Complex Renal Cysts (Bosniak ≥ IIF): Outcomes in a Population-Based Cohort Study
Simple Summary
Abstract
1. Introduction
- To analyse the long-term overall and renal cancer-specific survival outcome of patients with complex cysts, and to compare survival between surgically versus conservatively managed cysts;
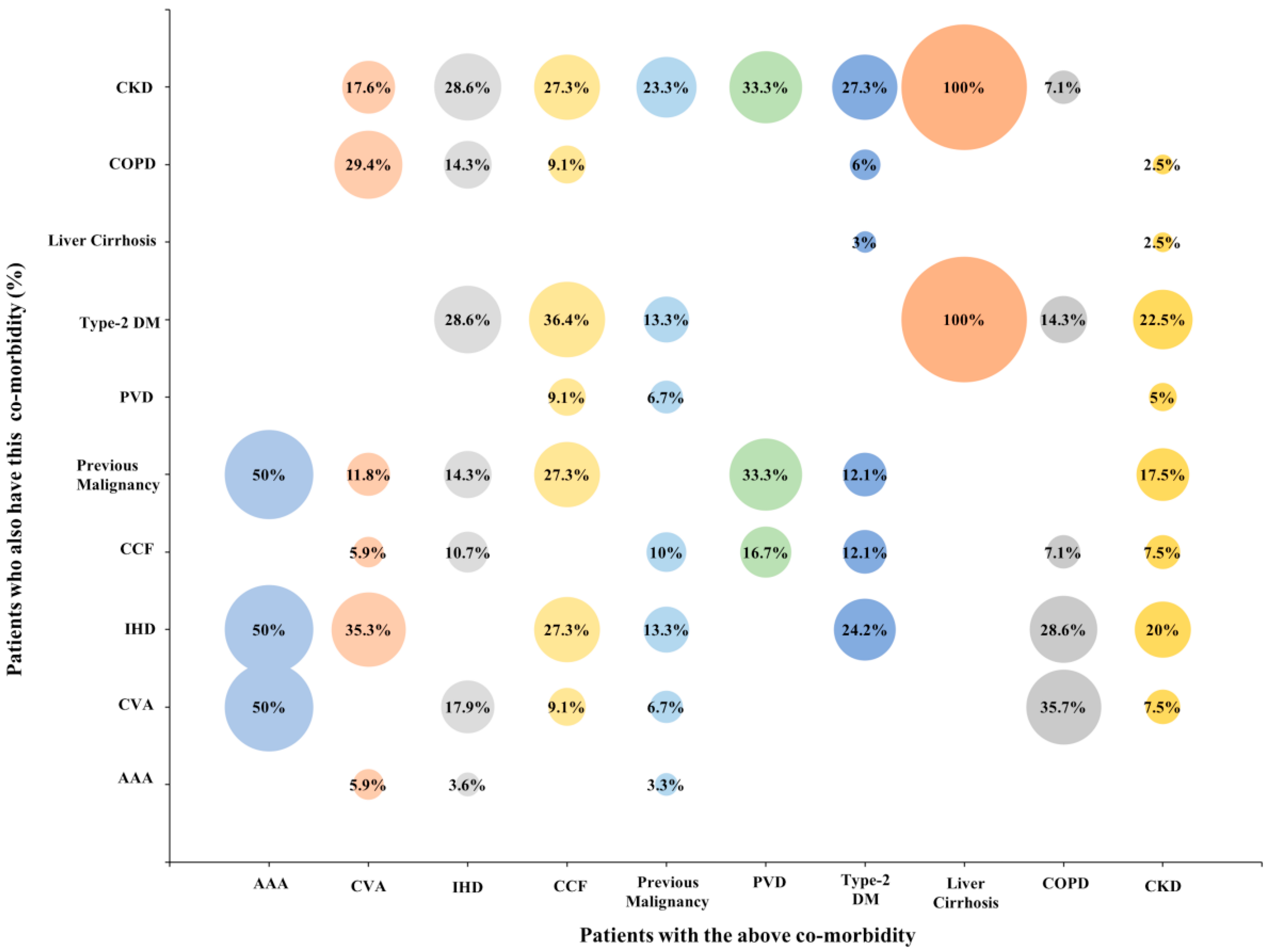
- To examine the distribution of comorbidity in this patient cohort and its impact on survival outcome.
2. Results
2.1. Overview of Complex Cysts
2.2. Survival
2.2.1. Renal Cancer-Specific Survival—Surgical Versus Conservative Management in Bosniak III and IV Cysts
2.2.2. Overall Survival—Associations with Unrelated Cause of Death
3. Discussion
4. Methods
4.1. Definition of Population Cohort
4.2. Data Collection
4.3. Follow-up Protocol
4.4. Imaging Protocol
4.5. Survival Analyses
5. Conclusions
Author Contributions
Funding
Acknowledgments
Conflicts of Interest
Appendix A

Appendix B
| Statistic | Observed Value | Critical Value | p-Value | alpha |
|---|---|---|---|---|
| Surgical versus conservative management (renal cancer-specific survival) | ||||
| Log-rank | 0.367 | 3.841 | 0.544 | 0.050 |
| Wilcoxon | 0.524 | 3.841 | 0.469 | 0.050 |
| ≥2 Comorbidities versus <2 comorbidities (overall survival) | ||||
| Log-rank | 9.226 | 5.991 | 0.010 | 0.050 |
| Wilcoxon | 8.058 | 5.991 | 0.018 | 0.050 |
| ≥2 Comorbidities versus <2 comorbidities (Bosniak III and IV cysts; overall survival) | ||||
| Log-rank | 9.226 | 5.991 | 0.010 | 0.050 |
| Wilcoxon | 8.058 | 5.991 | 0.018 | 0.050 |
Appendix C
| Variable | Value | Standard Error | Wald Chi-Square | p-Value | Hazard Ratio | Hazard Ratio Lower Bound (95%) | Hazard Ratio Upper Bound (95%) |
|---|---|---|---|---|---|---|---|
| Bosniak ≥ IIF cysts | |||||||
| Age ( 70 years) | 1.598 | 0.314 | 25.890 | <0.0001 | 4.945 | 2.672 | 9.153 |
| Female | −0.469 | 0.283 | 2.747 | 0.097 | 0.691 | 0.359 | 1.090 |
| Bosniak III | 0.241 | 0.318 | 0.575 | 0.448 | 1.206 | 0.683 | 2.371 |
| Bosniak IV | 0.947 | 0.297 | 10.184 | 0.001 | 2.578 | 1.441 | 4.613 |
| Two or more comorbidities | 1.193 | 0.277 | 18.501 | <0.0001 | 3.296 | 1.914 | 5.675 |
| Bosniak III and IV cysts | |||||||
| Age (70 years) | 1.613 | 0.387 | 17.368 | <0.0001 | 5.020 | 2.350 | 10.721 |
| Female | −0.827 | 0.347 | 5.670 | 0.017 | 0.438 | 0.222 | 0.864 |
| Bosniak IV | 0.733 | 0.320 | 5.253 | 0.022 | 2.082 | 1.112 | 3.899 |
| Two or more comorbidities | 1.061 | 0.345 | 9.468 | 0.002 | 2.890 | 1.470 | 5.681 |
| Bosniak ≥ IIF cysts (comorbidities as single variables) | |||||||
| Age | 0.063 | 0.017 | 14.081 | 0.000 | 1.065 | 1.031 | 1.101 |
| Female | −0.391 | 0.320 | 1.499 | 0.221 | 0.676 | 0.361 | 1.265 |
| Bosniak III | 0.001 | 0.367 | 0.000 | 0.997 | 1.001 | 0.488 | 2.055 |
| Bosniak IV | 0.720 | 0.338 | 4.545 | 0.033 | 2.055 | 1.060 | 3.984 |
| Abdominal Aortic Aneurysm | 0.867 | 1.071 | 0.656 | 0.418 | 2.380 | 0.292 | 19.411 |
| Cerebrovascular disease | 0.492 | 0.497 | 0.982 | 0.322 | 1.635 | 0.618 | 4.328 |
| Ischaemic Hear Disease | 0.963 | 0.365 | 6.941 | 0.008 | 2.619 | 1.280 | 5.360 |
| Heart Failure | 0.868 | 0.490 | 3.131 | 0.077 | 2.381 | 0.911 | 6.227 |
| Previous Malignancy | 0.750 | 0.346 | 4.694 | 0.030 | 2.117 | 1.074 | 4.172 |
| Peripheral Vascular Disease | 1.283 | 0.606 | 4.479 | 0.034 | 3.607 | 1.099 | 11.832 |
| Type-2 Diabetes Mellitus | 0.075 | 0.465 | 0.026 | 0.872 | 1.078 | 0.433 | 2.681 |
| Liver Cirrhosis | −15.363 | 1761.730 | 0.000 | 0.993 | 0.00 | 0.000 | - |
| Chronic Obstructive Pulmonary Disease | 1.007 | 0.508 | 3.931 | 0.047 | 2.736 | 1.012 | 7.402 |
| Chronic Kidney Disease | 0.889 | 0.311 | 8.154 | 0.004 | 2.432 | 1.321 | 4.476 |
References
- Bosniak, M. The Bosniak Renal Cyst Classification: 25 Years Later. Radiology 2012, 262, 781–785. [Google Scholar] [CrossRef] [PubMed]
- Curry, N.; Cochran, S.; Bissada, N. Cystic Renal Masses: Accurate Bosniak Classification Requires Adequate Renal CT. AJR Am. J. Roentgenol. 2000, 175, 339–342. [Google Scholar] [CrossRef] [PubMed]
- Tames, A.; Fonseca, E.; Yamauchi, F.; Arrais, G.; Andrade, T.; Baroni, R. Progression rate in Bosniak category IIF complex renal cysts. Radiol. Bras. 2019, 52, 155–160. [Google Scholar] [CrossRef] [PubMed]
- Hindman, N.; Hecht, E.; Bosniak, M. Follow-up for Bosniak Category 2F Cystic Renal Lesions. Radiology 2014, 272, 757–766. [Google Scholar] [CrossRef]
- El-Mokadem, I.; Budak, M.; Pillai, S.; Lang, S.; Doull, R.; Goodman, C.; Nabi, G. Progression, interobserver agreement, and malignancy rate in complex renal cysts (≥Bosniak category IIF). Urol. Oncol. Semin. Orig. Investig. 2014, 32, 24.e21–24.e27. [Google Scholar] [CrossRef]
- Lucocq, J.; Pillai, S.; Oparka, R.; Nabi, G. Complex renal cysts (Bosniak ≥ IIF): Interobserver agreement, Progression and Malignancy rates. Eur. Radiol. 2020, 1–8, in press. [Google Scholar]
- Bata, P.; Tarnoki, A.; Tarnoki, D.; Szasz, A.M.; Poloskei, G.; Fejer, B.; Gyebnar, J.; Nyirady, P.; Berczi, V.; Karlinger, K.; et al. Bosniak category III cysts are more likely to be malignant than we expected in the era of multidetector computed tomography technology. J. Res. Med Sci. 2014, 19, 634–638. [Google Scholar]
- O’Malley, R.; Godoy, G.; Hecht, E.; Stifelman, M.; Taneja, S. Bosniak Category IIF Designation and Surgery for Complex Renal Cysts. J. Urol. 2009, 182, 1091–1095. [Google Scholar] [CrossRef]
- Schoots, I.; Zaccai, K.; Hunink, M.; Verhagen, P. Bosniak Classification for Complex Renal Cysts Reevaluated: A Systematic Review. J. Urol. 2017, 198, 12–21. [Google Scholar] [CrossRef]
- Cloix, P.; Martin, X.; Pangaud, C.; Marechal, J.-M.; Bouvier, R.; Barat, D.; Dubernard, J.-M. Surgical Management of Complex Renal Cysts: A Series of 32 Cases. J. Urol. 1996, 156, 28–30. [Google Scholar] [CrossRef]
- Sevcenco, S.; Spick, C.; Helbich, T.; Heinz, G.; Shariat, S.F.; Klingler, H.C.; Baltzer, P.A. Malignancy rates and diagnostic performance of the Bosniak classification for the diagnosis of cystic renal lesions in computed tomography—A systematic review and meta-analysis. Eur. Radiol. 2016, 27, 2239–2247. [Google Scholar] [CrossRef] [PubMed]
- Ishigami, K.; Leite, L.; Pakalniskis, M.; Lee, D.; Holanda, D.; Kuehn, D. Tumor grade of clear cell renal cell carcinoma assessed by contrast-enhanced computed tomography. SpringerPlus 2014, 3, 694. [Google Scholar] [CrossRef] [PubMed]
- Boissier, R.; Ouzaid, I.; Nouhaud, F.X.; Khene, Z.; Dariane, C.; Chkir, S.; Chelly, S.; Giwerc, A.; Allenet, C.; Lefrancq, J.B.; et al. Long-term oncological outcomes of cystic renal cell carcinoma according to the Bosniak classification. Int. Urol. Nephrol. 2019, 51, 951–958. [Google Scholar] [CrossRef] [PubMed]
- Chandrasekar, T.; Ahmad, A.; Fadaak, K.; Jhaveri, K.; Bhatt, J.R.; Jewett, M.A.; Finelli, A. Natural History of Complex Renal Cysts: Clinical Evidence Supporting Active Surveillance. J. Urol. 2018, 199, 633–640. [Google Scholar] [CrossRef]
- Siegel, C.; McFarland, E.; Brink, J.; Fisher, A.; Humphrey, P.; Heiken, J. CT of Cystic Renal Masses: Analysis of Diagnostic Performance and Interobserver Variation. J. Urol. 1998, 159, 1401. [Google Scholar] [CrossRef]
- Harisinghani, M.; Maher, M.; Gervais, D.A.; McGovern, F.; Hahn, P.; Jhaveri, K.; Varghese, J.; Mueller, P.R. Incidence of Malignancy in Complex Cystic Renal Masses (Bosniak Category III): Should Imaging-Guided Biopsy Precede Surgery? AJR Am. J. Roentgenol. 2003, 180, 755–758. [Google Scholar] [CrossRef]
- Graumann, O.; Osther, S.; Osther, P. Characterization of complex renal cysts: A critical evaluation of the Bosniak classification. Scand. J. Urol. Nephrol. 2010, 45, 84–90. [Google Scholar] [CrossRef]
- Smith, A.; Allen, B.; Sanyal, R.; Carson, J.D.; Zhang, H.; Williams, J.H.; Collins, C.; Griswold, M.; Zhang, X. Outcomes and Complications Related to the Management of Bosniak Cystic Renal Lesions. AJR Am. J. Roentgenol. 2015, 204, 550–556. [Google Scholar] [CrossRef]
- Barnett, K.; Mercer, S.; Norbury, M.; Watt, G.; Wyke, S.; Guthrie, B. Epidemiology of multimorbidity and implications for health care, research, and medical education: A cross-sectional study. Lancet 2012, 380, 37–43. [Google Scholar] [CrossRef]
- Mercer, S.; Watt, G. The Inverse Care Law: Clinical Primary Care Encounters in Deprived and Affluent Areas of Scotland. Ann. Fam. Med. 2007, 5, 503–510. [Google Scholar] [CrossRef]
- Van Weel, C.; Schellevis, F. Comorbidity and guidelines: Conflicting interests. Lancet 2006, 367, 550–551. [Google Scholar] [CrossRef]
- National Records of Scotland. ‘Mid-Year Population Estimates Scotland, Mid-2017’. 2018. Available online: https://www.nrscotland.gov.uk/files//statistics/population-estimates/mid-17/mid-year-pop-est-17-publication-revised.pdf (accessed on 3 July 2020).
- Charlson, M.; Pompei, P.; Alex, K.; MacKenzie, C. A new method of classifying prognostic comorbidity in longitudinal studies: Development and validation. J. Chronic Dis. 1987, 40, 373–383. [Google Scholar] [CrossRef]






© 2020 by the authors. Licensee MDPI, Basel, Switzerland. This article is an open access article distributed under the terms and conditions of the Creative Commons Attribution (CC BY) license (http://creativecommons.org/licenses/by/4.0/).
Share and Cite
Lucocq, J.; Pillai, S.; Oparka, R.; Nabi, G. Complex Renal Cysts (Bosniak ≥ IIF): Outcomes in a Population-Based Cohort Study. Cancers 2020, 12, 2549. https://doi.org/10.3390/cancers12092549
Lucocq J, Pillai S, Oparka R, Nabi G. Complex Renal Cysts (Bosniak ≥ IIF): Outcomes in a Population-Based Cohort Study. Cancers. 2020; 12(9):2549. https://doi.org/10.3390/cancers12092549
Chicago/Turabian StyleLucocq, James, Sanjay Pillai, Richard Oparka, and Ghulam Nabi. 2020. "Complex Renal Cysts (Bosniak ≥ IIF): Outcomes in a Population-Based Cohort Study" Cancers 12, no. 9: 2549. https://doi.org/10.3390/cancers12092549
APA StyleLucocq, J., Pillai, S., Oparka, R., & Nabi, G. (2020). Complex Renal Cysts (Bosniak ≥ IIF): Outcomes in a Population-Based Cohort Study. Cancers, 12(9), 2549. https://doi.org/10.3390/cancers12092549

