Gestational Zearalenone Exposure Causes Reproductive and Developmental Toxicity in Pregnant Rats and Female Offspring
Abstract
1. Introduction
2. Results
2.1. ZEN Effects on Development and Reproduction of Pregnant Rats
2.2. Effects on BW and Growth Performance of F1 Female Rats
2.3. Effects on Serum Hormone Levels of Maternal and F1 Adult Rats
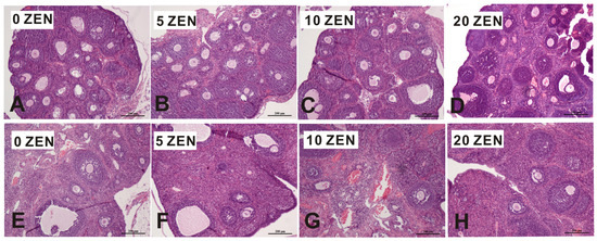
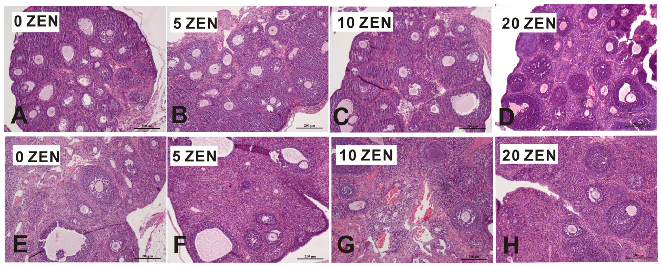
2.4. Histopathological Analysis of F1 Reproductive Organs
2.5. Effects on mRNA Expressions of ABC Transporters and Hormone Related Genes
2.6. Effects on Protein Expressions of 3β-HSD and Esr1 in Adult Ovaries and Uterus
3. Discussion
4. Conclusions
5. Materials and Methods
5.1. Animals and Experimental Procedures
5.2. Hormone Levels Detection
5.3. Histopathological Analyses
5.4. Total RNA Extraction and qPCR
5.5. Western Blotting Analyses
5.6. Statistical Analysis
Supplementary Materials
Acknowledgments
Author Contributions
Conflicts of Interest
References
- Bennett, J.; Klich, M. Chotoxins. Clin. Microbiol. Rev. 2003, 16, 497–516. [Google Scholar] [CrossRef] [PubMed]
- Richard, J.L. Some major mycotoxins and their mycotoxicoses—An overview. Int. J. Food Microbiol. 2007, 119, 3–10. [Google Scholar] [CrossRef] [PubMed]
- Zinedine, A.; Soriano, J.M.; Molto, J.C.; Manes, J. Review on the toxicity, occurrence, metabolism, detoxification, regulations and intake of zearalenone: An oestrogenic mycotoxin. Food Chem. Toxicol. 2007, 45, 1–18. [Google Scholar] [CrossRef] [PubMed]
- Hussein, H.S.; Brasel, J.M. Toxicity, metabolism, and impact of mycotoxins on humans and animals. Toxicology 2001, 167, 101–134. [Google Scholar] [CrossRef]
- Deng, F.; Tao, F.-B.; Liu, D.-Y.; Xu, Y.-Y.; Hao, J.-H.; Sun, Y.; Su, P.-Y. Effects of growth environments and two environmental endocrine disruptors on children with idiopathic precocious puberty. Eur. J. Endocrinol. 2012, 166, 803–809. [Google Scholar] [CrossRef] [PubMed]
- Fink-Gremmels, J.; Malekinejad, H. Clinical effects and biochemical mechanisms associated with exposure to the mycoestrogen zearalenone. Anim. Feed Sci. Technol. 2007, 137, 326–341. [Google Scholar] [CrossRef]
- Etienne, M.; Dourmad, J.-Y. Effects of zearalenone or glucosinolates in the diet on reproduction in sows: A review. Livest. Prod. Sci. 1994, 40, 99–113. [Google Scholar] [CrossRef]
- Mirocha, C.; Pathre, S.; Robison, T. Comparative metabolism of zearalenone and transmission into bovine milk. Food Cosmet. Toxicol. 1981, 19, 25–30. [Google Scholar] [CrossRef]
- Bovee, T.F.; Helsdingen, R.J.; Rietjens, I.M.; Keijer, J.; Hoogenboom, R.L. Rapid yeast estrogen bioassays stably expressing human estrogen receptors α and β, and green fluorescent protein: A comparison of different compounds with both receptor types. J. Steroid Biochem. Mol. Biol. 2004, 91, 99–109. [Google Scholar] [CrossRef] [PubMed]
- Metzler, M.; Pfeiffer, E.; Hildebrand, A. Zearalenone and its metabolites as endocrine disrupting chemicals. World Mycotoxin J. 2010, 3, 385–401. [Google Scholar] [CrossRef]
- Massart, F.; Saggese, G. Oestrogenic mycotoxin exposures and precocious pubertal development. Int. J. Androl. 2010, 33, 369–376. [Google Scholar] [CrossRef] [PubMed]
- Collins, T.F.; Sprando, R.L.; Black, T.N.; Olejnik, N.; Eppley, R.M.; Alam, H.Z.; Rorie, J.; Ruggles, D.I. Effects of zearalenone on in utero development in rats. Food Chem. Toxicol. 2006, 44, 1455–1465. [Google Scholar] [CrossRef] [PubMed]
- Kuiper-Goodman, T.; Scott, P.; Watanabe, H. Risk assessment of the mycotoxin zearalenone. Regul. Toxicol. Pharmacol. 1987, 7, 253–306. [Google Scholar] [CrossRef]
- D’mello, J.; Placinta, C.; Macdonald, A. Fusarium mycotoxins: A review of global implications for animal health, welfare and productivity. Anim. Feed Sci. Technol. 1999, 80, 183–205. [Google Scholar] [CrossRef]
- Nikaido, Y.; Yoshizawa, K.; Danbara, N.; Tsujita-Kyutoku, M.; Yuri, T.; Uehara, N.; Tsubura, A. Effects of maternal xenoestrogen exposure on development of the reproductive tract and mammary gland in female CD-1 mouse offspring. Reprod. Toxicol. 2004, 18, 803–811. [Google Scholar] [CrossRef] [PubMed]
- Yeo, A.; Smith, M.A.; Lin, D.; Riché, E.L.; Moore, A.; Elter, J.; Offenbacher, S. Campylobacter rectus mediates growth restriction in pregnant mice. J. Periodontol. 2005, 76, 551–557. [Google Scholar] [CrossRef] [PubMed]
- Pietz, J.; Peter, J.; Graf, R.; Rauterberg-Ruland, I.; Rupp, A.; Sontheimer, D.; Linderkamp, O. Physical growth and neurodevelopmental outcome of nonhandicapped low-risk children born preterm. Early Hum. Dev. 2004, 79, 131–143. [Google Scholar] [CrossRef] [PubMed]
- Manikkam, M.; Guerrero-Bosagna, C.; Tracey, R.; Haque, M.M.; Skinner, M.K. Transgenerational actions of environmental compounds on reproductive disease and identification of epigenetic biomarkers of ancestral exposures. PLoS ONE 2012, 7, e31901. [Google Scholar] [CrossRef] [PubMed]
- Young, L.; Ping, H.; King, G. Effects of feeding zearalenone to sows on rebreeding and pregnancy. J. Anim. Sci. 1990, 68, 15–20. [Google Scholar] [CrossRef] [PubMed]
- Zhang, Y.; Jia, Z.; Yin, S.; Shan, A.; Gao, R.; Qu, Z.; Liu, M.; Nie, S. Toxic effects of maternal zearalenone exposure on uterine capacity and fetal development in gestation rats. Reprod. Sci. 2014, 21, 743–753. [Google Scholar] [CrossRef] [PubMed]
- Kiessling, K.H.; Pettersson, H. Metabolism of zearalenone in rat liver. Acta Pharmacol. Toxicol. 1978, 43, 285–290. [Google Scholar] [CrossRef]
- Kippler, M.; Tofail, F.; Gardner, R.; Rahman, A.; Hamadani, J.D.; Bottai, M.; Vahter, M. Maternal cadmium exposure during pregnancy and size at birth: A prospective cohort study. Environ. Health Perspect. 2012, 120, 284–289. [Google Scholar] [CrossRef] [PubMed]
- Schoevers, E.J.; Santos, R.R.; Colenbrander, B.; Fink-Gremmels, J.; Roelen, B.A. Transgenerational toxicity of zearalenone in pigs. Reprod. Toxicol. 2012, 34, 110–119. [Google Scholar] [CrossRef] [PubMed]
- Zhao, F.; Li, R.; Xiao, S.; Diao, H.; Viveiros, M.M.; Song, X.; Ye, X. Postweaning exposure to dietary zearalenone, a mycotoxin, promotes premature onset of puberty and disrupts early pregnancy events in female mice. Toxicol. Sci. 2013, 132, 431–442. [Google Scholar] [CrossRef] [PubMed]
- Murphy, V.E.; Smith, R.; Giles, W.B.; Clifton, V.L. Endocrine regulation of human fetal growth: The role of the mother, placenta, and fetus. Endocr. Rev. 2006, 27, 141–169. [Google Scholar] [CrossRef] [PubMed]
- Wang, D.; Zhang, N.; Peng, Y.; Qi, D. Interaction of zearalenone and soybean isoflavone on the development of reproductive organs, reproductive hormones and estrogen receptor expression in prepubertal gilts. Anim. Reprod. Sci. 2010, 122, 317–323. [Google Scholar] [CrossRef] [PubMed]
- Alm, H.; Greising, T.; Brüssow, K.-P.; Torner, H.; Tiemann, U. The influence of the mycotoxins deoxynivalenol and zearalenol on in vitro maturation of pig oocytes and in vitro culture of pig zygotes. Toxicol. In Vitro 2002, 16, 643–648. [Google Scholar] [CrossRef]
- Nagai, A.; Ikeda, Y.; Aso, T.; Eto, K.; Ikeda, M.-A. Exposure of neonatal rats to diethylstilbestrol affects the expression of genes involved in ovarian differentiation. J. Med. Dent. Sci. 2003, 50, 35–40. [Google Scholar] [PubMed]
- Welt, C.K. Primary ovarian insufficiency: A more accurate term for premature ovarian failure. Clin. Endocrinol. 2008, 68, 499–509. [Google Scholar] [CrossRef] [PubMed]
- Cordts, E.B.; Christofolini, D.M.; Dos Santos, A.A.; Bianco, B.; Barbosa, C.P. Genetic aspects of premature ovarian failure: A literature review. Arch. Gynecol. Obstet. 2011, 283, 635–643. [Google Scholar] [CrossRef] [PubMed]
- Wasowicz, K.; Gajecka, M.; Calka, J.; Jakimiuk, E.; Gajecki, M. Influence of chronic administration of zearalenone on the processes of apoptosis in the porcine ovary. Vet. Med. Praha 2005, 50, 531. [Google Scholar]
- Otrocka-Domagala, I.; Rotkiewiczl, T.; Mikolajczyk, A.; Gajecka, M.; Polak, M. Influence of zearalenone on reproductive system cell proliferation in gilts. Pol. J. Vet. Sci. 2003, 6, 239–245. [Google Scholar]
- Carroll, J.; Walker, M.; Hartsfield, S.; Mcarthur, N.; Welsh, T. Visual documentation of ovine pituitary gland development with magnetic resonance imaging following zeranol treatment. Lab. Anim. 2007, 41, 120–127. [Google Scholar] [CrossRef] [PubMed]
- Chan, L.M.; Lowes, S.; Hirst, B.H. The ABCs of drug transport in intestine and liver: Efflux proteins limiting drug absorption and bioavailability. Eur. J. Pharm. Sci. 2004, 21, 25–51. [Google Scholar] [CrossRef] [PubMed]
- Leslie, E.M.; Deeley, R.G.; Cole, S.P. Multidrug resistance proteins: Role of P-glycoprotein, MRP1, MRP2, and BCRP (ABCG2) in tissue defense. Toxicol. Appl. Pharmacol. 2005, 204, 216–237. [Google Scholar] [CrossRef] [PubMed]
- Koraichi, F.; Videmann, B.; Mazallon, M.; Benahmed, M.; Prouillac, C.; Lecoeur, S. Zearalenone exposure modulates the expression of ABC transporters and nuclear receptors in pregnant rats and fetal liver. Toxicol. Lett. 2012, 211, 246–256. [Google Scholar] [CrossRef] [PubMed]
- Jedlitschky, G.; Burchell, B.; Keppler, D. The multidrug resistance protein 5 functions as an ATP-dependent export pump for cyclic nucleotides. J. Biol. Chem. 2000, 275, 30069–30074. [Google Scholar] [CrossRef] [PubMed]
- Andric, S.A.; Kostic, T.S.; Stojilkovic, S.S. Contribution of multidrug resistance protein MRP5 in control of cyclic guanosine 5′-monophosphate intracellular signaling in anterior pituitary cells. Endocrinology 2006, 147, 3435–3445. [Google Scholar] [CrossRef] [PubMed]
- Weaver, D.A.; Crawford, E.L.; Warner, K.A.; Elkhairi, F.; Khuder, S.A.; Willey, J.C. ABCC5, ERCC2, XPA and XRCC1 transcript abundance levels correlate with cisplatin chemoresistance in non-small cell lung cancer cell lines. Mol. Cancer 2005, 4, 1. [Google Scholar] [CrossRef] [PubMed]
- Wijnholds, J.; Mol, C.A.; Van Deemter, L.; De Haas, M.; Scheffer, G.L.; Baas, F.; Beijnen, J.H.; Scheper, R.J.; Hatse, S.; De Clercq, E. Multidrug-resistance protein 5 is a multispecific organic anion transporter able to transport nucleotide analogs. Proc. Natl. Acad. Sci. USA 2000, 97, 7476–7481. [Google Scholar] [CrossRef] [PubMed]
- Long, Y.; Li, Q.; Li, J.; Cui, Z. Molecular analysis, developmental function and heavy metal-induced expression of ABCC5 in zebrafish. Comp. Biochem. Physiol. Part B 2011, 158, 46–55. [Google Scholar] [CrossRef] [PubMed]
- Flens, M.J.; Zaman, G.; Van Der Valk, P.; Izquierdo, M.A.; Schroeijers, A.B.; Scheffer, G.L.; Van Der Groep, P.; De Haas, M.; Meijer, C.; Scheper, R.J. Tissue distribution of the multidrug resistance protein. Am. J. Pathol. 1996, 148, 1237. [Google Scholar] [PubMed]
- Fricker, G.; Miller, D.S. Modulation of drug transporters at the blood-brain barrier. Pharmacology 2004, 70, 169–176. [Google Scholar] [CrossRef] [PubMed]
- Takemura, H.; Shim, J.-Y.; Sayama, K.; Tsubura, A.; Zhu, B.T.; Shimoi, K. Characterization of the estrogenic activities of zearalenone and zeranol in vivo and in vitro. J. Steroid Biochem. Mol. Biol. 2007, 103, 170–177. [Google Scholar] [CrossRef] [PubMed]
- Hofmeister, M.V.; Bonefeld-Jørgensen, E.C. Effects of the pesticides prochloraz and methiocarb on human estrogen receptor α and β mRNA levels analyzed by on-line RT-PCR. Toxicol. In Vitro 2004, 18, 427–433. [Google Scholar] [CrossRef] [PubMed]
- Kuiper, G.G.; Lemmen, J.G.; Carlsson, B.; Corton, J.C.; Safe, S.H.; Van Der Saag, P.T.; Van Der Burg, B.; Gustafsson, J.-A.K. Interaction of estrogenic chemicals and phytoestrogens with estrogen receptor β. Endocrinology 1998, 139, 4252–4263. [Google Scholar] [PubMed]
- Levin, E.R. Cellular functions of plasma membrane estrogen receptors. Steroids 2002, 67, 471–475. [Google Scholar] [CrossRef]
- Nilsson, S.; Mäkelä, S.; Treuter, E.; Tujague, M.; Thomsen, J.; Andersson, G.; Enmark, E.; Pettersson, K.; Warner, M.; Gustafsson, J.-Å. Mechanisms of estrogen action. Physiol. Rev. 2001, 81, 1535–1565. [Google Scholar] [PubMed]
- Adewale, H.B.; Jefferson, W.N.; Newbold, R.R.; Patisaul, H.B. Neonatal bisphenol-a exposure alters rat reproductive development and ovarian morphology without impairing activation of gonadotropin-releasing hormone neurons. Biol. Reprod. 2009, 81, 690–699. [Google Scholar] [CrossRef] [PubMed]
- Olsen, M.; Pettersson, H.; Kiessling, K.H. Reduction of zearalenone to zearalenol in female rat liver by 3α-hydroxysteroid dehydrogenase. Acta Pharmacol. Toxicol. 1981, 48, 157–161. [Google Scholar] [CrossRef]
- Yamamura, K.; Doi, M.; Hayashi, H.; Ota, T.; Murai, I.; Hotta, Y.; Komatsu, R.; Okamura, H. Immunolocalization of murine type VI 3β-hydroxysteroid dehydrogenase in the adrenal gland, testis, skin, and placenta. Mol. Cell. Endocrinol. 2014, 382, 131–138. [Google Scholar] [CrossRef] [PubMed]
- Sadasivam, M.; Ramatchandirin, B.; Balakrishnan, S.; Selvaraj, K.; Prahalathan, C. The role of phosphoenolpyruvate carboxykinase in neuronal steroidogenesis under acute inflammation. Gene 2014, 552, 249–254. [Google Scholar] [CrossRef] [PubMed]
- Rak-Mardyła, A.; Wróbel, A.; Gregoraszczuk, E.L. Ghrelin negatively affects the function of ovarian follicles in mature pigs by direct action on Basal and gonadotropin-stimulated steroidogenesis. Reprod. Sci. 2015, 22, 469–475. [Google Scholar] [CrossRef] [PubMed]
- Knapczyk-Stwora, K.; Grzesiak, M.; Slomczynska, M. Altered expression of 3 &β; -HSD, CYP17 and 17 &β; -HSD in the foetal porcine gonads in response to anti-androgen flutamide exposure. Reprod. Domest. Anim. 2014, 49, 725–733. [Google Scholar] [PubMed]
- Clark, J.; Baldwin, R.; Bayne, K.; Brown, M.; Gebhart, G.; Gonder, J.; Gwathmey, J.; Keeling, M.; Kohn, D.; Robb, J. Guide for the Care and Use of Laboratory Animals; Institute of Laboratory Animal Resources, National Research Council: Washington, DC, USA, 1996. [Google Scholar]
- Panel, E.C. Scientific Opinion on the risks for public health related to the presence of zearalenone in food. EFSA J. 2011, 9, 2197. [Google Scholar]
- Eldridgea, J.C.; Wetzel, L.T.; Tyrey, L. Estrous cycle patterns of Sprague-Dawley rats during acute and chronic atrazine administration. Reprod. Toxicol. 1999, 13, 491–499. [Google Scholar] [CrossRef]
- Kennedy, G.; Mitra, J. Body weight and food intake as initiating factors for puberty in the rat. J. Physiol. 1963, 166, 408–418. [Google Scholar] [CrossRef] [PubMed]
- Sun, L.-H.; Zhang, N.-Y.; Zhai, Q.-H.; Gao, X.; Li, C.; Zheng, Q.; Krumm, C.S.; Qi, D. Effects of dietary tin on growth performance, hematology, serum biochemistry, antioxidant status, and tin retention in broilers. Biol. Trace Elem. Res. 2014, 162, 302–308. [Google Scholar] [CrossRef] [PubMed]
- Huang, J.-Q.; Ren, F.-Z.; Jiang, Y.-Y.; Xiao, C.; Lei, X.G. Selenoproteins protect against avian nutritional muscular dystrophy by metabolizing peroxides and regulating redox/apoptotic signaling. Free Radic. Biol. Med. 2015, 83, 129–138. [Google Scholar] [CrossRef] [PubMed]





| Parameters | Treatments | |||
|---|---|---|---|---|
| Control | 5 ZEN | 10 ZEN | 20 ZEN | |
| Initial BW | 206.39 ± 3.22 | 205.90 ± 6.65 | 206.30 ± 3.86 | 205.47 ± 5.34 |
| Final BW | 318.70 ± 18.85 a | 303.62 ± 19.51 ab | 286.63 ± 12.40 bc | 274.12 ± 8.16 c |
| ADI, g/day | 24.79 ± 1.29 a | 24.02 ± 1.81 a | 22.57 ± 2.11 ab | 19.23 ± 1.24 b |
| ADG, g/day | 5.12 ± 1.03 a | 4.87 ± 0.68 ab | 4.62 ± 0.41 b | 3.85 ± 0.45 c |
| Litter size | 11.52 ± 1.89 | 11.58 ± 2.57 | 10.92 ± 2.07 | 10.20 ± 1.48 |
| Viable newborns | 11.47 ± 1.36 a | 11.41 ± 1.31 a | 10.08 ± 1.83 ab | 9.60 ± 1.14 b |
| Viability | 0.99 ± 0.03 a | 0.91 ± 0.26 a | 0.89 ± 0.27 ab | 0.86 ± 0.08 b |
| Parameters | Treatments | |||
|---|---|---|---|---|
| Control | 5 ZEN | 10 ZEN | 20 ZEN | |
| Neonatal (d 0) | 5.74 ± 0.63 a | 5.27 ± 0.74 a | 5.19 ± 0.62 a | 4.70 ± 0.82 b |
| Weaned (d 21) | 35.46 ± 2.14 a | 34.03 ± 1.39 a | 31.84 ± 2.00 ab | 26.75 ± 4.40 b |
| Adult (d 63) | 204.23 ± 5.75 a | 193.15 ± 12.97 a | 178.06 ± 4.63 bc | 165.57 ± 10.79 c |
| ADI, g/day | 18.91 ± 1.44 a | 18.88 ± 1.39 a | 18.10 ± 1.09 a | 17.80 ± 1.40 b |
| ADG, g/day | 4.38 ± 0.63 a | 4.07 ± 0.74 a | 3.19 ± 0.62 ab | 2.70 ± 0.82 b |
| Parameters | Treatments | |||
|---|---|---|---|---|
| Control | 5 ZEN | 10 ZEN | 20 ZEN | |
| Maternal | ||||
| FSH, IU/L | 7.17 ± 1.78 b | 8.48 ± 2.09 ab | 10.52 ± 1.92 ab | 12.25 ± 1.42 a |
| LH, ng/mL | 1.84 ± 0.34 | 2.08 ± 0.43 | 1.87 ± 0.45 | 1.85 ± 0.10 |
| E2, ng/L | 75.78 ± 1.28 a | 74.44 ± 2.11 a | 70.67 ± 1.07 b | 66.66 ± 1.08 c |
| Adult Female | ||||
| FSH, IU/L | 4.59 ± 0.43 b | 7.07 ± 2.41 ab | 6.72 ± 0.60 ab | 7.93 ± 1.75 a |
| LH, ng/mL | 1.31 ± 0.25 b | 1.53 ± 0.27 b | 2.37 ± 0.57 ab | 2.57 ± 0.49 a |
| E2, ng/L | 61.49 ± 3.39 a | 58.99 ± 2.73 ab | 55.97 ± 0.95 b | 51.70 ± 0.79 c |
© 2017 by the authors; licensee MDPI, Basel, Switzerland. This article is an open access article distributed under the terms and conditions of the Creative Commons Attribution (CC-BY) license (http://creativecommons.org/licenses/by/4.0/).
Share and Cite
Gao, X.; Sun, L.; Zhang, N.; Li, C.; Zhang, J.; Xiao, Z.; Qi, D. Gestational Zearalenone Exposure Causes Reproductive and Developmental Toxicity in Pregnant Rats and Female Offspring. Toxins 2017, 9, 21. https://doi.org/10.3390/toxins9010021
Gao X, Sun L, Zhang N, Li C, Zhang J, Xiao Z, Qi D. Gestational Zearalenone Exposure Causes Reproductive and Developmental Toxicity in Pregnant Rats and Female Offspring. Toxins. 2017; 9(1):21. https://doi.org/10.3390/toxins9010021
Chicago/Turabian StyleGao, Xin, Lvhui Sun, Niya Zhang, Chong Li, Jiacai Zhang, Zhuohui Xiao, and Desheng Qi. 2017. "Gestational Zearalenone Exposure Causes Reproductive and Developmental Toxicity in Pregnant Rats and Female Offspring" Toxins 9, no. 1: 21. https://doi.org/10.3390/toxins9010021
APA StyleGao, X., Sun, L., Zhang, N., Li, C., Zhang, J., Xiao, Z., & Qi, D. (2017). Gestational Zearalenone Exposure Causes Reproductive and Developmental Toxicity in Pregnant Rats and Female Offspring. Toxins, 9(1), 21. https://doi.org/10.3390/toxins9010021

