contrast CT Scans. Cancers, 13(11), 2781. https://doi.org/10.3390/cancers13112781

